A 45-year-old patient on methotrexate develops respiratory symptoms. What is the most likely diagnosis?
Cause of unilateral clubbing include all of the following except?
Which of the following findings is NOT typically seen in lung function tests for emphysema?
What is the most common cause of hypercapnic respiratory failure?
Kussmaul breathing is seen in which of the following conditions?
Which of the following signs will not be present in pleural effusion?
Which subtype of interstitial lung disease is seen in patients with Sjogren syndrome?
In a case of pleural effusion caused by pneumococcal pneumonia, chest tube insertion is indicated in all of the following pleural fluid findings, EXCEPT:
Which of the following statements regarding sarcoidosis is incorrect?
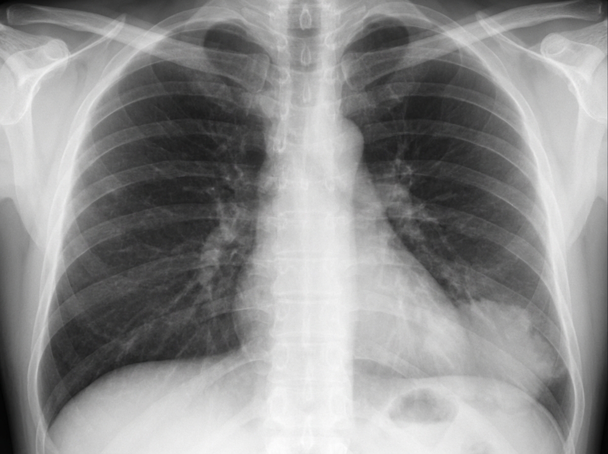
A 29-year-old woman presents with a history of recurrent respiratory tract infections. She has no significant travel history and denies any history of foreign body aspiration. On examination, coarse crackles are noted in the left lower lung zone. A chest X-ray reveals findings suggestive of a possible abnormality. Based on the history and chest X-ray findings, what is the most appropriate next diagnostic step?

Explanation: **Explanation:** **Methotrexate (MTX)** is a common disease-modifying antirheumatic drug (DMARD) known for its potential pulmonary toxicity. The most frequent manifestation of MTX-induced lung injury is drug-induced interstitial lung disease (DILD) [1], which characteristically presents histologically and radiologically as **Nonspecific Interstitial Pneumonia (NSIP)**. **Why NSIP is correct:** MTX-induced pneumonitis typically presents with subacute onset of dyspnea, non-productive cough, and fever. High-resolution CT (HRCT) usually shows ground-glass opacities and reticular shadows, consistent with an NSIP pattern [1]. It is considered a hypersensitivity reaction and often responds well to drug discontinuation and corticosteroids. **Why other options are incorrect:** * **Bacterial Pneumonia:** While MTX is an immunosuppressant, the drug itself is a well-documented cause of direct lung parenchymal toxicity. In a clinical vignette focusing on MTX, the "classic" board answer points toward drug-induced pneumonitis rather than community-acquired infection unless specific signs (purulent sputum, lobar consolidation) are mentioned. * **Tuberculosis:** While MTX increases the risk of opportunistic infections, TB is more classically associated with TNF-alpha inhibitors (like Infliximab). MTX-related lung issues are more frequently inflammatory/interstitial rather than infectious. **High-Yield Clinical Pearls for NEET-PG:** 1. **MTX Pneumonitis Criteria:** Diagnosis often involves the "BCS Criteria" (fever, dyspnea, radiographic infiltrates, and exclusion of infection). 2. **Risk Factors:** Pre-existing lung disease, older age, and hypoalbuminemia increase the risk of MTX lung toxicity. 3. **Management:** Immediate cessation of Methotrexate is the first and most crucial step [1]. 4. **Other MTX Side Effects:** Remember the "M" mnemonic: **M**outh ulcers (stomatitis), **M**arrow suppression, and **M**egaloblastic anemia (due to folate antagonism). Always co-administer Folic acid.
