What is the initial management for a snake bite?
Antifreeze ingestion leads to which of the following?
A 32-year-old lethargic male presented to the emergency department with a history of drug consumption. Investigations revealed hypocalcemia, serum creatinine of 3.8 mg/dL, and elevated BUN. Arterial blood gas analysis showed metabolic acidosis. Urine examination revealed calcium oxalate crystals. The patient was treated with 4-methylpyrazole. What is the most probable drug ingestion leading to this condition?
Hemodialysis is useful in treating poisoning with all of the following agents, EXCEPT:
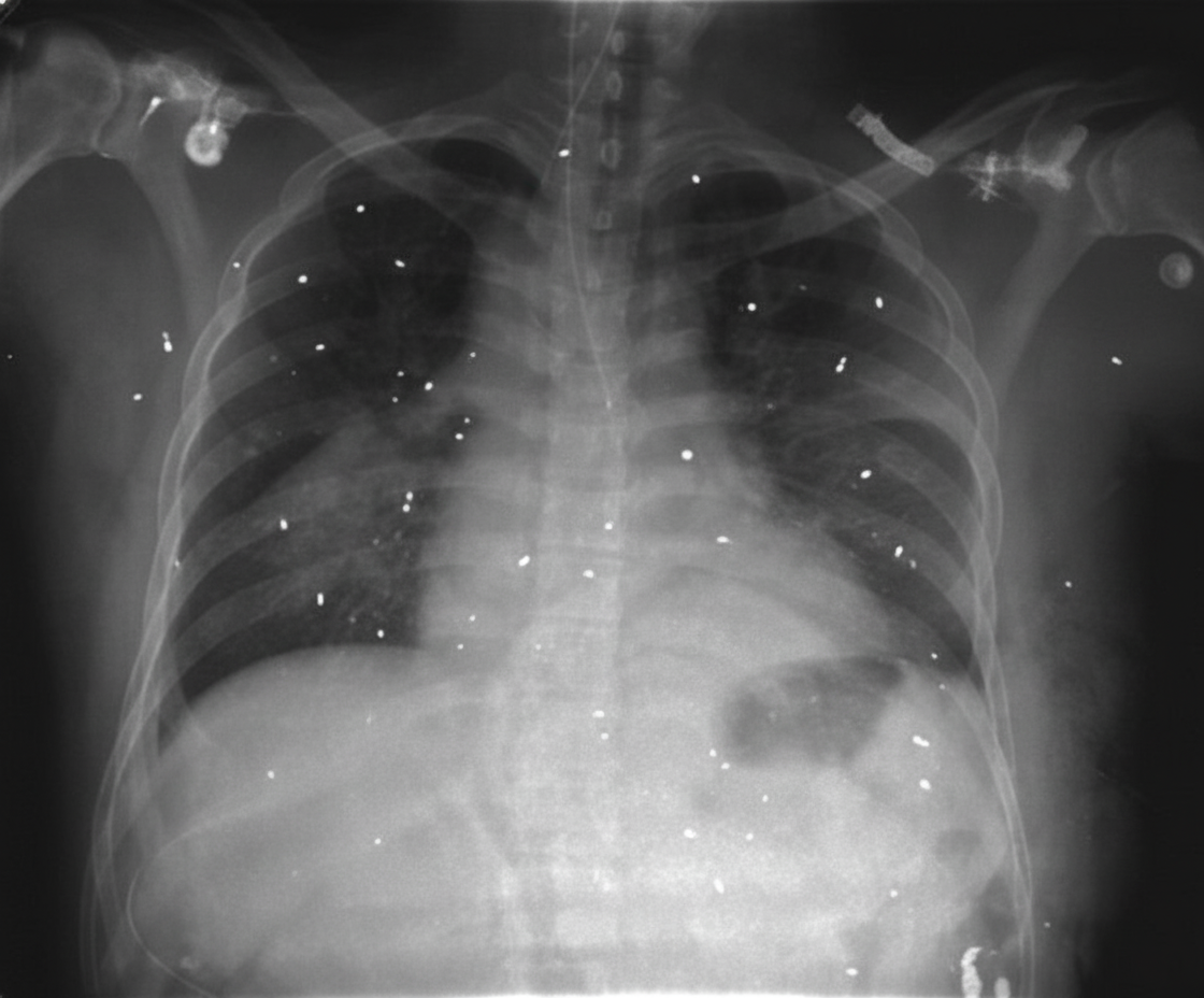
A 29-year-old man with a history of substance abuse presented with headache, fever, and metallic taste in his mouth. His physical exam was normal except for needle tracks in his right arm. A chest X-ray was performed. Based on the chest X-ray findings, what is the most likely diagnosis?

