What is the most common site of a primary spinal tumor?
In actinomycosis of the spine, the abscess usually erodes:
Pott's spine is commonest at which spinal region?
Sacro-iliac joint involvement is common in which condition?
Which of the following spine deformities is seen in the image?

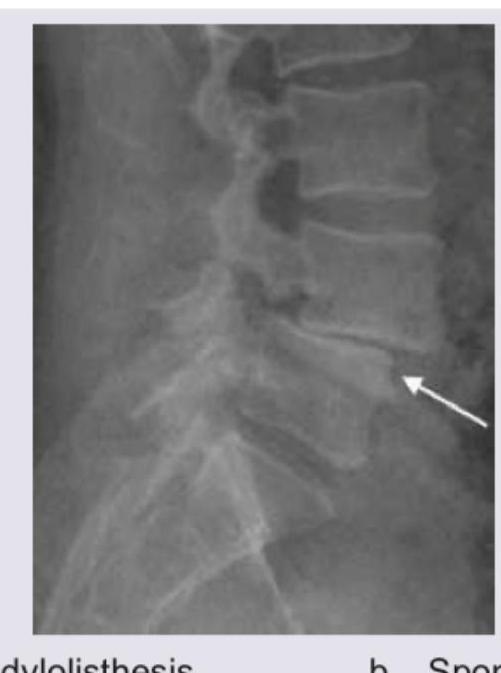
What is the likely diagnosis?

The following test is used to evaluate lumbar disc herniation at which level?

A 40-year-old construction worker presents with pain in the arm on lifting weights. The following test and X-ray of neck was performed. Which is correct about this patient?

Hangman's fracture is
Identify the condition shown in the image:

Explanation: ### Explanation Spinal tumors are classified based on their anatomical relationship to the **dura mater** and the **spinal cord parenchyma**. **1. Why Intradural-Extramedullary is the Correct Answer:** Primary spinal tumors (originating from the spine rather than metastasizing to it) are most frequently found in the **intradural-extramedullary** compartment. This space lies inside the dura but outside the spinal cord itself. The two most common primary spinal tumors—**Schwannomas** (nerve sheath tumors) and **Meningiomas**—both occur in this location. Together, they account for approximately 55-60% of all primary spinal neoplasms. **2. Analysis of Incorrect Options:** * **Intramedullary (B & D):** These tumors arise within the substance of the spinal cord (e.g., Ependymomas, Gliomas). They are the least common type, accounting for only about 5-10% of spinal tumors. "Intra-axial" is a term more commonly used in brain imaging but refers to the same concept. * **Extradural (A):** This space lies outside the dura. While this is the most common site for **metastatic** spinal disease (secondary tumors), it is less common for **primary** tumors compared to the intradural-extramedullary space. **3. NEET-PG High-Yield Clinical Pearls:** * **Most common primary spinal tumor overall:** Schwannoma (Intradural-extramedullary). * **Most common intramedullary tumor in adults:** Ependymoma. * **Most common intramedullary tumor in children:** Astrocytoma. * **Metastatic disease:** Always the most common cause of **extradural** spinal masses (usually from lung, breast, or prostate). * **Radiological Sign:** Schwannomas often present with a "dumb-bell" shape as they exit the neural foramina.
Explanation: **Explanation:** Actinomycosis is a chronic granulomatous infection caused by *Actinomyces israelii*, an anaerobic, Gram-positive commensal. Unlike Tuberculosis (Pott’s disease), which primarily targets the intervertebral disc and vertebral bodies, Actinomycosis is characterized by its **indolent nature and its tendency to disregard anatomical boundaries.** **Why Skin is Correct:** The hallmark of Actinomycosis is the formation of multiple **burrowing abscesses and chronic discharging sinuses** that track through tissues to reach the surface. In spinal involvement, the infection typically spreads from the cervicofacial or thoracic regions, eventually eroding through the soft tissues to the **Skin**, where it discharges characteristic "sulfur granules." **Why other options are incorrect:** * **Intervertebral Disc:** Actinomycosis is unique because it **spares the intervertebral disc**. This is a key radiological differentiator from Pyogenic or Tuberculous spondylitis, where disc destruction is early and prominent. * **Pleural Cavity & Retroperitoneal Space:** While the infection can involve these areas via direct extension (thoracic or abdominal actinomycosis), it does not typically "erode" into them as a terminal path; rather, it tends to penetrate through them to reach the cutaneous surface. **High-Yield Clinical Pearls for NEET-PG:** * **Sulfur Granules:** These are yellow-colored clumps of organisms found in the pus; they are diagnostic. * **Radiology:** Shows a "honeycomb" appearance of the vertebrae with dense sclerosis. * **Treatment:** High-dose **Penicillin G** for a prolonged period (6–12 months) is the treatment of choice. * **Key Differentiator:** If a question mentions spinal infection with **disc preservation and multiple discharging sinuses**, think Actinomycosis.
