A 25-year-old male smoker presents with high-grade fever, chills, severe right-sided pleuritic chest pain, and cough with expectoration. Physical examination of the patient is likely to show which of the following?
Residual lung volume is increased in which of the following conditions?
Foreign body aspirated during dental procedures can be retrieved by?
Type II Respiratory failure is characterized by?
Type II respiratory failure best relates to which of the following?
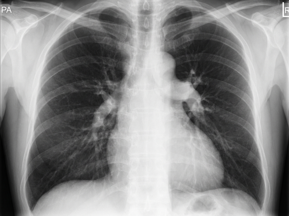
What is the most likely diagnosis?

Lower lobe fibrosis is typically seen in which of the following conditions?
In ARDS, all are seen except:
A chest X-ray shows a homogenous opacity on the right side with shifting of the mediastinum to the opposite side. What is the most probable diagnosis?
Which of the following is not a feature of consolidation?
Explanation: ### **Explanation** The clinical presentation of high-grade fever, chills, pleuritic chest pain, and productive cough in a young smoker is classic for **Lobar Pneumonia**. The underlying pathology is **consolidation**, where air in the alveoli is replaced by inflammatory exudate (fluid, WBCs, and debris). #### **Why Option C is Correct** In a consolidated lung, the solidified tissue conducts sound from the large central airways to the periphery more efficiently than air-filled alveoli. This results in **Bronchial Breath Sounds**, characterized by a tubular quality, a high pitch, and a distinct pause between inspiration and expiration (with expiration being louder and longer). #### **Why Other Options are Incorrect** * **A. Increased percussion sounds:** Consolidation increases the density of the lung tissue, leading to a **Dull percussion note**, not increased (resonant/hyperresonant) sounds. * **B. Decreased vocal fremitus:** Solid tissue conducts vibrations better than air. Therefore, **Tactile Vocal Fremitus (TVF) is increased** in pneumonia. It is decreased in conditions like pleural effusion or pneumothorax. * **D. Decreased vocal resonance:** Similar to TVF, vocal resonance is **increased** over an area of consolidation. This manifests as bronchophony, whispering pectoriloquy, and egophony ("E" to "A" change). --- ### **NEET-PG High-Yield Pearls: Consolidation vs. Effusion** | Feature | Consolidation (Pneumonia) | Pleural Effusion | | :--- | :--- | :--- | | **Percussion** | Dull | Stony Dull | | **Vocal Fremitus** | **Increased** | Decreased | | **Breath Sounds** | **Bronchial** | Diminished/Absent | | **Adventitious Sounds** | Crepitations (Crackles) | Pleural Rub (early stage) | | **Mediastinal Shift** | None | Shifts to opposite side (if large) | * **Key Concept:** If the bronchus leading to the consolidated area is **obstructed** (e.g., by a tumor or mucus plug), the breath sounds will be absent/diminished rather than bronchial.
Explanation: **Explanation:** **Residual Volume (RV)** is the amount of air remaining in the lungs after a maximal forced expiration. It is primarily determined by the balance between the outward elastic recoil of the chest wall and the inward elastic recoil of the lungs [2]. **Why Emphysema is correct:** Emphysema is a type of Chronic Obstructive Pulmonary Disease (COPD) characterized by the destruction of alveolar walls and loss of elastic recoil [1]. This loss of "radial traction" leads to **premature airway closure** during expiration. Consequently, air becomes trapped in the distal airspaces (air trapping), significantly increasing the Residual Volume (RV) and Total Lung Capacity (TLC) [1]. **Why the other options are incorrect:** * **Obesity:** This is an extrapulmonary restrictive condition. The excess adipose tissue on the chest wall and abdomen increases intra-abdominal pressure, pushing the diaphragm upward. This reduces the Functional Residual Capacity (FRC) and can slightly decrease or maintain RV. * **Bacterial Pneumonia:** This is an acute inflammatory process where alveoli are filled with exudate (consolidation). This reduces the available air space, leading to a decrease in all lung volumes, including RV. * **Idiopathic Pulmonary Fibrosis (IPF):** This is an intrinsic restrictive lung disease. Increased lung elastic recoil (stiff lungs) pulls the airways open but limits expansion. This results in a global reduction of all lung volumes (TLC, FRC, and RV). **High-Yield Clinical Pearls for NEET-PG:** * **Obstructive Diseases (Asthma, COPD):** RV, FRC, and TLC are typically **increased** due to air trapping [1]. * **Restrictive Diseases (Fibrosis, Scoliosis):** RV, FRC, and TLC are typically **decreased**. * **RV/TLC Ratio:** This ratio is increased in obstructive diseases, serving as a marker for air trapping and hyperinflation. * **Measurement:** Remember that RV, FRC, and TLC **cannot** be measured by simple spirometry; they require helium dilution, nitrogen washout, or body plethysmography.
