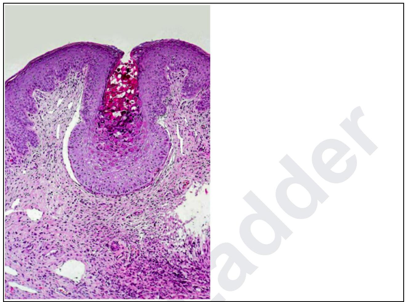
A woman presents with lesions on the inner thighs and peri-anal region. They are nodular, 4-6 mm in size and appear pale. The histopathological image shows multiple intracytoplasmic inclusion bodies consistent with Henderson-Patterson bodies. The diagnosis is:

Smallpox eradication was not due to:
Assertion: VZV vaccine is live attenuated. Reason: It cannot be given to immunocompromised patients.
Which pox virus does Variola belong to?
In which condition are Bull's eye lesions typically found?
A 30-year-old man with recurrent genital warts has undergone multiple treatments without success. Which of the following treatments would be most appropriate to try next?
A 60-year-old patient presents with unilateral vesicular lesions in a dermatomal distribution on the torso. The lesions are painful and appeared over the past 2-3 days, progressing from erythematous patches to fluid-filled vesicles. The patient reports prodromal burning and tingling sensation in the affected area. Which of the following is the most likely diagnosis?
A neonate develops sepsis with organism showing CAMP test positive. Likely organism?
An organism produces cutaneous disease (malignant pustule or eschar) at the site of inoculation in handlers of animal skins. Most likely organism is:
A 34-year-old female visits her primary care physician because recently she has started to have painful, numb, and discolored toes. She is otherwise healthy and has no family history of similar conditions that she can recall. Occasionally during these episodes, her fingers and nose will also have similar symptoms. On examination, the patient's appearance is completely normal with warm and well perfused extremities. No evidence of discoloration is found. On closer questioning, she reveals that several months ago during the summer, she succumbed to a viral illness that caused her to feel fatigued and have a long bout of cold symptoms with sore throat and swollen lymph nodes. The bacterial species that is also associated with this patient's most likely condition has which of the following characteristics?
Explanation: ***Molluscum contagiosum*** - The clinical presentation of **nodular, pale lesions** in the inner thighs and peri-anal region, combined with histopathology showing **Henderson-Patterson bodies** (large eosinophilic intracytoplasmic inclusions), is pathognomonic for molluscum contagiosum. - Henderson-Patterson bodies represent viral factories within infected keratinocytes, a key diagnostic feature of this **poxvirus** infection. *Trichodysplasia spinulosa* - This condition is characterized by **follicular papules** with prominent keratin spines, typically occurring on the face, and is associated with the **Trichodysplasia spinulosa-associated polyomavirus**. - It does not present with Henderson-Patterson bodies or the typical nodular lesions seen in molluscum contagiosum. *Condyloma acuminata* - These are **genital warts** caused by the **human papillomavirus (HPV)**, presenting as verrucous or cauliflower-like growths. - Histologically, they show **koilocytic atypia** (vacuolated cells with nuclear abnormalities), not Henderson-Patterson bodies. *Donovanosis* - Also known as **granuloma inguinale**, this is a chronic, progressive, ulcerative granulomatous disease caused by **Klebsiella granulomatis**. - Histopathology reveals **Donovan bodies** (intracellular bacteria within macrophages), which are distinct from Henderson-Patterson bodies and the clinical presentation of nodular lesions.
Explanation: ***Cross-immunity with animal pox virus*** - While cowpox provided the basis for the smallpox vaccine, **cross-immunity with naturally circulating animal pox viruses** did not contribute to the eradication of smallpox itself. - The eradication was achieved through targeted vaccination campaigns with a **human-specific vaccine**, not by incidental cross-protection from wildlife. *Highly effective vaccine* - The smallpox vaccine was highly effective, providing **strong and long-lasting immunity** against the Variola virus. - This effectiveness was crucial for establishing herd immunity and breaking the chains of transmission. *Subclinical infections do not transmit the disease* - Individuals infected with smallpox either developed **symptomatic disease** or were **immune/resistant** to infection. - The absence of asymptomatic carriers who could silently transmit the virus made it feasible to interrupt transmission through targeted vaccination and surveillance. *Life long immunity* - Both natural infection and successful vaccination provided **long-lasting, often lifelong immunity** to smallpox. - This durable immunity prevented reinfection and helped sustain the protection achieved through vaccination campaigns over time.
