Lumbar canal stenosis typically presents as?
Disc herniation between L4 and L5 involves which nerve root?
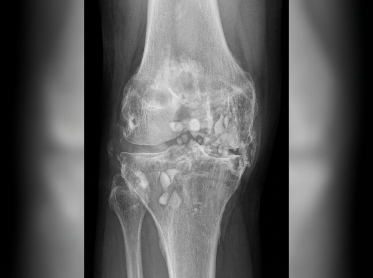
Examine the provided knee X-ray carefully. What is the most likely diagnosis?

The following X-ray shows a 13-year-old child presenting with difficulty in breathing and gradually developing respiratory compromise. What is the diagnosis?

What is the most common tumor of the spine?
Needle-shaped crystals that are negatively birefringent on polarized microscopy are characteristic of which crystal-associated arthropathy?
A 40-year-old male presented with chronic back pain for 5 years. He was referred to an orthopedician after taking unspecified medications in his village. Imaging revealed an abnormality of the spine. Which of the following structures are primarily responsible for this abnormality?

What is the most important single special investigation in lumbar disc prolapse?
A Clay Shoveler's fracture involves which part of the vertebra?
What is the commonest cause of spinal cord injuries in India?
Explanation: **Explanation:** **Lumbar Canal Stenosis (LCS)** is a clinical syndrome caused by the narrowing of the spinal canal, nerve root canals, or intervertebral foramina. This narrowing leads to the compression of the cauda equina and spinal nerve roots. **Why Claudication is the Correct Answer:** The hallmark clinical presentation of LCS is **Neurogenic Claudication** (also known as pseudoclaudication). Patients experience pain, heaviness, or paresthesia in the lower limbs that is triggered by walking or prolonged standing. * **Mechanism:** Extension of the spine (standing/walking) further narrows the canal space and compresses the venous outflow, leading to congestion and ischemia of the nerve roots. * **Relief:** Symptoms are characteristically relieved by leaning forward (e.g., "Shopping Cart Sign") or sitting, as spinal flexion increases the cross-sectional area of the canal. **Analysis of Incorrect Options:** * **B & C (Scoliotic/Kyphotic Deformity):** While degenerative changes can lead to adult-onset scoliosis, these are structural deformities and not the typical *presenting symptom* of stenosis. * **D (Radiculopathy):** While radiculopathy (sharp, dermatomal pain) can occur if a specific nerve root is compressed by a lateral disc herniation, LCS typically presents with diffuse, bilateral claudication rather than isolated radicular pain. **High-Yield Clinical Pearls for NEET-PG:** * **Most common cause:** Degenerative changes (Hypertrophy of **Ligamentum Flavum**, facet joint arthropathy, and disc bulging). * **Neurogenic vs. Vascular Claudication:** * *Neurogenic:* Relieved by sitting/flexion; pedal pulses are normal. * *Vascular:* Relieved by simply stopping/standing still; pedal pulses are often absent. * **Investigation of Choice:** MRI Spine (shows "trefoil" shape of the canal). * **Management:** Initial treatment is conservative; surgery (**Decompressive Laminectomy**) is indicated if symptoms are severe or progressive.
Explanation: In the lumbar spine, the nerve roots exit the spinal canal **below** their corresponding vertebrae (e.g., the L4 nerve root exits through the L4-L5 neural foramen). However, due to the anatomy of the lumbar disc space, a **posterolateral disc herniation** (the most common type) typically affects the **traversing nerve root** rather than the exiting one. ### 1. Why L5 is Correct At the **L4-L5 level**, the L4 nerve root has already exited the canal above the disc. The **L5 nerve root** is currently traversing the L4-L5 disc space to reach its exit point below the L5 vertebra. Therefore, a standard posterolateral herniation at L4-L5 compresses the **L5 nerve root**. ### 2. Why Other Options are Incorrect * **L2 & L3 (Options A & B):** These roots exit at much higher levels (L2-L3 and L3-L4 respectively). They would only be involved in herniations at those specific higher levels. * **L4 (Option C):** While the L4 root is anatomically near the L4-L5 disc, it exits via the superior portion of the foramen. It is usually only compressed by a **far lateral (extraforaminal) disc herniation**, which is much less common than a posterolateral one. ### 3. Clinical Pearls for NEET-PG * **The "N+1" Rule:** In the lumbar spine, a posterolateral disc herniation at level **L(X)-L(Y)** affects the **L(Y)** nerve root. * **Cervical Spine Exception:** In the cervical spine, the nerve roots exit **above** the corresponding vertebrae. A C5-C6 herniation affects the **C6** root. * **L5 Root Findings:** Compression leads to weakness in **Great Toe Extension (EHL)** and foot dorsiflexion, with sensory loss over the first dorsal web space. * **Schmorl’s Node:** Protrusion of the nucleus pulposus into the vertebral body (vertical herniation).