A young man with a known history of heroin addiction is brought to the emergency department in an unconscious state by his friends. On examination, his pupils are pinpoint. What is the treatment of choice?
A family of four presents with a burning sensation over the extremities. Some members also experience vomiting, diarrhea, dilated pupils, and occasional muscle spasms. What is the MOST likely cause of these symptoms?
A patient with a long history of depression on antidepressants presents with bradycardia, hypersalivation, and miosis after consuming an unknown substance. What is the most probable diagnosis?
Hemodialysis is used in the management of poisoning by all of the following agents except:
Which of the following drugs is most likely to result in addiction among those who have ever used it?
Explanation: **Explanation:** The primary goal in the immediate management of a snake bite is to delay the systemic absorption of venom. Snake venom is primarily transported through the **lymphatic system**, rather than the venous system. Physical activity and muscle contractions act as a "pump," accelerating the spread of venom into the systemic circulation. Therefore, **immobilizing the affected limb** (using a splint or sling) and keeping the patient still is the most critical initial step to localize the toxin and prevent rapid systemic toxicity. **Analysis of Options:** * **Option A:** Antivenom (ASV) is the definitive treatment, but it is administered only after a clinical diagnosis of envenomation (e.g., coagulopathy or neurological signs) is confirmed in a hospital setting. It is not the "initial" field management. * **Option C:** While wound hygiene is important, it is secondary to immobilization. Moreover, vigorous cleaning should be avoided as it may stimulate circulation or interfere with venom detection swabs (where applicable). * **Option D:** Local incision and suction are **contraindicated**. These methods are ineffective at removing venom and often lead to increased tissue damage, secondary infection, and prolonged bleeding. **Clinical Pearls for NEET-PG:** * **The "Do Not" List:** Do not apply a tight arterial tourniquet (increases local necrosis), do not apply ice, and do not use electric shock therapy. * **Pressure Immobilization Bandage (PIB):** Recommended specifically for neurotoxic elapid bites (Cobra/Krait) to delay respiratory paralysis. * **20-minute Whole Blood Clotting Test (WBCT20):** The most reliable bedside test to detect consumption coagulopathy in vasculotoxic (Viper) bites. * **Neostigmine:** Used in neurotoxic bites to reverse neuromuscular blockade (after a positive Atropine-Neostigmine test).
Explanation: Antifreeze typically contains **Ethylene Glycol**, a low-molecular-weight alcohol [1]. When ingested, these small molecules remain in the serum in high concentrations before being metabolized, contributing significantly to the measured serum osmolality. **1. Why Option A is Correct:** The **Osmolar Gap** is the difference between the measured serum osmolality and the calculated osmolality [2]. Ethylene glycol is an "osmotically active" unmeasured solute. Because it is not included in the standard formula for calculated osmolality ($2 \times Na + \text{Glucose}/18 + \text{BUN}/2.8$), its presence increases the measured osmolality, thereby **increasing the osmolar gap** (typically >10 mOsm/kg). **2. Why Incorrect Options are Wrong:** * **Option B:** A reduced osmolar gap is clinically rare and not associated with toxic alcohols. * **Option C & D:** Antifreeze metabolism by alcohol dehydrogenase produces toxic acids (glycolic and oxalic acid) [1]. This results in a **High Anion Gap Metabolic Acidosis (HAGMA)**, not a normal anion gap [2]. Alkalosis is not a feature of this toxicity. **High-Yield Clinical Pearls for NEET-PG:** * **The "Gap" Progression:** Early after ingestion, there is a high osmolar gap. As the alcohol is metabolized into acids, the osmolar gap decreases while the **Anion Gap increases** [2]. * **Classic Finding:** Presence of **calcium oxalate crystals** (envelope or needle-shaped) in the urine (crystalluria) [1]. * **Complication:** Acute Tubular Necrosis (ATN) leading to renal failure [2]. * **Antidote:** **Fomepizole** (inhibits alcohol dehydrogenase) is the drug of choice; Ethanol is an alternative. Hemodialysis is used for severe cases [2].
