A dental surgeon appointed in a rural health centre reports an increased incidence of dental caries in the people of that area. Research team confirmed that water supply of that area is deficient in
A 7-year-old child has a yellowish discoloured spot on the maxillary central incisor. His mother presents a history of injury to deciduous tooth 3 years back with recurrent infections & swelling. The diagnosis is
The primary mechanism of action of fluoride on topical application is
A non-vital asymptomatic tooth with a deep carious lesion shows radio-opacity at the apex is possibly:
Aortic calcification is diagnosed on fluoroscopy by identifying:
In assessing community fluorosis, which age group should be examined?
Which of the following electrolyte imbalances is least likely to be observed in Chronic Renal Failure (CRF)?
The recommended concentration of fluoride in a community water supply is:
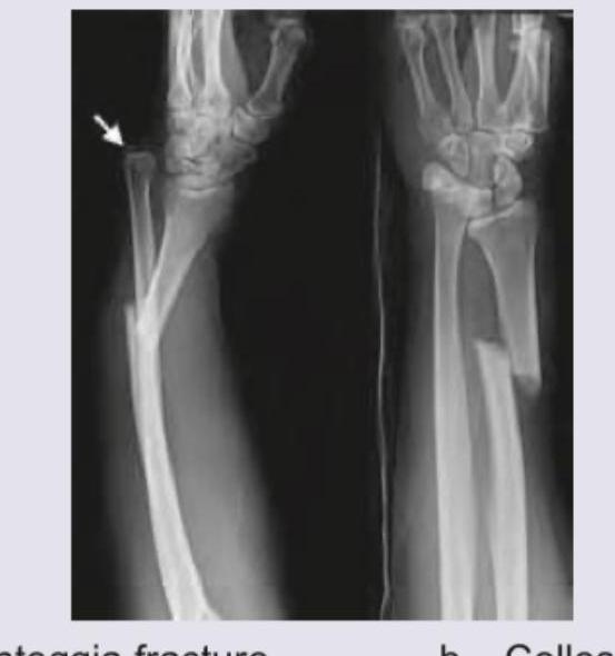
A child presented with pain in the forearm following a trauma. An AP and lateral X-ray of the forearm reveal the findings as shown. What is the most likely diagnosis? (Recent NEET Pattern 2016-17)

A 45-year-old man presents with back pain and facial pain. Physical examination reveals coarse facial features and kyphosis. Laboratory examination shows elevated alkaline phosphatase. Radiographic studies demonstrate skull thickening with narrowing of foramina, and bowing of the femur and tibia. Bone biopsy reveals a mosaic pattern of bone spicules with prominent osteoid seams. Which of the following neoplasms occurs with increased frequency in patients with this disorder?
Explanation: ***Fluoride*** - **Fluoride** strengthens tooth enamel, making it more resistant to acid attacks from bacteria and thus preventing **dental caries**. - A deficiency in the water supply would directly lead to decreased fluoride exposure, increasing the incidence of **tooth decay**. *Chloride* - **Chloride** is an essential electrolyte involved in fluid balance and nerve function, but it has no direct role in preventing **dental caries**. - Its presence or absence in drinking water does not significantly impact tooth decay rates. *Sodium* - **Sodium** is another essential electrolyte vital for nerve and muscle function, but it does not contribute to the prevention of **dental caries**. - Its levels in water are unrelated to tooth enamel strength or susceptibility to decay. *Calcium* - While **calcium** is a major component of tooth structure, its primary role in dental health is during tooth development and in maintaining bone density. - Deficiency in water supply is not typically linked to increased **dental caries** risk in the same way as fluoride deficiency, as systemic calcium intake is more critical.
Explanation: ***Turners hypoplasia*** - This condition is characterized by **enamel hypoplasia or hypomineralization** of a permanent tooth, caused by **localized infection or trauma** to the overlying primary tooth. - The history of injury to the deciduous tooth with recurrent infections and swelling, followed by a yellowish discoloration on the permanent maxillary central incisor, strongly points to **Turner's hypoplasia**. *Generalised dental fluorosis* - **Dental fluorosis** is caused by excessive fluoride intake during tooth development, leading to **mottling and discoloration** of various teeth. - It would not typically present as a single discolored spot on one tooth, especially with a history of localized trauma and infection. *Syphilitic hypoplasia* - **Syphilitic hypoplasia (Hutchinson's incisors or mulberry molars)** is a manifestation of congenital syphilis affecting specific permanent teeth. - This condition affects multiple teeth with characteristic shapes and is not typically linked to localized trauma or infection of a primary tooth. *Rickets hypomineralisation* - **Rickets** causes generalized disturbances in bone and tooth mineralization due to **vitamin D deficiency**. - This would lead to widespread enamel defects and not a localized spot on a single tooth associated with prior trauma and infection.
