Loudness recruitment phenomenon is associated with which type of hearing loss?
Types of tympanoplasty include all except?
Which of the following is NOT true about otitic barotrauma?
Which abscess is related to the sternocleidomastoid muscle?
What is the indication for radical mastoidectomy in a middle-aged female?
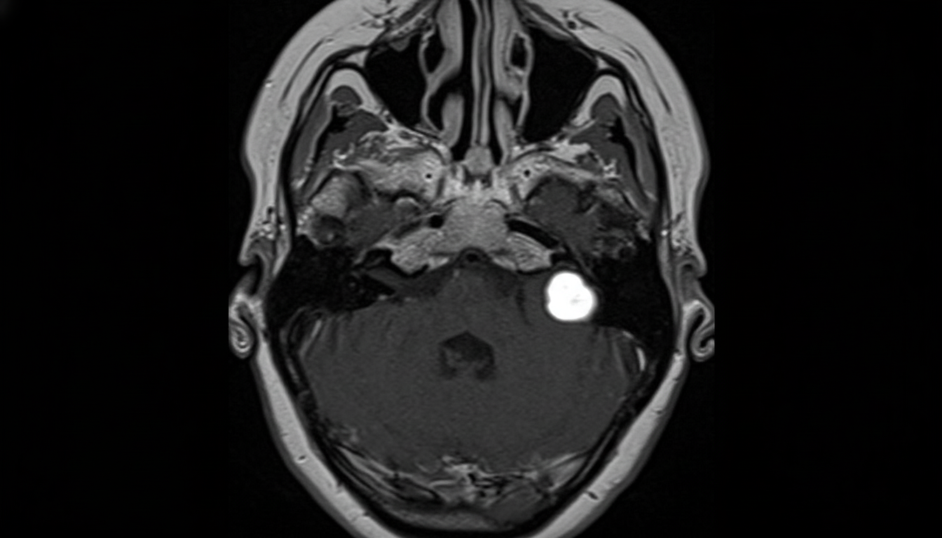
A 70-year-old man presents with tinnitus. What is the most probable diagnosis?

A 12-year-old child presents with fever, unilateral postauricular pain, and mastoid bulging that displaces the pinna forward and outward, with loss of bony trabeculae. The patient has a history of chronic persistent pus discharge from the same ear. What is the treatment of choice?
A diabetic female patient presents with severe ear pain, granulation tissue in the external auditory canal, and facial palsy. What is the most likely diagnosis?
For Grommet tube insertion in serous otitis media, where is the incision on the tympanic membrane typically made?
In which quadrant is myringotomy typically performed?
Explanation: **Explanation:** **Loudness Recruitment** is a physiological phenomenon where an abnormally rapid growth in the perception of loudness occurs once the hearing threshold is crossed. In simpler terms, a patient with hearing loss perceives a sound as being much louder than a person with normal hearing would at the same intensity level. **Why Cochlear Hearing Loss is correct:** Recruitment is pathognomonic of **Cochlear pathology** (specifically damage to the Outer Hair Cells). In a healthy ear, outer hair cells act as "cochlear amplifiers" for soft sounds. When these are damaged, soft sounds are not heard; however, as the intensity of the sound increases, the relatively healthy Inner Hair Cells are stimulated, and the brain perceives the sound at its full intensity. This sudden "jump" from silence to loud sound is recruitment. **Why other options are incorrect:** * **Retrocochlear hearing loss:** These lesions (e.g., Vestibular Schwannoma) typically exhibit **Decruitment** (loudness grows more slowly than normal) or abnormal adaptation (Tone Decay). * **Conductive hearing loss:** There is no damage to the sensory hair cells; the inner ear functions normally once the sound bypasses the conductive block. Therefore, recruitment is absent. * **Sensorineural hearing loss (SNHL):** While recruitment occurs in SNHL, this is a broad category. Since recruitment specifically distinguishes cochlear from retrocochlear causes, "Cochlear hearing loss" is the most specific and correct answer. **High-Yield Clinical Pearls for NEET-PG:** * **Tests for Recruitment:** Alternate Binaural Loudness Balance (ABLB) test and Short Increment Sensitivity Index (SISI) test (SISI score >70% indicates cochlear pathology). * **Clinical Sign:** Patients often say, *"I can't hear you, speak louder,"* followed by, *"Don't shout, you're hurting my ears!"* * **Hearing Aids:** Recruitment makes fitting hearing aids difficult because the dynamic range (the gap between hearing threshold and pain threshold) is severely narrowed.
