65 year old man with carcinoma of tongue of > 4 cm size and multiple lymph nodes of > 6 cm noted. What is the AJCC staging?
Which condition is characterized by a specific radiological appearance resembling a sunburst pattern?
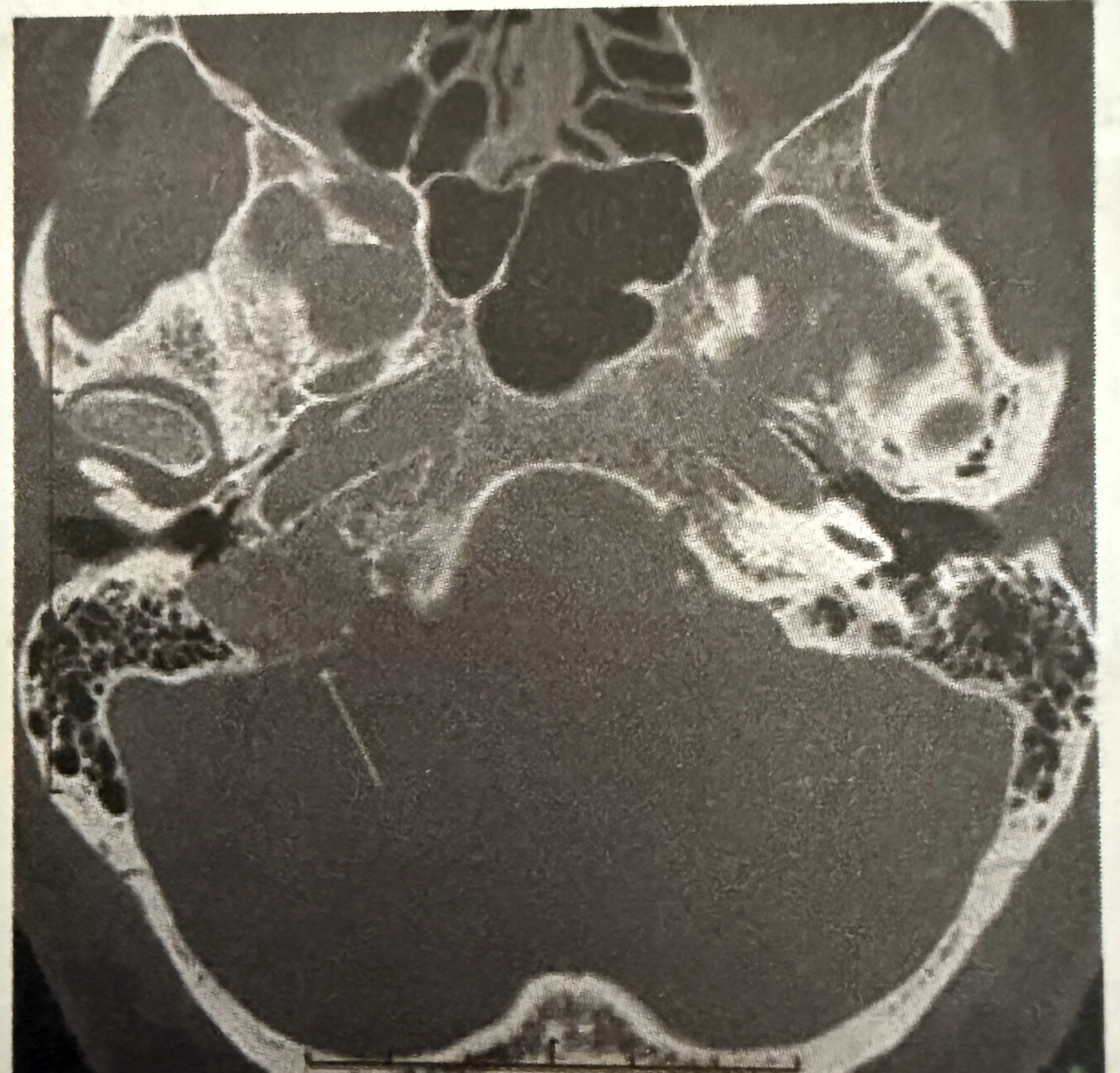
A patient presents with conductive hearing loss, pulsatile tinnitus, and a positive Phelps sign. Based on the CT scan image provided, what is the most likely diagnosis?

