Extensive surgical debridement, decompression or amputation may be indicated in the following clinical setting except
A 12-year-old girl begins to limp while playing soccer. She has pain in her right leg and upper right thigh. Her temperature is 102°F. X-ray of the femur reveals that the periosteum is eroded. Assuming that this case is managed as an infectious disease, which of the following is the most likely etiologic agent?
Which of the following is an orthopedic emergency?
What is the most effective management strategy for hemarthrosis?
In acute septic arthritis of hip in children, which finding indicates poor prognosis?
A 40-year-old female with multiple sexual partners presented with fever, rash, and articular symptoms. Migratory arthritis and tenosynovitis of knees, hands, wrists, feet, and ankles were noticed during clinical examination. Synovial fluid leukocyte count was 12,000/ml and culture was sterile. The patient has been successfully treated with injection ceftriaxone 1 g Q24 hours for 7 days. What was the diagnosis in this setting?
What will the aspirated synovial fluid in a case of septic arthritis typically show?
12 years male came with swelling of lower end tibia which is surrounded by rim of reactive bone. What is most likely diagnosis?
A 28-year-old male with a history of trauma presents with a non-healing sinus on the tibia. An X-ray shows a sequestrum. What is the appropriate next step in management?

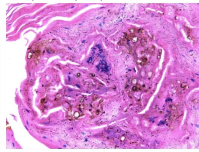
A forest worker developed skin lesions over the forearm, which initially started as macules but then became nodules. Histology of the nodule shows the following findings. Which of the following is true regarding this condition?

Explanation: ***Acute thrombophlebitis*** - This condition involves inflammation and **thrombosis** of a superficial vein, typically managed with **anticoagulation**, pain relief, and local measures. - Surgical intervention like debridement, decompression, or amputation is generally **not indicated** unless there are severe complications such as infection or extensive tissue necrosis, which are rare. *Acute rhabdomyolysis* - Severe rhabdomyolysis can lead to **compartment syndrome**, necessitating fasciotomy (decompression) to prevent irreversible muscle and nerve damage. - In cases of extensive muscle necrosis, **surgical debridement** may be required to remove non-viable tissue and prevent further systemic complications. *Acute haemolytic streptococcal cellulitis* - While initial management is antibiotics, rapidly progressing necrotizing infections (like **necrotizing fasciitis**, a severe form often caused by *Streptococcus pyogenes*) require **extensive surgical debridement** to remove dead tissue and control the spread of infection. - Delayed debridement can lead to systemic toxicity, limb loss, or death, making aggressive surgical intervention crucial. *Progressive synergistic gangrene* - Also known as **Meleney's gangrene**, this rare but severe soft tissue infection requires aggressive and **extensive surgical debridement** of all necrotic tissue. - The combination of aerobic and anaerobic bacteria creates a progressive, destructive lesion that can necessitate amputation if not adequately controlled by debridement.
Explanation: ***Staphylococcus aureus*** - *S. aureus* is the most common cause of **osteomyelitis** in children, accounting for the symptoms of bone pain, limp, fever, and periosteal erosion. - The organism frequently gains access to bone via **hematogenous spread** from a superficial infection or direct inoculation through trauma. *Salmonella enteritidis* - While *Salmonella* can cause osteomyelitis, especially in patients with **sickle cell disease**, there is no indication of this predisposing factor in the girl's history. - *Salmonella* osteomyelitis is less common than that caused by *S. aureus* in the general pediatric population. *Staphylococcus saprophyticus* - *S. saprophyticus* is primarily associated with **urinary tract infections (UTIs)**, particularly in young, sexually active females. - It is an uncommon cause of osteomyelitis and typically not the primary pathogen in bone infections. *Listeria monocytogenes* - *Listeria monocytogenes* is known to cause severe infections in **immunocompromised individuals**, neonates, and pregnant women. - While it can cause osteomyelitis, it is a rare cause in an otherwise healthy 12-year-old and would usually be associated with specific risk factors.
Explanation: ***Septic arthritis*** - This is an **orthopedic emergency** due to the rapid destruction of cartilage and bone if not treated promptly. - It requires urgent **surgical washout** and intravenous antibiotics to prevent irreversible joint damage and systemic infection. *Intraarticular fracture* - While requiring careful management to optimize joint function, an **intraarticular fracture** is typically not an immediate emergency unless there's associated neurovascular compromise or compartment syndrome. - Surgical intervention can often be planned within a certain timeframe (days) rather than hours. *Fracture lateral condyle humerus* - This fracture in children is significant due to potential for non-union or avascular necrosis, but it is not considered an immediate **life- or limb-threatening emergency**. - Management usually involves **reduction and fixation** but does not carry the same degree of urgency as active joint infection. *Fracture neck femur* - A fractured neck of femur requires surgical intervention to prevent complications like **avascular necrosis** and optimize mobility, particularly in elderly patients. - While serious, it primarily presents a risk of long-term disability and complications, not an immediate destructive process like septic arthritis.
