A 60-year-old male patient with a history of weight gain and polyuria presents with the following lesion. What is the most possible diagnosis?

What is the primary hyperaldosteronism due to an adrenal adenoma called?

A patient is diagnosed with Cushing Syndrome. What electrolyte imbalance is typically found in this condition?
A patient presents with the clinical findings shown in the image. What is the most appropriate screening test to identify the underlying endocrine condition?

A 25 -year-old presents with weakness, craving for salty foods and postural hypotension. Lab shows serum sodium = 130 mEq /dL and serum potassium of 6.0 mEq , fasting blood sugar of 65 mg%. All are possible causes of the condition shown except:

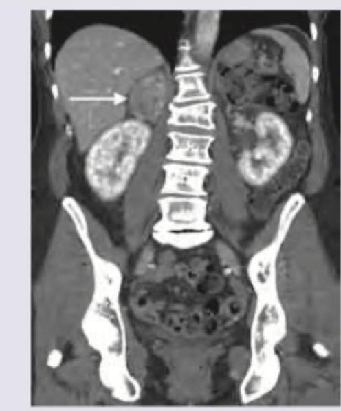
A patient presents with hypertension and hypokalemia. CT abdomen was performed. What is the diagnosis?

All are true about the condition shown except:

A 40-year-old woman with history of progressive shortness of breath has lesions on her legs as shown. HbA1C of the patient is 5.8%. Lipid profile shows serum cholesterol 175 mg%. What is the diagnosis? (Recent NEET Pattem 2016-17)

A 50-year-old man presents with frontal bossing, enlarged tongue and following appearance of hand. Which of the following tests should be done in this patient?

