Megaloblastic anemia develops in which of the following conditions?
A patient with cirrhosis of the liver has the following coagulation parameters: Platelet count 2,00,000, Prothrombin time 25s/12s, Activated partial thromboplastin time 60s/35s, and thrombin time 15s/15s. Which of the following laboratory findings can also be seen in this patient?
All of the following are poor prognostic factors in a case of acute myeloid leukemia, except?
ADAMTS deficiency is seen in which condition?
Which one of the following is not a feature of multiple myeloma?
Which of the following is a true statement regarding leukemia?
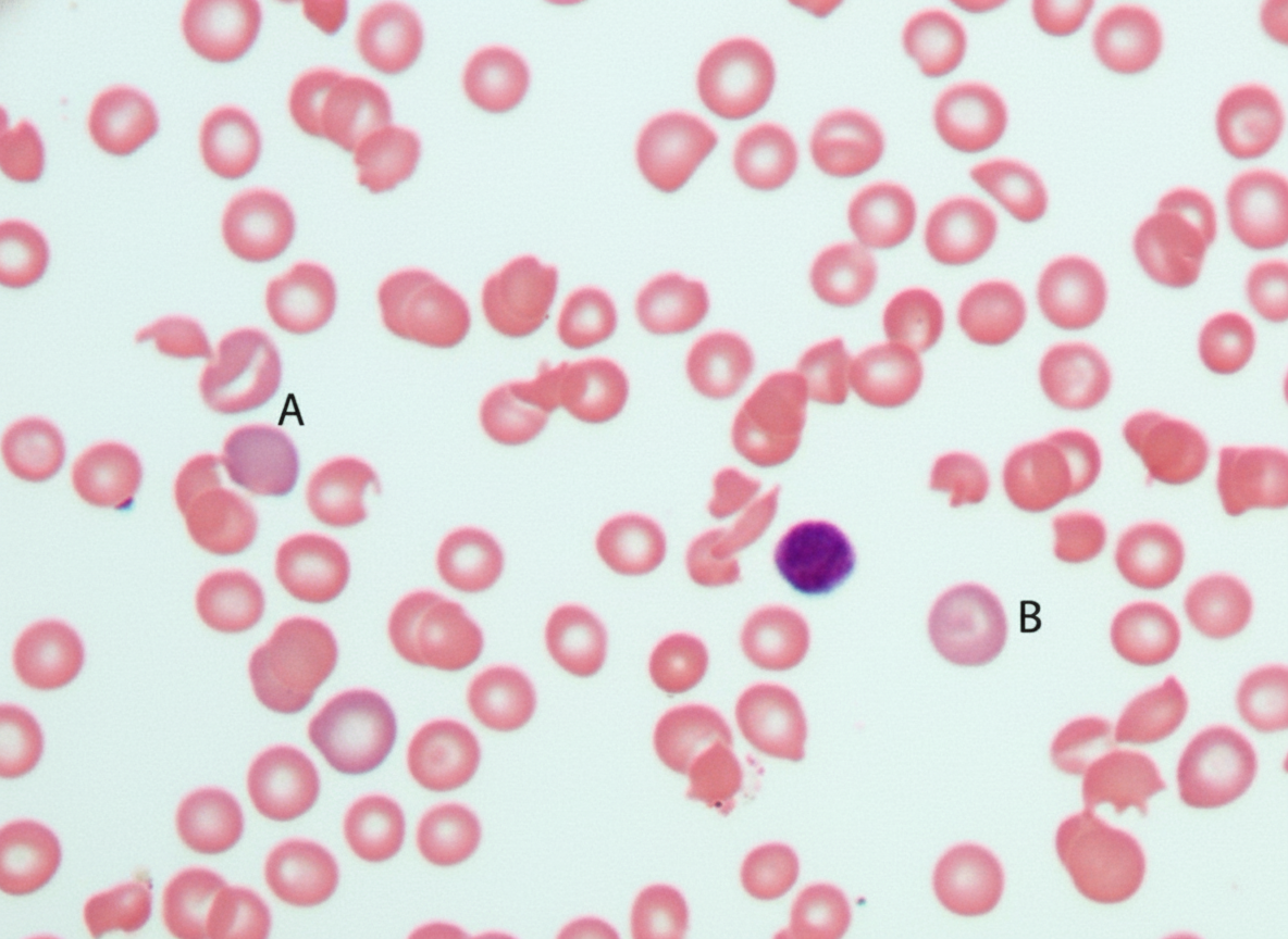
A 27-year-old black man develops sudden intravascular hemolysis 2 days after receiving the antimalarial drug primaquine, resulting in a decreased hematocrit, hemoglobinemia, and hemoglobinuria. Examination of the peripheral blood film is given. What is the most likely diagnosis?

