Which of the following vesico-bullous disorders will exhibit the direct immunofluorescence shown below?

Which of the following vesico-bullous disorders will exhibit the direct immunofluorescence shown below? (Recent NEET Pattern 2016-17)

What is the diagnosis based on the image shown below?

A 25-year-old lady presents with painful blisters in oral mucosa and skin. Direct immune-fluorescence picture is given below. Which of the following is incorrect about the condition shown?

A patient presents with skin lesions and erosions on the buccal mucosa. The immunofluorescence image is shown. What is the most likely diagnosis?
Identify the diagnosis based on the dermatology immunofluorescence (IF) image provided.

A 30-year-old woman presents with flaccid bullae on her skin that are easy to rupture. A biopsy of the lesion reveals a suprabasal split. What is the most likely diagnosis?
A 60-year-old female presents with eczematous itching lesions. Biopsy revealed a subepidermal cleft with Direct Immunofluorescence showing Linear C3 & IgG deposition along the basement membrane zone. What is the likely diagnosis?
Statement 1 - A 59-year-old patient presents with flaccid bullae. Histopathology shows a suprabasal acantholytic split. Statement 2 - The row of tombstones appearance is diagnostic of Pemphigus vulgaris.
A 25-year-old woman presents with multiple tense bullae on her arms and legs that developed over the past week. She reports taking amoxicillin for a sore throat 2 weeks ago. Skin biopsy shows subepidermal bulla formation with linear IgA deposits along the basement membrane. Which of the following is the most appropriate treatment?
Explanation: ***Bullous pemphigoid*** - The direct immunofluorescence image shows a characteristic **linear deposition of IgG and/or C3 along the basement membrane zone (BMZ)**, which is pathognomonic for bullous pemphigoid. - This pattern reflects the targeting of hemidesmosomal proteins like BP180 and BP230, leading to a subepidermal blister. *Pemphigus vulgaris* - Direct immunofluorescence in pemphigus vulgaris would show a **"chicken wire" or intercellular reticular pattern of IgG and C3 deposition** within the epidermis, indicating antibody binding to desmoglein 1 and/or 3. - This pattern signifies acantholysis within the epidermis, leading to intraepidermal blistering. *Pemphigus vegetans* - This is a variant of pemphigus vulgaris, so it would exhibit the same **intercellular "chicken wire" pattern of IgG and C3 deposition** in the epidermis, reflecting antibodies against desmogleins. - The distinctive feature of pemphigus vegetans is the development of verrucous vegetations, primarily in intertriginous areas, not a different DIF pattern. *Pemphigus foliaceus* - Direct immunofluorescence in pemphigus foliaceus also shows an **intercellular "chicken wire" pattern of IgG deposition**, but typically limited to the **superficial epidermis**, specifically targeting desmoglein 1. - Unlike bullous pemphigoid, it does not show linear deposition along the basement membrane zone.
Explanation: ***Pemphigus vulgaris*** - The direct immunofluorescence image shows a characteristic **"chicken wire"** or **intercellular** staining pattern in the epidermis. - This pattern indicates the presence of autoantibodies (typically **IgG**) targeting **desmoglein 1 and 3** in the desmosomes, leading to intraepidermal blistering, which is a hallmark of pemphigus vulgaris. *Bullous pemphigoid* - Direct immunofluorescence in bullous pemphigoid typically shows a **linear deposition of IgG and C3 along the dermal-epidermal junction** (basement membrane zone). - This pattern is distinctly different from the intercellular epidermal staining seen in the image. *Cicatricial pemphigoid* - This condition also presents with **linear deposition of immunoreactants along the basement membrane zone**, similar to bullous pemphigoid, but with a different antigen target. - The image does not show a linear basement membrane pattern, ruling out cicatricial pemphigoid. *Chronic bullous dermatosis of childhood* - Also known as **linear IgA bullous dermatosis**, it is characterized by a **linear deposition of IgA along the basement membrane zone**. - The image clearly displays an intercellular staining pattern within the epidermis, not a linear pattern at the dermal-epidermal junction.
