The net effect of antenatal care has been the following EXCEPT:
Which one of the following statements regarding pre-conceptional counseling is NOT correct?
A 23-year-old woman presents at 10 weeks gestation with a positive rapid plasma reagin (RPR) titer of 1:64 and positive TPHA. She was treated for primary syphilis 2 years ago with appropriate penicillin therapy, after which her RPR declined to 1:2. She denies any new symptoms or sexual contacts since then. What is the most appropriate management?
What is the most appropriate topical treatment for external genital warts in pregnancy?
A 34-year-old pregnant woman at 28 weeks gestation is found to have a positive treponemal test (TPHA) but negative non-treponemal test (VDRL) during routine antenatal screening. She has no history of syphilis treatment. What is the most appropriate interpretation and management?
A pregnant woman presents with an IUD in place, and the thread is clearly visible. She wishes to continue the pregnancy. What is the most appropriate next step?
A woman has been using oral contraceptive pills (OCP) for 5 months and has had amenorrhea for the last 6 weeks. What is the best method to calculate the gestational age in this case?
A pregnant woman comes for a routine antenatal checkup. She had a history of a twin pregnancy one year ago. What is her gravida and para status?
The following cost-effective investigations are routinely recommended in the screening of antenatal mothers, EXCEPT:
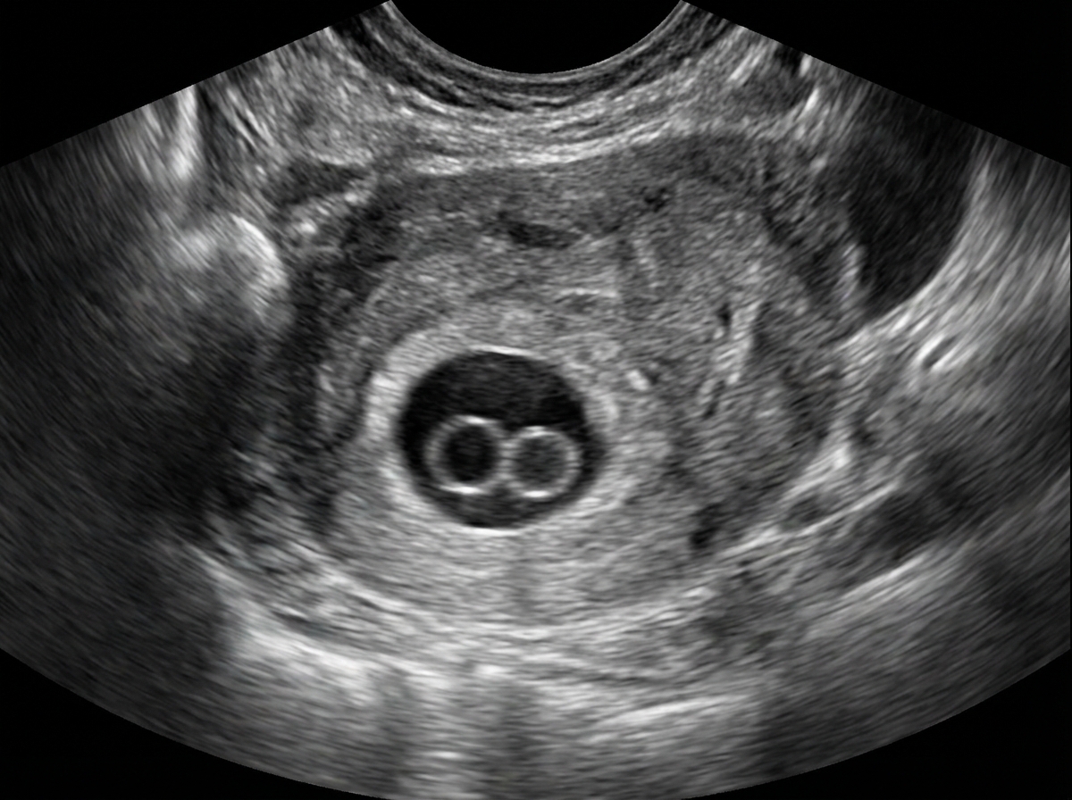
Double bleb sign seen in early pregnancy is due to?

