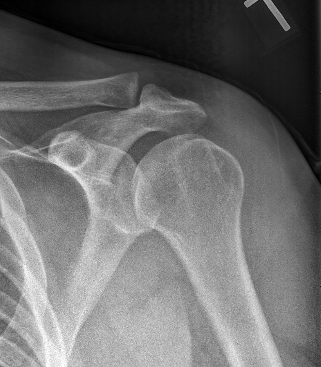
A 21-year-old man presents with shoulder pain after falling off his bike. What is your diagnosis?

The Nexus criteria is used for the assessment of which type of injury?
What structures are included in the terrible triad of O'Donoghue?
What is the absolute pressure threshold for indication of surgical compartment release in compartment syndrome?
After bone fracture, primary healing will show which of these features?
The Mangled Extremity Severity Score includes all of the following except?
What is the treatment of choice in acute myositis ossificans?
Compartment syndrome is treated by:
What condition is the given test used for?

A patient sustained an upper limb injury 3 years ago and now presents with a valgus deformity of the elbow and paresthesias over the medial border of the hand. What is the likely nature of the original injury?
Explanation: ***Acromioclavicular dislocation*** - **Fall on shoulder** mechanism commonly causes **AC joint injury** with **widened AC joint space** and **elevated distal clavicle** on X-ray - Clinical **piano key sign** (depressible distal clavicle) and **point tenderness** over AC joint are characteristic findings *Anterior glenohumeral joint dislocation* - Would show **humeral head displacement** anteriorly with loss of normal **glenohumeral joint relationship** on X-ray - Associated with **axillary nerve injury** and **Bankart lesions**, not consistent with AC joint pathology shown *Posterior glenohumeral dislocation* - Rare injury showing **lightbulb sign** on AP X-ray with **fixed internal rotation** of humerus - Often missed but would demonstrate **glenohumeral joint abnormality**, not isolated AC joint changes *All of the above* - Only **one specific diagnosis** can be made based on the radiographic evidence of AC joint pathology - **Multiple simultaneous dislocations** are extremely rare and not supported by typical imaging findings
Explanation: The **NEXUS (National Emergency X-Radiography Utilization Study)** criteria is a clinical decision tool used to safely rule out **cervical spine (C-spine) injury** in stable trauma patients without the need for radiographic imaging. ### 1. Why Option A is Correct The primary goal of NEXUS is to identify patients at low risk for cervical spine fractures or dislocations. If a patient meets **all five** of the following criteria, the C-spine can be clinically cleared without an X-ray or CT scan: 1. **N**o focal neurological deficit. 2. **E**thanol (or other) intoxication is absent. 3. **X** (eXtreme) - No painful distracting injuries (e.g., a femur fracture that masks neck pain). 4. **U**nderlying midline cervical tenderness is absent. 5. **S**ensorium is normal (Alert and oriented; GCS 15). ### 2. Why Other Options are Incorrect * **Option B (Ankle):** Assessment of traumatic ankle injuries uses the **Ottawa Ankle Rules** to determine the need for X-rays. * **Option C (Knee):** Traumatic knee injuries are evaluated using the **Ottawa Knee Rules** or the **Pittsburgh Decision Rules**. * **Option D (Hip):** There is no specific "Nexus-like" clinical decision rule for hip trauma; diagnosis relies on clinical deformity (shortening/rotation) and standard pelvic radiographs. ### 3. Clinical Pearls for NEET-PG * **Canadian C-Spine Rule (CCR):** This is another high-yield tool for C-spine clearance. It is generally considered more sensitive and specific than NEXUS but is more complex to apply. * **Sensitivity:** NEXUS has a sensitivity of nearly **99%** for detecting clinically significant C-spine injuries. * **Imaging Choice:** If a patient fails NEXUS criteria, a **CT scan** is now the gold standard initial investigation for C-spine trauma in most trauma centers, replacing the traditional 3-view X-ray series.
