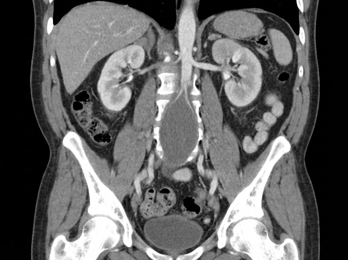
A 70-year-old man presents with right flank pain that radiates to his groin. He has a long history of heavy smoking and alcohol use and reports passing a kidney stone approximately 20 years prior to this event. His past medical history is also remarkable for diabetes mellitus, high cholesterol, and obesity. A computed tomography scan reveals a right 7-mm ureteral stone. In addition, coronal imaging was obtained. Which of the following is the greatest risk factor for the development of additional findings on the imaging study?

What is the most common cause of death in patients undergoing dialysis for acute renal failure?
A patient with acute urinary tract infection (UTI) usually presents with:
Chronic kidney disease is defined as GFR less than (mL/ min/ 1.73 m2):
Which of the following drugs is NOT used for the treatment of acute hyperkalemia?
Mutation in the PKHD1 gene causing autosomal recessive polycystic kidney disease (ARPKD) maps to which chromosome?
Which of the following conditions causes normal anion gap metabolic acidosis?
All are measures taken to address hyperkalemia in acute kidney injury, except?
In Dent's disease, which of the following is seen on laboratory evaluation?
What is a characteristic feature of glomerular hematuria?
Explanation: ***History of smoking*** - **Smoking** is the strongest modifiable risk factor for **abdominal aortic aneurysm (AAA)**, which is the likely incidental finding on coronal CT imaging in this elderly male patient. - **Tobacco use** causes **endothelial dysfunction**, **atherosclerosis**, and **elastin degradation** in the aortic wall, leading to aneurysmal dilatation with a 5-10 fold increased risk compared to non-smokers. *Age* - While **advanced age** (>65 years) is a significant risk factor for AAA, it is less predictive than smoking history in determining aneurysm development. - Age alone without other risk factors has a much lower relative risk compared to the **synergistic effect** of age plus smoking. *History of urolithiasis* - **Kidney stones** are unrelated to the development of **abdominal aortic aneurysms** and do not increase AAA risk. - Prior **urolithiasis** may indicate metabolic abnormalities but has no direct association with **aortic wall pathology**. *Metabolic syndrome* - While **diabetes**, **obesity**, and **hyperlipidemia** contribute to **cardiovascular disease**, they are weaker risk factors for AAA compared to smoking. - **Metabolic syndrome** primarily increases risk through **atherosclerotic mechanisms** but lacks the direct **elastolytic effects** on the aortic wall that smoking provides.
Explanation: **Explanation:** The correct answer is **Infection (Option B)**. In the setting of **Acute Kidney Injury (AKI)** requiring dialysis, the primary cause of mortality is infection/sepsis, accounting for approximately 50-70% of deaths [2]. Patients with AKI are highly susceptible to infections due to several factors: 1. **Uremia-induced immunosuppression:** High levels of urea impair the function of neutrophils, macrophages, and T-lymphocytes [3]. 2. **Invasive procedures:** The use of hemodialysis catheters (temporary venous access) provides a direct portal for pathogens, leading to catheter-related bloodstream infections (CRBSI) [1]. 3. **Breach of mucosal barriers:** These patients often have associated comorbidities, are in intensive care units, and frequently require ventilators or urinary catheters. **Analysis of Incorrect Options:** * **A. Cardiovascular disease:** While CVD is the **leading cause of death in Chronic Kidney Disease (CKD)** and patients on long-term maintenance hemodialysis, it is secondary to infection in the acute setting. * **C. Malignancy:** This is a long-term complication and does not contribute significantly to mortality in the acute phase of renal failure. * **D. Anemia:** While common in renal failure due to decreased erythropoietin production and blood loss during dialysis, it is a morbidity factor rather than a primary cause of death [3]. **NEET-PG High-Yield Pearls:** * **Most common cause of death in AKI:** Infection/Sepsis [2]. * **Most common cause of death in CKD/ESRD:** Cardiovascular disease (specifically sudden cardiac death or MI). * **Most common cause of AKI (overall):** Pre-renal azotemia. * **Most common cause of Intra-renal AKI:** Acute Tubular Necrosis (ATN).