Explanation: ***Reduction in the incidence of institutional delivery*** - Antenatal care aims to increase awareness of safe delivery practices and encourage women to deliver in health facilities, thereby **increasing institutional deliveries**, not reducing them. - Improved access to and understanding of obstetric care through ANC promotes safer childbirth environments. *Reduction in maternal morbidity* - Antenatal care plays a crucial role in the early detection and management of **pregnancy-related complications** such as pre-eclampsia, gestational diabetes, and infections. - This proactive management minimizes the severity and impact of these conditions on maternal health. *Reduction in perinatal mortality* - Regular antenatal visits allow for monitoring of fetal growth and well-being, identification of **fetal distress**, and intervention for conditions like intrauterine growth restriction. - Early detection and management of issues affecting the fetus significantly improve perinatal outcomes and reduce **stillbirths** and **neonatal deaths**. *Reduction in maternal mortality* - ANC provides essential health education, nutritional advice, and timely vaccinations, which are vital for a healthy pregnancy. - It also facilitates preparedness for childbirth and potential complications, thereby **reducing the risk of maternal death** from preventable causes.
Explanation: ***It is needed only in selected complicated pregnancies*** - Pre-conceptional counseling is important for **all women of reproductive age**, especially those planning a pregnancy, not just for complicated cases. - Its purpose is to **optimize maternal health before conception** to prevent adverse outcomes, regardless of initial perceived risk. *It helps in early detection of risk factors* - Pre-conceptional counseling identifies **maternal and fetal risk factors** such as chronic medical conditions, genetic predisposition, and lifestyle choices before pregnancy. - Early detection allows for ** timely interventions** to mitigate these risks. *It is a part of preventive medicine* - Counseling before pregnancy focuses on **prevention of adverse pregnancy outcomes** by optimizing health and addressing potential issues. - This proactive approach aligns directly with the principles of **preventive healthcare**. *It helps in reducing maternal morbidity and mortality* - By addressing risk factors, optimizing health, and educating women about healthy behaviors, pre-conceptional counseling can significantly **lower the incidence of complications** during pregnancy. - This ultimately contributes to a **reduction in maternal illness and death**.
Explanation: **Retreatment with three doses of benzathine penicillin G** - The significant **fourfold or greater increase in RPR titer (from 1:2 to 1:64)** indicates **reinfection or treatment failure**, even in the absence of symptoms or reported new exposures. - Given the **2-year interval since initial treatment** and **uncertain timing of reinfection**, this should be managed as **late latent syphilis or syphilis of unknown duration**, which requires **three weekly doses of benzathine penicillin G 2.4 million units IM**. - In pregnant women, this approach is critical to **prevent congenital syphilis** and ensure adequate treponemacidal levels throughout pregnancy. *HIV testing followed by treatment decision* - While **HIV testing is crucial for all pregnant women** and those with syphilis, it is **not the primary determinant** of treatment for syphilis reinfection. - The need for syphilis treatment is established by the **rising RPR titer**, irrespective of HIV status. - Treatment should **not be delayed** pending HIV test results. *No treatment needed as this represents serological scar* - A **serological scar** would typically involve low, stable non-treponemal titers (e.g., 1:1 or 1:2) without a significant rise. - The **1:64 RPR titer** represents a **32-fold increase** from the previous 1:2, indicating **active infection**, not a serological scar. - Serological scars remain stable and do not show such dramatic increases. *Retreatment with one dose of benzathine penicillin G* - A **single dose of benzathine penicillin G** is appropriate for **early syphilis (primary, secondary, or early latent <1 year duration)**. - In this case, the **2-year interval** since original treatment and **uncertain timing of reinfection** necessitate treating as **late latent syphilis**, which requires **three doses**. - During pregnancy, the more conservative approach is essential to prevent congenital syphilis.
Explanation: ***Trichloroacetic acid (TCA)*** - **TCA** is a caustic agent that **chemically ablates** warts and is considered safe for use in **pregnancy** as it is not systemically absorbed. - It works by **denaturing proteins** and causing necrosis of the wart tissue, leading to its destruction. *5-Fluorouracil cream* - **5-Fluorouracil** is an **antineoplastic agent** that inhibits cell proliferation and DNA synthesis. - It is **contraindicated in pregnancy** due to potential **teratogenic effects** on the fetus. *Imiquimod cream* - **Imiquimod** is an **immune response modifier** that stimulates interferon and cytokine production. - It is **not recommended in pregnancy** due to **insufficient safety data** regarding its systemic absorption and potential effects on fetal development. *Podophyllin resin* - **Podophyllin** is a **cytotoxic agent** that inhibits cell division and causes tissue necrosis. - It is **contraindicated in pregnancy** due to significant **systemic absorption** and high risk of **fetal toxicity and teratogenicity**.
