Right-sided vocal cord palsy is most commonly seen in which of the following conditions?
Vocal cord palsy is NOT associated with which of the following conditions?
What is the typical resting position of a vocal cord in a cadaver?
Which of the following subunits is associated with inspiratory stridor?
Which of the following is true about laryngeal cancer stage T1bNOMO?
Which of the following is shown in the image below?

All of the following are correct about the image shown except:

What is the most likely diagnosis shown in the image?

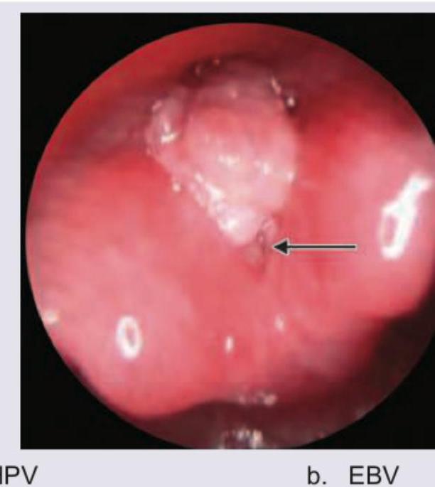
A 14-year-old teenager presents with hoarseness of voice. Which of the following is responsible for the lesion shown in the figure?

A 60-year-old smoker presents with history of weight loss and thyroid swelling which is hard in consistency. Surgery was performed after which nerve B and D shown in the diagram got involved. All are true about the resultant condition except:

Explanation: **Explanation:** The correct answer is **Larynx carcinoma**. **1. Why Larynx Carcinoma is Correct:** Vocal cord palsy is caused by an interruption of the nerve supply to the laryngeal muscles, primarily the **recurrent laryngeal nerve (RLN)**. While the left RLN has a longer, more vulnerable intrathoracic course, the **right RLN** is shorter and loops around the subclavian artery. In the context of the options provided, **Larynx carcinoma** (specifically glottic or supraglottic tumors with subglottic extension) can directly invade the RLN or the cricoarytenoid joint on either side, leading to vocal cord immobility. Since it is a localized pathology, it is a common cause of unilateral palsy (right or left) depending on the site of the lesion. **2. Why Other Options are Incorrect:** * **Aortic Aneurysm & Mediastinal Lymphadenopathy:** These conditions are classic causes of **Left-sided** vocal cord palsy. The left RLN loops under the arch of the aorta; therefore, thoracic pathologies (aneurysms, hilar nodes, or esophageal CA) affect the left side significantly more often than the right. * **Vocal Nodule:** These are benign epithelial thickenings (usually bilateral) caused by vocal abuse. They result in hoarseness but **do not** cause nerve paralysis or cord immobility. **Clinical Pearls for NEET-PG:** * **Ortner’s Syndrome:** Left vocal cord palsy caused by cardiovascular conditions (e.g., mitral stenosis leading to left atrial enlargement compressing the left RLN). * **Most Common Cause:** Overall, the most common cause of unilateral vocal cord palsy is **Surgical Trauma** (Thyroidectomy), followed by idiopathic causes and malignancies. * **Position of Cord:** In RLN palsy, the cord usually lies in the **paramedian position** because the cricothyroid muscle (supplied by the Superior Laryngeal Nerve) is still functional and adducts the cord.
