Which of the following is NOT a disorder due to peroxisomal abnormalities?
Lack of a specific lysosomal hydrolase for glycoproteins will most likely cause which of the following conditions?
All the following are features of Von Gierke disease except?
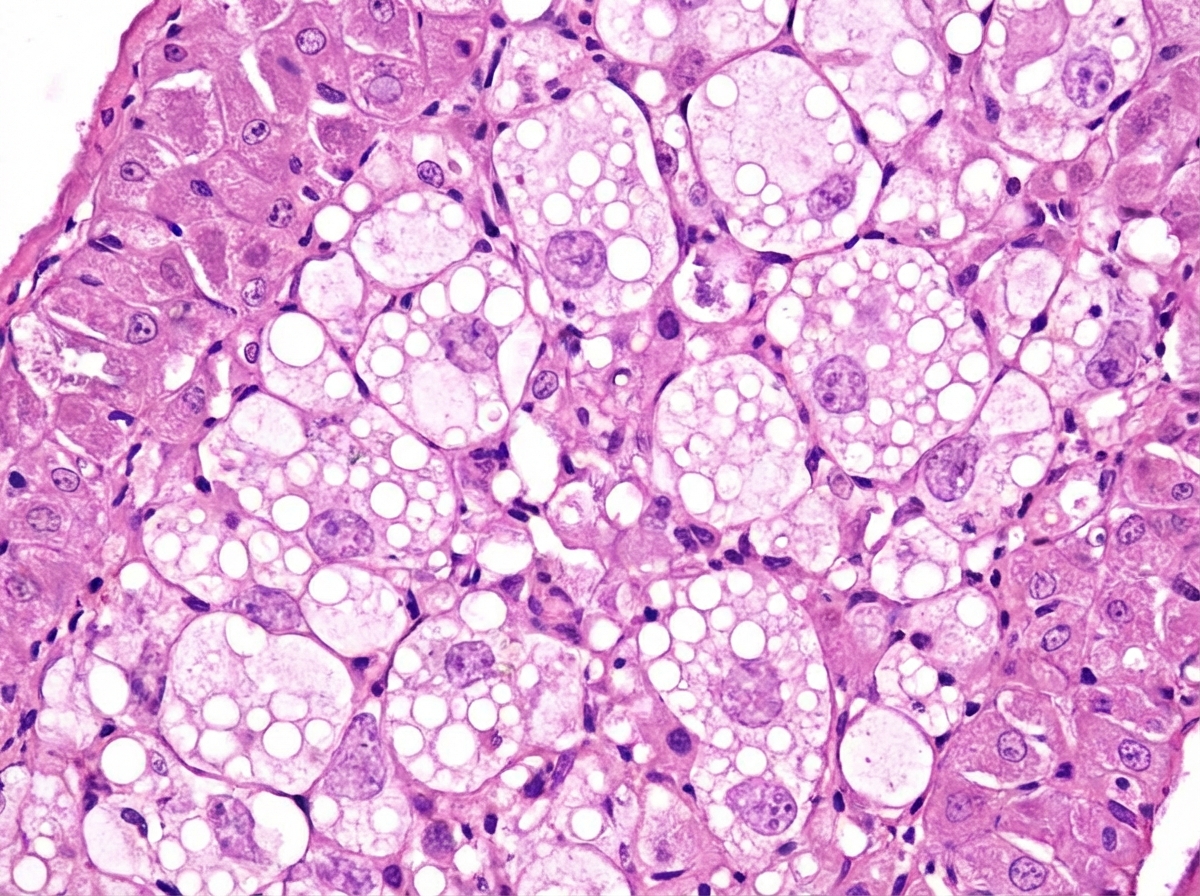
Which disease is characterized by the following histopathological finding?

Which of the following conditions causes hyperuricemia due to both increased production and decreased excretion?
A 1-year-old child presents with mental retardation, blond hair, and convulsions. What is the most probable diagnosis?
