Which of the following is not a feature of acute renal failure?
Adult polycystic kidney disease is inherited:
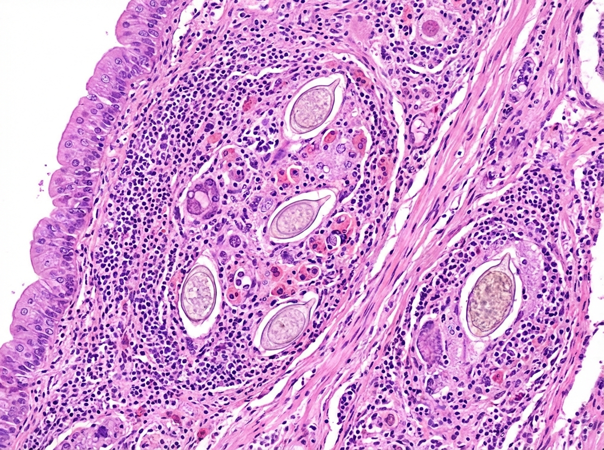
A 35-year-old male presented with gross hematuria, with similar episodes occurring in the past 6 months. There was no history of fever, pain, or burning on urination, weight loss, or increased sense of urgency to void. There was no history of exposure to toxins either at work or during recreational activities. The patient underwent fiberoptic cystoscopy, and a mass was noted in the fundus of the bladder. Biopsy of the mass is shown in the figure. What is the drug of choice for the likely cause?

All of the following are used for the management of hyperkalemia except?
Clinical features of chronic renal failure/uremia appear when renal function is reduced to what extent?
All are true for acute nephritic syndrome EXCEPT:
Hyperkalemia is a feature of which of the following conditions?
All of the following are examples of tubulointerstitial disorders of the kidney except?
Rhabdomyolysis is characterized by:
Which of the following is true about sepsis-related acute kidney injury?
Explanation: In Acute Kidney Injury (AKI), the sudden decline in GFR leads to the accumulation of metabolic waste products and electrolytes that are normally excreted by the kidney [1]. **Why Hypokalemia is the Correct Answer:** The hallmark of AKI is **Hyperkalemia**, not hypokalemia. As GFR drops, the kidney's ability to excrete potassium is severely impaired. Additionally, the associated metabolic acidosis causes a shift of potassium from the intracellular to the extracellular compartment (H+/K+ exchange), further raising serum potassium levels. Hypokalemia is generally only seen in specific scenarios like the recovery (diuretic) phase of ATN or in specific types of drug-induced nephrotoxicity (e.g., Amphotericin B). **Explanation of Incorrect Options:** * **Hyperphosphatemia:** Reduced renal excretion of phosphate leads to its accumulation in the blood [2]. * **Hypocalcemia:** This occurs due to two main reasons: (1) Hyperphosphatemia causes calcium-phosphate precipitation in soft tissues, and (2) Decreased production of 1,25-dihydroxyvitamin D by the injured kidneys leads to reduced intestinal calcium absorption. Modest hypocalcaemia is common in these patients [2]. * **Metabolic Acidosis:** The kidneys fail to excrete fixed acids (like sulfates and phosphates) and cannot regenerate sufficient bicarbonate, resulting in a **High Anion Gap Metabolic Acidosis (HAGMA)**. **High-Yield Clinical Pearls for NEET-PG:** 1. **ECG in AKI:** Always look for tall tented T-waves (earliest sign of hyperkalemia). 2. **Fractional Excretion of Sodium (FeNa):** <1% suggests Pre-renal azotemia; >2% suggests Acute Tubular Necrosis (ATN). 3. **Indications for Urgent Dialysis (AEIOU):** **A**cidosis (refractory), **E**lectrolytes (Hyperkalemia), **I**ntoxications, **O**verload (Fluid), **U**remia (Pericarditis/Encephalopathy).