Explanation: ***Needle aspiration to remove excess blood*** - **Aspirating the blood** from the joint effectively reduces intra-articular pressure, pain, and inflammation. - This procedure also helps prevent **synovial hypertrophy** and **cartilage damage** caused by the presence of blood in the joint. *Application of a compression bandage* - While helpful for reducing swelling and providing support, a **compression bandage alone** does not remove the accumulated blood. - It may alleviate some discomfort but does not address the underlying issue of **intra-articular blood accumulation**. *Immobilization with a P.O.P. cast* - **Immobilization** can help rest the joint and reduce pain, but it does not remove the blood from the joint space. - Prolonged immobilization can lead to **joint stiffness** and **muscle atrophy**, which are undesirable outcomes. *All of the options* - While compression and immobilization can be supportive measures, they are not the **most effective primary strategy** for managing hemarthrosis. - The direct removal of blood via **aspiration** is crucial for alleviating pressure and preventing long-term joint damage.
Explanation: ***Delay in Treatment >48 hours*** - A delay in treatment of **acute septic hip arthritis** beyond 48 hours significantly increases the risk of irreversible cartilage damage and long-term functional impairment due to sustained inflammatory and enzymatic degradation. - This delay can lead to more severe joint destruction, avascular necrosis of the femoral head, and post-infectious osteoarthritis, all contributing to a **poor prognosis**. *Age <2 years* - While younger children can have more subtle symptoms and a higher risk of diagnostic delay, age itself is not the most determinant factor for poor prognosis compared to treatment delay. - Management in this age group focuses on early diagnosis and aggressive treatment to prevent growth plate damage. *Elevated CRP* - **Elevated C-reactive protein (CRP)** is a common finding in acute septic arthritis, indicating systemic inflammation and the severity of infection. - While reflecting disease activity, an elevated CRP alone does not directly indicate poor prognosis as it typically responds well to appropriate antibiotic treatment and surgical drainage. *Gram Negative Infection* - Gram-negative infections can be more challenging to treat and may require specific antibiotic regimens, but the type of organism is generally less critical than the **duration of untreated infection** in determining long-term outcomes. - With prompt and appropriate therapy, many gram-negative infections can be successfully managed without causing poor long-term outcomes.
Explanation: ***Disseminated gonococcal infection*** - The classic triad of **fever**, **rash**, and **articular symptoms (migratory polyarthralgia or tenosynovitis)** in a sexually active individual strongly suggests disseminated gonococcal infection (**DGI**). - The positive response to **ceftriaxone**, an antibiotic effective against *Neisseria gonorrhoeae*, further supports this diagnosis. *Gonococcal septic arthritis* - While *N. gonorrhoeae* can cause septic arthritis, it typically presents as a **monoarticular** joint infection with severe pain and swelling, not **migratory polyarthritis** and tenosynovitis. - The synovial fluid in septic arthritis would show a significantly **higher leukocyte count** (often >50,000 cells/mm³) and frequently a positive culture if bacteria are adequately cultured. *Syphilitic arthritis* - Syphilitic arthritis is uncommon and often presents in **secondary or tertiary syphilis**, characterized by chronic inflammation and unique bone lesions, not acute migratory polyarthritis or tenosynovitis. - The rash of secondary syphilis is typically **macropapular and non-pruritic**, often involving the palms and soles, which differs from the rash seen in DGI. *Arthritis due to Pseudomonas aeruginosa* - *Pseudomonas aeruginosa* arthritis is rare and typically occurs in individuals with **immunocompromise**, **intravenous drug use**, or following **puncture wounds**, none of which are mentioned here. - The clinical picture of **migratory polyarthralgia and tenosynovitis** is not characteristic of *Pseudomonas* arthritis, which is usually purulent and monoarticular.
Explanation: ***Markedly increased polymorphonuclear leukocytes*** - **Septic arthritis** is characterized by an acute infection within the joint, leading to a profound inflammatory response with a significant influx of **neutrophils** (polymorphonuclear leukocytes) into the synovial fluid. - A synovial leukocyte count greater than **50,000 cells/mm³** with over **75% neutrophils** is highly suggestive of septic arthritis. *Clear and straw-colored fluid* - This description typically corresponds to **normal synovial fluid** or fluid from a mild **non-inflammatory condition**, which is not consistent with bacterial infection. - Normal synovial fluid is usually **transparent**, indicating the absence of significant cellular debris or inflammatory cells. *Low viscosity fluid* - While septic synovial fluid can have reduced viscosity due to the breakdown of **hyaluronic acid** by bacterial enzymes and inflammatory mediators, this characteristic alone is not the most definitive diagnostic feature. - Reduced viscosity is also observed in other inflammatory conditions, making it less specific than direct cellular analysis for diagnosing infection. *Cloudy or purulent fluid* - The presence of **cloudy** or **purulent (pus-like)** fluid *is* often seen in septic arthritis, reflecting the high cell count and protein content. - However, this is a **gross visual observation**, and a more precise and diagnostic indicator is the microscopic finding of markedly increased **polymorphonuclear leukocytes**.
