Which of the following is NOT a complication of bronchiectasis?
Which of the following diagnostic techniques is most specific for pulmonary embolism?
Hemoptysis may occur in which of the following situations except?
A 65-year-old man presents with a chronic cough, which has recently changed character. Tuberculosis and other infectious causes have been ruled out. What should be the next investigation?
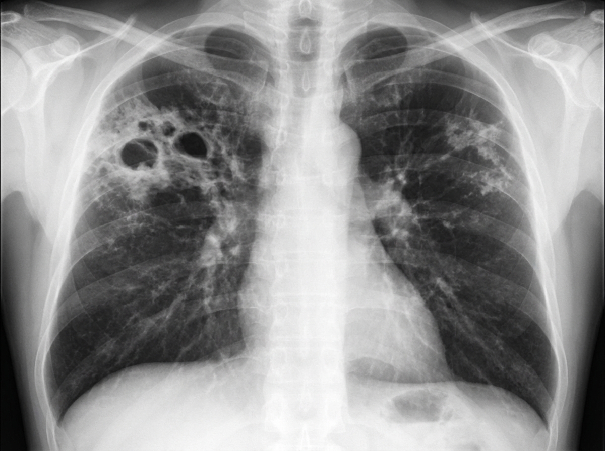
A 60-year-old man with a history of COPD and old TB presents with mild hemoptysis and chronic cough. He is HIV negative and has been ill for approximately 2 weeks. Vital signs: pulse 110 bpm; temperature 101°F; respirations 24/min; blood pressure 108/70 mm Hg. No skin lesions are noted. Laboratory data: Hb 14 g/dL; HCT 42%; WBCs 8.7/uL; BUN 24 mg/dL; creatinine 0.8 mg/dL; sodium 131 mEq/L; potassium 4.3 mEq/L. Arterial blood gases on room air: pH 7.37; PCO2 43 mm Hg; PO2 87 mm Hg. Sputum tests reveal numerous AFB-positive organisms on smear. Spirometry shows an obstructive ventilatory impairment with marginal reversibility. Chest X-ray is provided. Among the choices listed, what is the most likely diagnosis?

Which of the following interstitial lung diseases is not associated with smoking?
Which one of the following is not likely to be associated with pulmonary fibrosis?
Central cyanosis is seen if?
A 32-year-old patient presents with complaints of difficulty in breathing, chest pain, and increased respiratory rate. Pulmonary thromboembolism is suspected. Which investigation is most useful in acute pulmonary thromboembolism?
All of the following are features of alveolitis (interstitial lung disease), except?
Explanation: Explanation: Bronchiectasis is a chronic condition characterized by permanent, abnormal dilation of the bronchi due to a cycle of inflammation and infection. **Why Lung Cancer is the correct answer:** While chronic inflammation is a risk factor for certain malignancies, **Lung Cancer** is not considered a direct or classic complication of bronchiectasis. The pathophysiology of bronchiectasis involves structural destruction of the airway wall, leading to suppurative (pus-forming) complications rather than malignant transformation [2]. **Analysis of Incorrect Options (Actual Complications):** * **Lung Abscess:** Chronic stasis of secretions and impaired mucociliary clearance lead to secondary bacterial infections. If these infections become walled off and necrotic, a lung abscess forms [3]. * **Amyloidosis:** Bronchiectasis is a classic cause of **Secondary (AA) Amyloidosis**. Persistent chronic inflammation leads to the overproduction of Serum Amyloid A protein, which deposits in organs like the kidneys. * **Empyema:** Extension of the infection from the dilated bronchi to the pleural space can result in a collection of pus, known as empyema. **High-Yield Clinical Pearls for NEET-PG:** * **Most common cause in India:** Post-tubercular bronchiectasis [1]. * **Classic Sign:** "Tram-track" appearance or "Signet ring" sign on HRCT (the gold standard investigation) [2]. * **Kartagener Syndrome:** A triad of bronchiectasis, sinusitis, and situs inversus (due to primary ciliary dyskinesia) [1]. * **Other complications to remember:** Massive hemoptysis (due to hypertrophied bronchial arteries), Cor pulmonale, and metastatic brain abscess [2].
