Which of the following is not part of the definition of chronic bronchitis?
A 55-year-old male has a 5 cm cavitating lesion of unknown duration at the apex of the right lung. Which investigation should be carried out next?
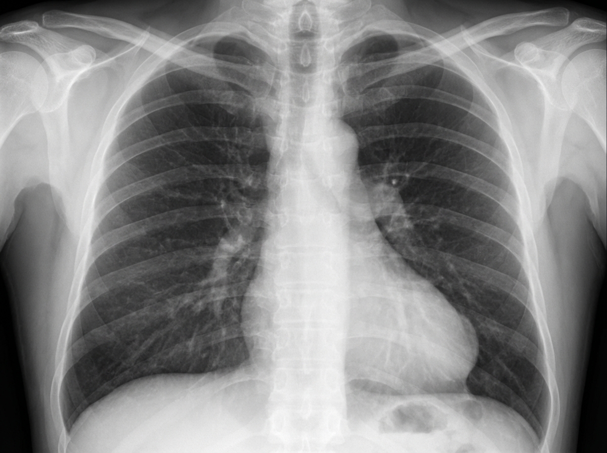
A 67-year-old male smoker presents with cough and was treated for acute bronchitis. A chest X-ray prompted a referral to the chest clinic. The patient has a past history of myocardial infarction but is currently asymptomatic. Blood pressure is 128/80, and cardiopulmonary examination is unremarkable. A purified protein derivative (PPD) test result is 7 mm. The chest X-ray is shown. What is the likely diagnosis?

The Ellis curve is characteristic of which of the following conditions?
Which of the following is not a feature of granulomatosis with polyangiitis (Wegener's syndrome)?
Which of the following is NOT a cause of decreased DLCO?
Carbon monoxide diffusion capacity decreases in all, except?
A 40-year-old man presents with recurrent hemoptysis and purulent cough. Chest X-ray was found to be normal. What is the next investigation to aid in diagnosis?
Fleeting pulmonary infiltrates on sequential chest skiagrams in an individual who suffers from asthma are characteristic of?
Which of the following is NOT true about Interstitial Fibrosis?
Explanation: ### Explanation Chronic bronchitis is defined **clinically** based on specific criteria regarding the duration and nature of symptoms. **1. Why Hemoptysis is the Correct Answer:** Hemoptysis (coughing up blood) is **not** part of the diagnostic criteria for chronic bronchitis [4]. While patients with chronic bronchitis may occasionally experience blood-streaked sputum due to mucosal inflammation or forceful coughing, hemoptysis is a "red flag" symptom. Its presence should prompt an immediate investigation for other pathologies such as **Bronchogenic Carcinoma, Bronchiectasis, or Tuberculosis.** [3] [4] **2. Analysis of Incorrect Options:** * **Options A & C (Duration):** The formal clinical definition requires a productive cough for at least **3 months** in a year, for at least **2 consecutive years**. Option A is a core component of this definition. Option C is technically incorrect in its phrasing (it should be 2 years, not 2 months), but in the context of this specific question, Hemoptysis is the most definitive "non-definition" feature. * **Option B (Productive Cough):** Chronic bronchitis is characterized by goblet cell hyperplasia and mucus hypersecretion, making a **productive (sputum-producing)** cough the hallmark of the disease [1]. **Clinical Pearls for NEET-PG:** * **Blue Bloaters:** Patients with chronic bronchitis are often called "Blue Bloaters" due to cyanosis (hypoxemia) and fluid retention/edema (secondary to right heart failure/Cor Pulmonale). * **Reid Index:** The pathological hallmark is an increased Reid Index (>0.4), which measures the ratio of the thickness of the mucous gland layer to the thickness of the wall between the epithelium and the cartilage. * **Etiology:** Smoking is the most common cause; however, in the Indian context, exposure to **biomass fuel smoke** is a significant risk factor [2].
