Activation of the renin stimulates which of the following?
What is the most common symptom of thyrotoxicosis?
Hypercalcemia would not be expected to occur as a result of which of the following conditions?
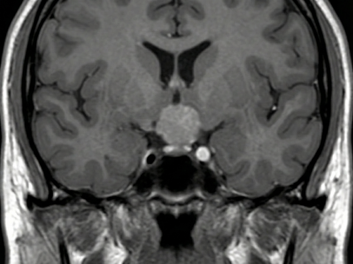
A 34-year-old man presents with a chief complaint of blurring of vision in both eyes and headache for the past six months, accompanied by decreased libido. Examination reveals bitemporal hemianopia. An MRI was performed. What is the most likely diagnosis?

Which of the following conditions can cause hypoglycemia, except?
The syndrome of inappropriate antidiuretic hormone (SIADH) is characterized by which of the following findings?
Grave's disease is characterized by:
Secondary hyperparathyroidism is seen in all of the following conditions EXCEPT:
What is characteristic of primary hyperaldosteronism?
What is the most likely underlying diagnosis in this 82-year-old patient with diabetes mellitus who had undergone a total hip replacement 10 years previously?

Explanation: **Explanation:** The correct answer is **Sodium retention**. This question tests your understanding of the **Renin-Angiotensin-Aldosterone System (RAAS)**, a critical homeostatic mechanism for regulating blood pressure and fluid balance [1]. **Why Sodium Retention is Correct:** When renin is released (usually due to decreased renal perfusion or low sodium delivery to the macula densa), it converts Angiotensinogen to Angiotensin I. This is further converted to Angiotensin II by ACE. Angiotensin II stimulates the **adrenal cortex (zona glomerulosa)** to secrete **Aldosterone** [1]. Aldosterone acts on the principal cells of the distal convoluted tubule and collecting duct to increase the reabsorption of **Sodium (Na+)** and water [2], while promoting the secretion of Potassium (K+) and Hydrogen ions (H+). **Analysis of Incorrect Options:** * **A. Water excretion:** Activation of RAAS leads to water **retention**, not excretion [1]. This occurs both directly (via sodium-linked water reabsorption) and indirectly (Angiotensin II stimulates ADH release) [3]. * **B. Potassium retention:** Aldosterone causes potassium **excretion** (kaliuresis) into the urine. Therefore, RAAS activation typically leads to hypokalemia, not retention. * **D. Magnesium excretion:** While aldosterone can have minor effects on various electrolytes, its primary and most significant physiological action is on sodium and potassium. Magnesium excretion is not the primary stimulation target of the renin pathway. **High-Yield Clinical Pearls for NEET-PG:** * **Conn’s Syndrome (Primary Hyperaldosteronism):** Characterized by the triad of Hypertension, Hypokalemia, and Metabolic Alkalosis. * **Spironolactone/Eplerenone:** These are aldosterone antagonists (potassium-sparing diuretics) used to counteract the effects of RAAS in heart failure and cirrhosis. * **Renin Stimuli:** Remember the "3 Decreases"—Decreased BP, Decreased Na+ delivery to distal tubule, and Decreased ECF volume [4].