A 45 -year-old lady presents with complaints of fatigue, muscle weakness along with bilateral multiple renal calculi which were picked up on a routine ultrasound. Further workup revealed serum calcium levels of 11.4 mg %. What is the next best investigation required to arrive at a diagnosis?
Explanation: ***Diabetic ulcer*** - The patient's history of **weight gain** and **polyuria** suggests uncontrolled diabetes mellitus, a common cause of foot ulcers. - **Diabetic ulcers** often appear on pressure points of the foot, are typically painless due to neuropathy, and can be complicated by poor wound healing, as seen in the image. *Buruli's ulcer* - Buruli's ulcer is a **necrotizing skin disease** caused by *Mycobacterium ulcerans*, typically found in tropical and subtropical regions. - While it causes large, deep ulcers, the patient's symptoms (weight gain, polyuria) are not characteristic of this infection. *Venous ulcer* - **Venous ulcers** occur due to chronic venous insufficiency and are typically found on the **medial malleolus**, often associated with edema, hyperpigmentation, and lipodermatosclerosis. - The lesion's appearance and location, along with the patient's systemic symptoms, do not align with a classic venous ulcer. *Meleney's ulcer* - **Meleney's ulcer** (also known as progressive bacterial synergistic gangrene) is a rare, painful, and rapidly progressive ulceration of the skin and subcutaneous tissue. - It usually follows surgical procedures or trauma and is characterized by a necrotic center with a spreading red margin, which doesn't fully match the provided image or patient history.
Explanation: ***Conn syndrome*** - Conn syndrome is specifically defined as **primary hyperaldosteronism** caused by a **benign adrenal adenoma** (aldosteronoma). - This condition leads to excessive aldosterone production, resulting in **hypertension**, **hypokalemia**, and metabolic alkalosis. *Option A* - This is a generic placeholder and does not refer to a specific medical condition. - No medical diagnosis is associated with "Option A". *Option C* - This is a generic placeholder and does not refer to a specific medical condition. - It does not describe primary hyperaldosteronism due to an adrenal adenoma. *Option D* - This is a generic placeholder and does not refer to a specific medical condition. - There is no medical condition known as "Option D".
Explanation: ***Hypokalemia*** - Excess **cortisol** in Cushing syndrome has **mineralocorticoid effects**, leading to increased **renal potassium excretion** and **sodium retention**. - This results in **low serum potassium levels** (hypokalemia), which is the most characteristic electrolyte imbalance in Cushing syndrome. *Hypernatremia* - While **sodium retention** occurs due to cortisol's mineralocorticoid activity, **hypernatremia** is not the primary electrolyte abnormality. - The body typically maintains **normal serum sodium** levels despite increased sodium retention through compensatory mechanisms. *Hyperkalemia* - This is the **opposite** of what occurs in Cushing syndrome - patients develop **hypokalemia**, not hyperkalemia. - Excess cortisol promotes **potassium loss** through the kidneys, making high potassium levels unlikely. *Hypocalcemia* - **Low calcium levels** are not a characteristic feature of Cushing syndrome's electrolyte profile. - The primary electrolyte disturbance involves the **renin-angiotensin-aldosterone system** affecting potassium and sodium balance.
Explanation: ***Insulin-like growth factor 1 (IGF-1)*** - **IGF-1** is the most reliable **screening test for acromegaly** because its levels remain stable throughout the day, unlike GH which is secreted pulsatilely. - The image shows large, spade-like hands with thick fingers — classic features of **acromegaly** caused by chronic excess GH/IGF-1 secretion. - Elevated IGF-1 confirms systemic growth promotion and is the recommended first-line screening test (Harrison's 19th ed., p. 2269; 20th ed., p. 2678). *Random serum growth hormone (GH) levels* - A **single GH measurement is unreliable** due to the pulsatile nature of GH secretion — random levels can be normal even in acromegaly. - GH must be assessed dynamically (i.e., suppression during OGTT) rather than as a random sample. *Oral glucose tolerance test (OGTT)* - OGTT is the **confirmatory (gold-standard) test** for acromegaly, not the initial screening test. - In acromegaly, GH **fails to suppress to <0.4 μg/L** within 1–2 hours of an oral glucose load, confirming the diagnosis. - It is performed after elevated IGF-1 on screening. *Serum prolactin levels* - Prolactin may be elevated in acromegaly due to **mass effect** of the pituitary adenoma disrupting dopaminergic inhibition of the pituitary stalk. - However, elevated prolactin is **not diagnostic of acromegaly** and is not an appropriate screening test for this condition.
Explanation: ***Autoimmune hypophysitis*** - The patient's symptoms (weakness, salt craving, postural hypotension) and lab findings (hyponatremia, hyperkalemia, hypoglycemia) are characteristic of **primary adrenal insufficiency (Addison's disease)**. - **Autoimmune hypophysitis** causes **secondary adrenal insufficiency** by damaging the pituitary gland, leading to reduced ACTH production. However, in secondary adrenal insufficiency, **aldosterone secretion is typically preserved**, and thus hyperkalemia and salt craving are not usually seen. *Histoplasmosis* - **Histoplasmosis** can cause **primary adrenal insufficiency** by directly infecting and destroying the adrenal glands. - This destruction leads to impaired production of both cortisol and aldosterone, explaining the observed electrolyte imbalances and symptoms. *Amyloidosis* - **Amyloidosis** can infiltrate and destroy the adrenal glands, leading to **primary adrenal insufficiency**. - Adrenal amyloidosis can cause symptoms consistent with hypoadrenalism, including electrolyte disturbances like hyponatremia and hyperkalemia. *Autoimmune polyglandular syndrome* - **Autoimmune polyglandular syndromes (APS)**, particularly APS type 1 and type 2, frequently include **autoimmune primary adrenal insufficiency (Addison's disease)**. - This autoimmune destruction of the adrenal cortex directly causes the symptoms and laboratory findings of aldosterone and cortisol deficiency.
Explanation: ***Conn syndrome*** - The image shows a **contrast-enhancing nodule in the right adrenal gland** (indicated by the arrow), consistent with an **aldosteronoma**. - This, combined with **hypertension** and **hypokalemia**, is the classic presentation of **primary hyperaldosteronism** (Conn syndrome). *Pheochromocytoma* - While pheochromocytomas can cause hypertension and are often found in the adrenal gland, they typically present with paroxysmal symptoms such as **palpitations, headaches, and sweating**, which are not mentioned. - They also do not typically cause hypokalemia, as they produce catecholamines, not aldosterone. *Liddle syndrome* - Liddle syndrome is a **genetic disorder** causing **severe hypertension and hypokalemia** due to increased renal sodium reabsorption, mimicking hyperaldosteronism. - However, it is characterized by **low plasma renin activity** and **low aldosterone levels**, and there would be no adrenal mass on imaging. *Secondary hyperaldosteronism* - Secondary hyperaldosteronism is characterized by **high renin levels** (due to conditions like renal artery stenosis or heart failure) leading to increased aldosterone production. - The presence of an **adrenal mass (aldosteronoma)** points to a primary adrenal pathology, rather than a secondary cause driven by systemic factors.