Explanation: **Explanation:** The clinical presentation of **metabolic acidosis**, **acute kidney injury** (elevated creatinine/BUN), and **hypocalcemia** following an unknown ingestion is classic for **Ethylene Glycol** poisoning [1], [3]. **Why Ethylene Glycol is correct:** Ethylene glycol (found in antifreeze) is metabolized by alcohol dehydrogenase into toxic metabolites, primarily **glycolic acid** (causing metabolic acidosis) and **oxalic acid** [3]. Oxalic acid precipitates with calcium to form **calcium oxalate crystals** (envelope-shaped), which are pathognomonic when found in the urine [2]. This process leads to: 1. **Hypocalcemia:** Due to the consumption of calcium ions to form crystals [1], [3]. 2. **Nephrotoxicity:** Acute tubular necrosis caused by crystal deposition in the renal tubules [1], [3]. 3. **Treatment:** **4-Methylpyrazole (Fomepizole)** is the specific antidote as it inhibits alcohol dehydrogenase, preventing the formation of toxic metabolites [4]. **Why other options are incorrect:** * **Methyl alcohol:** Presents with metabolic acidosis and an osmolar gap, but characteristically causes **visual disturbances** (snowfield vision) and optic disc hyperemia, not calcium oxalate crystalluria or significant hypocalcemia [1], [4]. * **Paraldehyde:** Can cause metabolic acidosis and a characteristic "fruity" or unpleasant breath odor, but does not cause renal crystal formation. * **Formaldehyde:** Primarily causes severe gastrointestinal mucosal injury and metabolic acidosis, but is not the classic cause of the "oxalate-renal-acidosis" triad. **High-Yield Clinical Pearls for NEET-PG:** * **Antidote of Choice:** Fomepizole (4-methylpyrazole). If unavailable, use Ethanol [4]. * **Urine Finding:** Calcium oxalate crystals (monohydrate or dihydrate/envelope-shaped) [2], [3]. * **Wood’s Lamp:** Urine may show **fluorescence** because fluorescein is often added to commercial antifreeze. * **Key Triad:** High anion gap metabolic acidosis (HAGMA) + Osmolar gap + Acute Renal Failure [1], [3].
Explanation: To determine if a toxin is dialyzable, it must possess specific pharmacokinetic properties: **low molecular weight, low volume of distribution (Vd < 1 L/kg), low protein binding, and high water solubility.** ### **Explanation of the Correct Answer** **D. Nifedipine:** This is the correct answer because Nifedipine (a Calcium Channel Blocker) has a **high volume of distribution** and is **highly protein-bound (>90%)**. Hemodialysis only removes toxins present in the plasma compartment; since Nifedipine is sequestered in tissues and bound to proteins, dialysis is ineffective. Management of CCB overdose focuses on intravenous calcium, glucagon, and high-dose insulin euglycemic therapy (HIET). ### **Why the Other Options are Wrong** * **A. Salicylate (Aspirin):** Salicylates have a low Vd and are easily cleared by dialysis. Hemodialysis is the treatment of choice in severe toxicity (levels >100 mg/dL) or when there is altered mental status and renal failure [1]. * **B. Barbiturates:** Long-acting barbiturates (like Phenobarbital) have low protein binding and low Vd, making them highly amenable to removal via hemodialysis or hemoperfusion. * **C. Methanol:** Methanol is a small, water-soluble molecule with a very low Vd. Dialysis is life-saving as it removes both the parent alcohol and its toxic metabolite (formic acid), while also correcting the associated metabolic acidosis. ### **High-Yield Clinical Pearls for NEET-PG** * **Mnemonic for Dialyzable Toxins (I STUMBLE):** **I**sopropanol, **S**alicylates, **T**heophylline, **U**remia, **M**ethanol, **B**arbiturates (long-acting), **L**ithium, **E**thylene glycol [1]. * **Toxins NOT dialyzable:** Digoxin, Benzodiazepines, Tricyclic Antidepressants (TCAs), and Calcium Channel Blockers (due to high Vd or high protein binding). * **Charcoal Hemoperfusion** is generally superior to hemodialysis for **Theophylline** and **Carbamazepine** poisoning.
