In a 70-year-old lady with an intracapsular fracture of the neck of femur, what is the ideal treatment?
Which of the following statements is not true regarding traction?
Meyer's procedure is a method for treatment of which of the following conditions?
A 5-year-old boy presents with a fracture in the shaft of the humerus. How will you exclude the involvement of the radial nerve?
Banka's lesion is seen at which anatomical location?
Inversion injury at the ankle can cause all of the following injuries except?
Which is the most commonly fractured carpal bone?
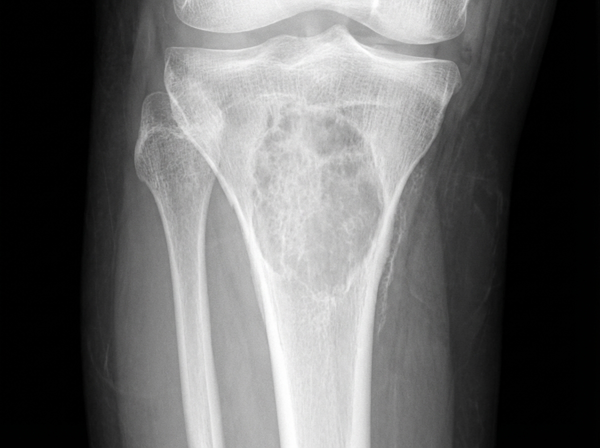
A 40-year-old female presented with severe pain in the left forearm and left ankle following trauma. She reported difficulty walking and swelling in her right upper leg. She also experienced ankle pain and painful ankle joint movements for approximately two years. Relevant abnormal biochemical parameters included: raised serum calcium (11.9 mg/dl), raised alkaline phosphatase (717 U/L), low inorganic phosphorus (1.3 mg/dl), and raised serum parathyroid hormone (1265 pg/l). Protein electrophoresis for M band was negative. An X-ray of the right leg is provided. What is the most likely diagnosis given the clinical presentation and biochemical findings?

A patient with anterior dislocation of the shoulder will most likely give a history of:
A 30-year-old male patient presents with breathlessness, irritability, and confusion. He has a history of a fracture of his right arm 3 days ago. On physical examination, a diffuse petechial rash is seen. Blood examination reveals thrombocytopenia. What is the most likely diagnosis for this patient?
Explanation: **Explanation:** The management of intracapsular femoral neck fractures is primarily determined by the **patient's age** and the **degree of displacement**. **Why Hemiarthroplasty is the correct choice:** In an elderly patient (70 years old), the primary concerns are the high risk of **Avascular Necrosis (AVN)** of the femoral head and **non-union**, due to the precarious retrograde blood supply (mainly the medial circumflex femoral artery). At this age, the goal is early mobilization to prevent complications of prolonged bed rest (like DVT or pneumonia). Hemiarthroplasty allows for immediate weight-bearing and avoids the high failure rates associated with internal fixation in osteoporotic bone. **Analysis of Incorrect Options:** * **A. Closed traction:** This is a temporary measures for pain relief or stabilization. It is never a definitive treatment for neck of femur fractures as it leads to malunion and complications of recumbency. * **C & D. Internal Fixation (Nail/Plate):** While internal fixation (e.g., Cannulated Cancellous Screws) is the treatment of choice for **young patients** (<60 years) to "save the head," it is avoided in the elderly due to poor bone quality and the high risk of re-operation if AVN develops. **High-Yield Clinical Pearls for NEET-PG:** 1. **Garden’s Classification:** Used for displacement. Garden I & II (undisplaced) may be treated with screws; Garden III & IV (displaced) in elderly require arthroplasty. 2. **Hemiarthroplasty vs. Total Hip Arthroplasty (THA):** If the patient is 70 and active/fit, **THA** is increasingly preferred over hemiarthroplasty to provide better long-term functional outcomes. However, in standard MCQ scenarios, Hemiarthroplasty remains the classic answer for the elderly. 3. **Pauwels’ Classification:** Based on the angle of the fracture line; higher angles (Type III) are more unstable and prone to non-union.