Explanation: **Explanation:** **1. Why Bronchoscopy is the Correct Answer:** Foreign body aspiration (FBA) occurs when an object (such as a dental crown, bridge, or instrument) accidentally enters the respiratory tract. Because the trachea bifurcates into the bronchial tree, these objects typically lodge in the mainstem bronchi (most commonly the right main bronchus due to its more vertical orientation). **Bronchoscopy** is the gold standard for both the diagnosis and management of FBA. * **Rigid Bronchoscopy** is generally preferred in clinical practice for foreign body retrieval as it provides a stable airway, better visualization, and allows for the use of various grasping forceps to remove the object safely. **2. Why Other Options are Incorrect:** * **B. Gastroscopy:** This procedure involves the endoscopic examination of the upper gastrointestinal tract (esophagus, stomach, and duodenum). It is used if a patient *swallows* a foreign body (ingestion) rather than *aspirates* it. * **C. Arthroscopy:** This is a surgical procedure used by orthopedic surgeons to visualize, diagnose, and treat problems inside a joint (e.g., knee or shoulder). It has no role in the respiratory system. **3. Clinical Pearls for NEET-PG:** * **Most Common Site:** In adults, the **Right Main Bronchus** is the most common site for aspirated foreign bodies because it is wider, shorter, and more vertical than the left. * **Radiology:** Most dental foreign bodies are **radiopaque** (visible on X-ray). However, if the object is radiolucent, look for indirect signs like obstructive emphysema or atelectasis. * **Emergency Management:** If a patient has a complete airway obstruction (cannot speak or cough), the **Heimlich maneuver** is the immediate life-saving intervention before bronchoscopy. * **Gold Standard:** Rigid bronchoscopy remains the procedure of choice for foreign body removal in children, while flexible bronchoscopy may be used in select adult cases.
Explanation: **Explanation:** Respiratory failure is clinically defined as the inability of the respiratory system to maintain adequate gas exchange [1]. It is classified into two primary types based on arterial blood gas (ABG) patterns [3]: **1. Why Option C is Correct:** **Type II Respiratory Failure (Hypercapnic Respiratory Failure)** is characterized by **Ventilatory Failure** [1]. The fundamental defect is the inability to move sufficient air in and out of the lungs (alveolar hypoventilation). This leads to the accumulation of carbon dioxide (**High PaCO2 >45 mmHg**) and a secondary drop in oxygen levels (**Low PaO2 <60 mmHg**) [3]. It is commonly seen in conditions like COPD, neuromuscular disorders (Guillain-Barré Syndrome, Myasthenia Gravis), and central nervous system depression [2]. **2. Analysis of Incorrect Options:** * **Option A (Low PaO2 / Low PaCO2):** This describes **Type I Respiratory Failure (Hypoxemic)** [1]. Here, the primary issue is oxygenation (e.g., V/Q mismatch or shunt). The patient hyperventilates to compensate for hypoxia, which "washes out" CO2, leading to hypocapnia. * **Option B (Normal PaCO2 / Low PaO2):** This represents early or mild Type I respiratory failure where the body is still maintaining CO2 homeostasis despite falling oxygen levels [1]. * **Option D (High PaO2 / Low PaCO2):** This is clinically inconsistent with respiratory failure. High PaO2 usually occurs with supplemental oxygen therapy, and low PaCO2 indicates hyperventilation (alkalosis), not failure. **High-Yield Clinical Pearls for NEET-PG:** * **Type I Failure:** "Oxygenation failure" (e.g., ARDS, Pneumonia, Pulmonary Edema) [3]. * **Type II Failure:** "Ventilation failure" (e.g., COPD, Obesity Hypoventilation Syndrome) [2]. * **The Alveolar-arterial (A-a) Gradient:** In Type II failure due to extrapulmonary causes (like drug overdose), the A-a gradient is **normal**. If Type II failure is due to intrinsic lung disease (like COPD), the A-a gradient is **increased**.
