Which of the following features of rheumatic fever is not due to molecular mimicry?
Rheumatoid factor in rheumatoid arthritis is important because:
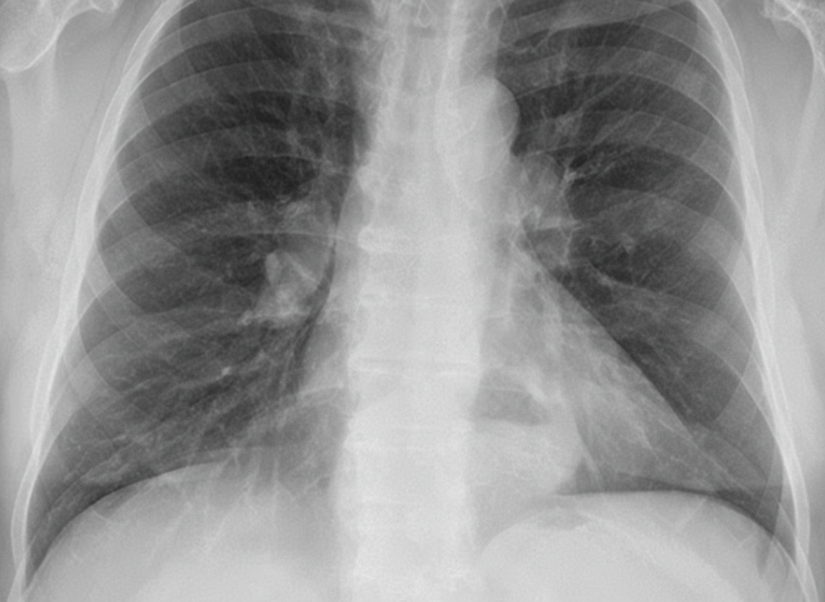
A 64-year-old woman with a longstanding diagnosis of mixed connective tissue disorder and pulmonary fibrosis is admitted with symptoms of recent increase in postprandrial retrosternal distress, heartburn, and nocturnal cough. Her ECG shows nonspecific T-wave changes and she finds minimal relief of her symptoms with sublingual NTG. On examination, she is not in any acute distress and is afebrile. Chest exam reveals bilateral crackles. CXR is shown. What is the most likely cause of this patient's acute symptoms?

Temporal arteritis is associated with all of the following except?
A 43-year-old woman presents with a year of progressive dysphagia. She notes that her hands turn white and become painful upon exposure to cold. She also observes that her face and hands lack wrinkles, despite her age. Physical examination reveals a blood pressure of 115/75 mm Hg and taut, shiny skin on her face and hands. A punch biopsy of the hand skin shows dermal collagenous fibrosis and focal calcification. She undergoes yearly esophageal dilation for 20 years, with no serious illnesses developing during this period. Which of the following serologic test results is most likely to be positive in this woman?
What is the mechanism of acute rheumatic fever?
A 36-year-old woman presents with increased trouble swallowing. Physical examination finds hypertension and sclerodactyly. Lab tests find Anti-Scl-70 antibodies. Which of the following biopsies is most characteristic of this disorder?
What is the drug of choice for an acute attack of hereditary angioneurotic edema?
A 45-year-old woman presents with pain in her fingers upon cold exposure, arthralgias, and dysphagia for solids. She has a few telangiectasias over the chest but no facial erythema or erythema of extensor surfaces. Physical examination reveals slight skin thickening of the hands, arms, and torso. What is the most appropriate diagnostic workup?
What is a cause of nail bed infarctions?
Explanation: Explanation: Acute Rheumatic Fever (ARF) is a classic example of a **Type II hypersensitivity reaction** mediated by **molecular mimicry**. Following a Group A Streptococcal (GAS) infection, antibodies against the streptococcal M-protein cross-react with host tissues. **Why Pericarditis is the Correct Answer:** In ARF, the cardiac involvement is a **pancarditis** (involving endocardium, myocardium, and pericardium) [1]. However, the underlying mechanisms differ: * **Myocarditis and Valvulitis (Endocarditis):** These are direct results of molecular mimicry. Antibodies cross-react with cardiac **myosin** (in the myocardium) and **laminin/vimentin** (in the valves/endocardium), leading to T-cell infiltration and the formation of **Aschoff bodies**. * **Pericarditis:** This is generally considered a **non-specific inflammatory response** (fibrinous pericarditis) to the underlying myocardial inflammation rather than a direct result of antibody-mediated molecular mimicry against pericardial antigens. **Analysis of Incorrect Options:** * **A. Myocarditis:** Caused by cross-reactivity between streptococcal M-protein and cardiac **myosin**. * **B. Polyarthritis:** Caused by cross-reactivity between streptococcal N-acetylglucosamine and **joint cartilage/synovium**. It is the most common feature of ARF. * **C. Valvulitis:** The most serious manifestation; antibodies cross-react with valvular endothelium, specifically targeting **laminin**. **NEET-PG High-Yield Pearls:** 1. **Aschoff Bodies:** Pathognomonic for ARF; found in all three layers but most characteristic in the myocardium. They contain **Anitschkow cells** ("caterpillar cells"). 2. **Jones Criteria:** Remember that **Migratory Polyarthritis** is a Major criterion, but **Arthralgia** is a Minor criterion [1]. 3. **Most Common Valve Involved:** Mitral valve (isolated), followed by Mitral + Aortic. 4. **Molecular Target:** The primary trigger is the **M-protein** of *Streptococcus pyogenes*.
