Cyanosis in a newborn that disappears on crying is characteristic of which condition?
Which of the following is a feature of Scheibe's syndrome?
The most likely cause of persistent snoring and mouth breathing in a child is:
A 5-year-old boy, while having dinner, suddenly develops phonation difficulty and stridor, and is brought to the casualty department with complaints of respiratory distress. What is the most appropriate immediate management?
What is the percentage of newborns with deviation of the nasal septum?
What is the most common congenital anomaly of the larynx?
What is a recognized cause of stridor in a newborn?
Which of the following is the commonest cause of stridor in a newborn?
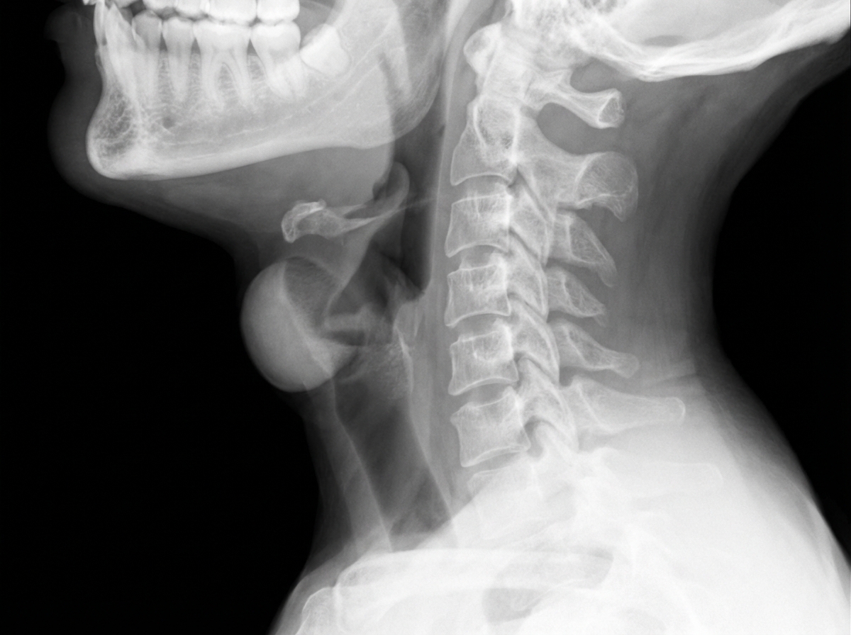
A 4-year-old child presents to the emergency department with high-grade fever, respiratory difficulty, and noisy breathing. An X-ray of his neck is shown below. What is the most probable diagnosis?

What is the main treatment for congenital laryngeal stridor?
Explanation: ### Explanation **Correct Answer: C. Bilateral choanal atresia** **Mechanism:** Newborns are **obligate nasal breathers** until approximately 4–6 months of age. In bilateral choanal atresia, the posterior nasal airway is anatomically obstructed (bony or membranous). Consequently, the infant experiences severe respiratory distress and **cyanosis while resting** or feeding because the mouth is closed. However, when the infant **cries**, they breathe through the mouth, bypassing the nasal obstruction. This leads to the classic clinical hallmark: **"Cyclic cyanosis"** (cyanosis relieved by crying and worsening during feeding/rest). **Analysis of Incorrect Options:** * **A. Laryngocoele:** This typically presents with hoarseness or inspiratory stridor. While a large laryngocoele can cause airway obstruction, the respiratory distress is generally not relieved by crying; in fact, crying may worsen the protrusion and obstruction. * **B. Unilateral choanal atresia:** This is often asymptomatic at birth and may go undiagnosed for years. It typically presents later in life with persistent unilateral mucoid discharge. It does not cause acute neonatal cyanosis. * **D. Foreign body:** While a foreign body can cause sudden respiratory distress, it is rare in neonates (who lack the motor skills to insert objects). Furthermore, crying would likely exacerbate the distress rather than relieve it. **NEET-PG High-Yield Pearls:** * **Initial Bedside Test:** Inability to pass a 6F or 8F suction catheter through the nose into the nasopharynx. * **Confirmatory Investigation:** **CT Scan** (shows narrowing of the posterior choanae and thickening of the vomer). * **Immediate Management:** Use of a **McGovern nipple** or an oropharyngeal airway to maintain the oral airway. * **Definitive Treatment:** Surgical repair (Transnasal endoscopic approach is preferred). * **Association:** Often part of the **CHARGE syndrome** (Coloboma, Heart defects, Atresia choanae, Retarded growth, Genitourinary anomalies, Ear anomalies).
