Which of the following is NOT caused by sarcoidosis?
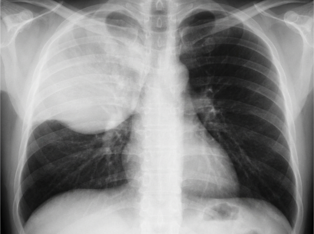
A 34-year-old woman is admitted with a history of fever, chills, and greenish sputum for 10 days. She has a history of alcohol and substance abuse. On physical examination, vital signs are: pulse 113 bpm; temperature 101degF; respirations 25/min; blood pressure 110/78 mm Hg. She appears ill and has crackles with egophony and E to A changes in the right upper lung field. Laboratory data: Hb 12 g/dL; Hct 37%; WBCs 15.0/uL; differential BUN 48 mg/dL; creatinine 1.7 mg/dL. Chest radiographs are shown. What is the most likely diagnosis?

The absence of which of the following signs or symptoms makes a diagnosis of pulmonary embolism unlikely?
Although asthma is a heterogeneous disease, which of the following is most likely to be present in all individuals with asthma?
Which of the following are true about Kartagener's syndrome?
All of the following are true about emphysema except:
A 50-year-old male presents with dyspnea, dry cough, fatigue, and anorexia. Investigations reveal a raised ESR and a restrictive pattern in pulmonary function tests. HRCT shows honeycombing in subpleural and basal locations. What is the probable diagnosis?
What is the typical feature of interstitial lung disease?
Which of the following patient groups is NOT at increased risk for pneumococcal pneumonia?
Which organ's primary involvement is not reported to be affected by sarcoidosis?
Explanation: **Explanation** Sarcoidosis is a multisystem granulomatous disease characterized by non-caseating granulomas [1]. The correct answer is **Osteomalacia**, as sarcoidosis is associated with increased bone resorption rather than the mineralization defect seen in osteomalacia. **1. Why Osteomalacia is the correct answer:** In sarcoidosis, macrophages within the granulomas contain the enzyme **1-alpha-hydroxylase**, which converts Vitamin D into its most active form, **1,25-dihydroxyvitamin D (Calcitriol)**. This occurs independently of PTH regulation. High levels of calcitriol lead to increased intestinal calcium absorption and bone resorption. Therefore, sarcoidosis causes **hypercalcemia** and **hypercalciuria**, which can lead to osteosclerosis or osteopenia, but not osteomalacia (which is caused by Vitamin D deficiency). **2. Analysis of Incorrect Options:** * **Hypercalcemia:** As explained above, ectopic production of 1,25-(OH)₂D by granulomas is a classic feature of sarcoidosis [1]. * **Diabetes Insipidus (DI):** Sarcoidosis can involve the central nervous system (Neurosarcoidosis). Granulomatous infiltration of the hypothalamus or posterior pituitary can lead to Central DI [1]. * **Addison’s Disease:** Though rare, sarcoidosis can cause primary adrenal insufficiency (Addison’s) through direct granulomatous infiltration of the adrenal glands. **Clinical Pearls for NEET-PG:** * **Lofgren’s Syndrome:** Triad of Erythema nodosum, bilateral hilar adenopathy, and arthralgia (Good prognosis) [1]. * **Heerfordt’s Syndrome:** Uveitis, parotid enlargement, and facial nerve palsy. * **Diagnosis:** Elevated Serum ACE levels and the "Panda sign" on Gallium-67 scan. * **Biopsy:** Non-caseating granulomas with **Schaumann bodies** and **Asteroid bodies**.
Explanation: ***Klebsiella pneumonia*** - The combination of **alcohol abuse**, **right upper lobe consolidation** with **bulging fissure sign**, and **greenish sputum** are classic for Klebsiella pneumoniae. - **Elevated WBC count** (15.0/uL) and **systemic toxicity** with fever and chills support acute bacterial pneumonia, particularly in immunocompromised patients. *Loculated empyema* - Would typically show **pleural fluid collection** with **loculations** on imaging, not consolidation with bulging fissure. - Usually presents with **persistent fever** despite antibiotic treatment and requires **drainage procedures** rather than just antimicrobial therapy. *Postobstructive pneumonia* - Typically occurs **distal to bronchial obstruction** by tumor, foreign body, or mucus plugs, more common in **elderly patients**. - Would expect **atelectasis** with consolidation and possible **mediastinal shift**, not the bulging fissure pattern seen here. *Tuberculosis* - Usually presents with **chronic symptoms** over weeks to months, not acute 10-day illness with high fever. - Typically affects **upper lobes** but shows **cavitation** and **fibronodular changes** rather than acute consolidation with bulging fissure.
