Tarsometatarsal amputation is also known as?
A 41-year-old man is admitted to the emergency department with a swollen and painful foot. Radiographic examination reveals that the head of the talus has become displaced inferiorly, thereby causing the medial longitudinal arch of the foot to fall. What is the most likely cause in this case?
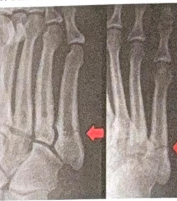
What is the most common fracture resulting from a fall onto the feet?
Sudden dorsiflexion of the foot may lead to which of the following injuries?
Which ligament connects medial cuneiform to the base of the 2nd metatarsal?
A radiograph is obtained from a child with scoliosis. What is the name of the angle used to measure spinal curvature?
Which of the following is true about Colles' Fracture?
The rephrased question is:What is the most common complication of a fractured talus?
Following are the common sites of Avascular necrosis, EXCEPT:
A patient presents with a 5th metatarsal fracture. How many days would he/she need to wear a cast?

Explanation: ***Lisfranc amputation*** - This amputation is performed through the **tarsometatarsal joints**, detaching the forefoot from the midfoot. - It is named after **Jacques Lisfranc de St. Martin**, a French surgeon who described the disarticulation. *Pirogoff amputation* - This is an ankle disarticulation with preservation of the posterior part of the **calcaneus**, which is then fused with the tibia. - Its goal is to create an end-weight-bearing stump by providing a longer lever arm. *Symes amputation* - This involves disarticulation at the **ankle joint**, removing the entire foot but preserving the heel fat pad to create an end-weight-bearing stump. - It is distinct from a tarso-metatarsal amputation as it is performed at a more proximal level. *Chopart's amputation* - This is a midtarsal disarticulation through the **talonavicular** and **calcaneocuboid joints**, preserving the talus and calcaneus. - It involves removing the forefoot and part of the midfoot, thus being more proximal than a Lisfranc amputation.
Explanation: ***Tearing of the plantar calcaneonavicular (spring) ligament*** - The **plantar calcaneonavicular ligament**, also known as the **spring ligament**, is crucial for supporting the head of the talus and maintaining the **medial longitudinal arch** of the foot. - Tearing of this ligament leads to the **inferior displacement of the talar head** and subsequent collapse of the arch, consistent with the symptoms described. *Fracture of the navicular bone* - A fracture of the **navicular bone** would typically cause localized pain and tenderness over the navicular, and while it could contribute to arch instability, it wouldn't primarily cause the **talar head** to *inferiorly displace* in this specific manner. - While a navicular fracture might lead to secondary arch collapse, the primary issue described is the displacement of the **talar head**, which is more directly related to spring ligament integrity. *Tearing of the deltoid ligament* - The **deltoid ligament** is located on the medial side of the ankle and primarily stabilizes the **talocrural joint**, preventing excessive eversion of the foot. - Its rupture would lead to ankle instability and pain, but it doesn't directly support the **medial longitudinal arch** in the same way the spring ligament does, nor would its tearing directly cause the talar head to displace inferiorly as described. *Sprain of the calcaneocuboid ligament* - The **calcaneocuboid ligament** is a component of the **lateral longitudinal arch** of the foot and connects the calcaneus to the cuboid bone. - A sprain of this ligament would primarily affect the *lateral* foot stability and lead to pain in that region, not the described collapse of the **medial longitudinal arch** or inferior displacement of the talar head.
Explanation: ***Jones fracture*** - A **Jones fracture** is a fracture of the base of the **fifth metatarsal**, which is commonly associated with an inversion injury or a fall onto the foot. - This fracture type is specifically located in a **watershed area** of blood supply, making it prone to **nonunion** and requiring careful management. *Calcaneal fracture* - A **calcaneal fracture** typically results from a **high-energy axial load** to the heel, such as a fall from a significant height landing on the feet. - While possible, it is not the most common fracture for a general fall onto the feet, as it requires considerable force directly to the heel. *Lisfranc fracture* - A **Lisfranc fracture** involves the **tarsometatarsal joints** and occurs due to significant force, often from a **crushing injury** or a rotational force when the foot is plantarflexed. - This fracture pattern involves displacement of the metatarsals from the tarsus and is less common than a Jones fracture from a simple fall onto the feet. *Ankle fracture* - An **ankle fracture** involves the distal tibia and/or fibula and usually results from **twisting injuries** or direct trauma to the ankle joint. - While falling can cause an ankle fracture, it typically involves a rotational component or impact directly to the ankle, rather than a direct fall onto the plantar surface of the foot most commonly leading to a Jones fracture.