Explanation: ***Charcot's disease*** - Shows the classic **5 D's** on X-ray: **Destruction** of joint surfaces, **Disorganization** of normal anatomy, **Density** increase with sclerosis, **Debris** (loose bodies), and **Dislocation** or subluxation - Characterized by **neuropathic arthropathy** with loss of protective sensation leading to progressive joint destruction and **increased bone density** around the affected joint *Tuberculosis (TB)* - X-ray shows **periarticular osteoporosis** and **Phemister triad** (juxta-articular osteoporosis, peripheral erosions, gradual joint space narrowing) - Typically presents with **soft tissue swelling** and **erosive changes** without the sclerosis and debris seen in Charcot's disease *Gout* - X-ray demonstrates **punched-out erosions** with **overhanging edges** and **tophi** calcifications - **Joint space is preserved** in early stages, unlike the destructive changes with increased density seen in neuropathic arthropathy *Rheumatoid arthritis (RA)* - Shows **periarticular osteoporosis**, **joint space narrowing**, and **marginal erosions** without sclerosis - Characterized by **symmetrical involvement** and **absence of increased bone density** or debris formation typical of Charcot's disease
Explanation: ***Kyphoscoliosis*** - **Severe spinal curvature** in both sagittal (kyphosis) and coronal (scoliosis) planes causes **thoracic cage deformity**, restricting lung expansion and causing respiratory compromise. - X-ray shows **combined anterior angulation and lateral curvature** of the spine, leading to reduced **pulmonary function** and **restrictive lung disease**. *Lordosis* - **Excessive inward curvature** of the lumbar spine does not typically cause **respiratory compromise** or breathing difficulties. - Primarily affects **lower back posture** and does not significantly impact **thoracic cavity** dimensions or lung function. *Scheuermann's Disease* - Characterized by **wedge-shaped vertebrae** causing thoracic kyphosis, but typically **mild to moderate** and rarely causes severe respiratory compromise. - Usually presents with **back pain** and **postural changes** rather than acute breathing difficulties in adolescents. *Koch's Spine* - **Tuberculous spondylitis** presents with **vertebral destruction**, **abscess formation**, and **neurological deficits** rather than primary respiratory symptoms. - X-ray would show **vertebral collapse**, **disc space narrowing**, and possible **paravertebral abscess**, not the characteristic curved deformity causing thoracic restriction.
Explanation: **Explanation:** **1. Why "Secondaries (Metastases)" is correct:** Metastatic disease is the **most common tumor of the spine** overall. The spine is the most frequent site for skeletal metastasis due to its high content of red bone marrow and the presence of the **Batson venous plexus** (a valveless system that allows retrograde spread of tumor cells from the pelvic and abdominal organs). The most common primary sources are cancers of the breast, lung, prostate, kidney, and thyroid (Mnemonic: **BLP**u**KT**). **2. Why the other options are incorrect:** * **Multiple Myeloma:** This is the most common **primary malignant** tumor of the bone/spine in adults. However, when considering all tumors (primary + secondary), metastases are far more frequent. * **Ewing’s Sarcoma:** This is a primary malignant bone tumor typically seen in children and adolescents. While it can involve the spine, it is much rarer than metastatic disease. * **Osteosarcoma:** This is the most common primary malignant bone tumor in young adults, but it predominantly affects the metaphysis of long bones (e.g., distal femur). Spinal involvement is rare. **Clinical Pearls for NEET-PG:** * **Most common primary benign tumor of the spine:** Hemangioma (often shows a "corduroy cloth" or "jail-bar" appearance on X-ray). * **Most common primary malignant tumor of the spine:** Multiple Myeloma. * **Earliest sign of spinal metastasis on X-ray:** Loss of the pedicle shadow (**"Winking Owl Sign"**). * **Investigation of choice:** MRI is the most sensitive for early detection; Bone Scan (Technetium-99m) is used for screening the whole body (except in Multiple Myeloma, where it is often negative).
