Which of the following is NOT a feature of Ankylosing spondylitis (AS)?
A patient presents with melaena, normal renal function, hypertension, and mononeuritis multiplex. What is the most probable diagnosis?
Reactive arthritis is usually caused by which pathogen?
A patient with primary Sjogren syndrome treated with tear replacement for symptomatic relief notes continued parotid swelling for the last 3 months. She also has enlarged posterior cervical lymph nodes. Evaluation shows leukopenia and low C4 complement levels. What is the most likely diagnosis?
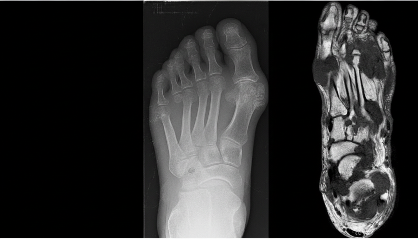
A person presented with swelling of the right 3rd toe. X-ray shows deposition of multiple crystals. A defect in which of the following pathways caused the problem?

A 25-year-old male presented to the OPD with a complaint of recurrent oral ulcers and congested eyes. On enquiry, he has a history of prior hospital admission for venous thrombosis. What is the condition he is suffering from?
Which of the following is FALSE about Sjögren's syndrome?
A 72-year-old man is newly diagnosed with bullous pemphigoid. Which of the following is the most appropriate next step in the management?
A patient presents with gritty pain in the eye and joint pain, following a recent urinary tract infection. What is the most probable diagnosis?
Which of the following is NOT an ANCA-associated vasculitis?
Explanation: Explanation: 1. Why Option C is the correct answer (The False Statement): The Roos test (also known as the "Elevated Arm Stress Test") is used to diagnose Thoracic Outlet Syndrome, not sacroiliitis. It involves the patient repeatedly opening and closing their hands with arms abducted and elbows flexed for 3 minutes. Sacroiliitis in AS is typically assessed using the Schober’s test (for lumbar spine mobility) or the FABER (Patrick’s) test and Gaenslen’s test (for sacroiliac joint pain). 2. Analysis of Incorrect Options (True Features of AS): * Options A & B: The pathogenesis of AS is unique because it involves a progression from inflammation to fibrous ankylosis, which eventually undergoes ossification [1] to become bony ankylosis [3]. This leads to the characteristic "fused" or "bamboo spine" [3]. * Option D: Marginal syndesmophytes are a hallmark radiographic feature of AS [3]. These are thin, vertical bony outgrowths that bridge the vertebral bodies, resulting from the ossification of the outer fibers of the annulus fibrosus [1]. (Note: Non-marginal syndesmophytes are seen in Psoriatic Arthritis [3]). Clinical Pearls for NEET-PG: * HLA-B27: Strongly associated (>90% of cases) but not diagnostic [2]. * Earliest Sign: Sacroiliitis (usually bilateral and symmetrical) is the earliest radiographic change [1]. * Extra-articular manifestation: Acute Anterior Uveitis is the most common (unilateral, painful, red eye) [2]. * Modified New York Criteria: The gold standard for diagnosis, requiring both clinical and radiological evidence [3]. * Treatment of Choice: NSAIDs are first-line; TNF-alpha inhibitors (e.g., Etanercept, Infliximab) are used for refractory cases.