Explanation: ### Explanation **1. Why Option A is correct:** In Rheumatoid Arthritis (RA), Rheumatoid Factor (RF) is an autoantibody (usually IgM) directed against the Fc portion of IgG [3]. High titers of RF are a significant prognostic marker. Patients who are **seropositive** (RF+) tend to have a more aggressive disease course characterized by greater joint destruction (erosions), increased risk of extra-articular manifestations (e.g., rheumatoid nodules, vasculitis, Felty’s syndrome), and overall poorer functional outcomes compared to seronegative patients [1]. **2. Why the other options are incorrect:** * **Option B:** RF is not 100% sensitive. Approximately 20–30% of patients with clinical RA are **seronegative**. Therefore, the absence of RF does not rule out the diagnosis. * **Option C:** RF is typically **absent** in most forms of Juvenile Idiopathic Arthritis (JIA), except for the specific subtype known as "Polyarticular RF-positive JIA," which accounts for only a small percentage of childhood cases. * **Option D:** RF titers do **not** reliably fluctuate with disease activity. While they may decrease slightly with treatment, they are not used to monitor flares or remission. Clinical markers (like DAS28) and inflammatory markers (ESR/CRP) are used for that purpose [2]. **3. NEET-PG High-Yield Pearls:** * **Most Specific Marker:** Anti-CCP (Anti-cyclic citrullinated peptide) antibodies are more specific (>95%) for RA than RF and are also associated with poor prognosis/erosive disease. * **RF Specificity:** RF is not specific to RA; it can be found in Sjogren’s syndrome (highest titers), SLE, chronic infections (Hepatitis C, TB, Subacute Bacterial Endocarditis), and even in healthy elderly individuals. * **Diagnostic Criteria:** Both RF and Anti-CCP are included in the **ACR/EULAR 2010 classification criteria** for RA.
Explanation: ***Large hiatal hernia*** - **MCTD** commonly causes **esophageal dysmotility** and **gastroesophageal reflux**, leading to large hiatal hernias with **retrocardiac air-fluid levels** on CXR. - **Postprandial retrosternal distress**, **heartburn**, and **nocturnal cough** are classic **GERD symptoms**, with minimal relief from **NTG** ruling out cardiac etiology. *Mediastinal abscess* - Would present with **high fever**, **sepsis**, and systemic toxicity, which are absent in this afebrile patient. - CXR would show **mediastinal widening** with **fluid collections**, not the typical **retrocardiac air-fluid level** seen with hiatal hernia. *Pneumopericardium* - Would present with **chest pain** and potentially **pericardial friction rub** on examination. - CXR would show **air around the heart** (**pneumopericardium sign**), not the **gastric air-fluid level** behind the heart. *Ileus* - Would present with **abdominal distension**, **nausea**, **vomiting**, and **absent bowel sounds**. - Symptoms are **abdominal**, not the **retrosternal** and **respiratory symptoms** described in this case.