Explanation: **Explanation:** Pulmonary Embolism (PE) is a clinical chameleon, but its diagnosis relies heavily on the presence of non-specific yet highly sensitive clinical signs. **Why Tachypnea is the correct answer:** Tachypnea (respiratory rate >20/min) is the **most common clinical sign** observed in patients with pulmonary embolism, occurring in approximately 70–90% of cases. According to the PIOPED study, the absence of tachypnea, tachycardia, or chest pain significantly reduces the clinical probability of PE [1]. Because tachypnea is so consistently present due to the physiological response to V/Q mismatch and reflex stimulation of irritant receptors, its absence makes the diagnosis of PE highly unlikely [1]. **Analysis of Incorrect Options:** * **Pleuritic Chest Pain:** While common (occurring in ~66% of cases), it usually signifies a peripheral embolus causing pulmonary infarction. Its absence does not rule out a central PE. * **Hemoptysis:** This is a relatively insensitive sign, seen in only about 13–30% of patients [2]. It occurs late in the process following pulmonary infarction [2]. * **Wheezing:** This is an uncommon finding in PE (seen in <10% of cases) and is more suggestive of obstructive airway diseases like asthma or COPD. **NEET-PG High-Yield Pearls:** * **Most common symptom:** Dyspnea (at rest or with exertion). * **Most common sign:** Tachypnea. * **Classic Triad (Virchow’s):** Stasis, Hypercoagulability, Endothelial injury. * **Gold Standard Investigation:** CT Pulmonary Angiography (CTPA). * **ECG Finding:** Most common is Sinus Tachycardia; most specific is S1Q3T3 (McGinn-White sign) [1]. * **Chest X-ray:** Usually normal, but may show Westermark sign (focal oligemia) or Hampton’s Hump (wedge-shaped opacity) [1].
Explanation: ### Explanation **Correct Answer: D. Nonspecific airway hyperirritability** **Why it is correct:** Asthma is defined by the presence of **airway hyperresponsiveness (AHR)** to various stimuli [1]. While the triggers and clinical phenotypes vary, the physiological hallmark of asthma is the exaggerated bronchoconstrictor response to non-specific stimuli (such as methacholine, histamine, cold air, or exercise) [1]. This hyperirritability is a result of airway inflammation and structural changes (remodeling) and is present in virtually all symptomatic patients, making it the most consistent feature of the disease [1]. **Why the other options are incorrect:** * **A & C (Allergic history/Skin-test reaction):** These are features of **Atopic (Extrinsic) Asthma**. However, a significant subset of patients has **Non-atopic (Intrinsic) Asthma**, where there is no personal/family history of allergy and skin prick tests are negative [1]. Therefore, these are not universal findings. * **B (Characteristic personality type):** While psychological stress can trigger an exacerbation, there is no specific "asthmatic personality type" recognized in modern medicine. Asthma is primarily an inflammatory and physiological disorder, not a psychological one. **High-Yield Clinical Pearls for NEET-PG:** * **Gold Standard for Diagnosis:** Demonstration of reversible airflow obstruction (increase in FEV1 by **>12% and >200 mL** after bronchodilator inhalation). * **Bronchial Provocation Test:** If spirometry is normal, a **Methacholine Challenge Test** is used. A **PC20** (provocative concentration causing a 20% fall in FEV1) <8 mg/mL indicates airway hyperirritability [1]. * **Pathology:** Look for **Curschmann spirals** (mucus plugs) and **Charcot-Leyden crystals** (eosinophil breakdown products) in sputum. * **Phenotypes:** Remember that "Obesity-associated asthma" and "Late-onset asthma" often lack the allergic components mentioned in options A and C [1].