Explanation: This question tests your ability to differentiate between systemic vasculitides based on clinical presentation and organ involvement. [1] ### **Explanation of the Correct Answer** **Classical Polyarteritis Nodosa (PAN)** is a systemic necrotizing vasculitis that typically affects medium-sized muscular arteries. The diagnosis is supported by the following triad present in the question: 1. **Gastrointestinal Involvement:** Ischemia of mesenteric vessels leads to abdominal pain and **melaena** (due to mucosal ulceration). 2. **Neurological Involvement:** PAN is the most common cause of **mononeuritis multiplex** (e.g., foot drop/wrist drop). [3] 3. **Renal Sparing (Glomeruli):** Crucially, PAN involves the renal arteries (causing **hypertension** due to activation of the RAAS), but it **spares the glomeruli**. [2] Therefore, renal function (Creatinine/Urine output) often remains normal, and there is an absence of glomerulonephritis. ### **Why Other Options are Incorrect** * **Microscopic Polyangiitis (MPA):** Unlike PAN, MPA involves small vessels and is strongly associated with **pauci-immune glomerulonephritis** (elevated creatinine, hematuria) and pulmonary capillaritis. * **Henoch-Schonlein Purpura (IgA Vasculitis):** While it causes melaena, it typically presents in children with a classic triad of palpable purpura (lower limbs), arthralgia, and renal involvement (IgA nephropathy). [3] * **Buerger’s Disease (Thromboangiitis Obliterans):** This is a non-atherosclerotic inflammatory disease strongly linked to smoking, primarily affecting the distal extremities (claudication, gangrene) rather than causing systemic visceral involvement like melaena. ### **High-Yield Pearls for NEET-PG** * **Association:** 30% of PAN cases are associated with **Hepatitis B surface antigen (HBsAg)**. * **Angiography:** Shows characteristic **"string of beads"** appearance due to microaneurysms (especially in renal or mesenteric arteries). * **ANCA Status:** PAN is typically **ANCA-negative** (unlike MPA or GPA). * **Key Exclusion:** PAN does **not** affect the lungs (no pulmonary involvement).
Explanation: Reactive arthritis (formerly Reiter’s syndrome) is a sterile joint inflammation that develops following a distant infection, typically of the gastrointestinal (GI) or urogenital tract. [1] It is strongly associated with the **HLA-B27** genotype. [1] **Why Shigella flexneri is correct:** Among the various species of *Shigella*, **Shigella flexneri** is the most common trigger for reactive arthritis following bacillary dysentery. While many enteric pathogens can trigger the condition, *S. flexneri* has a specific propensity to induce the immune-mediated joint response seen in susceptible individuals. **Analysis of Incorrect Options:** * **Shigella boydii & Shigella shiga:** These species are rare causes of dysentery in most regions and are not classically associated with the development of reactive arthritis in medical literature or clinical studies. * **Shigella dysenteriae:** While this species causes the most severe form of clinical dysentery (Type 1) and can lead to Hemolytic Uremic Syndrome (HUS), it is significantly less likely to trigger reactive arthritis compared to *S. flexneri*. **Clinical Pearls for NEET-PG:** * **Common Triggers:** * **Enteric:** *Shigella flexneri*, *Salmonella*, *Campylobacter jejuni*, and *Yersinia enterocolitica*. [1] * **Urogenital:** *Chlamydia trachomatis* (the most common cause overall). [1] * **Classic Triad:** "Can't see, can't pee, can't climb a tree" (Uveitis/Conjunctivitis, Urethritis, and Arthritis). [1] * **Key Findings:** Look for **keratoderma blennorrhagica** (skin lesions on palms/soles) and **circinate balanitis**. [1] * **Joint Involvement:** Typically an asymmetric oligoarthritis affecting the lower extremities (knees and ankles). [1]
Explanation: **Explanation:** The correct answer is **Lymphoma**. Patients with primary Sjögren’s Syndrome (pSS) have a significantly increased risk (approximately 15–40 times higher than the general population) of developing B-cell malignancies [1], most commonly **Marginal Zone B-cell Lymphoma** (MALT lymphoma) [1]. **Why Lymphoma is the correct diagnosis:** The clinical presentation in this patient features several "red flags" for malignant transformation in Sjögren’s: * **Persistent Parotid Swelling:** While parotid enlargement is common in pSS, persistent or hard swelling suggests malignancy. * **Lymphadenopathy:** Enlarged posterior cervical nodes are highly suspicious for lymphoma [2]. * **Laboratory Markers:** **Leukopenia**, **hypocomplementemia (low C4)**, and cryoglobulinemia are classic predictive markers for the development of lymphoma in pSS patients. **Why other options are incorrect:** * **Amyloidosis:** While it can cause organomegaly [2], it does not typically present with low C4 levels or the specific constellation of lymphadenopathy and leukopenia in the context of Sjögren’s. * **Chronic Pancreatitis:** Though Sjögren’s can have extraglandular manifestations involving the pancreas, it would not explain the cervical lymphadenopathy or the hematological/complement abnormalities described. * **HIV Infection:** HIV can cause "Sjögren’s-like" symptoms (Diffuse Infiltrative Lymphocytosis Syndrome) [2], but the patient already has a diagnosis of primary Sjögren’s. The low C4 specifically points toward the autoimmune-driven lymphoproliferative risk of pSS. **High-Yield Clinical Pearls for NEET-PG:** * **Most common lymphoma in Sjögren’s:** MALT Lymphoma (Salivary glands are the most common site) [1]. * **Predictors of Lymphoma in pSS:** Persistent parotid enlargement, purpura, leukopenia, low C4, and presence of mixed monoclonal cryoglobulins. * **Schirmer’s Test:** Used for diagnosis (positive if <5mm wetting in 5 mins). * **Anti-Ro (SS-A) and Anti-La (SS-B):** Key serological markers.