Explanation: ***Tendo Achilles avulsion injury*** - **Sudden dorsiflexion** of the foot, especially if forced or excessive, can cause extreme stretch on the **Achilles tendon**, potentially leading to its avulsion or rupture. - This mechanism often occurs during activities requiring a forceful push-off or landing with the foot in dorsiflexion, placing significant tensile stress on the tendon. *Anterior talofibular ligament injury* - This injury typically results from an **inversion sprain** of the ankle, where the foot is forcefully turned inward, causing damage to the lateral ankle ligaments. - **Dorsiflexion** alone is not the primary mechanism for injury to the **anterior talofibular ligament**. *Rupture of deltoid ligament* - The **deltoid ligament** is located on the medial side of the ankle and is most commonly injured with an **eversion sprain**, where the foot rolls outward. - While extreme dorsiflexion can put some strain on anterior fibers, it is not the primary mechanism, and a concomitant eversion force would likely be required for rupture. *Tarsal tunnel syndrome* - This condition involves **compression of the tibial nerve** as it passes through the tarsal tunnel, typically causing pain, numbness, and tingling in the sole of the foot. - It is often caused by chronic factors such as swelling, repetitive stress, or structural abnormalities, rather than an acute traumatic event like sudden dorsiflexion.
Explanation: ***Lisfranc*** - The **Lisfranc ligament** specifically connects the medial cuneiform to the base of the second metatarsal, forming a crucial part of the **tarsometatarsal joint complex**. - Its strength and integrity are vital for **midfoot stability**, and injury to this ligament can lead to significant functional impairment. *Chopart* - The **Chopart joint** (transverse tarsal joint) involves the talonavicular and calcaneocuboid articulations. - While it is a significant midfoot joint, it does not directly connect the medial cuneiform to the second metatarsal. *Deltoid* - The **deltoid ligament** is located on the medial side of the ankle, connecting the tibia to the talus, calcaneus, and navicular bones. - It primarily provides stability to the **ankle joint** and is not involved in hindfoot-to-midfoot connections. *Spring* - The **spring ligament** (plantar calcaneonavicular ligament) connects the calcaneus to the navicular bone. - It plays a crucial role in supporting the **medial longitudinal arch** of the foot, but does not connect the cuneiform to the metatarsals.
Explanation: **Cobb's Angle** - **Cobb's angle** is the primary method for measuring the severity of **scoliosis** on radiographs. - It is measured by drawing lines parallel to the superior endplate of the most tilted superior vertebra and the inferior endplate of the most tilted inferior vertebra of the curve; the angle between these two lines (or their perpendiculars) is the Cobb angle. *Bohler's Angle* - **Bohler's angle** is used in the assessment of **calcaneus fractures** and is measured on a lateral foot radiograph. - A decrease in this angle is indicative of a calcaneal fracture. *Ferguson's Angle* - **Ferguson's angle**, also known as the lumbosacral angle, measures the inclination of the sacrum relative to the horizontal in the standing position. - It is primarily used in the assessment of **spondylolisthesis** and other lumbosacral conditions. *Pauwels' Angle* - **Pauwels' angle** is used to classify **femoral neck fractures** based on the angle of the fracture line relative to the horizontal. - It helps determine the severity and stability of femoral neck fractures, guiding treatment decisions.