Explanation: Respiratory failure is classified based on arterial blood gas (ABG) patterns [1]. **Type II Respiratory Failure** (Hypercapnic Respiratory Failure) is defined by a **PaCO₂ >45 mmHg**, usually accompanied by a PaO₂ <60 mmHg [3]. **Why Alveolar Hypoventilation is Correct:** The primary mechanism of Type II failure is **alveolar hypoventilation** [3]. Carbon dioxide (CO₂) levels in the blood are inversely proportional to alveolar ventilation. When the "pump" (respiratory muscles, chest wall, or CNS drive) fails to move enough air in and out of the lungs, CO₂ cannot be cleared, leading to hypercapnia [1]. Common causes include COPD, neuromuscular disorders (GBS, Myasthenia Gravis), and obesity hypoventilation syndrome [2]. **Analysis of Incorrect Options:** * **Alveolar Flooding (B) & Lung Atelectasis (D):** These conditions primarily cause **Type I Respiratory Failure** (Hypoxemic). They lead to a **V/Q mismatch or shunting**, where blood passes through non-ventilated alveoli [3]. While oxygenation drops significantly, CO₂ levels are usually low or normal because the patient hyperventilates to compensate [1]. * **Hypoperfusion of respiratory muscles (C):** While severe shock can lead to muscle fatigue and eventual failure, it is a secondary contributor rather than the defining pathophysiological mechanism of Type II failure. **High-Yield Clinical Pearls for NEET-PG:** * **Type I:** Hypoxemia with Normal/Low PaCO₂ (Mechanism: V/Q Mismatch) [3]. * **Type II:** Hypoxemia with **High PaCO₂** (Mechanism: Alveolar Hypoventilation) [3]. * **A-a Gradient:** In Type II failure due to extrapulmonary causes (e.g., drug overdose), the **A-a gradient is normal**. If the gradient is increased, it suggests intrinsic lung disease (e.g., COPD). * **Management:** The mainstay for Type II failure is improving ventilation, often via **Non-Invasive Ventilation (NIV/BiPAP)**.
Explanation: ***Pulmonary artery hypertension*** - Classic chest X-ray findings include **enlarged main pulmonary artery** and **right heart enlargement** with prominent right ventricle. - **Peripheral pruning** (oligemia) shows decreased vascular markings in outer lung fields due to elevated pulmonary pressures. *Interstitial lung disease* - Chest X-ray typically shows **reticular opacities** and **honeycombing** in lower zones, not the vascular changes seen here. - Associated with **progressive dyspnea** and **dry cough**, but lacks the cardiac enlargement pattern. *Congestive heart failure* - Presents with **cardiomegaly** and **pulmonary edema** showing **Kerley B lines** and **bat-wing** distribution. - **Bilateral pleural effusions** and **cephalization** of pulmonary vessels are common findings. *Bronchiectasis* - Characteristic **tram-track** and **ring shadows** representing dilated bronchi with thickened walls. - Associated with **recurrent infections** and **productive cough** with purulent sputum, not vascular prominence.