Explanation: ***Uric acid pathway*** - Swelling of the toe with **crystal deposition** on X-ray is characteristic of **gout**, caused by **monosodium urate crystals** depositing in joints due to hyperuricemia. - Defects in **uric acid metabolism** lead to increased uric acid production or decreased excretion, resulting in crystal formation and joint inflammation. *Purine salvage pathway* - While **HGPRT deficiency** (Lesch-Nyhan syndrome) can cause hyperuricemia, it's a secondary effect rather than the primary pathway defect causing gout. - The purine salvage pathway defect would present with **neurological symptoms** and **self-mutilation** in severe cases, not isolated joint swelling. *Urea cycle* - The **urea cycle** is involved in **ammonia detoxification** and nitrogen disposal, not uric acid metabolism. - Defects cause **hyperammonemia** with neurological symptoms like confusion and coma, not crystal arthropathy. *CORI cycle* - The **CORI cycle** involves **lactate-glucose interconversion** between muscle and liver during exercise and fasting. - This metabolic pathway has no relation to **uric acid production** or crystal deposition in joints.
Explanation: The clinical triad of **recurrent oral ulcers**, **ocular involvement** (congested eyes/uveitis), and a history of **venous thrombosis** in a young male is classic for **Behcet’s Disease**. **1. Why Behcet’s Disease is Correct:** Behcet’s is a multi-systemic, chronic relapsing vasculitis of unknown etiology. It is unique because it involves vessels of **all sizes** (small, medium, and large) and affects both the **arterial and venous systems**. * **Oral Ulcers:** These are the hallmark (present in >95% of cases) and are usually painful and recurrent. * **Ocular Involvement:** Presents as anterior/posterior uveitis or retinal vasculitis (causing "congested eyes"). * **Vascular Involvement:** Behcet’s is a high-yield cause of **venous thrombosis** (DVT, Budd-Chiari syndrome) and arterial aneurysms (notably pulmonary artery aneurysms). **2. Why Other Options are Incorrect:** * **SLE:** While it causes oral ulcers and thrombosis (via APS), it typically presents with a malar rash, joint pain, and is more common in females. * **Reiter’s Syndrome (Reactive Arthritis):** Characterized by the triad of "Can't see (conjunctivitis), can't pee (urethritis), can't climb a tree (arthritis)." It does not typically cause venous thrombosis. * **Wegener’s Granulomatosis (GPA):** Primarily involves the respiratory tract (sinusitis, lung nodules) and kidneys (GN). While it is a vasculitis, recurrent oral ulcers and venous thrombosis are not its primary diagnostic features. **High-Yield Clinical Pearls for NEET-PG:** * **Pathergy Test:** A highly specific skin hyperreactivity test (development of a papule/pustule 24–48 hours after a needle prick). * **HLA Association:** Strongly associated with **HLA-B51**. * **Genital Ulcers:** The second most common feature; unlike oral ulcers, these often leave scars. * **Management:** Colchicine for mucocutaneous symptoms; systemic steroids and immunosuppressants (Azathioprine, Anti-TNF) for ocular and vascular disease.