Explanation: The **Terrible Triad of O'Donoghue** (also known as the Unhappy Triad) describes a specific pattern of severe knee injury resulting from a powerful lateral blow to the knee while the foot is fixed (valgus stress with external rotation). **1. Why Option D is Correct:** The classic triad consists of: * **Anterior Cruciate Ligament (ACL) tear:** The primary stabilizer against anterior tibial translation. * **Medial Collateral Ligament (MCL) tear:** Resulting from the primary valgus force. * **Medial Meniscus tear:** Historically, O’Donoghue described the medial meniscus as part of the triad. *Note for Advanced Learners:* Modern sports medicine studies often show that **lateral** meniscus tears are actually more common in acute ACL injuries; however, for the purpose of exams like NEET-PG, the "classic" O’Donoghue triad remains defined by the **Medial Meniscus**. **2. Analysis of Incorrect Options:** * **Options A, B, and C:** These options incorrectly substitute the Medial Meniscus or MCL with the **Posterolateral Complex (PLC)** or **Lateral Collateral Ligament (LCL)**. Injuries to the PLC/LCL typically occur due to *varus* stress, which is the opposite mechanism of the valgus stress that causes O'Donoghue's triad. **3. High-Yield Clinical Pearls for NEET-PG:** * **Mechanism of Injury:** Valgus stress + External rotation + Fixed foot. * **Clinical Sign:** Positive **Lachman’s test** (most sensitive for ACL) [1] and opening of the medial joint line on **Valgus Stress Test** (for MCL). * **Imaging:** MRI is the gold standard investigation for visualizing all three components. * **Don't Confuse:** The "Terrible Triad of the **Elbow**" consists of a posterior dislocation, radial head fracture, and coronoid process fracture.
Explanation: **Explanation:** Acute Compartment Syndrome (ACS) is a surgical emergency where increased pressure within a fibro-osseous space compromises tissue perfusion. The diagnosis is primarily clinical, but intracompartmental pressure (ICP) measurement is the gold standard for objective assessment. **Why 30 mm Hg is the correct answer:** Traditionally, an **absolute ICP of 30 mm Hg** is considered the threshold for performing an emergency fasciotomy. This value is based on the physiological principle that when tissue pressure exceeds 30 mm Hg, it overcomes the capillary perfusion pressure, leading to muscle and nerve ischemia. **Analysis of Incorrect Options:** * **A & B (15 & 20 mm Hg):** These values represent elevated pressures but are generally considered "gray zones." While they require close monitoring, they do not meet the threshold for surgical intervention unless clinical symptoms are rapidly deteriorating. * **D (Varies from compartment to compartment):** While different compartments have different baseline pressures, the threshold for ischemia (30 mm Hg) is a standardized surgical guideline across all extremities. **Clinical Pearls for NEET-PG:** 1. **Delta Pressure ($\Delta P$):** Modern practice often favors the "Delta Pressure" over absolute pressure. $\Delta P = \text{Diastolic Blood Pressure} - \text{ICP}$. A **$\Delta P < 30$ mm Hg** is a more reliable indicator for fasciotomy, especially in hypotensive patients. 2. **Earliest Sign:** Pain out of proportion to the injury and pain on passive stretching of the muscles. 3. **Latest Sign:** Pulselessness (indicates irreversible damage; the "6 Ps" are often late findings). 4. **Whitesides’ Technique:** A common manometric method used to measure ICP. 5. **Volkmann’s Ischemic Contracture:** The permanent sequela of untreated compartment syndrome in the forearm.
Explanation: ### Explanation **Primary Bone Healing (Direct Healing)** occurs when there is absolute stability (no movement at the fracture site) and anatomical reduction. This is typically achieved through internal fixation using compression plates and screws. **Why the correct answer is right:** In primary healing, there is no formation of an external callus. Instead, "contact healing" or "gap healing" occurs via **Haversian remodeling**. Osteoclasts form "cutting cones" that cross the fracture line, followed by osteoblasts laying down new bone. Because the bone ends are compressed and the gap is bridged directly by new bone without a precursor callus, the **fracture line disappears very soon radiographically** as it is replaced by new lamellar bone. **Analysis of Incorrect Options:** * **Option A & B:** Callus molding is a feature of **Secondary Bone Healing** (indirect healing), which occurs in the presence of micromotion (e.g., casts, intramedullary nails). In primary healing, there is **no callus formation**, so there is nothing to mold or evaluate on a radiograph. * **Option D:** The fracture line *must* disappear for union to be considered complete. If the fracture line persists indefinitely, it suggests a non-union or failure of fixation. **Clinical Pearls for NEET-PG:** * **Primary Healing:** Requires **Absolute Stability**. No callus formation. Mechanism: Cutting cones/Haversian remodeling. * **Secondary Healing:** Requires **Relative Stability**. Characterized by four stages: Inflammation, Soft Callus, Hard Callus, and Remodeling. * **Gold Standard for Primary Healing:** Compression plating. * **Radiographic Sign of Primary Union:** Gradual disappearance of the fracture line without external callus.