Explanation: ***Conversion of hydroxyapatite to fluoroapatite by replacing the OH- ions*** - **Topical fluoride** primarily works by being incorporated into the **enamel crystal lattice** during acid attacks. - This process leads to the formation of **fluoroapatite**, which is more **acid-resistant** and less soluble than natural hydroxyapatite, thereby strengthening the enamel. *Form a reservoir in saliva* - While fluoride in saliva can contribute to its remineralizing effects, it is a **secondary mechanism** and not the primary way topical fluoride acts on the tooth structure itself. - The presence of fluoride in saliva is crucial for **maintaining a low level of fluoride** around the teeth, aiding in remineralization. *Improvement in tooth morphology* - **Fluoride's effect on morphology** is more significant during tooth development (systemic fluoride intake), where it can lead to shallower grooves and more rounded cusps. - In **topical application**, fluoride primarily impacts the **chemical composition** and **acid resistance** of the existing enamel, not its shape. *Inhibition of plaque bacteria* - Fluoride does have some **bacteriostatic effects** on plaque bacteria, interfering with their enzyme systems and inhibiting acid production. - However, this is considered a **secondary mechanism** compared to its direct action on enamel remineralization and strengthening.
Explanation: ***Condensing osteitis*** * **Condensing osteitis** appears as a **radio-opaque lesion** at the apex of a **non-vital tooth** with a deep carious lesion due to the body's attempt to wall off infection. * This condition is an inflammatory response in bone, leading to increased bone density and is typically **asymptomatic**. *Cementoma* * A **cementoma**, or periapical cemento-osseous dysplasia, is a **benign fibro-osseous lesion** that primarily affects **vital teeth**, differentiating it from the presented case. * While it can be radio-opaque, its association with a **non-vital tooth** in the context of carious lesion makes it a less likely diagnosis. *Periapical cyst* * A **periapical cyst** is typically a **radiolucent lesion** located at the apex of a **non-vital tooth**, * They arise from inflammation following pulp necrosis and appear as a **dark, well-defined area** on radiographs, directly contrasting with the described radio-opacity. *Periodontitis* * **Periodontitis** primarily involves inflammation and destruction of the **supporting tissues of the teeth**, including the gingiva, alveolar bone, and periodontal ligament. * While it can lead to **bone loss**, it doesn't typically manifest as a localized **radio-opacity at the apex** of a single tooth in response to a deep caries.
Explanation: ***Dense rim-like calcifications*** - Aortic calcification on fluoroscopy typically appears as a **dense, rim-like structure**, particularly visible around the aortic valve or along the aortic wall. - These calcifications indicate deposits of **calcium salts** within the aortic tissue, often associated with aging or degenerative processes. *Eggshell calcification pattern* - **Eggshell calcification** is more characteristic of conditions like **hydatid cysts** or certain **lymph node calcifications**, not typically seen within the aortic wall itself. - This pattern refers to a thin, curvilinear rim of calcification surrounding a lesion. *Punctate calcifications in aortic wall* - While calcifications can be punctate early in their development, the definitive fluoroscopic sign for significant aortic calcification is more often a **dense, rim-like appearance**, indicating more extensive deposition. - **Punctate calcifications** may be subtle and less clear for definitive diagnosis on fluoroscopy compared to the more pronounced rim-like pattern. *Linear calcifications along aortic contour* - While calcifications can follow the aortic contour, the term **"linear calcifications"** is broad and less specific for the characteristic fluoroscopic appearance of significant aortic calcification than "dense rim-like." - **Linear calcifications** might be seen in other vascular structures or soft tissues and may not always imply the same degree of calcific burden or morphology as a dense rim.
Explanation: ***12-15 years*** - This age range is ideal for assessing **dental fluorosis** because all **permanent teeth** (except wisdom teeth) have erupted. - The enamel of these teeth would have been formed during the critical period of fluoride exposure, allowing for accurate observation of fluorosis. *5-10 years* - Children in this age group may still have **developing permanent teeth** that have not fully erupted, making comprehensive assessment difficult. - While some permanent teeth are present, many are still **deciduous (primary) teeth**, which have different fluoride exposure sensitivities. *21-30 years* - At this age, individuals may have experienced dental procedures like **fillings, crowns, or veneers**, which can obscure or mimic the appearance of fluorosis. - The effects of other factors like **abrasion or erosion** over many years could also complicate fluorosis diagnosis. *16-20 years* - While most permanent teeth have erupted by this age, some individuals may have already had interventions or restorative work that could affect the assessment of **original enamel fluorosis**. - This age group is just past the optimal window where younger, newly erupted permanent teeth provide the clearest indication of recent fluoride exposure patterns.