Which of the following statements about Glomus jugulare tumors is correct?
A patient presents with conductive hearing loss, pulsatile tinnitus and a positive Phelps sign. Using the CT scan provided, identify the condition.

The usual location of glomus jugulare tumor is -
The cough response elicited while cleaning the external ear canal is mediated by stimulation of which nerve?
Schwartz sign is seen in which condition?
At what atmospheric pressure gradient does barotraumatic otitis media occur?
A child presents to the emergency department with signs of meningeal irritation, following a history of suppurative otitis media in the preceding week. Through which route can infection of the middle ear spread to the central nervous system?
Explanation: ***T3 N3 M0*** - The primary tumor (T) is classified as **T3** because its greatest dimension is greater than 4 cm (or any tumor with depth of invasion > 10 mm). - The nodal involvement (N) is classified as **N3** (specifically **N3a**) because any lymph node greater than 6 cm, regardless of number, qualifies as N3a per **AJCC 8th Edition** staging. - This is the correct staging based on the clinical findings provided. *T2 N3 M0* - This is incorrect because a tumor > 4 cm automatically classifies as **T3**, not T2. - **T2** is reserved for tumors > 2 cm but ≤ 4 cm with depth of invasion ≤ 10 mm, or tumors ≤ 2 cm with depth of invasion > 5 mm and ≤ 10 mm. - While the N3 classification is correct, the T staging is wrong. *T3 N2 M0* - This is incorrect because although **T3** is correct for a tumor > 4 cm, the nodal classification is wrong. - Any lymph node > 6 cm is classified as **N3a**, not N2. - **N2** classifications require all involved nodes to be ≤ 6 cm in size. *T2 N2 M0* - This is incorrect as both the T and N classifications are inaccurate. - A tumor > 4 cm is **T3**, not T2. - Lymph node(s) > 6 cm are **N3a**, not N2. - This represents understaging of both the primary tumor and nodal disease.
Explanation: ***Osteosarcoma*** - **Osteosarcoma** is known for its classic radiological findings, including the **sunburst (rising sun)** or **spiculated periosteal reaction**, where new bone forms perpendicular to the cortex. - Another characteristic finding is **Codman's triangle**, which is a triangular elevation of the periosteum visible on X-ray. *Chondrosarcoma* - **Chondrosarcomas** are typically characterized by a **"rings and arcs"** pattern of calcification within the cartilaginous matrix on imaging studies. - They tend to appear as lobular masses with endosteal scalloping and soft tissue components rather than the sunburst pattern. *Ewing's sarcoma* - **Ewing's sarcoma** classically presents with an **"onion skin" (lamellated)** periosteal reaction due to layers of parallel new bone formation. - It often appears as an ill-defined lytic lesion with cortical destruction, differing from the sunburst appearance. *Fibrosarcoma* - **Fibrosarcomas** are typically **lytic lesions** with aggressive cortical destruction and soft tissue involvement. - They generally do not produce characteristic periosteal reactions like the sunburst or onion skin appearance, often presenting as non-specific destructive lesions.
