Middle age diabetic with tooth extraction with ipsilateral swelling over middle one-third of sternocleidomastoid & displacement of tonsils towards contralateral -
Which of the following is the best tuning fork to perform Rinne's and Weber's tests?
Tests of SNHL are characterized by all EXCEPT
A 14-year-old child with a history of recurrent nasal bleeding has the endoscopic view provided. What is the investigation of choice?

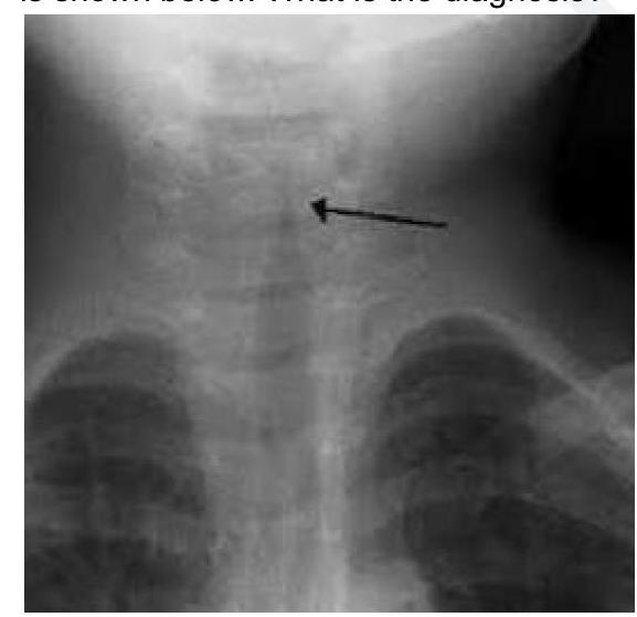
Identify the investigation being carried out in the image.

In which of the following conditions oral screen should\nnot be used:
A 2 year child presented with low grade fever and stridor. What is the likely diagnosis?

Rinne's test was negative in the right ear. What is the possible diagnosis?
Which of the following tests assesses resistance in the middle ear?
Gelle's test is done in?
Explanation: ***Parapharyngeal abscess*** - The **ipsilateral swelling** over the middle one-third of the sternocleidomastoid and **contralateral tonsil displacement** are classic signs of a parapharyngeal abscess, often secondary to an odontogenic infection. - This location involves the space lateral to the pharynx, which can expand and push structures like the tonsils medially. *Ludwig's angina* - Ludwig's angina is a **rapidly progressive cellulitis** of the submandibular, sublingual, and submental spaces, typically bilateral. - It presents with **brawny induration** of the neck and elevation of the tongue, but usually without a distinct mass displacing the tonsils. *Retropharyngeal abscess* - A retropharyngeal abscess develops in the space behind the posterior pharyngeal wall, usually presenting with **swelling of the posterior pharyngeal wall**. - It more commonly causes **dysphagia**, **stridor**, and neck stiffness, and does not typically result in significant ipsilateral external neck swelling or contralateral tonsil displacement like a parapharyngeal abscess. *None of the options* - The described clinical presentation, with a history of **tooth extraction**, ipsilateral sternocleidomastoid swelling, and contralateral tonsil displacement, is highly specific for a parapharyngeal abscess. - This option is incorrect because there is a clear and well-matched diagnosis among the choices.
Explanation: ***512 Hz*** - A **512 Hz tuning fork** is considered ideal for both Rinne's and Weber's tests because its frequency falls within the **speech frequency range**, which is clinically relevant for detecting hearing loss. - This frequency also produces an optimal tone that is **sustained long enough** to perform the tests accurately, without being too low (which can cause vibratory sensation) or too high (which decays too quickly). *128 Hz* - Tuning forks with **lower frequencies** like 128 Hz are more likely to be perceived as a **vibration sensation** rather than pure sound, especially during bone conduction, which can lead to inaccurate test results. - While useful for testing **vibratory sensation** in neurological exams, it is not preferred for distinguishing between air and bone conduction in hearing tests. *256 Hz* - Although it produces a clear tone, a **256 Hz tuning fork** can still introduce some degree of **vibratory sensation**, potentially confusing test interpretation, especially in bone conduction. - The **512 Hz fork** offers a better balance between sound clarity and minimal vibratory sensation for hearing assessment. *1024 Hz* - A **1024 Hz tuning fork** produces a high-frequency tone that tends to **decay too quickly**, making it difficult to accurately compare air and bone conduction times, especially in the Weber test. - While useful for testing higher frequencies, its **short sustain time** makes it less practical for the comparative nature of Rinne's and Weber's tests.