Porphyrins absorb light in which wavelength range?
A 4-year-old girl presents with sudden onset of right hip pain. Examination reveals a dislocated right hip. She can bend her thumb backward to touch her forearm, and her skin is extraordinarily stretchable. Spinal radiographs show marked lateral and anterior curvature. She develops retinal detachments later in childhood. A sibling is similarly affected, and a mutation in tenascin-X is identified. What is the most likely underlying cause for this child's findings?
Adrenoleukodystrophy is characterized by which mode of inheritance?
Menkes Kinky hair syndrome is characterized by congenital deficiency of which of the following?
Explanation: **Explanation:** The correct answer is **Jamaican vomiting sickness** because it is a metabolic disorder caused by an acquired toxin, not a genetic peroxisomal defect. **1. Why Jamaican Vomiting Sickness is the correct answer:** Jamaican vomiting sickness is caused by the ingestion of **hypoglycin A**, a toxin found in the unripe fruit of the **Ackee tree**. This toxin inhibits the enzyme **Isovaleryl-CoA dehydrogenase** and interferes with **beta-oxidation of fatty acids**. This leads to profound hypoglycemia and the accumulation of organic acids. It is a mitochondrial/metabolic inhibition disorder, not a peroxisomal biogenesis or enzyme defect. **2. Why the other options are incorrect (Peroxisomal Disorders):** * **Zellweger Syndrome:** This is the most severe **peroxisomal biogenesis disorder (PBD)**. It is caused by mutations in *PEX* genes, leading to an inability to import proteins into peroxisomes, resulting in "empty" peroxisomes. * **Refsum’s Disease:** This is a peroxisomal enzyme deficiency. It is caused by a deficiency of **Phytanoyl-CoA hydroxylase**, the enzyme required for the **alpha-oxidation** of phytanic acid (a branched-chain fatty acid). * **Hyperoxaluria Type I:** This is caused by a deficiency of the peroxisomal enzyme **alanine-glyoxylate aminotransferase (AGT)**. This leads to the overproduction of oxalate, resulting in kidney stones and nephrocalcinosis. **High-Yield Clinical Pearls for NEET-PG:** * **Zellweger Syndrome:** Look for the triad of craniofacial dysmorphism, hypotonia ("floppy infant"), and hepatomegaly. * **Refsum’s Disease:** Key features include retinitis pigmentosa, peripheral neuropathy, and ataxia. Treatment involves a **diet low in chlorophyll** (phytanic acid source). * **Adrenoleukodystrophy (ALD):** Another high-yield peroxisomal disorder involving the accumulation of **Very Long Chain Fatty Acids (VLCFA)** due to a defective ABCD1 transporter.
Explanation: ### Explanation **1. Why Oligosaccharidoses is Correct:** Oligosaccharidoses (also known as Glycoprotein Storage Diseases) are a group of lysosomal storage disorders caused by the **deficiency of specific lysosomal hydrolases** required for the stepwise degradation of the oligosaccharide side chains of **glycoproteins**. When these enzymes (e.g., $\alpha$-mannosidase, $\alpha$-fucosidase, sialidase) are missing, partially degraded carbohydrate chains accumulate within lysosomes, leading to cellular dysfunction. This is distinct from Mucopolysaccharidoses (MPS), which involve the breakdown of glycosaminoglycans (GAGs). **2. Why the Other Options are Incorrect:** * **I-cell Disease (Inclusion Cell Disease):** This is caused by a deficiency of **N-acetylglucosamine-1-phosphotransferase**. It results in the failure to "tag" lysosomal enzymes with Mannose-6-Phosphate (M6P). Consequently, enzymes are secreted extracellularly rather than being transported to lysosomes. While it affects glycoprotein processing, it is a global trafficking defect rather than a deficiency of a *specific* glycoprotein hydrolase. * **Scurvy:** This is a nutritional deficiency of **Vitamin C**. Vitamin C is a cofactor for prolyl and lysyl hydroxylase, essential for the post-translational modification (hydroxylation) of **collagen**, not the degradation of glycoproteins. * **Ehlers-Danlos Syndrome (EDS):** This is a group of genetic connective tissue disorders caused by defects in the **synthesis or structure of fibrillar collagen** (e.g., Type V or Type III collagen) or enzymes like lysyl oxidase. It is not a lysosomal storage disorder. **3. High-Yield Clinical Pearls for NEET-PG:** * **Key Examples:** Mannosidosis ($\alpha$-mannosidase deficiency) and Fucosidosis ($\alpha$-fucosidase deficiency) are classic Oligosaccharidoses. * **Diagnostic Marker:** Patients often excrete specific oligosaccharides in the **urine**, which helps differentiate them from MPS (where GAGs are found in urine). * **M6P Tag:** Remember that **Mannose-6-Phosphate** is the "zip code" that targets enzymes to the lysosome; its absence is the hallmark of I-cell disease.
