Adult respiratory distress syndrome is defined by all except:
Bronchiectasis is most common in which lobe?
A 27-year-old man presents with new left-sided chest pain and feeling unwell. He describes a 2-day history of cough with some blood-tinged sputum, fever, and chills. His past medical history is negative, and he smokes about 1 pack of cigarettes per day. On physical examination, there is dullness and crackles in the left lower chest. Which of the following is the most likely diagnosis?
What is the gold standard for diagnosing pulmonary embolism?
Which one of the following distinguishes ARDS (acute respiratory distress syndrome) from cardiogenic pulmonary edema?
All the following conditions cause type I respiratory failure EXCEPT?
A 26-year-old male presents with a history suggestive of tuberculosis and pleural effusion on examination. Which of the following parameters is NOT used for the analysis of pleural fluid in this context?
Which viral infection is associated with exacerbation of asthma in COPD patients?
Velcro crackles are heard in which condition?
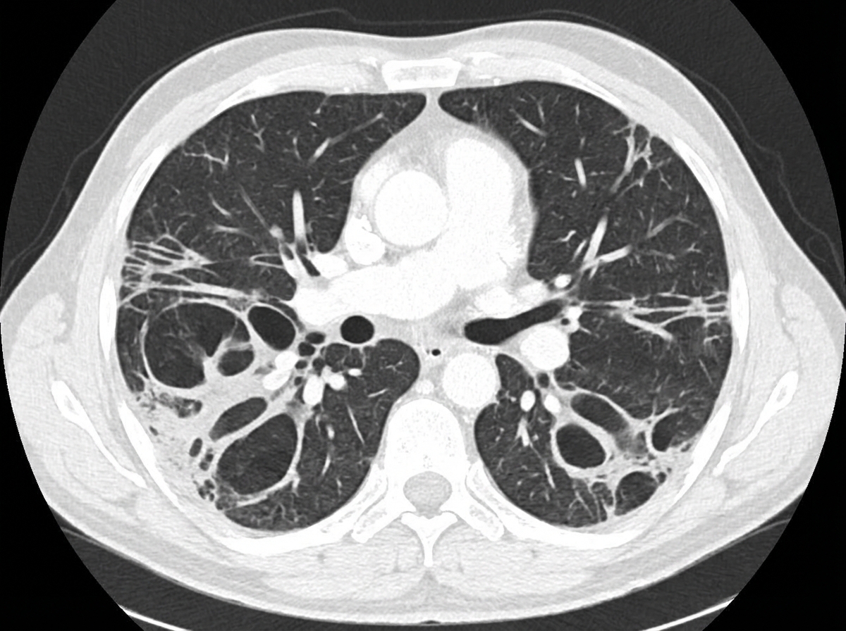
A 55-year-old non-smoker lady presented with on and off haemoptysis and productive cough for 1 year. There was no fever or constitutional symptoms. Physical examination showed clubbing of fingers and coarse crepitations over the lung base. Blood tests were essentially normal and an initial CXR and CT scan were performed. What is the radiological diagnosis?

Explanation: ### Explanation Acute Respiratory Distress Syndrome (ARDS) is a form of non-cardiogenic pulmonary edema characterized by acute hypoxemia and bilateral lung infiltrates [1]. The definition of ARDS is primarily based on the **Berlin Criteria (2012)**, which replaced the older American-European Consensus Conference (AECC) definition [1]. **1. Why Option B is the Correct Answer:** ARDS is defined by the **absence of left atrial hypertension**. A Pulmonary Capillary Wedge Pressure (PCWP) **> 18 mmHg** suggests cardiogenic pulmonary edema (heart failure), which is an exclusion criterion for ARDS. In ARDS, the edema is caused by increased alveolar-capillary permeability ("leaky capillaries"), not hydrostatic pressure. Therefore, the PCWP must be **≤ 18 mmHg** (if measured) to support a diagnosis of ARDS. **2. Analysis of Other Options:** * **Option A (PaO2/FiO2 ratio < 200):** This is a hallmark of ARDS. According to the Berlin Criteria, ARDS is graded by severity based on the P/F ratio (with PEEP ≥ 5 cmH2O): [1] * **Mild:** 200–300 mmHg * **Moderate:** 100–200 mmHg * **Severe:** < 100 mmHg. * **Option C (Diffuse bilateral airspace edema):** This is a mandatory radiological finding [1]. The opacities must be bilateral and not fully explained by effusions, lobar collapse, or nodules [1]. **Clinical Pearls for NEET-PG:** * **Timing:** Onset must be acute, within **1 week** of a known clinical insult [1]. * **Pathology:** The hallmark pathological finding is **Diffuse Alveolar Damage (DAD)** with hyaline membrane formation. * **Management:** The gold standard is **Low Tidal Volume Ventilation** (6 mL/kg of predicted body weight) to prevent volutrauma. * **Key Trigger:** Sepsis is the most common cause of ARDS.
