Which of the following statements about laryngomalacia is true?
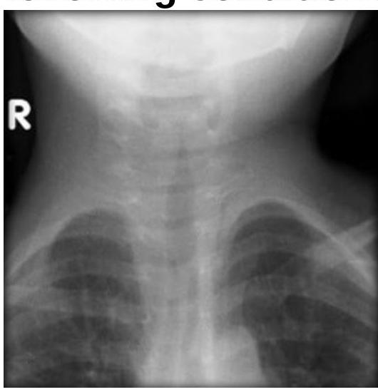
Steeple sign is seen in which of the following conditions?

What is the preferred method for removing a foreign body from the lung in children?
All of the following statements about laryngomalacia are true, except for:
All of the following are correct about the image shown except:

What is the immediate management of a child with foreign body inhalation?
All are seen in Treacher Collins syndrome except?
Which of the following statements are true about pediatric tracheostomy?
An 8-month-old infant presented with stridor and respiratory difficulty, which worsened on crying. Laryngoscopy revealed a red mass in the subglottic area. All the following are used in the treatment of this condition EXCEPT:
Pierre Robin syndrome is characterized by which of the following features, or the absence thereof?
Explanation: ***It typically presents with inspiratory stridor.*** - **Laryngomalacia** is the most common cause of **inspiratory stridor** in infants, usually presenting within the first few weeks of life due to collapse of supraglottic structures during inspiration. - The stridor is characteristically **worse when crying, feeding, or lying supine**, and often improves when the infant is prone. *It is characterized by an omega-shaped epiglottis.* - While an **omega-shaped epiglottis** can be a feature seen in laryngomalacia, it is not the sole or defining characteristic and is not universally present. - The primary characteristic is the **collapse of the supraglottic structures** (arytenoids, aryepiglottic folds, and epiglottis) into the laryngeal inlet upon inspiration. *It requires immediate surgical intervention.* - The vast majority of **laryngomalacia cases are mild to moderate** and resolve spontaneously by 12-18 months of age, requiring only conservative management. - **Surgical intervention** (supraglottoplasty) is reserved for severe cases with significant feeding difficulties, failure to thrive, severe airway obstruction, or apneic episodes. *It always requires surgical intervention in newborns.* - As mentioned, **most cases are self-limiting** and do not require surgery, especially in newborns. - Surgical intervention is only considered when there are **severe symptoms** impacting the infant's health and development.
Explanation: ***Acute laryngotracheobronchitis*** - The **steeple sign** on an anteroposterior (AP) neck radiograph is a classic finding in acute laryngotracheobronchitis, also known as **croup**. - This sign refers to the **subglottic narrowing** of the trachea, resembling a church steeple, due to edema caused by viral infection. *Acute epiglottitis* - Acute epiglottitis is characterized by the **thumb sign** on a lateral neck radiograph, where the swollen epiglottis appears enlarged. - This condition involves inflammation primarily of the epiglottis, not the subglottic region. *Laryngeal papillomatosis* - Laryngeal papillomatosis is characterized by **wart-like growths** (papillomas) on the vocal cords and larynx, often leading to hoarseness. - Radiographically, it typically appears as irregular soft tissue masses, not the diffuse subglottic narrowing seen in croup. *Bilateral abductor paralysis* - Bilateral abductor paralysis involves the inability of both vocal cords to abduct, leading to a **fixed, narrowed glottic opening**. - This condition presents as a smooth, constant narrowing at the level of the vocal cords rather than the subglottic, conical narrowing of the steeple sign.