Explanation: ***Both true, reason explains assertion*** - The **VZV (varicella-zoster virus) vaccine** is indeed a **live attenuated vaccine** containing weakened virus - the assertion is **TRUE** - It **cannot be given to immunocompromised patients** due to risk of vaccine-strain disease - the reason is **TRUE** - The reason **directly explains the assertion**: BECAUSE the vaccine is live attenuated, it poses infection risk and therefore cannot be used in immunocompromised individuals - The **causal relationship** is clear: live attenuated nature → contraindication in immunocompromised patients *Both true, reason doesn't explain assertion* - While both statements are factually true, this option would only be correct if the reason was unrelated to the assertion - However, the reason **directly explains WHY** the live attenuated nature is clinically significant - The contraindication is a **direct consequence** of the vaccine being live attenuated, so the reason does explain the assertion *Assertion true, reason false* - The assertion is true (VZV vaccine is live attenuated) - However, the reason is also **TRUE** - live attenuated vaccines are indeed contraindicated in immunocompromised patients due to risk of disseminated vaccine-strain infection - Since both statements are true, this option is incorrect *Assertion false, reason true* - The assertion is **TRUE**, not false - VZV vaccine (Varivax, Zostavax) is a **live attenuated vaccine** containing the Oka strain - This option incorrectly claims the assertion is false - Since the assertion is factually correct, this option cannot be right
Explanation: ***Orthopoxvirus*** - **Variola virus**, the causative agent of **smallpox**, is a member of the **Orthopoxvirus genus**. - Other notable members of this genus include **vaccinia virus** (used in smallpox vaccine) and **monkeypox virus**. *Parapoxvirus* - This genus includes viruses such as **Orf virus**, which causes contagious pustular dermatitis in sheep and goats, occasionally transmitted to humans. - Parapoxviruses typically cause localized skin lesions and are not associated with **smallpox**. *Yatapox virus* - The **Yatapox virus genus** includes the **Tanapox virus** and **Yabapox virus**, which primarily affect monkeys but can cause mild, self-limiting skin lesions in humans. - They are distinct from the **Variola virus** and do not cause smallpox. *Molluscipox virus* - This genus contains **Molluscum contagiosum virus**, which causes **molluscum contagiosum**, a common skin infection characterized by small, flesh-colored, dome-shaped papules. - It is genetically and clinically distinct from **Variola virus**.
Explanation: ***Erythema multiforme*** - **Bull's eye lesions**, also known as **target lesions**, are the hallmark clinical finding in erythema multiforme. - These lesions feature a central dusky or blistered area, surrounded by a pale edematous ring, and an outermost erythematous halo. *Erythema nodosum* - Characterized by tender, red, subcutaneous nodules, typically located on the **shins**. - It represents a form of **panniculitis** (inflammation of subcutaneous fat) and does not exhibit targetoid morphology. *Erythema gangrenosum* - A specific skin lesion associated with **Pseudomonas aeruginosa** septicemia, characterized by hemorrhagic bullae that progress to necrotic ulcers with a black eschar. - It represents **necrotizing vasculitis** and does not present with bull's eye or target lesions. *Erythroderma* - Defined as generalized redness and scaling affecting more than **90% of the body surface area**. - This condition involves widespread inflammation of the skin and does not present with discrete target lesions.
Explanation: ***Imiquimod cream*** - **Imiquimod** is an **immune response modifier** that stimulates the production of **cytokines**, such as interferon-alpha, which has antiviral and antiproliferative effects, making it effective for persistent warts. - It is particularly useful for recurrent warts or those unresponsive to ablative therapies due to its mechanism of action targeting the underlying viral infection. *Electrocautery* - **Electrocautery** physically destroys the wart tissue using heat, which can be effective but carries risks of scarring and potential recurrence if not completely eradicated. - For recurrent warts, the underlying Human Papillomavirus (HPV) infection needs to be addressed, which ablative methods like electrocautery do not inherently do. *Podophyllin resin* - **Podophyllin resin** is a **cytotoxic agent** that inhibits cell division, leading to tissue necrosis; however, it can be irritating and is generally not recommended for extensive or recurrent lesions due to potential systemic absorption and toxicity. - Its mechanism primarily involves destroying the infected cells rather than stimulating a host immune response, which might be less effective for recurrent cases. *Liquid nitrogen cryotherapy* - **Liquid nitrogen cryotherapy** works by freezing and destroying the wart tissue, but it often requires multiple sessions and can be painful. - Similar to electrocautery, it is an ablative method that does not directly enhance the host's immune response to clear the Human Papillomavirus (HPV), making it less ideal for recurrent cases where host immunity might be a factor.
Explanation: ***Herpes zoster infection*** - The patient's presentation of **unilateral vesicular lesions** in a **dermatomal distribution**, accompanied by severe pain and a **prodromal burning and tingling sensation**, is classic for herpes zoster (shingles). - Herpes zoster results from the **reactivation of latent varicella-zoster virus (VZV)** in a sensory ganglion, leading to painful rash along the affected nerve path. *Irritant contact dermatitis* - This condition involves inflammation due to direct contact with an irritating substance, often presenting with **eczematous lesions**, redness, itching, and sometimes vesicles. - However, it typically lacks the characteristic **dermatomal distribution** and severe neuropathic pain seen in herpes zoster. *Allergic contact dermatitis* - Allergic contact dermatitis is an immune-mediated reaction to an allergen, causing intensely pruritic, erythematous, and often **vesicular or bullous eruptions** that tend to spread beyond the initial contact area over time. - While it can cause vesicles, it does not follow a **dermatomal pattern** and is usually very itchy, rather than primarily painful and burning, with a distinct prodrome. *Herpes Simplex Infection* - Herpes simplex virus (HSV) infections also cause **vesicular lesions** but typically present as clusters of vesicles on an **erythematous base** in a localized area, often around the mouth (cold sores) or genitals. - Unlike herpes zoster, HSV lesions are usually **recurrent** in the same small area and typically do not exhibit a widespread, **unilateral dermatomal pattern** or the associated severe, persistent neuropathic pain.
