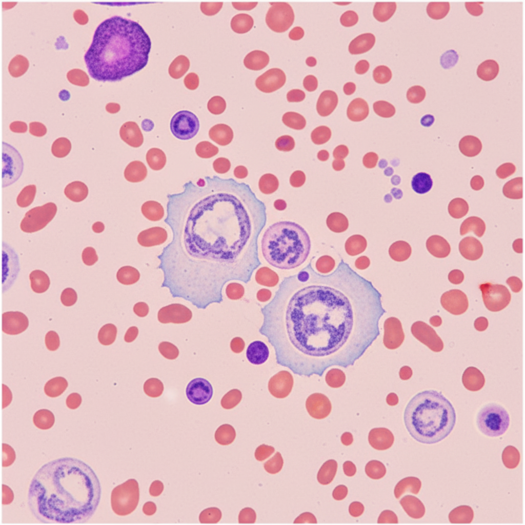
A 23-year-old male presents with fever and cervical lymphadenopathy. The peripheral smear shows a specific finding. What is the most likely diagnosis?

What virus most commonly causes aplastic crisis in hemolytic anemia?
A person who has received the full course of vaccine against Hepatitis B Virus (HBV) wants to know the response to the vaccine. Which serological marker should be tested to assess vaccine response?
Reverse transcriptase of hepatitis B virus is coded on which gene?
Which of the following is the most commonly vertically transmitted organism?
Which of the following statements regarding poliomyelitis is true?
Which of the following is not a structural gene of HIV?
Which of the following viruses does NOT possess an outer lipoprotein envelope?
Which of the following viruses is not oncogenic?
The protein of envelope is found in which of the following virus families?
Explanation: ***Infectious mononucleosis*** - The "specific finding" on peripheral smear refers to **atypical lymphocytes (Downey cells)**, which are characteristic of **EBV infection** in young adults. - Classic presentation of **fever** and **cervical lymphadenopathy** in a young male strongly suggests **infectious mononucleosis**. *Acute Myeloid Leukemia (AML)* - Would show **blast cells** (>20% myeloblasts) on peripheral smear, not atypical lymphocytes. - Typically presents with **pancytopenia**, **bleeding**, and **bone marrow failure** rather than isolated lymphadenopathy. *Acute Lymphoblastic Leukemia (ALL)* - Characterized by **lymphoblasts** on peripheral smear, which are immature cells with high nuclear-to-cytoplasmic ratio. - More common in **children** and presents with **bone marrow failure symptoms** like fatigue, bleeding, and infections. *None of the above* - The clinical scenario of a **young adult** with **fever**, **cervical lymphadenopathy**, and **atypical lymphocytes** is classic for infectious mononucleosis. - **EBV-induced atypical lymphocytes** are the pathognomonic finding that confirms the diagnosis.
Explanation: **Explanation:** **Parvovirus B19** is the correct answer because it specifically targets and infects **erythroid progenitor cells** (pro-erythroblasts) in the bone marrow by binding to the **P-antigen** (globoside) on the cell surface. In healthy individuals, the temporary cessation of red blood cell (RBC) production is clinically silent. However, in patients with underlying **hemolytic anemias** (e.g., Sickle Cell Disease, Hereditary Spherocytosis, Thalassemia), where RBC lifespan is already shortened, this sudden halt in erythropoiesis leads to a life-threatening **Aplastic Crisis**, characterized by a plummeting hemoglobin level and a **reticulocytopenia** (low reticulocyte count). **Incorrect Options:** * **HIV (Option A):** While HIV causes chronic anemia of chronic disease and bone marrow suppression in advanced stages, it does not cause an acute aplastic crisis. * **Herpes virus (Option B):** Members like CMV or EBV can cause cytopenias or infectious mononucleosis, but they do not selectively target erythroid precursors. * **HTLV (Option D):** HTLV-1 is associated with Adult T-cell Leukemia/Lymphoma (ATLL) and tropical spastic paraparesis, not acute erythroid failure. **High-Yield Clinical Pearls for NEET-PG:** * **Erythema Infectiosum (Fifth Disease):** Parvovirus B19 causes the classic "slapped-cheek" rash in children. * **Hydrops Fetalis:** Maternal infection during pregnancy can lead to severe fetal anemia, high-output cardiac failure, and fetal death. * **Arthropathy:** In adults, it often presents as symmetrical small joint arthritis (mimicking Rheumatoid Arthritis). * **Diagnosis:** The most sensitive indicator of an acute aplastic crisis is a **low reticulocyte count** in the presence of worsening anemia.