Explanation: ### Explanation The correct answer is **D** because the statement is technically incorrect in the context of standard skeletal traction. While K-wires are used in orthopaedics for fixation, they are generally **too thin and flexible** for skeletal traction; they tend to "cut through" the bone under heavy loads. Instead, **Steinmann pins** (which are thicker and more rigid) are the standard choice for skeletal traction. #### Analysis of Options: * **Option A (True):** Skeletal traction allows for greater weight and more direct control of the fracture fragments in femur fractures, leading to better stability compared to skin traction, which is limited by skin tolerance. * **Option B (True):** Skeletal traction can safely support significant weight, typically up to **15–20% (or up to 25%)** of the patient's body weight, whereas skin traction is limited to approximately 5–7 kg (about 10% of body weight) to prevent skin sloughing. * **Option C (True):** In pediatric patients, bones are softer and heal faster. Skin traction (like Bryant’s or Gallow’s traction) is often sufficient and avoids the risks of growth plate injury or infection associated with invasive pins. #### High-Yield Clinical Pearls for NEET-PG: * **Steinmann Pin:** The gold standard for skeletal traction. It can be "smooth" or "threaded." * **Common Sites for Skeletal Traction:** * **Distal Femur:** Pin is inserted from **medial to lateral** (to avoid injuring the femoral artery in Hunter’s canal). * **Proximal Tibia:** Pin is inserted from **lateral to medial** (to avoid the common peroneal nerve). * **Calcaneum:** Used for certain tibial fractures. * **Skin Traction Limit:** Never exceed **5–7 kg**; exceeding this risks "degloving" or pressure necrosis. * **Complication:** The most common complication of skeletal traction is **Pin Tract Infection**.
Explanation: **Explanation:** **Meyer’s procedure** is a muscle-pedicle bone grafting technique used specifically for the treatment of **Fracture Neck of Femur**. The primary challenge in femoral neck fractures is the precarious blood supply to the femoral head, which often leads to non-union or Avascular Necrosis (AVN). In this procedure, a piece of bone (usually from the posterior femoral neck or greater trochanter) is harvested along with its attachment to the **Quadratus femoris muscle**. This vascularized bone graft is then fixed across the fracture site to provide both mechanical stability and a continuous blood supply to promote healing. **Analysis of Incorrect Options:** * **Recurrent shoulder dislocation:** Common procedures include the **Bankart repair** (soft tissue) or the **Latarjet procedure** (coracoid process transfer). * **Habitual dislocation of patella:** Surgical options include the **Roux-Goldthwait procedure** (distal realignment) or the **Campbell’s procedure**. * **Congenital dislocation of hip (DDH):** Management involves the **Pemberton osteotomy**, **Salter’s osteotomy**, or **Pavlík harness** (non-surgical), depending on the age of the patient. **High-Yield Clinical Pearls for NEET-PG:** * **Muscle involved in Meyer’s:** Quadratus femoris (provides the vascular pedicle). * **Indications:** Usually reserved for young patients with displaced femoral neck fractures or cases of non-union where head preservation is desired. * **Other Bone Grafts in Orthopaedics:** * **Phemister Graft:** Onlay bone graft for non-union. * **Fibula Graft:** Often used for large segmental defects or AVN of the femoral head.
