What is the acceptable angle of reduction for a tibial fracture?
Which ligament is involved in pes planus of foot?
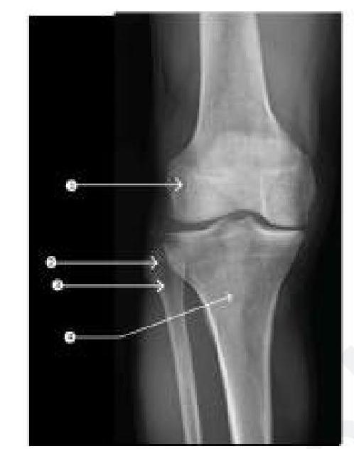
All are true about osteoarthritis, except
Injury at which of the following marked sites on the leg causes failure of dorsiflexion?

All of the following are described surgical procedures for CTE V except -
Surgery was performed as shown in the image below. What is the name of the procedure?

A diabetic patient presents with sensory involvement, tingling, numbness, ankle swelling, and absence of pain. What is the most likely diagnosis?
A 36-year-old man presents with an ankle injury sustained during a soccer match. What urgent intervention is required?
A 60-year-old diabetic presents with painless swelling of foot joints. X-ray shows bone fragmentation. What is the most likely diagnosis?
Comment on the diagnosis:

Explanation: ***5*** - A **5-degree angulation** for a tibial shaft fracture is generally considered an acceptable radiographic reduction in most planes. - This degree of **angulation** typically allows for satisfactory healing and good functional outcomes without significant long-term complications. *1* - While **1 degree of angulation** would represent an excellent reduction, it is not the standard "acceptable" maximum. - Achieving such a minimal **angulation** can be challenging and is often unnecessary for a good functional outcome. *20* - **Twenty degrees of angulation** in a tibial shaft fracture is generally considered an unacceptable degree of displacement. - Such significant **angulation** can lead to malunion, functional impairment, and aesthetic deformities. *15* - **Fifteen degrees of angulation** is typically considered excessive for an acceptable reduction of a tibial shaft fracture. - This much angulation can interfere with proper gait, cause abnormal joint loading, and increase the risk of delayed union or nonunion.
Explanation: ***Spring ligament*** - The **spring ligament** (plantar calcaneonavicular ligament) is crucial in maintaining the **medial longitudinal arch** of the foot by supporting the head of the talus. - Insufficiency or rupture of this ligament leads to a flattening of the arch, characteristic of **pes planus**. *Deltoid ligament* - The **deltoid ligament** is a strong medial collateral ligament of the ankle joint, preventing excessive eversion. - While it plays a role in ankle stability, its primary function is not directly supporting the **longitudinal arch** of the foot, and thus it is not the main ligament involved in pes planus. *Deep transverse ligament* - The **deep transverse metatarsal ligament** connects the heads of the metatarsals, stabilizing the forefoot. - Its involvement is more related to conditions affecting the forefoot, such as splayfoot or bunions, rather than the **medial longitudinal arch** central to pes planus. *Long and short plantar ligament* - The **long and short plantar ligaments** support the lateral longitudinal arch of the foot and connect the calcaneus to the cuboid and metatarsals. - While these ligaments are important for general foot arch integrity, the **spring ligament** is specifically critical for the medial longitudinal arch, which is primarily flattened in pes planus.
Explanation: ***Quadriceps atrophy*** - While muscle weakness can occur in osteoarthritis due to pain and disuse, **quadriceps atrophy** is not a universal or defining characteristic of the disease itself, nor is it consistently observed as a primary feature. - The statement implies that quadriceps atrophy is *always* true about osteoarthritis, which is incorrect as it's a potential consequence but not inherently present in all cases or a direct pathological feature. *MCP is spared* - The **metacarpophalangeal (MCP) joints** are typically spared in osteoarthritis, unlike in rheumatoid arthritis. - Osteoarthritis predominantly affects the **distal interphalangeal (DIP)** and **proximal interphalangeal (PIP)** joints of the hands, as well as the **carpometacarpal (CMC) joint of the thumb**. *Glucosamines are beneficial* - **Glucosamine sulfate** is a commonly used supplement in osteoarthritis, with some studies suggesting it may provide modest pain relief and slow cartilage degradation in certain patients. - While its efficacy is debated and not universally accepted as curative, many patients report subjective benefit, and it is considered a complementary therapy. *Loose bodies in the ankle joint* - **Loose bodies**, also known as joint mice, are fragments of cartilage or bone that can break off and float within the joint space. - These are a recognized complication of osteoarthritis, particularly in weight-bearing joints like the **ankle**, and can cause locking or catching sensations.