Explanation: The **Mangled Extremity Severity Score (MESS)** is a clinical scoring system developed by Johansen et al. to help surgeons decide between limb salvage and primary amputation in cases of severe lower limb trauma. ### Why "Neurogenic Injury" is the Correct Answer The MESS system is based on four specific objective criteria: **Skeletal/Soft tissue injury, Limb Ischemia, Shock, and Age.** While nerve damage is a common component of a "mangled" limb, it is **not** a parameter used in the MESS calculation. Historically, it was believed that a lack of sensation was a poor prognostic sign, but studies showed that primary nerve repair or regeneration often yields better outcomes than previously thought, leading to its exclusion from the score. ### Explanation of Other Options * **Energy of Injury (Skeletal/Soft Tissue):** Points are awarded based on the mechanism (e.g., low energy/stab = 1; high energy/crush = 4). * **Ischemia:** This is the most heavily weighted parameter. Points are doubled if the ischemia time exceeds 6 hours. * **Shock:** Evaluates the hemodynamic stability of the patient (normotensive, transiently hypotensive, or persistently hypotensive). ### NEET-PG High-Yield Pearls * **The Threshold:** A MESS score of **≥ 7** is highly predictive of the need for **amputation**, while a score of < 7 suggests limb salvage should be attempted. * **Mnemonic (SISH):** **S**keletal/Soft tissue injury, **I**schemia, **S**hock, **H**ealth (Age). * **Age Criteria:** < 30 years (0 points); 30–50 years (1 point); > 50 years (2 points). * **Clinical Utility:** While MESS is a popular exam topic, in modern clinical practice, the decision for amputation is often multi-disciplinary, as MESS has high specificity but lower sensitivity.
Explanation: **Explanation:** **Myositis Ossificans (MO)**, specifically the circumscripta type, is a condition characterized by heterotopic ossification within muscles, most commonly occurring around the elbow following trauma (e.g., posterior dislocation or supracondylar fracture). **1. Why Immobilization is the Correct Answer:** In the **acute (inflammatory) phase** of myositis ossificans, the primary goal is to prevent further muscle irritation and minimize the stimulus for ectopic bone formation. **Immobilization of the elbow** in a functional position (usually a posterior slab) provides rest to the injured tissues, reduces hematoma expansion, and halts the progression of the ossification process. Once the acute pain and swelling subside, and the bony mass matures (as seen on X-ray), gradual mobilization can begin. **2. Why Other Options are Incorrect:** * **Passive movements (Option C):** This is the most common cause of MO. Forceful passive stretching or massage of a traumatized elbow triggers an inflammatory response in the brachialis muscle, leading to ossification. It is strictly contraindicated. * **Active exercises (Option D):** While active movements are generally preferred over passive ones in orthopaedics, they should be avoided in the **acute phase** of MO as they can still aggravate the inflamed muscle. * **Shock wave diathermy (Option B):** Heat modalities like diathermy increase local vascularity and metabolic activity, which can potentially worsen the heterotopic bone formation during the active phase. **Clinical Pearls for NEET-PG:** * **Most common site:** Brachialis muscle (elbow) and Quadriceps femoris (thigh). * **Radiological sign:** "Zonal phenomenon" (mature bone at the periphery, immature in the center), which helps differentiate it from Osteosarcoma. * **Management:** Prophylaxis in high-risk patients includes NSAIDs (Indomethacin) or a single dose of local radiation. Surgery (excision) is only considered after the bone matures (usually 6–12 months), evidenced by a well-defined cortex on X-ray and a cold bone scan.
