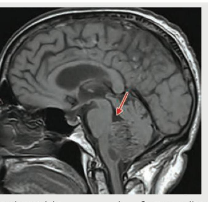
Identify the image given below.

Which of the following represents the surface marking of aortic valve?
Carbon marker will produce a line along the most convex area of the object being surveyed, this resultant line formed is known as:
In stab wounds, Langer's lines determine:
In an ultrasound of the abdomen, which structure is best seen posterior to the stomach?
Which part of scapula can be palpated in the infraclavicular fossa?
What is the vertebral level of the spine of scapula?
What is the normal prevertebral space thickness at the level of C2 in adults?
Which of these best describes the renal angle?
Which of the following is NOT a surface marking of the oblique fissure of the lung?
Explanation: ***3rd ventricle*** - The arrow points to a midline fluid-filled structure located superior to the **brainstem** and anterior to the **cerebellum** on this sagittal MRI image. - This anatomical position is characteristic of the **third ventricle**, which is a narrow cavity between the two thalami. *Lateral ventricle* - The **lateral ventricles** are much larger and are located more superiorly within the cerebral hemispheres, not in the midline position indicated. - They are connected to the third ventricle via the **foramina of Monro**. *Corpus callosum* - The **corpus callosum** is a thick band of white matter connecting the two cerebral hemispheres, located superior to the third ventricle. - It appears as a solid structure on MRI, not a fluid-filled space. *4th ventricle* - The **fourth ventricle** is located inferior to the third ventricle, anterior to the **cerebellum**, and posterior to the **pons** and **medulla**. - It leads into the central canal of the spinal cord and is distinctly inferior to the structure indicated by the arrow.
Explanation: ***Sternal end of left 3rd costal cartilage*** - The **aortic valve** is anatomically located behind the **left half of the sternum** at the level of the **3rd costal cartilage**. - This is the **surface marking** representing the actual anatomical position of the valve. - The aortic valve lies posterior to the sternum, and its surface projection corresponds to the left border of the sternum at the 3rd intercostal space [1]. *Besides sternum in right 2nd intercostal space* - This location represents the **auscultation area** for the aortic valve, not its surface marking. - Auscultation points differ from anatomical surface markings because heart sounds are transmitted along the direction of blood flow. - The aortic valve sound is best heard at the right 2nd intercostal space, but the valve itself is not located there. *Sternal end of right 3rd costal cartilage* - This does not correspond to the surface marking of the aortic valve. - The aortic valve is positioned more to the left side of the sternum [1]. *Besides the sternum in the right 3rd intercostal space* - This location does not represent the surface marking of any of the cardiac valves accurately. - The aortic valve's anatomical position is at the left 3rd costal cartilage level, not the right side.
Explanation: Survey line - A **carbon marker** is used in dental surveying to mark the **greatest convexity** of an object, which is known as the survey line. - This line helps in identifying **undercuts** and proper path of insertion for **removable partial dentures**. *Height of contour* - While the carbon marker indeed identifies the **height of contour**, this term specifically refers to the **most convex area** itself, not the line generated by the marker. - The **survey line** is the visible mark made by the carbon marker that maps the height of contour. *Contour line* - A **contour line** is a general term often used in topography to connect points of equal elevation, or in design to define the outline of an object. - In dentistry, the more specific and appropriate term for the line drawn by a surveyor's carbon marker is the **survey line**. *All of the options* - This is incorrect because **survey line** is the most accurate and specific term for the line produced by the carbon marker in this context. - While the line indicates the height of contour, it is not synonymous with "height of contour" or the general term "contour line."
Explanation: ***Wound edge separation*** - Langer's lines, or **cleavage lines**, represent the orientation of collagen fiber bundles in the dermis. - In **stab wounds**, these lines directly determine the **degree of wound gaping** (edge separation). - Wounds **perpendicular to Langer's lines** gape widely due to tension from collagen fibers pulling the wound edges apart. - Wounds **parallel to Langer's lines** show minimal gaping as they run along the fiber orientation. - This principle is crucial in **forensic medicine** for wound analysis and in **surgery** for planning incisions. *Healing* - While Langer's lines influence healing quality and scarring, they don't directly "determine" healing in stab wounds. - The primary immediate effect is wound gaping, not the healing process itself. - Better healing with parallel incisions is a secondary benefit, not the primary determinant. *Tissue displacement* - Tissue displacement refers to movement of tissues during injury or manipulation. - Langer's lines indicate preferred directions to minimize displacement but don't directly determine it. *Direction* - Langer's lines define the intrinsic **orientation of collagen bundles** in the skin. - They do not determine the direction of the stab wound itself, but rather how the wound behaves based on its orientation relative to these lines.
Explanation: ***Pancreas*** - The **pancreas** is retroperitoneal and lies transversely across the posterior abdominal wall, making it located directly posterior to the stomach. - In ultrasound, the stomach, when filled with fluid, can act as an acoustic window to visualize the pancreas behind it. *Gallbladder* - The **gallbladder** is typically nestled in a fossa on the inferior surface of the liver, anterior to the duodenum and often anterior or inferior to the stomach [1]. - It is not positioned directly posterior to the stomach, but rather more to the right and inferior [1]. *Spleen* - The **spleen** is located in the left upper quadrant, superior and posterior to the stomach, but typically more lateral and posterior than directly behind it. - While it has a close relationship with the stomach, it is usually not considered "best seen posterior to the stomach" in the same straight-on fashion as the pancreas. *Liver* - The **liver** is primarily located in the right upper quadrant, largely anterior and superior to the stomach. - While a small portion of the left lobe of the liver can be anterior to the stomach, the bulk of the liver is not posterior to it.