Explanation: **Explanation:** The correct answer is **Gout**. This condition is a crystal-induced arthropathy caused by the deposition of **Monosodium Urate (MSU)** crystals in joints and soft tissues. Under polarized light microscopy, MSU crystals are characteristically **needle-shaped** and exhibit **strong negative birefringence**. This means that when the crystals are aligned parallel to the axis of the compensator filter, they appear yellow; when perpendicular, they appear blue. **Analysis of Options:** * **Pseudogout (Calcium Pyrophosphate Deposition Disease - CPPD):** These crystals are **rhomboid or brick-shaped** and show **weak positive birefringence** (appearing blue when parallel to the compensator). * **Neuropathic Arthropathy (Charcot Joint):** This is a progressive joint destruction resulting from a loss of pain sensation and proprioception (commonly due to Diabetes or Syphilis). It is not caused by crystal deposition. * **Hemophilic Arthropathy:** This results from recurrent intra-articular bleeding (hemartherosis) leading to synovial hypertrophy and cartilage destruction. It is characterized by **hemosiderin** deposits, not crystals. **High-Yield Pearls for NEET-PG:** * **Gold Standard Diagnosis:** Identification of crystals in synovial fluid via polarized microscopy. * **Radiology:** Look for "punched-out" erosions with overhanging edges (**Martel’s sign**). * **Acute Management:** NSAIDs (first-line), Colchicine, or Corticosteroids. * **Chronic Management:** Allopurinol or Febuxostat (Xanthine oxidase inhibitors). * **Spine Involvement:** While rare, gout can affect the axial skeleton, mimicking discitis or spinal stenosis.
Explanation: ***Ventral sclerotome*** - The **ventral sclerotome** gives rise to the **vertebral bodies (centrum)** and **intervertebral discs**, which form the anterior column of the spine. - Chronic back pain with spinal imaging abnormalities typically involves **degenerative changes** in vertebral bodies or disc pathology, structures derived from ventral sclerotome. *Dorsal sclerotome* - The **dorsal sclerotome** forms the **neural arches** and **posterior elements** (pedicles, laminae, spinous processes) of vertebrae. - While important for spinal stability, chronic back pain imaging abnormalities more commonly involve **anterior column structures** rather than posterior elements. *Lateral sclerotome* - The **lateral sclerotome** gives rise to the **costal processes** and contributes to **rib formation** in thoracic vertebrae. - This structure is not primarily involved in typical **spinal degenerative changes** that cause chronic back pain. *Myotome* - **Myotomes** develop into the **skeletal muscles** of the back and trunk, not bony or cartilaginous spinal structures. - While muscle dysfunction can cause back pain, the question specifically mentions **imaging abnormalities of the spine**, indicating structural vertebral pathology.
Explanation: **Explanation:** **Magnetic Resonance Imaging (MRI)** is the gold standard and the most important investigation for lumbar disc prolapse. Its superiority lies in its exceptional **soft-tissue contrast resolution**, which allows for direct visualization of the intervertebral disc, the spinal cord, theca, and nerve roots. It can accurately identify the level, side, and type of herniation (protrusion, extrusion, or sequestration) without exposing the patient to ionizing radiation. **Analysis of Incorrect Options:** * **Epidurography (A):** This involves injecting contrast into the epidural space. It is an outdated technique with low sensitivity and specificity compared to modern imaging and is rarely used in clinical practice today. * **Myelography (B):** This involves injecting contrast into the subarachnoid space followed by X-rays. While it shows "filling defects" caused by a disc, it is invasive, carries risks like post-spinal headache, and cannot visualize the disc material itself—only its effect on the thecal sac. * **Discography (D):** This involves injecting contrast directly into the nucleus pulposus. It is primarily used to identify a "pain-generating disc" (provocative discography) rather than to diagnose a simple prolapse. It is not a first-line investigation. **Clinical Pearls for NEET-PG:** * **Investigation of Choice:** MRI. * **Best Screening Tool:** MRI. * **Most sensitive for Bone Anatomy:** CT scan (useful for lateral recess stenosis or calcified discs). * **Gold Standard for Nerve Root Compression:** MRI. * **Red Flags:** If a patient presents with "Cauda Equina Syndrome" (saddle anesthesia, bladder/bowel dysfunction), an **urgent MRI** is the immediate next step.