Explanation: Temporal Arteritis, also known as **Giant Cell Arteritis (GCA)**, is a large-vessel vasculitis that primarily affects the branches of the external carotid artery. **Why "Low ESR" is the correct answer:** A hallmark of GCA is a **markedly elevated Erythrocyte Sedimentation Rate (ESR)**, typically exceeding **50 mm/hr** (often >100 mm/hr). A low or normal ESR is extremely rare in active GCA and should prompt a search for an alternative diagnosis [1]. C-reactive protein (CRP) is also usually elevated [1]. **Analysis of other options:** * **Elderly patient:** GCA almost exclusively affects individuals **over the age of 50**, with the peak incidence occurring between 70 and 80 years. It is rarely seen in younger populations. * **Giant cells:** Histopathologically, the disease is characterized by granulomatous inflammation of the arterial wall [1]. The presence of **multinucleated giant cells** and internal elastic lamina fragmentation on temporal artery biopsy is diagnostic [1]. * **Polymyalgia rheumatica (PMR):** There is a strong clinical association; approximately **40–50% of patients with GCA also have PMR**, characterized by proximal muscle pain and stiffness in the shoulder and pelvic girdles [1]. **High-Yield Clinical Pearls for NEET-PG:** * **Classic Presentation:** New-onset headache, jaw claudication (most specific symptom), and scalp tenderness. * **Dreaded Complication:** Sudden, irreversible blindness due to **Anterior Ischemic Optic Neuropathy (AION)**. * **Management:** If GCA is suspected, start **high-dose corticosteroids immediately** to prevent vision loss [1]; do not wait for biopsy results [1]. * **Gold Standard Diagnosis:** Temporal artery biopsy (look for "skip lesions") [1].
Explanation: ### Explanation This patient presents with a classic clinical picture of **Limited Cutaneous Systemic Sclerosis (lcSSc)**, formerly known as **CREST syndrome**. The diagnosis is supported by the presence of Raynaud’s phenomenon (hands turning white in cold), sclerodactyly (taut, shiny skin), esophageal dysmotility (progressive dysphagia), and calcinosis cutis (focal calcification on biopsy) [1]. **1. Why Anticentromere Antibody is Correct:** Anticentromere antibodies (ACA) are highly specific for the **limited** form of systemic sclerosis. The clinical vignette emphasizes a long, indolent course (20 years without serious systemic illness) and skin involvement restricted to the face and hands (distal to elbows/knees). This "limited" distribution and slow progression are hallmark features associated with ACA positivity. **2. Analysis of Incorrect Options:** * **B. Anti-DNA topoisomerase antibody (Anti-Scl-70):** This is the marker for **Diffuse Cutaneous Systemic Sclerosis (dcSSc)**. Patients with dcSSc typically have rapid skin involvement extending to the trunk and a much higher risk of early internal organ damage (e.g., interstitial lung disease or renal crisis), which contradicts this patient’s 20-year stable course. * **C. Antimicrosomal antibody:** Now more commonly referred to as Anti-TPO antibodies, these are associated with **Hashimoto’s thyroiditis**, not systemic sclerosis. * **D. Antimitochondrial antibody (AMA):** This is the hallmark of **Primary Biliary Cholangitis (PBC)**. While PBC can occasionally overlap with systemic sclerosis, it does not explain the cutaneous or esophageal findings. **3. NEET-PG High-Yield Pearls:** * **CREST Syndrome:** **C**alcinosis, **R**aynaud’s, **E**sophageal dysmotility, **S**clerodactyly, **T**elangiectasia. * **Limited SSc:** Skin involvement distal to elbows/knees; associated with **Anticentromere Ab** and late-onset **Pulmonary Arterial Hypertension (PAH)**. * **Diffuse SSc:** Skin involvement proximal to elbows/knees and trunk; associated with **Anti-Scl-70 (Topoisomerase I)** and **Anti-RNA Polymerase III** (risk of Scleroderma Renal Crisis). * **Most common cause of death:** Currently, Interstitial Lung Disease (ILD).
Explanation: **Mechanism of Acute Rheumatic Fever (ARF)** **Explanation of the Correct Answer:** The pathogenesis of Acute Rheumatic Fever is based on **Molecular Mimicry** (Type II Hypersensitivity). Following a pharyngeal infection with Group A Beta-Hemolytic *Streptococcus* (GABHS), the body produces antibodies against the streptococcal **M-protein**. Due to structural similarities, these antibodies cross-react with endogenous human antigens [2]. Specifically, they target **myosin** in the heart (causing myocarditis), **sarcolemmal proteins**, and **keratin**. This "cross-reactivity with endogenous antigens" leads to the characteristic inflammatory damage seen in the heart, joints, and brain [2]. **Analysis of Incorrect Options:** * **B. Innocent bystander effect:** This refers to damage to healthy cells during an immune response against a nearby pathogen (often via Type III hypersensitivity or complement activation). ARF is specifically an autoimmune cross-reaction, not a localized bystander phenomenon. * **C. Due to toxin secretion:** While streptococci secrete toxins (like Streptolysin O or Erythrogenic toxins), these cause direct tissue damage (e.g., Scarlet Fever or Toxic Shock) rather than the delayed immunological sequelae seen in ARF. * **D. Release of pyrogenic cytokines:** While cytokines cause the fever in ARF, they are a *result* of the inflammatory process, not the primary underlying mechanism of the disease. **High-Yield Clinical Pearls for NEET-PG:** * **Organism:** *Streptococcus pyogenes* (Group A). * **Site of Infection:** Only follows **pharyngitis**, never skin infections (impetigo) [2]. * **Major Criteria (Jones):** Joint (Migratory Polyarthritis), ❤️ (Carditis), Nodules (Subcutaneous), Erythema Marginatum, Sydenham’s Chorea [2]. * **Most Common Valve Involved:** Mitral valve (Mitral Regurgitation in acute phase [1]; Mitral Stenosis in chronic phase). * **Aschoff Bodies:** Pathognomonic histological finding containing **Anitschkow cells** (caterpillar nuclei).