Explanation: **Explanation:** Tympanoplasty is defined as a surgical procedure to eradicate disease in the middle ear and reconstruct the hearing mechanism, with or without grafting of the tympanic membrane. **Why Schwartz Operation is the Correct Answer:** The **Schwartz operation** (also known as **Cortical Mastoidectomy** or Simple Mastoidectomy) is a procedure where the mastoid air cells are exenterated without affecting the middle ear structures. It is primarily used for cases of acute coalescent mastoiditis. Since it does not involve the reconstruction of the tympanic membrane or the ossicular chain, it is not classified as a type of tympanoplasty. **Analysis of Other Options:** * **Myringoplasty (Type I Tympanoplasty):** This involves the repair of the tympanic membrane perforation without any ossicular reconstruction. * **Myringostapediopexy (Type III Tympanoplasty):** In this procedure, the tympanic membrane (or graft) is placed directly in contact with the head of the stapes. It is performed when the malleus and incus are absent but the stapes is mobile. * **Fenestration (Type V Tympanoplasty):** This is performed when the stapes footplate is fixed. A new window (fenestra) is created in the horizontal semicircular canal, and the graft is placed over it. **High-Yield Clinical Pearls for NEET-PG:** * **Wullstein’s Classification:** Remember the 5 types. Type II involves the graft resting on the incus; Type IV involves the graft resting on the mobile stapes footplate (shield effect). * **Wullstein vs. Paparella:** Wullstein classified tympanoplasty into 5 types, while Paparella added a 6th type (Type VI: Sono-inversion). * **Overlay vs. Underlay:** Underlay is the most common technique used for grafting (graft placed medial to the annulus). * **Schwartz Sign:** Do not confuse the Schwartz operation with the **Schwartz sign** (Flemingo flush), which is seen in active Otosclerosis.
Explanation: **Explanation:** Otitic barotrauma (Aerotitis media) occurs due to a failure of the Eustachian tube to equalize pressure between the middle ear and the atmosphere. **Why Option D is the correct answer (False statement):** Otitic barotrauma primarily occurs during **sudden descent** in an aircraft or during diving. During descent, atmospheric pressure increases rapidly, creating a relative negative pressure in the middle ear. If the Eustachian tube is blocked (e.g., due to URTI or allergy), it collapses, leading to a "vacuum effect" that causes pain and fluid accumulation. Conversely, during ascent, the middle ear pressure is higher than the atmosphere, and the Eustachian tube usually opens passively to vent air, making barotrauma rare during ascent. **Analysis of other options:** * **A. Conductive deafness:** The negative pressure causes fluid/blood effusion (haemotympanum) or retraction of the membrane, which hinders sound conduction. * **B. Retracted tympanic membrane:** This is a hallmark finding due to the negative intratympanic pressure pulling the membrane inward. * **C. Catheterization:** Eustachian tube catheterization or Politzerization can be used as a treatment modality to forcibly introduce air into the middle ear to equalize pressure once the acute phase of inflammation subsides. **High-Yield Clinical Pearls for NEET-PG:** * **Teed’s Classification:** Used to grade the severity of tympanic membrane changes in barotrauma (Grade 0 to 5). * **Prevention:** Advise patients to swallow, chew gum, or perform the **Valsalva maneuver** during descent. * **Diving:** In divers, it is known as "ear squeeze." * **Contraindication:** Patients with active URTI should avoid flying or diving to prevent barotrauma.
