Buon's line is seen in: Al 07; Rajasthan 11; NEET 13; JIPMER 13
Pink disease is seen in
A patient presents with complaints of hair loss and behavioral changes noted by his wife. Upon examination, the doctor observes a loss of eyebrows. After further assessment, including an examination of the nails, what type of poisoning is suspected in this case?
A farmer presented with confusion, increased salivation, fasciculations, miosis, tachycardia and hypertension. Poison that can cause these manifestations:
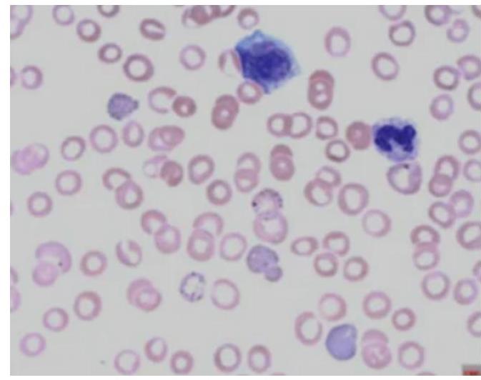
Which of the following diagnoses give the hematological picture as given below?

Which of the following substances is a toxin but has also been historically used as a therapeutic emetic in poisoning management?
Arsenic poisoning presents with symptoms mimicking which condition?
Improper handling of mercury in the clinic results in occupational hazard through:
The most common toxin causing dilated cardiomyopathy is
Gastric lavage is contraindicated in the following:
Explanation: ***Lead poisoning*** - **Buon's line**, also known as a **gingival lead line** or **Burton's line**, is a blue-black line visible on the gums at the junction of the teeth, characteristic of chronic lead poisoning. - This line is formed by the reaction of circulating lead with sulfur ions released by bacterial action in the mouth, forming **lead sulfide** deposits. *Phosphorus poisoning* - **Phosphorus poisoning** can cause widespread organ damage, including gastrointestinal symptoms, liver and kidney failure, and cardiovascular collapse. - It does not typically present with a characteristic gingival line like Buon's line. *Zinc poisoning* - **Zinc poisoning** is relatively rare and can lead to symptoms like nausea, vomiting, abdominal pain, and copper deficiency. - It is not associated with the formation of Buon's line in the gums. *Arsenic poisoning* - **Arsenic poisoning**, particularly chronic exposure, can manifest with skin lesions, neuropathies, and gastrointestinal issues. - A characteristic skin manifestation is **Mee's lines** (transverse white bands on the fingernails), but not Buon's line.
Explanation: ***Mercury poisoning*** - Pink disease, also known as **Acrodynia**, is a rare but severe manifestation of **chronic mercury poisoning** in infants and young children [2]. - Clinical features include a **pinkish-red rash** on the hands and feet, generalized erythema, irritability, photophobia, and hypotonia. *Lead poisoning* - Lead poisoning primarily affects the **nervous system**, **hematologic system**, and **kidneys** [1]. - Symptoms include abdominal pain, constipation, developmental delay, and a **lead line** on the gums, but not a characteristic pink rash [1]. *Cyanide poisoning* - Cyanide poisoning is an acute and rapidly progressing condition that interferes with **cellular respiration**, leading to hypoxia. - Typical signs include headache, dizziness, rapid breathing, and a **bright red flushing** of the skin, not pink disease. *Carbon monoxide poisoning* - Carbon monoxide poisoning occurs when CO binds to hemoglobin, forming **carboxyhemoglobin** and reducing oxygen transport. - Victims often present with a **cherry-red appearance** of the skin and mucous membranes due to carboxyhemoglobin, distinct from the pink rash of acrodynia.
Explanation: ***Thallium*** - **Thallium poisoning** characteristically presents with **hair loss (alopecia)**, including loss of eyebrows, and **neurological symptoms** such as behavioral changes. - It also causes nail changes like **Mees' lines** and is known for its **neurotoxic effects**. *Arsenic* - **Arsenic poisoning** primarily causes **gastrointestinal symptoms** (nausea, vomiting, diarrhea), **skin lesions** (hyperpigmentation, hyperkeratosis), and **neuropathy**. - While it can cause nail changes (Mees' lines), significant alopecia and loss of eyebrows are less prominent compared to thallium. *Mercury* - **Mercury poisoning** often leads to **neurological symptoms** (tremors, ataxia, irritability), kidney damage, and **gingivostomatitis**. - Hair loss and loss of eyebrows are not typical or prominent features of mercury toxicity. *Lead* - **Lead poisoning** is associated with **neurodevelopmental deficits** in children, **peripheral neuropathy**, **abdominal pain (lead colic)**, and **anemia**. - Alopecia and loss of eyebrows are not characteristic symptoms of lead toxicity.