Explanation: **Explanation:** **1. Why Left Lower Lobe (DLL) is Correct:** Bronchiectasis is a chronic condition characterized by permanent dilation of the bronchi. Statistically, the **left lower lobe (LLL)** is the most common site for non-cystic fibrosis bronchiectasis. This predilection is primarily due to anatomical factors: the left main bronchus is longer, narrower, and enters the lung at a more acute angle compared to the right. This anatomy results in relatively poorer drainage of secretions and an increased susceptibility to recurrent infections and bronchial obstruction, which are the primary drivers of bronchiectatic changes [1]. **2. Analysis of Incorrect Options:** * **Right Upper Lobe (A) & Left Upper Lobe (C):** Upper lobe involvement is less common in idiopathic bronchiectasis. However, if bronchiectasis is localized to the upper lobes, it strongly suggests **Cystic Fibrosis** or **Allergic Bronchopulmonary Aspergillosis (ABPA)**. * **Right Middle Lobe (B):** While the right middle lobe is prone to "Middle Lobe Syndrome" (recurrent atelectasis/infection due to its long, thin bronchus surrounded by lymph nodes), it is not the most frequent site overall compared to the lower lobes. **3. Clinical Pearls for NEET-PG:** * **Most Common Cause (Global):** Post-infectious (e.g., Tuberculosis, Measles, Pertussis). * **Most Common Cause (Developed Countries):** Cystic Fibrosis. * **Gold Standard Investigation:** High-Resolution CT (HRCT) scan showing the **"Signet Ring Sign"** (bronchial diameter > accompanying pulmonary artery) [1]. * **Kartagener Syndrome:** A high-yield triad of Bronchiectasis, Sinusitis, and Situs Inversus. * **Williams-Campbell Syndrome:** Bronchiectasis due to congenital deficiency of bronchial cartilage.
Explanation: ### Explanation **Correct Answer: A. Pneumonia, left lower lobe** The clinical presentation of **acute onset fever, chills, productive cough with blood-tinged sputum (rusty sputum), and pleuritic chest pain** is classic for community-acquired pneumonia (CAP) [1]. On physical examination, **dullness to percussion** and **crackles** (crepitations) indicate alveolar consolidation, where air is replaced by inflammatory exudate. In a young smoker, *Streptococcus pneumoniae* is the most common causative organism [2]. **Why the other options are incorrect:** * **B. Atelectasis:** While it presents with dullness, it is usually a secondary complication (e.g., post-surgery or bronchial obstruction). It typically lacks the acute infectious triad of high fever, chills, and purulent/bloody sputum. * **C. Pulmonary Embolism (PE):** Although PE presents with sudden chest pain and hemoptysis, the presence of high-grade fever, chills, and localized crackles strongly points toward an infectious etiology rather than a vascular event [1]. * **D. Tuberculosis (TB):** TB usually presents with a **chronic** course (weeks to months) featuring night sweats, weight loss, and upper lobe involvement. It is a differential diagnosis for pneumonia but follows a different temporal pattern [3]. **NEET-PG High-Yield Pearls:** 1. **Consolidation Signs:** Increased vocal fremitus, dullness to percussion, bronchial breath sounds, and whispering pectoriloquy. 2. **Sputum Clues:** "Rusty sputum" suggests *S. pneumoniae*; "Red currant jelly" suggests *Klebsiella*; "Greenish" suggests *Pseudomonas* [1], [3]. 3. **CURB-65 Score:** Used to decide inpatient vs. outpatient management (Confusion, Urea >7mmol/L, Respiratory rate ≥30, BP <90/60, Age ≥65) [3]. 4. **Gold Standard Investigation:** A Chest X-ray showing a lobar infiltrate confirms the diagnosis.
