McNaughten Rule is concerned with :
Which personality disorder is commonly associated with bipolar disorder?
A girl exhibits aggressive behavior such as smashing and throwing objects and verbally abusing hospital staff. However, she shows a different demeanor towards a particular resident doctor. What could be the most likely diagnosis?
Hurt is defined under section:
Rules for criminal responsibility of the insane are all, except:
A forensic pathologist is called to a crime scene where a body shows advanced decomposition. Which feature is crucial for estimating the time of death?
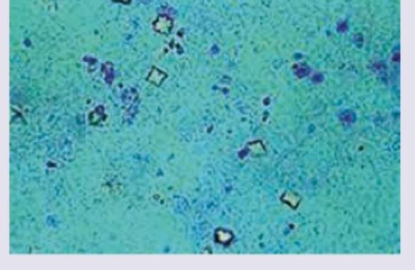
An unconscious patient was brought to the casualty. ABG reveals metabolic acidosis with hypocalcemia. The urine specimen from this patient is shown below. Identify the substance:

Testamentary capacity is the ability to:
Which of the following is NOT true about delusions?
What is the term used for the death of an entire family by suicide?
Explanation: ***Criminal responsibility*** - The **McNaughten Rule** (or M'Naghten Rules) is a legal test used in criminal law to determine if a defendant is **legally insane** and therefore not criminally responsible for their actions [1]. - It establishes that a defendant is not guilty if, at the time of committing the act, they were laboring under such a defect of reason, from disease of the mind, as not to know the **nature and quality of the act** they were doing; or, if they did know it, that they did not know what they were doing was wrong [1], [2]. *Suicide* - While psychiatric concepts are relevant to understanding suicidal intent, the **McNaughten Rule** specifically addresses the capacity for **criminal responsibility** at the time of an offense, not acts of self-harm. - The rule does not provide a direct framework for assessing the legality or moral culpability associated with the act of suicide itself. *Litigation* - **Litigation** refers to the process of taking legal action, which can encompass many types of cases, both civil and criminal. - The **McNaughten Rule** is a specific standard applied *within* certain criminal litigation cases to assess a defendant's mental state and culpability, rather than being concerned with litigation in general. *Rape* - The crime of **rape** involves non-consensual sexual penetration and is a matter of criminal law. - The **McNaughten Rule** might be applied in a rape case if the defense argues that the accused was suffering from a **defect of reason** and therefore lacked criminal responsibility, but it is not concerned with defining or addressing rape directly.
Explanation: ***Borderline Personality Disorder*** - **Borderline Personality Disorder (BPD)** and **bipolar disorder** share overlapping symptoms such as mood instability, impulsivity, and relational difficulties. - Due to these shared features, there is a high comorbidity rate, and distinguishing between the two can be challenging, often requiring careful assessment of symptom origins and patterns. *Obsessive-Compulsive Personality Disorder* - **Obsessive-Compulsive Personality Disorder (OCPD)** is characterized by a preoccupation with orderliness, perfectionism, and control. - While an individual can have both, OCPD does not typically share the prominent **mood instability** or **impulsivity** that are core to bipolar disorder. *Narcissistic Personality Disorder* - **Narcissistic Personality Disorder (NPD)** involves a pervasive pattern of grandiosity, a need for admiration, and a lack of empathy, often presenting with inflated self-esteem or sense of superiority. - While **grandiosity** can be seen in manic phases of bipolar disorder, the chronic and pervasive nature of NPD, particularly the lack of empathy, differs from the episodic mood extremes of bipolar disorder. *Antisocial Personality Disorder* - **Antisocial Personality Disorder (ASPD)** is characterized by a disregard for and violation of the rights of others, often involving deception, impulsivity, and criminal behavior. - While **impulsivity** and **reckless behavior** can occur during manic episodes in bipolar disorder, ASPD's core features are a pervasive pattern of deceitfulness and lack of remorse, which are not primary symptoms of bipolar disorder.
Explanation: ***Borderline personality disorder*** - Patients with **borderline personality disorder** often exhibit **impulsivity**, intense mood swings, and a pattern of unstable interpersonal relationships, leading to aggressive outbursts. - Their unpredictable behavior and tendency to form intense, unstable attachments or a "favorite person" dynamic are characteristic, as seen in her differing demeanor towards a particular resident doctor. *Bipolar disorder* - While bipolar disorder involves **mood swings**, the behavioral patterns are typically characterized by distinct episodes of **mania** or hypomania and depression, with less emphasis on chronic interpersonal instability and aggression. - The aggression in bipolar disorder is often associated with the manic phase but lacks the consistent pattern of relationship instability and "favorite person" dynamic described. *Schizoaffective disorder* - This disorder involves a combination of **psychotic symptoms** (like delusions or hallucinations) and **mood symptoms** (like depression or mania), which are not explicitly described here as the primary issue. - The aggressive behavior is not primarily driven by psychosis, and the specific interpersonal dynamic with staff is more suggestive of a personality disorder. *Antisocial personality* - **Antisocial personality disorder** is characterized by a pervasive pattern of disregard for and violation of the **rights of others** and may include aggression, but it often involves a lack of empathy and manipulativeness rather than the intense emotional dysregulation and unstable interpersonal patterns seen in borderline personality. - While aggressive behavior is present, the specific description of verbally abusing staff while showing a "different demeanor" towards a particular doctor points away from the typical presentation of antisocial disregard for others.