Explanation: **Autosomal Dominant Polycystic Kidney Disease (ADPKD)** is the most common hereditary kidney disease. As the name implies, it follows an **Autosomal Dominant** inheritance pattern (Option D), meaning a child has a 50% chance of inheriting the mutation if one parent is affected [1]. It is primarily caused by mutations in the **PKD1** gene (Chromosome 16, ~85% of cases) or the **PKD2** gene (Chromosome 4, ~15% of cases) [1]. The disease is characterized by the progressive bilateral formation of fluid-filled cysts that eventually destroy the renal parenchyma, leading to End-Stage Renal Disease (ESRD) usually in the 4th to 6th decade of life [1]. **Why other options are incorrect:** * **Autosomal Recessive (Option C):** This describes **ARPKD**, which typically presents in infancy or childhood (Potter sequence, biliary fibrosis) and is associated with the PKHD1 gene on Chromosome 6. * **X-linked Dominant/Recessive (Options A & B):** These are not the inheritance patterns for PKD. However, **Alport Syndrome** is most commonly inherited in an X-linked dominant fashion. **High-Yield Clinical Pearls for NEET-PG:** * **Extra-renal manifestations:** The most common is **Liver cysts**. The most life-threatening is **Berry Aneurysms** (Circle of Willis), which can lead to Subarachnoid Hemorrhage (SAH). Other features include Mitral Valve Prolapse (MVP) and diverticulosis. * **Diagnosis:** Ultrasonography is the first-line screening tool for family members. * **Management:** Tolvaptan (Vasopressin V2 receptor antagonist) is used to slow disease progression. * **Key Association:** PKD1 mutations are associated with earlier onset and more rapid progression to ESRD compared to PKD2 [1].
Explanation: ***Praziquantel*** - **Painless gross hematuria** with bladder mass in an endemic area strongly suggests **Schistosoma haematobium** infection, for which **praziquantel** is the drug of choice. - Praziquantel is effective against all **schistosoma species** and causes paralysis of the parasites by increasing calcium permeability. *Albendazole* - Primarily used for **intestinal nematodes** like roundworm, hookworm, and whipworm, not effective against **schistosomiasis**. - Works by inhibiting **microtubule formation** in helminths, but has no activity against **trematodes** like Schistosoma. *Mebendazole* - Another **benzimidazole anthelmintic** used for intestinal nematodes, particularly **pinworm** and **roundworm** infections. - Like albendazole, it lacks efficacy against **blood flukes** and would not treat the underlying **schistosomiasis**. *Triclabendazole* - Specifically indicated for **Fasciola hepatica** (liver fluke) infections, not for **urogenital schistosomiasis**. - While it's a **benzimidazole derivative**, its spectrum does not include **Schistosoma haematobium** which causes bladder pathology.
Explanation: ### Explanation The management of hyperkalemia focuses on three goals: stabilizing the cardiac membrane, shifting potassium into cells, and removing potassium from the body. **Why "Beta 2 antagonist" is the correct answer:** Beta-2 receptors play a crucial role in potassium homeostasis by stimulating the Na+/K+-ATPase pump, which drives potassium into the intracellular compartment [1]. Therefore, **Beta-2 agonists** (like Salbutamol) are used to treat hyperkalemia. A Beta-2 **antagonist** (blocker) would prevent this shift and could potentially worsen hyperkalemia; thus, it has no role in its management. **Analysis of Incorrect Options:** * **Calcium gluconate:** This is the first-line treatment for hyperkalemia with ECG changes. It does not lower serum potassium levels but **stabilizes the myocardial membrane** by antagonizing the membrane-excitability effects of potassium [1], preventing life-threatening arrhythmias. * **Insulin plus dextrose:** Insulin is a potent stimulator of the Na+/K+-ATPase pump, causing an **intracellular shift** of potassium. Dextrose is co-administered to prevent hypoglycemia. * **Dialysis:** This is the most definitive method for **potassium removal** from the body, especially in patients with renal failure or refractory hyperkalemia. **NEET-PG High-Yield Pearls:** 1. **"C Big K" Mnemonic:** **C**alcium gluconate (Stabilize), **B**icarbonate/Beta-agonists (Shift), **I**nsulin (Shift), **G**lucose, **K**ayexalate/Kidney dialysis (Remove). 2. **Calcium gluconate vs. Calcium chloride:** Calcium gluconate is preferred via peripheral lines as it is less caustic than calcium chloride. 3. **ECG Changes:** The earliest sign is **Tall Tented T-waves**, followed by PR prolongation, loss of P-wave, and eventually a **Sine wave pattern**.