Explanation: ***Rigid bronchoscopy*** - **Rigid bronchoscopy** is the preferred method for removing foreign bodies from the lung in children due to its ability to provide better air control, magnified viewing, and larger working channels for robust grasping tools. - It allows for complete ventilation control and isolation of the airway, which is crucial in children where airway obstruction can rapidly lead to respiratory compromise. *Chest x-ray* - A **chest x-ray** is a diagnostic tool used to identify the presence and location of a foreign body, but it is not a method for removal. - Many foreign bodies, especially non-radiopaque ones like food, may not be visible on an x-ray, making it unreliable for definitive diagnosis of presence or absence. *Flexible endoscopy* - While **flexible bronchoscopy** can be used for foreign body removal in some adults or specific situations, it is generally less effective and carries higher risks in children, especially for larger or lodged objects. - Its smaller working channels and less stable airway control make it less suitable for urgent and complete removal in the pediatric population. *Direct laryngoscopy* - **Direct laryngoscopy** is used to visualize the larynx and vocal cords, primarily to remove foreign bodies from the upper airway or intubate, but not typically for removal of foreign bodies lodged deep within the main bronchi or lungs. - It does not offer direct access or visualization of the lower bronchial tree where most aspirated foreign bodies in children tend to lodge.
Explanation: ***Surgical Tracheostomy is the treatment of choice*** - While laryngomalacia is the most common cause of **stridor** in infants, most cases are **mild and self-limiting**, resolving spontaneously by **12 to 18 months of age**. - **Surgical tracheostomy** is reserved for severe cases with significant **airway obstruction**, **failure to thrive**, or **life-threatening apneic spells** after failed conservative management and supraglottoplasty. *It is the most common congenital anomaly of the larynx* - This statement is **true**; laryngomalacia is indeed the most frequent congenital anomaly of the larynx, affecting approximately **60% of all congenital laryngeal anomalies**. - It is the most common cause of **inspiratory stridor** in infants. *It is associated with an omega shaped epiglottis* - This statement is **true**; the characteristic finding in laryngomalacia is the collapse of the **supraglottic structures** during inspiration. - This often includes a **long, curled, 'omega-shaped' epiglottis**, which contributes to the airway obstruction. *Stridor is increased on crying and relieved on lying prone* - This statement is **true**; the inspiratory stridor in laryngomalacia is typically **worsened by agitation, crying, feeding, or supine positioning**. - Lying **prone** or **side-lying** positions can help relieve the stridor by allowing the supraglottic tissues to fall forward and open the airway.
Explanation: ***High pitched expiratory stridor*** - The image depicts an **omega-shaped epiglottis** and collapsed aryepiglottic folds, consistent with **laryngomalacia**. - Laryngomalacia typically presents with **inspiratory stridor**, not expiratory, resulting from airway collapse during inspiration. - **This is the EXCEPT answer** - high-pitched expiratory stridor is NOT a feature of laryngomalacia. *Omega shaped epiglottis* - The image clearly shows an **omega-shaped epiglottis**, a characteristic feature of **laryngomalacia**. - This anatomical variation contributes to the collapse of supraglottic structures during inspiration. *Cry is normal* - In laryngomalacia, the **vocal cords** themselves are not affected, so the **cry typically remains normal**. - The abnormal sounds (stridor) arise from the supraglottic structures, not the vocal cord function during crying. *10% cases need surgery due to development of OSA or Cor Pulmonale* - While most cases of laryngomalacia are self-limiting, approximately **10% of infants may require surgical intervention** (supraglottoplasty). - This is usually due to severe symptoms like **obstructive sleep apnea (OSA)**, failure to thrive, or the rare development of **cor pulmonale**.