Explanation: The image depicts a patient with classic features of **Cushing's syndrome**, characterized by **central obesity** (truncal obesity and "buffalo hump"), **moon facies**, and relatively thin extremities. The question asks what is *not* true about this condition. ***Hyperkalemia*** - Cushing's syndrome typically causes **hypokalemia** due to the mineralocorticoid effects of excessive cortisol, leading to increased potassium excretion in the kidneys. - The elevated cortisol levels also increase sensitivity of epithelial sodium channels (ENaC) to aldosterone, exacerbating potassium loss. *Hyperpigmentation in ectopic ACTH production* - **Hyperpigmentation** occurs in Cushing's syndrome caused by ectopic ACTH production (e.g., from small cell lung cancer) because of the co-secretion of melanocyte-stimulating hormone (MSH) precursors along with ACTH. - This is a true statement regarding Cushing's syndrome, specifically in the context of ectopic ACTH. *Purplish striae* - **Purplish striae** (stretch marks) are a classic dermatological feature of Cushing's syndrome. - They result from the breakdown of collagen and elastin in the skin due to high cortisol levels, leading to thinning and fragility of the skin. *Metabolic alkalosis* - Patients with Cushing's syndrome often develop **metabolic alkalosis** due to increased renal hydrogen ion excretion and potassium wasting, driven by the mineralocorticoid effects of excess cortisol. - The hypokalemia often observed further contributes to this alkalosis.
Explanation: ***Erythema Nodosum*** - The image shows **tender, red nodules** primarily on the shins, consistent with the characteristic presentation of erythema nodosum. - While exact values for **HbA1c** and **cholesterol** don't directly diagnose this, erythema nodosum is often associated with systemic conditions, and the patient's progressive shortness of breath prompts further investigation into potential underlying causes. *Necrobiosis lipoidica diabeticorum* - This condition presents as **well-demarcated, yellow-brown patches** with a waxy or atrophic center, often with telangiectasias, not the acute tender nodules seen here. - Although it is associated with **diabetes**, the patient's HbA1c (5.8%) is within the prediabetic range, not typically indicative of established diabetes that commonly precedes significant necrobiosis lipoidica. *Xanthoma* - Xanthomas are **yellowish plaques or nodules** caused by lipid deposits in the skin, which can vary in appearance depending on the type (e.g., eruptive, tendinous, planar). - While hyperlipidemia can cause xanthomas, the patient's **normal cholesterol level** (175 mg%) makes this diagnosis less likely, and the lesions in the image are more erythematous and nodular than typical xanthomas. *Carotenemia* - **Carotenemia** is characterized by a harmless **yellow-orange discoloration of the skin**, particularly on the palms and soles, caused by excessive intake of carotene-rich foods. - This condition does not present with discrete, erythematous nodules as depicted in the image.
Explanation: ***Insulin like growth factor*** - The patient's symptoms of **frontal bossing**, **enlarged tongue (macroglossia)**, and the image showing an **enlarged hand** (suggestive of **acral enlargement**) are classic features of **acromegaly**. - **Insulin-like growth factor 1 (IGF-1)** is the best screening test for acromegaly because its levels are stable throughout the day and reflect integrated GH secretion; elevated IGF-1 is indicative of the condition. *Thyroid hormone assay* - This test measures **thyroid function** and is primarily used to diagnose conditions like **hypothyroidism** or **hyperthyroidism**. - While some symptoms of thyroid disorders can overlap with other conditions, the specific constellation of **acral enlargement**, **macroglossia**, and **frontal bossing** is not typical for thyroid dysfunction. *Serum prolactin* - **Serum prolactin** is primarily used to assess for **hyperprolactinemia**, which can cause symptoms like **galactorrhea** or **hypogonadism**. - While a **prolactinoma** (a pituitary tumor secreting prolactin) can sometimes coexist with a **growth hormone-secreting tumor**, prolactin itself is not the direct cause of acromegalic features, and its assay is not the initial diagnostic test for acromegaly. *Serum Testosterone* - **Serum testosterone** levels are assessed in cases of suspected **hypogonadism** or other **androgen-related disorders**. - The clinical presentation with **acral enlargement** and **facial changes** is not characteristic of testosterone deficiency or excess.
Explanation: ***Sestamibi scan*** - A **Sestamibi scan** is the preferred imaging modality for localizing a parathyroid adenoma [1], which is the most common cause of **primary hyperparathyroidism**. - **Primary hyperparathyroidism** often presents with **hypercalcemia** (serum calcium 11.4 mg%), **renal calculi** [1], fatigue, and muscle weakness, as described in the patient. *MRI neck* - While an MRI can visualize neck structures, it is **less specific** for identifying small parathyroid adenomas compared to a Sestamibi scan. - It might be used in cases where other imaging modalities are inconclusive but is not the initial best investigation. *CECT head and neck* - **CECT (Contrast-Enhanced Computed Tomography)** is not the primary choiceto locate parathyroid adenomas as it involves radiation and intravenous contrast, which may not be necessary. - Parathyroid adenomas can be small and difficult to differentiate from thyroid tissue or lymph nodes on CECT alone. *NCCT head and neck* - **NCCT (Non-Contrast Computed Tomography)** is even less effective than CECT for localizing parathyroid adenomas as it lacks the discriminatory power of contrast enhancement. - It would mainly show bony structures and calcifications, which are not helpful for identifying a glandular adenoma.
Diabetes Mellitus
Practice Questions
Thyroid Disorders
Practice Questions
Adrenal Gland Disorders
Practice Questions
Pituitary Disorders
Practice Questions
Calcium and Bone Metabolism
Practice Questions
Reproductive Endocrinology
Practice Questions
Lipid Disorders
Practice Questions
Endocrine Hypertension
Practice Questions
Multiple Endocrine Neoplasia
Practice Questions
Obesity and Metabolic Syndrome
Practice Questions
Neuroendocrine Tumors
Practice Questions
Endocrine Emergencies
Practice Questions
Get full access to all questions, explanations, and performance tracking.
Start For Free