Explanation: ### Explanation The progression of Chronic Kidney Disease (CKD) is characterized by a gradual decline in the Glomerular Filtration Rate (GFR). The kidneys possess a significant **functional reserve**, meaning the remaining healthy nephrons undergo compensatory hypertrophy and hyperfiltration to maintain homeostasis even as others are damaged [1]. **1. Why 30% is the Correct Answer:** Clinical features of uremia typically do not manifest until the renal function (GFR) falls below **25-30% of normal** [1]. At this stage (Stage 3b/4 CKD), the compensatory mechanisms of the surviving nephrons are overwhelmed. Patients begin to develop overt symptoms such as anemia (due to decreased erythropoietin), secondary hyperparathyroidism, hypertension, and nocturia [2]. **2. Analysis of Incorrect Options:** * **70% & 50% (Options A & B):** These represent mild to moderate impairment (Stage 1 and 2 CKD). At these levels, patients are usually **asymptomatic** [3]. While biochemical markers like serum creatinine may be slightly elevated, the body maintains fluid and electrolyte balance effectively. * **20% (Option D):** While symptoms are certainly present at 20%, this represents a more advanced stage of renal failure. The question asks when features *appear* (the threshold), which occurs earlier, around the 30% mark. **3. NEET-PG High-Yield Pearls:** * **Stages of CKD:** Defined by GFR (Stage 1: >90, Stage 2: 60-89, Stage 3: 30-59, Stage 4: 15-29, Stage 5: <15 ml/min). * **Azotemia vs. Uremia:** Azotemia is the biochemical accumulation of nitrogenous wastes; **Uremia** is the clinical syndrome resulting from this accumulation [1]. * **Earliest Sign:** The earliest clinical sign of renal insufficiency is often **isosthenuria** (inability to concentrate or dilute urine) and **nocturia**. * **First Biochemical Abnormality:** Usually an increase in PTH or a decrease in Erythropoietin levels, often occurring before significant elevations in urea/creatinine.
Explanation: Acute Nephritic Syndrome is a clinical syndrome characterized by the sudden onset of hematuria, proteinuria, hypertension, and edema, typically following an inflammatory process in the glomeruli. [1] **Why "WBC cast in urine" is the correct answer (the exception):** WBC casts are the hallmark of **Acute Pyelonephritis** or **Acute Tubulointerstitial Nephritis**. In Acute Nephritic Syndrome, the characteristic finding is **RBC casts** (dysmorphic RBCs), which indicate glomerular bleeding. While a few WBCs may be present due to inflammation, the presence of WBC casts specifically points toward an infectious or interstitial etiology rather than a primary nephritic process. **Analysis of other options:** * **Hypoproteinemia:** In nephritic syndrome, glomerular damage leads to proteinuria. While not as massive as in nephrotic syndrome, it can still lead to a decrease in serum albumin levels. * **Edema:** This is a cardinal feature caused by two mechanisms: salt and water retention (due to decreased GFR) and decreased oncotic pressure from proteinuria. [1] * **Hypertension:** This occurs due to fluid overload and the activation of the Renin-Angiotensin-Aldosterone System (RAAS) resulting from impaired sodium excretion. [1] **NEET-PG High-Yield Pearls:** * **Classic Triad of Nephritic Syndrome:** Hematuria (Cola-colored urine), Hypertension, and Edema. [1] * **Most common cause:** Post-Streptococcal Glomerulonephritis (PSGN). [1] * **Differentiating Casts:** * **RBC Casts:** Glomerulonephritis (Nephritic Syndrome). * **WBC Casts:** Pyelonephritis / Interstitial Nephritis. * **Fatty Casts ("Maltese Cross"):** Nephrotic Syndrome. * **Muddy Brown Casts:** Acute Tubular Necrosis (ATN). * **Waxy/Broad Casts:** Chronic Renal Failure.