Explanation: ***Hypercalcemia*** - In **chronic renal failure (CRF)**, the kidneys' inability to activate vitamin D leads to impaired calcium absorption and **hypocalcemia** [1], [2]. - Additionally, the kidneys fail to excrete phosphate, leading to **hyperphosphatemia**, which further exacerbates hypocalcemia by forming calcium-phosphate precipitates [1]. *Hyperkalemia* - **Hyperkalemia** is a common and serious complication of CRF due to the kidneys' impaired ability to excrete **potassium**. - This is exacerbated by conditions like **metabolic acidosis** and certain medications. *Hyperphosphatemia* - In CRF, the kidneys are unable to adequately excrete **phosphate**, leading to an accumulation of **phosphate** in the blood [1]. - This condition directly contributes to **secondary hyperparathyroidism** and bone disease [1], [2]. *Hypocalcemia* - **Hypocalcemia** is very common in CRF, primarily due to decreased production of **calcitriol (active vitamin D)** by the failing kidneys [2]. - Reduced calcitriol leads to lower intestinal **calcium absorption** and impaired bone mineralization [1].
Explanation: ***1.0 ppm*** - A concentration of **1.0 ppm** (parts per million) is the generally accepted optimal level for fluoride in community water supplies, particularly in temperate climates. - This concentration provides the best balance between preventing **dental caries** and minimizing the risk of **dental fluorosis**. *0.1 ppm* - A concentration of **0.1 ppm** is too low to provide significant protection against **dental caries**. - It would not effectively strengthen **enamel** or inhibit bacterial acid production to the desired extent. *0.5 ppm* - While 0.5 ppm does offer some benefit, it is generally considered insufficient for optimal **caries prevention** in most populations. - Many studies have shown that 1.0 ppm provides superior benefits without an increased risk of harmful side effects. *2.0 ppm* - A concentration of **2.0 ppm** is generally considered too high and increases the risk of moderate to severe **dental fluorosis**. - While it offers enhanced caries prevention, the aesthetic and structural concerns related to fluorosis outweigh the additional benefit.
Explanation: ***Monteggia fracture*** - This classic injury pattern shows **fracture of the ulnar shaft** with **dislocation of the radial head**, more commonly seen in children due to their ligamentous laxity and softer bones. - Diagnosis is confirmed using the **radiocapitellar line test** - a line drawn through the center of the radial head should pass through the capitellum on all X-ray views; disruption indicates radial head dislocation. *Colles fracture* - A Colles fracture involves a **fracture of the distal radius** with **dorsal displacement** of the distal fragment, typically occurring from a fall on an outstretched hand in elderly patients. - The X-ray findings clearly show an **ulnar shaft fracture** with **radial head dislocation**, not a distal radial fracture pattern. *Smith's fracture* - A Smith's fracture is a **distal radius fracture** with **volar (palmar) displacement** of the distal fragment, sometimes called a "reverse Colles fracture." - This diagnosis is incorrect because the image demonstrates a **midshaft ulnar fracture** with **proximal radioulnar joint disruption**, not distal radial pathology. *Galeazzi's fracture* - A Galeazzi fracture involves a **fracture of the radius** (usually distal third) combined with **dislocation of the distal radioulnar joint (DRUJ)**. - This pattern is distinct from the current case, which shows **ulnar fracture** with **radial head dislocation** at the **proximal radioulnar joint**, making it a Monteggia rather than Galeazzi injury.
Explanation: ### Explanation **Diagnosis: Paget’s Disease of Bone (Osteitis Deformans)** The clinical presentation of coarse facial features (leontiasis ossea), kyphosis, and bowing of long bones, combined with isolated elevation of **Alkaline Phosphatase (ALP)**, strongly suggests Paget’s disease. The pathognomonic histological finding is the **"Mosaic pattern"** (jigsaw-puzzle appearance) of bone, caused by prominent cement lines reflecting haphazard bone remodeling. #### Why Osteosarcoma is the Correct Answer: The most dreaded complication of long-standing Paget’s disease (especially polyostotic forms) is the development of a secondary malignancy. **Osteosarcoma** occurs in approximately 1% of patients with Paget’s disease. In an elderly patient, the sudden onset of new pain, swelling, or a pathological fracture in a Pagetic bone should immediately raise suspicion for **Pagetoid Sarcoma** (Osteosarcoma). #### Why Other Options are Incorrect: * **A. Astrocytoma & C. Meningioma:** While Paget’s disease causes skull thickening and narrowing of cranial foramina (leading to hearing loss or cranial nerve palsies), it does not predispose patients to primary brain or meningeal tumors. * **B. Hodgkin’s Lymphoma:** There is no established pathophysiological link between the disordered bone remodeling of Paget’s disease and the development of lymphomas. #### NEET-PG High-Yield Pearls: * **Stages of Paget’s:** 1. Osteolytic (Osteoclast-mediated) → 2. Mixed → 3. Osteosclerotic (Burned-out phase). * **Markers:** Elevated Serum ALP and Urinary Hydroxyproline; **Normal** Serum Calcium and Phosphate. * **Radiology:** "Cotton wool" appearance of the skull, "Picture frame" vertebrae, and "Blade of grass" (V-shaped) lytic lesions in long bones. * **Treatment of Choice:** Bisphosphonates (Zoledronic acid) to inhibit osteoclast activity. * **Common Complication:** High-output heart failure (due to extensive arteriovenous shunts in hypervascular bone).
Get full access to all questions, explanations, and performance tracking.
Start For Free