Richter transformation in Chronic Lymphocytic Leukemia (CLL) transforms into which of the following?
What is an evidence that splenectomy might benefit a patient with idiopathic thrombocytopenic purpura?
Autosplenectomy is a condition characterized by the spleen becoming non-functional or absent. In which of the following conditions is autosplenectomy most commonly seen?
Explanation: **Explanation:** **Megaloblastic anemia** is primarily caused by a deficiency in Vitamin B12 or Folic acid, leading to impaired DNA synthesis while RNA synthesis remains unaffected [1]. This results in "nuclear-cytoplasmic asynchrony." **Why Option C is Correct:** Infants fed exclusively on **goat’s milk** are at a high risk of developing **Folate deficiency**. Goat’s milk is notoriously low in folic acid (containing only about 6 µg/L compared to 50 µg/L in cow's milk) and is also deficient in Vitamin B12 and Vitamin C. Without supplementation, this leads to macrocytic, megaloblastic anemia. **Why Other Options are Incorrect:** * **A. Sideroblastic Anemia:** This is a microcytic hypochromic anemia characterized by the failure to incorporate iron into protoporphyrin IX, leading to "ringed sideroblasts" in the bone marrow. * **B. Thalassaemia:** This is a quantitative defect in globin chain synthesis, resulting in microcytic hypochromic anemia with characteristic target cells. * **D. Vitamin C Deficiency:** While Vitamin C aids iron absorption, its deficiency primarily causes **Scurvy**. While it can coexist with anemia (due to bleeding or decreased iron absorption), it does not directly cause megaloblastic changes. **High-Yield Clinical Pearls for NEET-PG:** * **Pernicious Anemia:** The most common cause of Vitamin B12 deficiency (autoimmune destruction of parietal cells). * **Drug-induced Megaloblastosis:** Common culprits include Methotrexate, Phenytoin, and Zidovudine. * **Peripheral Smear:** Look for **Hypersegmented Neutrophils** (earliest sign) and Macro-ovalocytes. * **Biochemical markers:** Increased Homocysteine is seen in both B12 and Folate deficiency, but **increased Methylmalonic Acid (MMA)** is specific to Vitamin B12 deficiency.
