Spot the diagnosis:

What is the grade of fracture according to Garden's classification?

All are correct about the condition shown in X-ray except:

An epilepsy patient presents in postictal period with inability to touch opposite shoulder. What is incorrect about the diagnosis?

A 65-year-old woman falls on an extended and outstretched hand while walking her grandchild to school. She presents to the emergency department in severe pain and is holding her left wrist. On examination, there is swelling, tenderness, and deformity of the wrist. Which of the following is the most likely diagnosis?

Which is incorrect about the image shown below?

Comment on the diagnosis based on examination findings shown below: (Recent NEET Pattern 2016-17)

A 55-year-old woman tripped over a piece of banana and sustained a fracture shown below. Diagnosis is:

A 50-year-old orthopaedics doctor went for sky diving while vacationing abroad. On return he had the following physical finding. What is the diagnosis?

Comment on the diagnosis:

Explanation: ***Malgaigne fracture*** - This image demonstrates a **Malgaigne fracture**, characterized by **vertical sheer unstable pelvic fractures** involving the posterior pelvic arch (sacroiliac joint dislocation or sacral fracture) and two fractures of the ipsilateral anterior pelvic arch (pubic rami fractures). - The arrows in the image point to the fractures of the pubic rami and the displacement at the sacroiliac joint, consistent with the definition. *Straddle fracture* - A **straddle fracture** involves bilateral fractures of both the superior and inferior pubic rami, typically as a result of a direct blow to the perineum. - This image shows unilateral pubic rami fractures combined with a posterior injury (sacroiliac dislocation), which is characteristic of a Malgaigne fracture rather than a straddle fracture. *Pubic rami with penile fracture* - While there are pubic rami fractures visible, there is **no radiological evidence of a penile fracture** on an X-ray. Penile fractures are soft tissue injuries involving the tunica albuginea and are typically diagnosed clinically or with ultrasound/MRI. - The combination of anterior and posterior pelvic ring injuries observed in the image points to a Malgaigne fracture, which has a specific definition beyond just pubic rami fractures. *Sacroiliac joint dislocation only* - The image clearly shows disruption of the **sacroiliac joint** on one side, but it also demonstrates **associated fractures of the ipsilateral pubic rami**. - A diagnosis of "sacroiliac joint dislocation only" would be incomplete as it misses the critical anterior pelvic ring injuries, which together with the posterior injury define a Malgaigne fracture.
Explanation: ***Grade III*** - This image shows a **complete displaced fracture** of the femoral neck, but with the **distal fragment in valgus** position, which corresponds to Garden Grade III. - In Garden Grade III, the fracture is **complete and displaced**, but there is still some **engagement** of the fracture surfaces, leading to the valgus alignment of the head on the shaft. *Grade I* - Garden Grade I refers to an **incomplete impacted valgus fracture** of the femoral neck. - The fracture line is visible, but there is no displacement, and the head is tilted into a valgus position relative to the neck. *Grade II* - Garden Grade II describes a **complete but non-displaced fracture** of the femoral neck. - The fracture line extends across the entire neck, but the fragments remain in anatomical alignment without angulation or displacement. *Grade IV* - Garden Grade IV is characterized by a **complete and fully displaced fracture** of the femoral neck, with the **femoral head completely separated** from the shaft and in a neutral or varus position. - There is a complete loss of contact and alignment between the femoral head and the shaft, indicating significant instability.
Explanation: **Needle biopsy** - **Needle biopsy** is generally **contraindicated** in cases of suspected or confirmed osteosarcoma due to the risk of **tumor seeding** along the biopsy tract or increasing the risk of metastasis. - Diagnosis is typically established via **open biopsy** to obtain a larger and more representative tumor sample for histopathological analysis. *Elevated ESR* - An **elevated Erythrocyte Sedimentation Rate (ESR)** is a common finding in many inflammatory conditions and malignancies, including osteosarcoma. - It reflects the body's generalized inflammatory response to the tumor. *Increased uptake in bone scan* - **Increased uptake** in a **bone scan** (using technetium-99m) is characteristic of osteosarcoma due to the tumor's high **osteoblastic activity** and increased bone turnover. - This increased metabolic activity leads to increased radionuclide accumulation in the affected area. *Appears 2 weeks postinjury* - A fracture or minor injury can sometimes be the initial event that brings an underlying osteosarcoma to clinical attention, as the tumor can **weaken the bone** making it more susceptible to fracture. - However, the image shows a lytic lesion, which is typical of osteosarcoma, and not necessarily a fracture appearing 2 weeks post-injury; the tumor itself may have been developing for a longer period.