Explanation: **Explanation:** The correct answer is **Bezold abscess**. This condition occurs as a complication of acute coalescent mastoiditis. When the mastoid tip is thin-walled and well-pneumatized, pus can erode through the inner aspect of the mastoid tip (at the digastric notch). The pus then tracks deep to the **sternocleidomastoid (SCM)** muscle, presenting as a painful, fluctuant swelling in the upper neck. **Analysis of Options:** * **Luc abscess:** This is a subperiosteal abscess resulting from the tracking of pus through the external auditory canal wall. It presents as a swelling in the ear canal, unrelated to the SCM. * **Citelli abscess:** This occurs when pus tracks through the mastoid tip but follows the posterior belly of the digastric muscle to the **digastric fossa**. It presents as a swelling in the occipital region/posterior neck. * **Parapharyngeal abscess:** This involves the lateral pharyngeal space. While it presents with neck swelling and trismus, its origin is typically odontogenic or tonsillar, not the mastoid tip. **High-Yield Clinical Pearls for NEET-PG:** * **Bezold Abscess:** Pus is deep to the SCM; the swelling is often firm because it is covered by the thick muscle and fascia. * **Citelli Abscess:** Pus tracks along the digastric muscle. * **Mastoiditis Triad:** Reservoir sign (ear canal refills with pus after mopping), sagging of the posterosuperior canal wall, and mastoid tenderness. * **Imaging:** Contrast-enhanced CT (CECT) is the gold standard for diagnosing these complications.
Explanation: ### Explanation **Correct Option: C. Cholesteatoma invading the eustachian tube** The primary goal of a **Radical Mastoidectomy** is to create a common cavity involving the external auditory canal, middle ear, and mastoid, while permanently eliminating the middle ear space. It is indicated in cases where the disease is so extensive that middle ear reconstruction (tympanoplasty) is impossible or futile. When a **cholesteatoma invades the Eustachian tube**, the middle ear can no longer be aerated, making it impossible to maintain a functional middle ear cleft. In such cases, the surgeon removes the tympanic membrane, ossicles (except the stapes footplate), and the mucoperiosteal lining, and plugs the Eustachian tube to create a "safe," dry, exteriorized cavity. --- ### Why the other options are incorrect: * **A. Acute Suppurative Otitis Media (ASOM):** This is a medical emergency treated primarily with antibiotics. Surgical intervention (myringotomy) is only reserved for complications or severe pain. * **B. Chronic Suppurative Otitis Media (CSOM):** Most cases of CSOM (Attico-antral type) are treated with **Modified Radical Mastoidectomy (MRM)**. Unlike a radical mastoidectomy, MRM preserves the middle ear remnants and the tympanic membrane/graft to maintain hearing function. * **D. Acute Mastoiditis:** The surgical treatment of choice for coalescent mastoiditis (if medical therapy fails) is a **Cortical Mastoidectomy** (Schwartze operation), which drains the mastoid air cells while keeping the middle ear and canal wall intact. --- ### High-Yield Clinical Pearls for NEET-PG: * **Radical Mastoidectomy:** "Exteriorizes" the ear. The middle ear and mastoid become one cavity. Hearing is usually sacrificed (significant conductive loss). * **Modified Radical Mastoidectomy (Bondy’s):** The most common surgery for cholesteatoma; it preserves the middle ear space for hearing reconstruction. * **Cortical Mastoidectomy:** Only removes mastoid air cells; used in Coalescent Mastoiditis and as a preliminary step in Cochlear Implant surgery. * **Absolute Indications for Radical Mastoidectomy:** Cholesteatoma in the only hearing ear, unreachable disease in the Eustachian tube, or malignant tumors of the middle ear.
Explanation: ***Acoustic neuroma*** - **Acoustic neuroma** (vestibular schwannoma) commonly presents with **unilateral tinnitus** in elderly patients, often as the first symptom before hearing loss develops. - **MRI findings** typically show a **mass in the internal auditory canal (IAC)** or **cerebellopontine angle (CPA)**, which is characteristic for this benign tumor. *Acute suppurative otitis media (ASOM)* - ASOM typically presents with **acute ear pain**, **fever**, and **purulent discharge**, which are not mentioned in this case. - More common in **children** and usually associated with **recent upper respiratory tract infection**. *Labyrinthitis* - Primarily presents with **acute vertigo** and **nausea/vomiting** rather than isolated tinnitus as the main symptom. - Usually follows **viral infection** and symptoms are typically **self-limiting** within days to weeks. *Acoustic trauma* - Results from **sudden loud noise exposure** or **chronic noise exposure** causing immediate hearing damage. - Would have a **clear history of noise exposure** and typically presents with **sudden hearing loss** rather than gradual onset in elderly patients.