Explanation: ***Lateral aspect of the leg (site 3)*** - Site 3 points to the **fibula head** and the adjacent region on the lateral aspect of the leg. This is the anatomical location where the **common fibular nerve (peroneal nerve)** wraps around. - The common fibular nerve innervates the muscles responsible for **dorsiflexion** and eversion of the foot. Damage to this nerve, often due to trauma at the fibular neck, leads to **foot drop** and an inability to dorsiflex the foot. *Anterior aspect of the thigh (site 1)* - Site 1 points to the distal femur, which is part of the thigh. Nerves in the anterior thigh (e.g., **femoral nerve**) primarily control hip flexion and knee extension. - Damage here would affect movements of the hip and knee, not directly causing failure of dorsiflexion of the foot. *Medial aspect of the leg (site 4)* - Site 4 points to the medial tibia. This area is associated with the **tibial nerve** and saphenous nerve, which primarily innervate muscles for plantarflexion and inversion of the foot, or provide sensory innervation. - Injury to the tibial nerve would result in an inability to plantarflex and invert the foot, not dorsiflexion. *Posterior aspect of the thigh (site 2)* - Site 2 points to the posterior aspect of the thigh, which is the region for the hamstrings. The **sciatic nerve** and its branches (tibial and common fibular) pass through this region. - While the common fibular nerve originates from the sciatic nerve in the posterior thigh, an injury at this level would likely cause more widespread motor and sensory deficits than isolated dorsiflexion failure, and site 3 is a more common and specific site for common fibular nerve injury isolated to foot drop.
Explanation: ***Salter's osteotomy*** - **Salter's osteotomy** is a procedure primarily used for treating **developmental dysplasia of the hip (DDH)**, aiming to redirect the acetabulum. - It is not a described surgical procedure for the correction of **congenital talipes equinovarus (CTEV)**. *Dwyer's osteotomy* - **Dwyer's osteotomy** is a surgical procedure performed on the **calcaneus** to correct **hindfoot varus**, typically seen in CTEV. - It involves removing a wedge of bone from the lateral aspect of the calcaneus. *Posteromedial soft tissue release* - This is a common and traditional surgical procedure for correcting severe **CTEV** by addressing the contracted soft tissues on the medial and posterior aspects of the foot. - It involves releasing structures such as the **tibial tendon**, **flexor digitorum longus**, **flexor hallucis longus**, and the **posterior ankle joint capsule**. *Triple Arthrodesis* - **Triple arthrodesis** is a salvage procedure that involves fusing three joints in the foot: the **talonavicular**, **calcaneocuboid**, and **subtalar** joints. - It is used in older children or adolescents with severe, rigid, or recurrent CTEV, often after failed conservative or primary surgical treatments.
Explanation: ***Chopart amputation*** - The image shows a disarticulation through the **talonavicular and calcaneocuboid joints**, which defines a **Chopart amputation**. - This procedure removes the distal foot while preserving the **calcaneus and talus**, forming a stump that allows for some ankle motion. *Below knee amputation* - A below-knee amputation involves transection of the tibia and fibula, preserving the knee joint, which is much more proximal than shown in the image. - This type of amputation removes a significant portion of the lower leg, with the foot entirely removed, unlike the partial foot amputation depicted. *Above knee amputation* - An above-knee amputation involves disarticulation or transection through the femur, completely removing the lower leg and knee joint. - This is a much more extensive amputation than what is illustrated, which is confined to the foot. *Lisfranc amputation* - A Lisfranc amputation is a disarticulation through the **tarsometatarsal joints**, removing the metatarsals and phalanges but preserving the tarsal bones. - The image clearly shows the incision more proximally, at the midtarsal level, specifically through the talonavicular and calcaneocuboid joints, not the tarsometatarsal joints.