Explanation: **Explanation:** **Clay Shoveler’s fracture** is a classic stress or avulsion fracture of the **spinous process**. It most commonly involves the **C7** vertebra, followed by C6 and T1. 1. **Why the Spinous Process is Correct:** The injury occurs due to sudden, forceful contraction of the trapezius and rhomboid muscles or sudden deceleration of the head (as seen in motor vehicle accidents). Historically, it was seen in laborers (clay shovelers) who threw heavy loads of soil over their shoulders; the heavy weight caused the muscles to pull forcefully on the spinous process, leading to an avulsion fracture. On a lateral X-ray, this appears as a downward-displaced fragment of the spinous process (the "ghost sign" on AP view). 2. **Why Other Options are Incorrect:** * **Lamina:** Fractures here are usually associated with burst fractures or direct trauma and are not characteristic of the Clay Shoveler’s mechanism. * **Pedicle:** Pedicle fractures are typically seen in Hangman’s fracture (C2) or high-energy spinal trauma. * **Body:** Compression or burst fractures involve the vertebral body, often due to axial loading, whereas Clay Shoveler’s is an isolated posterior element injury. **High-Yield Clinical Pearls for NEET-PG:** * **Stability:** It is considered a **stable** fracture because it does not involve the spinal canal or the weight-bearing column. * **Most Common Level:** C7 (the most prominent spinous process). * **Mechanism:** Avulsion by the trapezius/rhomboids or hyperflexion injury. * **Management:** Conservative treatment with analgesics and a soft collar; surgery is rarely required.
Explanation: **Explanation:** The epidemiology of spinal cord injuries (SCI) varies significantly based on geography and socioeconomic factors. In the context of India, **Fall from a height (Option B)** remains the leading cause of spinal cord injuries. This is primarily attributed to the high prevalence of falls from trees (e.g., coconut or palm trees in rural areas), falls from unprotected rooftops or balconies, and falls from electric poles or construction sites. * **Why Option B is Correct:** Epidemiological studies across major Indian tertiary care centers consistently show that falls from height account for approximately 45–50% of all SCIs, surpassing vehicular accidents. The most common site of injury in these cases is the **thoracolumbar junction (T12-L1)**, often resulting from axial loading. * **Why Option A is Incorrect:** While **Road Traffic Accidents (RTA)** are the leading cause of SCI in developed Western nations (like the USA), they currently rank as the second most common cause in India. * **Why Options C and D are Incorrect:** **Fall into a well** and **House collapse** are recognized causes of SCI in specific rural or disaster settings, but their overall statistical contribution is significantly lower than general falls or RTAs. **High-Yield Clinical Pearls for NEET-PG:** * **Most common site of spinal fracture:** Thoracolumbar junction (T12-L1) because it is the transition zone between the rigid thoracic spine and mobile lumbar spine. * **Most common level of cervical cord injury:** C5-C6. * **Initial Management:** The "Log Roll" technique is used to maintain spinal alignment during transport. * **Methylprednisolone:** While controversial, the NASCIS trials previously suggested its use within 8 hours of injury, though current guidelines prioritize surgical decompression and hemodynamic stability.
Cervical Spine Disorders
Practice Questions
Thoracic Spine Disorders
Practice Questions
Lumbar Spine Disorders
Practice Questions
Intervertebral Disc Disease
Practice Questions
Spinal Stenosis
Practice Questions
Spondylolisthesis
Practice Questions
Spinal Deformities
Practice Questions
Spinal Infections
Practice Questions
Spinal Tumors
Practice Questions
Spinal Cord Injuries
Practice Questions
Minimally Invasive Spine Surgery
Practice Questions
Rehabilitation of Spine Conditions
Practice Questions
Get full access to all questions, explanations, and performance tracking.
Start For Free