Explanation: **Explanation:** **Kartagener’s Syndrome** is a subset of **Primary Ciliary Dyskinesia (PCD)**, an autosomal recessive disorder characterized by structural or functional defects in the cilia. The syndrome is classically defined by a clinical triad [1]: 1. **Situs Inversus (including Dextrocardia):** Due to the failure of embryonic cilia to direct the normal rotation of internal organs. 2. **Bronchiectasis:** Chronic respiratory infections occur because defective mucociliary clearance leads to mucus stasis and bacterial colonization [1]. 3. **Chronic Sinusitis:** Resulting from impaired ciliary function in the paranasal sinuses [1]. **Why Option B is correct:** In addition to the triad, **Infertility** is a hallmark feature. In males, it is due to immotile spermatozoa (the sperm tail is a modified cilium). In females, it can occur due to dysfunctional cilia in the fallopian tubes. Therefore, Dextrocardia, Infertility, and Bronchiectasis accurately represent the syndrome's manifestations. **Why other options are incorrect:** * **Options A & C:** **Mental retardation** is not a feature of Kartagener’s syndrome. While some ciliopathies (like Bardet-Biedl syndrome) involve cognitive deficits, PCD does not. * **Option D:** While true, it is **incomplete**. Bronchiectasis is a core component of the diagnostic triad and a major cause of morbidity in these patients [1]. **High-Yield Clinical Pearls for NEET-PG:** * **Genetic Defect:** Most commonly due to mutations in **DNAI1** and **DNAH5** genes, leading to a deficiency in **Dynein arms** (outer or inner). * **Diagnosis:** Initial screening via **Nasal Nitric Oxide (nNO)** levels (characteristically low). Definitive diagnosis is made via **High-speed video microscopy** or **Electron microscopy** of ciliary biopsy. * **Associated Condition:** Often associated with **Young’s Syndrome** (Bronchiectasis + Obstructive Azoospermia), though the ciliary structure in Young's is typically normal [1].
Explanation: In COPD, patients are traditionally categorized into two phenotypes: **Type A (Pink Puffers - Emphysema)** and **Type B (Blue Bloaters - Chronic Bronchitis)** [1]. ### Why "Cyanosis" is the Correct Answer (The Exception) In **Emphysema**, the primary pathology is the destruction of alveolar walls and capillary beds. While this reduces gas exchange surface area, the ventilation-perfusion (V/Q) ratio remains relatively balanced because both ventilation and perfusion are lost simultaneously. Patients compensate by hyperventilating (panting) to maintain near-normal oxygen levels until the very late stages. Consequently, they remain well-oxygenated and "pink" rather than cyanotic [1]. **Cyanosis** is a hallmark of **Chronic Bronchitis**, where severe V/Q mismatch and hypoventilation lead to early hypoxemia [1]. ### Explanation of Other Options * **Barrel-shaped chest:** Chronic air trapping and hyperinflation lead to an increased anteroposterior diameter of the chest, a classic sign of emphysema [2]. * **Associated with smoking:** Cigarette smoking is the most common etiology [3], as it increases protease activity (elastase) which destroys lung parenchyma. * **Type 1 respiratory failure:** Emphysema typically presents with Type 1 respiratory failure (hypoxemia with normal or low $PaCO_2$) due to hyperventilation [1]. Type 2 failure (hypercapnia) occurs much later compared to chronic bronchitis. ### High-Yield Clinical Pearls for NEET-PG * **DLCO:** Characteristically **decreased** in Emphysema (due to loss of surface area) but normal in Chronic Bronchitis. * **Centriacinar Emphysema:** Most common type; associated with smoking; affects upper lobes. * **Panacinar Emphysema:** Associated with **$\alpha_1$-antitrypsin deficiency**; affects lower lobes. * **Radiology:** Look for flattened diaphragms, increased retrosternal airspace, and hyperlucid lung fields.