Explanation: **Explanation:** **Foreign body (FB) inhalation** is a life-threatening emergency in the pediatric population, most commonly occurring in children aged 1–3 years. 1. **Why Bronchoscopy is the Correct Answer:** Rigid bronchoscopy is the **gold standard** for both the diagnosis and management of inhaled foreign bodies. It allows for direct visualization of the airway, provides a secure channel for ventilation, and facilitates the use of specialized forceps to grasp and remove the object. In an emergency setting, removing the obstruction is the definitive step to restore airway patency. 2. **Why Other Options are Incorrect:** * **IPPV (A):** Positive pressure ventilation is contraindicated if a foreign body is partially obstructing the airway, as it can push the object deeper into the distal tracheobronchial tree, leading to a complete "ball-valve" obstruction or total lung collapse. * **Tracheostomy (C):** This is indicated for upper airway obstructions (at or above the larynx). Since most inhaled foreign bodies lodge in the main bronchi (right more commonly than left), a tracheostomy would not bypass the obstruction. * **Exploratory Thoracotomy (D):** This is a major surgical procedure reserved only for rare cases where endoscopic removal fails or if the foreign body has caused severe vascular injury or irreversible lung damage. **High-Yield Clinical Pearls for NEET-PG:** * **Most Common Site:** Right main bronchus (due to it being wider, shorter, and more vertical than the left). * **Classic Triad:** Sudden onset of coughing, wheezing, and diminished breath sounds. * **Radiology:** The most common finding is **obstructive emphysema** (air trapping) on expiratory films. Radio-opaque objects are seen in only ~10-15% of cases. * **Vegetable FB:** Peanuts are the most common; they cause a severe inflammatory reaction known as **vegetal bronchitis**.
Explanation: **Explanation:** **Treacher Collins Syndrome (TCS)**, also known as **Mandibulofacial Dysostosis**, is an autosomal dominant disorder caused by mutations in the *TCOF1* gene. It results from the failure of migration of neural crest cells into the **first and second branchial arches**. **Why Choanal Atresia is the Correct Answer:** While TCS involves extensive craniofacial malformations, **Choanal atresia** is not a characteristic feature of this syndrome. Choanal atresia is more classically associated with **CHARGE syndrome** (Coloboma, Heart defects, Atresia choanae, Retardation, Genitourinary anomalies, and Ear abnormalities). **Analysis of Incorrect Options:** * **Conductive Deafness:** This is a hallmark of TCS. It occurs due to malformation of the ossicles (incus and malleus) and/or **meatal atresia** (narrowing or absence of the external auditory canal). * **Cleft Palate:** Approximately 30% of patients with TCS present with a cleft palate, often accompanied by macrostomia (large mouth). * **Mandibular Hypoplasia:** This is a defining feature. Patients exhibit a "bird-like" facies due to micrognathia (small jaw) and malar (cheekbone) hypoplasia. **High-Yield Clinical Pearls for NEET-PG:** * **Antimongoloid slant:** The eyes show a downward slant of the palpebral fissures. * **Coloboma:** Notch-like defects are typically seen in the **outer third of the lower eyelids**. * **Fish-mouth appearance:** Due to the combination of mandibular hypoplasia and macrostomia. * **Inheritance:** Autosomal Dominant (most common) but can be sporadic. * **Inner Ear:** Usually remains normal as it develops from the otic capsule, not the branchial arches.
Explanation: ### Explanation **Correct Answer: B. The 3rd and 4th tracheal rings are incised.** In pediatric tracheostomy, the incision is typically made through the **3rd and 4th tracheal rings**. Unlike adults, where a window may be created, in children, a **vertical midline incision** is preferred. This avoids damage to the first tracheal ring (preventing subglottic stenosis) and stays above the suprasternal notch to avoid major vessels. **Analysis of Options:** * **A. Most common early complication is subcutaneous emphysema:** This is incorrect. While it can occur, the most common early complication in pediatric tracheostomy is **accidental decannulation** or **tube obstruction** by a mucus plug. In the immediate postoperative period, **pneumothorax** and **pneumomediastinum** are also more frequent in children than in adults due to the higher position of the pleura. * **C. It is easy to remove the tracheostomy tube:** This is incorrect. Decannulation in children is often **difficult**. Factors include the small caliber of the airway, psychological dependence on the tube, and the rapid development of exuberant granulation tissue or tracheomalacia at the stoma site. * **D. A complete tracheal ring is removed:** This is incorrect and contraindicated in children. Removing or excising a portion of the tracheal ring (fenestration) can lead to permanent tracheal stenosis as the child grows. A simple vertical slit is used instead. **High-Yield Clinical Pearls for NEET-PG:** * **Stay Sutures:** In children, non-absorbable "stay sutures" are placed on either side of the tracheal incision and taped to the chest. These act as guides for rapid re-insertion if accidental decannulation occurs before the tract is matured. * **Anatomy:** The pediatric larynx is higher (C3-C4) compared to adults (C5-C6), and the trachea is much softer and more mobile. * **Post-op Care:** The first tube change is usually delayed for 5–7 days to allow a formal tract to form.
