Which of the following conditions is most sensitively detected by D-dimer testing?
What is the drug of choice in interstitial lung disease?
A 28-year-old bank employee presents with infertility and oligospermia. He reports a history of recurrent pancreatitis and chronic cough since childhood, with evident digital clubbing. Which test is most likely to reveal the cause of his chronic lung disease?
Dyspnoea at rest is which grade?
Which of the following statements regarding Sarcoidosis is correct?
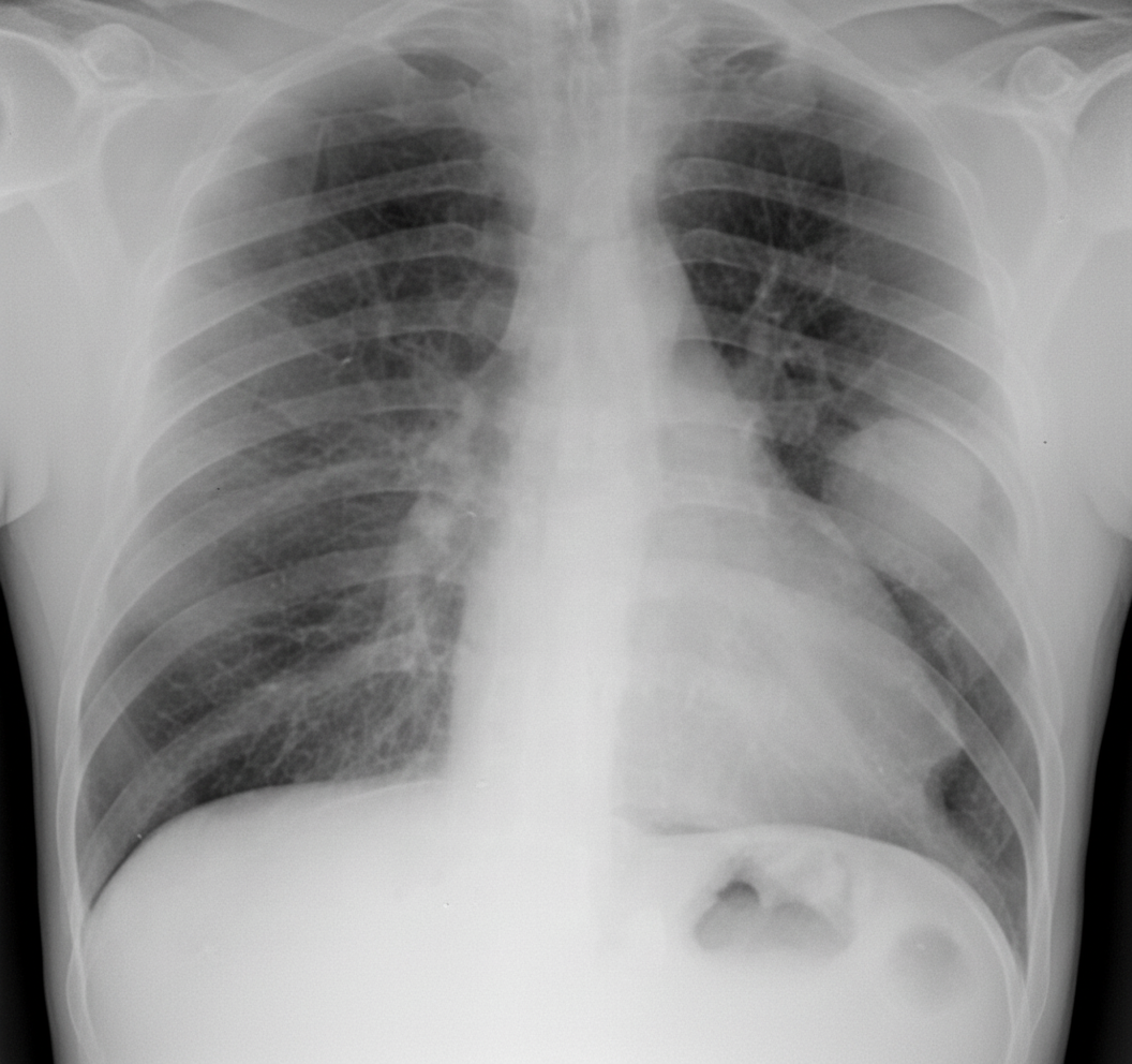
A 60-year-old man with a past history of smoking for 30 years (he stopped 3 years ago, prior to cardiac bypass surgery) is admitted with cough and mild hemoptysis. He is afebrile with no shortness of breath. Physical exam is negative except for rhonchi in the left upper lung zone on auscultation. What is the finding or abnormality most likely to occur with the lesion seen on the chest X-ray?