Explanation: ### Explanation **Scheibe’s Dysplasia** (also known as Cochleosaccular Dysplasia) is the most common form of congenital inner ear malformation. It is characterized by a restricted anomaly involving only the **membranous labyrinth**, specifically the **cochlea and the saccule**. **1. Why the correct answer is right:** In Scheibe’s syndrome, the **bony labyrinth is normal**, but there is dysplasia of the organ of Corti and the saccular macula. Because the pathology involves the cochlea (specifically the basal turn), it results in sensorineural hearing loss. Since the question asks for a feature of the syndrome, **Dysplasia of cochlea** is the most accurate description of the underlying pathology. **2. Why the incorrect options are wrong:** * **Abnormality in bony labyrinth:** This is incorrect because Scheibe’s is a *membranous* labyrinthine dysplasia. Radiologically, the bony labyrinth (CT scan) appears completely normal. * **Semicircular canal fistula:** This is typically a complication of chronic suppurative otitis media (cholesteatoma) or trauma, not a feature of congenital inner ear dysplasia. In Scheibe's, the semicircular canals and utricle are usually preserved. * **Middle ear anomaly:** Scheibe’s syndrome is an inner ear pathology. Middle ear anomalies are seen in conditions like Treacher Collins syndrome or Goldenhar syndrome. **3. NEET-PG High-Yield Pearls:** * **Most Common:** Scheibe’s is the most common histopathological finding in congenital deafness. * **Mondini Dysplasia:** Unlike Scheibe’s, Mondini involves both bony and membranous labyrinths (only 1.5 turns of the cochlea instead of 2.5). * **Michel Aplasia:** The most severe form, characterized by complete absence of the inner ear. * **Alexander’s Aplasia:** Involves only the basal turn of the cochlear duct (high-frequency hearing loss). * **Key Distinction:** Scheibe’s = Membranous only; Mondini = Bony + Membranous.
Explanation: ### Explanation **Correct Option: B. Adenoid Enlargement** The adenoids (nasopharyngeal tonsils) are located in the roof and posterior wall of the nasopharynx. In children, physiological hypertrophy occurs between ages 3 and 7. When pathologically enlarged, they obstruct the posterior choanae, leading to **obligate mouth breathing** and **snoring** due to vibration of the soft palate. This is the most common cause of pediatric nasal obstruction. Chronic obstruction leads to the characteristic "Adenoid Facies" (dull expression, open mouth, crowded teeth, and high-arched palate). **Analysis of Incorrect Options:** * **A. Tonsillar enlargement:** While palatine tonsil hypertrophy can cause snoring and Obstructive Sleep Apnea (OSA), it primarily affects the oropharynx. It is rarely the *sole* cause of persistent mouth breathing unless accompanied by adenoid hypertrophy. * **C. Croup (Laryngotracheobronchitis):** This is an acute inflammatory condition presenting with a "barking" cough, inspiratory stridor, and hoarseness. It is not a cause of chronic, persistent snoring or mouth breathing. * **D. Paranasal sinus polyp:** While polyps cause nasal obstruction, they are relatively rare in children. If present, they are often associated with Cystic Fibrosis or Kartagener’s syndrome. Adenoid hypertrophy is statistically far more common in the pediatric age group. **High-Yield Clinical Pearls for NEET-PG:** * **Investigation of Choice:** X-ray soft tissue nasopharynx (Lateral view) shows narrowing of the nasopharyngeal air space. * **Gold Standard Investigation:** Diagnostic nasal endoscopy. * **Associated Condition:** Adenoiditis often leads to **Eustachian tube dysfunction**, resulting in Otitis Media with Effusion (Glue Ear). * **Treatment:** Adenoidectomy is indicated if there is persistent mouth breathing, sleep apnea, or recurrent otitis media.