Explanation: Thyrotoxicosis is a clinical state resulting from inappropriate high levels of circulating thyroid hormones ($T_3$ and $T_4$). These hormones act as primary metabolic stimulants, increasing the basal metabolic rate and enhancing sympathetic nervous system sensitivity [1]. **Why Hyperactivity and Irritability is Correct:** According to standard textbooks (Harrison’s Principles of Internal Medicine), **hyperactivity, irritability, and emotional lability** are the most frequently reported symptoms in patients with thyrotoxicosis (occurring in ~80-90% of cases). The excess thyroid hormone exerts a profound effect on the central nervous system, leading to a state of "psychic drive," restlessness, and anxiety. While many symptoms overlap, neuropsychiatric manifestations typically top the list in frequency [1]. **Analysis of Incorrect Options:** * **Palpitations:** While a very common **sign** (tachycardia) and a frequent symptom, it statistically occurs slightly less often than general hyperactivity and nervousness. * **Fatigue and Weakness:** These are common but often occur later in the disease course due to muscle wasting (thyrotoxic myopathy) or sleep deprivation caused by the hypermetabolic state. * **Diarrhea:** This is a common misconception. Thyrotoxicosis typically causes **increased frequency of bowel movements** (hyperdefecation) rather than true osmotic or secretory diarrhea [1]. **Clinical Pearls for NEET-PG:** * **Most common sign:** Tachycardia (at rest and during sleep) and Goiter (in Graves' disease) [1, 2]. * **Elderly Presentation:** In older patients, thyrotoxicosis may present as "Apathetic Hyperthyroidism," where instead of hyperactivity, the patient shows depression, lethargy, and atrial fibrillation [2]. * **Eye Signs:** Exophthalmos and pretibial myxedema are specific to **Graves' Disease**, not thyrotoxicosis of other etiologies (like thyroiditis) [1]. * **Tremor:** The characteristic tremor in thyrotoxicosis is high-frequency and fine, best elicited by placing a piece of paper on the outstretched hands [1].
Explanation: **Explanation:** The correct answer is **Hypothyroidism**. In fact, **Hyperthyroidism** (not hypothyroidism) is a known cause of hypercalcemia due to increased bone turnover stimulated by high levels of thyroid hormones (T3/T4) [1]. Hypothyroidism is generally associated with normal calcium levels or, occasionally, a decrease in bone remodeling. **Analysis of Options:** * **A. Lung Carcinoma:** This is a classic cause of hypercalcemia of malignancy [1]. Squamous cell carcinoma of the lung frequently produces **PTH-related peptide (PTHrP)**, which mimics PTH action. Additionally, small cell lung cancer can cause bone metastasis leading to osteolytic hypercalcemia. * **B. Sarcoidosis:** This granulomatous disease involves macrophages that express **1-alpha-hydroxylase**. This enzyme converts 25-hydroxyvitamin D into its active form, **1,25-dihydroxyvitamin D (Calcitriol)**, leading to increased intestinal calcium absorption and hypercalcemia [1]. * **D. Thiazide Drugs:** Thiazides increase calcium reabsorption in the distal convoluted tubule of the kidney [1]. While they rarely cause severe hypercalcemia in healthy individuals, they can unmask underlying primary hyperparathyroidism or cause mild elevations in serum calcium. **High-Yield NEET-PG Pearls:** * **Mnemonic for Hypercalcemia:** "Stones (renal), Bones (pain), Groans (abdominal pain/constipation), and Psychic Moans (confusion)." [1] * **Thiazides vs. Loop Diuretics:** Thiazides *increase* serum calcium ("Thiazides **T**ake" calcium back into the blood), whereas Loop diuretics *decrease* it ("Loops **L**ose" calcium in urine). * **Vitamin D in Granulomas:** Besides Sarcoidosis, Tuberculosis and Leprosy can also cause hypercalcemia via the same 1-alpha-hydroxylase mechanism [1].
Explanation: ***Pituitary macroadenoma*** - **Bitemporal hemianopia** indicates compression of the **optic chiasm** by a mass >10mm, which is characteristic of macroadenomas causing **mass effect**. - The combination of **headache**, **decreased libido** (hypogonadism), and **visual field defects** forms the classic triad of pituitary macroadenoma. *Pituitary microadenoma* - **Microadenomas** are <10mm in size and typically do **not cause compression** of surrounding structures like the optic chiasm. - They usually present with **hormonal excess** (prolactinomas, growth hormone excess) rather than **mass effect symptoms** like bitemporal hemianopia. *Meningioma* - **Meningiomas** arise from the **arachnoid mater** and would cause different visual field defects depending on location, not specifically bitemporal hemianopia. - They typically present with **seizures**, **focal neurological deficits**, or **personality changes** rather than endocrine dysfunction like decreased libido. *Hemangioma* - **Hemangiomas** are **vascular malformations** that rarely occur in the sellar region and would not typically cause optic chiasm compression. - They usually present with **hemorrhage** or **seizures** rather than the gradual onset of **visual field defects** and **endocrine symptoms**.