Which of the following conditions typically presents with an exudative pleural effusion?
A 52-year-old man presents with a chronic cough and shortness of breath. He admits to smoking two packs of cigarettes a day for 30 years and has been diagnosed with chronic obstructive pulmonary disease. In counseling this patient, you advise him to stop smoking immediately and inform him that, in addition to emphysema, which of the following organs carries a significantly increased risk of smoking-related cancer?
Which of the following is NOT a common cause of acute exacerbation of COPD?
What is the most common cause of unilateral diaphragmatic paralysis?
Explanation: **Explanation:** **1. Why Pulmonary Embolism (PE) is Correct:** D-dimer is a fibrin degradation product (FDP) produced when cross-linked fibrin is cleaved by plasmin. In Pulmonary Embolism, the endogenous fibrinolytic system attempts to break down the thrombus, leading to elevated D-dimer levels [1]. The clinical utility of D-dimer lies in its **high sensitivity (approx. 95-97%)** and high **Negative Predictive Value (NPV)**. A negative D-dimer (using a high-sensitivity assay) effectively rules out PE in patients with a low-to-moderate pre-test probability (Wells’ Score) [2]. **2. Why Incorrect Options are Wrong:** * **Acute Pulmonary Edema:** This is primarily a hemodynamic or hydrostatic issue (fluid in alveoli) rather than a thrombotic process. While D-dimer can be non-specifically elevated in systemic illness, it has no diagnostic role here. * **Cardiac Tamponade:** This is a mechanical compression of the heart due to pericardial fluid [1]. It does not involve the coagulation-fibrinolysis pathway. * **Acute Myocardial Infarction (AMI):** While AMI involves coronary thrombosis, D-dimer is not sensitive or specific enough for diagnosis. Troponins are the gold-standard biomarkers for AMI. **3. High-Yield Clinical Pearls for NEET-PG:** * **Rule-out Tool:** D-dimer is a "rule-out" test, not a "rule-in" test. It has low specificity because it can be elevated in pregnancy, malignancy, trauma, surgery, and old age [3]. * **Wells’ Criteria:** Always calculate the Wells’ score first. If the score suggests "PE Likely," proceed directly to CTPA; do not wait for D-dimer [2]. * **Age-Adjusted D-dimer:** For patients >50 years, use the formula: **Age × 10 µg/L** to reduce false positives [3]. * **Gold Standard:** CT Pulmonary Angiography (CTPA) remains the investigation of choice for confirming PE [2].