Explanation: The clinical presentation of a **5 cm cavitating lesion** in the **apex** of the lung in a 55-year-old male is highly suspicious for two primary differentials: **Bronchogenic Carcinoma** (specifically Squamous Cell Carcinoma, which frequently cavitates) and **Secondary Tuberculosis**. **Why Transbronchial Biopsy (TBB) is the correct next step:** In a patient with a large, potentially malignant or infectious apical cavity, obtaining a tissue or microbiological diagnosis is the priority. TBB, performed via flexible bronchoscopy, allows for direct visualization of the airways and the collection of tissue samples, brushings, and bronchoalveolar lavage (BAL) fluid. This provides high diagnostic yield for both malignancy (histopathology) and tuberculosis (AFB staining/GeneXpert), making it the most definitive "next step" for management [3]. **Analysis of Incorrect Options:** * **A. CT Scan:** While a CT scan provides better anatomical detail than a chest X-ray, it is a radiological investigation that cannot provide a definitive pathological diagnosis [1]. In a 5 cm lesion, the need for tissue diagnosis is immediate. * **B. FNAC:** Transthoracic Fine Needle Aspiration Cytology (FNAC) is generally reserved for peripheral lesions. Apical lesions near the cupola carry a higher risk of pneumothorax, and FNAC provides less architectural detail than a biopsy. * **C. Bronchography:** This is an obsolete investigation formerly used to visualize bronchiectasis. It has no role in the modern evaluation of a lung mass or cavity. **High-Yield Clinical Pearls for NEET-PG:** 1. **Cavity Rule:** Squamous cell carcinoma is the most common histological type of lung cancer to undergo central necrosis and cavitation. 2. **Location:** Apical cavities are "Tuberculosis until proven otherwise" in endemic areas, but in an older smoker, malignancy must be ruled out [2]. 3. **Diagnostic Choice:** For central lesions, Fiberoptic Bronchoscopy (FOB) with biopsy is preferred; for peripheral lesions, CT-guided FNAC/biopsy is often the first choice [1].
Explanation: ***Left ventricular aneurysm*** - In a patient with **previous myocardial infarction**, a localized bulge at the **left cardiac border** on chest X-ray is characteristic of a **left ventricular aneurysm** formation. - The **asymptomatic presentation** with normal cardiopulmonary examination is typical, as many LV aneurysms remain clinically silent until complications develop. *Hypertensive cardiomyopathy* - Would present with **generalized cardiomegaly** rather than a localized cardiac border bulge seen on the chest X-ray. - The patient's **normal blood pressure** (128/80) makes active hypertensive heart disease unlikely. *Tuberculous pericarditis* - A **PPD test of 7 mm** is considered **negative** in immunocompetent individuals, making active tuberculosis unlikely. - Would typically present with **pericardial effusion** causing a globular heart shadow, not a localized bulge. *Epicardial fat pad* - Appears as a **smooth, well-defined opacity** at the **cardiophrenic angles**, not as a bulge at the left cardiac border. - More commonly seen in **obese patients** and would not be related to the patient's **history of myocardial infarction**.
Explanation: **Explanation:** The **Ellis Curve** (also known as the Damoiseau-Ellis line) is a classic radiological sign seen on a chest X-ray in patients with a **moderate-sized, free-flowing pleural effusion**. [1] **Why it occurs:** In a pleural effusion, fluid accumulates in the pleural space. Due to the negative intrapleural pressure and the natural elastic recoil of the lungs, the fluid is pulled higher along the lateral chest wall than it is medially. This creates a characteristic **S-shaped, upward-curving, convex line** that is highest at the axilla and slopes downward toward the spine. **Analysis of Incorrect Options:** * **A. Pneumothorax:** Characterized by a "hyper-lucent" area with an absent lung vascular marking and a visible **visceral pleural line**. It does not form a curved fluid meniscus. * **C. Pneumonia:** Typically presents as **consolidation** with air bronchograms. [1] While it can be associated with a parapneumonic effusion, the consolidation itself does not form an Ellis curve. [2] * **D. Asthma:** Primarily a clinical diagnosis. Radiologically, it may show **hyperinflation** (flattened diaphragms, increased retrosternal space) but no fluid-related curves. [1] **NEET-PG High-Yield Pearls:** * **Minimum fluid for detection:** Approximately 200–300 ml is required to see blunting of the costophrenic angle on a PA view, but as little as 50 ml can be seen on a **Lateral Decubitus** view (the most sensitive position). * **Loculated effusion:** If the fluid is trapped by adhesions, it will not form an Ellis curve; instead, it appears as a D-shaped opacity. * **Massive effusion:** Causes a complete "white-out" of the hemithorax with a **mediastinal shift to the opposite side**.