Explanation: **Explanation** The distribution of pulmonary fibrosis is a high-yield topic in NEET-PG. The correct answer is **Asbestosis** because it characteristically involves the **lower lobes** (subpleural and basal regions) [1]. **1. Why Asbestosis is Correct:** Asbestos fibers are inhaled and deposited deep into the distal airways and alveoli. Due to their physical properties and the gravity-dependent nature of ventilation, they primarily affect the lower lobes [1]. Over time, this leads to interstitial fibrosis (asbestosis), often accompanied by pleural plaques [1]. **2. Why the Other Options are Incorrect:** * **Silicosis (A):** Typically involves the **upper lobes** [1]. It is characterized by silicotic nodules and "eggshell calcification" of hilar lymph nodes [1]. * **Sarcoidosis (B):** Predominantly affects the **upper and middle lobes**. It is a multisystem granulomatous disease characterized by bilateral hilar lymphadenopathy [1]. * **Cystic Fibrosis (C):** Bronchiectasis and subsequent fibrosis in CF characteristically start in the **upper lobes** (specifically the right upper lobe initially). **3. Clinical Pearls for NEET-PG:** To remember the distribution of interstitial lung diseases (ILD), use these mnemonics: * **Upper Lobe Fibrosis (SCART):** * **S**ilicosis / **S**arcoidosis * **C**oal Worker's Pneumoconiosis [1] * **A**nkylosing Spondylitis * **R**adiation (Upper zone) * **T**uberculosis / **T**errible Fungi (Histoplasmosis) * **Lower Lobe Fibrosis (BAD):** * **B**ronchiectasis * **A**sbestosis [1] * **D**rugs (Amiodarone, Methotrexate, Bleomycin) / **D**ermatomyositis (and other Connective Tissue Diseases like RA/SLE) / **I**diopathic Pulmonary Fibrosis (IPF) **Key Fact:** While most inorganic dusts (Silica, Coal) affect the upper lobes, **Asbestos is the notable exception** that affects the lower lobes [1].
Explanation: Explanation: Acute Respiratory Distress Syndrome (ARDS) is characterized by diffuse alveolar damage (DAD) resulting from a severe inflammatory insult [1]. The pathophysiology follows a predictable sequence of stages: Exudative, Proliferative, and Fibrotic. **1. Why "Dilated Bronchioles" is the correct answer:** Dilated bronchioles (bronchiectasis) are not a characteristic feature of ARDS. In fact, the intense inflammation and subsequent fibrosis in ARDS typically lead to **traction bronchiectasis** (irregular widening) in late stages, but "dilated bronchioles" as a primary pathological hallmark is incorrect. Furthermore, the hallmark of ARDS is alveolar and interstitial pathology, not primary airway dilation. **2. Analysis of Incorrect Options:** * **Edema:** This is the hallmark of the **Exudative phase**. Increased capillary permeability leads to protein-rich fluid leaking into the alveolar spaces (non-cardiogenic pulmonary edema) [1]. * **Alveolar Damage:** Diffuse Alveolar Damage (DAD) is the histological "gold standard" for diagnosing ARDS. It involves damage to the alveolar-capillary membrane and the formation of characteristic **hyaline membranes**. * **Fibrosis:** This occurs during the **Fibrotic phase** (usually after 2-3 weeks). Chronic inflammation leads to collagen deposition and remodeling of the lung parenchyma, reducing lung compliance ("stiff lungs") [1]. **Clinical Pearls for NEET-PG:** * **Berlin Criteria:** Acute onset (<1 week), bilateral opacities on imaging, PaO2/FiO2 ratio <300 mmHg, and respiratory failure not fully explained by heart failure/fluid overload [1]. * **Histology:** Look for "Hyaline membranes" (composed of fibrin and cell debris) lining the alveoli. * **Management:** Low tidal volume ventilation (6 mL/kg) and prone positioning are high-yield strategies to reduce mortality.