Explanation: ***Pulmonary embolization of metallic particles*** - **IV drug abuse** with **needle tracks** and **metallic taste** indicates injection of crushed oral medications containing **metallic excipients** (talc, magnesium stearate) that embolize to pulmonary vessels. - Chest X-ray typically shows **bilateral lower lobe opacities** with **reticulonodular pattern** from foreign body deposition in pulmonary capillaries. *Primary tuberculosis* - Would present with **unilateral upper lobe consolidation** or **hilar lymphadenopathy** on chest X-ray, not the bilateral pattern expected in metallic particle embolization. - **Metallic taste** is not a typical symptom of tuberculosis; patients usually present with **night sweats**, **weight loss**, and **chronic cough**. *Silicosis* - Requires **occupational exposure** to silica dust (mining, sandblasting) over years, not acute presentation in a young substance user. - Chest X-ray shows **upper lobe fibrosis** and **eggshell calcification** of hilar lymph nodes, different from acute bilateral opacities. *Sarcoidosis* - Typically presents with **bilateral hilar lymphadenopathy** and **upper lobe reticulonodular opacities** on chest X-ray. - **Metallic taste** and **needle tracks** are not associated with sarcoidosis; patients usually have **dry cough** and **shortness of breath**.
Explanation: ### Explanation **Correct Option: B. Intravenous naloxone** The clinical presentation of **unconsciousness, pinpoint pupils (miosis), and a history of heroin use** is the classic triad of **Opioid Overdose** [3]. In an emergency setting, the immediate priority is reversing respiratory depression. **Naloxone** is a potent, competitive **opioid receptor antagonist** with a high affinity for $\mu$-receptors [2]. It rapidly displaces opioids from the receptors, reversing life-threatening CNS and respiratory depression. The intravenous (IV) route is preferred for its rapid onset of action (1–2 minutes) [1]. **Why other options are incorrect:** * **A. Oral naltrexone:** While naltrexone is an opioid antagonist, it is used for **relapse prevention** and long-term maintenance therapy in detoxified patients. It is not used in emergencies due to its oral administration and slow onset. * **C. Oral diazepam:** Diazepam is a benzodiazepine (sedative-hypnotic). Administering it to a patient with opioid-induced CNS depression would worsen the respiratory failure and potentially be fatal. * **D. Oral buprenorphine:** This is a **partial $\mu$-agonist**. It is used in Opioid Substitution Therapy (OST) to manage withdrawal and cravings, not for acute overdose reversal. **High-Yield Clinical Pearls for NEET-PG:** 1. **The Opioid Triad:** Coma, Pinpoint pupils, and Respiratory depression (decreased respiratory rate) [3]. 2. **Short Half-life:** Naloxone has a shorter half-life (30–90 mins) than most opioids (e.g., methadone). Patients must be monitored closely for **"re-narcotization"** as the antagonist wears off. 3. **Exception to Miosis:** **Meperidine (Pethidine)** overdose typically presents with **mydriasis** (dilated pupils) rather than miosis, due to its antimuscarinic effects. 4. **Withdrawal:** Rapid administration of naloxone in a dependent patient can precipitate **acute withdrawal syndrome** (agitation, vomiting, lacrimation, rhinorrhea) [1].