Explanation: ***Glomus Jugulare*** - The symptoms of **conductive hearing loss**, **pulsatile tinnitus**, and a **positive Phelps sign** (destruction of the bone separating the carotid artery from the jugular bulb on CT) are classic for a glomus jugulare tumor. - The CT scan image, showing a destructive lesion in the **jugular foramen** region, further supports this diagnosis, as these tumors originate from the paraganglia of the jugular bulb. *Glomus Tympanicum* - While it can cause conductive hearing loss and pulsatile tinnitus, a glomus tympanicum tumor is typically **confined to the middle ear cavity** and does not involve bone erosion of the jugular foramen as indicated by a positive Phelps sign. - The CT findings would show a mass in the middle ear, often behind an intact tympanic membrane, rather than extensive bone destruction in the jugular region. *Acoustic Neuroma* - This tumor, also known as a **vestibular schwannoma**, primarily causes **sensorineural hearing loss**, **tinnitus** (often non-pulsatile), and **balance issues**, not conductive hearing loss or pulsatile tinnitus. - An acoustic neuroma is located in the **cerebellopontine angle** and internal auditory canal, and the CT scan would show a mass in this specific location, not necessarily bone erosion of the jugular foramen. *Cholesteatoma* - A cholesteatoma is a **destructive, expanding growth of keratinizing squamous epithelium** in the middle ear or mastoid, typically presenting with **conductive hearing loss**, **otorrhea**, and sometimes headaches. - It does not typically cause pulsatile tinnitus unless it's very large and vascularized, nor does it present with the characteristic destruction of the jugular foramen seen with a positive Phelps sign.
Explanation: ***Arises from non-chromaffin cells.*** - Glomus jugulare tumors are paragangliomas, which originate from **neuroectodermal cells** of the paraganglia system. - These cells are **non-chromaffin**, meaning they do not stain with chromium salts, unlike chromaffin cells found in the adrenal medulla. - This is a key distinguishing feature of glomus tumors. *Incorrect: More common in males than in females.* - This is **incorrect** - glomus jugulare tumors show a **strong female predominance** with a female-to-male ratio of approximately **4-6:1**. - This female predilection is a well-established epidemiological characteristic of these tumors. *Incorrect: Metastasize to lymph nodes.* - Glomus jugulare tumors are generally considered **benign** but locally aggressive, with a very **low metastatic potential** (~5%). - When metastasis does occur (rare), it typically involves distant sites like bone, lung, or liver, rather than regional lymph nodes. - Lymph node metastasis is not a characteristic feature. *Incorrect: None of the options.* - This option is incorrect because the statement "Arises from non-chromaffin cells" is a factually correct characteristic of glomus jugulare tumors. - Glomus tumors are derived from glomus cells, which are part of the non-chromaffin paraganglia system.
Explanation: ***Glomus jugulare*** - This diagnosis aligns with the presence of **conductive hearing loss**, **pulsatile tinnitus**, and a **positive Phelps sign**, which indicate a highly vascular tumor in the jugular foramen. - While exact details of the CT scan are difficult to discern from the provided image, the clinical context strongly points towards a **glomus jugulare tumor**, known for its characteristic bone erosion around the jugular bulb seen on imaging. *Glomus tympanicum* - This typically presents with **pulsatile tinnitus** and **conductive hearing loss**, but is usually observed as a red mass behind an intact tympanic membrane, arising from the **promontory** within the middle ear space. - It would not typically cause a **Phelps sign**, which specifically relates to erosion of the jugular foramen region. *Acoustic neuroma* - An acoustic neuroma (vestibular schwannoma) causes **sensorineural hearing loss**, often unilateral, not conductive, along with **tinnitus** (usually non-pulsatile) and **balance issues**. - It arises from the vestibular nerve within the **internal auditory canal** and cerebellopontine angle, and does not cause a Phelps sign. *Otosclerosis* - Otosclerosis is characterized by **conductive hearing loss** due to abnormal bone growth fixing the stapes in the oval window, but it does not cause **pulsatile tinnitus** or involve a **positive Phelps sign**. - The disease involves the **otic capsule** and typically does not present with a tumorous mass visible on CT in the jugular foramen area.
