Which vaccine can be given to an individual with chronic diabetes mellitus?
Which of the following statements regarding Wolfram syndrome is FALSE?
What is used for long-term glycemic control in Diabetes Mellitus?
Hypothyroidism is seen in which of the following conditions?
Tetany may be a feature of the following conditions except?
If both parents have type 2 diabetes, what is the approximate risk of inheritance for their offspring?
A 33-year-old woman presents with gradually increasing coarse hair on her upper lip, chin, and lower abdomen for the past 3 years. She has mild facial acne but denies frontal balding or deepening of voice. Her menses are irregular, occurring every 28 to 60 days. Her BMI is 29.0 and her waist circumference is 36 inches. There is mild acanthosis nigricans of the axillae. Pelvic examination is normal without ovarian mass or clitoromegaly. What evaluation is indicated for her hirsutism?
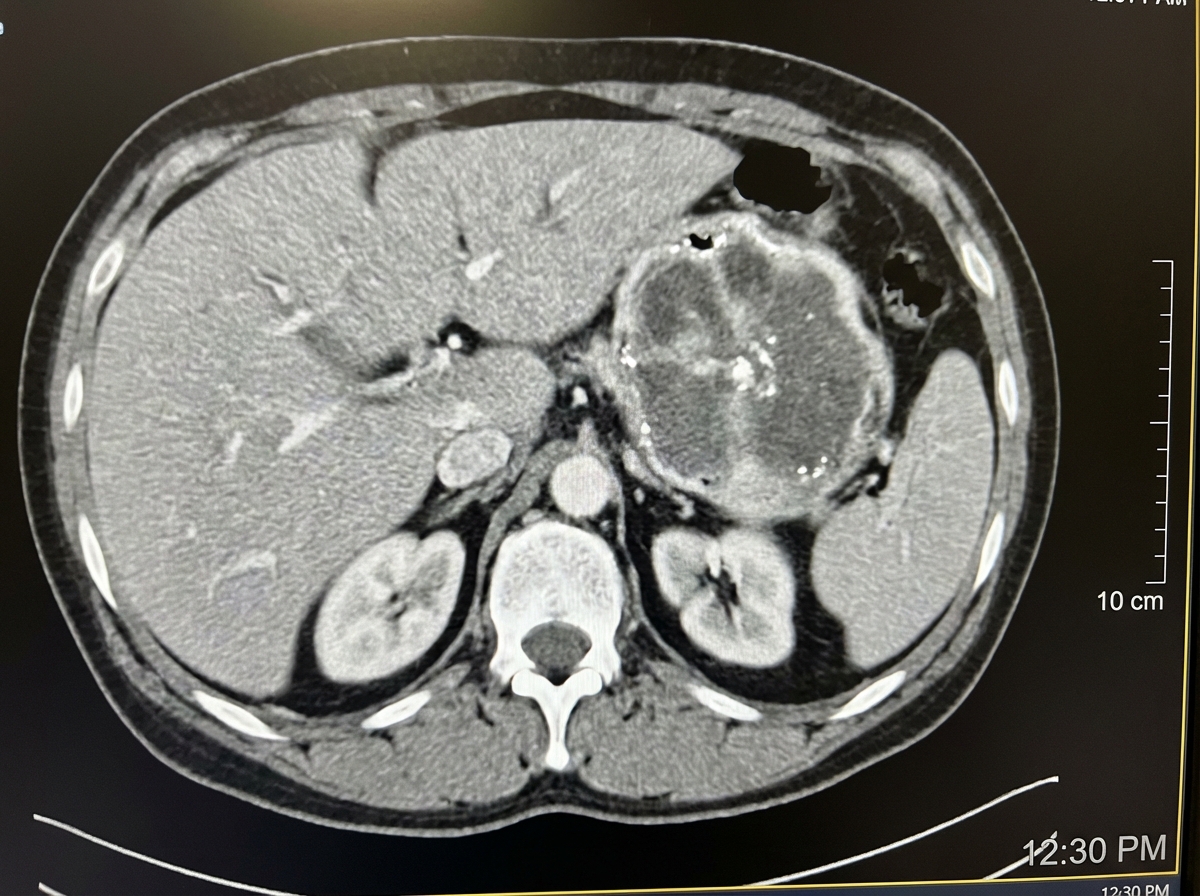
A 40-year-old patient presents with episodic hypertension, severe headache, diaphoresis, and palpitations. The CT scan of the abdomen is shown in the image. What is the most likely diagnosis?

