A 12-year-old child is diagnosed with systemic lupus erythematosus (SLE) and presents with nephrotic-range proteinuria. Renal biopsy reveals "wire loop lesions." Which of the following is the drug of choice in this case?
Which of the following is not a recognised cause of recurrent renal stone formation?
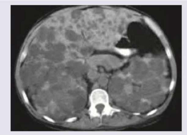
A 30-year-old hypertension patient presents with flank pain. CT abdomen was performed. All are true about the condition shown except?

All are true about the condition shown in the above figure except:

The hand of a patient of Gitelman syndrome shows?

Hemodialysis is being performed on a patient of ESRD. Central dialysis catheter is placed at which site?

A patient of ESRD is scheduled for hemodialysis. He complains of palpitations. Which of the following findings are seen on ECG?

A 30-year-old lady with crush injury was admitted to the casualty. Her urobag shows 100 mL red color urine. ECG is shown below. All are indicated for this patient except?

Which of the following findings in a patient are suggestive of acute nephritis? I. Hematuria II. Oliguria III. Reduced size of both kidneys IV. Edema Select the correct answer using the code given below :
Which one of the following hereditary tubulo-interstitial kidney diseases has an autosomal recessive mode of inheritance?
Explanation: ***IV Steroids + cyclophosphamide*** - The presence of "wire loop lesions" on renal biopsy signifies **Diffuse Proliferative Lupus Nephritis (Class IV)**, which is the most common and severe form of Lupus Nephritis. - Induction therapy for Class IV LN requires a combination of high-dose corticosteroids (IV methylprednisolone) and a potent cytotoxic agent, making **cyclophosphamide** the standard aggressive regimen [1]. *IV Steroids only* - Although high-dose steroids (pulses) are essential for controlling acute inflammation, they are **insufficient as monotherapy** for the severe, widespread immune complex deposition seen in **Class IV LN** [1]. - Steroid monotherapy is typically used for less aggressive forms, such as Class I or II (minimal or mesangial) LN. *Mycophenolate mofetil* - **Mycophenolate mofetil (MMF)**, combined with steroids, is an alternative induction therapy, particularly favored for maintenance but is less reliably potent than cyclophosphamide in severe, life-threatening flares of **Class IV** in some regimens. - MMF alone is never used for induction; it must be administered with high-dose **corticosteroids** to manage acute disease activity. *Cyclophosphamide only* - **Cyclophosphamide** is a powerful induction agent, but it must always be combined with high-dose **corticosteroids** during the induction phase to maximize anti-inflammatory effects and achieve remission effectively [1]. - Administration of a cytotoxic agent without simultaneous acute inflammation control is substandard care.
Explanation: ***Hypercitraturia*** - It is generally **protective** against calcium stone formation because **citrate** binds to calcium in the urine, making it more soluble and inhibiting crystal nucleation. [1] - **Hypocitraturia** (low urinary citrate), not hypercitraturia, is a well-recognized metabolic risk factor for the formation of **calcium oxalate stones**. *Hyperoxaluria* - **Oxalate** readily binds with calcium to form **calcium oxalate stones**, the most common type of kidney stone. - Both primary and secondary hyperoxaluria significantly increase the degree of urinary **supersaturation**, driving stone formation. *Hypercalciuria* - High levels of urinary calcium increases urine saturation, leading to the precipitation of calcium salts, primarily forming **calcium oxalate** or **calcium phosphate** stones. [1] - It is the most frequent metabolic abnormality observed in patients with **recurrent nephrolithiasis**. *Hyperuricosuria* - Excess urinary **uric acid** directly causes **uric acid stones**, especially in acidic urine. [1] - Importantly, uric acid crystals can also serve as a **nidus** for the heterogeneous nucleation of **calcium oxalate** stones, increasing overall stone risk. [1]
Explanation: ***Bilateral kidney transplantation is the treatment of choice*** - While kidney transplantation is the **definitive treatment** for end-stage renal disease in ADPKD, it's not always bilateral. A single kidney transplant is often sufficient. - The image shows **polycystic kidneys and liver**, characteristic of **Autosomal Dominant Polycystic Kidney Disease (ADPKD)**. This condition often leads to **end-stage renal disease**, but a bilateral kidney transplant is not the primary intervention for all patients or the immediate treatment for flank pain. *Autosomal dominant disorder* - **ADPKD** is indeed an **autosomal dominant genetic disorder**, meaning only one copy of the defective gene is needed to cause the disease. - This genetic inheritance pattern explains the widespread occurrence of **cysts in the kidneys and liver**, as seen in the CT scan. *Chromosome 16 and 4 are involved* - The most common forms of ADPKD are linked to mutations in the **PKD1 gene on chromosome 16** (about 85% of cases) and the **PKD2 gene on chromosome 4** (about 15% of cases). - These genetic mutations lead to the development of numerous **cysts in the kidneys and other organs**. *Most common cause of death is cardiovascular causes* - **Cardiovascular complications**, such as **hypertension, left ventricular hypertrophy, and cerebral aneurysms**, are the leading causes of morbidity and mortality in ADPKD patients. - The patient's history of **hypertension** is a common early manifestation and a significant risk factor for these cardiovascular outcomes.