Explanation: The clinical presentation of a family experiencing a burning sensation in the extremities (St. Anthony’s Fire), gastrointestinal distress, and neurological symptoms like muscle spasms and mydriasis is characteristic of **Ergot poisoning (Ergotism)**. **1. Why Ergot Poisoning is Correct:** Ergotism results from ingesting alkaloids produced by the fungus *Claviceps purpurea*, which contaminates rye and other cereals. The symptoms are divided into two types: * **Gangrenous Ergotism:** Potent vasoconstriction leads to a "burning sensation" (ignis sacer), followed by ischemia and dry gangrene of the extremities. * **Convulsive Ergotism:** Involves CNS symptoms like painful muscle spasms, diarrhea, vomiting, and hallucinations. The presence of dilated pupils (mydriasis) is a classic finding in ergot toxicity. **2. Why Other Options are Incorrect:** * **Organophosphate (OP) & Carbamate Poisoning:** These cause a "cholinergic crisis" characterized by **miosis** (pinpoint pupils), bradycardia, and excessive secretions (SLUDGE syndrome). They do not cause a burning sensation or peripheral ischemia. * **Abrus precatorius (Ratin/Jequirity bean):** This acts similarly to Ricin [1]. It primarily causes severe hemorrhagic gastroenteritis and organ failure if ingested, or local swelling and necrosis if injected (sui), but does not present with the specific burning/vasoconstrictive profile of ergot. **Clinical Pearls for NEET-PG:** * **St. Anthony’s Fire:** The historical name for the intense burning pain of ergotism. * **Mechanism:** Ergot alkaloids act as partial agonists at alpha-adrenergic, dopaminergic, and serotonergic receptors. * **Treatment:** Vasodilators (e.g., Sodium Nitroprusside) and anticoagulants are used to manage ischemia. * **Diagnostic Clue:** When multiple family members are affected simultaneously after a meal, always suspect food-borne toxins or contaminated grain.
Explanation: **Explanation:** The clinical presentation of **bradycardia, hypersalivation, and miosis** (pinpoint pupils) is a classic manifestation of **Cholinergic SLUDGE Syndrome** (Salivation, Lacrimation, Urination, Defecation, GI distress, Emesis) [1]. **1. Why Organophosphate Poisoning is Correct:** Organophosphates inhibit the enzyme **Acetylcholinesterase**, leading to an accumulation of Acetylcholine (ACh) at both muscarinic and nicotinic receptors [3]. The symptoms described are primarily muscarinic: * **Miosis:** Due to pupillary constrictor muscle stimulation [1]. * **Hypersalivation:** Due to exocrine gland overstimulation [1]. * **Bradycardia:** Due to parasympathetic overactivity on the SA node. **2. Why Other Options are Incorrect:** * **Atropine Toxicity:** This presents with the opposite clinical picture—**Anticholinergic Syndrome** ("Mad as a hatter, dry as a bone, red as a beet, blind as a bat"). Expect tachycardia, mydriasis (dilated pupils), and dry mouth. * **Tricyclic Antidepressant (TCA) Overdose:** While the patient has a history of depression, TCA overdose typically causes **anticholinergic effects** (tachycardia, mydriasis) and cardiac toxicity (QRS widening). * **Paracetamol Poisoning:** This primarily presents with nausea, vomiting, and delayed **hepatotoxicity** (jaundice, elevated ALT/AST). It does not cause acute miosis or hypersalivation. **High-Yield Clinical Pearls for NEET-PG:** * **Management:** The specific antidote is **Atropine** (reverses muscarinic symptoms) and **Pralidoxime/2-PAM** (reactivates acetylcholinesterase if given before "aging" occurs) [2]. * **Diagnosis:** Confirmed by measuring **Red Blood Cell (RBC) Cholinesterase levels**. * **Killer B’s:** In OP poisoning, death usually occurs due to the "Killer B's"—**B**ronchospasm, **B**ronchorrhea, and **B**radycardia [1].
