A 45-year-old female with a history of G5P4A0L4 has her last menstrual period (LMP) on August 25, 2014. What is the gestational age in weeks on May 11, 2015?
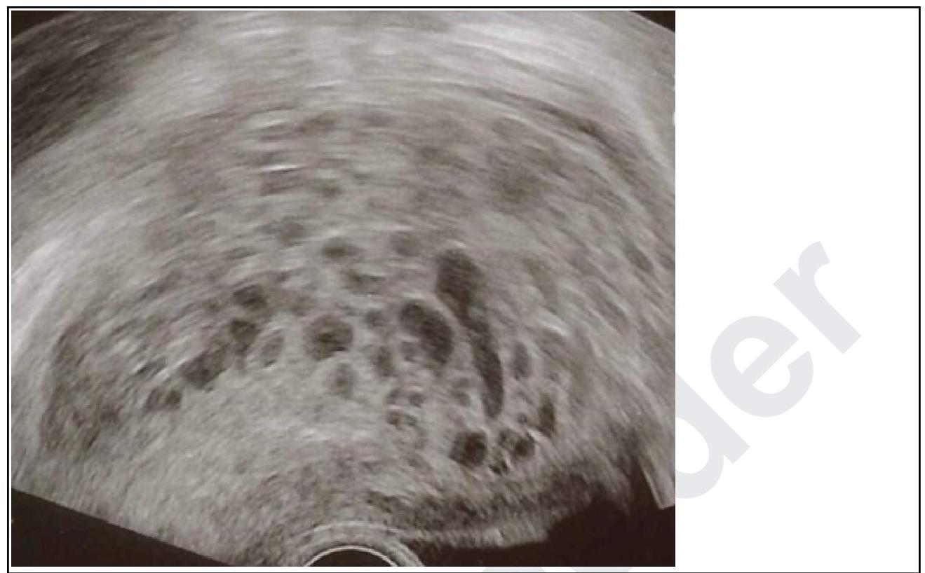
A primigravida in her 10th week of gestation presents with spotting. On examination, the uterus corresponds to 12 weeks. Transvaginal ultrasound was done and it is given below. What is your diagnosis?

In which gestational weeks is Hegar's sign typically observed?
USG can detect a gestation sac earliest at what time?
A confirmatory scan should be performed at what time in a G2P1 female detected with major placenta previa at 28 weeks on ultrasound (TVS).
In which week of embryonic development does the heart begin to beat?
According to Naegele's rule, what is the estimated date of delivery (EDD) for a patient with a last menstrual period (LMP) of 1st September 2017? (Dates given in DD/MM/YYYY format)
A primigravida presents to you with anemia early in her pregnancy. She is 7 weeks pregnant as seen on ultrasound. Her hemoglobin level is 9 g/dL. When should the iron supplements be started for her?
A pregnant woman comes to the clinic. She has previously delivered twins. What is the correct representation of her obstetric score?
EDD ( Expected Date of Delivery) is calculated by:
Explanation: ***37 weeks*** - Calculating from **LMP (August 25, 2014)** to assessment date **(May 11, 2015)**: Days remaining in August: 6 days (26th-31st), September through April: 242 days, Days in May: 11 days. - **Total: 259 days ÷ 7 = exactly 37 weeks** gestational age using standard **Naegele's rule** calculation method. *32 weeks* - This option would correspond to an assessment date in early April 2015, which is **too early** given the LMP and assessment date. - It suggests a **5-week shorter** pregnancy duration than the actual interval calculated. *35 weeks* - This option indicates an assessment around the third week of April 2015, which is still **earlier** than the May 11, 2015, date. - It implies a **2-week shorter** gestational period than the correct calculation shows. *40 weeks* - This option would correspond to an assessment date in early June 2015, **beyond** the May 11, 2015, assessment date. - This gestational age is **too long** for the specified dates and would suggest the patient is at **term** or past her due date.
Explanation: ***Hydatidiform mole*** - The ultrasound image shows a **"snowstorm" appearance**, characterized by multiple echogenic vesicles or cystic spaces within the uterine cavity, which is pathognomonic for a hydatidiform mole. - The clinical presentation of **vaginal spotting**, a uterus size **larger than expected for gestational age** (12 weeks uterus size at 10 weeks gestation), and possibly elevated hCG levels (though not given here) are all highly suggestive of a molar pregnancy. *Blighted ovum* - A blighted ovum, also known as an anembryonic pregnancy, involves a **gestational sac without an embryo**. - The ultrasound typically shows an empty gestational sac and does not feature the characteristic "snowstorm" pattern of a hydatidiform mole. *Ectopic pregnancy* - An ectopic pregnancy occurs when the **fertilized egg implants outside the uterus**, most commonly in the fallopian tube. - The ultrasound would typically show an **empty uterus** and a gestation outside the uterine cavity, usually with a mass in the adnexa, which is not seen here. *Missed abortion* - A missed abortion is characterized by the **death of the embryo or fetus but retention** within the uterus. - Ultrasound would show a **fetus without cardiac activity** or a gestational sac that is smaller than expected, without the typical vesicular pattern of a mole.