Explanation: ***Seen with polyarteritis nodosa*** - The image displays signs of **renal artery stenosis**, specifically a significant narrowing on the right renal artery (indicated by the arrow) alongside other features suggesting fibrous dysplasia on the left. - While polyarteritis nodosa (PAN) can cause **renal artery microaneurysms and infarctions**, it typically does not present with the *focal, severe stenosis* seen in the image, especially the beaded appearance consistent with fibromuscular dysplasia or the atherosclerotic lesion at the ostium. *Failure to achieve BP control with optimal medical therapy needs angioplasty* - **Renal artery stenosis** is a common cause of **resistant hypertension**. If blood pressure cannot be controlled with multiple antihypertensive medications, revascularization (e.g., angioplasty with stenting) may be considered, especially if symptoms are severe or there is evidence of progressive renal dysfunction. - This intervention aims to restore adequate blood flow to the kidney, thereby reducing renin-angiotensin-aldosterone system (RAAS) activation and lowering blood pressure. *Decline in GFR while on ACE inhibitors needs angioplasty* - Patients with significant **bilateral renal artery stenosis** or stenosis in a solitary kidney can experience a **precipitous drop in GFR** when treated with ACE inhibitors or ARBs, as these medications block the compensatory efferent arteriolar vasoconstriction, further reducing glomerular filtration pressure. - In such cases, revascularization via **angioplasty** may be indicated to preserve renal function. *Secondary cause of hypertension* - **Renal artery stenosis** is a well-recognized **secondary cause of hypertension**, often presenting as severe, refractory hypertension, or hypertension with an acute onset or worsening course. - The reduced blood flow to the kidney activates the **renin-angiotensin-aldosterone system**, leading to systemic vasoconstriction and increased sodium and water retention, thus elevating blood pressure.
Explanation: ***Tetany*** - **Gitelman syndrome** is characterized by renal salt wasting and **hypokalemia**, often accompanied by **hypomagnesemia** and **hypocalciuria**. - **Hypomagnesemia** and **hypokalemia** can lead to neuromuscular hyperexcitability, manifesting as **tetany**, which includes carpopedal spasm as seen in the image. *Tri-radiate hand* - A tri-radiate hand refers to a deformity where the hand has three, rather than five, digits, often associated with specific genetic conditions affecting limb development. - This condition is congenital and is not a feature of Gitelman syndrome. *Rhizomelic dwarfism* - This is a type of dwarfism characterized by the **shortening of the proximal limb segments**, such as the humerus and femur. - This is a skeletal dysplasia and is not a manifestation of Gitelman syndrome, which primarily affects renal tubular function. *Syndactyly* - **Syndactyly** is the condition where two or more fingers or toes are **fused together**. - This is a congenital malformation and is not associated with Gitelman syndrome, which is a renal tubular disorder.
Explanation: ***Right internal jugular vein*** - The **right internal jugular vein** is the preferred site for a central dialysis catheter due to its **straight course** to the superior vena cava, which minimizes the risk of vessel erosion, kinking, and malposition. - Its accessibility and lower risk for pneumothorax compared to subclavian approaches make it a safer and more effective choice for long-term catheterization for hemodialysis. *Left internal jugular vein* - The **left internal jugular vein** involves a **more acute angle** as it joins the superior vena cava, increasing the risk of catheter kinking and venous stenosis. - This anatomical difference makes it a less ideal primary choice compared to the right side, although it can be used if the right side is inaccessible or thrombosed. *Right subclavian vein* - Catheterization of the **subclavian vein** carries a higher risk of **pneumothorax** and **subclavian vein stenosis**, which can compromise future arteriovenous fistula creation in that arm. - For these reasons, subclavian vein access is generally avoided for long-term dialysis access. *Right subclavian artery* - The subclavian artery is an **artery**, not a vein, and central dialysis catheters must be placed in a **vein** for hemodialysis access. - Accidental arterial puncture during central line placement is a significant complication, leading to potential **hemorrhage** or hematoma, and is never an intended site for dialysis catheter insertion.