Explanation: ### Explanation **Diagnosis: Acute Mastoiditis with Mastoid Abscess** The clinical presentation of postauricular pain, fever, and a bulging mastoid that displaces the pinna **forward and outward** (downward and outward in adults) is classic for a **Mastoid Abscess**. The "loss of bony trabeculae" on imaging confirms the coalescence of air cells (Coalescent Mastoiditis). The history of chronic persistent pus discharge suggests an underlying chronic ear pathology (likely CSOM) that has progressed to an acute complication. **1. Why Option D is Correct:** A mastoid abscess is a surgical emergency. The definitive treatment requires a three-pronged approach: * **Mastoidectomy:** To remove the source of infection (the diseased mastoid air cells and granulation tissue). * **Incision and Drainage (I&D):** To evacuate the subperiosteal pus (usually via a Wilde’s incision). * **Intravenous Antibiotics:** To control the systemic infection and prevent intracranial spread. **2. Why Other Options are Incorrect:** * **Option A & C:** Antibiotics alone (or with I&D) are insufficient because they do not address the "coalescence" or the underlying bone destruction. Without a mastoidectomy, the reservoir of infection remains, leading to recurrence or life-threatening intracranial complications (e.g., meningitis, sigmoid sinus thrombosis). * **Option B:** I&D alone only treats the superficial collection but fails to address the primary pathology within the mastoid bone. **3. High-Yield Clinical Pearls for NEET-PG:** * **Iron-out Sign:** In early mastoiditis, the skin over the mastoid becomes thick and velvety, obliterating the normal skin creases. * **Light-house Sign:** Pulsatile ear discharge seen in acute suppurative otitis media (ASOM), often preceding mastoiditis. * **Sagging of Posterosuperior Meatal Wall:** A pathognomonic sign of mastoiditis due to periosteitis. * **Most Common Organism:** *Streptococcus pneumoniae* (Acute); *Pseudomonas* or *Proteus* (Chronic).
Explanation: **Explanation:** The clinical presentation of a diabetic patient with severe otalgia, granulation tissue at the bony-cartilaginous junction of the external auditory canal (EAC), and cranial nerve involvement (facial palsy) is a classic description of **Malignant Otitis Externa (Necrotizing Otitis Externa).** 1. **Why Option A is Correct:** Malignant Otitis Externa is a life-threatening infection, typically caused by *Pseudomonas aeruginosa*, that occurs in elderly diabetics or immunocompromised individuals. The infection starts in the EAC and spreads to the skull base (osteomyelitis). The presence of **granulation tissue** is a hallmark sign. Facial nerve palsy indicates advanced disease and spread to the stylomastoid foramen. 2. **Why Other Options are Incorrect:** * **Option B (Herpes Zoster Oticus/Ramsay Hunt Syndrome):** While it presents with facial palsy and ear pain, it is characterized by **vesicular eruptions** in the concha and EAC, not granulation tissue. * **Option C (Otomycosis):** This is a fungal infection causing itching and debris (wet newspaper appearance). It does not cause bone destruction, granulation tissue, or cranial nerve palsies. **High-Yield Clinical Pearls for NEET-PG:** * **Organism:** *Pseudomonas aeruginosa* is the most common causative agent. * **Pathognomonic Sign:** Granulation tissue at the floor of the EAC (bony-cartilaginous junction). * **Investigation of Choice:** **CT scan** to assess bone destruction; **Technetium-99m scan** for early diagnosis (detects osteoblastic activity); **Gallium-67 scan** to monitor treatment response/resolution. * **Treatment:** Long-term intravenous anti-pseudomonal antibiotics (e.g., Ciprofloxacin, Ceftazidime) and strict glycemic control.