Hypoglycemia is associated with all of the following conditions, EXCEPT:
A 35-year-old man has fasting and postprandial blood sugar within normal limits, but urine sugar is 3 plus (+++). What is the diagnosis?
Explanation: Explanation: Patients with Diabetes Mellitus (DM) are considered immunocompromised due to impaired neutrophil function and humoral immunity, making them highly susceptible to vaccine-preventable infections [1]. **Why Option A is Correct:** Current clinical guidelines (ADA and ACIP) strongly recommend the following for diabetic patients: 1. **Influenza Vaccine:** Administered **annually** to all diabetic patients (≥6 months of age) to prevent severe respiratory complications. 2. **Pneumococcal Vaccine:** Diabetic adults (19–64 years) should receive PPSV23 [2]. At age ≥65, additional doses (PCV15/20) are indicated. 3. **Meningococcal Vaccine:** While not specific only to diabetes, it is part of the "recommended intervals" for adults in high-risk settings or as per age-appropriate schedules. **Analysis of Incorrect Options:** * **Option B & D:** Hepatitis B vaccine is indeed recommended for diabetic adults (age 19–59), but it is **not given annually**. It is a 2 or 3-dose series providing long-term immunity. * **Option C:** While Tetanus (Tdap/Td) is part of routine adult maintenance (every 10 years), the inclusion of the **annual Influenza vaccine** alongside **Pneumococcal** and **Meningococcal** coverage makes Option A the most comprehensive choice regarding the specific increased risks associated with DM. **High-Yield Clinical Pearls for NEET-PG:** * **Hepatitis B:** Should be administered as soon as possible after a DM diagnosis (ideally before age 60) due to the risk of transmission via blood glucose monitoring equipment. * **Pneumococcal:** DM is a "chronic medical condition" requiring PPSV23 before age 65 [2]. * **COVID-19:** Diabetic patients are a priority group for primary series and boosters. * **Zoster:** Recombinant Zoster vaccine is recommended for diabetic patients ≥50 years.
Explanation: Wolfram syndrome is a rare autosomal recessive neurodegenerative disorder caused by mutations in the **WFS1 gene** (encoding the protein Wolframin). It is classically defined by the mnemonic **DIDMOAD**, which helps identify its core clinical features. ### Why "Retrobulbar Neuritis" is the Correct Answer (False Statement) Wolfram syndrome is characterized by **Optic Atrophy**, which is a progressive, irreversible degeneration of the optic nerve leading to loss of visual acuity and color vision. In contrast, **Retrobulbar neuritis** is an acute inflammatory process (often associated with Multiple Sclerosis) that presents with sudden vision loss and pain on eye movement. While both affect the optic nerve, the underlying pathology in Wolfram syndrome is genetic neurodegeneration, not primary inflammation. ### Analysis of Incorrect Options (True Statements) * **A. Diabetes Mellitus:** This is typically the first manifestation, usually presenting in the first decade of life. Unlike Type 1 DM, it is non-autoimmune. * **B. Optic Atrophy:** A hallmark feature (the "OA" in DIDMOAD), usually occurring by age 11. It leads to bilateral blindness [1]. * **D. Sensorineural Deafness:** Present in approximately 65% of patients (the "D" in DIDMOAD), it typically affects high-frequency sounds [1]. ### High-Yield Clinical Pearls for NEET-PG * **DIDMOAD Mnemonic:** **D**iabetes **I**nsipidus, **D**iabetes **M**ellitus, **O**ptic **A**trophy, and **D**eafness. * **Diabetes Insipidus:** Specifically **Central Diabetes Insipidus**, occurring in about 70% of cases. * **Urological Findings:** Patients often develop a neurogenic bladder and hydroureter. * **Inheritance:** Autosomal Recessive (Chromosome 4p). * **Prognosis:** It is a progressive disease; the median age of death is usually in the 30s, often due to respiratory failure caused by brainstem atrophy.