Explanation: ### Explanation The clinical presentation and imaging findings are classic for **Idiopathic Pulmonary Fibrosis (IPF)**. [1] **1. Why Option A is Correct:** IPF typically affects males over 50 years of age, presenting with progressive dyspnea and a non-productive cough. [1] The hallmark of IPF on High-Resolution Computed Tomography (HRCT) is the **Usual Interstitial Pneumonia (UIP) pattern**. [1] Key features of this pattern include: * **Honeycombing:** Clusters of cystic airspaces (essential for a definitive diagnosis). [1] * **Distribution:** Predominantly **subpleural and basal** (lower lobes). * **Reticular opacities** and traction bronchiectasis. [1] The restrictive pattern on PFT (decreased FVC, decreased TLC, and increased/normal FEV1/FVC ratio) confirms interstitial lung disease. [1] **2. Why Other Options are Incorrect:** * **B. Sarcoidosis:** Typically presents in younger patients with bilateral hilar lymphadenopathy. HRCT usually shows perilymphatic nodules along the bronchovascular bundles, predominantly in the **upper and middle lobes**, rather than basal honeycombing. * **C. Asbestosis:** While it also shows a basal subpleural pattern, it requires a documented history of **asbestos exposure**. [2] The presence of pleural plaques is a distinguishing feature not mentioned here. * **D. Lymphangitis Carcinomatosa:** This represents the spread of a primary tumor to pulmonary lymphatics. HRCT typically shows **nodular thickening of interlobular septa** and preserved lung architecture, not honeycombing. **Clinical Pearls for NEET-PG:** * **Auscultation:** Look for "Velcro" crackles (fine, end-inspiratory) in IPF. [1] * **Clubbing:** Present in 25-50% of IPF patients. [1] * **Treatment:** Nintedanib and Pirfenidone are antifibrotic agents used to slow disease progression. * **Definitive Diagnosis:** If HRCT is "Inconsistent with UIP," a surgical lung biopsy may be required, though honeycombing on HRCT is often sufficient to bypass biopsy. [2]
Explanation: ### Explanation **Interstitial Lung Disease (ILD)** is characterized by progressive fibrosis and thickening of the alveolar walls, leading to decreased lung compliance (stiff lungs) [1]. **Why "End-inspiratory rales" is correct:** The hallmark physical finding in ILD is **fine, dry, "Velcro-like" end-inspiratory crackles (rales)** [1]. These occur because, during inspiration, the high negative intrapleural pressure forces open small, stiff airways and collapsed alveoli that were held shut by fibrotic tissue. This sudden "popping open" at the peak of inspiration creates the characteristic sound, typically heard first at the lung bases. **Analysis of Incorrect Options:** * **Expiratory rales:** Rales are predominantly an inspiratory phenomenon [1]. Expiratory crackles are rare and usually associated with severe obstructive diseases (like bronchiectasis) rather than classic ILD. * **Inspiratory/Expiratory rhonchi:** Rhonchi are low-pitched, snoring sounds caused by secretions or narrowing in the **large airways** (e.g., bronchitis). ILD primarily affects the **parenchyma and interstitium**, not the large conducting airways. * **Expiratory wheeze (rhonchi):** This is the hallmark of obstructive airway diseases like Asthma or COPD, where air is trapped during expiration due to bronchospasm or airway collapse. **High-Yield Clinical Pearls for NEET-PG:** * **Clubbing:** Frequently seen in Idiopathic Pulmonary Fibrosis (IPF) but rare in sarcoidosis [1]. * **PFT Pattern:** Restrictive lung disease (Decreased TLC, Decreased FVC, but a **Normal or Increased FEV1/FVC ratio**) [1]. * **DLCO:** Characteristically **decreased** in ILD due to the thickened alveolar-capillary membrane [1]. * **HRCT Gold Standard:** Look for "honeycombing" and "traction bronchiectasis" in advanced cases [1].