Explanation: ### Explanation **Correct Answer: B. Ventilation perfusion (V/Q) scan** In the context of traditional medical literature and standard textbook definitions often tested in exams like NEET-PG, the **Ventilation-Perfusion (V/Q) scan** is historically considered the gold standard for diagnosing Pulmonary Embolism (PE). [1] **Why it is the Correct Answer:** The V/Q scan works on the principle of identifying a "mismatch." In PE, there is a defect in perfusion (blood flow) to a segment of the lung, while ventilation (airflow) remains intact. While **CT Pulmonary Angiography (CTPA)** is now the *investigation of choice* in clinical practice due to its speed and availability, the V/Q scan remains the academic "gold standard," particularly in patients where CTPA is contraindicated (e.g., renal failure or pregnancy). [1] **Why Other Options are Incorrect:** * **A. X-ray Chest:** Usually normal in PE. [2] Its primary role is to rule out other causes of chest pain (like pneumonia or pneumothorax). Specific signs like *Hampton’s Hump* or *Westermark sign* are rare. * **C. Blood Gas Analysis (ABG):** Often shows hypoxemia and respiratory alkalosis (due to hyperventilation), but these findings are non-specific and cannot confirm a diagnosis. [2] * **D. Doppler:** Lower limb venous Doppler is used to identify Deep Vein Thrombosis (DVT). While DVT is the most common source of PE, a negative Doppler does not rule out PE. [1] **High-Yield Clinical Pearls for NEET-PG:** * **Investigation of Choice:** CT Pulmonary Angiography (CTPA). [1] * **Definitive/Gold Standard (Traditional):** Pulmonary Angiography (Invasive), but among the given non-invasive options, V/Q scan is the preferred academic answer. * **Most Common ECG Finding:** Sinus Tachycardia. [2] * **Classic (but rare) ECG Finding:** S1Q3T3 pattern. [2] * **Best Initial Screening Test:** D-Dimer (high negative predictive value).
Explanation: The fundamental distinction between **Acute Respiratory Distress Syndrome (ARDS)** and **Cardiogenic Pulmonary Edema (CPE)** lies in the underlying pathophysiology of the fluid accumulation in the lungs. **1. Why the Correct Answer is Right:** ARDS is characterized by **non-cardiogenic pulmonary edema** caused by increased alveolar-capillary permeability due to inflammatory damage. In contrast, CPE is caused by increased hydrostatic pressure (back-pressure from the left heart). [1] * In ARDS, the **Pulmonary Capillary Wedge Pressure (PCWP)**—which reflects left atrial pressure—is typically **normal (≤18 mmHg)**. * In CPE, the PCWP is elevated (>18 mmHg). [1] * *Note:* While the question uses "Pulmonary Arterial Pressure," in a clinical context, it refers to the absence of elevated left-sided filling pressures (PCWP) as the primary differentiator. **2. Why Incorrect Options are Wrong:** * **A & D (Normal PaO2 / PaCO2):** Both ARDS and CPE present with severe **hypoxemia** (low PaO2) and an increased respiratory rate, which initially leads to **hypocapnia** (low PaCO2). Neither condition features normal blood gas values. * **C (Normal A-a Gradient):** Both conditions involve fluid in the alveoli, which impairs gas exchange and leads to an **increased Alveolar-arterial (A-a) oxygen gradient**. **High-Yield Clinical Pearls for NEET-PG:** * **Berlin Criteria for ARDS:** 1) Acute onset (within 1 week), 2) Bilateral opacities on imaging not fully explained by effusions/collapse, 3) Respiratory failure not fully explained by heart failure (PCWP ≤18), 4) **PaO2/FiO2 ratio <300.** * **Severity:** Mild (200-300), Moderate (100-200), Severe (<100). * **Management Gold Standard:** Low tidal volume ventilation (6 mL/kg) to prevent volutrauma.