Explanation: Sjögren's syndrome is a chronic autoimmune disorder characterized by lymphocytic infiltration of exocrine glands, primarily the lacrimal and salivary glands. **Why Option C is the Correct (False) Statement:** While the parotid gland is frequently enlarged in Sjögren's syndrome, a **minor salivary gland biopsy (usually from the lower lip)** is the preferred diagnostic procedure. It is less invasive, carries a lower risk of facial nerve injury or salivary fistula formation, and provides the characteristic "focus score" (≥1 focus of 50 lymphocytes per 4 $mm^2$ of tissue) required for classification criteria. **Analysis of Other Options:** * **Option A (True):** Keratoconjunctivitis sicca (dry eyes) results from lymphocytic infiltration of the lacrimal glands, leading to decreased tear production and corneal damage. * **Option B (True):** The hallmark histopathology of Sjögren's is a progressive **periductal and perivascular lymphocytic infiltration** (predominantly CD4+ T cells), which eventually leads to acinar atrophy and fibrosis. * **Option C (True):** Patients with Sjögren's have a 40-fold increased risk of developing B-cell lymphomas. The most common type is **MALToma** (Mucosa-Associated Lymphoid Tissue lymphoma), typically occurring in the parotid glands. **High-Yield Clinical Pearls for NEET-PG:** * **Antibodies:** Anti-Ro (SS-A) and Anti-La (SS-B) are the most specific markers. * **Schirmer’s Test:** Used to quantify tear production (<5 mm in 5 minutes is positive). * **Extraglandular Manifestations:** Include Raynaud’s phenomenon, cutaneous vasculitis, and interstitial lung disease. * **Risk Factor for Lymphoma:** Persistent parotid enlargement, purpura, and low C4 levels are warning signs of malignant transformation.
Explanation: **Explanation:** **Bullous Pemphigoid (BP)** is an autoimmune subepidermal blistering disease characterized by IgG autoantibodies against the hemidesmosomal proteins **BP180 and BP230** [1]. In elderly patients, systemic involvement can be extensive and life-threatening if not managed aggressively. **1. Why High-dose Prednisone is Correct:** The primary goal in managing generalized BP is rapid suppression of the inflammatory response to prevent new blister formation and promote healing. **Systemic corticosteroids** remain the first-line treatment. The standard recommended dose for moderate-to-severe or generalized disease is **0.5 to 1.0 mg/kg/day** (typically 50–100 mg/day) [1]. This high dose is necessary to achieve clinical remission before tapering. **2. Why Other Options are Incorrect:** * **Plasmapheresis:** This is reserved for refractory cases that do not respond to steroids and immunosuppressants. It is not a first-line therapy. * **Low-dose Prednisone:** While used during the maintenance/tapering phase, 10–20 mg/day is insufficient to control an acute, newly diagnosed flare of generalized BP. * **Azathioprine:** This is a "steroid-sparing agent." It takes weeks to reach therapeutic efficacy and is used as an adjunct to help taper steroids, not as a monotherapy for initial induction. **Clinical Pearls for NEET-PG:** * **Direct Immunofluorescence (DIF):** Shows **linear** IgG and C3 deposits along the basement membrane zone (BMZ) [1]. * **Nikolsky Sign:** Characteristically **negative** in BP (unlike Pemphigus Vulgaris). * **Topical Therapy:** High-potency topical steroids (e.g., Clobetasol propionate) are considered first-line and equally effective as oral steroids for localized or even extensive disease in some guidelines [1], but among the provided oral options, high-dose prednisone is the standard. * **Association:** BP is often associated with neurological disorders (e.g., Parkinson’s, Dementia) in the elderly.