Explanation: The patient presents with the classic triad of **Systemic Sclerosis (Scleroderma)**: dysphagia (esophageal dysmotility), sclerodactyly, and hypertension (suggesting renal involvement). The presence of **Anti-Scl-70 (anti-topoisomerase I)** antibodies is highly specific for the **Diffuse Cutaneous Systemic Sclerosis (dcSSc)** subtype. [1] **Why Option C is Correct:** The hallmark of systemic sclerosis is excessive deposition of collagen due to fibroblast activation. [1] Histologically, this manifests as **dermal fibrosis** (thickened dermis with dense collagen bundles). As the fibrosis progresses, it replaces and "chokes out" normal skin appendages, leading to an **absence of adnexal structures** (hair follicles, sweat glands, and sebaceous glands). **Why Other Options are Incorrect:** * **Option A:** Noncaseating granulomas on conjunctival biopsy are characteristic of **Sarcoidosis**. * **Option B:** Acid-fast bacteria on nerve biopsy indicate **Leprosy (Hansen’s disease)**. * **Option D:** Plasma cells and eosinophils in subcutaneous fat are seen in **Eosinophilic Fasciitis** (Schulman syndrome), which mimics scleroderma but spares the internal organs and lacks specific autoantibodies. **High-Yield Clinical Pearls for NEET-PG:** * **Antibody Correlation:** * **Anti-Scl-70:** Diffuse SSc (associated with interstitial lung disease). [1] * **Anti-Centromere:** Limited SSc / CREST syndrome (associated with pulmonary arterial hypertension). * **Anti-RNA Polymerase III:** Associated with **Scleroderma Renal Crisis** (presents with malignant hypertension). * **Early Sign:** Raynaud’s phenomenon is often the earliest clinical sign. * **GI Involvement:** The lower 2/3rd of the esophagus is most commonly affected due to smooth muscle atrophy and fibrosis.
Explanation: Hereditary Angioneurotic Edema (HAE) is an autosomal dominant disorder caused by a deficiency (Type I) or dysfunction (Type II) of the C1 esterase inhibitor. This deficiency leads to the over-activation of the complement pathway and the kallikrein-kinin system, resulting in excessive production of bradykinin, which causes increased vascular permeability and life-threatening mucosal swelling. Why C1 Inhibitor Concentrate is the Correct Answer: The gold standard and most physiological treatment for an acute attack is replacing the missing protein. C1 inhibitor concentrate (purified from human plasma or recombinant) rapidly halts the cascade by inhibiting kallikrein and activated C1, providing the fastest resolution of symptoms, especially in laryngeal or abdominal crises. Analysis of Incorrect Options: * Danazol (A): This is an attenuated androgen used for prophylaxis (prevention), not acute attacks. It works by increasing the hepatic synthesis of C1 inhibitor but takes days to weeks to show effect. * Icatibant (C): While Icatibant (a bradykinin B2 receptor antagonist) is an excellent FDA-approved treatment for acute HAE, in the context of standard medical examinations like NEET-PG, C1 inhibitor concentrate remains the primary "drug of choice" as it addresses the root cause (deficiency). *Note: If C1 concentrate is unavailable, Fresh Frozen Plasma (FFP) can be used.* * Methylprednisolone (D): HAE is not mediated by histamine or IgE; it is bradykinin-mediated. Therefore, corticosteroids, antihistamines, and epinephrine are typically ineffective. High-Yield Clinical Pearls for NEET-PG: * Classic Presentation: Recurrent, non-pitting, non-pruritic edema without urticaria (hives). * Screening Test: Low C4 levels (even between attacks). * Confirmatory Test: Low C1 esterase inhibitor levels/function. * Avoid: ACE inhibitors are contraindicated in HAE patients as they prevent bradykinin breakdown, potentially triggering a fatal attack [1].