Explanation: **Explanation** The correct answer is **Pseudohypoaldosteronism type 2 (PHA II)**, also known as **Gordon’s Syndrome**. ### 1. Why the Correct Answer is Right Gordon’s Syndrome is an autosomal dominant disorder caused by mutations in **WNK kinases** (WNK1 or WNK4). This leads to overactivity of the **Sodium-Chloride Cotransporter (NCC)** in the distal convoluted tubule. * **Mechanism:** Increased NaCl reabsorption leads to volume expansion, which suppresses renin and aldosterone (Hyporeninemic hypoaldosteronism). * **Result:** Despite low aldosterone, the increased distal chloride delivery and reduced flow in the collecting duct impair potassium secretion, resulting in **Hyperkalemia** and **Hypertension** with metabolic acidosis [1]. ### 2. Why the Incorrect Options are Wrong * **Conn’s Syndrome (Primary Hyperaldosteronism):** Excess aldosterone causes sodium retention and increased potassium excretion, leading to **Hypokalemia** and hypertension [2]. * **Gitelman’s Syndrome:** A loss-of-function mutation in the NCC transporter (the "genetic equivalent" of thiazide diuretics). It presents with **Hypokalemia**, metabolic alkalosis, and hypomagnesemia. * **Liddle Syndrome:** A gain-of-function mutation in the **ENaC channels**. This mimics hyperaldosteronism, causing sodium retention and profound **Hypokalemia** and hypertension, but with suppressed aldosterone levels [2]. ### 3. NEET-PG High-Yield Pearls * **Gordon’s Syndrome Treatment:** Highly sensitive to **Thiazide diuretics** (as they block the overactive NCC transporter). * **Pseudohypoaldosteronism Type 1:** Unlike Type 2, Type 1 involves aldosterone *resistance*, leading to hyperkalemia but **hypotension** (salt wasting). * **Mnemonic:** In renal tubular disorders, if there is **Hypertension**, think Liddle or Gordon. If there is **Hypotension/Normal BP**, think Bartter or Gitelman. * **Liddle vs. Conn:** Both have hypertension and hypokalemia, but Aldosterone is **High** in Conn and **Low** in Liddle [2].
Explanation: **Explanation:** The core of this question lies in distinguishing between primary glomerular diseases and primary tubulointerstitial diseases. **Why Lupus Nephritis is the correct answer:** Lupus Nephritis (LN) is a classic example of a **Glomerulonephritis** [1]. It is caused by the deposition of immune complexes within the glomeruli (subendothelial, subepithelial, or mesangial), leading to inflammation and structural damage [1]. While chronic LN can eventually lead to secondary interstitial fibrosis, its primary pathology is glomerular. **Why the other options are incorrect:** Options A, C, and D are all examples of **Metabolic Tubulointerstitial Nephropathies**. In these conditions, the primary insult occurs in the renal tubules and the surrounding interstitium: * **Hypercalcemic Nephropathy:** Chronic hypercalcemia causes calcium phosphate deposition in the medulla and cortex (nephrocalcinosis), leading to tubular atrophy and interstitial fibrosis. * **Gouty Nephropathy:** Chronic urate nephropathy involves the deposition of monosodium urate crystals in the renal medullary interstitium, triggering a giant cell inflammatory response. * **Hypokalemic Nephropathy:** Chronic potassium depletion leads to vacuolar degeneration of the proximal tubular cells and can progress to interstitial scarring. **High-Yield Clinical Pearls for NEET-PG:** * **Lupus Nephritis Classification:** Based on the ISN/RPS criteria (Class I to VI). Class IV (Diffuse Proliferative) is the most common and severe form. * **Tubulointerstitial Markers:** Look for "sterile pyuria," tubular proteinuria (low molecular weight proteins like $\beta_2$-microglobulin), and defects in concentrating ability or acid-base handling. * **Drug-induced TIN:** Always remember that NSAIDs, Penicillins, and Sulfa drugs are the most common causes of *Acute* Interstitial Nephritis.