Explanation: **Explanation:** The Hepatitis B vaccine is a **subunit vaccine** containing recombinant **HBsAg** (Hepatitis B surface antigen). When administered, the body’s immune system recognizes this surface protein and produces specific neutralizing antibodies against it. Therefore, the presence of **Anti-HBsAg** (Antibody to HBsAg) is the definitive marker of immunity following vaccination. **Analysis of Options:** * **Anti-HBsAg (Correct):** This is the only marker that appears after successful vaccination. A titer of **≥10 mIU/mL** is generally considered protective. * **HBsAg (Incorrect):** This is a marker of active infection (either acute or chronic). It represents the presence of the virus itself, not the immune response to the vaccine. * **IgM anti-HBc (Incorrect):** This antibody is produced against the "core" antigen of the virus. Since the vaccine only contains the "surface" antigen and not the core, this marker will be **negative** in a vaccinated person. It is a hallmark of **acute/recent natural infection**. * **HBeAg (Incorrect):** This is a marker of active viral replication and high infectivity. It is never found as a result of vaccination. **NEET-PG High-Yield Pearls:** 1. **Isolated Anti-HBs (+):** Indicates immunity due to **vaccination**. 2. **Anti-HBs (+) AND Anti-HBc (+):** Indicates immunity due to **natural infection** (recovery). 3. **Window Period:** The period where HBsAg disappears but Anti-HBs has not yet appeared. The only diagnostic marker here is **IgM anti-HBc**. 4. **Non-responders:** Individuals who do not develop a titer of ≥10 mIU/mL after a full 3-dose series.
Explanation: **Explanation:** The Hepatitis B Virus (HBV) is a partially double-stranded DNA virus (Hepadnaviridae) that replicates through an RNA intermediate using the enzyme **Reverse Transcriptase**. This enzyme is encoded by the **P (Polymerase) gene**. **1. Why Option C is Correct:** The **P gene** is the largest open reading frame (ORF) in the HBV genome. It encodes a multi-functional protein with four domains: the terminal protein (primes replication), a spacer region, the **Reverse Transcriptase (RT)**, and RNase H. The RT domain is responsible for synthesizing genomic DNA from the pregenomic RNA (pgRNA) template. **2. Why Other Options are Incorrect:** * **A. C gene (Core):** Encodes the nucleocapsid proteins, specifically the **HBcAg** (Core antigen) and **HBeAg** (Pre-core/secretory antigen). * **B. S gene (Surface):** Encodes the envelope glycoproteins, collectively known as **HBsAg** (Surface antigen), which includes the Pre-S1, Pre-S2, and S regions. * **D. X gene:** Encodes the **HBx protein**, a transcriptional transactivator. It plays a critical role in viral replication and is strongly associated with the development of **Hepatocellular Carcinoma (HCC)** by interfering with p53 and other cell cycle regulators. **Clinical Pearls for NEET-PG:** * **Replication Cycle:** HBV is unique among DNA viruses because it uses reverse transcription, a feature shared with Retroviruses. * **Drug Target:** The P gene product (Reverse Transcriptase) is the primary target for Nucleoside/Nucleotide Analogues (NRTIs) like **Lamivudine, Entecavir, and Tenofovir**. * **Dane Particle:** The complete infectious virion is a 42 nm spherical particle. * **HBx Protein:** High-yield association with oncogenesis (HCC).