Explanation: ***6 to 10 weeks*** - **Hegar's sign** is a softening of the lower uterine segment, which is a probable sign of pregnancy detected during a **bimanual examination**. - This softening typically becomes noticeable and palpable between **6 and 10 weeks of gestation** due to increased vascularity and edema in the area. *10-14 weeks* - While the uterus continues to soften and enlarge, **Hegar's sign** is usually established earlier, making it less specific or prominent for confirmation in this later window. - At this stage, other signs of pregnancy, such as a **palpable fetal outline** or **fetal heart tones**, become more readily apparent. *14-18 weeks* - By this gestational period, the uterus is significantly larger and has risen out of the pelvic cavity, making the specific assessment of the **lower uterine segment's compressibility** as an isolated sign less relevant. - **Fetal movements** (quickening) may also be felt during this time, serving as a more direct indicator of pregnancy. *18-22 weeks* - At these later weeks, the uterus is distinctly enlarged, and much of the diagnosis relies on **fundal height assessment** and further monitoring of fetal development. - **Hegar's sign** is a very early sign of pregnancy and would not be used for confirmation in this advanced stage.
Explanation: ***5–6 weeks of gestation*** - A **gestation sac** is typically visible by **transvaginal ultrasound** when the **beta-hCG level** reaches approximately 1500-2000 mIU/mL, which corresponds to around **5 weeks of gestation**. - By **6 weeks**, a **yolk sac** and often a **fetal pole** with cardiac activity can be identified within the gestational sac. *7–8 weeks of gestation* - By this gestational age, the **embryo** and **cardiac activity** are clearly visible, and the **crown-rump length (CRL)** can be accurately measured for dating. - While a gestation sac is undoubtedly present, it would have been visible much earlier. *10 weeks of gestation* - At this stage, the **gestation sac** is significantly larger, and the **fetus** is well-defined, with developing limbs and organs. - This is far beyond the earliest detection window for a gestation sac. *12 weeks of gestation* - By **12 weeks**, the first-trimester screening, including **nuchal translucency** measurement, is often performed, meaning the pregnancy is well-established. - The gestation sac would have been visible for several weeks prior to this.
Explanation: ***At 32 weeks*** - The **RCOG Green-top Guideline No. 27** and **ACOG guidelines** recommend a confirmatory scan at **32 weeks** for placenta previa detected in the second trimester. - By 32 weeks, the **lower uterine segment** has developed sufficiently to accurately assess whether the placenta previa has resolved or persists. - This timing allows adequate time for **delivery planning** if the previa persists, including scheduling elective cesarean section and arranging appropriate resources. - Approximately **90% of low-lying placentas** identified at 20 weeks will have resolved by 32 weeks due to the development of the lower segment. *At 34 weeks* - While this provides a later assessment, it is **not the standard recommended timing** according to international guidelines. - Delaying the confirmatory scan to 34 weeks reduces the time available for optimal **delivery planning and counseling** if the previa persists. - The standard protocol is 32 weeks for confirmation, with a possible additional scan at 36 weeks if needed for final delivery planning. *At 36 weeks* - This is often used as a **final pre-delivery assessment** if placenta previa persists at 32 weeks, not as the initial confirmatory scan. - Waiting until 36 weeks for the first confirmatory scan may be too late for optimal management, especially if the patient experiences **antepartum hemorrhage**. - By guideline recommendations, 36 weeks is the timing for determining the **exact mode and timing of delivery**, not the initial confirmation. *At onset of labor* - This is a **dangerous approach** that could lead to catastrophic hemorrhage for both mother and fetus. - **Vaginal examination** in the presence of placenta previa can cause severe bleeding and is contraindicated. - Placenta previa requires **planned cesarean section**, which must be arranged well in advance based on earlier ultrasound confirmation, not determined at labor onset.
Explanation: ***4*** - The heart tube starts to beat rhythmically around day 22, which falls within the **fourth week** of embryonic development. - This early cardiac activity is crucial for initiating blood circulation and nutrient exchange within the developing embryo. *5* - By the fifth week, the heart is already functioning, and significant **remodeling and septation** of the heart chambers are actively occurring, not the initial beating. Development continues rapidly, with the primitive atrium and ventricle becoming more distinct [1]. - Fetal angiogenesis starts in the wall of the yolk sac in the 5th week [1]. *6* - During the sixth week, the heart has undergone considerable differentiation, with the formation of the **interatrial** and **interventricular septa** well underway. - The heart is actively pumping blood, and major vessels are connecting to the developing circulatory system. *7* - By the seventh week, the heart has largely achieved its four-chambered structure, and more complex processes like the **development of valves** are progressing. - The initial cardiac contractions are long past by this stage.