Explanation: ***Group B Streptococcus*** - **Group B Streptococcus (GBS)**, or *Streptococcus agalactiae*, is the **most common cause of neonatal sepsis** and is the **classic organism** associated with a **positive CAMP test**. - The **CAMP test** (Christie-Atkins-Munch-Petersen) detects synergistic hemolysis between the CAMP factor produced by GBS and *Staphylococcus aureus* beta-lysin, resulting in an **arrowhead-shaped zone of enhanced hemolysis**. - GBS is strongly associated with **early-onset neonatal sepsis** (within first 7 days), transmitted vertically during delivery. - When the CAMP test is mentioned in the context of neonatal sepsis, **GBS is the intended answer** due to its classical association and epidemiological importance. *S. aureus* - *Staphylococcus aureus* can cause **sepsis** in neonates but is **CAMP test negative**. - It provides the beta-lysin used in the CAMP test to detect other organisms but does not produce the CAMP factor itself. *E. coli* - *Escherichia coli* is a **Gram-negative rod** and a frequent cause of **neonatal sepsis** and meningitis. - As a Gram-negative bacterium, *E. coli* is **CAMP test negative**. The CAMP test is specific for certain Gram-positive bacteria. *Listeria* - *Listeria monocytogenes* is **also CAMP test positive**, which can cause diagnostic confusion. - However, it causes a distinct clinical pattern: **granulomatosis infantiseptica**, meningoencephalitis, and is associated with **maternal ingestion of contaminated food**. - Listeria is **less common** than GBS as a cause of neonatal sepsis and is not the classic teaching association for CAMP positivity. - The CAMP positivity of Listeria is **weaker** and shows a different pattern (reverse CAMP) compared to the strong, characteristic arrowhead pattern of GBS.
Explanation: ***Bacillus anthracis*** - This description is classic for **cutaneous anthrax**, characterized by a **malignant pustule** or **eschar** that develops at the site of inoculation. - The context of handling **animal skins** (e.g., wool-sorter's disease) is a key epidemiological clue for _Bacillus anthracis_ infection. *Neisseria meningitidis* - Primarily causes **meningitis** and **meningococcemia**, involving a petechial or purpuric rash, not a single eschar or malignant pustule. - There is no direct association with handling animal skins. *Pseudomonas aeruginosa* - This bacterium is often associated with **opportunistic infections** in immunocompromised individuals, burn patients, or those with indwelling medical devices. - While it can cause skin lesions (e.g., **ecthyma gangrenosum**), these are distinct from the anthrax eschar and are not linked to animal skin exposure. *Cryptococcus neoformans* - A **fungus** that primarily causes **cryptococcal meningitis** or pulmonary infections, especially in immunocompromised individuals. - Skin manifestations, when they occur, are typically papules, nodules, or ulcers, not the classic **cutaneous anthrax eschar**.
Explanation: ***No cell wall*** - The patient's symptoms (painful, numb, discolored toes, fingers, and nose that resolve, especially after a viral illness) suggest **Raynaud's phenomenon** secondary to an underlying condition. The history of a recent viral illness followed by the onset of these symptoms points towards **Mycoplasma pneumoniae** infection, which can trigger **cold agglutinin disease** leading to Raynaud-like features [1]. - *Mycoplasma pneumoniae* is unique among bacteria in that it **lacks a cell wall**, making it impervious to cell wall-targeting antibiotics like penicillins and cephalosporins [1]. *Gram-positive* - This characteristic applies to bacteria like *Staphylococcus* or *Streptococcus*, which have thick **peptidoglycan cell walls** that retain crystal violet stain. - While some gram-positive bacteria can cause infections, they are not typically associated with the development of cold agglutinin disease or Raynaud's phenomenon in the manner described. *Acid-fast* - This property is characteristic of mycobacteria (e.g., *Mycobacterium tuberculosis*), which have a waxy cell wall containing **mycolic acid**, making them resistant to decolorization by acid-alcohol. - These organisms do not cause the acute symptoms or sequelae described in the patient. *Spirochete* - Spirochetes, such as *Treponema pallidum* (syphilis) or *Borrelia burgdorferi* (Lyme disease), are spiral-shaped bacteria. - While some spirochetal infections can cause dermatologic and systemic symptoms, they are not typically linked to cold agglutinin disease or the specific presentation of Raynaud's phenomenon following a viral-like illness. *Gram-negative* - Gram-negative bacteria have a thin peptidoglycan layer and an **outer membrane containing lipopolysaccharide (LPS)**. They do not retain crystal violet stain. - While many gram-negative bacteria cause infections, they are not the typical causative agents of the cold agglutinin syndrome leading to Raynaud's as suggested by the patient's history.
Get full access to all questions, explanations, and performance tracking.
Start For Free