Explanation: ### Explanation **Correct Option: D. Heimlich maneuver** **Medical Concept:** The clinical presentation of sudden onset respiratory distress, stridor, and phonation difficulty (aphonia or muffled voice) while eating is a classic hallmark of **Foreign Body Aspiration (FBA)** causing acute upper airway obstruction. In a conscious child with signs of complete or near-complete airway obstruction (inability to speak or cough effectively), the **Heimlich maneuver (subdiaphragmatic abdominal thrusts)** is the gold-standard immediate life-saving intervention. It increases intrathoracic pressure to "pop" the foreign body out of the larynx or trachea. **Analysis of Incorrect Options:** * **A & B (Cricothyroidotomy and Tracheostomy):** These are invasive surgical airways. While they are used in "cannot intubate, cannot oxygenate" scenarios, they are not the first-line treatment for a choking child in a casualty setting. The Heimlich maneuver is non-invasive, faster, and often curative for supraglottic or glottic obstructions. * **C (Humidifier):** Humidification is used for inflammatory conditions like Croup (Laryngotracheobronchitis). It has no role in relieving a mechanical obstruction caused by a foreign body. **Clinical Pearls for NEET-PG:** 1. **Age-Specific Maneuvers:** For infants (<1 year), use **5 back blows and 5 chest thrusts**. The Heimlich maneuver is contraindicated in infants due to the risk of abdominal organ injury. 2. **Chevalier Jackson’s Diagnostic Triad for FBA:** Wheezing, coughing, and diminished breath sounds. 3. **Gold Standard Investigation:** For a stable patient with suspected FBA, **Rigid Bronchoscopy** is both the diagnostic and therapeutic procedure of choice. 4. **Radiology:** The most common finding on a chest X-ray is **obstructive emphysema** (air trapping) on the affected side, though most foreign bodies are radiolucent.
Explanation: **Explanation:** The correct answer is **10%**. **1. Understanding the Medical Concept:** Nasal septal deviation (DNS) in newborns is primarily attributed to **birth trauma**. During the second stage of labor, the fetal nose may be compressed against the maternal symphysis pubis or pelvic promontory. This is particularly common in primiparous mothers, prolonged labor, or instrumental deliveries (forceps). Studies, most notably by **Gray**, have established that approximately **10%** of neonates are born with a detectable septal deformity. **2. Analysis of Incorrect Options:** * **A (2%):** This value is too low. While many minor deviations go unnoticed, clinical screening (like the Jeppesen and Windfeld test) reveals a higher incidence. * **C (20%) & D (50%):** These percentages are more representative of the **adult population**. As the face grows and the septum undergoes further trauma or asymmetrical growth during puberty, the prevalence of DNS increases significantly, reaching up to 70-80% in adults. **3. High-Yield Clinical Pearls for NEET-PG:** * **Kott’s Test:** A simple clinical test to check for neonatal DNS. If the nostrils are pressed, a normal septum remains midline, while a deviated one tilts further. * **Metzenbaum’s Sign:** Used to identify dislocation of the lower end of the septal cartilage. * **Treatment:** Most neonatal deviations are managed by **closed reduction** (using a Walsham’s forceps or a simple elevator) within the first 48–72 hours of birth. Unlike adults, formal Septoplasty is avoided in infants to prevent mid-face growth retardation.