Explanation: **Explanation:** Respiratory failure is classified based on arterial blood gas (ABG) patterns into Type I and Type II [1]. **1. Why "Brainstem lesion" is the correct answer:** Type I Respiratory Failure (Hypoxemic) is characterized by a $PaO_2 < 60$ mmHg with a normal or low $PaCO_2$ [2]. It is primarily caused by **V/Q mismatch** or **diffusion impairment** [1]. In contrast, **Brainstem lesions** (e.g., stroke, trauma, or opioid overdose) lead to **Type II Respiratory Failure (Hypercapnic)**. The underlying mechanism is **alveolar hypoventilation** due to a reduced respiratory drive [2]. This results in a $PaCO_2 > 45$ mmHg alongside hypoxemia [2]. Since the primary defect is "pump failure" (the brain/nerves/muscles) rather than "lung parenchymal failure," it does not fit the Type I profile. **2. Why the other options are incorrect:** * **Acute asthma:** Causes V/Q mismatch [1]. Initially, patients hyperventilate, leading to low $PaCO_2$ (Type I). A rising $PaCO_2$ in asthma is an ominous sign of exhaustion. * **Pulmonary edema:** Fluid in the alveoli impairs gas exchange and causes V/Q mismatch/shunting, leading to Type I failure [2]. * **Pneumonia:** Inflammatory exudate fills the alveoli, preventing oxygenation of blood (shunting), typically resulting in Type I failure [2]. **High-Yield Clinical Pearls for NEET-PG:** * **Type I (Hypoxemic):** $PaO_2 \downarrow$, $PaCO_2$ Normal/$\downarrow$. Mechanism: V/Q mismatch (most common) [1]. Examples: ARDS, PE, Fibrosis. * **Type II (Hypercapnic):** $PaO_2 \downarrow$, $PaCO_2 \uparrow$. Mechanism: Hypoventilation [2]. Examples: COPD, Myasthenia Grares, Guillain-Barré Syndrome, Obesity Hypoventilation. * **A-a Gradient:** Usually **elevated** in Type I (lung pathology) but **normal** in Type II caused by extrapulmonary issues (like brainstem lesions).
Explanation: **Explanation:** In the evaluation of pleural effusion, the primary goal is to differentiate between transudate and exudate using **Light’s Criteria** [1]. While protein and LDH are measured, **Albumin** itself is not a standard parameter for pleural fluid analysis. Instead, the **Serum-Ascites Albumin Gradient (SAAG)** is used for peritoneal fluid, whereas in pleural fluid, we calculate the **Protein Gradient** (Serum Protein - Pleural Protein) only if Light’s criteria falsely identify a transudate as an exudate (common in patients on diuretics). **Analysis of Options:** * **Albumin (Correct Answer):** It is not routinely used for pleural fluid analysis. We measure **Total Protein**, not albumin, to satisfy Light’s Criteria (Pleural/Serum Protein ratio > 0.5). * **Gene Xpert (MTB/RIF):** This is a highly specific molecular test used to detect *M. tuberculosis* DNA and Rifampicin resistance. It is now a recommended initial test for suspected TB effusions, although its sensitivity in pleural fluid is lower than in sputum. * **LDH (Lactate Dehydrogenase):** A cornerstone of Light’s Criteria. A Pleural/Serum LDH ratio > 0.6 or a pleural LDH > 2/3rd the upper limit of normal serum LDH indicates an exudative process like TB [1]. * **ADA (Adenosine Deaminase):** A high-yield marker for Tubercular Pleural Effusion. A value **> 40 U/L** is highly suggestive of TB in high-prevalence areas. **Clinical Pearls for NEET-PG:** * **Light’s Criteria:** Exudate if (1) Pleural/Serum Protein > 0.5, (2) Pleural/Serum LDH > 0.6, or (3) Pleural LDH > 2/3rd ULN of Serum LDH [1]. * **TB Pleural Effusion:** Typically an exudate with **lymphocytic predominance** and low glucose [1]. * **Gold Standard:** Pleural biopsy (showing granulomas) is more sensitive than fluid culture for TB [1].