Explanation: ***Short QT with tall tented T waves*** - This ECG demonstrates key features of **hyperkalemia**: **tall, peaked T waves** (often described as "tented"), a **shortened QT interval**, widening of the QRS complex, and diminished or absent P waves. - The patient's history of **ESRD** and complaints of **palpitations** suggest a likely underlying electrolyte imbalance, with hyperkalemia being a common and dangerous complication. *Prolonged QT with tall tented T waves* - While hyperkalemia causes **tall, tented T waves**, it typically **shortens the QT interval**, not prolongs it, due to accelerated repolarization. - A prolonged QT interval is more characteristic of conditions like hypokalemia or drug-induced arrhythmia, not hyperkalemia. *Ventricular fibrillation* - **Ventricular fibrillation** is characterized by chaotic, irregular electrical activity with no discernible P waves, QRS complexes, or T waves, resulting in cardiac arrest. - The ECG shows organized, albeit abnormal, QRS complexes and tall T waves, which is not consistent with ventricular fibrillation. *Ventricular tachycardia* - **Ventricular tachycardia** typically presents with a wide QRS complex tachycardia, often with a regular rhythm, and may or may not show P waves. - While the QRS is wide, the presence of distinct, tall, tented T waves and a clear, albeit abnormal, rhythm pattern is more indicative of the extreme effects of hyperkalemia than a pure ventricular tachyarrhythmia.
Explanation: ***Furosemide drip*** - The patient has evidence of **rhabdomyolysis** (crush injury, red urine) and ECG changes consistent with **hyperkalemia** (tall peaked T waves). In this context, furosemide is generally **not indicated** because the patient is likely oliguric or anuric due to acute kidney injury from rhabdomyolysis. - Furosemide can worsen kidney injury in settings of **volume depletion** or acute tubular necrosis, and its use in hyperkalemia without adequate urine output is not effective and can exacerbate electrolyte imbalances. *Magnesium sulfate* - This patient, having suffered a crush injury, is at high risk for **hypomagnesemia**, which can occur due to cellular efflux and renal wasting, especially when other electrolytes are also deranged. - While not directly treating hyperkalemia, magnesium is crucial for cardiac stability and preventing **arrhythmias**, particularly in the presence of other electrolyte abnormalities. *Calcium chloride* - The ECG shows significant **peaked T waves**, highly suggestive of severe hyperkalemia, which is a life-threatening condition. - **Calcium chloride** (or calcium gluconate) is indicated to **stabilize myocardial cell membranes** and reduce the risk of life-threatening arrhythmias, it does not lower potassium levels but counteracts its cardiac effects. *Hemodialysis* - Given the patient's crush injury, likely **rhabdomyolysis**, and severe hyperkalemia evident on the ECG, **hemodialysis** is an absolute indication if medical management fails or the hyperkalemia is refractory. - It is the most effective way to rapidly remove excess potassium and address other metabolic derangements, such as **uremia** and **fluid overload**, that may arise from acute kidney injury.
Explanation: ***I, II and IV*** - **Hematuria**, **oliguria**, and **edema** are classic signs of acute nephritis, indicating inflammation and impaired kidney function [1]. - Oliguria results from reduced **glomerular filtration**, while edema is due to fluid retention secondary to kidney dysfunction. *I and II only* - This option is incomplete as **edema** is also a significant finding in acute nephritis due to fluid overload from impaired renal excretion. - While hematuria and oliguria are key, omitting edema overlooks a critical systemic manifestation. *I and III* - **Reduced size of both kidneys** (III) is typically associated with **chronic kidney disease** [1], not the acute inflammation seen in acute nephritis. - Acute nephritis usually presents with **normal or enlarged kidneys** due to inflammation and swelling. *III and IV* - This option incorrectly includes **reduced kidney size**, which is characteristic of chronic, not acute, kidney disease. - While edema (IV) is present in acute nephritis, the presence of hematuria and oliguria is also crucial for diagnosis.
Explanation: ***Nephronophthisis*** - This is a group of **autosomal recessive** disorders characterized by tubulointerstitial nephritis, renal cysts, and progression to **end-stage renal disease (ESRD)**, often in childhood or adolescence [1]. - It is the most common genetic cause of ESRD in children, with classic features including **polydipsia, polyuria**, and anemia [1]. *Juvenile hyperuricaemic nephropathy* - This condition is typically inherited in an **autosomal dominant** pattern. - It is characterized by early-onset hyperuricemia, gout, and progressive renal insufficiency due to changes in **urate transport**. *Medullary cystic kidney disease type 1* - Previously known as **medullary cystic kidney disease**, this is now often referred to as **Autosomal Dominant Tubulointerstitial Kidney Disease (ADTKD)**. - It is caused by mutations in the **UMOD gene** (encoding uromodulin) and is inherited in an **autosomal dominant** fashion [1]. *Medullary cystic kidney disease type 2* - Also categorized under **ADTKD**, this form is caused by mutations in the **REN gene** (encoding renin). - Like type 1, it follows an **autosomal dominant** inheritance pattern leading to progressive chronic kidney disease.
Acute Kidney Injury
Practice Questions
Chronic Kidney Disease
Practice Questions
Glomerular Diseases
Practice Questions
Tubulointerstitial Diseases
Practice Questions
Nephrotic and Nephritic Syndromes
Practice Questions
Urinary Tract Infections
Practice Questions
Renal Replacement Therapy
Practice Questions
Fluid and Electrolyte Disorders
Practice Questions
Acid-Base Disorders
Practice Questions
Kidney in Systemic Diseases
Practice Questions
Kidney Stones and Obstructive Uropathy
Practice Questions
Hypertension in Kidney Disease
Practice Questions
Get full access to all questions, explanations, and performance tracking.
Start For Free