Explanation: ### Explanation **Correct Answer: D. Painful urination** **Medical Concept:** Urinary Tract Infections (UTIs) are clinically categorized into **Lower UTI (Cystitis)** and **Upper UTI (Pyelonephritis)**. The question asks for the presentation of a "usual" or simple acute UTI, which most commonly refers to acute cystitis [1]. The hallmark of lower UTI is **bladder mucosal irritation**, leading to the classic triad of **dysuria (painful urination)**, frequency, and urgency [1]. Dysuria occurs because the inflamed urethral and bladder mucosa are sensitized to the passage of urine. **Analysis of Incorrect Options:** * **A, B, and C (Chills/Fever, Flank pain, Nausea/Vomiting):** These symptoms are characteristic of **Acute Pyelonephritis** (Upper UTI) [1], [2]. While a patient with a simple lower UTI may have mild suprapubic discomfort, the presence of systemic symptoms (high-grade fever with rigors) and localized kidney pain (costovertebral angle tenderness/flank pain) indicates that the infection has ascended to the renal parenchyma [1], [2]. In NEET-PG, distinguishing between "Cystitis" and "Pyelonephritis" is crucial for determining management. **High-Yield Clinical Pearls for NEET-PG:** * **Most Common Organism:** *E. coli* is the leading cause of both community-acquired and hospital-acquired UTIs. * **Diagnosis:** The gold standard is **Urine Culture** (significant bacteriuria is traditionally defined as $\geq 10^5$ CFU/mL). * **Urinalysis:** Look for **Pyuria** ($>10$ WBCs/hpf) and a positive **Nitrite test** (highly specific for Gram-negative bacteria like *E. coli*). * **Sterile Pyuria:** If a patient has symptoms of UTI and pyuria but "sterile" cultures, consider *Chlamydia trachomatis* or Renal Tuberculosis [1]. * **Treatment:** Uncomplicated cystitis is typically treated with Nitrofurantoin or Fosfomycin.
Explanation: **Explanation:** Chronic Kidney Disease (CKD) is defined by the **KDIGO (Kidney Disease: Improving Global Outcomes)** guidelines based on abnormalities of kidney structure or function, present for **more than 3 months**, with implications for health. The diagnosis requires either: 1. **Markers of kidney damage:** Most commonly albuminuria (Albumin Excretion Rate ≥30 mg/24h or Albumin-to-Creatinine Ratio ≥30 mg/g). 2. **Decreased GFR:** A Glomerular Filtration Rate (GFR) **< 60 mL/min/1.73 m²** [1]. **Why 60 is the correct threshold:** A GFR of 60 represents a loss of approximately half of the normal adult kidney function [1]. Below this level (Stages G3a to G5), the risk of complications such as hypertension, anemia, and metabolic bone disease increases significantly, regardless of whether other markers of damage are present [1]. **Analysis of Incorrect Options:** * **B (70) and C (80):** These values fall within the range of "mildly decreased" GFR (60-89 mL/min/1.73 m²). In the absence of markers of kidney damage (like proteinuria or structural defects), these values are considered normal for age or clinically insignificant. * **D (90):** A GFR ≥ 90 is considered "normal or high." While Stage 1 CKD is defined as GFR ≥ 90, it *must* be accompanied by evidence of structural or functional kidney damage to be classified as CKD. **High-Yield Clinical Pearls for NEET-PG:** * **Duration:** The "3-month" rule is essential to differentiate CKD from Acute Kidney Injury (AKI). * **Staging:** CKD is staged from G1 (≥90) to G5 (<15). G5 is termed **End-Stage Renal Disease (ESRD)** [1]. * **Most Common Cause:** Diabetes Mellitus is the leading cause of CKD worldwide, followed by Hypertension [1]. * **Formula of Choice:** The **CKD-EPI** equation is currently preferred over the MDRD formula for estimating GFR.