Explanation: ### Explanation **Correct Option: A. Reiter’s Syndrome (Reactive Arthritis)** Reiter’s syndrome is a clinical triad of **non-gonococcal urethritis, conjunctivitis (or uveitis), and arthritis** [1]. It is a type of Seronegative Spondyloarthropathy that typically follows an infection of the urogenital tract (e.g., *Chlamydia trachomatis*) or the gastrointestinal tract (e.g., *Salmonella*, *Shigella*) [1]. In this case, the "gritty pain in the eye" indicates conjunctivitis, and the joint pain following a urinary tract infection (UTI) fits the classic "Can't see, can't pee, can't climb a tree" mnemonic. **Why other options are incorrect:** * **B. Behçet’s Syndrome:** Characterized by the triad of oral ulcers, genital ulcers, and uveitis. While it involves the eyes and joints, it is not typically preceded by a UTI and is defined by painful aphthous ulcers. * **C. Sarcoidosis:** A multisystem granulomatous disease. While it can cause uveitis and arthritis (Lofgren’s syndrome), it usually presents with bilateral hilar lymphadenopathy and respiratory symptoms rather than a post-UTI onset. * **D. Systemic Lupus Erythematosus (SLE):** An autoimmune disease presenting with malar rash, photosensitivity, and polyarthritis. It does not typically follow an acute UTI and has a different clinical profile (ANA positivity). **High-Yield Clinical Pearls for NEET-PG:** * **HLA Association:** Strongly associated with **HLA-B27** (approx. 80% of cases) [1]. * **Skin Findings:** Look for **Keratoderma blennorrhagicum** (vesicular, crusty lesions on palms/soles) and **Circinate balanitis** [1]. * **Joint Involvement:** Typically an asymmetric oligoarthritis affecting large joints of the lower extremities (e.g., knees, ankles) [1]. * **Dactylitis:** "Sausage digits" are a common feature.
Explanation: The classification of small-vessel vasculitis is primarily based on the presence or absence of immune deposits. **ANCA-associated vasculitides (AAV)** are characterized by "pauci-immune" inflammation (minimal or no immunoglobulin deposition) and the presence of Antineutrophil Cytoplasmic Antibodies [3]. **Why Anti-GBM disease is the correct answer:** Anti-GBM (Glomerular Basement Membrane) disease, formerly known as Goodpasture’s syndrome, is **not** an ANCA-associated vasculitis. It is an **immune-complex mediated** disease caused by direct autoantibodies against the alpha-3 chain of Type IV collagen [3]. On immunofluorescence, it shows a characteristic **linear deposition** of IgG along the glomerular capillaries [1], unlike the "pauci-immune" (negative) staining seen in AAV. **Analysis of incorrect options:** * **A. Granulomatosis with polyangiitis (GPA):** Formerly Wegener’s. A classic AAV characterized by granulomatous inflammation of the respiratory tract and necrotizing vasculitis. * **B. Eosinophilic granulomatosis with polyangiitis (EGPA):** Formerly Churg-Strauss. An AAV characterized by asthma, peripheral eosinophilia, and granulomatous inflammation [2]. Associated with **p-ANCA (anti-MPO)** in about 40-50% of cases. * **C. Microscopic polyangiitis (MPA):** A necrotizing AAV that lacks granulomas. It frequently involves the kidneys (RPGN) and lungs. **High-Yield Clinical Pearls for NEET-PG:** * **Double Positive:** Approximately 10-40% of patients with Anti-GBM disease also test positive for ANCA (usually p-ANCA). These patients have a "dual-positive" profile and carry a prognosis intermediate between the two diseases. * **Pauci-immune Glomerulonephritis:** If a biopsy shows necrotizing crescentic GN with *negative* immunofluorescence, the diagnosis is almost always an ANCA-associated vasculitis [3]. * **C-ANCA vs. P-ANCA:** Remember **C**-ANCA for **C**entral (PR3) and **P**-ANCA for **P**eriduclear (MPO).
Rheumatoid Arthritis
Practice Questions
Spondyloarthropathies
Practice Questions
Systemic Lupus Erythematosus
Practice Questions
Vasculitis Syndromes
Practice Questions
Scleroderma and Related Disorders
Practice Questions
Inflammatory Myopathies
Practice Questions
Crystal Arthropathies
Practice Questions
Osteoarthritis
Practice Questions
Primary Immunodeficiency Disorders
Practice Questions
Autoinflammatory Syndromes
Practice Questions
Sjögren's Syndrome
Practice Questions
Antiphospholipid Syndrome
Practice Questions
Get full access to all questions, explanations, and performance tracking.
Start For Free