Explanation: **Explanation:** The risk of pneumococcal pneumonia (caused by *Streptococcus pneumoniae*) is primarily determined by the host's immune status, specifically the integrity of B-cell function, splenic clearance, and mucosal immunity. **Why Thalassemia is the correct answer:** While patients with Thalassemia are at a significantly increased risk for infections by **encapsulated organisms** (like *S. pneumoniae*), this risk is almost exclusively associated with **Post-Splenectomy** status or iron overload. Thalassemia itself, as a hemoglobinopathy, does not inherently predispose a patient to pneumonia in the same way chronic systemic diseases or malignancies do. In the context of this competitive question, it is considered the "least likely" risk factor compared to the definitive physiological predispositions in the other options. **Analysis of Incorrect Options:** * **Chronic Renal Failure (A):** Uremia impairs both cellular and humoral immunity. Patients with CRF have diminished chemotaxis and B-cell dysfunction, making them highly susceptible to pyogenic infections. * **Lymphoma (B):** Hematological malignancies, especially lymphomas, lead to hypogammaglobulinemia and impaired antibody production. Since *S. pneumoniae* requires opsonization for clearance, these patients are at high risk. * **Old Age (C):** Immunosenescence (the gradual deterioration of the immune system) and a decrease in mucociliary clearance make the elderly one of the primary target groups for pneumococcal vaccination [1]. **High-Yield Clinical Pearls for NEET-PG:** * **Most common cause** of Community-Acquired Pneumonia (CAP) is *Streptococcus pneumoniae* [1]. * **Vaccination:** The PPSV23 (Polysaccharide) and PCV13 (Conjugate) vaccines are recommended for adults >65 years and those with chronic heart, lung, or liver disease, DM, and immunocompromising conditions. * **Asplenia:** Functional or anatomical asplenia (e.g., Sickle Cell Anemia or post-splenectomy in Thalassemia) is the strongest risk factor for **Overwhelming Post-Splenectomy Infection (OPSI)**, where *S. pneumoniae* is the #1 pathogen.
Explanation: Detailed Explanation of Sarcoidosis Clinical Features Sarcoidosis is a multisystem, chronic inflammatory disease characterized by the formation of **non-caseating granulomas**. While it can affect almost any organ system, its distribution is not uniform [1]. **1. Why Adrenals (Correct Answer) is right:** The **adrenal glands** are classically spared in sarcoidosis. While the disease frequently involves the lymph nodes, lungs, liver, and eyes, primary adrenal involvement or adrenal insufficiency (Addison’s disease) is extremely rare and generally not reported as a standard clinical feature of the disease. In contrast, other granulomatous diseases like Tuberculosis or Histoplasmosis frequently involve the adrenals [2]. **2. Why other options are wrong:** * **Heart (Option A):** Cardiac sarcoidosis occurs in about 5-25% of patients. It typically presents with conduction blocks, arrhythmias, or heart failure and is a significant cause of mortality [1]. * **Kidney (Option C):** Renal involvement occurs primarily through disordered calcium metabolism (hypercalciuria and hypercalcemia) leading to nephrocalcinosis or kidney stones [1]. Direct granulomatous interstitial nephritis can also occur. * **Brain (Option D):** Known as **Neurosarcoidosis**, it affects approximately 5-10% of patients. The most common manifestation is cranial nerve palsies (especially Facial Nerve/CN VII) [1]. **High-Yield Clinical Pearls for NEET-PG:** * **Most common organ involved:** Lungs (>90%) [3]. * **Most common cranial nerve involved:** Facial nerve (CN VII) [1]. * **Lofgren’s Syndrome:** Triad of Erythema nodosum, bilateral hilar adenopathy, and polyarthritis (Good prognosis) [1]. * **Heerfordt’s Syndrome:** Uveitis, parotid enlargement, and facial palsy. * **Biochemical marker:** Elevated Serum ACE (Angiotensin-Converting Enzyme) levels.
Obstructive Airway Diseases (Asthma, COPD)
Practice Questions
Interstitial Lung Diseases
Practice Questions
Pulmonary Infections
Practice Questions
Pulmonary Vascular Diseases
Practice Questions
Pleural Diseases
Practice Questions
Sleep-Disordered Breathing
Practice Questions
Respiratory Failure
Practice Questions
Mediastinal Disorders
Practice Questions
Occupational Lung Diseases
Practice Questions
Pulmonary Function Testing
Practice Questions
Bronchiectasis and Cystic Fibrosis
Practice Questions
Lung Cancer Approach
Practice Questions
Get full access to all questions, explanations, and performance tracking.
Start For Free