Explanation: ***Mycosis fungoides*** - The image exhibits **Pautrier microabscesses**, which are collections of atypical lymphocytes within the epidermis, a hallmark of mycosis fungoides. - There is also a **band-like infiltrate of atypical lymphocytes** in the upper dermis, characteristic of this cutaneous T-cell lymphoma. *Pemphigus* - Pemphigus is characterized by **intraepidermal blistering due to acantholysis** (loss of cohesion between keratinocytes), which is not seen in this image. - Histology would show separated keratinocytes, often with a "tombstone" appearance of basal cells, and **no Pautrier microabscesses**. *Dermal leishmaniasis* - Dermal leishmaniasis is caused by _Leishmania_ parasites and typically presents with a **dermal infiltrate rich in macrophages** containing intracellular amastigotes. - The image does not show these features; instead, it shows an atypical lymphoid infiltrate. *Psoriasis* - Psoriasis typically shows **acanthosis (epidermal hyperplasia)** with elongation of rete ridges, **parakeratosis**, and **Munro microabscesses** (neutrophilic collections in the stratum corneum). - While there is some epidermal thickening, the distinct Pautrier microabscesses and atypical lymphoid infiltrate are not features of psoriasis.
Explanation: ***Basement membrane deposition of IgG is the most common DIF picture in bullous lesions*** - This statement is incorrect because the image shows an **intercellular IgG deposition**, characteristic of pemphigus, not basement membrane deposition. - While IgG deposition is common in bullous diseases, its **pattern of deposition** (intercellular vs. basement membrane) is key for diagnosis. *Antibodies against hemidesmosomes* - Antibodies against **hemidesmosomes** are characteristic of **bullous pemphigoid**, which typically presents with tense blisters and subepidermal cleavage. - The direct immunofluorescence (DIF) in bullous pemphigoid would show a **linear deposition of IgG/C3 along the basement membrane zone**, not the intercellular pattern seen in the image. *Antibodies against desmoglein 1* - Antibodies against **desmoglein 1** are seen in **pemphigus foliaceus** and some forms of pemphigus vulgaris affecting mainly the skin. - While associated with pemphigus, the image shows **oral mucosal involvement**, which, when accompanied by skin lesions, often points to a broader autoantibody profile in pemphigus vulgaris (against both Dsg1 and Dsg3). *Antibodies against desmoglein-3* - Antibodies against **desmoglein 3** are characteristic of **pemphigus vulgaris**, especially when **oral mucosal lesions** are prominent. - The presented DIF image shows an **intercellular fishnet pattern of IgG deposition**, which is a hallmark of pemphigus vulgaris, indicating antibodies targeting the desmosomes (which include desmogleins).
Explanation: ***Pemphigus vulgaris*** - The combination of **flaccid blisters/erosions** on the skin and **buccal mucosal lesions** is characteristic of pemphigus vulgaris. The image showing **intercellular IgG deposits** (a "chicken wire" pattern) in the epidermis confirms the diagnosis on immunofluorescence. - Pemphigus vulgaris is an **autoimmune blistering disease** caused by autoantibodies against **desmoglein 1 and 3**, leading to acantholysis (loss of cell adhesion) within the epidermis. *Bullous pemphigoid* - This condition typically presents with **tense bullae** that are less prone to rupture, and **mucosal involvement is rare**. - Immunofluorescence in bullous pemphigoid shows **linear IgG and C3 deposits at the dermoepidermal junction**, not an intercellular epidermal pattern. *Linear IgA disease* - Characterized by **linear IgA deposition along the basement membrane zone** on direct immunofluorescence. - Clinically, it presents with **blisters** that can be variable in appearance, but the pathognomonic immunofluorescence pattern is distinct. *Dermatitis herpetiformis* - Presents with very **pruritic vesicles and papules**, primarily on extensor surfaces, and is strongly associated with **celiac disease**. - Direct immunofluorescence reveals **granular IgA deposits in the dermal papillae**, which is distinct from the intercellular IgG pattern seen here.