Explanation: **Explanation:** **Pott’s Spine (Tuberculous Spondylitis)** is the most common form of extrapulmonary tuberculosis. The correct answer is **Thoracolumbar (Option A)** because this region (T12–L1) represents the transition zone between the relatively fixed thoracic spine and the mobile lumbar spine. This area experiences significant mechanical stress and has a rich vascular supply (Batson’s venous plexus), which facilitates the hematogenous spread of *Mycobacterium tuberculosis* from a primary focus (usually the lungs). **Analysis of Options:** * **Thoracolumbar (Correct):** Statistically, the lower thoracic and upper lumbar vertebrae are the most frequent sites of involvement. * **Sacral (Incorrect):** This is the least common site for Pott’s spine due to the fused nature of the vertebrae and different vascular dynamics. * **Cervical (Incorrect):** While dangerous due to the risk of early quadriplegia and respiratory compromise (Retropharyngeal abscess), it accounts for only about 5–10% of cases. * **Lumbosacral (Incorrect):** Though more common than cervical or sacral involvement, it is less frequent than the primary thoracolumbar junction. **High-Yield Clinical Pearls for NEET-PG:** * **Initial Site of Infection:** Usually the **paradiscal** region (anterior part of the vertebral body near the disc). * **Earliest Sign on X-ray:** Narrowing of the joint space (intervertebral disc space). * **Deformity:** Characterized by **Gibbus** (acute kyphosis) due to anterior wedging and collapse of vertebrae. * **Cold Abscess:** A hallmark feature where pus tracks along tissue planes (e.g., Psoas abscess) without typical signs of inflammation (heat/redness). * **Neurological Deficit:** Pott’s paraplegia is most common in the thoracic region due to the narrow spinal canal.
Explanation: **Explanation:** **Ankylosing Spondylitis (AS)** is the correct answer because it is the prototypical seronegative spondyloarthropathy. The hallmark of AS is **bilateral, symmetrical sacroiliitis**, which is often the earliest clinical and radiological manifestation of the disease. It typically affects young males (HLA-B27 positive) and progresses to involve the entire spine, leading to the characteristic "Bamboo spine" appearance. **Analysis of Incorrect Options:** * **Rheumatoid Arthritis (RA):** This is a systemic inflammatory disease that primarily targets the small joints of the hands and feet (PIP and MCP joints). It characteristically **spares the sacroiliac joints** and the thoracolumbar spine, though it may involve the cervical spine (atlanto-axial subluxation). * **Reiter’s Syndrome (Reactive Arthritis):** While this is also a seronegative spondyloarthropathy that can involve the SI joint, the involvement is typically **asymmetric** and less frequent compared to the universal, symmetric involvement seen in AS. * **Osteoarthritis (OA):** This is a degenerative "wear and tear" disease. While it can affect the SI joint in elderly patients, it is not a primary or defining feature of the condition, which more commonly targets weight-bearing joints like the knees and hips. **Clinical Pearls for NEET-PG:** * **Schober’s Test:** Used to assess restricted lumbar flexion in AS. * **Radiological Signs:** Look for "Dagger sign" (ossification of supraspinous ligaments) and "Romanus lesions" (shiny corners of vertebrae). * **First-line Treatment:** NSAIDs are the mainstay for pain and stiffness; TNF-alpha inhibitors are used for refractory cases. * **Extra-articular manifestation:** The most common is **Acute Anterior Uveitis**.