Explanation: **Explanation:** **Compartment Syndrome** is a surgical emergency characterized by increased interstitial pressure within a closed osteofascial compartment. This pressure rise compromises local capillary perfusion, leading to muscle and nerve ischemia. **1. Why Fasciotomy is Correct:** The definitive treatment for compartment syndrome is an **emergency fasciotomy**. Since the fascia is non-distensible, the only way to immediately reduce the intracompartmental pressure and restore tissue perfusion is to surgically incise the fascia. Delay in performing a fasciotomy (usually beyond 6 hours) can lead to irreversible muscle necrosis and Volkmann’s Ischemic Contracture. **2. Why Other Options are Incorrect:** * **Bicarbonate:** While used to treat metabolic acidosis or to prevent myoglobinuric renal failure (by alkalinizing urine) in cases of **Crush Syndrome**, it does not address the primary mechanical pressure causing compartment syndrome. * **Chloride-rich fluid:** This is generally avoided in trauma resuscitation as it can lead to hyperchloremic metabolic acidosis. * **Early aggressive fluid resuscitation:** This is the mainstay treatment for **Crush Syndrome** (to prevent Acute Tubular Necrosis due to myoglobinuria) but will not relieve the physical pressure within a limb compartment. **Clinical Pearls for NEET-PG:** * **Earliest Sign:** Pain out of proportion to the injury and pain on passive stretching of muscles (most sensitive). * **Late Sign:** Pulselessness (indicates irreversible damage; do not wait for this to diagnose). * **Diagnosis:** Primarily clinical. However, a **Delta pressure** (Diastolic BP – Intracompartmental pressure) of **≤ 30 mmHg** is diagnostic. * **Commonest Site:** Deep posterior compartment of the leg (associated with Tibia fractures).
Explanation: ***Prolapsed intervertebral disc*** - The **Straight Leg Raise (SLR)** or **Lasègue's test** shown in the image is specifically designed to detect **lumbar disc herniation** by stretching the **sciatic nerve**. - A positive test occurs when leg elevation between **30-70 degrees** reproduces **radicular pain** down the leg, indicating **nerve root compression** from disc prolapse. *Ankle injury* - Ankle injuries are assessed using tests like the **anterior drawer test** or **talar tilt test**, which involve manipulating the ankle joint directly. - The SLR test does not evaluate **ankle ligaments** or **joint stability** and would not be relevant for ankle pathology. *Hip injury* - Hip pathology is evaluated using tests like **FABER test**, **Thomas test**, or **Trendelenburg test** that assess hip joint mobility and stability. - The straight leg position in SLR does not stress the **hip joint** or reproduce typical hip pain patterns. *None of the above* - This option is incorrect as the **SLR test** is a well-established orthopedic examination specifically for **lumbar radiculopathy**. - The test has high sensitivity for detecting **L4-L5** and **L5-S1** disc herniations when positive.
Explanation: ### Explanation The clinical presentation describes a classic case of **Tardy Ulnar Nerve Palsy** following a malunited fracture. **1. Why Lateral Condyle Fracture is correct:** Lateral condyle fractures in children are "fractures of necessity" (requiring ORIF) because they are intra-articular and prone to **non-union**. Non-union leads to a progressive **cubitus valgus** (increased carrying angle) deformity. As the valgus deformity increases over years, the ulnar nerve is chronically stretched as it passes behind the medial epicondyle. This results in delayed ulnar neuropathy, manifesting as paresthesias over the medial border of the hand and wasting of intrinsic hand muscles. **2. Why other options are incorrect:** * **Supracondylar Humerus Fracture:** This is the most common pediatric elbow fracture. Malunion typically results in **Cubitus Varus** (Gunstock deformity). While it can cause acute nerve injuries (Median/AIB), it rarely causes tardy ulnar nerve palsy. * **Medial Condyle Humerus Fracture:** These are rare. While they could theoretically involve the ulnar nerve acutely, they do not typically result in the progressive valgus deformity required for "tardy" palsy. * **Posterior Dislocation of the Humerus:** This is an acute injury. While it may cause immediate nerve traction, it does not lead to a progressive 3-year valgus deformity. **3. High-Yield Clinical Pearls for NEET-PG:** * **Tardy Ulnar Nerve Palsy:** Most commonly follows non-union of the **Lateral Condyle**. * **Cubitus Varus:** Most common complication of Supracondylar fracture (due to malunion). * **Milch Classification:** Used for Lateral Condyle fractures. * **Treatment for Tardy Ulnar Nerve Palsy:** Anterior transposition of the ulnar nerve. * **Remember:** Valgus = Lateral condyle; Varus = Supracondylar.
Principles of Fracture Management
Practice Questions
Upper Limb Fractures
Practice Questions
Lower Limb Fractures
Practice Questions
Spinal Trauma
Practice Questions
Pelvic and Acetabular Fractures
Practice Questions
Open Fractures
Practice Questions
Fractures in Children
Practice Questions
Fracture Complications
Practice Questions
Nonunion and Malunion
Practice Questions
Polytrauma Management
Practice Questions
Joint Dislocations
Practice Questions
Soft Tissue Injuries
Practice Questions
Get full access to all questions, explanations, and performance tracking.
Start For Free