A 35-year-old male comes with a swollen finger. A few days ago he got a cut on his index finger. The swelling has worsened with the development of redness. He also feels feverish. All of the following clinical features are correct about the diagnosis except:

Which complication of osteomyelitis is shown below?

In the given image of chronic osteomyelitis choose the correct sequence:

A 52-year-old female complains of increasing pain in the right shoulder. She is also finding it increasingly difficult to do overhead abduction of the affected joint. She had been diagnosed as a diabetic 20 years back and is on treatment since then. What is the most likely cause of her clinical condition?
Which one of the following bones is affected in Keinbock's disease?
With reference to frozen shoulder, consider the following statements: 1. It is associated with diabetes and heart disease. 2. It may follow minor trauma. 3. Its differential diagnosis are infection and fractures. 4. Treatment of choice is surgery. Which of the statements given above are correct?
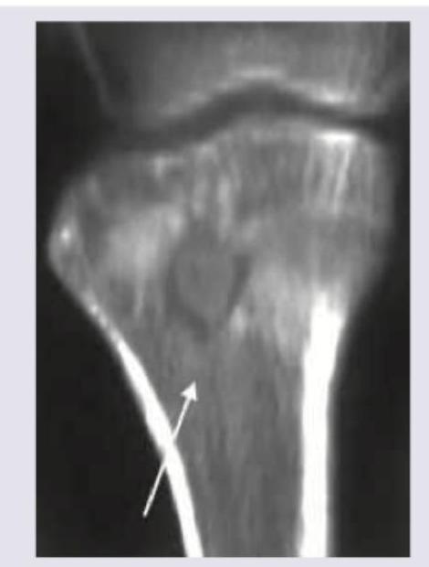
An 18-year-old boy presents with tenderness, warmth over the bone, and fever, ESR and CRP levels. The radiograph is shown below. What is the most likely diagnosis?

The most common pattern of involvement in Pott's spine is
Which of the following statements about tubercular osteomyelitis is NOT true?
Treatment of myositis ossificans includes all except -
Explanation: ***Pain upon passive flexion*** - This is an incorrect statement because pain on **passive extension** of the affected digit (rather than passive flexion) is a classic sign of **flexor tenosynovitis (Kanavel's sign)**. - In flexor tenosynovitis, the inflamed tendon sheath makes passive extension painful as it stretches the inflamed tissues. *Tenderness* - **Tenderness along the course of the flexor tendon sheath** is one of Kanavel's cardinal signs for flexor tenosynovitis. - This symptom indicates inflammation and infection within the tendon sheath. *Flexion* - The affected finger typically rests in a position of **slight flexion** to relieve tension on the inflamed flexor tendon sheath. - This guarded posture is a characteristic feature of tenosynovitis. *Uniform swelling* - There is typically **uniform swelling of the affected digit** because the infection and inflammation are contained within the closed space of the flexor tendon sheath. - This swelling differentiates it from more localized infections like cellulitis or abscesses.
Explanation: ***Brodie's abscess*** - The image suggests a well-circumscribed, **radiolucent lesion** with a sclerotic rim within the bone, which is characteristic of a Brodie's abscess. - This is a subacute or chronic form of osteomyelitis, often appearing as a **focal lucency** in the metaphysis of long bones. *Garre's osteomyelitis* - This is characterized by **diffuse periosteal new bone formation** and cortical thickening, giving a "onion peel" appearance, which is not seen in the image. - It typically results from a low-grade infection and leads to **sclerosis and hypertrophy** of the bone. *Bony ankyloses* - **Bony ankylosis** refers to the fusion of two bones across a joint, resulting in immobility. - This image shows a lesion within a single bone, not a **fused joint**. *All of the above* - This option is incorrect because the image specifically depicts features of a Brodie's abscess, ruling out Garre's osteomyelitis and bony ankylosis. - Therefore, not all the conditions listed are represented in the provided image.
Explanation: ***A-infected, C- Dead bone, E- Reactive bone, D- Draining sinus*** - In chronic osteomyelitis: **A** represents the **infected bone** showing trabeculae with irregular spaces, **C** is the **dead bone (sequestrum)**, which is typically encased, **E** is the **reactive bone (involucrum)** forming around the infection, and **D** is the **draining sinus**, a common complication. - The image correctly labels **C as the sequestrum** (dead bone, often appearing darker or distinct), **E as the involucrum** (new bone formation surrounding the infection), and **D as the sinus tract** draining pus. *A- Normal, C- Sequestrum, E- Involucrum, D- Cloacae* - **A** cannot be normal bone in the context of chronic osteomyelitis; it is part of the infected area. - While **C (sequestrum)** and **E (involucrum)** are correctly identified, **D** is a **draining sinus**, not specifically a cloaca, which is an opening in the involucrum for pus drainage. *A- Normal, C- Involucrum, E- Sequestrum, D- Draining sinus* - **A** is not normal bone; it is part of the bone affected by the osteomyelitis. - The labels for **C and E are reversed**: C is the sequestrum (dead bone) and E is the involucrum (reactive new bone). *A-infected, C- Reactive bone, E- Dead bone, D- Draining sinus* - The labeling for **C and E is reversed**: **C** is typically the **dead bone (sequestrum)**, while **E** is the **reactive bone (involucrum)** surrounding it, attempting to wall off the infection. - **A** represents the infected bone, but the subsequent reversed labels make this option incorrect.