Explanation: **Explanation:** The effectiveness of hemodialysis (HD) in toxicology depends on the physicochemical properties of the toxin. For a substance to be dialyzable, it must have a **low molecular weight, low volume of distribution (Vd < 1 L/kg), low protein binding, and high water solubility.** [3] **Why Organophosphates (OPC) is the correct answer:** Organophosphates are highly **lipid-soluble** and have a **large volume of distribution**. They rapidly distribute into adipose tissue and bind strongly to the enzyme acetylcholinesterase. Because they are not primarily confined to the intravascular compartment, hemodialysis is ineffective at removing them from the body [2]. Management relies on atropine, oximes (Pralidoxime), and supportive care [2]. **Why the other options are incorrect:** * **Barbiturates:** Long-acting barbiturates (e.g., Phenobarbital) have low protein binding and a small Vd, making them amenable to HD or multidose activated charcoal. * **Salicylates:** Aspirin has a small Vd and is highly dialyzable. HD is the treatment of choice in severe toxicity (levels >100 mg/dL, altered mental status, or renal failure) [1]. * **Theophylline:** This drug has a small Vd and low molecular weight. HD is indicated in life-threatening toxicity (e.g., seizures or arrhythmias). **High-Yield Clinical Pearls for NEET-PG:** * **Mnemonic for Dialyzable poisons (I STUMBLE):** **I**sopropanol, **S**alicylates, **T**heophylline, **U**remia, **M**ethanol, **B**arbiturates (long-acting), **L**ithium, **E**thylene glycol. * **Kerosene/Hydrocarbons:** Also cannot be dialyzed due to high lipid solubility and high Vd. * **Digoxin:** Cannot be dialyzed due to a very large Vd (stored in cardiac/skeletal muscle). Use Digibind instead.
Explanation: **Explanation:** The correct answer is **Tobacco**. This question assesses the concept of **"Capture Rate"** (the percentage of users who develop dependence after trying a substance). **1. Why Tobacco is Correct:** Tobacco (specifically nicotine) has the highest capture rate among all psychoactive substances. Approximately **32%** of people who ever use tobacco will develop a clinical dependence. Nicotine acts on the nicotinic acetylcholine receptors in the ventral tegmental area (VTA), leading to a rapid release of dopamine in the nucleus accumbens. Its high addictive potential is attributed to its rapid delivery to the brain (especially via smoking) and its short half-life, which necessitates frequent dosing to avoid withdrawal. **2. Analysis of Incorrect Options:** * **Heroin (Option D):** While heroin is often perceived as the most "dangerous," its capture rate is approximately **23-25%**. While highly addictive, it ranks second to tobacco. * **Cocaine (Option C):** Cocaine has a capture rate of about **15-17%**. Although it causes intense euphoria, the likelihood of a one-time user becoming addicted is lower than that of a tobacco user. * **Alcohol (Option A):** Alcohol has a capture rate of roughly **15%**. Despite its widespread use and significant social impact, the majority of people who consume alcohol do not meet the criteria for dependence. **High-Yield Clinical Pearls for NEET-PG:** * **Order of Addictive Potential (Capture Rate):** Tobacco > Heroin > Cocaine > Alcohol > Cannabis. * **Nicotine Withdrawal:** Characterized by irritability, anxiety, increased appetite, and bradycardia (unlike most stimulant withdrawals). * **First-line Pharmacotherapy for Smoking Cessation:** Varenicline (partial agonist at α4β2 nicotinic receptors), Bupropion (NDRI), and Nicotine Replacement Therapy (NRT).
General Principles of Toxicology
Practice Questions
Antidotes and Specific Therapies
Practice Questions
Drug Overdose Management
Practice Questions
Heavy Metal Poisoning
Practice Questions
Pesticide and Insecticide Poisoning
Practice Questions
Plant and Food Toxins
Practice Questions
Household Chemical Exposure
Practice Questions
Environmental Toxins
Practice Questions
Occupational Exposures
Practice Questions
Toxicological Screening and Diagnosis
Practice Questions
Extracorporeal Removal Techniques
Practice Questions
Poisoning Prevention Strategies
Practice Questions
Get full access to all questions, explanations, and performance tracking.
Start For Free