Extraparenchymal causes of respiratory failure include:
A 53-year-old man, a smoker for 35 years at a 2-pack-a-day rate, presents with a persistent cough and dyspnea. A chest X-ray reveals an increased anterior-posterior diameter, flattened diaphragms, and air trapping, ruling out malignancy. The patient is informed that his condition is irreversible and that smoking cessation is crucial to halt disease progression. At the molecular level, this disease is caused by which one of the following?
A 51-year-old male smoker presents with fever and a cough productive of greenish-yellow sputum. The patient states that he has had a morning cough with excessive mucus production for the past 5 years. Which of the following abnormalities would most likely be found in this patient?
All of the following are associated with Kartagener syndrome (immotile cilia syndrome) except?
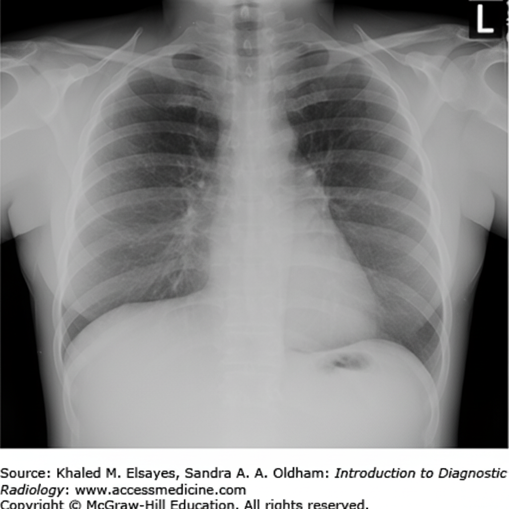
A 41-year-old man presents with severe shortness of breath. He reports a 25-lb weight loss over the last 2 months and occasional vomiting after meals. His vital signs are: pulse 110 bpm, temperature 98 F, respirations 24/min, and blood pressure 110/70 mm Hg. Physical examination reveals dullness to percussion on the left posterior chest with decreased breath sounds. Egophony is heard over the left upper lung field posteriorly. A PPD test is 15 mm. A chest X-ray is shown. What is the most likely diagnosis?

Which of the following is NOT secreted by a bronchogenic carcinoma?
What is a genetic risk factor for COPD?
A 54-year-old smoker presents with severe hemoptysis, weight loss, and oligoarthritis. Serial skiagrams show fleeting opacities. What is the diagnosis?
Bilateral pleural effusion may occur in all of the following conditions except?
Which of the following is NOT used in the management of Idiopathic Pulmonary Fibrosis (IPF)?
Explanation: ### Explanation Respiratory failure is broadly classified into **Parenchymal** (intrinsic lung disease) and **Extraparenchymal** (disorders of the "respiratory pump" or pleural space) causes [1]. **Why "All of the above" is correct:** Extraparenchymal causes involve structures outside the lung tissue itself that interfere with ventilation or gas exchange. * **Cervical spine trauma (Option A):** Injury at or above the C3-C5 level leads to diaphragmatic paralysis (Phrenic nerve involvement), causing a failure of the neuromuscular pump. * **Pneumothorax (Option B):** This is a pleural space disorder. Air in the pleural cavity collapses the lung and restricts its expansion, preventing effective ventilation despite healthy lung tissue [2]. * **Bronchial obstruction (Option C):** This is an airway disorder. While the lung parenchyma may be normal, a physical blockage (foreign body, tumor, or mucus plug) prevents air from reaching the alveoli [3]. **Clinical Pearls for NEET-PG:** 1. **Type II Respiratory Failure:** Extraparenchymal causes typically lead to **Hypercapnic (Type II)** respiratory failure because they primarily affect the "bellows" mechanism, leading to CO2 retention [2]. 2. **The "Pump" vs. The "Gas Exchanger":** Think of extraparenchymal causes as a failure of the **pump** (brainstem, spinal cord, nerves, muscles, chest wall) and parenchymal causes (like ARDS or Pneumonia) as a failure of the **gas exchanger**. 3. **High-Yield Examples:** Other extraparenchymal causes frequently tested include Guillain-Barré Syndrome, Myasthenia Gravis, Obesity Hypoventilation Syndrome (Pickwickian), and Kyphoscoliosis.