Explanation: ### Explanation **1. Why Option A is the Correct Answer:** **Congenital Cyanotic Heart Disease (CCHD)** causes **bilateral and symmetrical clubbing** [1]. The underlying mechanism involves right-to-left shunts that allow megakaryocytes to bypass the pulmonary capillary bed (where they are normally fragmented). These large cells enter the systemic circulation and lodge in the distal digital capillaries, releasing Platelet-Derived Growth Factor (PDGF) and Vascular Endothelial Growth Factor (VEGF), leading to fibrovascular proliferation. Since the shunt affects the entire systemic arterial supply, the clubbing is generalized, not unilateral. **2. Analysis of Incorrect Options (Causes of Unilateral Clubbing):** Unilateral clubbing is typically caused by **local vascular or neurological lesions** affecting a single limb: * **Pancoast Tumor (Option B):** Can cause unilateral clubbing via involvement of the brachial plexus or local vascular compromise on the affected side. * **Aortic Aneurysm (Option C):** An aneurysm (especially of the innominate or subclavian artery) can cause pressure-induced vascular or nerve disturbances leading to clubbing in one arm [2]. * **Brachial AV Fistulas (Option D):** Localized arteriovenous malformations increase regional blood flow and growth factor delivery to a single limb, resulting in unilateral clubbing. **3. NEET-PG High-Yield Pearls:** * **Differential Clubbing:** Clubbing occurring only in the toes (lower limbs) but not the fingers is a classic sign of **PDA with reversal of shunt (Eisenmenger syndrome)**. * **Unididigtal Clubbing:** Clubbing in a single finger is usually due to local trauma or a glomus tumor. * **Most Common Cause:** Globally, **Bronchogenic Carcinoma** is the most common cause of clubbing [1]; however, in the context of Suppurative Lung Disease, **Bronchiectasis** is a frequent culprit. * **Grading:** Remember the **Schamroth’s Sign** (loss of diamond-shaped window) and the **Lovibond angle** (>180°) as early clinical indicators.
Explanation: ### Explanation In emphysema, the primary pathological process is the **destruction of alveolar walls** and the permanent enlargement of airspaces distal to the terminal bronchioles [1]. This structural damage leads to a significant loss of the alveolar-capillary surface area available for gas exchange. **1. Why Option B is correct (The "NOT" finding):** **Diffusion capacity for carbon monoxide (DLCO)** measures the ability of the lungs to transfer gas from inhaled air to the red blood cells. Because emphysema destroys the alveolar membranes and reduces the pulmonary capillary bed, the **DLCO is characteristically decreased**, not increased. This is a hallmark finding that helps differentiate emphysema from chronic bronchitis or asthma (where DLCO is typically normal or slightly increased). **2. Why the other options are typical findings:** * **Option A (Decreased Vital Capacity):** Due to air trapping and significant increases in residual volume (RV), the vital capacity (VC) often decreases as the lungs reach their physical limit within the thoracic cage. * **Option C (Increased Total Lung Capacity):** Loss of elastic recoil (due to elastin destruction) makes the lungs highly compliant [1]. This leads to hyperinflation, resulting in an increased **Total Lung Capacity (TLC)** and **Functional Residual Capacity (FRC)** [1]. * **Option D (Decreased FEV1/FVC ratio):** Emphysema is an obstructive lung disease. The loss of radial traction on the small airways causes them to collapse during expiration, leading to airflow limitation and a reduced FEV1/FVC ratio of less than 70% [1]. ### High-Yield Clinical Pearls for NEET-PG: * **Pink Puffers:** Clinical phenotype of emphysema (thin, tachypneic, uses accessory muscles). * **Centriacinar Emphysema:** Most common type; associated with **smoking**; primarily affects upper lobes. * **Panacinar Emphysema:** Associated with **Alpha-1 Antitrypsin deficiency**; primarily affects lower lobes. * **Compliance:** Emphysema is characterized by **increased lung compliance** but **decreased chest wall compliance** (due to barrel chest).