Explanation: **Von Gierke Disease (GSD Type I)** is caused by a deficiency of **Glucose-6-Phosphatase**, the enzyme responsible for converting Glucose-6-Phosphate into free glucose. This enzyme is primarily expressed in the **liver and kidneys**, but notably **absent in skeletal muscle**. ### Why "Muscle Hypotonia" is the Correct Answer: In Von Gierke disease, skeletal muscle is unaffected because muscle tissue lacks Glucose-6-Phosphatase even under normal physiological conditions (it lacks the ability to release glucose into the blood). Therefore, there is no primary muscle pathology, weakness, or hypotonia. Muscle involvement (hypotonia/cardiomyopathy) is instead a hallmark of **Pompe Disease (GSD Type II)**. ### Explanation of Incorrect Options: * **Hypoglycemia:** Since the liver cannot perform the final step of glycogenolysis or gluconeogenesis, severe fasting hypoglycemia occurs, often leading to seizures. * **Lactic Acidosis:** Excess Glucose-6-Phosphate is shunted into the glycolytic pathway, leading to increased pyruvate and subsequently elevated lactate levels. * **Hyperlipidemia:** Low insulin and high glucagon levels trigger lipolysis. Additionally, the liver increases VLDL synthesis, leading to "doll-like" facies due to fat deposition. ### High-Yield Clinical Pearls for NEET-PG: * **Hyperuricemia:** Increased G-6-P enters the HMP shunt, increasing ribose-5-phosphate, which accelerates purine synthesis and degradation to uric acid (Gout). * **Clinical Presentation:** Massive hepatomegaly (due to glycogen storage), stunted growth, and "doll-like" face. * **Treatment:** Frequent oral glucose/cornstarch and avoidance of fructose and galactose (which exacerbate metabolite buildup).
Explanation: ***Wolman disease*** - Characterized by **foamy macrophages** filled with **cholesteryl esters** and **triglycerides** due to **lysosomal acid lipase (LAL) deficiency**. - Classic presentation includes **bilateral adrenal calcification** and **hepatosplenomegaly** in infants with failure to thrive. *I-cell disease* - Shows **inclusion bodies** in **fibroblasts** with **coarse cytoplasmic granules**, not foamy macrophages. - Results from **N-acetylglucosamine-1-phosphotransferase deficiency**, causing defective lysosomal enzyme targeting. *Gaucher disease* - Exhibits **Gaucher cells** with characteristic **wrinkled-paper cytoplasm** appearance, distinct from foamy macrophages. - Caused by **glucocerebrosidase deficiency** leading to **glucocerebroside accumulation** in macrophages. *Metachromatic leukodystrophy* - Features **metachromatic sulfatide deposits** that stain **brown-yellow** with cresyl violet, not foamy appearance. - Results from **arylsulfatase A deficiency** causing **sulfatide accumulation** primarily in nervous tissue.