Explanation: ### Explanation The clinical presentation is highly suggestive of **Systemic Sclerosis (Scleroderma)**. The patient exhibits classic features: Raynaud’s phenomenon (cold-induced finger pain), esophageal dysmotility (dysphagia for solids), telangiectasias, and skin thickening (sclerodactyly) [1]. **1. Why Option B is Correct:** The diagnosis of Systemic Sclerosis is primarily clinical but supported by specific serology. * **Antinuclear Antibodies (ANA):** Positive in >95% of patients (the best initial screening test). * **Anti-Scl-70 (Anti-topoisomerase I):** Highly specific for **Diffuse Cutaneous Systemic Sclerosis (dcSSc)**, which correlates with the patient's skin involvement of the torso and proximal limbs. * **Anticentromere Antibodies (ACA):** Highly specific for **Limited Cutaneous Systemic Sclerosis (lcSSc)** or CREST syndrome. **2. Why Other Options are Incorrect:** * **Option A:** RF and anti-CCP are markers for Rheumatoid Arthritis. While this patient has arthralgia, the multisystem involvement (Raynaud’s, dysphagia, skin thickening) points toward a connective tissue disease rather than isolated inflammatory arthritis. * **Option B:** While ANA is almost always positive in active SLE, the specific presence of sclerodactyly and proximal skin thickening is distinct from the typical rashes seen in Lupus [2]. * **Option C:** CK and anti-Jo-1 are used to diagnose inflammatory myopathies (Dermatomyositis/Polymyositis). The absence of proximal muscle weakness and characteristic rashes (Heliotrope/Gottron papules) makes this less likely. * **Option D:** While BUN/Creatinine are vital to monitor for Scleroderma Renal Crisis, they are not the primary diagnostic workup for the underlying systemic disease. **3. NEET-PG High-Yield Pearls:** * **Diffuse vs. Limited:** Skin thickening proximal to the elbows/knees or involving the trunk signifies **Diffuse** disease (associated with Anti-Scl-70 and higher risk of interstitial lung disease) [1]. * **Most common cause of death:** Currently, **Interstitial Lung Disease (ILD)**; historically, it was Renal Crisis. * **Drug of Choice for Raynaud’s:** Calcium Channel Blockers (e.g., Nifedipine). * **Gastrointestinal:** The
Explanation: **Explanation:** **Wegener’s Granulomatosis (Granulomatosis with Polyangiitis - GPA)** is a small-vessel vasculitis characterized by necrotizing granulomatous inflammation [1]. While it classically involves the triad of the upper respiratory tract, lungs, and kidneys, it frequently involves the skin and distal extremities. **Nail bed infarctions** (and splinter hemorrhages) occur due to necrotizing vasculitis of the small dermal vessels, leading to ischemia and tissue necrosis in the nail apparatus [1]. **Analysis of Options:** * **Wegener's Granulomatosis (Correct):** As a small-vessel vasculitis, it directly affects the precapillary arterioles and capillaries of the nail bed, leading to visible infarctions [1]. * **H.D (Hodgkin’s Disease):** While paraneoplastic syndromes can occur, HD is not a primary cause of nail bed infarctions. It is more commonly associated with pruritus or ichthyosis. * **Infective Endocarditis:** While this causes **splinter hemorrhages** (micro-emboli), it typically does not cause frank nail bed *infarction* unless there is a massive embolic event, which is less characteristic than the vasculitic process in GPA. * **Polyarteritis Nodosa (PAN):** PAN is a **medium-vessel** vasculitis. It typically presents with livedo reticularis, skin ulcers, and digital gangrene rather than isolated nail bed infarctions, which are more characteristic of small-vessel involvement. **High-Yield Pearls for NEET-PG:** * **GPA Triad:** Sinusitis (saddle nose deformity), Pulmonary nodules/hemorrhage, and Glomerulonephritis (RPGN). * **Marker:** c-ANCA (anti-PR3) is highly specific [2]. * **Nail Findings in Vasculitis:** Nail fold infarcts are a classic sign of systemic involvement in GPA, Systemic Sclerosis, and Rheumatoid Vasculitis [1]. * **Treatment of choice:** Cyclophosphamide + Corticosteroids (or Rituximab) [2].
Rheumatoid Arthritis
Practice Questions
Spondyloarthropathies
Practice Questions
Systemic Lupus Erythematosus
Practice Questions
Vasculitis Syndromes
Practice Questions
Scleroderma and Related Disorders
Practice Questions
Inflammatory Myopathies
Practice Questions
Crystal Arthropathies
Practice Questions
Osteoarthritis
Practice Questions
Primary Immunodeficiency Disorders
Practice Questions
Autoinflammatory Syndromes
Practice Questions
Sjögren's Syndrome
Practice Questions
Antiphospholipid Syndrome
Practice Questions
Get full access to all questions, explanations, and performance tracking.
Start For Free