Explanation: **Explanation:** **Hypercapnic Respiratory Failure (Type II)** is characterized by a PaCO2 >45 mmHg, resulting from an imbalance between the ventilatory demand and the capacity of the respiratory system to pump air [1, 3]. **Why COPD is the correct answer:** Chronic Obstructive Pulmonary Disease (COPD) is the most common cause of Type II respiratory failure globally [2]. The underlying mechanism involves **increased airway resistance** and **alveolar hypoventilation**. In COPD, chronic airflow obstruction, air trapping (hyperinflation), and increased dead space lead to an inability of the respiratory muscles to effectively clear CO2 [3, 4]. During acute exacerbations, this "pump failure" worsens, leading to acute-on-chronic hypercapnia [2]. **Analysis of Incorrect Options:** * **A. Acute Asthma:** While severe asthma (status asthmaticus) can lead to hypercapnia due to muscle fatigue, it is less common than COPD [2]. Most asthma presentations initially feature *hypocapnia* due to hyperventilation [1]. * **B. Aspergillosis:** This is a fungal infection/colonization. While it can cause localized lung damage or hemoptysis, it does not typically present as primary hypercapnic respiratory failure unless it complicates advanced underlying lung disease. * **D. Pneumothorax:** This typically presents as **Type I (Hypoxemic)** respiratory failure due to V/Q mismatch [1]. Hypercapnia only occurs in tension pneumothorax or in patients with very poor baseline lung reserve. **High-Yield Pearls for NEET-PG:** * **Type I Failure:** Hypoxemic (PaO2 <60 mmHg); most common cause is **Pneumonia** [4]. * **Type II Failure:** Hypercapnic (PaCO2 >45 mmHg); most common cause is **COPD** [3, 5]. * **Mechanism:** The primary driver of Type II failure is **Alveolar Hypoventilation** [4]. * **Clinical Sign:** Look for "flapping tremors" (asterixis) and altered sensorium, which are classic signs of CO2 narcosis [2].
Explanation: **Explanation** **Kussmaul breathing** is a deep, rapid, and labored breathing pattern. It is a compensatory physiological response to **Metabolic Acidosis** [1]. **1. Why Metabolic Acidosis is correct:** The primary mechanism is the body’s attempt to restore acid-base balance. In metabolic acidosis (e.g., Diabetic Ketoacidosis), there is an accumulation of hydrogen ions ($H^+$) in the blood [2]. This stimulates central and peripheral chemoreceptors, which trigger the respiratory center in the medulla to increase the rate and depth of ventilation [3]. By "blowing off" carbon dioxide ($CO_2$), the body reduces the partial pressure of arterial $CO_2$ ($PaCO_2$), thereby increasing the blood pH toward normal (Respiratory Compensation) [3]. **2. Why the other options are incorrect:** * **Metabolic alkalosis:** This condition leads to hypoventilation (slow, shallow breathing) to retain $CO_2$ and lower the pH [3]. * **Pulmonary fibrosis:** Characterized by rapid, shallow breathing (Tachypnea) due to decreased lung compliance (stiff lungs). * **Pneumonia:** Typically presents with tachypnea and shortness of breath due to impaired gas exchange, but it does not produce the rhythmic, deep "air hunger" characteristic of Kussmaul breathing. **Clinical Pearls for NEET-PG:** * **Classic Association:** Most commonly tested in the context of **Diabetic Ketoacidosis (DKA)**. * **Mnemonic for Kussmaul causes (KUSSMAUL):** **K**etones (DKA), **U**remia, **S**epsis, **S**alicylates, **M**ethanol, **A**ldehydes, **U**nknown alcohols, **L**actic acidosis. * **Distinction:** Do not confuse Kussmaul breathing with **Cheyne-Stokes respiration** (crescendo-decrescendo pattern with apnea), which is seen in heart failure or stroke.
Explanation: **Explanation:** In pleural effusion, the accumulation of fluid in the pleural space acts as a physical barrier between the lung parenchyma and the chest wall. This fluid layer absorbs vibrations and displaces air-filled lung tissue, leading to specific physical findings. **Why Hyper-resonance is the Correct Answer:** Hyper-resonance is a percussion note associated with **increased air** in the pleural space (e.g., Pneumothorax) [2] or hyperinflation of the lungs (e.g., Emphysema) [1]. In pleural effusion, the presence of fluid replaces air, resulting in a **stony dull** percussion note, not hyper-resonance. Therefore, hyper-resonance will not be present on the affected side. **Analysis of Other Options:** * **Stony dullness:** This is the hallmark percussion finding of pleural effusion. The fluid is much denser than air-filled lung tissue, producing a flat, "stony" sound. * **Absent breath sounds:** The fluid layer insulates the chest wall from the sounds generated in the airways, leading to significantly diminished or totally absent breath sounds over the effusion. * **Diminished vocal fremitus:** Vocal fremitus (palpable vibrations) depends on the transmission of sound through the lung to the chest wall. Fluid reflects these vibrations, leading to decreased or absent fremitus. **Clinical Pearls for NEET-PG:** * **Skodaic Resonance:** A high-yield sign where hyper-resonance is heard *above* the level of the effusion due to compensatory hyperinflation of the lung tissue. * **Ellis S-shaped curve:** The characteristic upper border of dullness in a moderate pleural effusion. * **Mediastinal Shift:** In large effusions, the trachea and apex beat are shifted to the **opposite** side (contralateral shift) [3]. * **Aegophony:** Heard at the upper border of the effusion (E to A change).