Explanation: **Explanation:** **Pulmonary Angiography** is considered the **"Gold Standard"** and the most specific diagnostic technique for pulmonary embolism (PE). It involves the direct visualization of the pulmonary arterial tree via contrast injection. The definitive diagnostic finding is a **filling defect** or an abrupt "cutoff" of a vessel. While highly specific, it is an invasive procedure and has largely been replaced in clinical practice by CT Pulmonary Angiography (CTPA) for initial diagnosis [1]. **Why other options are incorrect:** * **Ventilation (V) and Perfusion (Q) Lung Scanning:** These are sensitive but lack specificity [1]. A "high probability" scan is suggestive of PE, but many patients fall into "intermediate" or "low probability" categories, which are non-diagnostic and require further testing. * **Arterial Blood Gas (ABG) Analysis:** While ABG often shows hypoxemia, hypocapnia, and respiratory alkalosis in PE [1], these findings are highly non-specific and can be seen in numerous other pulmonary and cardiac conditions (e.g., pneumonia, asthma, heart failure). **High-Yield Clinical Pearls for NEET-PG:** * **Investigation of Choice (Initial):** CT Pulmonary Angiography (CTPA) is the current standard of care due to its high sensitivity and non-invasive nature [1]. * **Best Initial Test:** Chest X-ray (to rule out other causes), though it is often normal in PE (**Westermark sign** and **Hampton’s hump** are specific but rare) [1]. * **Gold Standard:** Pulmonary Angiography. * **ECG Finding:** Most common finding is **Sinus Tachycardia**; the most specific (but rare) is the **S1Q3T3 pattern** [1]. * **D-Dimer:** Has a high **Negative Predictive Value**; it is used to rule out PE in low-risk patients.
Explanation: Hemoptysis is defined as the expectoration of blood originating from the lower respiratory tract. To identify the correct answer, one must distinguish between diseases that cause structural damage or vascular erosion and those that involve purely reversible airway inflammation. **Why Bronchial Asthma is the correct answer:** Bronchial asthma is characterized by reversible airway obstruction, bronchial hyperresponsiveness, and mucosal inflammation. Crucially, it **does not** typically cause destruction of the lung parenchyma, cavitation, or erosion of the bronchial arteries. Therefore, hemoptysis is not a clinical feature of asthma. If a patient with asthma presents with hemoptysis, clinicians must investigate for complications like superimposed infection, pulmonary embolism, or Allergic Bronchopulmonary Aspergillosis (ABPA). **Why the other options are incorrect:** * **Bronchiectasis:** This is one of the most common causes of massive hemoptysis [1]. Chronic inflammation leads to the hypertrophy and proliferation of bronchial arteries, which are prone to rupture [3]. * **Pulmonary Tuberculosis:** A classic cause of hemoptysis. It occurs due to cavitary destruction of lung tissue or the rupture of a **Rasmussen aneurysm** (a pulmonary artery aneurysm within a TB cavity) [2]. * **Lung Abscess:** Necrotizing parenchymal infection leads to tissue destruction and erosion into adjacent blood vessels, frequently resulting in blood-streaked sputum or frank hemoptysis [1]. **NEET-PG High-Yield Pearls:** 1. **Most common cause of hemoptysis (Global):** Tuberculosis. 2. **Most common cause of hemoptysis (Western world):** Bronchitis/Bronchogenic carcinoma [2]. 3. **Massive Hemoptysis:** Defined as >200–600 mL of blood within 24 hours. The most common source is the **Bronchial Artery** (90%), not the pulmonary artery. 4. **Initial Investigation of choice:** Chest X-ray; however, **MDCT (Multidetector CT)** is the gold standard for localizing the site and cause.