Explanation: ### Explanation **Correct Answer: B. Glycated hemoglobin (HbA1c)** **Why it is correct:** Glycated hemoglobin (HbA1c) is formed when glucose binds non-enzymatically to the hemoglobin molecule within red blood cells (RBCs) [2]. Because RBCs have an average lifespan of approximately **120 days**, the HbA1c level reflects the average blood glucose concentration over the preceding **2–3 months** [3]. This makes it the "gold standard" for monitoring long-term glycemic control and assessing the risk of chronic diabetic complications [4]. **Why the other options are incorrect:** * **A. Total protein:** While albumin can be glycated (forming Fructosamine), total protein is not a specific or standard measure for glycemic monitoring. * **C. Total hemoglobin:** This measures the oxygen-carrying capacity of the blood and is used to diagnose anemia, not to monitor glucose levels [2]. * **D. Glucose tolerance test (GTT):** This is a diagnostic tool used to identify Gestational Diabetes or Impaired Glucose Tolerance. It reflects glucose handling at a single point in time, not long-term control [1]. **High-Yield Clinical Pearls for NEET-PG:** * **The 1% Rule:** For every 1% change in HbA1c, the mean plasma glucose changes by approximately **30–35 mg/dL** [4]. * **Fructosamine Test:** Reflects glycemic control over the past **2–3 weeks**. It is useful in patients with hemoglobinopathies (e.g., Thalassemia, Sickle Cell) where HbA1c may be unreliable. * **False Low HbA1c:** Seen in conditions with decreased RBC lifespan (e.g., Hemolytic anemia, acute blood loss, or treatment with Erythropoietin). * **False High HbA1c:** Seen in conditions with increased RBC lifespan or altered glycation (e.g., Iron deficiency anemia, Vitamin B12 deficiency).
Explanation: **Explanation:** **Hashimoto’s Thyroiditis (Correct Answer):** Hashimoto’s thyroiditis (Chronic Autoimmune Thyroiditis) is the most common cause of hypothyroidism in iodine-sufficient regions. It is characterized by the autoimmune destruction of the thyroid gland mediated by T-cell-induced apoptosis and the presence of anti-thyroid peroxidase (anti-TPO) and anti-thyroglobulin (anti-Tg) antibodies. Histologically, it shows diffuse lymphocytic infiltration and the presence of **Hürthle cells** (Askanazy cells). **Why the other options are incorrect:** * **Graves’ Disease:** This is an autoimmune condition caused by Thyroid Stimulating Immunoglobulins (TSI) that bind to and activate the TSH receptor, leading to **hyperthyroidism**, not hypothyroidism [1]. * **Toxic Multinodular Goiter (Plummer Disease):** This involves autonomous hyperfunctioning nodules that secrete excess thyroid hormones (T3/T4) independent of TSH, resulting in **hyperthyroidism**. * **Struma Ovarii:** This is a rare specialized ovarian teratoma composed predominantly of thyroid tissue. If this ectopic tissue becomes overactive, it leads to **hyperthyroidism** (ectopic thyrotoxicosis) with low iodine uptake in the neck. **NEET-PG High-Yield Pearls:** * **Most common cause of goitrous hypothyroidism:** Hashimoto’s thyroiditis. * **Most common cause of hypothyroidism worldwide:** Iodine deficiency. * **Marker of choice:** Anti-TPO antibodies are present in >90% of Hashimoto’s patients. * **Associated Risk:** Patients with Hashimoto’s have an increased risk of developing **B-cell Non-Hodgkin Lymphoma** of the thyroid. * **Wolff-Chaikoff Effect:** A transient reduction in thyroid hormone levels following ingestion of a large amount of iodine, often seen in Hashimoto's patients.
Explanation: **Explanation:** Tetany is a state of increased neuromuscular excitability characterized by carpopedal spasms, paresthesia, and laryngospasm. It is primarily driven by a decrease in the concentration of **ionized calcium ($Ca^{2+}$)** in the extracellular fluid. **Why Hyponatremia is the Correct Answer:** Hyponatremia (low serum sodium) does not cause tetany. In fact, severe hyponatremia typically leads to CNS symptoms like cerebral edema, seizures, and coma, but it does not increase neuromuscular irritability in the peripheral nerves. Therefore, it is the "except" in this list. **Analysis of Other Options:** * **Hyperventilation:** This leads to respiratory alkalosis. Alkalosis promotes the binding of ionized calcium to albumin, reducing the physiologically active $Ca^{2+}$ fraction, thereby triggering tetany. * **Hypokalemic Alkalosis:** Metabolic alkalosis (often seen in Conn’s syndrome or vomiting) similarly reduces ionized calcium levels [1]. While hypokalemia itself usually causes muscle weakness, the concomitant **alkalosis** is a classic trigger for tetany [1]. * **Hypomagnesemia:** Magnesium is a co-factor for adenylate cyclase; its deficiency leads to impaired PTH secretion and end-organ resistance to PTH, resulting in secondary hypocalcemia and tetany. **NEET-PG High-Yield Pearls:** 1. **Trousseau’s Sign:** Induction of carpal spasm by inflating a BP cuff above systolic pressure for 3 minutes (more sensitive than Chvostek’s). 2. **Chvostek’s Sign:** Tapping the facial nerve leads to twitching of facial muscles. 3. **The Ionized Calcium Rule:** Total calcium may be normal in alkalosis, but tetany occurs because the **ionized (free) fraction** decreases. 4. **Refractory Hypocalcemia:** If hypocalcemia does not respond to calcium gluconate, always check and correct **Magnesium** levels first.