Explanation: **Explanation:** **Laryngomalacia** is the most common congenital anomaly of the larynx, accounting for approximately 60–70% of all congenital laryngeal stridor. It is characterized by an inward collapse of the supraglottic structures (epiglottis, aryepiglottic folds, and arytenoids) during inspiration due to abnormal flaccidity. **Why it is the correct answer:** The hallmark clinical presentation is **inspiratory stridor** that typically appears within the first two weeks of life. The stridor characteristically increases with crying, feeding, or lying in the supine position, and improves when the infant is prone. Diagnosis is confirmed via flexible fiberoptic laryngoscopy showing an "Omega-shaped" epiglottis and shortened aryepiglottic folds. **Why other options are incorrect:** * **Laryngeal Web:** A rare anomaly resulting from the failure of the larynx to recanalize during the 10th week of gestation. It most commonly occurs at the glottic level. * **Laryngeal Stenosis:** (Subglottic stenosis) is the third most common congenital laryngeal abnormality. While significant, it is far less frequent than laryngomalacia. * **Vocal Cord Palsy:** This is the **second most common** congenital laryngeal anomaly. It can be unilateral (often associated with birth trauma) or bilateral (associated with CNS malformations like Arnold-Chiari). **High-Yield Clinical Pearls for NEET-PG:** * **Management:** Most cases (90%) are self-limiting and resolve spontaneously by 18–24 months. Surgical intervention (**Supraglottoplasty**) is reserved for severe cases with failure to thrive, cor pulmonale, or severe apnea. * **Associated Condition:** Gastroesophageal reflux (GERD) is frequently associated with laryngomalacia and can exacerbate symptoms. * **Synchronous Airway Lesions:** Approximately 10–15% of patients may have a second airway lesion (e.g., tracheomalacia).
Explanation: **Explanation:** Stridor in a newborn is a high-pitched sound resulting from turbulent airflow through a partially obstructed airway. It can be caused by congenital anomalies affecting the supraglottis, glottis, subglottis, or trachea. * **Laryngomalacia (Option C):** This is the **most common cause** of congenital stridor. It is characterized by the collapse of supraglottic structures (like the epiglottis and arytenoids) during inspiration due to tissue flaccidity. The stridor is typically inspiratory and worsens when the infant is supine or crying. * **Vascular Ring (Option B):** This represents an extrinsic cause of stridor. Congenital vascular anomalies (e.g., double aortic arch) encircle and compress the trachea and esophagus. This often results in **biphasic stridor** and may be associated with "dying spells" during feeding. * **Cystic Hygroma (Option A):** This is a benign congenital malformation of the lymphatic system, usually occurring in the posterior triangle of the neck. Large cystic hygromas can cause extrinsic compression of the larynx or trachea, leading to respiratory distress and stridor at birth. Since all three conditions are recognized etiologies of neonatal airway obstruction, **Option D** is the correct answer. **High-Yield Clinical Pearls for NEET-PG:** * **Laryngomalacia:** Characterized by an **Omega-shaped epiglottis**. Stridor usually appears at 2 weeks of age and improves by 18–24 months. * **Subglottic Stenosis:** The most common cause of stridor requiring tracheostomy in infants. * **Laryngeal Web:** Most commonly occurs at the level of the glottis; presents with a weak or absent cry since birth. * **Choanal Atresia:** Presents with cyclic cyanosis (blue when quiet, pink when crying).
Explanation: **Explanation:** **Laryngomalacia** is the most common cause of congenital stridor in newborns and infants. It is characterized by an inward collapse of the supraglottic structures (epiglottis, arytenoids) during inspiration due to excessive laxity of the laryngeal tissues. * **Clinical Presentation:** It typically presents as an **inspiratory stridor** that worsens when the infant is supine, crying, or feeding, and improves when prone. * **Diagnosis:** The gold standard is flexible fiberoptic laryngoscopy, which reveals an omega-shaped epiglottis and redundant arytenoid mucosa. **Analysis of Incorrect Options:** * **Foreign Body:** While common in toddlers (1–3 years), it is extremely rare in newborns who lack the mobility to ingest objects. * **Meconium Aspiration:** This causes acute respiratory distress and hypoxia immediately at birth, but it is a pulmonary parenchymal issue rather than a structural laryngeal cause of stridor. * **Recurrent Laryngeal Nerve (RLN) Palsy:** This is the **second** most common cause of congenital stridor. It is often associated with birth trauma or cardiovascular anomalies (e.g., PDA surgery). **High-Yield Clinical Pearls for NEET-PG:** * **Management:** Most cases (90%) are self-limiting and resolve by 18–24 months. Surgical intervention (**Supraglottoplasty**) is reserved for severe cases with failure to thrive or cor pulmonale. * **Associated Condition:** Gastroesophageal reflux (GERD) is frequently associated with laryngomalacia and can exacerbate symptoms. * **Stridor Types:** Remember: **Inspiratory** = Supraglottic/Glottic; **Biphasic** = Subglottic; **Expiratory** = Tracheal/Bronchial.