Explanation: ***Hypotympanum*** - The **glomus jugulare tumor** originates from **chemoreceptor cells (glomus bodies)** located in the adventitia of the **jugular bulb**, which is situated in the hypotympanum. - This location accounts for the common presentation of these tumors within the **middle ear space**, often eroding upwards from the floor. *Mastoid air cells* - While glomus jugulare tumors can invade the **mastoid**, this is typically a secondary extension, not their primary site of origin. - Tumors primarily arising in the mastoid air cells are more commonly **cholesteatomas** or **primary mastoid malignancies**. *Epitympanum* - The **epitympanum** (attic) is the upper part of the middle ear and is more often associated with the origin of **cholesteatomas** or extensions of tympanic membrane perforations. - **Glomus jugulare tumors** are not typically found to originate here. *Internal auditory meatus* - The **internal auditory meatus** houses the facial nerve and vestibulocochlear nerve and is the common location for **vestibular schwannomas (acoustic neuromas)**. - **Glomus jugulare tumors** do not primarily originate in this location but can extend to involve the internal auditory meatus in advanced stages.
Explanation: This phenomenon is known as **Arnold’s Reflex** (or the Ear-Cough Reflex). It occurs due to the stimulation of the **Auricular branch of the Vagus Nerve (Arnold’s Nerve)**, which provides sensory innervation to the posterior and inferior walls of the external auditory canal (EAC). ### Why the Correct Answer is Right: When the EAC is stimulated (e.g., during syringing or cleaning with a cotton bud), sensory impulses are carried via the Vagus nerve (CN X) to the nucleus tractus solitarius in the brainstem. This triggers the efferent limb of the cough reflex, leading to an involuntary cough. This is a classic example of a referred reflex where stimulation of a peripheral nerve causes a response in a visceral organ system. ### Why Other Options are Incorrect: * **Option A (V cranial nerve):** The Auriculotemporal branch of the Mandibular nerve (V3) supplies the anterior and superior walls of the EAC. While it carries sensation, it does not mediate the cough reflex. * **Option B (C1 and C2):** The Greater Auricular nerve (C2, C3) supplies the skin over the mastoid and the lateral/lower part of the auricle, not the deep canal associated with this reflex. * **Option C (VII cranial nerve):** The Facial nerve provides minor sensory innervation to the concha and retroauricular area (often involved in Ramsay Hunt Syndrome), but it is not responsible for the cough reflex. ### High-Yield Clinical Pearls for NEET-PG: * **Arnold’s Nerve:** A branch of the Vagus (CN X). * **Vagal Reflexes in ENT:** Stimulation of the EAC can occasionally cause **bradycardia or fainting** (Vaso-vagal syncope) due to the same nerve. * **Hitchelberger’s Sign:** Reduced sensation in the area supplied by the facial nerve in the EAC, seen in Acoustic Neuroma. * **Nerve Supply of EAC (Summary):** 1. Anterior/Superior: V3 (Auriculotemporal). 2. Posterior/Inferior: X (Arnold’s). 3. Concha/Posterior wall: VII (Facial).
Explanation: **Explanation:** **Schwartz Sign** (also known as the Flamingo Flush sign) is a pathognomonic clinical finding in **Otosclerosis**, specifically during the active phase of the disease (Otospongiosis). * **Why it is correct:** In active otosclerosis, there is increased vascularity in the submucosa of the promontory due to rapid bone remodeling. When viewed through a translucent tympanic membrane, this hypervascularity appears as a **reddish/pinkish hue** behind the drum. It indicates that the disease is in a highly metabolic, "spongiotic" stage. * **Meniere’s Disease:** This is a disorder of the inner ear characterized by endolymphatic hydrops. The tympanic membrane appears completely normal on examination; there is no increased vascularity of the middle ear. * **ASOM:** While the tympanic membrane appears red in ASOM, it is due to acute inflammation and congestion of the drum itself (cartwheel appearance), not a localized flush on the promontory. * **CSOM:** This typically presents with a perforated tympanic membrane and discharge. While the middle ear mucosa may be polypoid or pale, it does not exhibit the specific localized vascular flush seen in Schwartz sign. **High-Yield Clinical Pearls for NEET-PG:** * **Treatment of Schwartz Sign:** If a patient presents with a positive Schwartz sign, medical management with **Sodium Fluoride** is often initiated to promote maturation of the focus (converting otospongiosis to otosclerosis) before considering surgery. * **Gelle’s Test:** Negative in otosclerosis (indicates ossicular fixation). * **Carhart’s Notch:** A characteristic dip in the bone conduction threshold at **2000 Hz** seen on Pure Tone Audiometry. * **Bezold’s Triad:** Includes (1) Raised bone conduction threshold, (2) Negative Rinne test, and (3) Prolonged Schwabach test.