Explanation: **Explanation:** Interstitial Lung Disease (ILD) is a heterogeneous group of disorders characterized by inflammation and/or fibrosis of the pulmonary interstitium [1]. The primary goal of treatment is to suppress the underlying inflammatory process to prevent progressive architectural distortion of the lung. **Why Steroids are the Correct Answer:** Corticosteroids (e.g., Prednisolone) are the mainstay of treatment for most inflammatory ILDs (such as Sarcoidosis, Hypersensitivity Pneumonitis, and Connective Tissue Disease-associated ILD) [2]. They work by inhibiting the recruitment of inflammatory cells and reducing the production of cytokines that lead to alveolar wall thickening and subsequent fibrosis. **Analysis of Incorrect Options:** * **Antibiotics:** These are used for infectious etiologies (Pneumonia). ILD is a non-infectious, inflammatory/fibrotic process; hence, antibiotics have no role unless there is a secondary bacterial infection. * **Bronchodilators:** These are the drug of choice for obstructive airway diseases like Asthma and COPD. ILD is a **restrictive** lung disease [1] where the pathology lies in the interstitium, not the airways; thus, bronchodilators do not address the primary pathology. * **Anesthetics:** These are used for pain management or surgical procedures and have no therapeutic value in treating chronic parenchymal lung diseases. **High-Yield Clinical Pearls for NEET-PG:** * **Exception to Steroids:** In **Idiopathic Pulmonary Fibrosis (IPF)**, steroids are generally avoided as they may increase mortality. The drugs of choice for IPF are **Antifibrotics** (Nintedanib or Pirfenidone) [2]. * **Gold Standard Diagnosis:** High-Resolution Computed Tomography (HRCT) is the imaging modality of choice for ILD [1]. * **PFT Pattern:** ILD typically shows a **Restrictive pattern** (Decreased TLC, Decreased FVC, and a Normal or Increased FEV1/FVC ratio) [1].
Explanation: ### Explanation The clinical presentation of **chronic cough since childhood**, **digital clubbing**, **recurrent pancreatitis**, and **infertility with oligospermia** (likely due to Congenital Bilateral Absence of the Vas Deferens - CBAVD) is a classic triad for **Cystic Fibrosis (CF)** [1]. **1. Why the Correct Answer is Right:** Cystic Fibrosis is an autosomal recessive disorder caused by mutations in the **CFTR gene**. This defect leads to thick, viscid secretions in the lungs and pancreas [1]. The gold standard diagnostic test is the **Pilocarpine Iontophoresis Sweat Test**. In adults, a sweat chloride level **> 60 mEq/L** is diagnostic of CF. The value of > 80 mEq/L provided in Option C clearly confirms the diagnosis, explaining the multisystem involvement (pulmonary, pancreatic, and reproductive). **2. Why Incorrect Options are Wrong:** * **Chest X-ray (A):** While it may show bronchiectasis or hyperinflation, it is non-specific and cannot confirm the underlying genetic cause of the lung disease [2]. * **X-ray of the humerus (B):** This is irrelevant to the diagnosis of CF. It might be used in metabolic bone diseases, but not for chronic lung disease evaluation in this context. * **Reduced sweat chloride levels (D):** Low sweat chloride levels are normal. CF is characterized by the inability to reabsorb chloride, leading to *elevated* levels in sweat [1]. **3. NEET-PG High-Yield Pearls:** * **Most common mutation:** ΔF508 (Class II defect - protein misfolding). * **Infertility:** 95% of males with CF are infertile due to **CBAVD** (obstructive azoospermia), though spermatogenesis is often preserved [1]. * **Pancreas:** "Recurrent pancreatitis" occurs in pancreatic-sufficient patients; however, most CF patients eventually develop pancreatic insufficiency (steatorrhea and Vitamin A, D, E, K deficiency). * **Microbiology:** *Staphylococcus aureus* is the most common pathogen in early childhood; *Pseudomonas aeruginosa* becomes dominant in adulthood.
Explanation: ### Explanation The grading of dyspnoea is most commonly based on the **Modified Medical Research Council (mMRC) Dyspnoea Scale**. This scale is a high-yield tool used clinically to assess the degree of baseline functional impairment in patients with chronic obstructive pulmonary disease (COPD) and other restrictive lung diseases [1]. **Why Grade 4 is Correct:** According to the mMRC scale, **Grade 4** represents the most severe level of breathlessness. At this stage, the patient is too breathless to leave the house or experiences **dyspnoea while dressing or undressing (dyspnoea at minimal exertion/rest)** [1]. **Analysis of Incorrect Options:** * **Grade 1:** The patient gets short of breath when hurrying on level ground or walking up a slight hill [1]. (Grade 0 is breathlessness only with strenuous exercise). * **Grade 2:** The patient walks slower than people of the same age on level ground because of breathlessness or has to stop for breath when walking at their own pace [1]. * **Grade 3:** The patient stops for breath after walking about 100 yards (or after a few minutes) on level ground [1]. **High-Yield Clinical Pearls for NEET-PG:** 1. **mMRC vs. NYHA:** While mMRC is primarily used for respiratory diseases (like COPD), the **NYHA (New York Heart Association) Classification** is used for heart failure. In NYHA, Class IV also represents symptoms at rest [1]. 2. **GOLD Criteria:** The mMRC score is a key component of the GOLD (Global Initiative for Chronic Obstructive Lung Disease) assessment tool to determine the severity of COPD and guide pharmacological therapy. 3. **Prognostic Value:** A higher mMRC grade is independently associated with a higher risk of mortality in COPD patients.