Explanation: **Explanation:** The clinical presentation of a **change in the character of a chronic cough** in an elderly patient (65 years old) is a classic "red flag" for **Bronchogenic Carcinoma**. Once infectious etiologies like Tuberculosis are excluded, the primary goal is to obtain a tissue diagnosis to rule out malignancy [1]. **Why Bronchoscopy and Biopsy is correct:** For central airway lesions (which typically cause a change in cough), **Flexible Bronchoscopy** is the investigation of choice. It allows for direct visualization of the endobronchial tree and provides the opportunity to perform a biopsy, brushings, or bronchoalveolar lavage (BAL) [1]. It has a high diagnostic yield for visible endobronchial tumors and is essential for staging and determining operability. **Analysis of Incorrect Options:** * **A. Sputum cytology:** While non-invasive, it has a low sensitivity (approx. 40-60%) and cannot provide the architectural detail or precise localization required for definitive management. * **C. CT-guided FNAC:** This is the preferred modality for **peripheral lung nodules** that are not accessible via bronchoscopy. Since a change in cough usually implies central airway involvement, bronchoscopy is prioritized. * **D. Barium X-ray:** This is used for esophageal pathologies (e.g., dysphagia) and has no role in the primary evaluation of a suspected endobronchial malignancy. **NEET-PG High-Yield Pearls:** * **Most common symptom of Lung Cancer:** Cough (found in ~75% of cases). * **Investigation of Choice (IOC) for Central lesions:** Bronchoscopy [1]. * **IOC for Peripheral lesions:** CT-guided FNAC/Biopsy. * **Gold Standard for Staging:** PET-CT (for distant metastasis) and Mediastinoscopy (for nodal staging). * **Pancoast Tumor:** Usually Squamous cell carcinoma; presents with Horner’s syndrome and shoulder pain.
Explanation: ***Non-tuberculous mycobacteria*** - **AFB-positive organisms** on sputum smear in an **HIV-negative** patient with **COPD** and **prior TB** (damaged airways) strongly suggests **NTM pulmonary disease**. - Classic risk factors include **structural lung disease** from old TB and **COPD**, creating favorable conditions for **NTM colonization** and infection. *Lung abscess* - Would present with **purulent sputum** and **cavitary lesions** on chest imaging, but organisms would be **AFB-negative bacteria**. - Typically caused by **anaerobic bacteria** following aspiration, not **acid-fast organisms**. *Actinomycosis* - Caused by **Actinomyces israelii**, which is **not acid-fast** and would not show **AFB-positive organisms** on smear. - Characteristically produces **sulfur granules** in sputum and causes **chronic granulomatous infection** with chest wall involvement. *Aspiration pneumonia* - Usually involves **anaerobic bacteria** from oral flora, which are **AFB-negative** on microscopy. - Typically occurs in patients with **impaired consciousness** or **swallowing difficulties**, not necessarily associated with **AFB-positive organisms**.
Explanation: The relationship between smoking and Interstitial Lung Diseases (ILDs) is a high-yield topic for NEET-PG. While smoking is a primary risk factor for several ILDs, **Bronchiolitis Obliterans Organizing Pneumonia (BOOP)**, now more commonly termed **Cryptogenic Organizing Pneumonia (COP)**, is notably **not associated with smoking**. In fact, some studies suggest it may even be more prevalent in non-smokers. **Why the other options are incorrect:** * **Respiratory Bronchiolitis-Interstitial Lung Disease (RB-ILD):** This is considered the quintessential smoking-related ILD. It occurs almost exclusively in heavy smokers and is characterized by pigmented macrophages (smoker's macrophages) in the respiratory bronchioles. * **Desquamative Interstitial Pneumonitis (DIP):** Closely related to RB-ILD, over 90% of patients with DIP are smokers. It represents a more diffuse involvement where macrophages fill the alveolar spaces. * **Idiopathic Pulmonary Fibrosis (IPF):** Smoking is a well-established independent risk factor for the development of IPF [1]. It typically presents in older male smokers with a "UIP" (Usual Interstitial Pneumonia) pattern on HRCT [1]. **High-Yield Clinical Pearls for NEET-PG:** * **Smoking-Related ILDs:** RB-ILD, DIP, IPF, and **Langerhans Cell Histiocytosis (LCH)**. * **Smoking-Protective ILDs:** Interestingly, **Hypersensitivity Pneumonitis (HP)** and **Sarcoidosis** are less common in active smokers [1]. * **BOOP/COP Key Feature:** Characterized by "Masson bodies" (plugs of connective tissue) in the distal airways and alveoli. It typically responds well to corticosteroids, unlike IPF.