Explanation: ***Gibbus*** - A **gibbus deformity** is a sharply angular posterior projection of a vertebral segment, caused by the collapse of one or more vertebral bodies. - Most commonly due to **Pott's disease (spinal tuberculosis)**, where vertebral body destruction leads to a focal, acute-angle hump. - The image clearly shows a **localized, sharp posterior angulation** in the thoracic spine, which is characteristic of a gibbus. *Kyphosis* - **Kyphosis** refers to an exaggerated **posterior curvature** of the thoracic spine, producing a "rounded back." - While a gibbus is technically a severe form of kyphosis, kyphosis alone describes a more **generalized, smooth curve** — not the focal, angular hump seen in the image. *Lordosis* - **Lordosis** describes an **anterior (forward) curvature** of the lumbar spine, often called "swayback." - This is not seen in the image, which displays a prominent **posterior** projection, not an anterior one. *Scoliosis* - **Scoliosis** is a **lateral (side-to-side) curvature** of the spine, seen as a deviation when viewed from behind. - The image shows a deformity in the **sagittal plane** (anterior-posterior), not the coronal plane, ruling out scoliosis.
Explanation: ***Spondylolisthesis*** - The image shows a **forward slip** of one vertebral body over another, specifically at the L5-S1 level, which is the hallmark of spondylolisthesis. - The white arrow points to the area where the superior vertebra has translated anteriorly on the inferior one, indicative of this condition. *Spondylosis* - Spondylosis refers to **degenerative changes** in the spinal column, such as **osteophytes** (bone spurs) and **disc space narrowing**. - While some degenerative changes might be present, the primary and most striking finding visible is the displacement of the vertebral body, not just degenerative changes. *Compression fracture* - A compression fracture would typically present as a **wedging deformity** or a significant **reduction in the height** of the vertebral body. - The image does not show a loss of vertebral height or a clear fracture line within the vertebral body itself, but rather a displacement. *Osteoporosis* - Osteoporosis is a systemic condition characterized by **reduced bone density**, making bones fragile and prone to fractures. - While it can predispose to compression fractures, the radiographic finding in the image is not primarily about bone density or a typical osteoporotic fracture, but rather a **vertebral slip**.
Explanation: ***L4-L5*** - The image shows the **straight leg raise test**, a common maneuver to evaluate **lumbosacral nerve root compression**, especially due to disc herniation. - A positive straight leg raise test (pain radiating down the leg when raised between 30 and 70 degrees) is most commonly associated with herniation at the **L4-L5 or L5-S1 levels**, affecting the L5 or S1 nerve roots respectively. Given common prevalence, L4-L5 is a very frequent site. *L2-L3* - Herniation at the L2-L3 level typically compresses the **L3 nerve root**, which is primarily associated with the **femoral stretch test**, not the straight leg raise test. - Symptoms would usually include pain in the anterior thigh and weakness in quadriceps, rather than radiating down the back of the leg. *L3-L4* - This level corresponds to compression of the **L4 nerve root**, which is also better evaluated with the **femoral stretch test** in conjunction with quadriceps weakness and loss of patellar reflex. - While it can cause anterior thigh pain, a positive straight leg raise is less specific for this level. *L5-S1* - Herniation at the L5-S1 level affects the **S1 nerve root**, and a positive straight leg raise test is indeed indicative of this. - However, L4-L5 is also a very common site, and without additional clinical details (e.g., specific dermatome/myotome deficits like foot drop for L5 or Achilles reflex loss for S1), it's difficult to exclusively pinpoint S1. In many contexts, L4-L5 is presented as a primary target.