Explanation: The radial nerve is the most commonly injured nerve in fractures of the shaft of the humerus due to its close proximity to the bone in the **spiral groove**. ### Why Option B is Correct The radial nerve supplies the extensors of the wrist and fingers. Damage to this nerve results in **Wrist Drop** (inability to extend the wrist). Sensory-wise, the radial nerve provides cutaneous innervation to the **dorsal aspect of the first web space** (the area over the anatomical snuff box). Therefore, testing for wrist extension and sensation in the first web space is the clinical gold standard for assessing radial nerve integrity in humeral shaft fractures. ### Why Other Options are Incorrect * **Option A:** Describes **Musculocutaneous nerve** injury. Flexion of the forearm is primarily mediated by the Biceps brachii and Brachialis, while lateral forearm sensation is provided by the Lateral Cutaneous Nerve of the Forearm (a branch of the musculocutaneous). * **Option C:** Describes the action of the **Lumbricals**, which are primarily supplied by the **Ulnar nerve** (and partially the Median nerve). Loss of this function leads to "clawing." * **Option D:** Describes the function of the **Median nerve** (specifically the recurrent branch to the Thenar muscles). Inability to perform opposition is known as "Ape Thumb" deformity. ### High-Yield Clinical Pearls for NEET-PG * **Holstein-Lewis Fracture:** A spiral fracture of the distal 1/3rd of the humeral shaft specifically associated with radial nerve palsy. * **Most sensitive sign:** The earliest motor sign of radial nerve recovery is the return of function in the **Brachioradialis** muscle. * **Management:** Most radial nerve palsies associated with closed humeral fractures are neuropraxias and resolve spontaneously (90% recovery rate); hence, initial management is usually observation.
Explanation: ### Explanation **Bankart’s lesion** is a classic pathological finding associated with **recurrent anterior dislocation of the shoulder**. It involves an avulsion of the **anteroinferior portion of the glenoid labrum** from the underlying glenoid rim. This injury disrupts the primary static stabilizer of the shoulder, leading to chronic instability. #### Analysis of Options: * **Option B (Correct):** The lesion occurs at the **anterior (specifically anteroinferior) surface of the glenoid labrum**. In an anterior dislocation, the humeral head is forced forward, shearing the labrum off the glenoid bone. * **Option A:** The posterior surface of the glenoid labrum is involved in **Reverse Bankart lesions**, which are seen in posterior shoulder dislocations (common in seizures or electric shocks). * **Option C:** There is no common eponym for an anterior humeral head lesion in this context. * **Option D:** A compression fracture on the **posterosuperior aspect of the humeral head** is known as a **Hill-Sachs lesion**. It occurs when the humeral head strikes the sharp anterior edge of the glenoid during an anterior dislocation. #### Clinical Pearls for NEET-PG: * **Bony Bankart:** When the labral tear is accompanied by a fracture of the anterior glenoid rim. * **Hill-Sachs Lesion:** Often co-exists with a Bankart lesion; it is the "secondary" bony injury on the humerus. * **Gold Standard Investigation:** **MR Arthrography** is the investigation of choice to visualize labral tears. * **Treatment:** Recurrent cases usually require surgical repair, most commonly the **Bankart Repair** (reattaching the labrum) or the **Latarjet procedure** if significant bone loss is present.
Explanation: **Explanation:** Inversion injuries of the ankle occur when the foot rolls inward, placing sudden tension on the lateral structures and compression on the medial structures. **Why Option C is the correct answer:** The **Extensor Digitorum Brevis (EDB)** is a muscle located on the dorsum of the foot. While an inversion injury can cause an avulsion fracture at the EDB's origin on the calcaneus (often mistaken for an ankle sprain), the term "sprain" specifically refers to the stretching or tearing of **ligaments**, not muscles or tendons. Muscles undergo "strains." Therefore, "sprain of the EDB" is terminology-wise incorrect and clinically not a standard consequence of inversion compared to the other bony and ligamentous injuries listed. **Analysis of Incorrect Options:** * **A. Fracture of the tip of the lateral malleolus:** This is a classic result of inversion. The tension on the calcaneofibular or anterior talofibular ligaments leads to an **avulsion fracture** of the fibular tip. * **B. Fracture of the base of the 5th metatarsal:** Often called a **"Pseudo-Jones" fracture**, this occurs when the **Peroneus Brevis** tendon or the lateral band of the plantar fascia avulses the styloid process of the 5th metatarsal during sudden inversion. * **D. Fracture of the sustentaculum tali:** During severe inversion, the talus can rotate and exert significant compressive force against the medial side of the calcaneus, specifically the sustentaculum tali, leading to a fracture. **High-Yield Clinical Pearls for NEET-PG:** * **Most common ligament injured in inversion:** Anterior Talofibular Ligament (ATFL). * **Ottawa Ankle Rules:** Used to determine if an X-ray is required (tenderness at the posterior edge of malleoli, base of 5th metatarsal, or navicular). * **Snowboarder’s Fracture:** Fracture of the lateral process of the talus (often mimics a lateral ankle sprain).