Explanation: ***319 IPC*** - Section **319 of the Indian Penal Code (IPC)** defines the term "hurt" as causing bodily pain, disease, or infirmity to any person. - This section lays the foundational legal definition, distinguishing simple hurt from grievous hurt. *320 IPC* - Section 320 of the IPC defines **"grievous hurt"**, listing eight specific types of injuries considered severe. - This section details more serious injuries, such as emasculation, permanent privation of sight, or fracture of a bone, which are distinct from simple hurt. *321 IPC* - Section 321 of the IPC deals with **"voluntarily causing hurt"**, which is the act of intentionally causing hurt to someone. - This section describes the mental element (intention) required for the offense of causing hurt. *323 IPC* - Section 323 of the IPC prescribes the **punishment for voluntarily causing hurt**, which is imprisonment for a term that may extend to one year, or with fine up to one thousand rupees, or both. - This section outlines the legal consequence for the act of voluntarily causing simple hurt, rather than defining hurt itself.
Explanation: ***Morrison's rule*** - This is **not a recognized rule** or legal standard for determining criminal responsibility of the insane in any major legal system. - The other options represent established legal tests for **insanity defense**. *American Law Institute's rule* - Known as the **ALI Model Penal Code test** (1962), it states a person is not criminally responsible if they lack substantial capacity to appreciate the criminality of their conduct or to conform their conduct to the requirements of the law, due to mental disease or defect. - This rule is a common standard used in many **U.S. jurisdictions** and represents a middle ground between M'Naghten and Durham rules. *New Hampshire doctrine* - Also known as the **"New Hampshire Rule"** or **"Pike test"** from the 1870 case *State v. Pike*. - It introduced the concept that an accused is not criminally responsible if their unlawful act was the **product of mental disease or defect**. - This was the **precursor to the Durham Rule** and represented an early departure from the strict M'Naghten standard. *Durham Rule* - The **Durham Rule** (1954, *Durham v. United States*) is the **modern formulation of the product test**. - It states that an accused is not criminally responsible if their unlawful act was the **"product" of a mental disease or defect**. - Initially adopted in the **District of Columbia** but later abandoned in 1972 due to its broad and ambiguous nature, replaced by the ALI test.
Explanation: ***Insect colonization*** - In cases of advanced decomposition, **entomological evidence** (the type and developmental stage of insects found on the body) becomes the most reliable indicator for estimating the **postmortem interval (PMI)**. - Different insect species colonize a body at predictable stages of decomposition, and their **life cycles** are temperature-dependent, allowing for a precise estimation when other methods are no longer valid. *Body temperature* - **Body temperature** (algor mortis) is useful for estimating time of death only in the early postmortem period, typically within **24-36 hours** after death. - In advanced decomposition, the body temperature will have fully equalized with the environment, rendering it useless for estimating PMI. *Skin color* - **Skin color changes**, such as **livor mortis** (lividity), are useful for estimating time of death within the first few hours up to about 12 hours postmortem, indicating the pooling of blood. - In advanced decomposition, other processes like putrefaction and mummification will have significantly altered the skin's appearance, making original livor mortis indistinguishable or irrelevant. *Rigor mortis* - **Rigor mortis** (stiffening of muscles) starts approximately 2-6 hours after death, is complete by 12-24 hours, and then resolves over the next 24-48 hours. - In a body with advanced decomposition, rigor mortis would have fully resolved much earlier, providing no information for estimating a prolonged postmortem interval.
Explanation: ***Ethylene glycol*** - The image shows **calcium oxalate crystals** (both monohydrate, "dumbbell" shapes, and dihydrate, "envelope" shapes), classical findings in **ethylene glycol poisoning**. - Ethylene glycol is metabolized into **oxalic acid**, which precipitates with calcium, leading to **hypocalcemia** and metabolic acidosis due to accumulating organic acids. *Methyl alcohol* - Methyl alcohol poisoning is characterized by metabolites like **formic acid**, causing severe **metabolic acidosis** and visual disturbances, but does not typically lead to calcium oxalate crystalluria. - While it causes profound acidosis, the diagnostic urine crystals seen in the image are not associated with methyl alcohol intoxication. *Formaldehyde* - Formaldehyde poisoning is generally due to ingestion or inhalation, leading to immediate toxicity, often with severe gastrointestinal and respiratory symptoms. - It does not typically metabolize into substances that form **calcium oxalate crystals** in the urine or cause hypocalcemia in this manner. *Paraldehyde* - Paraldehyde is an older sedative/hypnotic that can cause **metabolic acidosis** due to its metabolism into acetic acid, especially in large doses. - However, it does not lead to the formation of **calcium oxalate crystals** in the urine or associated hypocalcemia as seen in the image.