Explanation: ***OPC*** - The combination of **confusion**, increased salivation, **fasciculations**, **miosis**, and **tachycardia/hypertension** points towards **organophosphate poisoning (OPC)** due to excessive cholinergic stimulation. - Farmers are at high risk for OPC due to exposure to **pesticides**. *Arsenic* - **Arsenic poisoning** typically causes severe gastrointestinal symptoms such as vomiting, diarrhea, and abdominal pain, along with **garlic breath** and **neuropathy**. - It does not commonly present with prominent salivation, fasciculations, or miosis. *Opium* - **Opioid overdose** characteristically leads to **CNS depression**, **respiratory depression**, **pinpoint pupils (miosis)**, and **bradycardia** and **hypotension**. - It does not cause increased salivation, fasciculations, or tachycardia. *Dhatura* - **Dhatura poisoning** is characterized by **anticholinergic symptoms** such as **dry mouth**, dilated pupils (mydriasis), blurred vision, warm dry skin, **tachycardia**, and **agitation/delirium**. - It would not cause increased salivation, fasciculations, or miosis.
Explanation: ***Saturnism*** - The image displays **basophilic stippling** in red blood cells, which is a classic hematological finding in **lead poisoning** (saturnism). - Lead inhibits enzymes involved in **heme synthesis**, leading to the accumulation of ribosomal RNA aggregates detected as basophilic stippling. *Arsenic poisoning* - Arsenic poisoning can cause various hematological abnormalities, including **anemia** and **pancytopenia**, but **basophilic stippling** is not a characteristic feature. - Its mechanism of toxicity involves inhibiting enzyme function and cellular respiration, distinct from lead's effect on heme synthesis. *Chronic iron toxicity* - Chronic iron toxicity typically leads to **hemochromatosis**, with iron deposition in various organs, and can cause **liver damage** and **cardiomyopathy**. - It does not primarily manifest with **basophilic stippling** in red blood cells. *Minamata disease* - Minamata disease is a severe neurological syndrome caused by **mercury poisoning**, particularly **methylmercury**. - It primarily affects the **nervous system**, causing symptoms like ataxia, sensory disturbances, and tremors, and does not typically present with **basophilic stippling**.
Explanation: ***Copper sulphate*** - **Copper sulphate** is a **potent toxin** that causes gastrointestinal irritation, hemolysis, hepatotoxicity, and acute renal failure upon ingestion. - It was **historically used as an emetic** to induce vomiting in certain poisoning cases for gastric decontamination, though this practice has been largely abandoned due to its own significant toxicity and the availability of safer alternatives. - This represents its dual nature: a poison itself, yet paradoxically used in poisoning management (not as an antidote, but as a gastric evacuant). *Thallium* - **Thallium** is a highly toxic heavy metal causing severe multi-organ failure, alopecia, peripheral neuropathy, and potentially fatal systemic toxicity. - It has **no therapeutic use** in poisoning management and is purely a toxicological concern. *Arsenic oxide* - **Arsenic oxide** (arsenic trioxide) is a well-known carcinogen and potent cellular poison that disrupts oxidative phosphorylation. - While it has modern therapeutic use in acute promyelocytic leukemia, it has **never been used in poisoning management** as an emetic or therapeutic agent. *Mercuric chloride* - **Mercuric chloride** is highly corrosive and causes severe gastrointestinal burns, acute tubular necrosis, and systemic mercury toxicity. - It is a **potent toxin with no therapeutic application** in poisoning management.
Explanation: ***Cholera*** - **Acute arsenic poisoning** often presents with severe **gastrointestinal symptoms** such as profuse watery diarrhea and vomiting, which can lead to rapid dehydration and shock, mimicking **cholera**. - Both conditions cause significant **fluid and electrolyte loss**, leading to similar clinical presentations in their acute phases. *Dhatura poisoning* - Dhatura poisoning primarily affects the **central nervous system** and presents with **anticholinergic symptoms** such as dry mouth, dilated pupils, blurred vision, delirium, and tachycardia. - This symptom profile differs significantly from the profuse gastrointestinal distress seen in acute arsenic poisoning. *Barbiturates poisoning* - Barbiturate poisoning causes **central nervous system depression**, leading to drowsiness, ataxia, reduced reflexes, and eventual respiratory depression. - These neurological symptoms are distinct from the severe gastrointestinal and dehydrative features of acute arsenic poisoning. *Morphine poisoning* - Morphine poisoning is characterized by the **opioid triad**: pinpoint pupils, respiratory depression, and depressed mental status (coma). - While it can cause some gastrointestinal symptoms like constipation, it does not typically present with the severe watery diarrhea and vomiting that mimic cholera.