Explanation: **Coracoid process** - The **coracoid process** is a hook-like projection from the top of the scapula that extends anteriorly and can be palpated in the **infraclavicular fossa**, just medial to the deltoid. - It serves as an attachment point for various muscles and ligaments, including the **pectoralis minor** and the coracobrachialis. *Spine of scapula* - The **spine of the scapula** is a prominent ridge on the posterior surface of the scapula, easily palpable on the **back**, not in the infraclavicular fossa. - It divides the posterior scapular surface into the supraspinous and infraspinous fossae. *Inferior angle* - The **inferior angle** is the lowest point of the scapula and is palpable on the **posterior chest wall**, typically at the level of the seventh rib. - It is a key landmark for assessing scapular movement and position. *Supraspinous fossa* - The **supraspinous fossa** is a concave area on the posterior aspect of the scapula, superior to the spine of the scapula, housing the **supraspinatus muscle**. - It is located posteriorly and cannot be palpated anteriorly in the infraclavicular fossa.
Explanation: ***T4*** - The spine of the scapula is typically located at the level of the **T3 vertebra**, with its lateral end extending to approximately **T3-T4**. - In clinical practice, **T3 or T4** are both commonly cited, with T4 being a widely accepted surface anatomy landmark. - This anatomical landmark is important for **palpation** and identifying boundaries in the posterior thorax. *T7* - The **inferior angle of the scapula** usually lies at the level of the **T7 vertebra** when the arm is at rest. - This is a distinctly lower landmark than the spine of the scapula. *T2* - The T2 vertebral level corresponds approximately to the **superior angle of the scapula** or **root of the spine of scapula**. - The spine of the scapula itself is more inferior than this level. *T10* - The T10 vertebral level is significantly below the scapula. - This level is in the **lower thoracic region**, far from the shoulder girdle and scapular landmarks.
Explanation: **7mm** - The normal **prevertebral soft tissue thickness** at the level of C2 (body of axis) in adults is 7mm based on standard radiographic measurements. - This measurement is taken from the anterior aspect of the vertebral body to the posterior wall of the pharynx. *14mm* - A prevertebral space of 14mm at the C2 level is **abnormal** and suggests an underlying pathology such as hemorrhage, edema, or inflammation. - This measurement would be twice the normal upper limit for this specific cervical level. *22mm* - A prevertebral space of 22mm at the C2 level indicates a **significant abnormality**, much larger than the physiological range. - Such a finding would raise concerns for a substantial mass, hematoma, or severe inflammatory process. *30mm* - A 30mm prevertebral space at C2 is highly indicative of a **pathological process**, such as a large retropharyngeal abscess, substantial hematoma, or tumor. - This measurement is far beyond the normal physiological limits and requires immediate medical investigation.
Explanation: ***The angle between the 12th rib and the erector spinae*** - The **renal angle** (also known as the costovertebral angle) is the space formed by the junction of the **12th rib** and the **erector spinae muscles** laterally. - This anatomical landmark is clinically significant for assessing **kidney pain** or inflammation (e.g., in pyelonephritis) through percussion. *The angle between the latissimus dorsi and the 12th rib* - While the **latissimus dorsi** is a significant back muscle, it is not the primary anatomical landmark that defines the renal angle. - The renal angle specifically refers to the relationship between the rib cage and the deeper spinal muscles. *The angle between the erector spinae and the iliac crest* - This description refers to a region lower down on the back, closer to the **pelvis**, and not directly related to the position of the kidneys. - The **iliac crest** defines the upper border of the pelvis, far from the kidney's typical location relative to the 12th rib. *The angle between the 12th rib and the rectus abdominis* - The **rectus abdominis** muscle is located on the anterior (front) aspect of the abdomen, involved in trunk flexion. - This muscle is anatomically distinct and separate from the posterior flank region where the kidneys are located and where the renal angle is assessed.
Explanation: ***7th rib*** - The **oblique fissure** typically extends from the spine at approximately the **T3 vertebral level** anteriorly to the **6th costal cartilage**. [1] - The **7th rib** is generally inferior to the typical anterior termination point of the oblique fissure. [1] *T3* - The **oblique fissure** begins posteriorly at the level of the **spinous process of T3**. [1] - This marks the superior-posterior extent of the fissure on the surface. *5th rib* - The **oblique fissure** crosses the **5th intercostal space** on the lateral chest wall. [1] - This point helps map the fissure's path between its posterior and anterior endpoints. *6th costal cartilage* - The **oblique fissure** terminates anteriorly near the **6th costal cartilage** in the midclavicular line. [1] - This represents the inferior-anterior most point of the fissure on the chest wall.
Surface Landmarks of the Head and Neck
Practice Questions
Surface Landmarks of the Thorax
Practice Questions
Surface Landmarks of the Abdomen
Practice Questions
Surface Landmarks of the Limbs
Practice Questions
Radiographic Anatomy
Practice Questions
CT Anatomy
Practice Questions
MRI Anatomy
Practice Questions
Ultrasonographic Anatomy
Practice Questions
Angiographic Anatomy
Practice Questions
Sectional and Cross-sectional Anatomy
Practice Questions
Anatomical Correlations in Common Imaging
Practice Questions
Interventional Radiological Anatomy
Practice Questions
Get full access to all questions, explanations, and performance tracking.
Start For Free