Explanation: ***08/06/2018*** - Naegele's rule: Add **7 days** to the LMP, subtract **3 months**, and add **1 year**. - For an LMP of 1st September 2017: (1 Sept 2017 + 7 days) = 8 Sept 2017; (8 Sept 2017 - 3 months) = 8 June 2017; (8 June 2017 + 1 year) = **8 June 2018**. - In DD/MM/YYYY format: **08/06/2018** is the correct EDD. *16/05/2018* - This represents 16th May 2018, which is incorrect. - The error involves miscalculating both the month (May instead of June) and the day (16th instead of 8th). - Subtracting 3 months from September yields June, not May. *16/07/2018* - This represents 16th July 2018, which is incorrect. - This reflects errors in both adding the days (resulting in 16th instead of 8th) and the month calculation (July instead of June). - Subtracting 3 months from September yields June, not July. *16/06/2018* - This represents 16th June 2018, which has the correct month but wrong day. - The error is in adding days: adding 7 days to the 1st gives the 8th, not the 16th. - This is a common calculation error when applying Naegele's rule.
Explanation: ***Correct Option: Immediately upon diagnosis*** - **Iron deficiency anemia** in pregnancy (Hb <11 g/dL in first trimester) should be addressed promptly to prevent adverse maternal and fetal outcomes - Initiating treatment at 7 weeks ensures sustained **iron stores** throughout pregnancy - WHO and ACOG guidelines recommend **immediate supplementation** when anemia is diagnosed during antenatal screening - Early treatment prevents worsening due to physiological plasma volume expansion in second trimester *Incorrect Option: 8 to 10 weeks* - Delaying treatment for 1-3 weeks after diagnosis at 7 weeks is not justified medically - Any delay in treatment allows anemia to worsen and depletes maternal iron stores - Recommended practice is **immediate supplementation** if hemoglobin count is less than 11 g/dL during first two antenatal visits *Incorrect Option: After 14 weeks* - Waiting until second trimester (after 14 weeks) would allow the **anemia to worsen**, making it harder to correct before physiological drop in hemoglobin due to plasma volume expansion - Fetal development, particularly **neurological development**, is rapid in first trimester and iron is crucial during this period - Delaying 7 weeks after diagnosis risks maternal complications and suboptimal fetal development *Incorrect Option: After 20 weeks* - Starting supplementation this late (13 weeks after diagnosis) would result in severe maternal iron deficiency - Significant **fetal iron demands** increase by third trimester, making it difficult to replete maternal stores if supplementation starts this late - **Severe anemia** poses risks such as **preterm birth**, low birth weight, and **postpartum hemorrhage**
Explanation: ***G2P1 (2 pregnancies, 1 delivery)*** - **Gravidity (G)** refers to the total number of times a woman has been pregnant, regardless of outcome. This patient has been pregnant **twice**: once previously (resulting in twins) and once currently. - **Parity (P)** refers to the number of deliveries after 20 weeks gestation. Multiple gestation (twins, triplets) counts as **ONE delivery**, not separate deliveries. Therefore, her previous twin delivery = **P1**. - Current pregnancy status: She is currently pregnant (contributes to gravidity) but has not yet delivered this pregnancy (does not contribute to parity yet). *G3P1 (3 pregnancies, 1 delivery)* - This incorrectly counts the current pregnancy as if she has been pregnant three times total. - The parity is correct (1 delivery), but gravidity is overestimated. *G3P2 (3 pregnancies, 2 deliveries)* - This makes two errors: incorrectly counting three total pregnancies AND incorrectly counting the twin delivery as two separate deliveries. - Remember: multiple gestation = one delivery event, not multiple deliveries. *G2P2 (2 pregnancies, 2 deliveries)* - Gravidity is correct (2 pregnancies total), but this incorrectly counts the twin delivery as two separate deliveries. - Parity should be 1, not 2, because delivering twins is a single delivery event.
Explanation: ***Naegele's formula*** - **Naegele's formula** is the most common and widely accepted method for calculating the estimated date of delivery (EDD). - It involves adding one year, subtracting three months, and adding seven days to the **first day of the last menstrual period (LMP)**. *Cardiff Formula* - The **Cardiff Formula** is a method used for assessing fetal movements, particularly for monitoring fetal well-being, not for calculating EDD. - It establishes a baseline of fetal movements over a specific period to detect any significant decrease. *McDonald's rule* - **McDonald's rule** is a clinical method used to estimate the gestational age based on fundal height measurements. - While it helps in estimating gestational age, it is not primarily used for calculating the precise EDD. *Hadlock Formula* - The **Hadlock Formula** refers to a set of widely used ultrasound-based formulas for estimating fetal weight and gestational age, typically involving biometry measurements like BPD, HC, AC, and FL. - While accurate for gestational age estimation, it's an imaging-based method, not a direct calculation of EDD from the LMP like Naegele's.
Get full access to all questions, explanations, and performance tracking.
Start For Free