Explanation: Explanation: The correct answer is **D. Multiple endocrine neoplasia (MEN) syndrome, type II.** **Why MEN II is the correct answer:** MEN II (Sipple Syndrome) is characterized by Medullary Thyroid Carcinoma (MTC), Pheochromocytoma, and Hyperparathyroidism (MEN IIA) or Mucosal Neuromas/Marfanoid habitus (MEN IIB). None of these components cause hypoglycemia. In contrast, **MEN I (Wermer Syndrome)** is associated with pancreatic islet cell tumors, specifically **Insulinomas**, which are a classic cause of fasting hypoglycemia. Therefore, MEN II is the "exception" in this list. **Analysis of other options:** * **Beta-blockers (A):** These can cause hypoglycemia by inhibiting catecholamine-induced glycogenolysis and gluconeogenesis [2]. Crucially, they also mask the autonomic warning symptoms (tachycardia, tremors), making hypoglycemia particularly dangerous. * **Hepatoma (B):** Large tumors like Hepatocellular Carcinoma (HCC) can cause **Non-Islet Cell Tumor Hypoglycemia (NICTH)**. This occurs due to the excessive production of "Big-IGF-II" (Insulin-like Growth Factor II), which activates insulin receptors. * **Pituitary Insufficiency (C):** A deficiency in Growth Hormone (GH) and ACTH (leading to secondary adrenal insufficiency/low cortisol) results in the loss of key counter-regulatory hormones, leading to severe hypoglycemia [1]. **NEET-PG High-Yield Pearls:** * **MEN I:** 3 Ps (Pituitary, Parathyroid, Pancreas—Insulinoma/Gastrinoma). * **MEN IIA:** 1 P (Parathyroid) + 2 Cs (Calcitonin/MTC, Catecholamines/Pheo). * **Drug-induced hypoglycemia:** Common culprits include Quinine, Pentamidine, and Salicylates (in children). * **Whipple’s Triad:** Symptoms of hypoglycemia, low plasma glucose, and relief of symptoms after glucose administration (essential for diagnosing Insulinoma) [1].
Explanation: **Explanation:** The Syndrome of Inappropriate Antidiuretic Hormone (SIADH) is characterized by the excessive release of ADH from the posterior pituitary or ectopic sources, leading to water retention and dilutional hyponatremia [1]. **1. Why Option A is correct:** In SIADH, excessive ADH causes increased water reabsorption in the collecting ducts through the insertion of aquaporin (AQP-2) channels [1]. This leads to **euvolemic hyponatremia** (dilutional) [2]. Despite the low serum sodium, the body’s volume-sensing mechanisms (atrial natriuretic peptide) promote **natriuresis** to maintain euvolemia. Consequently, the urine is inappropriately concentrated (Urine Osmolality > 100 mOsm/kg) and contains significant sodium (**Urine Na+ > 20–40 mEq/L**). **2. Why the other options are incorrect:** * **Options B & D:** SIADH is defined by **hyponatremia**, not hypernatremia. Hypernatremia with high urine sodium is more characteristic of salt-loading or severe dehydration. * **Option C:** While SIADH causes hyponatremia, it typically presents with **normal potassium levels**. Hyponatremia combined with hyperkalemia is a hallmark of **Adrenal Insufficiency (Addison’s Disease)** due to aldosterone deficiency, which is a key differential diagnosis to rule out before diagnosing SIADH [2]. **High-Yield Clinical Pearls for NEET-PG:** * **Diagnostic Criteria:** Hyponatremia, low serum osmolality (<275 mOsm/kg), high urine osmolality (>100 mOsm/kg), and clinical euvolemia. * **Common Causes:** Small cell carcinoma of the lung (ectopic ADH), CNS disorders (stroke, trauma), and drugs (SSRIs, Carbamazepine, Cyclophosphamide). * **Management:** Fluid restriction is the first-line treatment. For symptomatic cases, use hypertonic saline (3%). * **Caution:** Rapid correction of hyponatremia can lead to **Osmotic Demyelination Syndrome (Central Pontine Myelinolysis)**. Limit correction to <8–10 mEq/L in 24 hours.