Explanation: **Explanation:** **Sarcoidosis** is a multisystemic, idiopathic inflammatory disease characterized by the formation of **non-caseating granulomas**. 1. **Why Option D is Correct:** A classic presentation of Sarcoidosis (Stage I on the Scadding scale) is **asymptomatic bilateral hilar lymphadenopathy (BHL)** [1]. It is often discovered incidentally on a routine chest X-ray in a patient who has no cough, dyspnea, or constitutional symptoms [1]. This "dissociation" between striking radiological findings and minimal clinical symptoms is a hallmark of the disease. 2. **Why Other Options are Incorrect:** * **Option A:** Sarcoidosis is most strongly associated with **HLA-DRB1** and **HLA-DQB1** alleles, not HLA-B1. Specifically, HLA-DRB1*03 is linked to Lofgren’s syndrome (a favorable prognosis). * **Option B:** It typically affects **young adults** (20–40 years), with a second peak sometimes seen in women over 50 [1]. It is not primarily a disease of the elderly. * **Option C:** Sarcoidosis characteristically causes **non-caseating** granulomas. Caseating (cheesy) necrosis is the hallmark of Tuberculosis, which is the primary differential diagnosis. **High-Yield Clinical Pearls for NEET-PG:** * **Lofgren’s Syndrome:** A triad of BHL, Erythema Nodosum, and Polyarthritis (Good prognosis) [1]. * **Heerfordt’s Syndrome (Uveoparotid fever):** Parotid enlargement, Uveitis, and Facial nerve palsy [1]. * **Biomarkers:** Elevated **Serum ACE levels** (reflects total body granuloma burden) and **Hypercalciuria/Hypercalcemia** (due to 1-alpha hydroxylase activity in macrophages) [1]. * **Biopsy:** The gold standard for diagnosis is demonstrating non-caseating granulomas (often via transbronchial lung biopsy). * **Asteroid bodies** and **Schaumann bodies** are characteristic microscopic findings within the giant cells.
Explanation: ***Serum calcium of 13.6 mg/dL*** - **Squamous cell carcinoma** of the lung commonly causes **hypercalcemia** through **PTHrP (parathyroid hormone-related protein)** secretion as a paraneoplastic syndrome. - The clinical presentation of a **heavy smoker** with a **left upper lobe mass**, cough, and hemoptysis strongly suggests squamous cell lung carcinoma. *Sputum positive for fungal elements* - **Fungal infections** typically present with **fever** and **systemic symptoms**, which are absent in this afebrile patient. - The patient's **smoking history** and **unilateral upper lobe lesion** make malignancy more likely than fungal infection. *Increased D-dimer levels* - **D-dimer elevation** is associated with **pulmonary embolism** or **deep vein thrombosis**, but this patient has no **dyspnea** or chest pain. - The **localized rhonchi** and **hemoptysis** point to a **parenchymal lung lesion** rather than vascular pathology. *Koilonychia* - **Koilonychia (spoon-shaped nails)** is a sign of **chronic iron deficiency anemia**, not typically associated with lung masses. - While lung cancer can cause anemia, **koilonychia** develops over months to years and is not an acute finding with lung malignancy.