Explanation: ***Inhalation of mercury vapors during amalgam preparation*** - **Inhalation is the PRIMARY route** of occupational mercury exposure in clinical settings, particularly dental clinics - Elemental mercury **vaporizes readily** at room temperature, and mercury vapor is rapidly absorbed through the lungs (>80% absorption rate) - Improper handling during **amalgam preparation, placement, or removal** releases significant mercury vapors - This is well-documented as the **major occupational hazard** for healthcare workers handling mercury (per NIOSH, OSHA, and WHO guidelines) - Can lead to chronic mercury poisoning with neurological, renal, and respiratory effects *Absorption of mercury through skin* - Intact skin provides an **effective barrier** to elemental mercury absorption - Only **negligible amounts** of elemental mercury are absorbed through intact skin - Skin absorption is primarily relevant for **organic mercury compounds** (like methylmercury), not the elemental mercury used in clinical settings - Even with spills on skin, inhalation of vapors remains the greater hazard *Ingestion of contaminated food items* - This route is associated with **methylmercury exposure** from contaminated fish, not occupational exposure to elemental mercury - **Not a typical occupational hazard** in clinical settings where mercury is handled - Represents environmental/dietary exposure rather than workplace exposure *Contact with mercury-contaminated water* - This is an **environmental concern** related to industrial pollution, not an occupational hazard in clinics - Not a significant route of exposure for healthcare workers handling mercury - Primarily involves methylmercury in aquatic ecosystems rather than elemental mercury in clinical settings
Explanation: ***Alcohol*** - Chronic excessive **alcohol consumption** is the most common toxic cause of dilated cardiomyopathy [1]. - Alcohol and its metabolite **acetaldehyde** directly damage myocardial cells, leading to impaired contractility and ventricular dilatation [1]. *Industrial solvents* - Exposure to certain industrial solvents, such as **toluene** or **trichloroethylene**, has been linked to cardiotoxicity and arrhythmias, but they are not the most common cause of dilated cardiomyopathy. - The cardiotoxic effects are less prevalent and typically associated with specific occupational exposures rather than widespread consumption. *Chemotherapeutic agents* - Certain **chemotherapeutic agents**, particularly **anthracyclines** (e.g., doxorubicin), are known to cause dilated cardiomyopathy as a significant side effect. - However, while important, this is an iatrogenic cause and not as common as chronic alcohol use in the general population. *Heavy metal* - Exposure to **heavy metals** such as cobalt, lead, or mercury can cause cardiotoxicity and contribute to cardiomyopathy. - These are typically rarer causes, often linked to environmental or occupational exposure, and do not represent the most common toxic etiology.
Explanation: ***Kerosene poisoning*** - Gastric lavage is contraindicated in **hydrocarbon poisoning** like kerosene due to the high risk of **aspiration pneumonitis**. [1] - Aspiration of hydrocarbons can lead to severe **chemical pneumonitis**, acute respiratory distress syndrome (ARDS), and even death. *Barbiturate poisoning* - Gastric lavage can be useful in **barbiturate poisoning**, especially if presenting within 1-2 hours of ingestion, to remove unabsorbed drug. - It's part of the management strategy to reduce drug absorption and potentially speed up recovery. *Paracetamol poisoning* - **Gastric lavage** may be considered in paracetamol overdose, particularly if performed within 1-2 hours of ingestion, to remove unabsorbed drug. - However, **activated charcoal** is usually the preferred method for gastric decontamination in paracetamol overdose, followed by **N-acetylcysteine**. *Carbolic acid poisoning* - While typically considered a corrosive, gastric lavage might be cautiously used in **carbolic acid (phenol) poisoning** in specific circumstances, such as very early presentation or large ingestions, but it carries risks of esophageal injury. [2] - Dilution with milk or water is often preferred, but lavage should be avoided if there's evidence of significant caustic injury or perforation risk.
Get full access to all questions, explanations, and performance tracking.
Start For Free