Explanation: ***Charcot's joint*** - This condition is characterized by **neuropathic arthropathy**, resulting from nerve damage (often due to **diabetes**), leading to sensory involvement, **numbness**, and **absence of pain** [1]. - The loss of protective sensation and repeated microtrauma contribute to joint destruction, often manifesting as **swelling** and deformity, particularly in the feet and ankles [1]. *Gout* - Gout typically presents with sudden, severe episodes of **pain**, redness, and swelling in a single joint, most commonly the **big toe**. - It is caused by **uric acid crystal deposition** and is not primarily associated with sensory deficits or chronic painless swelling. *Rheumatoid arthritis* - This is a **chronic autoimmune** inflammatory disease primarily affecting the **small joints** of the hands and feet symmetrically, causing pain, stiffness, and swelling. - It does not typically present with sensory neuropathy or painless joint destruction in the way described. *Ankylosing spondylitis* - This is a **chronic inflammatory disease** primarily affecting the **spine and sacroiliac joints**, causing progressive stiffness and pain that improves with activity. - It is not associated with peripheral joint neuropathy, numbness, or painless ankle swelling [1].
Explanation: ***Applying a splint to stabilize the injury*** - **Splinting** is a crucial urgent intervention for an ankle injury to **immobilize** the affected joint, reducing pain and preventing further damage to soft tissues or bone fragments. - It provides temporary stability until a definitive diagnosis and treatment plan can be established. *Performing a CT scan to assess the injury* - A **CT scan** is a diagnostic tool used to visualize complex fractures or soft tissue injuries in detail, but it is not an urgent intervention for initial management. - While important for diagnosis, it should typically follow initial stabilization and clinical assessment. *Immediate reduction of the dislocation* - **Reduction** is an urgent intervention for **dislocations**, but the question describes an "ankle injury," which could be a sprain, fracture, or dislocation. **Reduction** is only appropriate if a **dislocation** is confirmed. - Attempting to reduce a potential fracture without imaging can cause further trauma or pain. *Manipulation to restore alignment* - **Manipulation to restore alignment** is typically reserved for **dislocations** or certain types of **fractures** after proper imaging has been performed to understand the extent and type of injury. - Similar to reduction, it is not the universal first urgent intervention for an undiagnosed ankle injury.
Explanation: ***Charcot Arthropathy*** - **Painless swelling** of foot joints with **bone fragmentation** in a diabetic patient is highly characteristic of Charcot arthropathy, a degenerative joint disease resulting from neuropathy [1]. - The neuropathy prevents the patient from feeling pain, leading to repetitive trauma and progressive joint destruction, often presenting as a **warm, swollen, and sometimes deformed foot** [1]. *Osteoarthritis* - Osteoarthritis typically involves **painful joints** and is characterized by cartilaginous degeneration, not significant bone fragmentation resulting from neuropathy [2]. - While X-rays show joint space narrowing and osteophytes, the absence of pain and presence of bone fragmentation in a diabetic points away from this diagnosis [2]. *Gouty Arthritis* - Gout presents with **acute, exquisitely painful** inflammation of joints, often the great toe, due to uric acid crystal deposition. - The key features here are **painless swelling** and **bone fragmentation**, which are inconsistent with gout. *Rheumatoid Arthritis* - Rheumatoid arthritis is a **symmetric polyarthritis** involving smaller joints, leading to pain, stiffness, and eventual joint destruction, often accompanied by systemic symptoms [2]. - The presentation of a **painless, unilateral foot swelling** with bone fragmentation in a diabetic is not typical for rheumatoid arthritis [2].
Explanation: ***Jones fracture*** - The image indicates a fracture located at the **proximal metaphyseal-diaphyseal junction of the fifth metatarsal**, which is characteristic of a **Jones fracture**. - This fracture involves the **base of the fifth metatarsal** and is often associated with a higher risk of nonunion due to limited blood supply. *March fracture* - A **March fracture** is a type of stress fracture, typically affecting the **shaft of the second, third, or fourth metatarsals**, often seen in military recruits or those who engage in prolonged walking or running. - It results from repetitive stress rather than an acute injury, and its location is distinct from the proximal fifth metatarsal. *Shepherd's fracture* - A **Shepherd's fracture** refers to an avulsion fracture of the **posterolateral tubercle of the talus**, also known as an os trigonum fracture. - This fracture is located in the ankle region, distinct from the metatarsals. *Cotton's fracture* - A **Cotton's fracture** is a trimalleolar fracture of the ankle, involving the **medial malleolus**, **lateral malleolus**, and the **posterior malleolus** of the tibia. - This is a complex ankle injury, entirely unrelated to fractures of the metatarsals.
Get full access to all questions, explanations, and performance tracking.
Start For Free