Explanation: **Explanation:** The correct answer is **Primary Sclerosing Cholangitis (PSC)**. While many systemic inflammatory and autoimmune diseases have extra-hepatic or extra-articular manifestations involving the lungs, PSC is primarily localized to the biliary tree and is strongly associated with Inflammatory Bowel Disease (IBD), but **not** with interstitial lung disease (ILD) or pulmonary fibrosis. **Analysis of Options:** * **Coal Miner’s Lung (Coal Workers' Pneumoconiosis):** Chronic inhalation of coal dust leads to the formation of coal macules and nodules [2]. In its advanced stage, known as **Progressive Massive Fibrosis (PMF)**, extensive pulmonary fibrosis occurs, leading to severe restrictive lung disease [2]. * **Primary Biliary Cholangitis (PBC):** Unlike PSC, PBC is an autoimmune liver disease frequently associated with other systemic autoimmune conditions (Sjögren’s syndrome, scleroderma) [1]. It is a recognized, though less common, cause of lymphocytic interstitial pneumonia and subsequent pulmonary fibrosis. * **Ankylosing Spondylitis (AS):** This is a classic high-yield association. AS is known for causing **apical (upper lobe) pulmonary fibrosis**, often accompanied by pleural thickening and cavitation (which can be colonized by *Aspergillus*). **High-Yield Clinical Pearls for NEET-PG:** 1. **Upper Lobe Fibrosis Mnemonic (SCART):** **S**ilicosis/Sarcoidosis, **C**oal worker's pneumoconiosis, **A**nkylosing spondylitis, **R**adiation, **T**uberculosis [2]. 2. **Lower Lobe Fibrosis:** Most common in Idiopathic Pulmonary Fibrosis (IPF), Asbestosis, and most Connective Tissue Diseases (except AS) [3][4]. 3. **PSC vs. PBC:** Remember that PBC is "Autoimmune" (associated with ILD/Fibrosis), while PSC is "Mechanical/Inflammatory" (associated with IBD/Cholangiocarcinoma).
Explanation: **Explanation:** Cyanosis is the bluish discoloration of the skin and mucous membranes resulting from an increased amount of reduced hemoglobin (deoxygenated hemoglobin) in the small blood vessels [1]. **1. Why Option B is Correct:** Central cyanosis becomes clinically apparent when the **absolute concentration of reduced hemoglobin exceeds 5 g/dL** in the capillary blood [1]. In a patient with a normal hemoglobin level (approx. 15 g/dL), this threshold typically corresponds to an arterial oxygen saturation (**SaO2) of approximately 85%**. While some patients may show subtle signs at slightly higher saturations, 85% is the classic diagnostic threshold used in medical examinations for the visible manifestation of central cyanosis. **2. Analysis of Incorrect Options:** * **Option A (Methemoglobin 0.5 gm/dl):** While abnormal hemoglobins cause cyanosis, **Methemoglobinemia** only causes visible cyanosis when levels exceed **1.5 g/dL** [2]. A level of 0.5 g/dL is insufficient to produce the clinical sign [2]. * **Options C & D (O2 saturation < 94%):** An SaO2 of 94% is the lower limit of the normal range. While this indicates mild hypoxia, it does not result in enough deoxygenated hemoglobin (5 g/dL) to be visible as cyanosis to the naked eye. **Clinical Pearls for NEET-PG:** * **The Anemia Paradox:** A severely anemic patient (e.g., Hb < 7 g/dL) may never show cyanosis despite life-threatening hypoxia because they cannot reach the absolute value of 5 g/dL of reduced hemoglobin [3]. * **Polycythemia:** Patients with polycythemia may show cyanosis at higher SaO2 levels because they have a higher total hemoglobin mass. * **Site of Examination:** Central cyanosis is best assessed in the **tongue and soft palate** (highly vascular, warm areas), whereas peripheral cyanosis is seen in the nail beds and extremities [1].