Explanation: **Explanation:** Viral respiratory infections are the most common triggers for acute exacerbations in patients with underlying airway diseases like Asthma and COPD. **1. Why Option D is Correct:** The pathophysiology involves viral-induced airway inflammation, increased mucus production, and heightened bronchial hyperreactivity. * **Rhinovirus:** The most frequent cause of asthma exacerbations in both children and adults. It induces a Th2-mediated immune response. * **RSV (Respiratory Syncytial Virus):** A major trigger for wheezing and exacerbations, particularly significant in pediatric populations and elderly COPD patients. * **Influenza:** Known for causing severe systemic symptoms and significant lower respiratory tract inflammation, leading to high morbidity in patients with pre-existing lung disease. **2. Analysis of Incorrect Options:** * **Options A, B, and C:** While Adenovirus and Coronaviruses (like OC43 or 229E) can cause exacerbations, they are statistically less frequent triggers compared to the "big three" (Rhinovirus, RSV, and Influenza). These options are incomplete as they omit one or more of the primary causative agents. **3. High-Yield Clinical Pearls for NEET-PG:** * **Most common cause of Asthma exacerbation:** Rhinovirus. * **Most common cause of COPD exacerbation:** Overall, viruses are more common than bacteria; among viruses, Rhinovirus is #1. [1] * **Mechanism:** Viruses increase airway eosinophilia and neutrophils, leading to a "double hit" of inflammation. * **Management:** In viral-triggered exacerbations, the mainstay remains bronchodilators and systemic corticosteroids; antibiotics are only indicated if there is evidence of secondary bacterial infection (e.g., increased sputum purulence). [1]
Explanation: **Explanation:** **Velcro crackles** (fine, end-inspiratory, high-pitched crackles) are the hallmark physical finding of **Interstitial Lung Diseases (ILD)**, most notably **Idiopathic Pulmonary Fibrosis (IPF)** [1]. **Why Pulmonary Fibrosis is correct:** In pulmonary fibrosis, the lung parenchyma becomes stiff and scarred. During inspiration, the sudden opening of these stiff, collapsed distal airways and alveoli against the fibrotic interstitium produces a characteristic sound resembling the pulling apart of a Velcro fastener. These crackles are typically bilateral, basal, and do not clear with coughing [1]. **Why other options are incorrect:** * **Lung Cancer:** Usually presents with localized wheeze (if obstructing an airway) or diminished breath sounds. Crackles are not a primary feature unless there is associated post-obstructive pneumonia. * **Pneumothorax:** Characterized by a sudden onset of pleuritic chest pain and dyspnea. Physical exam reveals **absent or diminished breath sounds** and hyper-resonance on percussion on the affected side. * **Pleural Effusion:** Presents with "stony dull" percussion notes and **absent/decreased breath sounds** over the fluid collection. Crackles are not heard because the fluid is outside the lung parenchyma. **Clinical Pearls for NEET-PG:** * **Early vs. Late Crackles:** Fine crackles (Velcro) are heard in late inspiration (ILD/Fibrosis), whereas coarse crackles are usually heard in early inspiration (Chronic Bronchitis/Bronchiectasis) [2]. * **Clubbing + Velcro Crackles:** This combination is highly suggestive of Idiopathic Pulmonary Fibrosis (IPF) or Asbestosis [1], [2]. * **Radiology:** The gold standard for diagnosing the "Velcro crackle" pathology is **HRCT**, which shows a "Honeycombing" pattern in advanced fibrosis [1].
Explanation: ***Bronchiectasis*** - **Chronic productive cough** with **haemoptysis** and **clubbing** are classic features of bronchiectasis, supported by **coarse crepitations** at lung bases. - CT shows characteristic **signet-ring sign** and **tram-tracking** (dilated airways with thickened walls), while CXR may show **dilated bronchi** and **increased lung markings**. *Pneumoconiosis* - Requires **occupational exposure** to dust particles (silica, asbestos, coal), which is not mentioned in this case. - Typically presents with **progressive dyspnea** and **upper lobe involvement** on imaging, not the described clinical features. *Emphysema* - Strongly associated with **smoking history**, which is absent in this non-smoker patient. - Characterized by **hyperinflated lungs** and **reduced lung markings** on imaging, opposite to the coarse crepitations found here. *Lung abscess* - Usually presents with **fever**, **constitutional symptoms**, and **purulent sputum**, all of which are absent. - CT typically shows a **cavitary lesion** with **air-fluid level**, not the diffuse changes expected in this case.
Obstructive Airway Diseases (Asthma, COPD)
Practice Questions
Interstitial Lung Diseases
Practice Questions
Pulmonary Infections
Practice Questions
Pulmonary Vascular Diseases
Practice Questions
Pleural Diseases
Practice Questions
Sleep-Disordered Breathing
Practice Questions
Respiratory Failure
Practice Questions
Mediastinal Disorders
Practice Questions
Occupational Lung Diseases
Practice Questions
Pulmonary Function Testing
Practice Questions
Bronchiectasis and Cystic Fibrosis
Practice Questions
Lung Cancer Approach
Practice Questions
Get full access to all questions, explanations, and performance tracking.
Start For Free