Explanation: ***Frozen shoulder*** - The patient's presentation with **increasing pain** and **difficulty with overhead abduction** of the shoulder, especially in the context of long-standing **diabetes**, is highly characteristic of **adhesive capsulitis** (frozen shoulder). - This condition is marked by **progressive stiffness** and **restricted range of motion** in the shoulder joint due to inflammation and fibrosis of the joint capsule. *Bacterial arthritis* - **Bacterial arthritis** typically presents with an **acutely painful**, **swollen**, and **erythematous joint**, often accompanied by systemic symptoms like **fever** and **malaise**. - The chronic, progressive nature of the patient's symptoms and the absence of acute inflammatory signs or fever make bacterial arthritis less likely. *Osteoarthritis* - While **osteoarthritis** can cause shoulder pain and stiffness, it usually presents with **pain that worsens with activity** and is relieved by rest, often with **crepitus** and a more gradual loss of range of motion. - The pronounced restriction in **overhead abduction** in this patient, particularly given the diabetic history, points away from primary osteoarthritis as the most likely cause. *Rotator cuff tear* - A **rotator cuff tear** typically presents with pain and weakness, especially during **abduction** or **external rotation**, and may have a specific mechanism of injury. - While abduction can be difficult, the classic presentation of a frozen shoulder with severe, global restriction of both active and passive range of motion is a stronger fit for the described symptoms.
Explanation: ***Lunate bone*** - Kienbock's disease is an **avascular necrosis** of the **lunate bone** in the wrist, leading to its collapse and fragmentation over time. - This condition is often associated with repetitive trauma, negative ulnar variance, and altered blood supply to the lunate. *Capitellum of the humerus* - Avascular necrosis of the capitellum is known as **Panner's disease**, which is distinct from Kienbock's disease. - Panner's disease primarily affects children and adolescents, often due to repetitive throwing or overhead activities. *Metatarsal* - Avascular necrosis of the metatarsal heads is seen in conditions like **Freiberg's disease**, which typically affects the second metatarsal. - This condition presents with forefoot pain and differs significantly in location and affected bone from Kienbock's disease. *Navicular bone* - Avascular necrosis of the tarsal navicular bone is referred to as **Kohler's disease**, predominantly appearing in young children. - This condition affects the foot and is not related to the wrist pathologies seen in Kienbock's disease.
Explanation: ***1, 2 and 3*** - **Frozen shoulder** (adhesive capsulitis) has a higher incidence in individuals with **diabetes mellitus** and **cardiovascular diseases**, indicating systemic associations. - It can be triggered by minor trauma or surgery, but often it has **no identifiable cause** (idiopathic). - The differential diagnoses for shoulder pain and restricted motion include serious conditions like **infection (septic arthritis)** and **fractures**, which must be ruled out. *1 and 2 only* - This option correctly identifies the association with diabetes and heart disease, and the possibility of minor trauma. - However, it incorrectly excludes the importance of considering infection and fractures in the differential diagnosis. *3 and 4 only* - This option correctly identifies the importance of differential diagnosis (infection and fractures). - However, **surgery is generally not the first-line treatment for frozen shoulder**; it is reserved for severe cases unresponsive to conservative measures. - It also fails to acknowledge the associations with diabetes and heart disease, or the role of minor trauma. *2, 3 and 4* - This option correctly notes that frozen shoulder can follow minor trauma and that infection and fractures are important differential diagnoses. - However, it incorrectly states that **surgery is the treatment of choice**, when **conservative management is usually first-line**. - It also misses the crucial association with **diabetes and heart disease**.
Explanation: ***Osteomyelitis*** - The presentation of **tenderness**, **warmth over the bone**, **fever**, and elevated **ESR** and **CRP** are classic signs of a bone infection, or osteomyelitis. - While not explicitly shown in the provided text, a radiograph in acute osteomyelitis might show **soft tissue swelling** or subtle **periosteal elevation**, progressing to **bone destruction** and **sclerosis** in later stages. *Ewing's sarcoma* - This is a highly malignant bone tumor that presents with **pain** and **swelling**, but is typically not associated with a pronounced **fever** and signs of systemic infection. - Radiographically, it often shows an "onion-skin" **periosteal reaction** and lytic lesions, without the strong inflammatory markers seen here. *Osteosarcoma* - This is another malignant bone tumor, primarily presenting with bone **pain** and **swelling**, but systemic inflammatory signs like **fever** are rare unless there is a pathologic fracture or infection secondary to tumor necrosis. - Radiographs typically show a "sunburst" appearance, **Codman's triangle**, or mixed lytic and blastic lesions, not indicative of acute infection. *Giant cell tumor* - This is a usually **benign aggressive bone tumor** that causes **pain** and **swelling** around joints. - It does not typically present with systemic signs of infection such as **fever** and significantly elevated **ESR** and **CRP** unless there is a secondary infection, and it usually affects the **epiphyses** of long bones in young adults.