Explanation: **Explanation:** The correct answer is **Vertebral secondaries**. Vocal cord palsy occurs due to the involvement of the **Recurrent Laryngeal Nerve (RLN)**. The RLN has a long, circuitous course, especially on the left side, where it loops around the arch of the aorta. It lies in the tracheoesophageal groove and enters the larynx. While it is close to the mediastinum and esophagus, it is **not** in direct anatomical proximity to the vertebral bodies. Therefore, metastatic deposits in the vertebrae (vertebral secondaries) typically cause spinal cord compression or radiculopathy but do not involve the RLN to cause vocal cord palsy. **Analysis of Incorrect Options:** * **Left Atrial Enlargement:** This causes **Ortner’s Syndrome** (Cardiovocal Syndrome). An enlarged left atrium (commonly due to Mitral Stenosis) compresses the left RLN against the aorta or pulmonary artery. * **Bronchogenic Carcinoma:** This is the most common malignant cause of vocal cord palsy. Tumors in the apex of the lung (Pancoast tumor) or hilar lymphadenopathy can compress the nerve. * **Secondaries in the Mediastinum:** Metastatic lymphadenopathy (e.g., from lung or esophageal cancer) in the mediastinum frequently involves the RLN along its thoracic course. **High-Yield Clinical Pearls for NEET-PG:** * **Left vs. Right:** Left RLN palsy is more common than right because of its longer intrathoracic course. * **Semon’s Law:** In progressive lesions, the abductor fibers are injured first; the cord first moves to the midline (adduction) before reaching the cadaveric position. * **Most common cause:** Surgical trauma (Post-thyroidectomy) is the most common overall cause of bilateral vocal cord palsy.
Explanation: ### Explanation The position of the vocal cords is determined by the balance of intrinsic laryngeal muscles. In a **cadaver**, all neuro-muscular activity ceases, leading to a state of complete muscle paralysis. **1. Why "Intermediate" is Correct:** The **Intermediate (Cadaveric) position** is the neutral position where the vocal cord lies approximately **3.5 mm** away from the midline. This occurs because all intrinsic muscles—both adductors (which close the glottis) and abductors (which open it)—are non-functional. Without any muscular pull, the vocal cord assumes this midway point between full abduction and the midline. **2. Analysis of Incorrect Options:** * **Median (0 mm):** The cords are in the midline. This is seen during phonation or in bilateral recurrent laryngeal nerve palsy (where the cricothyroid muscle may still tense the cord). * **Paramedian (1.5 mm):** This is the typical position in **Recurrent Laryngeal Nerve (RLN) palsy**. The cricothyroid muscle (supplied by the Superior Laryngeal Nerve) remains intact and acts as an adductor, pulling the cord closer to the midline than the cadaveric position. * **Full Abduction (7–9 mm):** This occurs during deep inspiration, driven by the active contraction of the **Posterior Cricoarytenoid (PCA)**, the only abductor of the vocal cords. **3. Clinical Pearls for NEET-PG:** * **Semon’s Law:** States that in progressive lesions of the RLN, the abductor fibers are injured first; thus, the cord initially moves to a median/paramedian position before potentially reaching the cadaveric position if the Superior Laryngeal Nerve is also involved. * **Wagner and Grossman Hypothesis:** Explains that if the Superior Laryngeal Nerve is intact, the cord stays paramedian; if both RLN and SLN are paralyzed, the cord moves to the **Intermediate/Cadaveric** position. * **Key Distance:** Remember the "3.5 mm" rule for the intermediate position to distinguish it from the paramedian (1.5 mm).
Explanation: ***Supraglottic*** - Obstruction or narrowing in the supraglottic region (above the true vocal cords), such as in **epiglottitis** or **laryngomalacia**, collapses inward during inspiration. - This physiological collapse under negative inspiratory pressure creates characteristic high-pitched airflow limitation known as **inspiratory stridor**. *Glottic* - Lesions affecting the true vocal cords (e.g., bilateral **vocal cord paralysis** or severe webbing) typically cause a relatively fixed obstruction. - Fixed obstruction at the vocal cord level generally results in a **biphasic stridor** (heard equally during both inspiration and expiration). *Subglottic* - Obstruction occurring below the vocal cords at the level of the cricoid cartilage (e.g., **croup** or **subglottic stenosis**). - Since the subglottic area is less compliant than the supraglottic area, it commonly causes a coarse, barking sound and often presents as **biphasic stridor**. *Trachea* - Lower tracheal obstruction may produce a **monophonic wheeze** or sounds related more to expiratory airflow limitation. - High or mid-tracheal lesions, especially if fixed, typically generate a relatively loud **biphasic stridor** rather than purely inspiratory stridor.