Explanation: ### Explanation The clinical presentation (heavy smoking history, increased AP diameter, flattened diaphragms, and air trapping [2]) is classic for **Emphysema**, a component of Chronic Obstructive Pulmonary Disease (COPD) [1]. **1. Why the Correct Answer is Right:** The underlying pathophysiology of emphysema is based on the **Protease-Antiprotease Imbalance Hypothesis**. In a healthy lung, **Alpha-1-Antitrypsin (AAT)** acts as a major antiprotease that inhibits **Neutrophil Elastase** (a serine protease). Smoking triggers chronic inflammation, leading to an influx of neutrophils and macrophages that release elastase. Simultaneously, oxidants in cigarette smoke inactivate AAT [3]. This results in **decreased AAT activity**, allowing elastase to unchecked destroy the elastic fibers of the alveolar walls, leading to permanent airspace enlargement and loss of elastic recoil [3]. **2. Why the Incorrect Options are Wrong:** * **Options A & B:** Trypsin is a digestive enzyme produced by the pancreas. While AAT can inhibit trypsin in vitro (hence the name), the primary driver of lung destruction in emphysema is **Neutrophil Elastase**, not trypsin [3]. * **Option C:** Enhanced AAT activity would be protective against lung tissue destruction. The disease occurs specifically because the protective "buffer" of AAT is overwhelmed or deficient [3]. **3. NEET-PG High-Yield Pearls:** * **Centriacinar Emphysema:** Most common type; associated with smoking; primarily affects the **upper lobes**. * **Panacinar Emphysema:** Associated with **Alpha-1-Antitrypsin Deficiency** (genetic); primarily affects the **lower lobes**. * **Pink Puffers:** Classic description of emphysema patients (dyspneic, thin, using accessory muscles, but maintain near-normal oxygenation until late stages) [4]. * **Microscopy:** Characterized by thinned alveolar walls and "floating" septa due to septal destruction.
Explanation: The clinical presentation of a chronic productive cough for at least 3 months in at least 2 consecutive years (in this case, 5 years) in a smoker is the classic definition of **Chronic Bronchitis**, a component of Chronic Obstructive Pulmonary Disease (COPD). Cigarette smoking represents the most significant risk factor, and the risk of developing COPD relates to both the amount and the duration of smoking [1]. **Why the correct answer is right:** The pathological hallmark of chronic bronchitis is the hypertrophy and hyperplasia of mucus-secreting glands in the submucosa of the large airways. The **Reid Index** is a histological measurement used to quantify this change. It is the ratio of the thickness of the submucosal gland layer to the total thickness of the bronchial wall (between the epithelium and the cartilage). A normal Reid index is < 0.4; in chronic bronchitis, this index **increases** (> 0.5) due to glandular expansion. **Why the incorrect options are wrong:** * **Option A:** Apical cavitary lesions are characteristic of secondary (reactivation) **Tuberculosis**, not chronic bronchitis. * **Option B:** Curschmann spirals (whorled mucus plugs) and Charcot-Leyden crystals are classic sputum findings in **Bronchial Asthma**. * **Option C:** Elevated sweat chloride levels are the diagnostic hallmark of **Cystic Fibrosis**, caused by a defect in the CFTR gene. **NEET-PG High-Yield Pearls:** * **Blue Bloaters:** Clinical nickname for chronic bronchitis patients (hypoxemia, cyanosis, and edema). * **Reid Index Calculation:** (Gland thickness) / (Wall thickness from epithelium to cartilage). * **Early Change:** The earliest physiological change in smokers is often obstruction in the small airways (bronchiolitis). * **DLCO:** Usually normal in pure chronic bronchitis but decreased in emphysema.