Explanation: ***Brodie's Abscess*** - A **Brodie's abscess** is a subacute or chronic osteomyelitis characterized by a localized bone abscess, typically with a surrounding **sclerotic rim of reactive bone**. - It often occurs in the **metaphysis of long bones** (like the lower end of the tibia) in children and adolescents, presenting with localized pain and swelling. *GCT* - **Giant cell tumor (GCT)** typically occurs in **skeletally mature adults** (20-40 years old) and is a lytic lesion often found in the **epiphysis** of long bones, rarely with a distinct sclerotic rim. - GCTs are generally more aggressive and demonstrate a **soap-bubble appearance** with cortical expansion rather than a thick reactive bone rim. *Hyper PTH* - **Hyperparathyroidism** causes bone changes such as **osteopenia**, **subperiosteal bone resorption**, especially in the phalanges, and **brown tumors** (lytic lesions). - It does not typically present as a localized lesion with a **sclerotic rim of reactive bone** in a child. *Osteomyelitis* - While chronic osteomyelitis can involve local bone destruction and reactive bone formation, a **Brodie's abscess** is a specific, well-circumscribed form of **subacute osteomyelitis**. - Acute osteomyelitis presents with more diffuse systemic symptoms (fever, malaise) and less defined reactive bone in its early stages compared to the distinct **sclerotic rim** seen in a Brodie's abscess.
Explanation: ***Sequestrectomy*** - A **sequestrum** is a piece of dead bone that has become separated from the surrounding healthy bone during necrosis. In the context of **chronic osteomyelitis**, this dead bone acts as a nidus for infection that cannot be eradicated by antibiotics alone. - The presence of a **non-healing sinus** and a sequestrum on X-ray clearly indicates **chronic osteomyelitis**, which requires surgical removal of the infected dead bone (sequestrectomy) for resolution. *Systemic antibiotics* - While systemic antibiotics are crucial in treating acute osteomyelitis and as an adjunct in chronic cases, they are unlikely to cure an infection with a sequestered dead bone. - The **avascular nature of the sequestrum** prevents adequate penetration of antibiotics, making them ineffective as a sole therapy. *Local wound care* - Local wound care might help manage the non-healing sinus superficially but does not address the underlying **bone infection and dead bone**, which is the primary pathology. - This approach would only provide symptomatic relief without resolving the infectious process. *Bone grafting* - Bone grafting is typically performed after the infection has been completely eradicated and involves filling a bone defect. - Performing bone grafting while a **sequestrum and ongoing infection** are present would likely lead to graft failure and continued infection.
Explanation: The image displays **chromoblastomycosis**, a fungal infection characterized by **medlar bodies** or **sclerotic bodies**. These are thick-walled, septate, dematiaceous (pigmented) fungal cells that resemble copper pennies. The patient's history of being a forest worker with skin lesions progressing from macules to nodules is consistent with this diagnosis as it's often associated with **traumatic inoculation** from contaminated plant material. ***It is a dematiaceous fungus*** - The image shows **"copper pennies"** or **sclerotic bodies**, which are characteristic of dematiaceous (pigmented) fungi causing chromoblastomycosis. - These fungi contain **melanin** in their cell walls, which contributes to their characteristic dark appearance. - Common causative agents include *Fonsecaea pedrosoi*, *Phialophora verrucosa*, and *Cladophialophora carrionii*. *Angioinvasion is common especially in people with hemolytic anemia* - **Angioinvasion** is not a feature of chromoblastomycosis, which typically remains confined to the **skin and subcutaneous tissue**. - Angioinvasion is characteristic of **mucormycosis** and **aspergillosis**, particularly in immunocompromised patients, not chromoblastomycosis. *These bodies are formed by engulfment of the dead fungi by the macrophages* - The **sclerotic bodies** are **living fungal cells** in their tissue-specific form, not dead fungi engulfed by macrophages. - They are a distinct morphological form of the fungus, adapting to growth within the host tissue, and are **actively pathogenic**. - These thick-walled structures allow the fungus to persist in tissue and resist host defenses. *Infection commonly spreads to involve tendon, muscle and bone* - Chromoblastomycosis causes **chronic, localized infections** primarily of the **skin and subcutaneous tissue**. - While local tissue destruction can occur, **deep invasion** into tendons, muscles, or bones is **rare** and occurs only in severe, long-standing cases. - The infection typically remains confined to cutaneous and subcutaneous layers without dissemination.
Get full access to all questions, explanations, and performance tracking.
Start For Free