Explanation: ***Elevated arm stress test: Cervical rib*** - The image shows a patient performing the **Elevated Arm Stress Test (EAST)**, or Roos Test, which places tension on the neurovascular structures in the thoracic outlet. The X-ray image reveals the presence of a **cervical rib** (indicated by the arrow), a common cause of **thoracic outlet syndrome (TOS)**. - The patient's symptom of **pain in the arm on lifting weights** is consistent with **neurovascular compression** due to a cervical rib, which is often exacerbated by arm elevation. *Adson test: Cervical rib* - The **Adson test** involves palpating the radial pulse while the patient extends, externally rotates the arm, and turns their head toward the ipsilateral arm and inhales. This maneuver compresses the **subclavian artery** by the anterior and middle scalene muscles, not the position shown. - While a cervical rib can cause a positive Adson test, the maneuver depicted in the image is not the Adson test. *Falconer test: Spinal canal stenosis* - The **Falconer test** is not a standard or widely recognized orthopedic special test. - **Spinal canal stenosis** typically presents with different symptoms, such as **neurogenic claudication** or myelopathy, and is assessed with specific neurological examination techniques and imaging (MRI), not the maneuver shown. *Allen test: Fracture of first rib* - The **Allen test** is used to assess **patency of the radial and ulnar arteries** in the hand, and involves compressing both arteries and observing capillary refill. It is not performed as shown in the picture. - A **fracture of the first rib** might cause pain, but the Allen test is not used to diagnose a rib fracture.
Explanation: ***traumatic spondylolisthesis of axis vertebra (C2)*** - A Hangman's fracture is a specific type of **traumatic spondylolisthesis** involving the **C2 (axis) vertebra**. - It results from bilateral fractures of the **pars interarticularis** of C2, often due to hyperextension and distractive forces. *traumatic spondylolisthesis of atlas vertebra (C1)* - A fracture of the atlas (C1) is typically called a **Jefferson fracture**, not a Hangman's fracture. - A Jefferson fracture usually involves ruptures of facets or arches, often caused by **axial loading**. *traumatic spondylolisthesis of lumbar vertebra (L1)* - **Spondylolisthesis** can occur in the lumbar spine, but it most commonly affects L5-S1 or L4-L5, and is usually a **fatigue fracture** not a traumatic spondylolisthesis. - Fractures in the lumbar region have different causes and clinical implications than cervical fractures, and are not termed a Hangman's fracture. *traumatic spondylolisthesis of thoracic vertebra (T1)* - While traumatic spine fractures can occur in the **thoracic spine**, spondylolisthesis is much less common due to the rib cage's stabilizing effect. - Fractures in this region are distinctly different from the characteristic C2 pars interarticularis fracture of a Hangman's fracture.
Explanation: ***Spondylolysis*** * The image shows a **break in the pars interarticularis** of a vertebra, indicated by the arrow, which is characteristic of spondylolysis. * This condition is a **stress fracture** or defect in the pars interarticularis, a bony segment connecting the superior and inferior articular facets. *Renal osteodystrophy* * Renal osteodystrophy refers to a spectrum of **bone abnormalities** that occur in chronic kidney disease, not a specific vertebral fracture pattern. * It typically involves features such as **osteomalacia**, **osteitis fibrosa cystica**, or **osteoporosis**, which are not directly depicted as a fracture in this image. *Spondylolisthesis* * Spondylolisthesis is the **anterior slippage** of one vertebral body over another, which can be caused by bilateral spondylolysis but is not directly shown as a slip in this specific image. * The image distinctly highlights the **fracture line** itself, rather than the displacement of the vertebral body. *Tuberculosis (TB)* * Spinal tuberculosis (Pott's disease) typically presents with **destruction of vertebral bodies**, disc space narrowing, and often a **paravertebral abscess**. * The image does not show these features; instead, it demonstrates a clear **bony defect** in the pars interarticularis.
Cervical Spine Disorders
Practice Questions
Thoracic Spine Disorders
Practice Questions
Lumbar Spine Disorders
Practice Questions
Intervertebral Disc Disease
Practice Questions
Spinal Stenosis
Practice Questions
Spondylolisthesis
Practice Questions
Spinal Deformities
Practice Questions
Spinal Infections
Practice Questions
Spinal Tumors
Practice Questions
Spinal Cord Injuries
Practice Questions
Minimally Invasive Spine Surgery
Practice Questions
Rehabilitation of Spine Conditions
Practice Questions
Get full access to all questions, explanations, and performance tracking.
Start For Free