Explanation: Graves' disease is an autoimmune disorder and the most common cause of hyperthyroidism [1], [2]. It is characterized by the production of **Thyroid-Stimulating Immunoglobulins (TSI)**, which are autoantibodies that bind to and activate the TSH receptors on the thyroid gland [1], [2]. 1. **Goiter:** The continuous stimulation of TSH receptors by autoantibodies leads to glandular hyperplasia and hypertrophy, resulting in a **diffuse, non-tender goiter** [1]. 2. **Thyrotoxicosis:** The overstimulation causes excessive synthesis and release of thyroid hormones (T4 and T3), leading to the clinical state of thyrotoxicosis (tachycardia, weight loss, heat intolerance, etc.) [2]. 3. **Exophthalmos (Ophthalmopathy):** This is a specific extrathyroidal manifestation caused by autoantibodies reacting with orbital fibroblasts [1]. This leads to inflammation, accumulation of glycosaminoglycans, and edema of the extraocular muscles, causing the eyes to bulge forward [2]. **Why "All of the above" is correct:** Graves' disease is classically defined by the triad of **hyperthyroidism with diffuse goiter**, **ophthalmopathy** (exophthalmos), and occasionally **dermopathy** (pretibial myxedema) [1]. Since all three options (A, B, and C) are hallmark features of the disease, D is the correct choice. **High-Yield Clinical Pearls for NEET-PG:** * **Most specific sign:** Pretibial myxedema (though less common than exophthalmos). * **Antibody:** Anti-TSH receptor antibody (TRAb/TSI) is the diagnostic hallmark [1]. * **Radioiodine Uptake (RAIU):** Shows **diffuse, increased uptake** (unlike thyroiditis where uptake is low) [3]. * **Scintigraphy:** Characterized by a "hot" enlarged gland [3]. * **Treatment of choice (Permanent):** Radioactive Iodine (I-131) ablation or surgery; Thionamides (Methimazole/PTU) for medical management.
Explanation: **Explanation:** The core pathophysiology of **Secondary Hyperparathyroidism (sHPT)** is a compensatory increase in Parathyroid Hormone (PTH) secretion [2] in response to **hypocalcemia** [3] or **hyperphosphatemia** [2]. **Why Osteoporosis is the Correct Answer:** Osteoporosis is characterized by a decrease in total bone mass (both mineral and matrix) but with **normal serum levels** of calcium, phosphate, and PTH. Since there is no systemic mineral imbalance to trigger the parathyroid glands, sHPT does not occur. It is a disease of bone "quantity," not a systemic endocrine disturbance. **Analysis of Incorrect Options:** * **Rickets & Osteomalacia:** Both involve defective mineralization usually due to Vitamin D deficiency [1]. Low Vitamin D leads to decreased intestinal calcium absorption (hypocalcemia), which directly stimulates the parathyroid glands to secrete more PTH to restore calcium levels [1]. * **Renal Failure:** This is the most common cause of sHPT. Chronic Kidney Disease (CKD) leads to phosphate retention (hyperphosphatemia) and decreased production of 1,25-dihydroxyvitamin D (Calcitriol) [1]. Both factors trigger a massive compensatory rise in PTH [2]. **NEET-PG High-Yield Pearls:** * **Tertiary Hyperparathyroidism:** Occurs when long-standing sHPT (usually in CKD) leads to autonomous parathyroid hyperplasia, resulting in hypercalcemia. * **Biochemical Profile of sHPT:** Low/Normal Serum Calcium, High PTH, and High Alkaline Phosphatase (ALP) [2]. * **Pseudohypoparathyroidism:** A condition of PTH resistance that also presents with sHPT (High PTH) but features hypocalcemia and hyperphosphatemia [2].