Explanation: ***Latent syphilis cannot be ruled out - treat with benzathine penicillin*** - A positive **treponemal test (TPHA)** with a **negative non-treponemal test (VDRL)** in a patient with **no documented treatment history** requires treatment in pregnancy to prevent **congenital syphilis**. - This serologic pattern can represent **late latent syphilis** (where VDRL titers may wane over time), **very early primary syphilis** (before VDRL seroconversion), or even previously treated infection with undocumented history. - In pregnancy, when treponemal testing is positive and treatment status is uncertain or undocumented, the standard of care is to **treat presumptively** with **benzathine penicillin G 2.4 million units IM** to protect the fetus from congenital syphilis. - The principle is: **when in doubt, treat** - the risk of untreated maternal syphilis to the fetus far outweighs the minimal risk of unnecessary treatment. *Successfully treated past infection - no treatment needed* - While a positive TPHA with negative VDRL can indicate successfully treated past infection (serofast state), the patient has **no documented history of syphilis treatment**. - Without documentation of adequate treatment, one cannot assume prior successful treatment - this would put the fetus at unacceptable risk for **congenital syphilis** (which can cause stillbirth, neonatal death, and severe congenital abnormalities). - CDC and WHO guidelines recommend treatment in pregnancy when treatment history is uncertain or undocumented. *Biological false positive - repeat testing in 4 weeks* - **Biological false positives** typically occur with **non-treponemal tests** (VDRL/RPR) in conditions like pregnancy, autoimmune diseases, or acute infections, usually presenting as positive VDRL/RPR with negative confirmatory treponemal testing. - A positive **TPHA (treponemal test)** is highly specific for treponemal infection and rarely gives false positives. - Delaying treatment for repeat testing in 4 weeks is inappropriate in pregnancy when treponemal testing is positive - this creates unnecessary risk for vertical transmission and congenital syphilis. *False positive TPHA - no treatment needed* - **TPHA** (Treponema pallidum Hemagglutination Assay) is a highly specific treponemal test with very low false-positive rates. - False-positive treponemal tests are rare and typically occur in conditions like Lyme disease or other spirochetal infections. - Given the high specificity of TPHA and the critical importance of preventing congenital syphilis, dismissing a positive result as false positive without treatment is clinically inappropriate and potentially harmful.
Explanation: ***Remove gently*** - When the **IUD thread is visible**, gentle removal is recommended if the woman wishes to **continue the pregnancy**, as this significantly reduces the risk of miscarriage and infection. - Leaving an **IUD in situ** during pregnancy increases risks of **septic miscarriage**, **preterm delivery**, and **chorioamnionitis**. *Leave the IUD inside* - Leaving an **IUD in place** during pregnancy increases the risks of **septic miscarriage**, **chorioamnionitis**, and **preterm labor**. - The presence of the IUD can also lead to **placental complications** and difficulties with fetal development. *MTP (Medical Termination of Pregnancy)* - MTP is an option for unintended pregnancies but is not the most appropriate first step when the patient explicitly **wishes to continue the pregnancy**. - MTP would be considered if the patient chose to terminate, but the question states she wants to continue. *Cesarean section* - **Cesarean section** is a mode of delivery and is not an appropriate initial intervention for an early pregnancy with an **IUD in situ**. - The removal of an IUD from an early pregnancy does not necessitate a cesarean section.
Explanation: ***Crown-Rump Length (CRL) by Ultrasound (USG)*** - For women with **irregular menstrual cycles**, unknown last menstrual period, or those on **hormonal contraceptives**, **early ultrasound measurement of CRL** is the most accurate method for gestational age determination. - CRL is most accurate between **6 and 14 weeks of gestation**, providing a precise estimate within 3-5 days. *Abdominal girth* - **Abdominal girth** is an unreliable and highly variable measure that is not used for accurate gestational age determination. - It is influenced by maternal body habitus, uterine fibroids, and amniotic fluid volume, making it imprecise. *280 days from Last Menstrual Period (LMP)* - This method (Naegele's rule) assumes a **regular 28-day menstrual cycle** and ovulation on day 14, which is not applicable for a woman on **oral contraceptive pills (OCP)** where ovulation is suppressed. - The use of OCPs alters the hormonal profile, generally causing **amenorrhea or withdrawal bleeding** that does not reflect a true ovulatory cycle. *256 days from Last Menstrual Period (LMP)* - This calculation is not a standard or recognized method for determining **estimated date of delivery (EDD)**. - The standard calculation from LMP uses **280 days (40 weeks)** for a full-term pregnancy.