Explanation: ***Head of humerus fixed in external rotation*** - In a **posterior shoulder dislocation**, which is common after epileptic seizures, the humeral head is typically **adducted and internally rotated**. - The patient's inability to touch the opposite shoulder suggests an injury preventing **internal rotation and adduction**, which is consistent with a posterior dislocation where the humerus is fixed in internal rotation. *Empty glenoid sign* - The **empty glenoid sign** on an AP X-ray view is indicative of a **posterior shoulder dislocation**, where the humeral head is displaced posteriorly, leaving the glenoid cavity appearing "empty." - This is a correct observation for posterior shoulder dislocation, which is suggested by the clinical scenario. *Stryker notch view is necessary for X-ray* - The **Stryker notch view** is a specialized radiographic projection useful for visualizing **Hill-Sachs lesions**, which are compression fractures of the posterolateral humeral head often associated with anterior shoulder dislocations. - While it might be used to rule out associated injuries, a **posterior shoulder dislocation** often requires trans-scapular Y view or axillary view for confirmation. However, an **anterior-inferior glenoid rim fracture** (Bankart lesion) or impression fracture on the humeral head (Hill-Sachs lesion) due to repeated dislocations would make this view relevant for evaluating bony defects. *Regimental batch anesthesia* - **Regimental badge anesthesia** refers to a loss of sensation over the lateral aspect of the shoulder, an area supplied by the **axillary nerve**. - The axillary nerve is commonly injured in shoulder dislocations due to its close proximity to the humeral head, making this a correct potential finding.
Explanation: ***Colle's fracture*** - A **Colle's fracture** is a fracture of the distal **radius** with **dorsal displacement** of the distal fragment, often occurring when falling on an **outstretched hand (FOOSH)**. - The characteristic "dinner fork" deformity, showing dorsal displacement, is a classic sign seen in the provided image and described scenario. *Barton fracture* - A Barton fracture is an **intra-articular fracture** of the distal radius with an associated **subluxation of the carpus**. - While it can result from a FOOSH injury, it specifically involves the joint surface and carpal displacement, which is not the primary diagnostic feature described or visually implied. *Chauffer fracture* - A Chauffeur fracture, also known as a **radial styloid fracture**, is an **oblique intra-articular fracture** of the radial styloid. - This type of fracture is typically caused by direct trauma or impaction of the scaphoid against the radial styloid, not the widespread dorsal displacement seen in the image. *Shepherd fracture* - There is no consistently recognized medical term for a "Shepherd fracture" in the context of wrist injuries. - This option is likely a distractor and does not correspond to a known fracture pattern related to the given clinical presentation.
Explanation: ***Bayonet deformity*** - **Bayonet deformity** describes side-by-side alignment of fracture fragments typically seen in **diaphyseal fractures**, not the dorsal angulation pattern of distal radial fractures. - The image shows a **dinner fork deformity** with dorsal displacement, not the lateral offset characteristic of bayonet deformity. *Dinner fork deformity* - The image clearly demonstrates a classic **dinner fork deformity**, which is the characteristic appearance of **Colles fractures** and similar distal radial fractures. - This deformity results from **dorsal displacement** and angulation of the distal radial fragment, creating the distinctive fork-like silhouette. *Distal fragment dorsally angulated* - The **distal radial fragment** is indeed **dorsally angulated** in the image, which is the hallmark feature of Colles fractures. - This dorsal angulation is precisely what creates the **dinner fork deformity** appearance seen clinically and radiographically. *Nonunited distal radial fracture* - A **nonunited fracture** would show specific radiological signs of **failed healing** over time, including sclerotic bone ends and gap persistence. - The image appears to show an **acute fracture** with characteristic deformity rather than signs of established nonunion.
Explanation: ***Volkmann ischemic contracture*** - The images show a **fixed flexion deformity of the wrist and fingers**, along with **forearm pronation**, which is characteristic of Volkmann's ischemic contracture. - This condition results from **ischemia to the forearm muscles**, leading to muscle necrosis and subsequent fibrosis and contracture. *Ulnar tunnel syndrome* - This syndrome involves compression of the **ulnar nerve** at the wrist. - Symptoms typically include **numbness and tingling in the ring and little fingers**, and hand weakness, which are not depicted as the primary finding here. *Cubital tunnel syndrome* - This condition involves compression of the **ulnar nerve** at the elbow. - It presents with similar sensory and motor deficits to ulnar tunnel syndrome but specifically related to the elbow, not the characteristic fixed deformity shown. *Wartenberg's syndrome* - Also known as **superficial radial nerve entrapment**, it involves compression of the superficial branch of the radial nerve. - This typically causes **sensory symptoms** (pain, numbness, paresthesia) on the back of the hand and thumb, without the gross motor contracture seen in the images.