Explanation: **Explanation:** Rhabdomyolysis involves the rapid breakdown of skeletal muscle, leading to the release of intracellular contents into the systemic circulation. **1. Why Increased K+ is Correct:** Potassium is the primary intracellular cation [1]. When muscle cell membranes (sarcolemma) are damaged, massive amounts of **Potassium (K+)** are released into the extracellular space, leading to life-threatening **hyperkalemia**. This is often the most immediate and dangerous electrolyte derangement in rhabdomyolysis, potentially causing cardiac arrhythmias. **2. Analysis of Incorrect Options:** * **Proximal muscle weakness (A):** While muscle weakness occurs, it is typically **generalized or localized** to the affected muscle groups (often associated with pain and swelling) rather than a specific "proximal" distribution, which is more characteristic of inflammatory myopathies like dermatomyositis. * **Increased Mg++ (B):** While magnesium is intracellular, hypermagnesemia is less clinically hallmark than hyperkalemia and hyperphosphatemia in this condition. * **Increased Ca++ (C):** In the acute phase, rhabdomyolysis typically causes **Hypocalcemia**. This occurs because calcium enters the damaged muscle cells and deposits as calcium phosphate. Hypercalcemia may only occur later during the recovery phase as calcium is remobilized from the muscles. **3. NEET-PG High-Yield Pearls:** * **Classic Triad:** Muscle pain, weakness, and dark (tea-colored) urine. * **Diagnostic Gold Standard:** Serum **Creatine Kinase (CK)** levels (typically >5 times the upper limit of normal). * **Renal Impact:** Myoglobinuria leads to Acute Tubular Necrosis (ATN). On urinalysis, a **positive dipstick for blood but absence of RBCs** on microscopy suggests myoglobinuria. * **Electrolyte "Rule of Up":** Increased K+, Increased Phosphate, Increased Uric acid, and Increased Creatinine. The "Rule of Down" applies to Calcium (initially).
Explanation: **Explanation:** Sepsis is the most common cause of Acute Kidney Injury (AKI) in the ICU. The pathophysiology involves a complex interplay of inflammation, microcirculatory dysfunction, and metabolic adaptation rather than simple ischemia [1]. **1. Why Option C is Correct:** In sepsis-related AKI, the hallmark of structural damage is **Acute Tubular Injury (ATI)**. This is clinically manifested by the presence of **"muddy brown" granular casts** and tubular epithelial cell debris in the urine sediment. These casts are formed when damaged tubular cells slough off into the lumen, indicating loss of tubular integrity. **2. Why the other options are Incorrect:** * **Option A:** AKI is much more prevalent than 20% [1]. It occurs in approximately **40% to 50% of patients with septic shock**, significantly increasing morbidity and mortality. * **Option B:** While hypotension can contribute, sepsis-related AKI often occurs in the **absence of overt hypotension**. GFR can decrease even with normal or high renal blood flow due to efferent arteriolar vasodilation and inflammatory-mediated changes in glomerular permeability. * **Option D:** Sepsis is characterized by **systemic arterial vasodilation** (leading to distributive shock) rather than generalized vasoconstriction [2]. Within the kidney, there is often a loss of autoregulation and microvascular shunting. **High-Yield Clinical Pearls for NEET-PG:** * **Pathogenesis:** Sepsis-induced AKI is increasingly viewed as a **"metabolic hibernation"** of tubular cells to survive inflammatory stress, rather than pure necrosis. * **Biomarkers:** Early detection of sepsis-AKI can be aided by **NGAL** (Neutrophil Gelatinase-Associated Lipocalin) or **KIM-1** (Kidney Injury Molecule-1) before serum creatinine rises. * **Management:** The cornerstone is early administration of antibiotics and maintaining mean arterial pressure (MAP) ≥ 65 mmHg, typically using **Norepinephrine** as the first-line vasopressor.
Acute Kidney Injury
Practice Questions
Chronic Kidney Disease
Practice Questions
Glomerular Diseases
Practice Questions
Tubulointerstitial Diseases
Practice Questions
Nephrotic and Nephritic Syndromes
Practice Questions
Urinary Tract Infections
Practice Questions
Renal Replacement Therapy
Practice Questions
Fluid and Electrolyte Disorders
Practice Questions
Acid-Base Disorders
Practice Questions
Kidney in Systemic Diseases
Practice Questions
Kidney Stones and Obstructive Uropathy
Practice Questions
Hypertension in Kidney Disease
Practice Questions
Get full access to all questions, explanations, and performance tracking.
Start For Free