Which of these is the best for management of a 3 cm stone in renal pelvis without evidence of hydronephrosis?
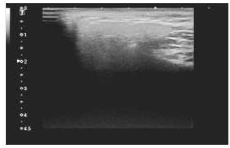
A 45-year-old patient complained of pain on one side of the neck. She is afraid of eating food as it worsens the pain. An ultrasound of the salivary glands is shown below. What is the most likely diagnosis?

All of the following are contrast radiographs except:
What does sialosis refer to?
Treatment of choice for SIADH is:
An otherwise healthy male presents with a creamy curd like white patch on the tongue. The probable diagnosis is
Genitourinary complication of ulcerative colitis
All of the following statements regarding stones in the submandibular gland are true except?
Hairy leukoplakia is characterized by?
Areas of carcinoma of the oral mucosa can be identified by staining with which of the following?
Explanation: ***PCNL*** - **Percutaneous nephrolithotomy (PCNL)** is the gold standard treatment for large renal stones (>2 cm) due to its high stone-free rates in a single procedure. - For a 3 cm renal pelvis stone, PCNL provides the best clearance rate (~95%) with minimal need for repeat procedures. - It involves direct percutaneous access to the kidney, allowing fragmentation and removal of large stone burden efficiently. *ESWL* - **Extracorporeal shock wave lithotripsy (ESWL)** has limited efficacy for stones >2 cm, with stone-free rates dropping to 50-60% for 3 cm stones. - Multiple sessions are typically required, with increased risk of steinstrasse (stone street) formation and residual fragments. - While non-invasive, ESWL is not the optimal choice for this stone size. *Retrograde pyeloplasty* - This option appears to reference **retrograde endoscopic approaches** (such as retrograde intrarenal surgery - RIRS or ureteroscopy). - While retrograde ureteroscopy can treat renal stones, it is generally reserved for stones <2 cm due to longer operative time and lower stone-free rates for larger stones. - True "pyeloplasty" is a reconstructive procedure for ureteropelvic junction obstruction, not a stone removal technique. *Antegrade pyeloplasty* - This option likely refers to **antegrade endoscopic access** to the renal pelvis. - While antegrade access is used in PCNL, "pyeloplasty" specifically means surgical reconstruction of the UPJ for obstruction, not stone treatment. - Antegrade ureteroscopy alone (without nephroscopy) would be less effective than PCNL for a 3 cm stone.
Explanation: ***Sialolithiasis*** - The ultrasound image shows an **echogenic focus** with clear **posterior acoustic shadowing** within the salivary gland, which is characteristic of a salivary gland stone. - The patient's symptoms of **pain on one side of the neck** and **worsening pain with eating** (likely due to salivary stimulation) are classic for **sialolithiasis**, as the stone obstructs salivary flow. *Salivary gland foreign body* - While a foreign body could present with similar pain, it would typically appear as a distinct object on ultrasound, but its echogenicity and shading characteristics might differ depending on the material. - The history of a foreign body ingestion or insertion would be crucial, which is not mentioned here. *Cervical lymphadenopathy* - **Lymph nodes** on ultrasound typically appear as oval-shaped structures with a **hypoechoic cortex** and an **echogenic hilum**; they do not usually show significant acoustic shadowing unless calcified. - While cervical lymphadenopathy can cause neck pain, it is not typically exacerbated by eating in the same way an obstructed salivary gland would be. *Osteoma of the floor of the mouth* - An **osteoma** is a **benign bone tumor** that would present as a very **dense, highly echogenic mass** with severe posterior acoustic shadowing on ultrasound, originating from bony structures. - While an osteoma could cause pain, its location (floor of the mouth) and nature would not typically explain pain worsening specifically with eating due to salivary gland obstruction.
Explanation: ***Tomography*** - **Tomography** (e.g., CT scan) involves imaging structures in "slices" using X-rays but does not inherently require contrast medium for basic imaging. - While contrast material can be used in tomography to enhance specific structures, the technique itself is not exclusively a **contrast radiograph**. *Arthrography* - **Arthrography** is a type of contrast radiograph where a contrast medium is injected directly into a joint space to visualize soft tissue structures like ligaments, menisci, and articular cartilage. - The use of contrast is fundamental to distinguish these structures, which are not visible on plain X-rays. *Arthrotomography* - **Arthrotomography** combines arthrography with tomography, meaning a contrast agent is injected into a joint, and then tomographic slices are obtained. - This technique provides detailed cross-sectional images of the joint with enhanced contrast from the injected medium. *Sialography* - **Sialography** is a contrast radiograph procedure used to visualize the salivary ducts and glands. - A contrast medium is injected into the ductal system to identify obstructions, strictures, or inflammation within the salivary glands.
