What type of disease is multiple sclerosis?
Investigation of choice for multiple sclerosis
In multiple sclerosis, slow conduction of motor and sensory pathways is due to?
Patient with ascending paralysis, areflexia and sphincter sparing is seen in?
A 14-year-old boy presents with bilateral foot contractures. On examination, thickened peripheral nerves are noted. On biopsy of the nerve, a typical onion bulb appearance is noted. What is the probable diagnosis? (Recent NEET Pattern 2016-17)

A 35-year-old woman has episodic, painful vision loss in the right eye, left arm tingling, and gait issues. MRI shows white matter lesions in the brain and spine. What is the best treatment for her condition?
A 67-year-old male presents with progressive difficulty in walking, frequent falls, and stiffness in the legs. Neurological examination reveals increased muscle tone, brisk deep tendon reflexes, and a positive Babinski sign. MRI of the brain shows multiple white matter lesions. Which of the following is the most likely diagnosis?
Which test is most useful in diagnosing a clinically occult lesion in multiple sclerosis?
What is Binswanger disease commonly known as?
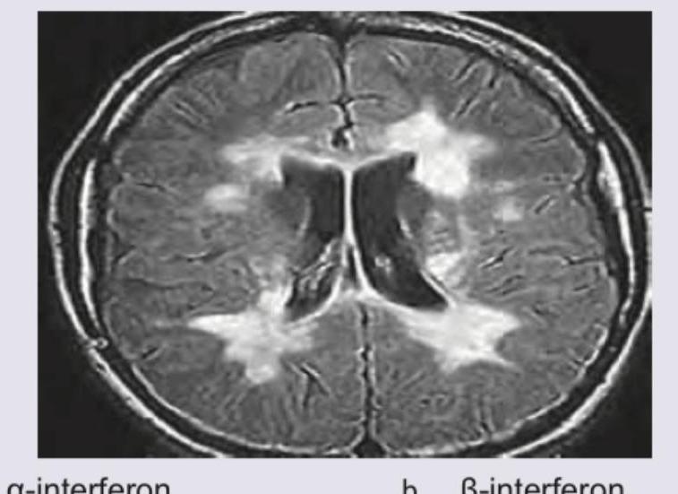
What is the drug of choice for this medical condition showing periventricular lesions?

Explanation: ***Demyelinating disease*** - Multiple sclerosis is characterized by the destruction of the **myelin sheath** surrounding nerve fibers in the central nervous system [1], [2]. - This demyelination leads to impaired nerve impulse transmission, causing a wide range of neurological symptoms [2]. *Infective lesion* - While infections can trigger or exacerbate multiple sclerosis, the disease itself is primarily an **autoimmune process**, not an active infection [1]. - No specific, active pathogen directly causes the demyelination seen in MS. *Peripheral nervous system disorder* - Multiple sclerosis exclusively affects the **central nervous system**, which includes the brain, spinal cord, and optic nerves [1], [2]. - Disorders of the peripheral nervous system, like **Guillain-Barré syndrome**, involve nerves outside the brain and spinal cord [1]. *Associated with systemic illness* - While MS has systemic effects and can be influenced by various factors, its primary pathology is localized to the **central nervous system** [1]. - It is not classified as a systemic inflammatory disease like **lupus** or **rheumatoid arthritis**, though it is an autoimmune condition [1].
Explanation: ***MRI*** - **Magnetic Resonance Imaging (MRI)** is the investigation of choice for **multiple sclerosis** due to its superior ability to visualize **demyelinating plaques** in the brain and spinal cord. - It can detect both **new and old lesions**, crucial for diagnosis and monitoring disease progression, according to the **McDonald criteria**. *CT* - **Computed Tomography (CT) scans** are generally less sensitive than MRI in detecting the subtle **demyelinating lesions** characteristic of multiple sclerosis. - While it can sometimes show larger lesions, it often misses smaller or early-stage plaques, making it less suitable for initial diagnosis. *USG* - **Ultrasound (USG)** is primarily used for visualizing soft tissues and vascular structures, not for detailed imaging of the brain or spinal cord parenchyma. - It has no role in the diagnosis or monitoring of **multiple sclerosis**. *PET* - **Positron Emission Tomography (PET) scans** are used to assess metabolic activity and perfusion, often in oncology or certain neurological disorders like Alzheimer's or Parkinson's disease. - It is not routinely used for the diagnosis of **multiple sclerosis**, as it does not clearly visualize the **demyelinating lesions**.