Explanation: ### Explanation Pleural effusions are classified into **transudates** and **exudates** based on **Light’s Criteria** [1]. This distinction is fundamental in narrowing down the differential diagnosis. **Correct Answer: C. Mesothelioma** Mesothelioma is a primary malignancy of the pleura, typically associated with asbestos exposure. Malignancies cause **exudative effusions** because the tumor cells trigger an inflammatory response and increase capillary permeability, or obstruct lymphatic drainage [1]. This leads to the accumulation of fluid rich in protein and Lactate Dehydrogenase (LDH). **Incorrect Options:** * **A. Congestive Heart Failure (CHF):** This is the most common cause of **transudative** effusion. It occurs due to increased pulmonary capillary hydrostatic pressure, which "pushes" protein-poor fluid into the pleural space. * **B. Nephrotic Syndrome:** This causes a **transudative** effusion due to decreased plasma oncotic pressure (hypoalbuminemia), leading to systemic fluid leakage. * **C. Cirrhosis:** Hepatic hydrothorax in cirrhosis is **transudative**. It occurs when peritoneal fluid (ascites) moves across small defects in the diaphragm into the pleural space. **NEET-PG High-Yield Pearls:** 1. **Light’s Criteria for Exudate (Any one of the following):** * Pleural fluid protein / Serum protein ratio **> 0.5** * Pleural fluid LDH / Serum LDH ratio **> 0.6** * Pleural fluid LDH **> 2/3rd** the upper limit of normal serum LDH. 2. **Mesothelioma Marker:** Look for **Calretinin (+)** on immunohistochemistry. 3. **Pseudo-Meigs Syndrome:** A rare cause of transudative effusion associated with ovarian tumors. 4. **Low Glucose in Effusion:** Typically seen in Rheumatoid Arthritis, Empyema, or Malignancy [1].
Explanation: **Explanation:** **1. Why Pancreas is Correct:** Smoking is the most significant avoidable risk factor for **Pancreatic Adenocarcinoma**. Carcinogens from tobacco smoke (such as N-nitrosamines and polycyclic aromatic hydrocarbons) are absorbed into the bloodstream and reach the pancreas via the blood or through bile reflux. Smoking is estimated to double the risk of pancreatic cancer and is responsible for approximately 20–25% of all cases. Other major smoking-related cancers include those of the lung [1], bladder, esophagus, kidney, and head/neck. **2. Why Other Options are Incorrect:** * **A. Brain:** While smoking increases the risk of cerebrovascular accidents (strokes), it is not a primary risk factor for primary brain tumors (like gliomas or meningiomas). * **B. Liver:** While some studies suggest a link between smoking and hepatocellular carcinoma (especially in patients with Hepatitis B or C), the association is not as classically emphasized or as strong as the link with pancreatic cancer in standard medical curricula. * **D. Skin:** Smoking is associated with premature skin aging and delayed wound healing, but the primary risk factors for skin cancers (Basal Cell, Squamous Cell, and Melanoma) are UV radiation and genetic predisposition, not tobacco. **3. NEET-PG High-Yield Pearls:** * **Most common genetic mutation in Pancreatic Cancer:** *KRAS* (found in >90% of cases). * **Classic Presentation:** Painless jaundice, weight loss, and **Courvoisier’s Law** (palpable gallbladder in a jaundiced patient suggests malignancy rather than gallstones). * **Trousseau Sign of Malignancy:** Migratory thrombophlebitis, often associated with pancreatic cancer. * **Tumor Marker:** **CA 19-9** (used for monitoring response to therapy, not for primary screening). **Smoking and COPD:** Cigarette smoking represents the most significant risk factor for COPD, and the risk relates to both the amount and duration of smoking [2].