Explanation: ***Speech discrimination is good*** - In **sensorineural hearing loss (SNHL)**, damage to the cochlea or auditory nerve specifically impairs the processing of complex sound signals. - This typically leads to **poor speech discrimination**, particularly in noisy environments, making it difficult to understand spoken words even when the volume is adequate. - **This is NOT characteristic of SNHL**, making it the correct answer to this EXCEPT question. ***Positive Rinne test*** - A **positive Rinne test** (air conduction > bone conduction) **is characteristic of SNHL**. - In SNHL, both air and bone conduction are reduced equally, but air conduction remains better than bone conduction, maintaining the positive Rinne pattern. - There is **no air-bone gap** in SNHL (unlike conductive hearing loss where Rinne becomes negative). ***Weber lateralised to better ear*** - In **unilateral SNHL**, the **Weber test lateralizes to the better-hearing ear** because the healthy cochlea perceives the sound vibration more strongly. - The damaged ear is less able to detect the bone-conducted sound, causing the perception that the sound is louder in the unaffected ear. - **This is characteristic of SNHL**. ***More often involving high frequencies*** - **SNHL often affects high frequencies first** due to specific vulnerabilities of the **basal turn of the cochlea** to age-related degeneration, noise exposure, and ototoxic drugs. - This pattern of hearing loss is common in **presbycusis** and noise-induced hearing loss. - **This is characteristic of SNHL**.
Explanation: ***CECT (Contrast-Enhanced CT)*** - Given the history of recurrent nasal bleeding in an adolescent male suggestive of a **juvenile nasopharyngeal angiofibroma (JNA)**, CECT is the investigation of choice to delineate the tumor's extent, vascularity, and involvement of surrounding structures. - CECT provides crucial information for surgical planning and assessing intracranial extension due to the highly vascular nature of JNAs. *Biopsy* - Biopsy of a suspected angiofibroma is generally **contraindicated** due to the high risk of severe and uncontrolled hemorrhage because the tumor is highly vascular and lacks a true capsule. - The diagnosis of JNA is usually made based on clinical presentation and imaging findings. *X-ray* - **X-rays** (like plain radiographs of the sinuses) offer limited soft tissue detail and are **insufficient** to accurately visualize the extent or vascularity of a nasopharyngeal mass. - They may show some bony erosion but cannot provide the detailed information needed for diagnosis or surgical planning of a JNA. *FESS (Functional Endoscopic Sinus Surgery)* - **FESS** is a **surgical procedure** used for treating chronic sinusitis and other sinonasal conditions, not primarily an investigative tool for a suspected tumor like JNA. - While endoscopy is used for initial visualization, **surgery** is a treatment, and detailed imaging must precede it to understand tumor boundaries.
Explanation: ***Barium Swallow*** - The image shows a contrast material, characteristic of **barium**, flowing through the esophagus, captured as a sequence of X-ray images, which is the definition of a barium swallow study. - This **dynamic imaging** allows for evaluation of swallowing function and esophageal motility. *Fluoroscopy* - While a barium swallow uses **fluoroscopy** to visualize the movement of barium, fluoroscopy itself is the technique, not the specific investigation being performed. The image depicts the result of a specific type of fluoroscopic examination. - Fluoroscopy is a general term for real-time X-ray imaging, whereas "Barium Swallow" specifies the type of study being done on the upper GI tract. *X-ray after alkali ingestion* - This scenario would typically involve viewing the effects of **corrosive injury** to the esophagus, which would appear as mucosal damage, narrowing, or perforation. The image does not show these features; instead, it shows smooth passage of contrast. - There is no visible evidence of an acute or chronic injury pattern consistent with **alkali ingestion**, which often leads to severe burns or strictures. *X-ray after acid ingestion* - Similar to alkali ingestion, acid ingestion also causes **corrosive injury**, typically affecting the stomach more severely than the esophagus. The image does not demonstrate these pathological changes. - The smooth, unobstructed flow of contrast in multiple frames is indicative of normal esophageal function rather than the sequelae of corrosive ingestion.
Explanation: ***Acute infection of tonsils and adenoids*** - An oral screen **increases airflow restriction** and can exacerbate symptoms in patients with acute tonsil and adenoid infections. - Using an oral screen in this condition can lead to **discomfort**, **difficulty breathing**, and potentially worsen the inflammatory process. *Tongue thrusting* - Oral screens are often used as an **orthodontic appliance** to help modify or correct **tongue thrusting habits**, a parafunctional habit. - They act as a physical barrier to retrain tongue placement and swallowing patterns. *Thumb sucking* - **Oral screens** are a common appliance used to deter **thumb sucking habits** in children. - By creating a physical barrier, they help break the habit and prevent associated dental malocclusions. *Nail biting habit* - While other dental appliances might address nail biting, an **oral screen is not typically indicated** for this habit. - Nail biting is often managed through behavioral modification or other protective devices on the nails themselves.