Explanation: ***G2P1*** - **Gravida (G)** refers to the total number of confirmed pregnancies, regardless of outcome. This current pregnancy is her second, making her G2. - **Para (P)** denotes the number of pregnancies that have reached viability (typically 20 weeks gestation or more), producing one or more fetuses. Her previous twin pregnancy, regardless of the number of babies, counts as one para event. *G2P3* - While G2 is correct (current pregnancy + previous twin pregnancy), P3 would imply three separate birth events beyond viability, which is not supported by the history of one twin pregnancy. - The number of babies born in a single pregnancy beyond viability does not increase the 'P' count; it refers to the number of pregnancies carried to term. *G2P2* - G2 is correct, but P2 would mean she had two separate pregnancies that reached viability. She only had one previous pregnancy that reached viability (the twin pregnancy). - The para count is determined by the number of deliveries, not the number of fetuses delivered. *G2P0* - While G2 is correct, P0 would mean she has never carried a pregnancy to the point of viability. - Her history clearly states a twin pregnancy one year ago, indicating a previous pregnancy carried to term, making P0 incorrect.
Explanation: ***Echocardiography for cardiac disease*** - **Echocardiography** is not a *routinely recommended* screening investigation for all antenatal mothers due to its cost and the relatively low prevalence of significant congenital heart disease requiring universal screening. - It is typically performed only if there are **specific risk factors** or suspicious findings suggesting cardiac pathology. *Blood sugar levels for GDM* - Screening for **gestational diabetes mellitus (GDM)** with blood sugar levels (e.g., glucose challenge test) is routinely recommended due to the potential maternal and fetal complications if untreated. - GDM is a common condition that can be effectively managed with early diagnosis, making screening a **cost-effective** preventive measure. *VDRL for syphilis* - Screening for **syphilis** using tests like VDRL (Venereal Disease Research Laboratory) is a standard and *routinely recommended* antenatal investigation. - Early detection and treatment of syphilis in pregnant women prevent serious adverse outcomes such as **congenital syphilis**, which can cause severe fetal morbidity and mortality. *Urine analysis for bacteriuria* - **Urine analysis** for **asymptomatic bacteriuria** is routinely recommended during pregnancy because untreated bacteriuria can lead to pyelonephritis, preterm labor, and low birth weight. - It is a simple, **cost-effective** test with significant benefits for maternal and fetal health.
Explanation: ***Yolk sac and amniotic sac*** - The **double bleb sign** on ultrasound refers to the separate visualization of the **yolk sac** and the **amniotic sac** within the gestational sac. - This sign is a crucial indicator of a **viable intrauterine pregnancy** in the early stages, typically between 5.5 and 6.5 weeks of gestation. *Amnion and chorion* - The **amnion** and **chorion** are membranes that form later in pregnancy and eventually fuse. - While they are distinct structures, their visualization does not constitute the "double bleb sign," which specifically refers to the distinct spaces of the yolk sac and amniotic sac. *Chorion and decidua* - The **chorion** is the outer fetal membrane, and the **decidua** is the modified endometrium during pregnancy. - While both are important structures in early pregnancy, they are not the structures visualized in the double bleb sign. *Twin pregnancy* - A **twin pregnancy** would involve two separate gestational sacs or, in the case of monochorionic-diamniotic twins, two amniotic sacs within one chorion, each containing a fetus. - The double bleb sign is a feature of a **single intrauterine pregnancy** and is not indicative of twins.
Preconception Counseling
Practice Questions
Pregnancy Diagnosis and Dating
Practice Questions
Routine Antenatal Assessments
Practice Questions
Maternal Physiological Changes
Practice Questions
Nutrition in Pregnancy
Practice Questions
Screening Tests in Pregnancy
Practice Questions
Fetal Growth Assessment
Practice Questions
High-Risk Pregnancy Identification
Practice Questions
Antenatal Complications Management
Practice Questions
Psychosocial Aspects of Pregnancy
Practice Questions
Get full access to all questions, explanations, and performance tracking.
Start For Free