A young man presents with chronic lower back pain and morning stiffness and pain on bending that improves with activity. X ray of LS spine is normal. Ocular examination shows anterior uveitis. Which diagnostic modality will pick up the disease process at the earliest?
A 20-year-old man presents with chronic back pain that is worse in the morning and improves with physical activity. He also has a history of anterior uveitis. A lumbar spine X-ray shows no abnormalities. Which of the following is the most appropriate next investigation for early diagnosis?
A 40-year-old man presents with discomfort in one of his joints. Synovial fluid aspiration reveals rhomboid-shaped, positively birefringent crystals under polarized light microscopy. Which of the following is the most likely diagnosis?
Which of the following is the most common clinical feature observed during the progression of systemic lupus erythematosus (SLE)?
Identify the following abnormality?

The clinical diagnosis favors development of chronic gout and the image shows presence of eccentric juxta-articular lobulated soft-tissue masses. Which of the following is the most definitive diagnostic test for gout shown in the image?

A 30-year-old female patient presents with erythematous rash over the neck, involving the back. Her investigations reveal presence of anti-MI-2 antibody. What is the diagnosis?

This elderly male came with a history of recurrent attacks of pain and swelling in the great toe in the past. This is the present X-ray of the hands. The diagnosis can be confirmed by:

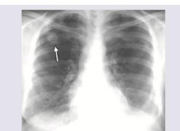
A 35-year-old crane operator at construction site with pre-existing seropositive rheumatoid arthritis complains of progressive difficulty in breathing. Chest X-ray was performed. What is the diagnosis?

A 55-year-old female on methotrexate presents with continuous pain and swelling of bilateral hand joints. What is the best treatment plan for this patient?

