Enter your email to get your 85% OFF code and unlock the full NEET PG question bank on the app.
Osteomyelitis of spine is caused by the most common organism?
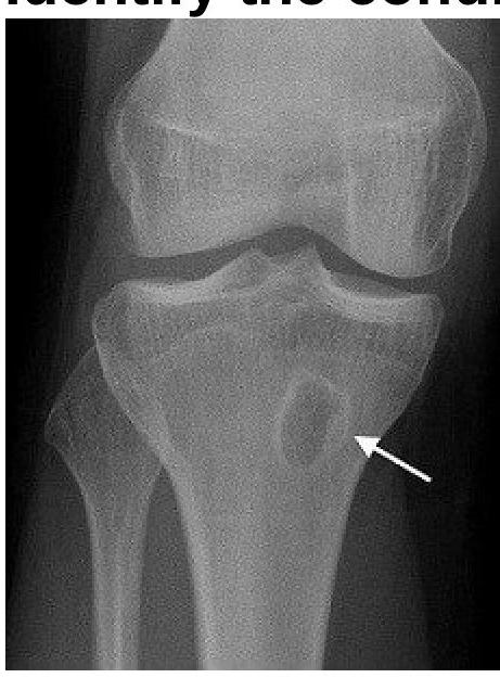
12 years male came with swelling of lower end tibia which is surrounded by rim of reactive bone. What is most likely diagnosis?
A 12-year-old girl begins to limp while playing soccer. She has pain in her right leg and upper right thigh. Her temperature is 102°F. X-ray of the femur reveals that the periosteum is eroded. Assuming that this case is managed as an infectious disease, which of the following is the most likely etiologic agent?
A patient had osteomyelitis in their left tibia 2 years ago. They now present with pain and swelling at the same site. X-ray shows bone destruction, sequestrum, and involucrum. What is the most likely diagnosis?

An 8-year-old boy complains of left leg pain for 3 days. On physical examination, his temperature is 38.9°C, and he exhibits irritability when his left leg is moved. A radiograph of the left leg shows changes suggesting acute osteomyelitis in the proximal portion of the left femur. Culture of the infected bone is most likely to grow which of the following organisms?
Which of the following statements about osteomyelitis is incorrect?
Most sensitive imaging modality for detecting early osteomyelitis
A 25-year-old male presents with localized pain in the tibia and swelling. Imaging reveals a bone abscess. Identify the condition.

Which of the following statements about chronic osteomyelitis is false?
All of the following are seen in osteopetrosis EXCEPT:
Get full access to all questions, explanations, and performance tracking.
Scan to download app