Explanation: **Explanation:** **Glucose-6-phosphatase deficiency (Von Gierke Disease/GSD Type I)** is the correct answer because it leads to hyperuricemia through a unique dual mechanism: 1. **Increased Production:** The deficiency of Glucose-6-phosphatase causes Glucose-6-phosphate (G6P) to accumulate. This excess G6P is diverted into the **Pentose Phosphate Pathway (PPP)**, leading to increased synthesis of Ribose-5-phosphate. This elevates **PRPP (Phosphoribosyl pyrophosphate)** levels, which drives de novo purine synthesis and subsequent degradation to uric acid. 2. **Decreased Excretion:** Impaired gluconeogenesis leads to chronic **Lactic Acidosis**. Lactic acid competes with uric acid for the same secretory transport mechanism in the renal tubules, thereby reducing the renal clearance of uric acid. **Analysis of Incorrect Options:** * **PRPP Synthetase overactivity:** Causes hyperuricemia solely due to **increased production** of purines via the de novo pathway. * **HGPRT deficiency (Lesch-Nyhan Syndrome):** Leads to hyperuricemia via **increased production** (failure of the salvage pathway increases PRPP levels and purine turnover). * **Renal failure:** Causes hyperuricemia solely due to **decreased excretion** (reduced glomerular filtration and tubular secretion). **High-Yield Clinical Pearls for NEET-PG:** * **Von Gierke Disease Presentation:** Characterized by "Doll-like" facies, massive hepatomegaly, fasting hypoglycemia, hyperlactatemia, hyperlipidemia, and hyperuricemia. * **The "Competition" Rule:** Remember that any condition causing high organic acids (Lactic acid, Ketoacids) will typically cause secondary hyperuricemia due to renal competition. * **Treatment Note:** Allopurinol is often used in GSD Type I to manage secondary gout.
Explanation: ### Explanation **Phenylketonuria (PKU)** is the correct diagnosis based on the classic clinical triad presented: **mental retardation, blond hair (hypopigmentation), and convulsions.** #### Why Phenylketonuria is Correct: PKU is an autosomal recessive disorder caused by a deficiency of the enzyme **Phenylalanine Hydroxylase (PAH)** or its cofactor **Tetrahydrobiopterin (BH4)**. This leads to the accumulation of Phenylalanine and a deficiency of Tyrosine. * **Mental Retardation & Convulsions:** High levels of phenylalanine and its metabolites (phenylpyruvate, phenyllactate) are neurotoxic and interfere with neurotransmitter synthesis. * **Blond Hair/Fair Skin:** Tyrosine is a precursor for melanin. Reduced tyrosine levels lead to hypopigmentation. * **Mousy Odor:** A characteristic "mousy" or "musty" body odor due to phenylacetic acid in sweat and urine is also common. #### Why Other Options are Incorrect: * **Albuminuria:** This refers to the presence of albumin in urine, typically indicating renal pathology (like Nephrotic Syndrome), and does not present with developmental delay or pigmentary changes. * **Gaucher’s Disease:** A lysosomal storage disorder (Glucocerebrosidase deficiency). It typically presents with hepatosplenomegaly, bone pain (Erlenmeyer flask deformity), and "Gaucher cells" (crinkled paper appearance) on biopsy, rather than hypopigmentation. * **Tyrosinemia:** Type I presents with liver failure, cabbage-like odor, and renal tubular dysfunction (Fanconi syndrome). Type II presents with palmoplantar hyperkeratosis and corneal ulcers. #### NEET-PG High-Yield Pearls: * **Guthrie Test:** A bacterial inhibition assay used for neonatal screening of PKU. * **Ferric Chloride Test:** Urine turns **transient green** in PKU patients. * **Dietary Management:** Restriction of Phenylalanine (avoid Aspartame) and supplementation of Tyrosine (which becomes an essential amino acid). * **Maternal PKU:** If a mother with PKU doesn't maintain a strict diet during pregnancy, the fetus may suffer from microcephaly and congenital heart disease.