Explanation: **Explanation:** **Granulomatosis with Polyangiitis (GPA)**, formerly known as Wegener’s granulomatosis, is a small-vessel vasculitis characterized by a triad of necrotising granulomas of the upper and lower respiratory tracts, systemic vasculitis, and glomerulonephritis [1]. **Why Cardiomegaly is the correct answer:** While GPA can occasionally involve the heart (pericarditis or coronary vasculitis) [2], **cardiomegaly** is not a characteristic or diagnostic feature of the syndrome. GPA primarily targets the respiratory system and kidneys. Cardiomegaly is more typically associated with conditions causing congestive heart failure or valvular diseases, rather than primary small-vessel vasculitis. **Analysis of other options:** * **Chronic Sinusitis:** This is the most common presenting feature of GPA (found in >90% of cases). Patients often present with nasal crusting, epistaxis, and saddle-nose deformity due to septal perforation [1]. * **Bronchiectasis:** GPA causes chronic inflammation and scarring of the airways. Necrotising granulomas and recurrent infections secondary to airway stenosis can lead to permanent dilation of the bronchi (bronchiectasis). * **Situs Inversus:** While not a primary feature of GPA itself, this option is often used in exams to differentiate GPA from **Kartagener’s Syndrome** (Primary Ciliary Dyskinesia), which presents with the triad of situs inversus, bronchiectasis, and sinusitis. In the context of this specific question, situs inversus is considered a "distractor" or a feature *not* associated with GPA. **High-Yield Clinical Pearls for NEET-PG:** * **Serology:** Highly specific for **c-ANCA** (anti-proteinase 3 antibodies). * **Classic Triad:** Upper respiratory tract + Lower respiratory tract + Kidneys (Pauci-immune glomerulonephritis) [1]. * **Radiology:** Lung nodules with **cavitation** are a hallmark finding [1]. * **Treatment:** Induction with Corticosteroids + Cyclophosphamide (or Rituximab).
Explanation: Explanation: DLCO (Diffusing Capacity of the Lungs for Carbon Monoxide) measures the ability of the lungs to transfer gas from inhaled air to the red blood cells in pulmonary capillaries. It depends on the surface area available for gas exchange, the thickness of the alveolar-capillary membrane, and the hemoglobin concentration [1]. **Why Goodpasture Syndrome is the correct answer:** In **Goodpasture syndrome**, there is diffuse alveolar hemorrhage. The presence of "free" hemoglobin within the alveoli (extravasated RBCs) binds to the carbon monoxide used during the test. This results in an **increased DLCO**, rather than a decrease. This is a classic "exception" frequently tested in exams. **Analysis of incorrect options (Causes of decreased DLCO):** * **Anemia:** Since DLCO relies on hemoglobin to bind the CO, a reduction in total hemoglobin leads to a lower carrying capacity and thus a **decreased DLCO**. * **Interstitial Lung Diseases (ILD):** These conditions cause fibrosis and thickening of the alveolar-capillary membrane, increasing the distance the gas must travel, which **decreases DLCO**. * **Emphysema:** This involves the destruction of alveolar walls, which significantly reduces the total surface area available for gas exchange, leading to a **decreased DLCO** [2]. **High-Yield Clinical Pearls for NEET-PG:** * **Increased DLCO is seen in:** Alveolar hemorrhage (Goodpasture’s), Polycythemia, Left-to-right shunts, Obesity, and sometimes early-stage Asthma. * **DLCO in Asthma vs. COPD:** DLCO is typically **normal or increased in Asthma**, but **decreased in Emphysema** [2]. This is a key physiological differentiator. * **Isolated low DLCO** with normal lung volumes often suggests Pulmonary Hypertension or Pulmonary Embolism.