Explanation: ***Smith's fracture*** - The radiological image demonstrates a distal **radius fracture** with **volar (palmar) angulation** and displacement of the distal fragment, creating the characteristic "garden spade" deformity of Smith's fracture. - Although the mechanism of tripping typically causes **FOOSH injuries**, the specific position of the wrist at impact and the resulting **volar displacement** confirms this as a Smith's fracture, also known as a **reverse Colles' fracture**. *Colle's fracture* - A Colles' fracture would show **dorsal angulation** and displacement of the distal fragment, creating a "dinner fork" deformity, which is not present in this image. - The **volar displacement** seen here is opposite to the dorsal displacement characteristic of Colles' fractures. *Galeazzi's fracture* - This fracture involves a **radial shaft fracture** combined with **dislocation of the distal radioulnar joint (DRUJ)**. - The image shows an **isolated distal radius fracture** without evidence of DRUJ dislocation or proximal radial involvement. *Barton's fracture* - A Barton's fracture is an **intra-articular fracture** of the distal radius with **radiocarpal joint subluxation**. - The fracture shown is **extra-articular** and does not involve the joint surface or show radiocarpal subluxation.
Explanation: ***Rupture of long head of biceps muscle*** - The image clearly shows a sudden, prominent bulge (often described as a "**Popeye sign**") in the mid-arm, which is a classic clinical manifestation of a ruptured long head of the biceps tendon. - This typically occurs from a sudden, forceful contraction or eccentric loading of the biceps, often seen in older individuals or with trauma/falls, consistent with a skydiving incident. *Brachial plexus injury* - Brachial plexus injuries typically present with **neurological deficits** such as weakness, numbness, or paralysis in the arm and hand, rather than a distinct muscle bulge. - While a severe injury could result from a skydiving accident, the primary physical finding in the image does not align with a typical brachial plexus injury. *Upper extremity deep vein thrombosis* - Deep vein thrombosis (DVT) in the upper extremity would present with **swelling, pain, redness**, and warmth of the entire arm, or a significant portion of it, not an isolated muscle bulge. - This condition is usually associated with venous stasis, hypercoagulability, or endothelial injury, which are not suggested by the image or history. *Calcific tendinopathy* - Calcific tendinopathy involves **calcium deposits** within a tendon, leading to pain and limited range of motion, often in the shoulder in this anatomical region. - It would not manifest as a sudden, distinct muscle bulge and is primarily diagnosed through imaging like X-rays or ultrasound, not by visual inspection alone.
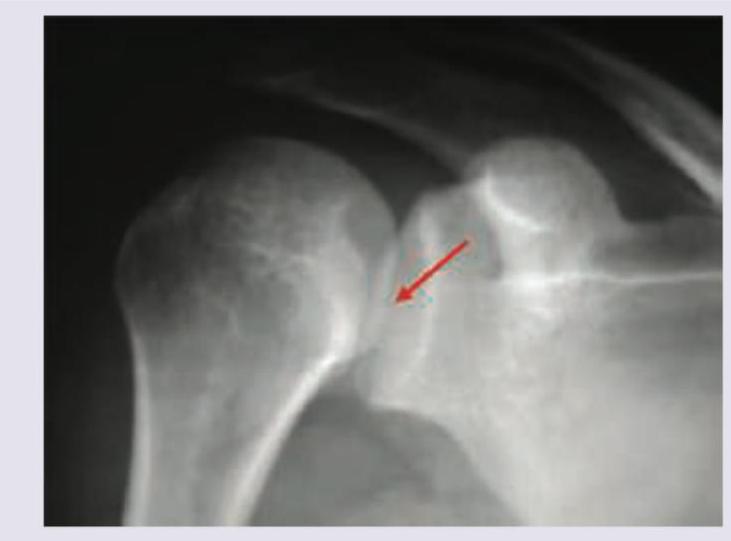
Explanation: ***Hill-Sachs lesion*** - The image shows a **compression fracture** or **dent** in the **posterolateral aspect of the humeral head**. - This lesion is characteristic of an **anterior shoulder dislocation**, occurring when the humeral head impacts the anterior glenoid rim. *Bankart lesion* - A Bankart lesion involves an avulsion of the **anterior inferior labrum** from the glenoid rim. - It is often seen in conjunction with a Hill-Sachs lesion following an anterior shoulder dislocation but refers to damage to the labrum, not the humeral head itself. *Reverse Hill-Sachs lesion* - A reverse Hill-Sachs lesion is a compression fracture on the **anteromedial aspect of the humeral head**. - This lesion is typically associated with a **posterior shoulder dislocation**, which is the opposite mechanism to the injury suggested by the visualized humeral head defect. *Posterior Bankart lesion* - A posterior Bankart lesion involves an avulsion of the **posterior inferior labrum** from the glenoid rim. - This lesion is associated with **posterior shoulder dislocations** and relates to labral injury, not the bony defect on the humeral head shown.
Principles of Fracture Management
Practice Questions
Upper Limb Fractures
Practice Questions
Lower Limb Fractures
Practice Questions
Spinal Trauma
Practice Questions
Pelvic and Acetabular Fractures
Practice Questions
Open Fractures
Practice Questions
Fractures in Children
Practice Questions
Fracture Complications
Practice Questions
Nonunion and Malunion
Practice Questions
Polytrauma Management
Practice Questions
Joint Dislocations
Practice Questions
Soft Tissue Injuries
Practice Questions
Get full access to all questions, explanations, and performance tracking.
Start For Free