Explanation: Type 2 Diabetes Mellitus (T2DM) has a much stronger genetic component than Type 1 Diabetes. The inheritance pattern is polygenic and multifactorial, meaning multiple genes interact with environmental factors (obesity, sedentary lifestyle). [1] **Why 40% is correct:** Epidemiological studies and twin studies have established specific risk profiles for offspring based on parental history: * **One parent affected:** The risk of developing T2DM is approximately **40%**. * **Both parents affected:** The risk increases significantly, approaching **70%**. *Note on the Question:* In many standard medical textbooks (like Harrison’s Principles of Internal Medicine), the lifetime risk for an offspring with **one** affected parent is cited as 40%. However, in the context of competitive exams like NEET-PG, if 40% is marked as the correct answer for
Explanation: ### Explanation **1. Why Option B is Correct:** The patient presents with signs of hyperandrogenism (hirsutism, acne) and ovulatory dysfunction (irregular menses), which are hallmarks of **Polycystic Ovary Syndrome (PCOS)**. In any woman presenting with hirsutism, the initial step is to biochemically confirm hyperandrogenemia and rule out androgen-secreting tumors. [1] * **Serum Total Testosterone:** Screens for ovarian sources of androgens. According to clinical standards, serum testosterone levels > 5 nmol/L (> 144 ng/dL) are considered high and require further investigation for potential tumors. [1] * **DHEA-S:** Specifically screens for adrenal sources of androgens. Levels of testosterone >200 ng/dL or DHEA-S >700 µg/dL would raise suspicion for a malignancy rather than PCOS. **2. Why Other Options are Incorrect:** * **Option A (GTT):** While PCOS is associated with insulin resistance (suggested here by acanthosis nigricans and BMI), a GTT is used to screen for metabolic complications, not to diagnose the underlying cause of hirsutism. * **Option C (Dexamethasone Suppression Test):** This is the screening test for Cushing’s syndrome. While Cushing's can cause hirsutism, this patient lacks specific features like proximal muscle weakness, striae, or easy bruising. * **Option D (CT Adrenals):** Imaging is never the first step. It is only indicated if biochemical testing (Option B) shows markedly elevated androgens suggesting an adrenal tumor. [1] **3. NEET-PG High-Yield Pearls:** * **Ferriman-Gallwey Score:** Used clinically to quantify hirsutism (Score ≥8 is significant in most populations). * **Rotterdam Criteria for PCOS:** Requires 2 out of 3: (1) Clinical/biochemical hyperandrogenism, (2) Oligo/anovulation, (3) Polycystic ovaries on ultrasound. [1] * **Rapid Onset:** If hirsutism develops rapidly (<1 year) or is accompanied by virilization (clitoromegaly, voice deepening), always prioritize ruling out an **androgen-secreting tumor**. * **17-OH Progesterone:** Should be checked if Non-Classic Congenital Adrenal Hyperplasia (NCCAH) is suspected.
Explanation: ***Pheochromocytoma*** - The classic triad of **episodic hypertension**, **severe headache**, **diaphoresis**, and **palpitations** strongly suggests **catecholamine excess** from a pheochromocytoma. - CT imaging typically shows an **adrenal mass** with **heterogeneous enhancement** and possible **central necrosis**, confirmed by elevated **24-hour urine metanephrines** or **plasma metanephrines**. *Coarctation of the aorta* - Presents with **continuous hypertension** and **blood pressure differential** between upper and lower extremities, not episodic symptoms. - Associated with **rib notching** on chest X-ray and **weak femoral pulses**, which are absent in this case. *Primary hyperaldosteronism* - Causes **sustained hypertension** with **hypokalemia** and **metabolic alkalosis**, not episodic catecholamine symptoms. - Presents with **muscle weakness** and **polyuria** due to **aldosterone excess**, lacking the classic triad described. *Renal artery stenosis* - Results in **renovascular hypertension** with **renal bruit** and possible **flash pulmonary edema**, not episodic symptoms. - Associated with **atherosclerotic disease** or **fibromuscular dysplasia**, typically showing **kidney size asymmetry** on imaging.