Explanation: ### Explanation **Correct Answer: B. Cytomegalovirus (CMV)** **Why it is correct:** Cytomegalovirus (CMV) is the **most common cause of congenital (intrauterine) infection** worldwide, affecting approximately 0.2% to 2% of all live births. Unlike many other TORCH agents, CMV can be transmitted to the fetus during both primary maternal infection and reactivation (recurrent infection) due to its ability to establish latency. It is the leading non-genetic cause of sensorineural hearing loss and neurodevelopmental delays in children. **Analysis of Incorrect Options:** * **A. Herpes Simplex Virus (HSV):** While HSV can be transmitted vertically, it most commonly occurs **perinatally** (during delivery through an infected birth canal) rather than in utero. It is less frequent than CMV. * **C. Rubella Virus:** Although Rubella causes severe congenital rubella syndrome (CRS), its incidence has drastically declined in regions with robust MMR vaccination programs. It is no longer the "most common" due to effective immunization. * **D. Human Papillomavirus (HPV):** Vertical transmission of HPV is rare. When it occurs, it typically manifests as recurrent respiratory papillomatosis in the child, but it is not a frequent cause of congenital infection compared to the TORCH group. **NEET-PG High-Yield Pearls:** * **Most common clinical feature:** Most neonates (90%) are asymptomatic at birth. * **Classic Triad of Symptomatic CMV:** Periventricular calcifications (pathognomonic), microcephaly, and sensorineural hearing loss. * **Diagnosis:** The gold standard for congenital CMV is detecting the virus in **urine or saliva** via PCR within the first 3 weeks of life. * **Histology:** Look for "Owl’s eye" intranuclear inclusion bodies. * **Treatment:** Intravenous Ganciclovir or oral Valganciclovir is used for symptomatic neonates to reduce the severity of hearing loss.
Explanation: **Explanation:** **Correct Answer: C. It commonly spreads by the fecal-oral route.** Poliovirus is an Enterovirus belonging to the *Picornaviridae* family. Its primary mode of transmission is the **fecal-oral route**, especially in areas with poor sanitation. The virus multiplies in the oropharynx and intestinal mucosa, being excreted in feces for several weeks. In the early stages of infection, droplet infection (respiratory route) is also possible, but fecal-oral transmission remains the dominant epidemiological driver. **Analysis of Incorrect Options:** * **A. Poliovirus is resistant to pasteurization:** This is incorrect. Poliovirus is **heat-labile** and is readily inactivated by pasteurization ($60^\circ\text{C}$ for 30 minutes). It is also sensitive to formaldehyde and chlorine. * **B. For every clinical case, there may be 1000 subclinical cases in adults:** This is incorrect. The ratio of subclinical to clinical cases varies by age. In **children**, the ratio is approximately **1:1000**, whereas in **adults**, it is approximately **1:75**. This makes adults more prone to developing paralytic polio if infected. * **D. Most outbreaks of polio are due to type-3 poliovirus:** This is incorrect. **Type 1** is the most common cause of epidemics and is the most paralytogenic strain. Type 2 has been eradicated globally (declared in 2015), and Type 3 was declared eradicated in 2019. **High-Yield Clinical Pearls for NEET-PG:** * **Specimen of choice:** Stool is the most sensitive specimen for virus isolation (highest viral load). * **Pathogenesis:** The virus spreads via the hematogenous route to the CNS, specifically targeting the **anterior horn cells** of the spinal cord. * **Vaccines:** * **Salk (IPV):** Killed vaccine, induces humoral immunity (IgG) only. * **Sabin (OPV):** Live attenuated, induces both humoral (IgG) and local mucosal immunity (IgA). It can cause Vaccine-Associated Paralytic Polio (VAPP).