Explanation: **Explanation:** Acute Exacerbation of COPD (AECOPD) is primarily triggered by respiratory tract infections (viral or bacterial) and environmental pollutants. **Why Staphylococcus aureus is the correct answer:** While *Staphylococcus aureus* can cause severe pneumonia, it is **not** a common or typical cause of routine AECOPD. It is generally seen only in specific subsets of patients, such as those with severe structural lung damage, recent hospitalization, or as a secondary infection following Influenza [1]. In the context of standard NEET-PG questions, it is considered an "atypical" or rare cause compared to the primary trio of respiratory pathogens. **Analysis of Incorrect Options:** * **Haemophilus influenzae (Option C):** This is the **most common** bacterial cause of AECOPD. It is a Gram-negative coccobacillus frequently isolated from the sputum of COPD patients. * **Streptococcus pneumoniae (Option A):** A very common cause of both community-acquired pneumonia and AECOPD [1]. It is a Gram-positive diplococcus. * **Moraxella catarrhalis (Option B):** The third most common bacterial pathogen involved in AECOPD, particularly in patients with more advanced airflow obstruction. **High-Yield Clinical Pearls for NEET-PG:** * **Most common trigger overall:** Viral infections (Rhinovirus is the most frequent). * **Most common bacterial trigger:** *Haemophilus influenzae*. * **Cardinal Symptoms of AECOPD (Anthonisen Criteria):** Increase in dyspnea, increase in sputum volume, and increase in sputum purulence. * **Management Priority:** Inhaled bronchodilators (SABA/SAMA), systemic corticosteroids, and antibiotics if purulence is present. * **Indications for Antibiotics:** Increased sputum purulence plus one other cardinal symptom.
Explanation: **Explanation:** Unilateral diaphragmatic paralysis occurs due to injury or dysfunction of the **phrenic nerve (C3-C5)**. **1. Why Surgical Trauma is Correct:** In modern clinical practice, **surgical trauma** is the leading cause of unilateral diaphragmatic paralysis. The phrenic nerve is highly vulnerable during cardiothoracic surgeries, particularly during **coronary artery bypass grafting (CABG)**, heart transplants, and lung resections. The injury can result from direct transection, stretching, or thermal injury (e.g., topical ice slush used for myocardial protection). **2. Analysis of Incorrect Options:** * **Tumour (Option D):** Historically, bronchogenic carcinoma invading the phrenic nerve was a leading cause. While still a significant cause of *malignant* paralysis, it has been surpassed by iatrogenic surgical trauma in overall frequency. * **Poliomyelitis (Option B):** This viral infection affects the anterior horn cells. While it can cause respiratory failure, it typically presents with bilateral or generalized muscle involvement rather than isolated unilateral diaphragmatic paralysis. It is now rare due to global vaccination efforts. * **Polyneuritis (Option C):** Conditions like Guillain-Barré Syndrome (GBS) cause inflammatory demyelination. These typically present with bilateral, symmetrical weakness and ascending paralysis rather than an isolated unilateral phrenic nerve lesion. [1] **3. High-Yield Clinical Pearls for NEET-PG:** * **Radiological Sign:** The classic finding on a chest X-ray is an **elevated hemidiaphragm**. * **Confirmatory Test:** The **Sniff Test** (Fluoroscopy) is the gold standard. A paralyzed diaphragm shows **paradoxical movement** (it moves upward during inspiration while the healthy side moves downward). * **Idiopathic Cases:** About 20% of cases remain idiopathic, often attributed to an antecedent viral infection (Neuralgic amyotrophy). * **Symptomatology:** Most patients with unilateral paralysis are asymptomatic at rest and only experience dyspnea during strenuous exercise.
Obstructive Airway Diseases (Asthma, COPD)
Practice Questions
Interstitial Lung Diseases
Practice Questions
Pulmonary Infections
Practice Questions
Pulmonary Vascular Diseases
Practice Questions
Pleural Diseases
Practice Questions
Sleep-Disordered Breathing
Practice Questions
Respiratory Failure
Practice Questions
Mediastinal Disorders
Practice Questions
Occupational Lung Diseases
Practice Questions
Pulmonary Function Testing
Practice Questions
Bronchiectasis and Cystic Fibrosis
Practice Questions
Lung Cancer Approach
Practice Questions
Get full access to all questions, explanations, and performance tracking.
Start For Free