Explanation: ### Explanation **Correct Option: B (400 nm)** Porphyrins are cyclic tetrapyrroles characterized by a highly conjugated system of double bonds. This structural feature allows them to absorb light in the visible spectrum. The most intense absorption occurs at approximately **400 nm** (near-ultraviolet/violet range), known as the **Soret band**. When porphyrins absorb light at this wavelength, they become "excited." In patients with porphyrias, this excitation leads to the formation of reactive oxygen species (ROS), which cause cellular damage and the characteristic **photosensitivity** seen in these disorders. **Analysis of Incorrect Options:** * **A (340 nm):** This is the characteristic absorption peak for **NADH and NADPH**. Measurement at 340 nm is frequently used in clinical biochemistry to monitor dehydrogenase-linked enzymatic reactions. * **C (540 nm):** This wavelength is commonly used in the **Drabkin’s method** (Cyanmethemoglobin method) to estimate total hemoglobin concentration in blood. * **D (670 nm):** This falls in the red end of the visible spectrum. While some porphyrin derivatives (like chlorophyll) or specific therapeutic photosensitizers may have secondary absorption peaks here, it is not the primary diagnostic Soret band. **Clinical Pearls for NEET-PG:** * **Fluorescence:** When exposed to 400 nm light, porphyrins emit a characteristic **red fluorescence**, which is used for diagnostic screening in urine or stool samples. * **Photosensitivity:** Only "late" porphyrias (those involving intermediates after the formation of porphyrinogens, such as Porphyria Cutanea Tarda) present with skin blisters, as the precursors (ALA and PBG) do not absorb light at the Soret band. * **Key Enzyme:** Ferrochelatase is the final enzyme that inserts Iron into the porphyrin ring to form Heme.
Explanation: **Explanation:** The clinical presentation of hypermobile joints (thumb touching the forearm), hyperextensible skin, hip dislocation, and scoliosis (spinal curvature) is classic for **Ehlers-Danlos Syndrome (EDS)**. EDS is a heterogeneous group of connective tissue disorders primarily caused by **deficient collagen synthesis** or defects in collagen-modifying enzymes. The specific mention of a **tenascin-X mutation** points toward the **classical-like EDS (clEDS)**. Tenascin-X is a glycoprotein that organizes collagen fibrils in the extracellular matrix; its deficiency leads to reduced collagen density in tissues. Retinal detachment, though more common in Stickler syndrome or Marfan syndrome, can occur in severe EDS variants due to fragile ocular connective tissue. **Why incorrect options are wrong:** * **A. Congenital syphilis:** Presents with Hutchinson teeth, interstitial keratitis, and sensorineural deafness (Saber shins), not skin hyperextensibility. * **C. Vitamin D deficiency:** Causes Rickets in children, characterized by bow legs (genu varum), rachitic rosary, and craniotabes, rather than joint hypermobility or skin laxity. * **D. Multiple congenital anomalies:** This is a non-specific descriptive term and does not account for the specific biochemical defect (tenascin-X) or the systemic connective tissue findings. **High-Yield Pearls for NEET-PG:** * **EDS Type I & II (Classical):** Mutation in **COL5A1/COL5A2** (Type V Collagen). * **EDS Type IV (Vascular):** Mutation in **COL3A1** (Type III Collagen); carries high risk of arterial or organ rupture. * **EDS Type VI (Kyphoscoliotic):** Deficiency of **Lysyl hydroxylase**. * **Key Triad:** Hyperextensible skin, hypermobile joints, and fragile tissues (poor wound healing/easy bruising).