Explanation: ***Acute Laryngotracheobronchitis*** - The combination of **low-grade fever** and **stridor** in a 2-year-old child strongly suggests **croup**, which is medically known as acute laryngotracheobronchitis. - Croup is characterized by **inflammation** of the larynx, trachea, and bronchi, often presenting with a **barking cough** and inspiratory stridor. The X-ray image would show the characteristic **steeple sign**. *Acute Bacterial Tracheitis* - This is a more severe bacterial infection that can present with stridor but typically shows **higher fever**, **toxic appearance**, and rapid clinical deterioration. - Unlike croup, bacterial tracheitis patients appear **more ill** and may have **purulent secretions** requiring more aggressive management. *Acute Epiglottitis* - A serious condition characterized by **rapid onset of high fever**, **dysphagia**, drooling, and a **"tripod" position**, which are not indicated by the given symptoms. - The stridor in epiglottitis is typically quieter and may indicate more severe airway obstruction compared to the characteristic stridor of croup. *Foreign Body aspiration* - While foreign body aspiration can cause stridor, it is typically an **acute event** with a sudden onset of choking, coughing, and respiratory distress. - There is no mention of a choking episode or sudden onset, and a low-grade fever is less typical for an uncomplicated foreign body aspiration.
Explanation: ***40 dB CHL right ear, left normal*** - A **negative Rinne's test** indicates that **bone conduction is better than air conduction**, which is characteristic of a **conductive hearing loss (CHL)** in the tested ear. - For Rinne's test to be negative, the conductive hearing loss usually needs to be at least **25-30 dB**, making **40 dB CHL** a plausible diagnosis. - This correctly identifies the **right ear** as the affected ear with conductive pathology. *40 dB SNHL in left ear, right ear normal* - A **negative Rinne's test** in the **right ear** means the issue is in the right ear, not the left. - **Sensorineural hearing loss (SNHL)** typically results in a **positive Rinne's test** (air conduction better than bone conduction) as both air and bone conduction are equally reduced. - This option incorrectly identifies the left ear and wrong type of hearing loss. *40 dB CHL in both ears* - While a negative Rinne's test indicates CHL, it specifically points to the ear being tested (the **right ear** in this case). - There is no information from a unilateral Rinne's test to suggest CHL in the **left ear** as well. - This represents over-interpretation of a unilateral test finding. *Profound hearing loss right ear, left ear normal* - A **profound hearing loss** (particularly severe SNHL) in the right ear could result in a false-negative Rinne's test where bone conduction is picked up by the contralateral ear. - However, a negative Rinne's test without additional context more specifically indicates **moderate conductive hearing loss (40 dB CHL)** rather than profound loss. - The term "profound" is also imprecise without specifying the type of hearing loss.
Explanation: ***Impedance audiometry*** - This test measures the **impedance** (resistance) of the middle ear and the mobility of the **tympanic membrane** and **ossicular chain** - It also assesses the **acoustic reflex**, which is the contraction of the middle ear muscles in response to loud sound, providing information about the middle ear and auditory pathways *Pure tone audiometry* - This test measures an individual's **hearing sensitivity** across different frequencies - It assesses the **thresholds of hearing** for air conduction and bone conduction, but does not directly measure middle ear resistance *Caloric test* - The caloric test evaluates the function of the **vestibular system** and the **horizontal semicircular canal** - It involves introducing warm or cold water/air into the ear canal to induce nystagmus, but does not assess middle ear resistance *BERA (Brainstem evoked response audiometry)* - BERA measures the **electrical activity** in the auditory pathway from the cochlea to the brainstem in response to auditory stimuli - It is used to assess hearing in infants, differentiate between **sensory** and **neural hearing loss**, and detect neurological disorders, but does not measure middle ear impedance
Explanation: ***Otosclerosis*** - **Gelle's test** is primarily used to diagnose **otosclerosis**, a condition causing **conductive hearing loss** due to abnormal bone growth in the middle ear. - The test assesses changes in **bone conduction hearing** in response to alterations in external ear canal pressure, which is characteristic of a fixed stapes footplate in otosclerosis. *Traumatic deafness* - **Traumatic deafness** can result from direct injury to the ear, but **Gelle's test** is not a primary diagnostic tool for this type of hearing loss. - Diagnosis typically involves evaluating the **nature and extent of the trauma** and other audiometric tests. *Senile deafness* - Also known as **presbycusis**, **senile deafness** is a **sensorineural hearing loss** associated with aging. - **Gelle's test** assesses changes in bone conduction with pressure, making it less relevant for diagnosing age-related nerve damage. *Serous otitis media* - **Serous otitis media** involves fluid accumulation in the middle ear, leading to **conductive hearing loss**. - While it causes conductive hearing loss, **Gelle's test** is not the definitive diagnostic test; **tympanometry** and **audiometry** are more commonly used.
Get full access to all questions, explanations, and performance tracking.
Start For Free