Explanation: **Explanation:** The preferred site for **Myringotomy** and **Grommet (Ventilation Tube) insertion** in Serous Otitis Media is the **Anteroinferior quadrant** of the tympanic membrane. **1. Why Anteroinferior is Correct:** * **Safety:** This quadrant is the farthest from vital middle ear structures. It avoids injury to the Ossicular chain (specifically the Incudostapedial joint) and the Chorda Tympani nerve. * **Eustachian Tube Alignment:** It lies directly opposite the opening of the Eustachian tube, facilitating better ventilation. * **Extrusion Rate:** Tubes placed anteriorly tend to stay in place longer than those placed posteriorly, as the migratory pattern of the tympanic membrane epithelium helps prevent premature extrusion. **2. Why Other Options are Incorrect:** * **Posterosuperior Quadrant:** This is the "Danger Zone." Incisions here risk damaging the **Incudostapedial joint**, the **Stapes**, and the **Chorda Tympani nerve**. * **Anterosuperior Quadrant:** This area is technically difficult to access due to the overhang of the anterior canal wall and is close to the Eustachian tube orifice, which may lead to early blockage of the tube by secretions. * **Posteroinferior Quadrant:** While sometimes used for simple myringotomy (to drain pus in ASOM), it is not preferred for Grommets because the proximity to the Round Window and the higher risk of early extrusion compared to the anterior quadrants. **Clinical Pearls for NEET-PG:** * **Indication:** Grommets are most commonly used for **Otitis Media with Effusion (Glue Ear)** non-responsive to medical management for 3 months. * **Myringotomy Technique:** In ASOM, a circumferential incision is made; in Serous Otitis Media, a radial incision is preferred to minimize scarring. * **Complication:** The most common long-term complication of Grommet insertion is **Tympanosclerosis** (chalky white patches on the TM).
Explanation: ### Explanation **Underlying Medical Concept** Myringotomy is a surgical procedure where a small incision is made in the tympanic membrane (TM) to drain fluid or relieve pressure. The choice of quadrant is governed by **safety** (avoiding vital structures) and **function** (ventilation vs. drainage). The tympanic membrane is divided into four quadrants by a vertical line through the handle of the malleus and a horizontal line through the umbo. The **posterior-superior** quadrant is strictly avoided because it overlies the incudostapedial joint and the chorda tympani nerve. **Why Option C is Correct** The site of myringotomy depends on the clinical indication: * **Antero-inferior quadrant:** This is the preferred site for **Grommet (ventilation tube) insertion**. It is the safest area and has a lower rate of early tube extrusion. * **Postero-inferior quadrant:** This is the preferred site for **acute suppurative otitis media (ASOM)** to facilitate wide drainage of pus, as it overlies the most dependent part of the middle ear (the hypotympanum). Since both quadrants are standard sites depending on the specific goal of the surgery, Option C is the most comprehensive answer. **Why Other Options are Incorrect** * **Option A & B:** While both are used, selecting only one would be incomplete. Antero-inferior is specific to long-term ventilation, while postero-inferior is specific to acute drainage. **NEET-PG High-Yield Pearls** * **Shape of Incision:** In ASOM, a **curvilinear (j-shaped)** incision is made in the postero-inferior quadrant. In Serous Otitis Media (for grommet), a **radial** incision is often preferred as it heals better. * **Safe Quadrants:** Always remember: **"Inferior is Safe, Superior is Scary."** * **Most common complication:** Persistent perforation or tympanosclerosis at the site of the incision. * **Indication for Grommet:** Otitis Media with Effusion (Glue Ear) that is non-responsive to medical management for 3 months.
Tympanic Membrane Perforation
Practice Questions
Cholesteatoma
Practice Questions
Tympanoplasty Techniques
Practice Questions
Ossicular Chain Reconstruction
Practice Questions
Mastoidectomy
Practice Questions
Stapedectomy
Practice Questions
Implantable Hearing Devices
Practice Questions
Congenital Aural Atresia
Practice Questions
Otologic Trauma
Practice Questions
Glomus Tumors
Practice Questions
Facial Nerve Decompression
Practice Questions
Rehabilitative Audiology
Practice Questions
Get full access to all questions, explanations, and performance tracking.
Start For Free