Explanation: In patients with **Cirrhosis of the liver**, the liver's synthetic function is impaired, leading to a unique "rebalanced" but fragile hemostatic state. ### **Explanation of the Correct Answer** **A. D-dimer will be normal:** In chronic liver disease, there is a decrease in the synthesis of both pro-coagulant factors (Factors II, VII, IX, X) and anti-coagulant factors (Protein C, S, Antithrombin III). While PT and aPTT are prolonged due to factor deficiencies [1], there is no active, systemic intravascular clot formation and subsequent breakdown (fibrinolysis) as seen in DIC. Therefore, **D-dimer levels remain normal**. This is a crucial laboratory marker used to differentiate the coagulopathy of liver disease from Disseminated Intravascular Coagulation (DIC), where D-dimer is characteristically elevated [1]. ### **Analysis of Incorrect Options** * **B. Fibrinogen will be low:** Fibrinogen is an acute-phase reactant. In early or compensated cirrhosis, levels are often normal or even elevated. It only drops in end-stage liver failure. Given the normal Thrombin Time (15s/15s) in this patient, fibrinogen levels must be adequate. * **C. Antithrombin III will be high:** Antithrombin III is synthesized by the liver. In cirrhosis, its synthesis is **decreased**, not increased. * **D. Protein C will be elevated:** Protein C is a Vitamin K-dependent anticoagulant synthesized by the liver. In cirrhosis, its levels are **decreased** due to impaired synthetic capacity. ### **NEET-PG High-Yield Pearls** * **PT (Prothrombin Time)** is the most sensitive indicator of liver synthetic function because Factor VII has the shortest half-life (4–6 hours) [2]. * **Factor VIII** is the only coagulation factor **not** synthesized exclusively by hepatocytes (it is produced by sinusoidal endothelial cells); thus, Factor VIII levels are often **normal or elevated** in liver disease, helping distinguish it from DIC (where Factor VIII is consumed). * **Thrombin Time (TT)** measures the conversion of fibrinogen to fibrin. A normal TT (as seen in this question) indicates functional fibrinogen is present.
Explanation: In Acute Myeloid Leukemia (AML), prognosis is primarily determined by cytogenetic abnormalities, molecular markers, and patient-related factors [1]. **1. Why t(8;21) is the Correct Answer:** Translocation **t(8;21)**, which involves the *RUNX1-RUNX1T1* gene fusion, is classified as a **favorable-risk** cytogenetic abnormality [1]. It belongs to the group of "Core Binding Factor" (CBF) leukemias. Patients with this translocation generally have high rates of complete remission and better overall survival compared to other AML subtypes [1]. Therefore, it is a **good** prognostic factor, not a poor one. **2. Explanation of Incorrect Options (Poor Prognostic Factors):** * **Age > 60 years:** Advanced age is a significant poor prognostic factor due to a higher frequency of unfavorable cytogenetics, decreased tolerance to intensive chemotherapy, and increased comorbidities [1]. * **Secondary Leukemias:** AML arising from a prior myelodysplastic syndrome (MDS), myeloproliferative neoplasm, or following exposure to chemotherapy/radiation (therapy-related AML) carries a much worse prognosis and often shows multi-drug resistance. * **Hyperleukocytosis (>1,00,000/µL):** A very high white cell count at presentation increases the risk of tumor lysis syndrome and leukostasis (causing respiratory or neurological distress), correlating with early mortality and lower remission rates. **Clinical Pearls for NEET-PG:** * **Favorable Prognosis:** t(8;21), inv(16), t(15;17) [APML], and isolated *NPM1* or *CEBPA* mutations [1]. * **Poor Prognosis:** Monosomy 5 or 7, del(5q), *FLT3-ITD* mutation, and complex karyotypes (≥3 abnormalities) [1]. * **Treatment Note:** While t(8;21) is favorable, the presence of a concurrent **c-KIT mutation** in these patients can worsen the prognosis.