Explanation: ***Dermatitis herpetiformis*** - The immunofluorescence image shows **granular IgA deposits** at the **dermal papillae region**, which is characteristic of dermatitis herpetiformis. - This condition is strongly associated with **celiac disease** and presents with intensely pruritic papules and vesicles. *Pemphigus vulgaris* - Immunofluorescence in pemphigus vulgaris typically shows a **fishnet pattern** of IgG deposits throughout the **epidermis**, reflecting antibodies against desmoglein 3 and 1. - This pattern is an intercellular deposition, not granular at the dermal papillae. *Pemphigus foliaceus* - Similar to pemphigus vulgaris, pemphigus foliaceus also exhibits **intercellular IgG deposits** in the epidermis, but it is usually more superficial, targeting desmoglein 1. - The image does not show this intercellular epidermal staining. *Bullous pemphigoid* - Bullous pemphigoid is characterized by **linear IgG and C3 deposits along the dermal-epidermal junction** (basement membrane zone). - The image distinctly shows granular IgA, not linear IgG/C3, and specifically in the dermal papillae.
Explanation: ***Pemphigus vulgaris*** - Characterized by **flaccid bullae** that are easily ruptured, and a classic histological finding of a **suprabasal split** in the epidermis, indicating acantholysis just above the basal layer. - Mucosal involvement is common, and the positive **Nikolsky sign** (epidermal detachment with lateral pressure) is often present, which is typical for pemphigus vulgaris due to the superficial nature of the blistering. - The combination of **flaccid bullae + suprabasal split** is pathognomonic for pemphigus vulgaris. *Erythema multiforme* - Typically presents with **targetoid lesions** (concentric rings of erythema) and is often associated with infections, particularly herpes simplex virus (HSV). - Histologically, it shows **interface dermatitis** with vacuolar degeneration of basal cells and scattered necrotic keratinocytes, not a suprabasal split or acantholysis. *Pemphigus vegetans* - A rare variant of pemphigus vulgaris, it presents with **vegetating plaques** in intertriginous areas (axillae, groin), which are eroded but not primarily flaccid bullae covering wide areas. - While it also involves a suprabasal split at the same level as pemphigus vulgaris, the clinical presentation of vegetating plaques rather than widespread flaccid bullae helps differentiate it. *Pemphigus foliaceous* - This autoimmune blistering disease features very **superficial bullae** that rupture so easily they typically present as erosions, crusts, and scaling rather than intact blisters. - Histologically, it shows a **subcorneal or granular layer split** (more superficial than pemphigus vulgaris), not the deeper suprabasal split seen in this patient's biopsy. - Mucosal involvement is **rare** in pemphigus foliaceous, unlike pemphigus vulgaris.
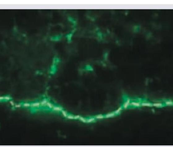
Explanation: ***Bullous Pemphigoid*** - The presence of **eczematous itching lesions**, a **subepidermal cleft**, and **linear C3 and IgG deposition along the basement membrane zone** on direct immunofluorescence (DIF) are classic diagnostic features of Bullous Pemphigoid. - This autoimmune blistering disease typically affects older individuals and is characterized by antibodies targeting components of the **hemidesmosomes**, specifically BP180 and BP230. *Pemphigus foliaceus* - This condition involves **intraepidermal blistering**, specifically within the granular layer, rather than a subepidermal cleft. - DIF in Pemphigus foliaceus shows **intercellular IgG deposition** in the epidermis, not linear deposition along the basement membrane zone. *Pemphigus Vulgaris* - Pemphigus Vulgaris is characterized by **intraepidermal blistering** above the basal cell layer (**suprabasal clefting**), leading to fragile bullae that rupture easily. - DIF typically reveals **intercellular IgG and C3 deposition** in a "chicken wire" pattern throughout the epidermis, which differs from the linear pattern seen in this case. *Dermatitis herpetiformis* - While Dermatitis herpetiformis is also an autoimmune blistering disease with itching lesions, its characteristic DIF finding is **granular IgA deposition** in the dermal papillae, not linear C3 and IgG at the basement membrane zone. - Histopathology in Dermatitis herpetiformis shows **subepidermal vesicles** with neutrophil infiltration in the dermal papillae, but the direct immunofluorescence pattern is distinct.