Explanation: **Explanation:** The HIV genome is composed of three categories of genes: **Structural**, **Regulatory**, and **Accessory**. Understanding this classification is high-yield for NEET-PG. **Why Tat is the correct answer:** **Tat (Trans-activator of transcription)** is a **Regulatory gene**, not a structural one. Its primary function is to enhance the efficiency of viral transcription by binding to the TAR (trans-activation response) element, significantly increasing the production of viral mRNAs. Along with **Rev**, it is essential for viral replication. **Why the other options are incorrect:** The HIV genome contains three major **structural genes** that code for the physical components of the virion: * **Gag (Group-specific antigen):** Codes for internal core proteins, primarily **p24** (capsid), p17 (matrix), and p7/p9 (nucleocapsid). * **Pol (Polymerase):** Codes for vital enzymes required for the viral life cycle: **Reverse Transcriptase**, **Integrase**, and **Protease**. * **Env (Envelope):** Codes for the precursor gp160, which is cleaved into surface glycoproteins **gp120** (attachment to CD4) and **gp41** (fusion/transmembrane). **High-Yield Clinical Pearls for NEET-PG:** * **p24 Antigen:** The earliest serological marker of HIV infection (detected in the "window period"). * **gp120:** Responsible for tropism; it binds to the CD4 receptor and CCR5/CXCR4 co-receptors. * **Accessory Genes:** Include *vif, vpu, vpr,* and *nef*. **Nef** is particularly important as it downregulates CD4 and MHC-I expression, helping the virus evade the immune system. * **Regulatory Genes:** *Tat* and *Rev*.
Explanation: ### Explanation The presence or absence of a lipoprotein envelope is a fundamental classification tool in virology. Viruses are categorized into **Enveloped** and **Non-enveloped (Naked)** viruses. **1. Why Papilloma Virus is the Correct Answer:** Human Papilloma Virus (HPV) belongs to the **Papillovaviridae** family. It is a **naked (non-enveloped) DNA virus** with an icosahedral capsid. Naked viruses are generally more resistant to environmental conditions, heat, and detergents compared to enveloped viruses, which rely on their lipid bilayer for infectivity. **2. Analysis of Incorrect Options:** * **Varicella Zoster Virus (Option A):** A member of the *Herpesviridae* family. All herpesviruses are enveloped DNA viruses that acquire their envelope from the host cell's nuclear membrane. * **Influenza Virus (Option C):** An Orthomyxovirus. It is an enveloped RNA virus. Its envelope contains critical glycoproteins: Hemagglutinin (HA) and Neuraminidase (NA). * **Human Immunodeficiency Virus (Option D):** A Retrovirus. It is an enveloped RNA virus that buds from the host cell's plasma membrane. **3. NEET-PG High-Yield Clinical Pearls:** * **Mnemonic for DNA Viruses:** "Most DNA viruses are double-stranded, icosahedral, and replicate in the nucleus." * **Mnemonic for Naked DNA Viruses:** **PAPP** ( **P**arvovirus, **A**denovirus, **P**apillomavirus, **P**olyomavirus). * **Clinical Significance:** Because Papilloma virus lacks an envelope, it is highly stable and can be transmitted via fomites and direct skin-to-skin contact. It is the primary causative agent of cervical cancer (Types 16, 18) and genital warts (Types 6, 11). * **Disinfection:** Enveloped viruses (like HIV and Influenza) are easily inactivated by alcohols and detergents, whereas naked viruses (like HPV or Hepatitis A) require more potent disinfectants like bleach.