Explanation: ***Loss of myelin sheath*** - Multiple sclerosis (MS) is characterized by **demyelination**, which is the destruction of the **myelin sheath** surrounding nerve fibers in the central nervous system. - Myelin acts as an electrical insulator, facilitating rapid, **saltatory conduction** of nerve impulses; its loss directly leads to **slowed or blocked signal transmission**. *Dysfunction of sodium channels* - While sodium channel dysfunction can occur secondary to demyelination, it is not the primary cause of slow conduction in MS but rather a downstream effect or an adaptive change. - The initial and fundamental problem leading to slowed conduction in MS is the **loss of the myelin sheath**, which renders the exposed axon less efficient at propagating action potentials. *Dysfunction of calcium channels* - Dysfunction of calcium channels is not the primary pathological mechanism responsible for the slowed conduction in MS. - While calcium dysregulation can play a role in **axonal damage** and neurodegeneration in MS, it is not the direct cause of the characteristic **slowed nerve impulse propagation**. *Defect in the nodes of Ranvier* - The **nodes of Ranvier** are uncovered gaps in the myelin sheath that are crucial for **saltatory conduction**. While their integrity is important, a primary "defect" in the nodes themselves is not the initial cause of slowed conduction in MS. - Slowed conduction occurs because the **myelin surrounding the axons** is lost, leading to longer distances for the action potential to travel and exposing segments of the axon unprepared for continuous conduction.
Explanation: **G.B.S** - **Guillain-Barré Syndrome (GBS)** is characterized by **ascending paralysis** and **areflexia**, meaning loss of deep tendon reflexes [1]. - **Sphincter sparing** is also typical in GBS, differentiating it from other causes of paralysis where autonomic involvement can lead to bladder and bowel dysfunction [1]. *Botulism* - Botulism typically presents with **descending paralysis**, weakness starting in the cranial nerves and progressing downwards. - While it causes significant muscle weakness and can lead to **areflexia**, the pattern of paralysis (descending vs. ascending) and the presence of prominent cranial nerve involvement help distinguish it. *Snake bite* - Neurotoxic snake bites can cause **flaccid paralysis** and **areflexia**, but the paralysis often starts at the site of the bite or affects cranial nerves preferentially before generalized ascending paralysis. - The history of a **snake bite** and presence of **local envenomation signs** (swelling, pain) would also be prominent. *Polio* - Polio primarily causes **asymmetric flaccid paralysis** and **areflexia**, due to the destruction of anterior horn cells in the spinal cord. - Unlike GBS, polio does not typically present with an ascending pattern affecting both sides symmetrically and often involves sensory sparing.
Explanation: ***Charcot-Marie-Tooth disease*** - The combination of **bilateral foot contractures** (often presenting as pes cavus or hammer toes, as hinted by the image), **thickened peripheral nerves**, and the pathological finding of an **onion bulb appearance** on nerve biopsy are classic diagnostic features of Charcot-Marie-Tooth (CMT) disease, particularly demyelinating forms. - CMT is a progressive **hereditary peripheral neuropathy** characterized by muscle weakness and sensory loss, primarily in the distal limbs, often leading to foot deformities. *Friedreich's ataxia* - This is a **spinocerebellar ataxia** primarily affecting the central nervous system, leading to gait ataxia, dysarthria, and scoliosis. - While it can cause foot deformities like pes cavus, it does not typically involve **thickened peripheral nerves** or the **onion bulb appearance** on nerve biopsy. *Ataxia telangiectasia* - This is a rare, **autosomal recessive disorder** characterized by progressive cerebellar ataxia, oculocutaneous telangiectasias, immunodeficiency, and an increased risk of malignancy. - It does not present with **thickened peripheral nerves** or the characteristic **onion bulb formation** on nerve biopsy. *Leprosy* - Leprosy, caused by *Mycobacterium leprae*, is an infectious disease that can affect peripheral nerves, leading to nerve thickening, sensory loss, and muscle weakness. - However, the characteristic finding on nerve biopsy in leprosy is **granulomatous inflammation** and **acid-fast bacilli**, not the **onion bulb formation** seen in hereditary demyelinating neuropathies.
Explanation: Corticosteroids - **Corticosteroids** are the first-line treatment for acute exacerbations of multiple sclerosis (MS) due to their potent anti-inflammatory and immunosuppressive effects [1]. - They help to shorten the duration and severity of attacks by reducing inflammation and edema around demyelinated lesions [1]. *Levodopa* - **Levodopa** is primarily used in the management of **Parkinson's disease** to replenish dopamine levels and improve motor symptoms. - It has no role in treating the acute inflammatory demyelination seen in MS. *Plasmapheresis* - **Plasmapheresis** (plasma exchange) is considered for **severe attacks** of MS that do not respond to high-dose corticosteroids, particularly in acute demyelinating inflammatory polyradiculoneuropathy (AIDP). - It is not typically the initial best treatment for an acute MS exacerbation. *Acetylcholinesterase inhibitors* - **Acetylcholinesterase inhibitors** are primarily used to improve cognitive function in conditions like **Alzheimer's disease** or to manage symptoms of **myasthenia gravis** [2]. - They do not address the underlying inflammatory and demyelinating processes of MS.