Explanation: ***Both vocal cords involved, and mobile***- The **T1** designation in glottic laryngeal cancer implies that the tumor is strictly limited to the **vocal cords** and that mobility is preserved (i.e., they are **mobile**).- The subsequent **T1b** substage defines tumors that involve **both vocal cords** (e.g., crossing the anterior or posterior commissure) while maintaining normal movement.*Both vocal cords involved and fixed*- **Vocal cord fixation** is a defining feature of **T3** glottic carcinoma, indicating deep invasion into the paralaryngeal space or underlying musculature.- This designation immediately excludes **T1** staging, which strictly requires preserved vocal cord **mobility**.*One vocal cord involved and fixed*- **Fixation** (immobility) places the tumor in **T3** or higher, regardless of tumor size or involvement of one versus both vocal cords.- **T1a** is defined by involvement of only **one vocal cord**, but critically, it must be mobile to be classified as T1.*One vocal cord involved, and mobile*- This specific description corresponds to **T1a** glottic laryngeal cancer, which involves the tumor being confined to the **glottis** and limited to only **one vocal cord**, with normal mobility.
Explanation: ***Steeple sign*** - The image shows a **frontal view of the cervical trachea**, with the subglottic region narrowing inferiorly, creating an inverted V shape, characteristic of the **steeple sign**. - This sign indicates **subglottic narrowing**, usually due to **croup (laryngotracheobronchitis)**, caused by swelling of the tracheal walls. *Thumb sign* - The **thumb sign** is seen on a **lateral neck X-ray** and refers to a swollen **epiglottis** resembling a thumb. - It is indicative of **epiglottitis**, a serious bacterial infection, and would not be visible as a steeple shape in an AP view. *Omega sign* - The **omega sign** refers to the appearance of the epiglottis in **laryngomalacia**, where the epiglottis is **tubular and elongated** with infolded lateral margins. - This is typically seen on **laryngoscopy** rather than a plain radiograph and would not present as the tracheal narrowing shown. *Lyre sign* - The **lyre sign** describes the appearance of the common carotid artery bifurcation, where the internal and external carotid arteries diverge around a **carotid body tumor**, resembling a lyre musical instrument. - This is a vascular sign seen on angiography or cross-sectional imaging and has no relevance to tracheal pathology on a plain neck X-ray.
Explanation: ***High pitched expiratory stridor*** - The image depicts an **omega-shaped epiglottis** and collapsed aryepiglottic folds, consistent with **laryngomalacia**. - Laryngomalacia typically presents with **inspiratory stridor**, not expiratory, resulting from airway collapse during inspiration. - **This is the EXCEPT answer** - high-pitched expiratory stridor is NOT a feature of laryngomalacia. *Omega shaped epiglottis* - The image clearly shows an **omega-shaped epiglottis**, a characteristic feature of **laryngomalacia**. - This anatomical variation contributes to the collapse of supraglottic structures during inspiration. *Cry is normal* - In laryngomalacia, the **vocal cords** themselves are not affected, so the **cry typically remains normal**. - The abnormal sounds (stridor) arise from the supraglottic structures, not the vocal cord function during crying. *10% cases need surgery due to development of OSA or Cor Pulmonale* - While most cases of laryngomalacia are self-limiting, approximately **10% of infants may require surgical intervention** (supraglottoplasty). - This is usually due to severe symptoms like **obstructive sleep apnea (OSA)**, failure to thrive, or the rare development of **cor pulmonale**.