Explanation: **Explanation:** Interstitial Lung Disease (ILD) is a common extra-glandular manifestation of Sjogren Syndrome, occurring in approximately 10–20% of patients [1]. **Why Non-specific interstitial pneumonia (NSIP) is correct:** NSIP is the most frequent histological and radiological pattern of ILD associated with Sjogren Syndrome (and most other Connective Tissue Diseases, with the notable exception of Rheumatoid Arthritis) [1]. It is characterized by a uniform expansion of alveolar walls by inflammation or fibrosis, typically presenting with a "ground-glass" appearance on HRCT and relative subpleural sparing. **Analysis of Incorrect Options:** * **Usual interstitial pneumonia (UIP):** While UIP is the hallmark of Idiopathic Pulmonary Fibrosis (IPF) and is the most common pattern in **Rheumatoid Arthritis**, it is less common than NSIP in Sjogren Syndrome [1]. * **Acute interstitial pneumonia (AIP):** This is a fulminant form of lung injury (Hamman-Rich syndrome) presenting as ARDS. It is not typically associated with the chronic progression of Sjogren-related ILD. * **Cryptogenic Organizing pneumonia (COP):** While organizing pneumonia can occur in Sjogren patients, it is less frequent than the NSIP pattern. **NEET-PG High-Yield Pearls:** * **Most common ILD in Sjogren:** NSIP [1]. * **Most common ILD in Rheumatoid Arthritis:** UIP [1]. * **Most common ILD in Systemic Sclerosis:** NSIP. * **Lymphocytic Interstitial Pneumonia (LIP):** This is a rare but highly characteristic (pathognomonic) pattern strongly associated with Sjogren Syndrome [1]. If NSIP is not an option, look for LIP. * **HRCT Finding for NSIP:** Ground-glass opacities with subpleural sparing.
Explanation: This question tests your knowledge of the indications for **Intercostal Drainage (ICD)** or chest tube insertion in cases of parapneumonic effusions. ### **Explanation of the Correct Answer** **Option A (pH > 7.4)** is the correct answer because it indicates a **simple parapneumonic effusion** that is likely to resolve with antibiotics alone [1]. In the setting of pneumonia, a pleural fluid **pH < 7.2** is a strong indicator of a **complicated parapneumonic effusion** [1]. A low pH signifies high bacterial metabolic activity and lactic acid production, suggesting that the effusion will not resolve without drainage. A pH > 7.4 is considered normal/alkaline in this context and is a contraindication for routine chest tube insertion. ### **Analysis of Incorrect Options** * **Option B (Frank Pus):** The presence of frank pus defines an **Empyema** [1]. This is an absolute indication for immediate chest tube drainage to prevent loculation and fibrothorax [2]. * **Option C (Culture Positive):** If bacteria are seen on Gram stain or grown in culture, the effusion is "complicated" [1]. This implies that the body's immune system cannot clear the pleural space infection independently, necessitating drainage. ### **NEET-PG High-Yield Pearls** * **Indications for Chest Tube in Parapneumonic Effusion:** 1. Frank pus (Empyema) [1]. 2. Presence of organisms on Gram stain or Culture [1]. 3. Pleural fluid **pH < 7.2** [1]. 4. Pleural fluid **Glucose < 60 mg/dL**. 5. Pleural fluid **LDH > 1000 IU/L**. 6. Loculated pleural fluid on imaging. * **Light’s Criteria:** Used to differentiate exudate from transudate (Exudate if: Protein ratio >0.5, LDH ratio >0.6, or LDH >2/3rd upper limit of normal). Parapneumonic effusions are always **exudates** [1]. * **Most common cause of Empyema:** Historically *S. pneumoniae*, but currently *Staphylococcus aureus* and anaerobes are frequently implicated.