Explanation: ***Multiple sclerosis*** - The combination of **progressive neurological symptoms (walking difficulty, falls, leg stiffness)**, **upper motor neuron signs (increased muscle tone, brisk reflexes, positive Babinski)** and **multiple white matter lesions on MRI** is highly suggestive of **multiple sclerosis (MS)** [1]. - While MS typically presents in younger individuals, presentation in the late 60s, though less common, is possible and referred to as **late-onset MS** [1]. *Amyotrophic lateral sclerosis* - **Amyotrophic lateral sclerosis (ALS)** involves both **upper and lower motor neuron degeneration**, but typically presents with significant **muscle wasting and fasciculations (lower motor neuron signs)** [3]. - The MRI findings of **multiple white matter lesions** are not characteristic of ALS [3]. *Parkinson's disease* - **Parkinson's disease** is primarily characterized by **tremor at rest, bradykinesia, rigidity, and postural instability**, which are **extrapyramidal symptoms** [2]. - While stiffness and walking difficulty can occur, the presence of **brisk deep tendon reflexes** and a **positive Babinski sign (upper motor neuron signs)** are not typical for Parkinson's. *Primary lateral sclerosis* - **Primary lateral sclerosis (PLS)** is a **rare motor neuron disease** characterized by **pure upper motor neuron dysfunction**, leading to progressive **spasticity and weakness**. - While PLS can explain the upper motor neuron signs, **multiple white matter lesions on MRI** are not a defining feature; rather, they are highly indicative of **demyelination seen in MS**.
Explanation: **MRI for detecting white matter lesions in multiple sclerosis** - **MRI** is the most sensitive imaging technique for detecting **white matter lesions** characteristic of multiple sclerosis, especially **clinically occult lesions** that do not cause obvious neurological symptoms [1]. - It can identify both new and enhancing lesions (indicating active inflammation) and older, non-enhancing lesions, which is crucial for diagnosis and monitoring disease progression according to the **McDonald criteria**. *Evoked potentials for diagnosing clinically occult lesions in multiple sclerosis* - **Evoked potentials** (e.g., visual, brainstem, somatosensory) can detect slowed conduction in specific neurological pathways, indicative of demyelination, even if the patient is asymptomatic [2]. - While useful for demonstrating dissemination in space if clinical signs are limited, they are **less sensitive than MRI** for detecting the full burden of clinically occult lesions across the entire CNS. *CT scan for large hemispheral strokes* - A **CT scan** is primarily used for rapid detection of **acute hemorrhage** or **large ischemic strokes** due to its speed and availability [1]. - It is **poorly sensitive** for detecting the demyelinating plaques of MS and would not be the primary diagnostic tool for occult lesions in this context. *Evoked potentials for brainstem involvement in stroke* - **Evoked potentials** can assess the integrity of brainstem pathways, and while useful in certain neurological conditions, they are **not the primary diagnostic test for stroke**. - **Neuroimaging (CT or MRI)** is the gold standard for diagnosing stroke and identifying brainstem involvement.
Explanation: ***Subcortical arteriosclerotic encephalopathy*** - This is the medical term for **Binswanger disease**, reflecting its underlying pathology of small vessel disease affecting the **subcortical white matter** due to arteriosclerosis. - The condition leads to demyelination and tissue loss, resulting in **cognitive decline** and neurological deficits. *Hippocampal atrophy* - While observed in various dementias, particularly **Alzheimer's disease**, it is not the primary defining characteristic or an alternative common name for Binswanger disease. [1] - Hippocampal atrophy primarily affects memory formation, whereas Binswanger disease involves broader subcortical dysfunction impacting executive function and gait. *Multiple cortical infarcts* - This describes **multi-infarct dementia**, which involves acute, often stepwise, cognitive decline due to multiple strokes impacting the **cerebral cortex**. - Binswanger disease, in contrast, involves chronic, diffuse damage to subcortical white matter rather than distinct cortical infarcts. *Extrapyramidal dementia* - This term refers to dementias associated with **extrapyramidal symptoms** (e.g., Parkinsonism), such as **Lewy body dementia** or Parkinson's disease dementia. - While gait disturbances can occur in Binswanger disease, it is not primarily classified as an extrapyramidal disorder.
Explanation: ***β-interferon*** - The MRI image shows **periventricular white matter lesions** which are characteristic of **Multiple Sclerosis (MS)**. - **Beta-interferons (β-interferon)** are a cornerstone in the treatment of **relapsing-remitting multiple sclerosis (RRMS)**, acting as disease-modifying therapies to reduce the frequency and severity of relapses and slow disease progression. *α-interferon* - **Alpha-interferon (α-interferon)** is primarily used in the treatment of certain **cancers** and **viral infections** (e.g., hepatitis B and C), not for demyelinating diseases like MS. - It has a different spectrum of biological activities and clinical applications compared to beta-interferons. *□-interferon* - The option "□-interferon" is not a recognized or standard classification for interferon subtypes in medical or pharmaceutical contexts. - This option is likely a distractor and does not represent a known therapeutic agent for any condition, including MS. *Natalizumab* - **Natalizumab** is a highly effective disease-modifying therapy for MS, but it is typically reserved for patients with **highly active MS** or those who have responded inadequately to other treatments, such as beta-interferons. - While effective, it carries a risk of inducing **progressive multifocal leukoencephalopathy (PML)**, making it a second-line or escalated therapy rather than the initial drug of choice for MS.
Get full access to all questions, explanations, and performance tracking.
Start For Free