Enter your email to get your 85% OFF code and unlock the full NEET PG question bank on the app.
Which of the following is not a differential diagnosis of non-accidental injury?
Which is the most common elbow fracture in children?
Which of the following is false regarding clavicle?
A 14-year-old presents with knee pain and limping. X-ray shows widened irregular growth plate at distal femur. What is the diagnosis?

Which of the following is NOT a common fracture in children?
In a radiograph of suspected non-accidental injury, which of the following fractures is LEAST specific for child abuse?
Fracture of the femur in young children (2-5 years) is typically treated by:
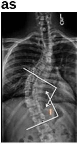
What is the angle shown in the image known as?

A 4-year-old child while playing suddenly had his elbow pulled by his servant maid's hand and is now continuously crying, not allowing anyone to touch his elbow. He is keeping his elbow extended. What is the most likely diagnosis?
4 year old child presented to the clinic with a history of fall on outstretched hand. Radiographs revealed a broken anterior cortex with an intact posterior cortex of the radius with an exaggerated bowing of the radius. The fracture sustained is known as -
Get full access to all questions, explanations, and performance tracking.
Scan to download app