Explanation: ***Non-inflammatory parotid enlargement due to metabolic conditions*** - **Sialosis** specifically denotes **non-inflammatory, non-neoplastic** enlargement of the parotid glands, often linked to systemic conditions. - It is frequently associated with **metabolic disorders** like diabetes mellitus, alcoholism, malnutrition, and certain drug therapies. *Inflammatory parotid enlargement due to infection* - This description refers to **sialadenitis**, which is an **inflammation** of the salivary glands, usually bacterial or viral (e.g., mumps). - It presents with acute pain, swelling, and sometimes pus discharge, differentiating it from the chronic, non-tender enlargement of sialosis. *Autoimmune parotid gland dysfunction* - This typically describes conditions like **Sjögren's syndrome**, an **autoimmune exocrinopathy** causing sicca symptoms (dry eyes and mouth) due to lymphocytic infiltration of the salivary glands. - While it involves parotid enlargement, the underlying mechanism is autoimmune inflammation, not metabolic. *Ductal obstruction leading to salivary retention* - This scenario points to **sialolithiasis** (salivary stones) or ductal strictures, causing symptoms of painful swelling, especially during eating, due to **salivary back-up**. - This is a mechanical obstruction leading to retention, distinct from the parenchymal hypertrophy seen in sialosis.
Explanation: ***Demeclocycline*** - **Demeclocycline** is a tetracycline antibiotic that acts as an **ADH antagonist**, inhibiting its effect on the renal tubules. [1] - This leads to increased free water excretion and a reduction in **hyponatremia** associated with SIADH, making it a treatment of choice, especially for chronic cases. [1] *Hypotonic Saline* - Administering **hypotonic saline** to a patient with SIADH would further dilute serum sodium levels and worsen the **hyponatremia**, which is the opposite of the desired effect. - SIADH is characterized by **excess free water** retention, and adding more free water would exacerbate the underlying pathology. *Lithium carbonate* - While **lithium** can cause nephrogenic diabetes insipidus (a condition of impaired ADH action), it is not the primary or preferred treatment for SIADH. - Its mechanism of action is different, and **demeclocycline** is more specifically targeted at blocking ADH effects in the kidney. *Vasopressin* - **Vasopressin** (ADH) is the hormone that is already in excess or acting excessively in **SIADH**. - Administering more vasopressin would worsen the condition by increasing water reabsorption and further decreasing serum sodium.
Explanation: ***Candidiasis*** - The classic presentation of **oral candidiasis** (thrush) is a **creamy, curd-like white patch** on the mucous membranes, including the tongue, which can often be scraped off. - This common fungal infection, caused by *Candida albicans*, can occur in otherwise healthy individuals, especially after antibiotic use, or with mild immunosuppression. *Histoplasmosis* - This fungal infection is typically associated with **pulmonary involvement** in endemic areas (e.g., Ohio and Mississippi River valleys). - Oral lesions, if present, are usually **firm, nodular, or ulcerative**, not creamy white patches, and often signify disseminated disease in immunocompromised individuals. *Aspergillosis* - Primarily a **pulmonary infection**, especially in immunocompromised patients, with symptoms like fever, cough, and dyspnea. [1] - Oral manifestations are rare and typically present as **necrotic ulcers** or plaques, not creamy white patches, and are usually seen in severely immunocompromised patients. [1] *Lichen Planus* - Oral lichen planus presents with **white reticular (lace-like) patterns** (Wickham's striae), plaques, or erosions on the buccal mucosa, tongue, or gingiva. - These lesions are typically **non-scrapable** and can be associated with pain or burning, differing significantly from the "creamy curd-like" description.
Explanation: ***Urinary calculi*** - Patients with ulcerative colitis are at an increased risk of developing **urinary calculi** due to several factors, including chronic dehydration, malabsorption of fats leading to increased oxalate absorption (enteric hyperoxaluria), and altered urine composition. - The inflammatory process and potential for surgical interventions (e.g., colectomy with ileostomy) can further predispose individuals to kidney stone formation. *Cystitis* - While cystitis (bladder inflammation) can occur in the general population, it is not considered a specific or significantly elevated genitourinary complication directly linked to the pathogenesis of ulcerative colitis itself. - It results primarily from bacterial infection, and there is no direct evidence suggesting UC patients have a higher intrinsic risk compared to the general population. *Pyelonephritis* - Pyelonephritis (kidney infection) is not a direct or common complication of ulcerative colitis. - It is typically caused by bacterial ascent from the lower urinary tract and is not specifically promoted by the inflammatory processes or metabolic changes associated with UC. *Urethritis* - Urethritis (inflammation of the urethra) is primarily associated with sexually transmitted infections or irritation and is not a recognized genitourinary complication directly caused by ulcerative colitis. - There is no increased incidence of urethritis in UC patients compared to the general population.