Explanation: ### Explanation The correct answer is **Small Cell Carcinoma (SCC) of the lung**. **1. Why Small Cell Carcinoma is the correct answer:** Small cell carcinoma of the lung is a neuroendocrine tumor famously associated with various paraneoplastic syndromes, most notably **SIADH** (excessive ADH) and **Cushing’s Syndrome** (ectopic ACTH) [1]. However, it is **not** typically associated with hypoglycemia. In contrast, hypoglycemia in malignancy is usually mediated by the secretion of **"Big-IGF-II"** (incomplete insulin-like growth factor II), a phenomenon known as **Doege-Potter Syndrome**. **2. Analysis of Incorrect Options (Conditions associated with hypoglycemia):** * **Fibroma & Soft Tissue Sarcoma (Options A & B):** These are mesenchymal tumors. Large mesenchymal tumors (like solitary fibrous tumors or hemangiopericytomas) are the most common cause of **Non-Islet Cell Tumor Hypoglycemia (NICTH)**. They secrete "Big-IGF-II," which binds to insulin receptors and increases glucose utilization while inhibiting hepatic glucose production. * **Hepatocellular Carcinoma (Option D):** HCC can cause hypoglycemia via two mechanisms: rapidly growing tumors may outpace the liver's glycogen stores/gluconeogenic capacity (Type B), or the tumor may secrete IGF-II (Type A) [1]. **3. NEET-PG Clinical Pearls:** * **Doege-Potter Syndrome:** Hypoglycemia specifically associated with solitary fibrous tumors (mesenchymal). * **NICTH vs. Insulinoma:** In NICTH, both **Insulin and C-peptide levels are suppressed**, whereas, in Insulinoma, both are elevated [2]. * **IGF-II Mechanism:** "Big-IGF-II" is the hallmark of paraneoplastic hypoglycemia in non-islet cell tumors. * **SCC Lung Associations:** Remember the "3 S's": **S**IADH, **S**ubacute cerebellar degeneration, and ACTH (**S**teroids/Cushing's). It also causes Lambert-Eaton Syndrome [1].
Explanation: The clinical scenario describes **Renal Glycosuria**, a condition characterized by the excretion of glucose in the urine despite having normal blood glucose levels (euglycemia). **1. Why Renal Glycosuria is Correct:** Under normal physiological conditions, the kidney filters glucose at the glomerulus, and nearly 100% is reabsorbed in the proximal convoluted tubule (PCT) via **SGLT2 transporters** [1]. The "Renal Threshold" for glucose is typically **180 mg/dL** [1]. In renal glycosuria, there is a functional defect in these transporters or a reduced threshold, causing glucose to "leak" into the urine even when blood sugar levels are well within the normal range (Fasting <100 mg/dL; Postprandial <140 mg/dL). This deviation between the predicted and actual renal threshold is referred to as "splay" [1]. **2. Why Other Options are Incorrect:** * **Pancreatic Insufficiency:** This would lead to a deficiency in insulin secretion, resulting in **elevated** blood sugar levels (Diabetes Mellitus) alongside glycosuria [2]. * **Alimentary Glycosuria:** This occurs when rapid intestinal absorption of glucose causes a transient spike in blood sugar that exceeds the renal threshold (often seen after gastric surgery). Here, the postprandial blood sugar would be abnormally high, unlike in this patient. * **High Carbohydrate Diet:** In a healthy individual, the pancreas compensates for high carb intake by secreting insulin. Glycosuria would only occur if the blood glucose exceeded 180 mg/dL. **Clinical Pearls for NEET-PG:** * **Benign Nature:** Isolated renal glycosuria is usually an asymptomatic, benign condition (often autosomal dominant). * **Fanconi Syndrome:** If glycosuria is associated with phosphaturia, aminoaciduria, and uricosuria, suspect a generalized PCT defect (Fanconi Syndrome). * **Pregnancy:** A physiological decrease in the renal threshold for glucose is common during pregnancy, leading to glycosuria despite normal BSL. * **SGLT2 Inhibitors:** Drugs like Dapagliflozin intentionally induce "pharmacological renal glycosuria" to treat Diabetes.
Diabetes Mellitus
Practice Questions
Thyroid Disorders
Practice Questions
Adrenal Gland Disorders
Practice Questions
Pituitary Disorders
Practice Questions
Calcium and Bone Metabolism
Practice Questions
Reproductive Endocrinology
Practice Questions
Lipid Disorders
Practice Questions
Endocrine Hypertension
Practice Questions
Multiple Endocrine Neoplasia
Practice Questions
Obesity and Metabolic Syndrome
Practice Questions
Neuroendocrine Tumors
Practice Questions
Endocrine Emergencies
Practice Questions
Get full access to all questions, explanations, and performance tracking.
Start For Free