Explanation: ***MRI of the sacroiliac joints*** - **MRI** is the most sensitive and specific tool for detecting early inflammatory changes in the **sacroiliic joints** (sacroiliitis), such as bone marrow edema (osteitis) [1]. - It is crucial when plain radiography is normal, as it detects inflammatory lesions years before structural bony changes become visible on X-ray or CT scan, facilitating early diagnosis of **Ankylosing Spondylitis**. *Anti CCP antibody* - The **Anti-Cyclic Citrullinated Peptide (Anti-CCP)** antibody is highly specific for **Rheumatoid Arthritis (RA)**, which presents differently, typically affecting small peripheral joints [2]. - The clinical presentation of chronic back pain, morning stiffness improving with activity, and anterior uveitis is classic for **Spondyloarthritis** (like Ankylosing Spondylitis), not RA [3]. *CT scan of the sacroiliac joints* - **CT scan** is excellent for visualizing bony erosions, sclerosis, and joint fusion, which are **late structural changes** in sacroiliitis. - However, it is less sensitive than MRI in detecting the **early, active inflammatory phase** (bone marrow edema) that occurs before joint damage is established. *Bone scan* - A **Bone scan** (Technetium-99m) is sensitive but **not site-specific**; it shows increased tracer uptake in inflamed areas but cannot distinguish between degenerative, traumatic, or inflammatory causes [2]. - Its use in diagnosing sacroiliitis is largely superseded by **MRI** due to the latter's superior spatial resolution and ability to depict active inflammation directly.
Explanation: The presentation (inflammatory back pain improving with activity, and anterior uveitis) strongly suggests **Ankylosing Spondylitis (AS)** [1]. MRI is the **most sensitive imaging modality** for early diagnosis, as it can detect acute, reversible inflammatory changes (like **bone marrow edema**) in the sacroiliac joints before they are visible on X-ray [1]. CT is superior for visualizing **bony changes** like erosions or fusion but is significantly less sensitive than MRI for detecting active **bone marrow inflammation** in the early stages of sacroiliitis [1]. X-ray of the spine is usually performed after SI joint films but will often be **normal in early disease** (as suggested by the clinical case, where lumbar X-ray was negative) [1]. Radiographic changes like squaring of vertebrae or **syndesmophytes** only appear much later in the disease course, making it inadequate for *early* diagnosis [1]. Bone scintigraphy (bone scan) is a **non-specific** test that shows increased uptake but has poor anatomical resolution for assessing the sacroiliac joint specifically [1].
Explanation: ### Pseudogout - Pseudogout, or **Calcium Pyrophosphate Dihydrate (CPPD) crystal deposition disease**, is classically identified by the presence of **rhomboid-shaped** crystals [1]. - These CPPD crystals exhibit **positive birefringence** under polarized light microscopy, a distinguishing feature from gout [1]. *Gout* - Gout is characterized by monosodium urate (MSU) crystals, which are **needle-shaped**, not rhomboid [1]. - MSU crystals show **strong negative birefringence**, appearing yellow when aligned parallel to the compensator axis (Yellow parallel) [1]. *Rheumatoid arthritis* - The primary diagnostic finding in rheumatoid arthritis (RA) synovial fluid is **inflammatory changes** (high WBC count, mostly neutrophils) and not the presence of crystals. - RA is associated with **RF** and **anti-CCP antibodies** and primarily affects smaller joints symmetrically. *Osteoarthritis* - Osteoarthritis (OA) synovial fluid is typically **non-inflammatory**, appearing viscous with a low white blood cell count (<2000 cells/mm³). - OA is a degenerative joint disease defined by **cartilage loss** and **osteophyte formation**, not crystal deposition [1].
Explanation: ### Arthralgia & myalgia - **Arthralgia (joint pain)** and **myalgia (muscle pain)** are documented as the most common initial and persistent clinical features, occurring in over 90% of SLE patients [1]. - The arthritis in SLE is typically non-erosive and symmetrical, often affecting the small joints of the hands, wrists, and knees. *Photosensitivity* - While very common and a key diagnostic criterion, it occurs in about 40-50% of patients, making it less frequent than diffuse joint and muscle pain [1]. - It is a prominent feature of cutaneous involvement, often leading to the characteristic **malar rash** or discoid lesions after sun exposure [1]. *Nephrotic syndrome* - Renal involvement (**Lupus nephritis**) is serious, but clinically overt nephrotic syndrome (heavy proteinuria, edema) is found only in a subset of patients with Type III, IV, or V nephritis. - Overall, symptomatic renal disease affects about 50-60% of patients, less frequent than musculoskeletal symptoms. *Anemia and thrombocytopenia* - **Hematologic abnormalities** (anemia, leukopenia, and thrombocytopenia) are common and considered diagnostic criteria but occur in roughly 50% or less of patients. - **Anemia of chronic disease** is the most frequent hematologic finding, while **thrombocytopenia** is less common than arthralgia.
Explanation: ***Schizencephaly*** - The image shows a **cleft-like defect** extending from the pial surface to the ventricle, lined by **gray matter**, which is characteristic of schizencephaly. - This typically results in communication between the **subarachnoid space** and the **ventricular system**. *Encephalocoele* - An encephalocoele is a **protrusion of brain tissue** and meninges through a defect in the skull, which is not depicted in this image. - It usually presents as a **sac-like bulge** on the head, often in the occipital or frontal regions. *Prosencephaly* - This term usually refers to the malformation spectrum associated with **holoprosencephaly**, characterized by a failure of the prosencephalon (forebrain) to properly divide. - Features include **fusion of the cerebral hemispheres**, a single ventricle, and facial anomalies, not a cortical cleft as seen here. *Lissencephaly* - Lissencephaly is characterized by a **lack of gyri and sulci** (smooth brain surface) or abnormally broad and flattened gyri, leading to a thickened cortex. - The image clearly displays presence of gyri and sulci, although with an additional unusual cleft, ruling out a primary diagnosis of lissencephaly.
Explanation: ***Polarized microscopy of tissue fluid aspirate*** - The definitive diagnosis of gout requires the identification of **monosodium urate crystals** in synovial fluid or tissue, typically performed with polarized microscopy. - This method directly visualizes the *negatively birefringent* (needle-shaped when perpendicular to the polarization axis) crystals, which are pathognomonic for gout. *X-ray of the joint* - X-rays can show characteristic changes in chronic gout, such as **punched-out erosions with overhanging edges** (known as Martel's sign) and soft tissue masses (tophi). - However, these findings are not specific to gout and can be seen in other conditions; they do not provide a definitive diagnosis on their own. *Blood tests for uric acid levels* - Elevated **serum uric acid levels (hyperuricemia)** are a key risk factor for gout, but they are neither necessary nor sufficient for diagnosis. - Many individuals with hyperuricemia never develop gout, and some patients can have normal uric acid levels during an acute gout attack. *MRI of the affected joint* - MRI can visualize soft tissue abnormalities like **tophi**, bone erosions, and inflammatory changes, offering detailed anatomical information. - While useful for assessing disease extent and complications, MRI cannot definitively identify the specific crystal deposits that confirm gout.