Explanation: **Explanation:** The **scaphoid** is the most commonly fractured carpal bone, accounting for approximately 60–70% of all carpal fractures and 11% of all hand fractures. This high incidence is due to its anatomical position; it acts as a mechanical bridge between the proximal and distal carpal rows. The mechanism of injury is typically a **fall on an outstretched hand (FOOSH)** with the wrist in extension and radial deviation, which compresses the scaphoid against the radial styloid. **Analysis of Options:** * **Scaphoid (Correct):** Its unique "waist" is the most frequent site of fracture. Due to its retrograde blood supply (entering distally), fractures are prone to **avascular necrosis (AVN)** and non-union, especially in proximal pole fractures. * **Lunate:** While not the most commonly fractured, it is the **most commonly dislocated** carpal bone. Kienböck’s disease refers to AVN of the lunate. * **Hamate:** Fractures are rare and usually involve the "hook of the hamate," often seen in athletes (golfers or baseball players) due to direct trauma from a club or bat. * **Capitate:** This is the largest carpal bone and the center of the carpal arch; fractures are uncommon and usually occur in association with other complex carpal injuries (e.g., Fenton’s syndrome). **High-Yield Clinical Pearls for NEET-PG:** 1. **Clinical Sign:** Tenderness in the **Anatomical Snuffbox** is highly suggestive of a scaphoid fracture. 2. **Radiology:** Initial X-rays may be negative. If clinical suspicion persists, the wrist should be immobilized in a **thumb spica cast** and re-imaged after 10–14 days. 3. **Blood Supply:** The scaphoid receives its blood supply from the **radial artery** via the distal pole; hence, the more proximal the fracture, the higher the risk of AVN.
Explanation: ***Hyperparathyroidism*** • Classic biochemical triad of **hypercalcemia (11.9 mg/dl)**, **hypophosphatemia (1.3 mg/dl)**, and **elevated PTH (1265 pg/l)** confirms primary hyperparathyroidism. • **Elevated alkaline phosphatase (717 U/L)** indicates increased bone turnover, while fractures and bone pain suggest **osteitis fibrosa cystica** with possible **brown tumors**. *Multiple Myeloma* • Would typically show **positive M band** on protein electrophoresis and **lytic bone lesions** without sclerotic borders. • Usually presents with **normocalcemia** or **suppressed PTH** due to **PTH-related protein (PTHrP)** secretion, not elevated PTH. *Paget's Disease of Bone* • Characterized by **mixed lytic and sclerotic lesions** with **cortical thickening** and **bone deformity**. • Typically shows **normal calcium**, **normal or slightly elevated phosphorus**, and **normal PTH** with isolated **alkaline phosphatase elevation**. *Osteomalacia* • Usually presents with **low or normal calcium**, **low phosphorus**, and **elevated or normal PTH** as secondary response. • **Alkaline phosphatase** is typically **mildly elevated**, not markedly raised as seen in this case with bone resorption.