Explanation: **Explanation:** The correct answer is **None of the above** because all the viruses listed in the options have established associations with human oncogenesis (cancer formation). **1. Human Papillomavirus (HPV):** High-risk strains (primarily **HPV 16 and 18**) are the leading cause of cervical carcinoma, as well as oropharyngeal and anogenital cancers. They act via E6 and E7 oncoproteins, which inhibit tumor suppressor proteins p53 and Rb, respectively. **2. Human T-lymphotropic virus type 1 (HTLV-1):** This is a retrovirus and the only RNA virus directly linked to human cancer. it is the causative agent of **Adult T-cell Leukemia/Lymphoma (ATLL)**. Its oncogenic potential is mediated by the **Tax protein**, which promotes cell proliferation and inhibits DNA repair. **3. Herpes Simplex Virus type 1 (HSV-1):** While HSV-1 is primarily known for orofacial lesions, it is classified as a "hit-and-run" oncogenic virus. It has been implicated in the development of certain oral squamous cell carcinomas. Furthermore, other members of the Herpesviridae family, such as EBV (Burkitt lymphoma) and HHV-8 (Kaposi sarcoma), are potent oncogenes. **NEET-PG High-Yield Pearls:** * **DNA Oncogenic Viruses:** HPV, EBV, HHV-8, Hepatitis B (HBV), and Merkel Cell Polyomavirus. * **RNA Oncogenic Viruses:** HTLV-1 and Hepatitis C (HCV). Note: HCV causes cancer indirectly through chronic inflammation/cirrhosis, whereas HTLV-1 is directly oncogenic. * **Mechanism:** Most DNA oncogenic viruses integrate into the host genome or express proteins that neutralize p53/Rb "brakes" on the cell cycle.
Explanation: **Explanation:** The presence or absence of a lipid envelope is a fundamental classification criterion in virology. The question asks which family possesses an **enveloped structure**. **1. Why Myxovirus is Correct:** The **Myxovirus** family (which includes Orthomyxoviridae like Influenza and Paramyxoviridae like Measles/Mumps) consists of **enveloped viruses**. The envelope is derived from the host cell membrane during budding and contains essential viral glycoproteins (spikes) such as Hemagglutinin (H) and Neuraminidase (N). These proteins are critical for attachment and entry into host cells. **2. Analysis of Incorrect Options:** * **Togavirus:** While Togaviruses are also enveloped, in the context of standard NEET-PG questions where "Myxovirus" is the intended answer, it often refers to the classic group of respiratory viruses characterized by their affinity for mucins (myxo = mucus). *Note: If this were a multiple-choice question with multiple correct answers, Togavirus would also be technically correct; however, in single-best-answer formats, Myxoviruses are the prototypical examples of complex enveloped RNA viruses.* * **Parvovirus:** This is a **non-enveloped (naked)** DNA virus. It is the smallest DNA virus and is notably resistant to environmental degradation. * **Adenovirus:** This is a **non-enveloped (naked)** DNA virus characterized by an icosahedral shape with projecting fibers (penton bases). **High-Yield Clinical Pearls for NEET-PG:** * **Mnemonic for DNA Viruses:** "HHAPPPy" (Herpes, Hepadna, Adeno, Papova, Parvo, Pox). Among these, **Parvo, Adeno, and Papova** are **naked**. * **Enveloped Viruses** are generally more fragile; they are easily destroyed by detergents, ether, and bile salts. This is why most "fecal-oral" transmitted viruses (like Hepatitis A or Polio) are non-enveloped. * **All negative-sense RNA viruses** are enveloped. * **Myxoviruses** are unique for their "pleomorphic" shape due to the flexibility of the envelope.
Virus Structure and Classification
Practice Questions
Viral Replication
Practice Questions
Pathogenesis of Viral Infections
Practice Questions
DNA Viruses: Herpesviruses
Practice Questions
DNA Viruses: Poxviruses and Adenoviruses
Practice Questions
Hepatitis Viruses
Practice Questions
RNA Viruses: Orthomyxoviruses
Practice Questions
RNA Viruses: Paramyxoviruses
Practice Questions
Enteroviruses and Rhinoviruses
Practice Questions
Arboviruses
Practice Questions
HIV and Retroviruses
Practice Questions
Oncogenic Viruses
Practice Questions
Get full access to all questions, explanations, and performance tracking.
Start For Free