Explanation: ***Correct: Statements 1 & 2 are correct, 2 is not explaining 1*** **Analysis of Statement 1:** - A 59-year-old patient with **flaccid bullae** and **suprabasal acantholytic split** on histopathology is the classic presentation of **Pemphigus vulgaris** - The flaccid (easily ruptured) nature of bullae distinguishes it from tense bullae seen in bullous pemphigoid - The suprabasal location of the split (just above the basal layer) with acantholysis (loss of cell-to-cell adhesion) is pathognomonic - **Statement 1 is CORRECT** ✓ **Analysis of Statement 2:** - The **"row of tombstones" or "tombstone appearance"** is indeed a diagnostic histopathological feature of Pemphigus vulgaris - This appearance results from basal keratinocytes remaining attached to the basement membrane while suprabasal cells separate due to acantholysis - The intact basal cells standing upright resemble a row of tombstones - **Statement 2 is CORRECT** ✓ **Does Statement 2 explain Statement 1?** - Statement 2 describes a **histopathological appearance** (tombstone pattern) that is a **consequence** of the suprabasal split - However, it does NOT explain the **underlying cause** of the flaccid bullae or the suprabasal split - The true explanation involves **IgG autoantibodies against desmoglein 3 (and desmoglein 1)**, which attack intercellular adhesion structures (desmosomes), causing **acantholysis** - Therefore, **Statement 2 does NOT explain Statement 1** ✗ *Incorrect: Statement 2 is the correct explanation for Statement 1* - While both statements describe features of Pemphigus vulgaris, the tombstone appearance is a descriptive finding, not an explanatory mechanism *Incorrect: Statements 1 and 2 are incorrect* - Both statements are medically accurate descriptions of Pemphigus vulgaris features *Incorrect: Statement 1 is incorrect* - Statement 1 correctly describes the cardinal clinical and histopathological features of Pemphigus vulgaris
Explanation: ***Dapsone*** - The presentation of **tense bullae**, subepidermal bulla formation on biopsy, and linear IgA deposits along the basement membrane zone is characteristic of **linear IgA bullous dermatosis (LABD)**. - **Dapsone** is the first-line and most effective treatment for LABD due to its anti-inflammatory and immunomodulatory properties and ability to interfere with neutrophil chemotaxis. - Important to note that LABD can be **drug-induced**, with antibiotics (including penicillins like amoxicillin) being common triggers. *Topical steroids* - While topical steroids can provide some symptomatic relief for mild, localized lesions, they are generally **insufficient for widespread or severe bullous eruptions** like the one described. - They do not address the underlying **autoimmune pathology** of LABD effectively enough as a primary monotherapy for this presentation. *Oral antibiotics* - Oral antibiotics are used to treat bacterial infections, but this patient's condition is an **autoimmune blistering disease**, not a bacterial infection. - Although the patient took amoxicillin recently (which actually may have **triggered** the LABD), additional antibiotic treatment for LABD itself is not indicated unless there's a secondary bacterial infection of the bullae. *Acyclovir* - **Acyclovir** is an antiviral medication used to treat herpes simplex virus (HSV) or varicella-zoster virus (VZV) infections. - The described condition is an **autoimmune bullous disease**, not a viral infection, and thus acyclovir would be ineffective. - The **tense bullae** and **linear IgA deposits** clearly distinguish this from viral vesiculobullous eruptions.
Pemphigus Vulgaris
Practice Questions
Pemphigus Foliaceus
Practice Questions
Bullous Pemphigoid
Practice Questions
Cicatricial Pemphigoid
Practice Questions
Dermatitis Herpetiformis
Practice Questions
Epidermolysis Bullosa
Practice Questions
Linear IgA Bullous Dermatosis
Practice Questions
Pemphigoid Gestationis
Practice Questions
Drug-Induced Bullous Disorders
Practice Questions
Immunofluorescence in Bullous Diseases
Practice Questions
Management of Autoimmune Bullous Diseases
Practice Questions
Genetic Counseling in Inherited Blistering Diseases
Practice Questions
Get full access to all questions, explanations, and performance tracking.
Start For Free