Explanation: **Explanation:** The shoulder (glenohumeral) joint is the most commonly dislocated joint in the body, with **anterior dislocation** accounting for over 95% of cases. **1. Why Abduction and External Rotation is Correct:** The mechanism of injury for an anterior dislocation typically involves a **forceful abduction, external rotation, and extension** of the arm (e.g., a basketball player blocking a shot or a fall on an outstretched hand). In this position, the humeral head is pushed forward against the relatively weak anterior capsule and glenohumeral ligaments, causing it to slip out of the glenoid fossa. **2. Analysis of Incorrect Options:** * **Internal Rotation (Options A & B):** Internal rotation is the hallmark mechanism and clinical presentation of **Posterior Dislocation**. Posterior dislocations are rare (2-5%) and are classically associated with seizures, electric shocks, or direct trauma to the front of the shoulder. * **Adduction (Options B & D):** Adduction is rarely a mechanism for dislocation. In anterior dislocation, the patient typically presents with the arm held in slight abduction and external rotation (the "dead arm" sign), unable to touch the opposite shoulder (Dugas Test). **3. NEET-PG High-Yield Clinical Pearls:** * **Most common type:** Subcoracoid (a subtype of anterior dislocation). * **Nerve Injury:** The **Axillary nerve** is most commonly injured (test sensation over the "regimental badge" area). * **Associated Lesions:** * **Bankart Lesion:** Avulsion of the anteroinferior glenoid labrum. * **Hill-Sachs Lesion:** Compression fracture of the posterolateral humeral head. * **Radiology:** The **"Light bulb sign"** is seen in posterior dislocation, not anterior. * **Reduction Techniques:** Kocher’s, Hippocratic, and Stimson methods are used for reduction.
Explanation: **Explanation:** The clinical presentation of **Fat Embolism Syndrome (FES)** is characterized by the classic **Gurd’s Triad**: respiratory distress (breathlessness), neurological symptoms (irritability, confusion), and a petechial rash. FES typically occurs 24–72 hours after a long bone or pelvic fracture (in this case, the humerus). The pathophysiology involves fat globules entering the systemic circulation from the bone marrow, causing mechanical obstruction and a biochemical inflammatory response. **Analysis of Options:** * **Fat Embolism Syndrome (Correct):** The timing (3 days post-fracture), the presence of a petechial rash (pathognomonic, usually seen on the chest, axilla, and conjunctiva), and the combination of pulmonary and cerebral symptoms make this the most likely diagnosis. Thrombocytopenia is a common laboratory finding due to platelet sequestration. * **Dengue:** While it causes thrombocytopenia and rash, it is typically associated with high-grade fever and retro-orbital pain, not a recent history of orthopedic trauma. * **Caisson Disease:** This refers to decompression sickness in divers. While it can cause gas emboli, the history of trauma specifically points toward fat emboli. * **Trousseau Syndrome:** This is a migratory thrombophlebitis associated with malignancy (usually pancreatic), not acute trauma. **High-Yield Clinical Pearls for NEET-PG:** * **Gurd’s Criteria:** Major criteria include petechial rash, respiratory insufficiency, and cerebral involvement. Minor criteria include tachycardia, fever, and thrombocytopenia. * **Snowstorm Appearance:** The characteristic finding on a Chest X-ray (diffuse bilateral pulmonary infiltrates). * **Treatment:** Primarily supportive (Oxygenation/Ventilation). Early stabilization and internal fixation of fractures are the best preventive measures. * **Free Fatty Acids:** The biochemical theory suggests that high levels of free fatty acids cause direct toxic injury to lung parenchyma.
Principles of Fracture Management
Practice Questions
Upper Limb Fractures
Practice Questions
Lower Limb Fractures
Practice Questions
Spinal Trauma
Practice Questions
Pelvic and Acetabular Fractures
Practice Questions
Open Fractures
Practice Questions
Fractures in Children
Practice Questions
Fracture Complications
Practice Questions
Nonunion and Malunion
Practice Questions
Polytrauma Management
Practice Questions
Joint Dislocations
Practice Questions
Soft Tissue Injuries
Practice Questions
Get full access to all questions, explanations, and performance tracking.
Start For Free