Explanation: ### Explanation The clinical presentation of an 8-month-old with stridor and a red subglottic mass is classic for a **Subglottic Hemangioma**. This is the most common benign vascular neoplasm of the pediatric airway. **Why Radiotherapy is the Correct Answer (The "Except"):** Radiotherapy is **contraindicated** in the treatment of subglottic hemangioma. While it was historically used to shrink vascular masses, it is now strictly avoided due to the high risk of inducing secondary malignancies (like thyroid carcinoma) and causing permanent damage to the developing laryngeal cartilage and growth plates in infants. **Analysis of Other Options:** * **Corticosteroids:** Historically the first-line medical therapy, steroids help reduce the size of the hemangioma by inducing vasoconstriction and inhibiting angiogenesis. * **CO2 Laser Vaporization:** This is a surgical option used for small, localized, or pedunculated lesions. It allows for precise removal with minimal bleeding. * **Tracheostomy:** This is a life-saving procedure reserved for severe cases where the airway is critically compromised and medical or conservative surgical management fails. It secures the airway until the hemangioma naturally undergoes its involution phase. **High-Yield Clinical Pearls for NEET-PG:** * **Gold Standard Treatment:** Currently, **Oral Propranolol** (a non-selective beta-blocker) is the first-line treatment of choice for subglottic hemangiomas, replacing steroids in most protocols. * **Biphasic Nature:** These lesions typically follow a growth phase (proliferation) for the first 12–18 months, followed by a slow regression phase (involution). * **Association:** Approximately 50% of children with subglottic hemangiomas also have cutaneous "strawberry" hemangiomas, often in a "beard distribution." * **Diagnosis:** Definitive diagnosis is made via direct laryngoscopy and bronchoscopy. Biopsy is usually avoided due to the high risk of hemorrhage.
Explanation: **Explanation:** **Pierre Robin Sequence (PRS)** is a clinical triad resulting from a developmental failure during embryogenesis. The primary defect is **mandibular hypoplasia** (micrognathia), which prevents the tongue from descending, leading to **glossoptosis** (posterior displacement of the tongue). This, in turn, prevents the palatal shelves from fusing, resulting in a **U-shaped cleft palate**. **Why "Coloboma of the iris" is the correct answer:** The question asks for a feature that is **not** part of the syndrome (or the absence thereof). **Coloboma of the iris** is a characteristic feature of **CHARGE syndrome**, not Pierre Robin Sequence. While PRS can be associated with ocular issues in syndromic forms (like Stickler syndrome), iris coloboma is not a defining or typical feature. **Analysis of Incorrect Options:** * **Mandibular hypoplasia (Option D):** This is the initiating event in the sequence. The small jaw is the hallmark physical finding. * **Respiratory distress (Option B):** This is a critical clinical manifestation. Glossoptosis causes upper airway obstruction, leading to inspiratory stridor and cyanotic spells, especially when the infant is supine. * **Hearing loss (Option A):** Children with PRS frequently have Eustachian tube dysfunction due to the cleft palate, leading to chronic otitis media with effusion and subsequent **conductive hearing loss**. **NEET-PG High-Yield Pearls:** * **Sequence vs. Syndrome:** It is called a "Sequence" because one initial insult (micrognathia) triggers a cascade of secondary events. * **Management:** The immediate priority is maintaining the airway. This is often achieved through **prone positioning**, nasopharyngeal airways, or, in severe cases, mandibular distraction osteogenesis or tracheostomy. * **Associated Syndrome:** The most common syndrome associated with PRS is **Stickler Syndrome** (look for high myopia and joint hypermobility in questions).
Get full access to all questions, explanations, and performance tracking.
Start For Free