Explanation: ***Vocal polyp*** - The image shows a **pedunculated or sessile lesion** on the vocal fold, often associated with a vascular component or fluid-filled appearance, typical of a vocal polyp. - Vocal polyps are typically **unilateral** and often result from acute vocal trauma or chronic phonotrauma, causing a distinct mass. *Vocal nodule* - Vocal nodules are typically **bilateral, symmetrical lesions** located on the middle third of the vocal folds, resembling calluses or bumps. - They tend to be smaller and firmer, forming due to chronic vocal abuse, unlike the larger, often unilateral lesion seen here. *Laryngomalacia* - Laryngomalacia is a **congenital anomaly** where the laryngeal structures are soft and collapse inward during inspiration, primarily affecting infants. - This condition does not present with a discrete mass on the vocal fold but rather with a generalized malformation of the larynx. *Epiglottitis* - Epiglottitis is an **inflammation and swelling of the epiglottis**, which can be life-threatening due to airway obstruction. - The image displays vocal folds and a lesion, not a swollen, cherry-red epiglottis, which would be located superior to the vocal cords.
Explanation: ***HPV*** - The image depicts **laryngeal papillomatosis**, characterized by **wart-like lesions** on the vocal cords, which is primarily caused by **Human Papillomavirus (HPV)** types 6 and 11. - In teenagers, this condition is typically **juvenile-onset recurrent respiratory papillomatosis**, acquired perinatally from an infected mother. *EBV* - **Epstein-Barr Virus (EBV)** is associated with infectious mononucleosis, certain lymphomas, and nasopharyngeal carcinoma, but not typically with laryngeal papillomas. - Oral manifestations of EBV infection, like **oral hairy leukoplakia**, are distinct from benign laryngeal growths. *HIV* - **Human Immunodeficiency Virus (HIV)** causes immunosuppression, increasing susceptibility to various opportunistic infections and cancers, but it does not directly cause laryngeal papillomatosis. - While HIV-positive individuals may have co-infection with HPV, HPV is the direct cause of the papillomas. *HSV* - **Herpes Simplex Virus (HSV)** is known for causing oral and genital herpes lesions, characterized by **vesicles and ulcers**. - HSV does not typically cause the **papillomatous, proliferative lesions** seen in the image, which are characteristic of HPV infection.
Explanation: ***Askew position of vocal cord*** - Vocal cord paralysis typically results in the **paramedian or median position** of the vocal cords, not an "askew" position, which is not a recognized clinical term for vocal cord positioning. - The nerves B and D are the **recurrent laryngeal nerves**, which innervate all intrinsic muscles of the larynx except the cricothyroid. Damage to both recurrent laryngeal nerves would lead to **bilateral vocal cord paralysis**. *Most common symptom is dyspnea and stridor* - **Bilateral recurrent laryngeal nerve palsy** leads to the vocal cords being fixed in a paramedian position, which significantly narrows the glottic opening. - This narrow airway causes severe **dyspnea** (difficulty breathing) and inspiratory **stridor** (a high-pitched crowing sound during inhalation), which are life-threatening symptoms requiring immediate intervention. *Most common cause is thyroid surgery* - The most common cause of **bilateral recurrent laryngeal nerve paralysis** is **thyroid surgery** due to iatrogenic trauma or transection of the nerves during the procedure. - Other causes include **malignant infiltration** of the thyroid or surrounding structures, and rarely **bilateral intubation trauma**. - Given the clinical scenario of a patient with thyroid swelling undergoing surgery, iatrogenic injury during thyroidectomy is the most likely cause. *Kashima operation with carbon dioxide laser* - The **Kashima operation**, involving posterior cordectomy with a **CO2 laser**, is a surgical procedure used to widen the glottic airway in cases of bilateral vocal cord paralysis. - This procedure aims to create a larger breathing passage by removing a portion of the posterior vocal cord, thereby alleviating dyspnea and stridor.
Acute Laryngitis
Practice Questions
Chronic Laryngitis
Practice Questions
Vocal Cord Nodules and Polyps
Practice Questions
Reinke's Edema
Practice Questions
Laryngeal Papillomatosis
Practice Questions
Vocal Cord Paralysis
Practice Questions
Laryngeal Trauma
Practice Questions
Laryngeal Stenosis
Practice Questions
Laryngeal Cancer
Practice Questions
Laryngomalacia
Practice Questions
Epiglottitis
Practice Questions
Voice Disorders
Practice Questions
Get full access to all questions, explanations, and performance tracking.
Start For Free