Explanation: ***Paradiscal*** - In **Pott's spine (tuberculous spondylitis)**, the infection typically starts in the anterior inferior aspect of the vertebral body and spreads to the adjacent disc space, making the **paradiscal** area the most common site of involvement. - This pattern is due to the rich **paradiscal vascular supply**, which facilitates the hematogenous spread of *Mycobacterium tuberculosis* to these regions. *Central* - **Central involvement** refers to the lesion being primarily located within the center of the vertebral body, which is less common in Pott's spine as the bacteria typically target the highly vascularized anterior and inferior margins. - While central lesions can occur, they are not the predominant pattern seen in initial stages of tuberculous spondylitis. *Posterior* - **Posterior involvement** usually refers to involvement of the posterior vertebral elements such as the neural arch, laminae, or spinous processes. - This type of involvement is **rare** in Pott's spine and is generally seen in very advanced or disseminated disease. *Anterior* - While the infection often begins in the anterior part of the vertebral body, the term **anterior** alone is less specific than "paradiscal" and doesn't fully capture the predominant involvement of the adjacent disc space. - The disease's characteristic spread across the disc space to an adjacent vertebra is a key feature of the paradiscal pattern, leading to **kyphosis** and vertebral collapse.
Explanation: ***Periosteal reaction is characteristic*** - This statement is **NOT true** for tubercular osteomyelitis; periosteal reaction is generally **minimal or absent** due to the insidious and less florid inflammatory response. - Unlike pyogenic osteomyelitis, which causes significant periosteal new bone formation, tuberculosis typically results in **slow bone destruction** without marked reactive bone changes. *Sequestrum is uncommon* - This statement is **true** because **sequestrum** (a piece of dead bone separated from healthy bone) is less frequently observed in tubercular osteomyelitis compared to pyogenic osteomyelitis. - The **granulomatous inflammation** of tuberculosis tends to cause slow bone necrosis rather than the rapid, liquefactive necrosis that leads to large sequestra. *It is a type of secondary osteomyelitis* - This statement is **true** as tubercular osteomyelitis is almost always secondary to a **primary focus of tuberculosis** elsewhere in the body, typically the lungs [1]. - The infection spreads **hematogenously** to the bone, making it a manifestation of disseminated tuberculosis rather than a primary bone infection [1]. *Inflammation is minimal* - This statement is **true** in the sense that the **acute inflammatory response** in tubercular osteomyelitis is often less pronounced than in pyogenic infections. - While it is a chronic infectious process, the characteristic **granulomatous inflammation** develops over time, and the initial or acute inflammatory signs might be subtle or "minimal" compared to bacterial osteomyelitis [1].
Explanation: ***Vigorous passive massage*** - **Vigorous passive massage** is contraindicated in myositis ossificans as it can exacerbate the condition by causing further trauma and promoting heterotopic bone formation. - The goal of treatment is to prevent progression and reduce inflammation, not to aggressively manipulate the affected area. *Splinting elbow* - **Splinting the elbow** in a functional position is a common treatment to help prevent contractures and allow the heterotopic bone to mature. - This immobilization can reduce microtrauma and facilitate healing in the acute phase. *Indometacin* - **Indomethacin**, a non-steroidal anti-inflammatory drug (NSAID), is often used to prevent and treat myositis ossificans. - It works by inhibiting prostaglandin synthesis, which is believed to play a role in the formation of heterotopic bone. *Gentle active movements* - **Gentle active movements** are generally encouraged once the acute inflammatory phase has subsided and the lesion begins to mature. - These movements help maintain range of motion and prevent stiffness without causing excessive trauma that could worsen the condition.
Septic Arthritis
Practice Questions
Osteomyelitis
Practice Questions
Tuberculosis of Bones and Joints
Practice Questions
Fungal and Parasitic Infections
Practice Questions
Diabetic Foot Infections
Practice Questions
Prosthetic Joint Infections
Practice Questions
Reactive Arthritis
Practice Questions
Management of Joint Infections
Practice Questions
Prevention of Orthopaedic Infections
Practice Questions
Biofilms in Orthopaedic Infections
Practice Questions
Antibiotic Prophylaxis
Practice Questions
Implant-Related Infections
Practice Questions
Get full access to all questions, explanations, and performance tracking.
Start For Free