Explanation: **Explanation:** Primary hyperaldosteronism (Conn’s syndrome) is characterized by the autonomous overproduction of aldosterone from the adrenal cortex, independent of the renin-angiotensin system. **Why Metabolic Alkalosis is Correct:** Aldosterone acts on the principal cells of the collecting duct to reabsorb sodium and excrete potassium [2]. Simultaneously, it stimulates the **α-intercalated cells** to secrete hydrogen ions ($H^+$) into the tubular lumen via $H^+$-ATPase pumps. The loss of $H^+$ ions leads to an increase in serum bicarbonate levels, resulting in **metabolic alkalosis** [3]. **Analysis of Incorrect Options:** * **A. Hyperkalemia:** Aldosterone causes excessive renal potassium excretion [2]. Therefore, **hypokalemia** (not hyperkalemia) is a classic hallmark, often presenting with muscle weakness or cardiac arrhythmias [4]. * **B. Hyponatremia:** Aldosterone promotes sodium reabsorption. While patients are usually hypervolemic, they rarely show significant hypernatremia due to "aldosterone escape" [1] (atrial natriuretic peptide release); however, they definitely do **not** have hyponatremia. * **D. Fall in aldosterone with sodium loading:** In primary hyperaldosteronism, aldosterone secretion is **autonomous**. In a normal individual, a sodium load would suppress renin and aldosterone; in Conn’s syndrome, aldosterone levels remain high despite sodium loading (this is used as a confirmatory test). **NEET-PG High-Yield Pearls:** * **Screening Test:** Elevated Aldosterone-to-Renin Ratio (ARR). * **Confirmatory Test:** Saline infusion test or Oral salt loading (failure to suppress aldosterone). * **Classic Triad:** Hypertension, Hypokalemia, and Metabolic Alkalosis. * **Aldosterone Escape:** Patients do not develop overt edema despite sodium retention because increased ANP leads to pressure natriuresis [1].
Explanation: ***Colon cancer*** - In an **82-year-old diabetic patient**, colon cancer is highly likely given the age demographics and potential **apple-core lesion** or **colonic mass** on imaging studies. - **Metastatic colon cancer** can present with bone lesions near prosthetic joints, and diabetes increases cancer risk through chronic inflammation and immune dysfunction. *Hypogammaglobulinemia* - This **immunodeficiency disorder** typically presents with recurrent infections rather than structural abnormalities on imaging. - Would not cause the characteristic **mass lesions** or **apple-core appearance** seen in gastrointestinal malignancies. *Hypophosphatasia* - A rare **genetic metabolic disorder** affecting bone mineralization, typically diagnosed in childhood or early adulthood. - Would show **osteomalacia** and **rickets-like changes**, not focal mass lesions characteristic of malignancy in elderly patients. *Osteosarcoma* - Primarily affects **children and adolescents** with peak incidence in the second decade of life. - In elderly patients, osteosarcoma is extremely rare and would typically arise from **Paget's disease** or post-radiation, not associated with diabetes or hip prostheses.
Diabetes Mellitus
Practice Questions
Thyroid Disorders
Practice Questions
Adrenal Gland Disorders
Practice Questions
Pituitary Disorders
Practice Questions
Calcium and Bone Metabolism
Practice Questions
Reproductive Endocrinology
Practice Questions
Lipid Disorders
Practice Questions
Endocrine Hypertension
Practice Questions
Multiple Endocrine Neoplasia
Practice Questions
Obesity and Metabolic Syndrome
Practice Questions
Neuroendocrine Tumors
Practice Questions
Endocrine Emergencies
Practice Questions
Get full access to all questions, explanations, and performance tracking.
Start For Free