Explanation: **Explanation:** The correct answer is **D** because it describes a common misconception regarding the site of immunological changes in sarcoidosis. **1. Why Option D is Incorrect (The Correct Answer):** In sarcoidosis, there is a compartmentalization of the immune response. While there is an **increased CD4/CD8 ratio in the Bronchoalveolar Lavage (BAL) fluid** (typically >3.5:1) due to the accumulation of helper T-cells in the lungs, the **peripheral blood (serum)** often shows a **decreased CD4/CD8 ratio** or even lymphopenia. This occurs because the T-cells are sequestered at the sites of active granulomatous inflammation. **2. Analysis of Other Options:** * **Option A:** Correct. The lungs and intrathoracic lymph nodes are involved in over 90% of cases, making them the most commonly affected organ system. * **Option B:** Correct. **Lupus pernio** (violaceous, indurated plaques on the nose, cheeks, or ears) [1] is a pathognomonic skin lesion. Its presence is highly specific and strongly correlates with chronic sarcoidosis and upper respiratory tract involvement. * **Option C:** Correct. Hypercalcemia occurs in about 10% of patients (hypercalciuria is more common, ~40%) [1]. This is due to the **unregulated production of 1,25-dihydroxyvitamin D** by 1-alpha-hydroxylase expressed in the macrophages within the granulomas. **Clinical Pearls for NEET-PG:** * **Löfgren Syndrome:** An acute presentation characterized by the triad of Erythema Nodosum, Bilateral Hilar Lymphadenopathy (BHL), and Polyarthritis/Arthralgia [1]. It has a favorable prognosis. * **Heerfordt Syndrome:** Uveoparotid fever (Uveitis, Parotitis, Fever, and Facial nerve palsy). * **Diagnosis:** Requires a compatible clinical/radiologic picture, histological evidence of **non-caseating granulomas**, and exclusion of other causes (like TB). * **ACE Levels:** Elevated in 60% of patients but lack specificity for diagnosis; they are primarily used to monitor disease activity.
Explanation: ***Contrast CT scan of the chest and upper abdomen*** • The combination of **recurrent respiratory infections** in a young patient with **left lower lobe involvement** strongly suggests **pulmonary sequestration**, which requires imaging the **upper abdomen** to detect aberrant **systemic arterial supply** from the **descending/abdominal aorta**. • **Contrast CT** is the gold standard for identifying the **anomalous vascular supply** and defining the anatomy of the sequestered lung tissue, which is essential for surgical planning. *Bronchogram* • This technique is **obsolete** and has been largely replaced by **high-resolution CT** and other advanced imaging modalities. • It involves injecting **contrast material** directly into the bronchial tree, which is **invasive** and provides limited information compared to modern CT imaging. *Bronchoscopy* • While useful for evaluating **airway anatomy** and obtaining tissue samples, it would not identify the **vascular abnormalities** characteristic of pulmonary sequestration. • It is typically performed **after imaging** has established the diagnosis and before surgical intervention, not as the initial diagnostic step. *Determination of serum immunoglobulin levels* • This would be appropriate if suspecting **immunodeficiency** as the cause of recurrent infections, but the **localized left lower lobe** involvement suggests a **structural abnormality** rather than systemic immune dysfunction. • **Immunoglobulin levels** would not explain the specific **radiographic findings** or help identify the underlying anatomical defect.
Obstructive Airway Diseases (Asthma, COPD)
Practice Questions
Interstitial Lung Diseases
Practice Questions
Pulmonary Infections
Practice Questions
Pulmonary Vascular Diseases
Practice Questions
Pleural Diseases
Practice Questions
Sleep-Disordered Breathing
Practice Questions
Respiratory Failure
Practice Questions
Mediastinal Disorders
Practice Questions
Occupational Lung Diseases
Practice Questions
Pulmonary Function Testing
Practice Questions
Bronchiectasis and Cystic Fibrosis
Practice Questions
Lung Cancer Approach
Practice Questions
Get full access to all questions, explanations, and performance tracking.
Start For Free