Explanation: **Explanation:** **Barotraumatic Otitis Media** (also known as Otitic Barotrauma) occurs due to a failure of the Eustachian tube to equalize a rapid increase in ambient atmospheric pressure, most commonly during the descent of an aircraft or deep-sea diving. 1. **Why 90 mm Hg is correct:** Under normal conditions, the Eustachian tube opens periodically to equalize middle ear pressure. However, when the external atmospheric pressure exceeds the middle ear pressure by a gradient of **90 mm Hg**, the fibrocartilaginous portion of the Eustachian tube becomes forcefully "locked" or collapsed. At this critical pressure gradient, the tensor veli palatini muscle is no longer strong enough to open the tube, leading to severe negative pressure in the middle ear, mucosal edema, and potential hemorrhage or effusion. 2. **Analysis of Incorrect Options:** * **80 mm Hg:** While physiological stress begins at lower gradients, the "locking" phenomenon that defines clinical barotrauma typically occurs at the 90 mm Hg threshold. * **100 mm Hg & 120 mm Hg:** These pressures are well beyond the initial locking point. By the time the gradient reaches these levels, significant pathological changes (like tympanic membrane rupture or hemotympanum) are likely already occurring. **NEET-PG High-Yield Pearls:** * **The "Locking" Phenomenon:** Occurs at a pressure differential of **90 mm Hg**. * **Most Common Cause:** Rapid descent in an airplane (negative middle ear pressure). * **Clinical Presentation:** Severe ear pain (otalgia), hearing loss, and a retracted/congested tympanic membrane (Teed Scale is used for grading). * **Prevention:** Valsalva maneuver during descent, chewing gum, or using decongestants. * **Treatment:** Most cases are managed conservatively; however, if the tube remains locked, myringotomy may be required to equalize pressure.
Explanation: **Explanation:** The spread of infection from the middle ear to the central nervous system (CNS) occurs via three primary pathways: **preformed pathways**, **direct bone erosion**, and **retrograde thrombophlebitis**. **Why Cochlear Aqueduct is Correct:** The cochlear aqueduct is a **preformed anatomical pathway** that connects the perilymphatic space of the inner ear directly to the subarachnoid space of the posterior cranial fossa. In cases of suppurative otitis media, infection can spread to the inner ear (labyrinthitis) and subsequently reach the meninges via the cochlear aqueduct, leading to meningitis. This is a classic route for otogenic meningitis in children. **Analysis of Incorrect Options:** * **A. Venous plexus:** While retrograde thrombophlebitis through small veins (veins of Breschet) is a known route, it typically leads to brain abscesses or lateral sinus thrombosis rather than direct meningeal irritation via a preformed channel. * **C. Cochlear nerve sheath:** While the internal auditory canal (IAC) is a potential route, the cochlear aqueduct provides a more direct communication between the labyrinthine fluids and the cerebrospinal fluid (CSF). * **D. Bloodstream:** Hematogenous spread is more common for primary meningitis (e.g., *H. influenzae*). In the context of an active ear infection, local extension through preformed pathways is the more specific anatomical route tested. **High-Yield Clinical Pearls for NEET-PG:** * **Most common route** for intracranial complications in **acute** otitis media: Preformed pathways (e.g., dehiscent sutures, cochlear aqueduct). * **Most common route** in **chronic** otitis media (Cholesteatoma): Direct bone erosion (usually the tegmen tympani or tegmen antri). * **Hyrtl’s Fissure:** A transient fetal pathway (tympanomeningeal fissure) that can also act as a route for infection in very young children. * **Mondini Dysplasia:** Often associated with recurrent meningitis due to a congenital defect in the oval window or cochlear aqueduct.
Get full access to all questions, explanations, and performance tracking.
Start For Free