Explanation: ***Epiglottitis*** - **High-grade fever**, **respiratory difficulty**, and **noisy breathing** in a child form the classic triad of epiglottitis, often caused by **Haemophilus influenzae type b**. - The lateral neck X-ray shows the characteristic **"thumbprint sign"** indicating swollen epiglottis, which is pathognomonic for epiglottitis. *Recurrent papillomatosis* - Typically presents with **progressive hoarseness** and **chronic respiratory symptoms** rather than acute high fever. - X-ray would show **multiple nodular lesions** in the larynx, not the thumbprint sign of epiglottal swelling. *Croup* - Usually presents with **barking cough** and **low-grade fever**, not the high-grade fever seen here. - Lateral neck X-ray would show the **"steeple sign"** (subglottic narrowing), not the thumbprint sign of epiglottal swelling. *Tonsillitis* - Primarily causes **sore throat** and **difficulty swallowing** rather than respiratory distress and noisy breathing. - X-ray findings would not show epiglottal involvement; diagnosis is typically made by **clinical examination** of enlarged tonsils.
Explanation: **Explanation:** **Congenital laryngeal stridor**, also known as **Laryngomalacia**, is the most common cause of congenital stridor and the most common congenital anomaly of the larynx. It is characterized by an inward collapse of the supraglottic structures (omega-shaped epiglottis, short aryepiglottic folds) during inspiration. 1. **Why Reassurance is the Correct Answer:** In the vast majority of cases (approx. 90%), laryngomalacia is a **self-limiting condition**. The stridor typically appears at 2 weeks of age, peaks at 6–9 months, and resolves spontaneously by 18–24 months as the laryngeal cartilages strengthen. Unless there is significant respiratory distress or failure to thrive, the standard management is conservative observation and **reassurance to the parents**. 2. **Why Other Options are Incorrect:** * **Tracheostomy:** This is a radical measure reserved only for life-threatening airway obstruction that does not respond to other surgical interventions. * **Steroid Therapy:** Laryngomalacia is a structural/mechanical issue, not an inflammatory one; therefore, steroids have no role in routine treatment. * **Amputation of the Epiglottis:** This is an obsolete and dangerous practice that can lead to chronic aspiration. Modern surgical intervention, if needed (for severe cases), is **Supraglottoplasty**. **High-Yield Clinical Pearls for NEET-PG:** * **Characteristic Sign:** Inspiratory stridor that **increases** when the child is supine, crying, or feeding, and **decreases** when the child is prone (on the tummy). * **Diagnosis:** Confirmed by flexible fiberoptic laryngoscopy showing an **omega-shaped (Ω) epiglottis**. * **Associated Condition:** Gastroesophageal reflux (GERD) is frequently associated and can worsen the stridor; treating GERD often improves symptoms.
Congenital Anomalies of the Ear
Practice Questions
Pediatric Hearing Loss
Practice Questions
Otitis Media in Children
Practice Questions
Pediatric Sinusitis
Practice Questions
Pediatric Sleep Apnea
Practice Questions
Stridor in Children
Practice Questions
Congenital Airway Anomalies
Practice Questions
Foreign Body Management
Practice Questions
Pediatric Head and Neck Masses
Practice Questions
Pediatric Tracheostomy
Practice Questions
Pediatric Voice Disorders
Practice Questions
Pierre Robin Sequence and Airway Management
Practice Questions
Get full access to all questions, explanations, and performance tracking.
Start For Free