Explanation: **Explanation:** **Adrenoleukodystrophy (X-linked ALD)** is a peroxisomal disorder caused by a mutation in the **ABCD1 gene**, located on the **X chromosome**. This gene encodes the ALD protein (ALDP), a transmembrane protein responsible for transporting **Very Long Chain Fatty Acids (VLCFAs)** into the peroxisomes for degradation via **beta-oxidation**. 1. **Why X-linked Recessive is correct:** The defect follows an X-linked recessive pattern, primarily affecting males. The deficiency of ALDP leads to the systemic accumulation of VLCFAs (especially Hexacosanoic acid, C26:0) in the plasma and tissues. This accumulation is toxic to the **adrenal cortex** (causing adrenal insufficiency/Addison’s disease) and the **myelin sheath** of the central nervous system (leading to progressive demyelination). 2. **Why other options are incorrect:** * **Autosomal Dominant/Recessive:** While some peroxisomal biogenesis disorders (like Zellweger Syndrome) are autosomal recessive, the classic Adrenoleukodystrophy is specifically linked to the X chromosome. * **X-linked Dominant:** ALD does not follow a dominant pattern; carrier females are usually asymptomatic or develop milder, late-onset neurological symptoms (adrenomyeloneuropathy) due to skewed X-inactivation. **High-Yield Clinical Pearls for NEET-PG:** * **Biochemical Marker:** Elevated levels of **VLCFAs** in plasma is the pathognomonic finding. * **Clinical Triad:** Progressive cognitive decline, visual/hearing loss, and adrenal insufficiency (bronzing of skin due to high ACTH). * **MRI Finding:** Symmetrical enhancement of the **posterior white matter** (occipital and parietal lobes). * **Related Disorder:** Do not confuse with **Zellweger Syndrome**, which is an autosomal recessive "peroxisome biogenesis disorder" (defect in PEX genes) affecting all peroxisomal functions.
Explanation: **Explanation:** **Menkes Kinky Hair Syndrome** is an X-linked recessive disorder caused by a mutation in the **ATP7A gene**. This gene encodes a **Copper-binding P-type ATPase**, which is essential for the absorption of dietary copper from intestinal mucosal cells into the bloodstream and its transport across the blood-brain barrier. 1. **Why the Correct Answer is Right:** In Menkes disease, the defective **Copper-binding ATPase (ATP7A)** leads to copper being trapped within intestinal cells (enterocytes). Consequently, copper cannot reach the liver or other tissues, resulting in a severe systemic copper deficiency. This impairs copper-dependent enzymes like *Lysyl oxidase* (leading to connective tissue defects) and *Tyrosinase* (leading to hypopigmentation). 2. **Why Incorrect Options are Wrong:** * **Serum Ceruloplasmin & Serum Copper (Options A & B):** While both levels are characteristically **low** in Menkes disease, they are *biochemical findings* (consequences) rather than the primary *congenital deficiency* (the cause). The question asks for the underlying genetic/protein deficiency. * **Ferrochelatase (Option C):** This is the final enzyme in the Heme synthesis pathway. Its deficiency leads to Erythropoietic Protoporphyria, not copper metabolism disorders. **High-Yield Clinical Pearls for NEET-PG:** * **Clinical Triad:** "Steely" or "Kinky" brittle hair (pili torti), progressive neurological degeneration, and connective tissue laxity. * **Enzyme involved:** Defective **Lysyl Oxidase** (requires copper) causes the characteristic hair and vascular abnormalities. * **Menkes vs. Wilson:** * **Menkes:** ATP7A mutation; Copper **deficiency**; Intestinal transport defect. * **Wilson:** ATP7B mutation; Copper **overload**; Biliary excretion defect.
Single Gene Disorders
Practice Questions
Biochemical Diagnosis of Genetic Disorders
Practice Questions
Inborn Errors of Metabolism
Practice Questions
Lysosomal Storage Diseases
Practice Questions
Glycogen Storage Diseases
Practice Questions
Disorders of Lipoprotein Metabolism
Practice Questions
Disorders of Purine and Pyrimidine Metabolism
Practice Questions
Hemoglobinopathies
Practice Questions
Porphyrias
Practice Questions
Biochemical Markers for Disease Diagnosis
Practice Questions
Newborn Screening for Genetic Disorders
Practice Questions
Enzyme Replacement Therapy
Practice Questions
Get full access to all questions, explanations, and performance tracking.
Start For Free