Explanation: **Explanation:** **Thrombotic Thrombocytopenic Purpura (TTP)** is the correct answer because its primary pathophysiology involves a deficiency of **ADAMTS13**, a metalloproteinase enzyme. Under normal conditions, ADAMTS13 cleaves large **von Willebrand Factor (vWF) multimers** into smaller, less active fragments. In TTP, a deficiency of this enzyme (either congenital or, more commonly, acquired via autoantibodies) leads to the persistence of "Ultra-Large" vWF multimers. These multimers cause spontaneous platelet aggregation and microthrombi formation, resulting in microangiopathic hemolytic anemia (MAHA) and consumptive thrombocytopenia [1]. **Why other options are incorrect:** * **Essential Thrombocythemia (ET):** A myeloproliferative neoplasm characterized by autonomous overproduction of platelets, usually associated with mutations in *JAK2*, *CALR*, or *MPL* genes. * **Idiopathic Thrombocytopenic Purpura (ITP):** An immune-mediated destruction of platelets by anti-GP IIb/IIIa antibodies [1]. It does not involve the vWF-cleaving protease. * **Chronic Lymphocytic Leukemia (CLL):** A B-cell neoplasm characterized by the accumulation of mature monoclonal B-lymphocytes; it is not related to ADAMTS13 [1]. **High-Yield Clinical Pearls for NEET-PG:** * **The Classic Pentad of TTP:** (Mnemonic: **FAT RN**) **F**ever, **A**nemia (MAHA), **T**hrombocytopenia, **R**enal failure, and **N**eurological symptoms. * **Diagnosis:** Schistocytes (fragmented RBCs) on peripheral smear and decreased ADAMTS13 activity (<10%). * **Treatment:** **Plasmapheresis (Plasma Exchange)** is the gold standard as it removes antibodies and replenishes the ADAMTS13 enzyme. [1] Brian Walker. Davidson's Principles and Practice of Medicine. 22E ed. Coagulation factor deficiency, pp. 1028-1029.
Explanation: In Multiple Myeloma (MM), the characteristic bone lesions are **purely lytic** in nature [1]. These are caused by the activation of osteoclasts (via RANK ligand) and the inhibition of osteoblasts. Because there is no significant osteoblastic (bone-forming) activity, the serum **Alkaline Phosphatase (ALP) levels remain normal**. This is a classic diagnostic differentiator from other bone pathologies like Paget’s disease or osteoblastic bony metastases (e.g., prostate cancer), where ALP is typically elevated. **Explanation of Options:** * **Hypercalcemia (A):** This is a hallmark of MM (part of the **CRAB** criteria). Increased osteoclast activity leads to massive bone resorption, releasing calcium into the bloodstream. * **Anemia (B):** This is the most common hematological finding in MM [1]. It occurs due to the replacement of normal bone marrow by malignant plasma cells (marrow infiltration) and the suppressive effects of inflammatory cytokines. * **Hyperviscosity (C):** The excessive production of monoclonal immunoglobulins (M-protein) increases blood viscosity [1]. While more common in Waldenström Macroglobulinemia, it occurs in about 5-10% of MM cases, especially with high IgA or IgG levels. **Clinical Pearls for NEET-PG:** * **CRAB Criteria:** **C**alcium (elevated), **R**enal failure, **A**nemia, **B**one lesions (lytic) [1]. * **Skull X-ray:** Shows classic "punched-out" lytic lesions. * **Bone Scan:** Often **negative** in MM because technetium-99m requires osteoblastic activity to show "hot spots." * **Urine:** Bence-Jones proteins (free light chains) are detected by sulfosalicylic acid test, not by standard dipstick.
Explanation: **Explanation:** **Correct Option (D):** Acute Lymphoblastic Leukemia (ALL) follows a bimodal age distribution, peaking in early childhood (2–5 years). However, infants (less than 1 year of age) have a significantly **poorer prognosis**. This is primarily due to a higher incidence of high-risk cytogenetic abnormalities, most notably the **t(4;11) translocation** involving the **KMT2A (MLL) gene**, which is associated with chemoresistance and early CNS involvement [1]. **Analysis of Incorrect Options:** * **Option A & B:** While Chronic Lymphocytic Leukemia (CLL) and Hairy Cell Leukemia (HCL) are indeed diseases of the elderly, the median age at diagnosis for both is typically **older than 60–70 years**. While "older than 50" is technically true, in the context of NEET-PG questions, Option D represents a definitive, high-yield prognostic fact that takes precedence. * **Option C:** Chronic Myeloid Leukemia (CML) most commonly occurs in the **4th to 6th decades** (median age 45–55 years). The range of 50–70 years is more characteristic of CLL. **Clinical Pearls for NEET-PG:** * **ALL Prognosis:** Best prognosis is seen in children aged **2–10 years** with hyperdiploidy or t(12;21). Poor prognosis is associated with age <1 or >10, WBC >50,000/µL, and t(9;22) Philadelphia chromosome [1]. * **CLL:** Most common leukemia in the Western world; characterized by "Smudge cells" on peripheral smear. * **Hairy Cell Leukemia:** Associated with **BRAF V600E** mutation and presents with massive splenomegaly and "dry tap" on bone marrow aspiration. * **CML:** Characterized by the **Philadelphia chromosome t(9;22)** and low Leukocyte Alkaline Phosphatase (LAP) score [1].