Explanation: ### Explanation The **Carbon Monoxide Diffusing Capacity (DLCO)** measures the ability of the lungs to transfer gas from inhaled air to the red blood cells in pulmonary capillaries. It depends on the surface area of the alveolar-capillary membrane, the capillary blood volume, and the hemoglobin concentration [1]. **Why Alveolar Hemorrhage is the Correct Answer:** In **Alveolar Hemorrhage** (e.g., Goodpasture syndrome, Wegener’s), there is "extravasated" blood sitting within the alveoli. Carbon monoxide (CO) has an extremely high affinity for hemoglobin [1]. When the patient inhales the test gas, this intra-alveolar hemoglobin binds the CO before it even reaches the capillaries. This results in an **increased DLCO** (or a pseudo-elevation), making it the only condition among the choices where DLCO does not decrease. **Analysis of Incorrect Options:** * **Emphysema (A):** DLCO **decreases** due to the destruction of alveolar walls, which significantly reduces the total surface area available for gas exchange [1]. * **Primary Pulmonary Hypertension (B):** DLCO **decreases** because of the destruction or narrowing of the pulmonary vascular bed, reducing the effective capillary blood volume. * **Infiltrative Lung Disease (D):** Conditions like Interstitial Lung Disease (ILD) **decrease** DLCO because the alveolar-capillary membrane becomes thickened and scarred (fibrosis), increasing the barrier for diffusion [1]. **High-Yield Clinical Pearls for NEET-PG:** * **DLCO Increases in:** Alveolar hemorrhage, Polycythemia, Left-to-right shunts, and sometimes Obesity or Asthma (due to increased apical blood flow). * **DLCO Decreases in:** Anemia, Emphysema, ILD, Pulmonary Embolism, and Pulmonary Hypertension. * **Key Distinction:** DLCO is **normal** in Chronic Bronchitis but **decreased** in Emphysema [1]. This is a classic board-style differentiator for COPD phenotypes.
Explanation: The clinical presentation of recurrent hemoptysis and purulent cough in the presence of a **normal chest X-ray (CXR)** is a classic diagnostic challenge. In roughly 10–30% of patients with significant hemoptysis, the CXR may appear normal. [3] **Why Bronchoscopy is the correct answer:** In a patient with hemoptysis and a normal CXR, the primary concern is an endobronchial lesion (such as a small carcinoid tumor, Dieulafoy’s lesion, or localized bronchitis) that is not visible on plain films. **Bronchoscopy** [2] is the investigation of choice here because it allows for direct visualization of the tracheobronchial tree, localization of the site of bleeding, and the ability to perform biopsies or therapeutic interventions (like iced saline lavage or topical epinephrine). **Analysis of Incorrect Options:** * **HRCT (High-Resolution CT):** While HRCT is excellent for diagnosing bronchiectasis or interstitial lung disease, it is generally considered the second step if bronchoscopy is inconclusive or if parenchymal disease is suspected. However, for identifying mucosal lesions or active bleeding sites in a "normal CXR" scenario, bronchoscopy takes precedence. * **MRI:** MRI has limited utility in pulmonary parenchyma due to air interference and motion artifacts. It is not a standard investigation for hemoptysis. * **CT-guided Biopsy:** This is used for peripheral lung nodules or masses. Since the CXR is normal, there is no target lesion to biopsy via this route. **NEET-PG High-Yield Pearls:** * **Most common cause of hemoptysis (India):** Tuberculosis. [1] * **Most common cause of hemoptysis (Worldwide):** Acute/Chronic Bronchitis. [3] * **Massive Hemoptysis:** Defined as >200–600 ml of blood in 24 hours. The priority is maintaining the airway (positioning the patient with the bleeding side down). * **Diagnostic Rule:** If a smoker >40 years old has hemoptysis and a normal CXR, always perform bronchoscopy to rule out bronchogenic carcinoma. [3]