Explanation: **Explanation:** **Testamentary Capacity** refers to the legal and mental ability of an individual to execute a valid **will** (a testament). In forensic psychiatry, this is a critical assessment performed by a medical officer to determine if the testator (the person making the will) is of "sound disposing mind." To have testamentary capacity, the individual must satisfy three criteria: 1. They must understand the nature and consequences of the act (making a will). 2. They must have a general understanding of the extent of their property/estate. 3. They must recognize the "natural objects of their bounty" (the relatives or persons who would logically expect to inherit). **Analysis of Options:** * **Option A (Give evidence):** This refers to **Competency of a Witness**. A witness must be able to understand questions and give rational answers, but this is not "testamentary." * **Option B (Enter into a contract):** This is **Contractual Capacity**. Under the Indian Contract Act, a person must be of sound mind and have reached the age of majority to enter a binding agreement. * **Option D (Give consent):** This refers to **Informed Consent** or capacity for legal consent (e.g., for medical procedures or sexual acts), which has different legal thresholds depending on the context. **High-Yield Facts for NEET-PG:** * **Lucid Interval:** A person with a mental illness (like schizophrenia or bipolar disorder) can make a valid will during a "lucid interval"—a period where their mental faculties are temporarily restored. * **Role of the Doctor:** A doctor’s role is to certify that the testator was of sound mind at the exact time of signing. * **Deathbed Wills:** A doctor should ensure the patient is not under the influence of drugs/delirium and should ideally have the will signed in the presence of two witnesses. * **Aphasia:** A person who cannot speak but can communicate through signs/writing can still possess testamentary capacity.
Explanation: ### Explanation **1. Why Option B is the correct answer (The Medical Concept):** Delusion is defined as a false, firm, and unshakable belief that is out of keeping with the patient’s educational, cultural, and social background. In psychiatry, delusions are classified as a **disorder of thought content**, not perception. Disorders of perception include hallucinations (sensory perception without a stimulus) and illusions (misinterpretation of a real stimulus). Since the question asks for the statement that is **NOT** true, Option B is the correct choice. **2. Analysis of Incorrect Options:** * **Option A & D:** These are the hallmark features of a delusion. The belief must be **false**, held with absolute **firmness** (fixed), and must persist even when the patient is presented with logical **contrary evidence**. * **Option C:** A belief is only considered a delusion if it cannot be explained by the person’s **intellectual, cultural, or religious background**. For example, a belief in "the evil eye" may be a cultural norm in certain societies rather than a psychiatric delusion. **3. Clinical Pearls for NEET-PG:** * **Primary vs. Secondary:** Primary delusions (Autochthonous) arise spontaneously without a preceding event, while secondary delusions arise from other psychopathological states (e.g., a depressed patient believing they are rotting). * **Common Types:** * **Persecutory:** Most common type; belief that one is being conspired against. * **Erotomania (De Clerambault’s Syndrome):** Belief that a famous person is in love with them. * **Capgras Syndrome:** Belief that a familiar person has been replaced by an identical impostor. * **Fregoli Syndrome:** Belief that different people are actually a single person in disguise. * **Key Distinction:** Remember the "Three P's": Delusion is a disorder of **P**ossession (Thought), Hallucination is a disorder of **P**erception.
Explanation: ### Explanation **Correct Answer: D. Familicide** **Familicide** is a specific type of murder-suicide in which a perpetrator kills multiple family members (usually a spouse and children) and subsequently commits suicide. In forensic psychiatry, this is often categorized under "extended suicide." The perpetrator typically perceives a crisis (financial ruin or perceived family suffering) and kills the family out of a misguided sense of "mercy" or "protection," followed by their own death. **Analysis of Incorrect Options:** * **A. Mass Suicide:** This refers to the simultaneous suicide of a large group of people, often unrelated by blood, typically driven by a shared ideology, cult belief, or political motive (e.g., the Jonestown massacre). * **B. Jauhar:** This is a historical practice in India where women and children of a besieged community committed self-immolation to avoid capture, enslavement, or dishonor by invaders. While it involves family, it is a socio-historical ritual rather than a psychiatric term for family-wide suicide. * **C. Massacre:** This is a general term for the indiscriminate and brutal slaughter of many people. It does not imply a familial relationship between victims nor the subsequent suicide of the perpetrator. **High-Yield Facts for NEET-PG:** * **Extended Suicide:** A psychiatric phenomenon where an individual kills others (usually loved ones) before killing themselves, believing they are "saving" them from a cruel world. * **Dyadic Death:** A form of murder-suicide involving two closely related individuals (e.g., elderly couples or lovers). * **Filicide:** The act of a parent killing their own child. * **Uxoricide:** The act of killing one's wife. * **Common Underlying Pathology:** Severe depression with psychotic features (delusions of poverty or nihilism) is the most common psychiatric condition associated with familicide.
Get full access to all questions, explanations, and performance tracking.
Start For Free