Explanation: ### Explanation The correct answer is **Pleural effusion**. The key to solving this question lies in analyzing two radiological features: the nature of the opacity and the position of the mediastinum. **1. Why Pleural Effusion is correct:** A large pleural effusion presents as a **homogenous, dense opacity** (white-out) on a chest X-ray. Because fluid occupies space in the pleural cavity, it exerts **positive pressure**, pushing the mediastinal structures (trachea and heart) away from the side of the lesion (**contralateral shift**). **2. Why the other options are incorrect:** * **Collapse (A):** While collapse also presents as an opacity, it results in a loss of lung volume. This creates negative pressure, which **pulls** the mediastinum toward the side of the lesion (**ipsilateral shift**). * **Pneumothorax (C):** This presents as an area of hyperlucency (increased blackness) due to air, not an opacity. While a tension pneumothorax causes a contralateral shift, the radiological appearance is dark, not white. * **Consolidation (D):** This presents as an opacity (often with air bronchograms), but it typically does not cause a significant shift of the mediastinum because the lung volume remains relatively unchanged [1]. **High-Yield Clinical Pearls for NEET-PG:** * **Mediastinal Shift Rule:** * **Push (Away):** Large Pleural Effusion, Tension Pneumothorax, Large Diaphragmatic Hernia. * **Pull (Towards):** Lung Collapse (Atelectasis), Pneumonectomy, Pleural Fibrosis. * **Ellis S-shaped curve:** The characteristic upper border of a moderate pleural effusion on an X-ray. * **Costophrenic angle blunting:** The earliest radiological sign of pleural effusion (seen when fluid >175–200 ml on PA view).
Explanation: **Explanation:** In pulmonary medicine, **consolidation** refers to the replacement of alveolar air with fluid, exudate, or debris (most commonly due to pneumonia) [1]. Because solid/liquid media conduct sound better than air, consolidation is characterized by increased transmission of vibrations and sounds. **Why Option D is correct:** Tracheal shift occurs when there is a significant **pressure or volume imbalance** in the hemithorax. * **Consolidation** is an "isovolumetric" process; the lung tissue remains in its anatomical position, so there is **no tracheal shift**. * A shift **towards** the lesion indicates **collapse (atelectasis)** or fibrosis (volume loss). * A shift **away** from the lesion indicates **pleural effusion** or tension pneumothorax (volume/pressure gain). **Why the other options are incorrect:** * **A. Increased vocal resonance:** Solidified lung tissue conducts sound waves from the large airways to the chest wall more efficiently than air-filled alveoli. This results in increased vocal resonance, bronchophony, and whispering pectoriloquy. * **B. Dull percussion note:** Air is resonant. When air is replaced by exudate (solid/liquid), the percussion note changes from resonant to **dull**. * **C. Bronchial breath sounds:** In a healthy lung, alveoli act as a high-frequency filter. In consolidation, this filter is lost, allowing the high-pitched, tubular sounds from the large airways to be heard at the periphery. **High-Yield Clinical Pearls for NEET-PG:** 1. **Vocal Fremitus (VF) & Vocal Resonance (VR):** Both are **increased** in consolidation but **decreased** in pleural effusion and collapse (except collapse with a patent bronchus). 2. **Auscultatory hallmark:** The presence of **E-to-A change (Egophony)** is highly specific for consolidation. 3. **Crackles:** Late inspiratory crepitations are often heard as the consolidated areas begin to resolve or if there is associated airway secretion.
Obstructive Airway Diseases (Asthma, COPD)
Practice Questions
Interstitial Lung Diseases
Practice Questions
Pulmonary Infections
Practice Questions
Pulmonary Vascular Diseases
Practice Questions
Pleural Diseases
Practice Questions
Sleep-Disordered Breathing
Practice Questions
Respiratory Failure
Practice Questions
Mediastinal Disorders
Practice Questions
Occupational Lung Diseases
Practice Questions
Pulmonary Function Testing
Practice Questions
Bronchiectasis and Cystic Fibrosis
Practice Questions
Lung Cancer Approach
Practice Questions
Get full access to all questions, explanations, and performance tracking.
Start For Free