Explanation: ### Explanation **1. Why the correct answer is right:** The statement "Majority of submandibular stones are radiolucent" is **false**, making it the correct choice for an "except" question. In reality, **80% of submandibular gland stones are radiopaque** (visible on X-ray). This is because submandibular saliva is highly alkaline and has a high concentration of calcium and phosphate salts, leading to dense calcification of the stones. In contrast, parotid stones are more likely to be radiolucent (only 20% are radiopaque). **2. Analysis of incorrect options:** * **Option A:** True. Approximately 80% of all salivary calculi (sialolithiasis) occur in the submandibular gland [1]. This is due to the long, upward course of Wharton’s duct and the viscous, mucin-rich nature of the saliva. * **Option C:** True. Sialolithiasis is the most common cause of salivary gland obstruction, leading to stasis and potential secondary infection (sialadenitis) [1]. * **Option D:** True. Patients typically present with "mealtime syndrome"—acute, painful swelling of the gland triggered by eating, as saliva production increases against an obstructed duct. **3. Clinical Pearls for NEET-PG:** * **Wharton’s Duct:** The most common site for stone formation. * **Composition:** Submandibular stones have higher calcium content than parotid stones. * **Imaging:** The best initial radiograph for a submandibular stone is an **Intraoral Periapical (IOPA) view** or a **Mandibular Occlusal view**. * **Management:** Small distal stones can be removed via duct incision (sialolithotomy); proximal or intraglandular stones may require gland excision [1]. * **Sialendoscopy:** The modern "gold standard" for both diagnosis and minimally invasive removal of salivary stones [1].
Explanation: **Explanation:** **Hairy Leukoplakia (HL)** is a distinctive white lesion of the oral mucosa, primarily affecting the lateral borders of the tongue. 1. **Why Option B is correct:** The condition is caused by the **Epstein-Barr Virus (EBV)**. In immunocompromised states, EBV undergoes productive replication in the squamous epithelium of the tongue, leading to the characteristic corrugated or "hairy" appearance. It is considered an opportunistic infection. 2. **Why other options are incorrect:** * **Option A:** HL is typically **asymptomatic (painless)**. Patients usually discover it incidentally or due to its texture. * **Option C:** There is a **strong association with HIV**. It is one of the most common oral manifestations of HIV/AIDS and often serves as an early clinical sign of progression to AIDS or a declining CD4 count. * **Option D:** Unlike "Oral Leukoplakia," Hairy Leukoplakia has **no malignant potential**. It is not a pre-cancerous lesion and does not require aggressive surgical excision. **High-Yield Clinical Pearls for NEET-PG:** * **Appearance:** White, non-scrapable, vertical ridges (corrugated) on the lateral margins of the tongue. * **Diagnosis:** Usually clinical; biopsy shows hyperkeratosis, acanthosis, and "balloon cells" in the upper stratum spinosum. * **Treatment:** Generally not required unless for cosmetic reasons (Acyclovir or Podophyllin can be used), but its presence mandates an immediate workup for HIV/immunodeficiency. * **Differentiating Feature:** Unlike Oral Candidiasis, Hairy Leukoplakia **cannot** be scraped off.
Explanation: **Explanation:** **1. Why 2% Toluidine Blue is Correct:** Toluidine blue (also known as tolonium chloride) is a **vital acidophilic dye** that has a high affinity for nucleic acids. Malignant and dysplastic cells have a significantly higher DNA/RNA content and increased nuclear-to-cytoplasmic ratios compared to normal cells. When applied to the oral mucosa, the dye selectively stains these areas of high nucleic acid concentration, highlighting suspicious lesions (carcinoma in situ or invasive squamous cell carcinoma) as dark blue. This is a common chair-side screening tool used to demarcate biopsy sites. **2. Why the Other Options are Incorrect:** * **1% Zinc Chloride:** This is primarily used as an astringent or in certain chemical cautery pastes (like Mohs paste), but it has no diagnostic staining properties for malignancy. * **2% Silver Nitrate:** This is a caustic agent used for chemical cauterization of aphthous ulcers or to control minor bleeding (hemostasis). It stains tissues black but is not selective for cancer cells. * **Gentian Violet:** This is an antifungal and antiseptic dye used to treat oral candidiasis (thrush). While it stains the mucosa purple, it does not differentiate between normal and malignant cells. **3. High-Yield Clinical Pearls for NEET-PG:** * **False Positives:** Toluidine blue can also stain inflammatory lesions (like ulcers) because of the high cellular turnover; therefore, a "re-stain" after 10–14 days of anti-inflammatory treatment is often recommended. * **Lugol’s Iodine:** Another vital stain used in the oral cavity and esophagus. Normal squamous epithelium (rich in glycogen) stains brown, while **malignant cells (glycogen-poor) remain unstained.** * **Gold Standard:** Remember that while toluidine blue helps in identifying the site, the definitive diagnosis of oral cancer always requires a **histopathological examination (biopsy).**
Get full access to all questions, explanations, and performance tracking.
Start For Free