Explanation: The management of acute hyperkalemia focuses on three goals: stabilizing the myocardium, shifting potassium into cells, and removing potassium from the body. [1] **Why Potassium Exchange Resins are the correct answer:** While potassium exchange resins (e.g., Sodium Polystyrene Sulfonate or Patiromer) do remove potassium from the body via the GI tract, they have a **slow onset of action** (typically 6–24 hours). Therefore, they are ineffective in the **acute/emergency** management of life-threatening hyperkalemia where immediate reduction is required to prevent cardiac arrest. **Explanation of Incorrect Options:** * **Insulin + Glucose:** This is a first-line therapy for acute shifts. [1] Insulin stimulates the Na+-K+ ATPase pump, driving potassium into the intracellular compartment. Glucose is co-administered to prevent hypoglycemia. * **Calcium Carbonate (or Gluconate):** Calcium salts are used to **stabilize the cardiac membrane** by antagonizing the effects of hyperkalemia on the resting membrane potential. [1] While they do not lower serum potassium levels, they are the most critical initial step in patients with ECG changes. * **Sodium Bicarbonate:** This promotes an intracellular shift of potassium by increasing blood pH (alkalosis), which causes an H+/K+ exchange across the cell membrane. **NEET-PG High-Yield Pearls:** 1. **First step in management:** If ECG changes are present (e.g., peaked T-waves, widened QRS), the immediate first step is **IV Calcium Gluconate**. [1] 2. **Most rapid potassium-lowering agent:** Insulin + Glucose (onset 10–20 mins). 3. **Definitive treatment:** In patients with renal failure or refractory hyperkalemia, **Hemodialysis** is the gold standard for rapid removal. 4. **Salbutamol (Beta-2 agonists):** Also used for acute shifts but should be avoided in patients with tachycardia or ischemic heart disease.
Explanation: **Explanation:** The correct answer is **Chromosome 6**. Autosomal Recessive Polycystic Kidney Disease (ARPKD) is primarily caused by mutations in the **PKHD1** (Polycystic Kidney and Hepatic Disease 1) gene, which is located on the short arm of **Chromosome 6 (6p12)**. This gene encodes **fibrocystin** (also known as polyductin), a protein localized in the primary cilia of epithelial cells, which is essential for maintaining the structural integrity of the renal collecting ducts and bile ducts. **Analysis of Incorrect Options:** * **Option A (Chromosome 16):** This is the location of the **PKD1** gene [1]. Mutations here cause the most common form of Autosomal Dominant Polycystic Kidney Disease (ADPKD Type 1), accounting for ~85% of cases [1]. * **Option B (Chromosome 4):** This is the location of the **PKD2** gene [1]. Mutations here cause ADPKD Type 2, which generally has a slower progression to end-stage renal disease compared to PKD1 [1]. * **Option D (Chromosome 12):** This chromosome is not associated with the primary genes for polycystic kidney disease. **High-Yield Clinical Pearls for NEET-PG:** * **ARPKD Presentation:** Typically presents in the neonatal period with bilateral enlarged kidneys and pulmonary hypoplasia (due to oligohydramnios—part of the **Potter Sequence**). * **Liver Involvement:** ARPKD is invariably associated with **Congenital Hepatic Fibrosis**. On imaging, this may present as Caroli’s disease (dilatation of intrahepatic bile ducts). * **Imaging Sign:** On ultrasound, ARPKD kidneys appear large and echogenic with a loss of corticomedullary differentiation, often described as a **"salt and pepper"** appearance. * **Genetics Tip:** Remember **"6-PKHD"** (6 letters in PKHD) to link it to Chromosome 6.