Explanation: ### Explanation **Correct Option: A. Allergic bronchopulmonary aspergillosis (ABPA)** ABPA is a hypersensitivity reaction to *Aspergillus fumigatus* colonization in the airways, typically occurring in patients with **long-standing asthma** or cystic fibrosis. The "fleeting" or "evanescent" pulmonary infiltrates (also known as **Rosenberg-Patterson criteria**) represent areas of mucoid impaction and eosinophilic pneumonia that resolve in one area and reappear in another. This is a classic radiological hallmark of ABPA. **Why the other options are incorrect:** * **B. Mycobacterium tuberculosis:** Typically presents with persistent, progressive cavitary lesions (upper lobes) or miliary patterns. Infiltrates are chronic and do not "flee" or shift rapidly. * **C. Pneumocystis jirovecii (PJP):** Characterized by bilateral, symmetrical ground-glass opacities radiating from the hilum (perihilar distribution), usually in immunocompromised patients (HIV/AIDS). * **D. Nocardia infection:** Usually presents as subacute pneumonia with nodules or abscesses [2], often with cavitation, primarily in immunocompromised hosts. It does not show a migratory pattern. **High-Yield Clinical Pearls for NEET-PG:** * **Radiological Signs of ABPA:** * **Finger-in-glove appearance:** Due to mucoid impaction in dilated bronchi [1]. * **Central Bronchiectasis:** A highly specific diagnostic feature. * **Fleeting Opacities:** Migratory shadows on sequential X-rays. * **Diagnostic Markers:** Elevated serum **IgE levels** (>1000 IU/mL) [3], peripheral blood **eosinophilia**, and positive skin test for *Aspergillus* antigen. * **Treatment:** The mainstay of treatment is **Oral Corticosteroids** (to reduce inflammation) and **Itraconazole** (to reduce fungal burden).
Explanation: Interstitial Fibrosis is the hallmark of **Restrictive Lung Diseases (RLD)**. The fundamental pathology involves stiffening of the lung parenchyma, which reduces lung compliance [2] and impairs gas exchange. Pulmonary function tests typically show a restrictive ventilatory defect in the presence of small lung volumes and reduced gas transfer [1]. ### **Analysis of Options** * **Option B (Correct Answer):** The question asks which statement is **NOT** true. However, in Restrictive Lung Disease, the FEV1/FVC ratio is typically **normal or even increased** (often >0.8). This occurs because both FEV1 and FVC decrease proportionately, or FVC decreases more significantly due to loss of lung volume. Since the statement "FEV1/FVC ratio is normal or increased" is actually **TRUE**, it serves as the correct answer choice for this "Except" type question format. * **Option A:** **FVC < 80%** is a diagnostic criterion for restriction. As the lungs become fibrotic and "small," the total volume of air that can be forcibly exhaled is significantly reduced [1]. * **Option C:** **DLCO is decreased** because fibrosis increases the thickness of the alveolar-capillary membrane, creating a physical barrier that hinders the diffusion of carbon monoxide (and oxygen) [1]. * **Option D:** **TLC is decreased** is the gold standard for diagnosing restriction. Fibrosis prevents the lungs from expanding fully, leading to reduced total lung capacity [1]. ### **NEET-PG High-Yield Pearls** * **PFT Pattern in RLD:** ↓ TLC, ↓ FVC, ↓ FRC, and **Normal/↑ FEV1/FVC ratio**. * **Compliance:** Lung compliance is **decreased** (stiff lungs), while elastic recoil is **increased** [2]. * **Radiology:** Look for "Honeycombing" and "Traction Bronchiectasis" on HRCT, which are classic signs of advanced interstitial fibrosis [1]. * **Clinical Sign:** Fine "Velcro" inspiratory crackles on auscultation and digital clubbing [1].
Obstructive Airway Diseases (Asthma, COPD)
Practice Questions
Interstitial Lung Diseases
Practice Questions
Pulmonary Infections
Practice Questions
Pulmonary Vascular Diseases
Practice Questions
Pleural Diseases
Practice Questions
Sleep-Disordered Breathing
Practice Questions
Respiratory Failure
Practice Questions
Mediastinal Disorders
Practice Questions
Occupational Lung Diseases
Practice Questions
Pulmonary Function Testing
Practice Questions
Bronchiectasis and Cystic Fibrosis
Practice Questions
Lung Cancer Approach
Practice Questions
Get full access to all questions, explanations, and performance tracking.
Start For Free