Explanation: ***It is associated with dorsal angulation*** - A **Colles' fracture** is a **distal radius fracture** with **dorsal displacement** and **dorsal angulation** of the distal fragment. - This classic presentation gives rise to the characteristic **"dinner fork" deformity** seen in Colles' fractures. *It may lead to gunstock deformity due to malunion* - **Gunstock deformity** (cubitus varus) is a common complication of **supracondylar fractures of the humerus**, not Colles' fractures. - It results from **malunion** of the humerus, leading to a decreased carrying angle of the elbow. *It is an intra-articular fracture* - A Colles' fracture is typically an **extra-articular fracture**, meaning the fracture line does not extend into the **radiocarpal joint**. - Fractures that extend into the joint are generally classified as **Barton's fractures** or **Chauffeur's fractures**. *Volar angulation with Radial deviation occurs* - **Volar angulation** of the distal fragment is characteristic of a **Smith's (or reverse Colles') fracture**, which is a different type of distal radius fracture. - Colles' fracture involves **dorsal displacement** and angulation.
Explanation: ***Avascular necrosis (AVN)*** - The talus has a **precarious blood supply**, with arterial branches entering at multiple points but often centrally, making it vulnerable to **ischemia** after fracture. - Fractures, especially neck fractures, can disrupt these delicate vessels, leading to **osteonecrosis** and collapse of the bone. *Nonunion of the talus* - While possible, talar nonunion is **less common** than AVN due to the talus's dense cortical bone and limited muscle attachments. - Nonunion is more frequently seen with fractures of other bones, such as the **scaphoid**. *Osteoarthritis of the subtalar joint* - **Subtalar osteoarthritis** can occur post-talar fracture, often as a **secondary complication** of disrupted articular surfaces or AVN. - However, the **initial and most common direct complication** stemming from the blood supply disruption is AVN. *Osteoarthritis of the ankle joint* - **Ankle osteoarthritis** can also develop after certain talar fractures, particularly those involving the talar dome or leading to incongruity of the ankle joint. - Similar to subtalar arthritis, it is often a **later or secondary sequela**, rather than the immediate and most frequent direct complication like AVN.
Explanation: ***Patella*** - The patella is rarely affected by **avascular necrosis (AVN)** due to its robust and redundant blood supply, making it an exception to common AVN sites. - While patellar fractures can compromise local blood flow, spontaneous or atraumatic AVN of the patella is exceedingly uncommon compared to other skeletal sites. *Head of the femur* - The **femoral head** is the most common site for **avascular necrosis** due to its precarious blood supply, especially after trauma (e.g., hip dislocation, femoral neck fracture) or in systemic conditions. - Its blood supply relies heavily on the **medial circumflex femoral artery**, which can be easily disrupted. *The body of talus* - The **talus** is highly susceptible to **avascular necrosis**, particularly after fractures or dislocations, as its blood supply enters through a limited number of soft tissue attachments. - The **body of the talus** receives a significant portion of its blood supply from vessels that can be easily compromised by injury. *Proximal half of scaphoid* - The **proximal pole of the scaphoid** is notoriously prone to **avascular necrosis** following scaphoid fractures because its blood supply enters primarily from the distal pole. - A disruption of blood flow (e.g., via the **dorsal carpal branch** of the radial artery) due to a fracture can lead to **non-union** and AVN of the proximal fragment.
Explanation: ***6-8 weeks*** - For most **5th metatarsal fractures**, especially **Jones fractures** or more significant avulsion fractures, **non-weight-bearing** immobilization in a cast, boot, or splint is typically required for **6 to 8 weeks** to allow for proper bone healing. - The **poor vascular supply** to the metaphyseal-diaphyseal junction of the 5th metatarsal (in Jones fractures) often necessitates a longer immobilization period. *2-3 weeks* - This duration is generally too short for the adequate healing of most 5th metatarsal fractures, especially those that are **displaced** or involve the **watershed zone**. - A shorter period might be considered for very minor, stable **avulsion fractures** with minimal pain, but even then, a slightly longer protection might be advised. *16-20 weeks* - This length of time is typically reserved for **severe, complex fractures**, open fractures with complications, or cases requiring **multiple surgical interventions** and prolonged rehabilitation, which is not the standard for an uncomplicated 5th metatarsal fracture. - Such an extended period of immobilization could also lead to **significant muscle atrophy** and joint stiffness. *3-5 weeks* - While sometimes considered for **stable avulsion fractures** of the 5th metatarsal base or mild stress fractures, this period is often insufficient for complete healing of the more common and problematic **Jones fracture**. - Rushing the return to weight-bearing can increase the risk of **non-union** or refracture.
Get full access to all questions, explanations, and performance tracking.
Start For Free