Explanation: **Explanation:** Metabolic acidosis is classified based on the **Anion Gap (AG)**, calculated as $[Na^+] - ([Cl^-] + [HCO_3^-])$. A **Normal Anion Gap Metabolic Acidosis (NAGMA)**, also known as hyperchloremic metabolic acidosis, occurs when the loss of bicarbonate ($HCO_3^-$) is replaced by a proportional increase in chloride ($Cl^-$) to maintain electroneutrality [1]. **Why Cholera is correct:** Cholera causes profuse, watery diarrhea. Intestinal secretions are rich in bicarbonate; therefore, massive gastrointestinal loss leads to a direct depletion of $HCO_3^-$. To compensate, the kidneys retain chloride, resulting in NAGMA [2]. This is the most common cause of NAGMA alongside Renal Tubular Acidosis (RTA) [1]. **Why the other options are incorrect:** * **Starvation:** Leads to the production of ketoacids (acetoacetate and beta-hydroxybutyrate). These unmeasured anions increase the anion gap, causing **High Anion Gap Metabolic Acidosis (HAGMA)**. * **Ethylene glycol poisoning:** Metabolism of ethylene glycol produces glycolic and oxalic acids. These add unmeasured anions to the blood, resulting in **HAGMA** (often with an increased osmolar gap). * **Lactic acidosis:** Occurs due to tissue hypoxia or sepsis [1]. The accumulation of lactate (an unmeasured anion) results in **HAGMA**. **NEET-PG High-Yield Pearls:** * **Mnemonic for NAGMA (USED CARP):** **U**reterosigmoidostomy, **S**aline infusion, **E**ndocrine (Addison’s), **D**iarrhea, **C**arbonic anhydrase inhibitors (Acetazolamide), **A**mmonium chloride, **R**enal tubular acidosis, **P**ancreatic fistula [2]. * **Mnemonic for HAGMA (MUDPILES):** **M**ethanol, **U**remia, **D**KA, **P**ropylene glycol, **I**soniazid/Iron, **L**actic acidosis, **E**thylene glycol, **S**alicylates. * **Key Distinguisher:** If the question mentions diarrhea or RTA, always think **NAGMA**. If it mentions toxins, shock, or renal failure, think **HAGMA** [1].
Explanation: The management of hyperkalemia in Acute Kidney Injury (AKI) focuses on stabilizing the cardiac membrane, shifting potassium into cells, and enhancing potassium excretion. [1] **Why ACE inhibitors are the correct answer (The "Except"):** ACE inhibitors (and ARBs) are **contraindicated** in the acute management of hyperkalemia. They inhibit the renin-angiotensin-aldosterone system (RAAS), leading to decreased aldosterone levels. [1] Since aldosterone is responsible for potassium excretion in the distal nephron, ACE inhibitors further **increase serum potassium levels**, potentially worsening life-threatening hyperkalemia. [1] Additionally, they can impair renal autoregulation, potentially exacerbating the AKI. **Analysis of Incorrect Options:** * **Loop Diuretics (Option A):** These are used to increase potassium excretion in the urine, provided the patient is still producing urine (non-oliguric). [1] * **Insulin and Glucose (Option C):** This is a standard "shift therapy." Insulin stimulates the Na+/K+-ATPase pump, driving potassium into the intracellular compartment. [1] Glucose is co-administered to prevent hypoglycemia. * **Beta Agonist Inhalation (Option D):** Albuterol/Salbutamol (nebulized) also stimulates the Na+/K+-ATPase pump via beta-2 receptors, causing an intracellular shift of potassium. [1] **High-Yield Clinical Pearls for NEET-PG:** * **Immediate Action:** If ECG changes (e.g., peaked T-waves, widened QRS) are present, the first step is **Calcium Gluconate** to stabilize the cardiac membrane (it does not lower K+ levels). [1] * **Definitive Treatment:** In severe AKI with refractory hyperkalemia, **Hemodialysis** is the most definitive method of potassium removal. * **Cation Exchange Resins:** Sodium polystyrene sulfonate (Kayexalate) or newer agents like Patiromer are used to remove potassium via the GI tract, though they act slowly.