Explanation: **Explanation:** The diagnosis of Pulmonary Thromboembolism (PTE) involves a tiered approach based on clinical stability and availability of resources. [1] **Why Perfusion Scan is the correct answer:** In the context of this question, the **Perfusion (V/Q) Scan** is considered a highly useful and sensitive non-invasive screening tool. A "normal" perfusion scan effectively rules out acute PTE. When combined with ventilation imaging, a "high probability" V/Q scan (showing perfusion defects in areas with normal ventilation) is diagnostic in patients with high clinical suspicion. [2] It is particularly preferred in patients with contraindications to CT contrast, such as renal failure or pregnancy. [2] **Analysis of Incorrect Options:** * **A. ECG:** While common findings include sinus tachycardia or the classic **S1Q3T3 pattern**, these are non-specific and often absent. [1] ECG is used to rule out mimics like Myocardial Infarction rather than diagnosing PTE. [1] * **C. Pulmonary Angiography:** This is the **Gold Standard** (most accurate) investigation. However, it is an invasive, catheter-based procedure with higher risks. It is rarely the "most useful" initial or routine test in modern practice due to the advent of CT Pulmonary Angiography (CTPA). [2] * **D. X-ray Chest:** Usually normal in PTE (the "normal CXR in a dyspneic patient" clue). While signs like **Hampton’s Hump** (wedge-shaped opacity) or **Westermark sign** (focal oligemia) may appear, they are rare and lack sensitivity. [1] **NEET-PG High-Yield Pearls:** * **Investigation of Choice (Modern):** CT Pulmonary Angiography (CTPA) is now the first-line diagnostic test in most centers. [2] * **Gold Standard:** Invasive Pulmonary Angiography. * **Best Initial Screening:** Plasma D-dimer (using ELISA) has a high negative predictive value. * **Most Common ECG finding:** Sinus Tachycardia. [1] * **Most Common CXR finding:** Normal or Atelectasis. [1]
Explanation: **Explanation:** Interstitial Lung Disease (ILD), often characterized by alveolitis and subsequent fibrosis, primarily affects the **lung parenchyma and interstitium** rather than the airways [1]. **Why "Early productive cough" is the correct answer:** In ILD, the pathology involves thickening of the alveolar walls and interstitial space. Since the bronchial mucosa and mucus-producing goblet cells are not primarily involved, the characteristic cough is **dry (non-productive)** and hacking [1]. A productive cough usually suggests an airway-centric disease like bronchiectasis, chronic bronchitis, or pneumonia. **Analysis of Incorrect Options:** * **Exertional Dyspnea:** This is the hallmark and usually the earliest symptom of ILD [1]. It occurs due to decreased lung compliance ("stiff lungs") and impaired gas exchange (increased A-a gradient). * **Digital Clubbing:** This is a common physical finding in many forms of ILD, particularly Idiopathic Pulmonary Fibrosis (IPF) [1]. It signifies chronic hypoxia and vascular changes. * **Coarse Crepitations:** Also known as "Velcro crackles," these are classic findings in ILD. They are typically **fine-to-coarse, end-expiratory, and basal** in location, caused by the sudden opening of small airways during inspiration [1]. **NEET-PG High-Yield Pearls:** * **PFT Pattern:** ILD shows a **Restrictive pattern** (Decreased TLC, Decreased FVC, but a Normal or Increased FEV1/FVC ratio) [1]. * **DLCO:** Diffusing capacity for carbon monoxide (DLCO) is characteristically **decreased** in ILD, often before symptoms become severe [1]. * **Radiology:** High-Resolution CT (HRCT) is the gold standard; look for "honeycombing" and "ground-glass opacities" [1]. * **6-Minute Walk Test:** Used to assess functional capacity and exertional desaturation.
Obstructive Airway Diseases (Asthma, COPD)
Practice Questions
Interstitial Lung Diseases
Practice Questions
Pulmonary Infections
Practice Questions
Pulmonary Vascular Diseases
Practice Questions
Pleural Diseases
Practice Questions
Sleep-Disordered Breathing
Practice Questions
Respiratory Failure
Practice Questions
Mediastinal Disorders
Practice Questions
Occupational Lung Diseases
Practice Questions
Pulmonary Function Testing
Practice Questions
Bronchiectasis and Cystic Fibrosis
Practice Questions
Lung Cancer Approach
Practice Questions
Get full access to all questions, explanations, and performance tracking.
Start For Free