Explanation: **Explanation:** **Kartagener Syndrome** is a subset of **Primary Ciliary Dyskinesia (PCD)**, an autosomal recessive disorder characterized by the structural and functional impairment of cilia [1]. It is defined by the classic clinical triad of **Situs Inversus, Bronchiectasis, and Chronic Sinusitis.** 1. **Why Cleft Palate is the correct answer:** Cleft palate is a structural midline defect related to embryological fusion failure. It has no pathophysiological link to ciliary dysfunction or dynein arm defects. Therefore, it is not a feature of Kartagener syndrome. 2. **Analysis of incorrect options:** * **Bronchiectasis (Option A):** Impaired ciliary clearance leads to mucus stasis and recurrent endobronchial infections, eventually causing permanent dilation of the airways (bronchiectasis) [1], [2]. * **Sterility (Option B):** In males, the tails of spermatozoa are modified cilia (flagella). Lack of motility leads to infertility. In females, impaired ciliary action in the fallopian tubes can lead to reduced fertility or ectopic pregnancies. * **Chronic Sinusitis (Option C):** Cilia are essential for clearing mucus from the paranasal sinuses. Their dysfunction leads to chronic inflammation and recurrent infections (sinusitis) [1]. **High-Yield Clinical Pearls for NEET-PG:** * **Pathophysiology:** Most commonly due to a deficiency of **Dynein arms** (outer or inner), which are responsible for ciliary movement. * **Dextrocardia:** Present in 50% of PCD patients; when combined with the respiratory symptoms, it is specifically termed Kartagener Syndrome. * **Diagnosis:** Screening is done via **Nasal Nitric Oxide** levels (characteristically low). Definitive diagnosis is via **High-speed video microscopy** or **Electron microscopy** of ciliary biopsy. * **Associated condition:** Often confused with **Young’s Syndrome** (Bronchiectasis + Sinusitis + Obstructive Azoospermia), but Young’s syndrome does not involve ciliary structural defects or situs inversus [1].
Explanation: ***Pleural effusion*** - The classic triad of **dullness to percussion**, **decreased breath sounds**, and **egophony** over the left upper lung field strongly indicates pleural effusion. - The **positive PPD (15 mm)** combined with **weight loss** and **systemic symptoms** suggests **tuberculous pleural effusion** as the underlying cause. *Aspiration pneumonia* - Typically presents with **bronchial breath sounds** and **consolidation** rather than the dullness and decreased breath sounds seen here. - Usually occurs in patients with **risk factors** like altered consciousness, dysphagia, or neurological impairment, which are not mentioned. *Community-acquired pneumonia* - Would present with **fever**, **productive cough**, and **bronchial breathing** with consolidation on examination. - Physical findings would include **increased vocal fremitus** and **bronchophony**, not the decreased breath sounds and egophony pattern seen. *Left lung atelectasis* - Would cause **tracheal shift** and **mediastinal shift** toward the affected side due to volume loss. - Typically presents with **decreased chest expansion** on the affected side and different breath sound patterns than described.
Explanation: This question tests your knowledge of **Paraneoplastic Syndromes (PNS)** associated with bronchogenic carcinoma, a high-yield topic for NEET-PG. ### **Explanation** Bronchogenic carcinomas, particularly **Small Cell Lung Cancer (SCLC)** and **Squamous Cell Carcinoma (SCC)**, are notorious for the ectopic production of hormones. 1. **Why Norepinephrine is the correct answer:** While SCLC is a neuroendocrine tumor derived from Kulchitsky cells, it typically secretes peptide hormones rather than catecholamines like **Norepinephrine**. Norepinephrine is primarily secreted by tumors of the adrenal medulla (Pheochromocytoma) or sympathetic chain (Paraganglioma). It is not a recognized paraneoplastic product of lung cancer. 2. **Why the other options are incorrect:** * **ACTH (Option C):** Ectopic ACTH production is a classic feature of **Small Cell Lung Cancer**, leading to "Ectopic Cushing Syndrome." It typically presents with rapid-onset hypertension, hypokalemia, and hyperpigmentation rather than classic buffalo hump/striae. * **PTH/PTHrP (Option B):** Parathyroid Hormone-related Protein (PTHrP) is characteristically secreted by **Squamous Cell Carcinoma** of the lung, leading to hypercalcemia. (Note: True PTH is rare; PTHrP is the usual culprit, but they are often grouped in exams). * **Ductless hormone (Option D):** This is a general term for endocrine hormones. Since lung cancers secrete various hormones (ADH, ACTH, Calcitonin) directly into the blood, they are by definition secreting "ductless hormones." ### **High-Yield Clinical Pearls for NEET-PG** * **Small Cell Lung Cancer (SCLC):** Most common site for PNS. Associated with **ACTH** (Cushing’s), **ADH** (SIADH), and **Lambert-Eaton Myasthenic Syndrome** (antibodies against voltage-gated calcium channels). * **Squamous Cell Carcinoma (SCC):** Associated with **PTHrP**, leading to "Stones, Bones, Abdominal Groans, and Psychic Moans" (Hypercalcemia). * **Large Cell Carcinoma:** Associated with **Gynecomastia** (due to Beta-hCG). * **Adenocarcinoma:** Associated with **Hypertrophic Osteoarthropathy** (Clubbing).