Explanation: Explanation: **Dent’s Disease** is an X-linked recessive tubulopathy caused by mutations in the **CLCN5 gene** (encoding the Cl⁻/H⁺ exchanger) or the **OCRL1 gene**. It primarily affects the proximal convoluted tubule (PCT). **Why Hypercalciuria is correct:** The hallmark of Dent’s disease is **low-molecular-weight (LMW) proteinuria** (e.g., β2-microglobulin) and **Hypercalciuria**. The hypercalciuria occurs due to a defect in endocytosis and calcium reabsorption in the proximal tubule. This excess urinary calcium leads to the classic clinical triad: nephrocalcinosis, nephrolithiasis (kidney stones), and progressive renal failure [1]. **Why the other options are incorrect:** * **B. Hypokalemia:** While seen in other tubulopathies like Bartter or Gitelman syndrome, hypokalemia is not a defining feature of Dent’s disease. * **C. Hypernatremia:** Dent’s disease does not typically present with sodium handling defects leading to hypernatremia; patients are usually euvolemic unless advanced renal failure occurs. * **D. Hypomagnesemia:** This is a classic feature of **Gitelman syndrome** (due to NCCT mutation in the distal tubule), not Dent’s disease. **High-Yield Clinical Pearls for NEET-PG:** * **Inheritance:** X-linked Recessive (affects males; females are usually asymptomatic carriers). * **The "Dent Triad":** LMW Proteinuria + Hypercalciuria + Nephrocalcinosis/Nephrolithiasis. * **Fanconi Syndrome:** Dent’s disease is often considered a form of partial or complete Fanconi syndrome (glycosuria, phospaturia, aminoaciduria). * **Differentiation:** Unlike many other tubulopathies, Dent’s disease is **not** typically associated with significant metabolic alkalosis or acidosis in its early stages.
Explanation: **Explanation:** The presence of **dysmorphic red blood cells (RBCs)** is the hallmark of glomerular hematuria. When RBCs pass through the damaged glomerular basement membrane and travel through the varying osmolality and pH of the renal tubules, they undergo mechanical and chemical stress [3]. This results in distorted shapes, such as blebs, protrusions, or loss of hemoglobin. A specific type of dysmorphic RBC, the **Acanthocyte** (G1 cell), is highly specific for glomerular disease. **Analysis of Options:** * **A. Dysmorphic RBCs (Correct):** As explained, these indicate a renal parenchymal origin (e.g., Glomerulonephritis). * **B. Fragmented RBCs:** These (Schistocytes) are typically seen in microangiopathic hemolytic anemias (MAHA) like HUS or TTP on a peripheral blood smear [4], rather than being a primary diagnostic feature of glomerular hematuria in urine. * **C. Presence of RBCs:** This is a non-specific finding. RBCs can be present in both glomerular (e.g., IgA nephropathy) and non-glomerular (e.g., kidney stones, UTI, malignancy) causes of hematuria [1]. * **D. Gross hematuria:** While glomerular diseases can cause visible hematuria (e.g., "cola-colored" urine in PSGN), gross hematuria is more commonly associated with extra-glomerular sources like tumors, stones, or infections [2]. **NEET-PG High-Yield Pearls:** * **RBC Casts:** The most specific indicator of glomerular hematuria. * **Acanthocytes:** If >5% of urinary RBCs are acanthocytes, it is highly suggestive of glomerular origin. * **Proteinuria:** Significant proteinuria (>500 mg/day) accompanying hematuria strongly points toward a glomerular cause [2]. * **Non-glomerular hematuria:** Characterized by isomorphic (uniform) RBCs and absence of casts/proteinuria.
Acute Kidney Injury
Practice Questions
Chronic Kidney Disease
Practice Questions
Glomerular Diseases
Practice Questions
Tubulointerstitial Diseases
Practice Questions
Nephrotic and Nephritic Syndromes
Practice Questions
Urinary Tract Infections
Practice Questions
Renal Replacement Therapy
Practice Questions
Fluid and Electrolyte Disorders
Practice Questions
Acid-Base Disorders
Practice Questions
Kidney in Systemic Diseases
Practice Questions
Kidney Stones and Obstructive Uropathy
Practice Questions
Hypertension in Kidney Disease
Practice Questions
Get full access to all questions, explanations, and performance tracking.
Start For Free