Explanation: ***Glucose-6-phosphate dehydrogenase deficiency*** - Classic presentation of **G6PD deficiency** triggered by an **oxidant drug** (primaquine) in a high-risk population (African male). - Peripheral blood smear shows characteristic **bite cells** (degmacytes), **blister cells**, and **Heinz bodies** indicating oxidative damage to red blood cells. *Hereditary spherocytosis* - Presents with **spherocytes** on blood smear and is associated with **osmotic fragility**, not drug-induced hemolysis. - Usually has a **positive family history** and **splenomegaly**, lacking the acute oxidant trigger seen here. *Paroxysmal nocturnal hemoglobinuria* - Characterized by **complement-mediated hemolysis** that typically occurs at night or during sleep. - Blood smear shows **normocytic anemia** without the specific oxidative damage morphology seen in G6PD deficiency. *Microangiopathic hemolytic anemia* - Blood smear shows **schistocytes** (fragmented red blood cells) due to mechanical damage in small vessels. - Associated with conditions like **thrombotic thrombocytopenic purpura** or **hemolytic uremic syndrome**, not drug-induced oxidative stress.
Explanation: **Explanation:** **Richter Transformation (RT)** refers to the sudden clinical deterioration of a patient with Chronic Lymphocytic Leukemia (CLL) or Small Lymphocytic Lymphoma (SLL) into a more aggressive, high-grade non-Hodgkin lymphoma. [1] 1. **Why Option A is Correct:** In approximately **90–95% of cases**, Richter transformation manifests as **Diffuse Large B-cell Lymphoma (DLBCL)**. [1] It is characterized by a rapid increase in lymph node size, worsening systemic (B) symptoms, and a sharp rise in Serum LDH. Pathologically, it involves the transformation of small, mature B-cells into large, malignant lymphoid blasts. 2. **Why Other Options are Incorrect:** * **Anaplastic Large Cell Lymphoma (B):** This is a T-cell lymphoma characterized by CD30 expression and the t(2;5) translocation. CLL is a B-cell malignancy and does not transform into T-cell lineages. * **Burkitt Lymphoma (C):** This is an aggressive B-cell lymphoma associated with c-MYC translocation [t(8;14)]. While aggressive, it is not the standard pathway for CLL transformation. * **Multiple Myeloma (D):** This is a plasma cell dyscrasia. While both CLL and Myeloma involve B-cell lineages, one does not typically "transform" into the other in the context of Richter’s. **High-Yield Clinical Pearls for NEET-PG:** * **Clinical Trigger:** Suspect RT if a stable CLL patient develops localized lymphadenopathy, fever, weight loss, and **elevated LDH**. * **Diagnosis:** PET-CT is useful to identify the most metabolic node (highest SUV), but **Excisional Biopsy** is the gold standard. * **Prognosis:** RT carries a poor prognosis with a median survival of less than 1 year. * **Genetic Association:** Often associated with mutations in **TP53** and **NOTCH1**.