Explanation: **Explanation:** **Alpha-1 Antitrypsin (AAT) Deficiency** is the most well-established genetic risk factor for Chronic Obstructive Pulmonary Disease (COPD). AAT is a protease inhibitor synthesized in the liver that neutralizes **neutrophil elastase** in the lungs [1]. In its absence, unchecked elastase destroys alveolar walls (elastolysis), leading to early-onset **panacinar emphysema** [1]. It typically presents in non-smokers or young smokers (30s–40s) and is often associated with liver cirrhosis due to the accumulation of misfolded proteins in hepatocytes. **Analysis of Incorrect Options:** * **Cystic Fibrosis (CF):** While CF causes obstructive lung disease, it is characterized by bronchiectasis and recurrent infections due to defective chloride transport (CFTR gene), rather than the alveolar destruction seen in classic COPD. * **Marfan Syndrome:** This is a connective tissue disorder (Fibrillin-1 mutation). While it increases the risk of spontaneous pneumothorax due to apical blebs, it is not a primary cause of COPD. * **Severe Combined Immunodeficiency (SCID):** This is a primary immunodeficiency leading to severe recurrent infections. While chronic infections can lead to lung damage (bronchiectasis), it is not a direct genetic risk factor for the pathophysiology of COPD. **NEET-PG High-Yield Pearls:** * **Inheritance:** Autosomal co-dominant; the most common severe deficient phenotype is **PiZZ** [1]. * **Radiology:** Emphysema in AAT deficiency characteristically involves the **lower lobes** (basal predominance), unlike smoking-related emphysema which is typically centriacinar and involves the upper lobes. * **Diagnosis:** Suspect in any young patient (<45 years) with emphysema or a family history of liver/lung disease. Screen by measuring serum AAT levels.
Explanation: ### Explanation The correct diagnosis is **Allergic Bronchopulmonary Aspergillosis (ABPA)**. **1. Why ABPA is correct:** ABPA is a hypersensitivity reaction to *Aspergillus fumigatus* colonization. The classic presentation includes: * **Fleeting Opacities:** These are transient, migratory pulmonary infiltrates (Loeffler’s-like) caused by mucoid impaction and eosinophilic pneumonia. * **Hemoptysis:** Often results from underlying bronchiectasis (specifically central bronchiectasis), which is a hallmark of ABPA [1]. * **Extrapulmonary Manifestations:** While ABPA is primarily a lung disease, it is associated with systemic inflammatory responses; **oligoarthritis** can occur as an immune-complex-mediated (Type III hypersensitivity) manifestation. **2. Why other options are incorrect:** * **Carcinoma of the lung:** While smoking, weight loss, and hemoptysis strongly suggest malignancy [2], "fleeting opacities" are not characteristic. Malignant lesions are typically persistent and progressive on serial imaging [2]. * **Tuberculosis:** TB causes weight loss and hemoptysis, but the radiological findings are usually stable or progressive (cavities, apical infiltrates) rather than "fleeting" or migratory [1]. * **All of the above:** This is incorrect because the specific combination of migratory infiltrates and systemic immune features (arthritis) specifically points toward an eosinophilic/immunological lung disease like ABPA. **Clinical Pearls for NEET-PG:** * **Radiology:** Look for the "Finger-in-glove" sign (mucoid impaction) and "Tram-line" shadows. * **Diagnosis:** Elevated total Serum IgE (>1000 IU/mL) and peripheral eosinophilia are key laboratory findings. * **Staging:** ABPA is often seen in patients with a long-standing history of Asthma or Cystic Fibrosis. * **Treatment:** The mainstay of treatment is oral corticosteroids to suppress the immune response, often combined with Itraconazole to reduce the fungal burden.