Explanation: ***Dermatomyositis*** - The combination of an **erythematous rash** over the neck and back (often described as a **shawl sign** or **V-sign**), along with the presence of **anti-MI-2 antibody**, is highly characteristic of dermatomyositis. - Anti-MI-2 antibodies are specific to dermatomyositis and are associated with a classic cutaneous presentation, often with less severe muscle involvement. *SLE* - While **Systemic Lupus Erythematosus (SLE)** can present with various skin rashes, the specific distribution (shawl sign) and the presence of **anti-MI-2 antibody** are not typical findings for SLE. - SLE is more commonly associated with antibodies like **anti-dsDNA**, anti-Sm, or anti-Ro/La. *Inclusion body myositis* - **Inclusion body myositis (IBM)** primarily affects older males and presents with **asymmetric, progressive muscle weakness**, particularly in the quadriceps and forearm flexors. - It does not typically present with the described erythematous rash or **anti-MI-2 antibodies**. *Pyomyositis* - **Pyomyositis** is a **bacterial infection of skeletal muscle**, often presenting with localized pain, swelling, and fever, sometimes leading to abscess formation. - It is not an autoimmune condition and would not involve a characteristic erythematous rash or autoantibodies like **anti-MI-2**.
Explanation: ***Polarized microscopy of tissue fluid aspirate*** - The patient's history of recurrent pain and swelling in the **great toe**, along with the X-ray findings (which likely show features of crystal deposition such as **erosions with overhanging edges** or joint damage), is highly suggestive of **gout**. - **Gout** is definitively diagnosed by identifying **negatively birefringent needle-shaped urate crystals** within the synovial fluid or tissue aspirate under polarized microscopy. *HLA B27* - **HLA-B27** is a genetic marker associated with **spondyloarthropathies**, such as Caucasians with ankylosing spondylitis and psoriatic arthritis, not typically used for diagnosing gout. - While some spondyloarthropathies can affect the great toe, the clinical presentation and X-ray findings (which are presumably related to crystal deposition) are not characteristic of this condition. *Anti-CCP antibodies* - **Anti-CCP antibodies** (anti-cyclic citrullinated peptide antibodies) are a specific serological marker for **rheumatoid arthritis**. - Rheumatoid arthritis typically affects small joints symmetrically but does not primarily present with acute, recurrent painful swelling of the great toe or the characteristic X-ray changes seen in gout. *X-ray of lumbosacral spine* - An **X-ray of the lumbosacral spine** is indicated for conditions affecting the spine, such as ankylosing spondylitis or disc herniation. - While chronic gout can sometimes affect the spine, it is not the primary diagnostic tool for confirming gout, especially given the classic peripheral joint involvement.
Explanation: ***Caplan syndrome*** - The combination of **seropositive rheumatoid arthritis**, occupational exposure in a **coal mine** (crane operator at a construction site implies exposure to dust/silica), and the presence of **pulmonary nodules** on chest X-ray are classic features of Caplan syndrome. - This syndrome is a pneumoconiosis characterized by the development of distinctive, often large, well-defined **rheumatoid nodules** in the lungs of individuals with RA and simultaneous exposure to industrial dusts like coal or silica. *Felty syndrome* - Felty syndrome is a rare, severe complication of rheumatoid arthritis characterized by the triad of **rheumatoid arthritis**, **splenomegaly**, and **neutropenia**. - While it occurs in individuals with seropositive RA, it does not directly involve primary pulmonary consolidation or nodules as the main presenting feature. *Bronchiolitis obliterans organizing pneumonia* - This is a form of lung disease characterized by inflammation of the small airways and surrounding alveolar spaces, often presenting with **cough**, **dyspnea**, and **flu-like symptoms**. - Radiographically, it typically shows **patchy alveolar opacities** or **consolidation**, which is different from the distinct nodules seen in the image and characteristic of Caplan syndrome. *Lung cancer* - While lung cancer can manifest as a **pulmonary nodule** and cause dyspnea, the patient's history of **seropositive rheumatoid arthritis** and occupational exposure to dust strongly points towards an inflammatory-rheumatic etiology rather than primary malignancy. - The context of a pre-existing systemic autoimmune disease and specific occupational exposure makes **Caplan syndrome** a more specific and likely diagnosis given the radiologic findings.
Explanation: ***Methotrexate + Sulphasalazine + Hydroxychloroquine*** - This combination, known as **triple therapy**, is a well-established and effective strategy for **rheumatoid arthritis** patients who have an inadequate response to methotrexate monotherapy. - The combination of **conventional synthetic DMARDs (csDMARDs)** targets different inflammatory pathways, leading to a synergistic effect and improved disease control. *Double the dose of methotrexate* - While methotrexate doses can be optimized, simply doubling the dose may not be the most effective next step for uncontrolled disease and could increase the risk of **toxicity** without significantly improving efficacy. - Current guidelines often advocate for adding another DMARD or switching to a biologic agent if maximum tolerated methotrexate is insufficient. *Methotrexate + high potency Oral steroids* - Oral steroids are primarily used for **short-term symptom control** during flares or as a bridge therapy, not as a long-term strategy for sustained disease modification due to their significant side effect profile. - Adding high-potency oral steroids long-term with methotrexate would increase the risk of adverse effects like osteoporosis, infections, and adrenal insufficiency. *Stop methotrexate and start Monotherapy with anti-TNF- drugs* - While **anti-TNF drugs** are a powerful next-line treatment, **monotherapy** is generally less effective than combination therapy, especially for patients with active disease. - **Methotrexate is often continued** in combination with anti-TNF drugs even when initiating biological therapies, as it can enhance their efficacy and reduce immunogenicity.
Rheumatoid Arthritis
Practice Questions
Spondyloarthropathies
Practice Questions
Systemic Lupus Erythematosus
Practice Questions
Vasculitis Syndromes
Practice Questions
Scleroderma and Related Disorders
Practice Questions
Inflammatory Myopathies
Practice Questions
Crystal Arthropathies
Practice Questions
Osteoarthritis
Practice Questions
Primary Immunodeficiency Disorders
Practice Questions
Autoinflammatory Syndromes
Practice Questions
Sjögren's Syndrome
Practice Questions
Antiphospholipid Syndrome
Practice Questions
Get full access to all questions, explanations, and performance tracking.
Start For Free