Explanation: Explanation: In Immune Thrombocytopenic Purpura (ITP), the pathophysiology involves the production of IgG autoantibodies against platelet glycoproteins (like GpIIb/IIIa) [1]. These antibody-coated platelets are primarily sequestered and destroyed by splenic macrophages [1]. **Why Option D is correct:** Corticosteroids are the first-line treatment for ITP. They work by decreasing antibody production and, more importantly, by reducing the clearance of opsonized platelets by splenic macrophages. A positive response to steroids (increase in platelet count) serves as a **functional "stress test"** for the spleen's role in the disease. It indicates that the primary mechanism of thrombocytopenia in that specific patient is splenic sequestration. Therefore, if steroids work but cannot be tapered, a splenectomy (surgical removal of the site of destruction) is highly likely to result in a sustained remission [1]. **Why other options are incorrect:** * **Option A:** In ITP, the spleen is typically **not enlarged**. If significant splenomegaly is present, clinicians should investigate other causes like portal hypertension or lymphoma. * **Option B:** A high reticulocyte count indicates bone marrow compensation for anemia (e.g., hemolysis or bleeding) but does not predict the success of a splenectomy. * **Option C:** ITP in children is usually acute and self-limiting, often following a viral infection. Splenectomy is generally avoided in children under five due to the high risk of Overwhelming Post-Splenectomy Infection (OPSI). **NEET-PG High-Yield Pearls:** * **First-line treatment:** Corticosteroids (Prednisolone or Dexamethasone). * **Second-line/Refractory:** Splenectomy, Rituximab, or TPO-receptor agonists (Eltrombopag) [1]. * **Pre-splenectomy:** Patients must receive vaccinations against encapsulated organisms (*S. pneumoniae, H. influenzae, N. meningitidis*) at least 2 weeks prior to surgery. * **Peripheral Smear:** Shows "Giant Platelets" (megathrombocytes) reflecting increased marrow turnover.
Explanation: ### Explanation **Correct Answer: C. Sickle cell anemia** **Mechanism of Autosplenectomy:** In Sickle Cell Anemia (SCA), the primary pathology involves the polymerization of deoxygenated Hemoglobin S (HbS), causing RBCs to assume a sickle shape [2]. These rigid cells become trapped in the narrow splenic sinusoids, leading to **vaso-occlusion**. Repeated episodes of micro-infarction over time result in progressive fibrosis, scarring, and shrinkage of the organ. By late childhood (usually by age 5–8), the spleen becomes a small, shrunken, calcified fibrous remnant—a process termed **autosplenectomy** [1]. **Analysis of Incorrect Options:** * **A. Hereditary Spherocytosis:** Characterized by **splenomegaly** (enlargement), as the spleen actively traps and destroys spherical RBCs. Splenectomy is often the treatment, not a natural consequence of the disease. * **B. G6PD Deficiency:** This condition typically presents with episodic hemolysis triggered by oxidative stress. It does not cause chronic splenic infarction or autosplenectomy. * **C. Thalassemia Major:** These patients exhibit massive **splenomegaly** due to extramedullary hematopoiesis and the sequestration of abnormal RBCs [3]. **High-Yield Clinical Pearls for NEET-PG:** 1. **Howell-Jolly Bodies:** The presence of these nuclear remnants in a peripheral smear is a classic sign of functional asplenia/autosplenectomy. 2. **Infection Risk:** Autosplenectomy increases susceptibility to **encapsulated organisms** (*Streptococcus pneumoniae*, *Haemophilus influenzae*, and *Neisseria meningitidis*). 3. **Radiology:** On X-ray or CT, the spleen may appear as a small, radiopaque, calcified mass in the left upper quadrant. 4. **Exceptions:** In **Sickle Cell Trait (HbAS)**, autosplenectomy does not occur. In **HbSC disease**, splenomegaly may persist into adulthood.
Anemia Evaluation and Management
Practice Questions
Hemoglobinopathies
Practice Questions
Thalassemias
Practice Questions
Platelet Disorders
Practice Questions
Coagulation Disorders
Practice Questions
Thrombotic Disorders
Practice Questions
Leukemias
Practice Questions
Lymphomas
Practice Questions
Multiple Myeloma and Plasma Cell Disorders
Practice Questions
Myeloproliferative Neoplasms
Practice Questions
Transfusion Medicine
Practice Questions
Hematopoietic Stem Cell Transplantation
Practice Questions
Get full access to all questions, explanations, and performance tracking.
Start For Free