Explanation: The correct answer is **A. Pneumococcal pneumonia**. **1. Why Pneumococcal pneumonia is the correct answer:** Pneumococcal pneumonia (caused by *Streptococcus pneumoniae*) typically presents as a **lobar pneumonia**. The associated pleural effusion is a **parapneumonic effusion**, which is an inflammatory response to a localized parenchymal infection. Because the infection is usually confined to one lobe or one lung, the resulting effusion is almost always **unilateral**. Bilateral involvement in pneumonia is rare unless there is multi-lobar involvement or underlying systemic immunosuppression. **2. Analysis of incorrect options (Causes of Bilateral Effusion):** Bilateral pleural effusions are typically caused by **systemic conditions** that alter hydrostatic or oncotic pressures (transudates): * **Congestive Cardiac Failure (CCF):** The most common cause of bilateral effusion. Increased pulmonary capillary hydrostatic pressure leads to fluid accumulation in both pleural spaces. * **Nephrotic Syndrome:** Characterized by severe hypoalbuminemia, which decreases plasma oncotic pressure, leading to generalized edema and bilateral effusions. * **Constrictive Pericarditis:** Causes systemic venous congestion and increased hydrostatic pressure, leading to bilateral effusions (similar to CCF). [1] **3. NEET-PG High-Yield Pearls:** * **Most common cause of bilateral effusion:** Congestive Heart Failure. * **Most common cause of unilateral effusion:** Parapneumonic effusion (Pneumonia) or Tuberculosis (in the Indian context). * **Light’s Criteria:** Used to differentiate exudate (e.g., Pneumonia) from transudate (e.g., CCF, Nephrotic syndrome). * **Meigs’ Syndrome:** A rare cause of bilateral (or right-sided) pleural effusion associated with benign ovarian fibromas. * If a patient with CCF has a highly **asymmetrical** effusion (e.g., only on the left), suspect an alternative diagnosis like malignancy or pulmonary embolism.
Explanation: **Explanation:** Idiopathic Pulmonary Fibrosis (IPF) is a chronic, progressive fibrosing interstitial pneumonia [1]. The management focuses on slowing disease progression, managing comorbidities, and improving quality of life. **Why Acebrophylline is the correct answer:** **Acebrophylline** is a mucolytic and bronchodilator (a conjugate of ambroxol and theophylline). It is primarily used in obstructive airway diseases like Asthma and COPD to reduce mucus viscosity and airway obstruction. It has **no proven efficacy** in the management of IPF, as the underlying pathology in IPF is parenchymal fibrosis, not bronchospasm or mucus hypersecretion. **Analysis of other options:** * **Thalidomide (Option A):** While not a first-line treatment, thalidomide is used as an off-label palliative therapy specifically for the management of **refractory chronic cough** in IPF patients, which significantly improves their quality of life. * **Pantoprazole (Option B):** Proton Pump Inhibitors (PPIs) are frequently used because **Gastroesophageal Reflux Disease (GERD)** is a common comorbidity and a potential trigger for micro-aspiration, which can accelerate the progression of lung fibrosis [2], [3]. * **Lung Transplantation (Option C):** This is the only definitive treatment for eligible patients with advanced IPF, significantly improving survival rates [4]. **Clinical Pearls for NEET-PG:** * **Standard of Care:** The current first-line antifibrotic drugs are **Nintedanib** (tyrosine kinase inhibitor) and **Pirfenidone** (TGF-β inhibitor) [2]. * **Avoid:** The "PANTHER-IPF" trial proved that the "Triple Therapy" (Prednisone + Azathioprine + N-acetylcysteine) is **harmful** and increases mortality in IPF [2]. * **Diagnosis:** The characteristic HRCT finding is a **UIP (Usual Interstitial Pneumonia) pattern**, showing subpleural, basal-predominant honeycombing and traction bronchiectasis [1].
Obstructive Airway Diseases (Asthma, COPD)
Practice Questions
Interstitial Lung Diseases
Practice Questions
Pulmonary Infections
Practice Questions
Pulmonary Vascular Diseases
Practice Questions
Pleural Diseases
Practice Questions
Sleep-Disordered Breathing
Practice Questions
Respiratory Failure
Practice Questions
Mediastinal Disorders
Practice Questions
Occupational Lung Diseases
Practice Questions
Pulmonary Function Testing
Practice Questions
Bronchiectasis and Cystic Fibrosis
Practice Questions
Lung Cancer Approach
Practice Questions
Get full access to all questions, explanations, and performance tracking.
Start For Free