What does a vibration perceptile on palpation indicate?
The non-pigmented epithelium of the ciliary body is a continuation of which of the following structures?
A fibrous band runs on the visceral surface of the liver, attached to the inferior vena cava and the left branch of the portal vein. What does this structure correspond to in an adult?
The area around the umbilicus is supplied by which spinal nerve segment?
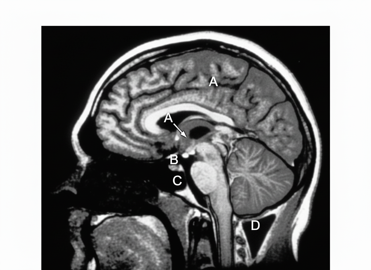
In the provided MRI scan showing a sagittal section through the head and neck, a tumor originating from which numbered structure can be surgically accessed via a transsphenoidal approach, passing through the nasal septum and the body of the sphenoid bone?

The transtubercular plane lies at which vertebral level?
Femoral pulsation can be best felt at which anatomical landmark?
What is the radiographic appearance of the inferior dental canal in relation to the roots of the mandibular third molar?
At what age does the fusion of the xiphoid process typically occur?
The canal of Schlemm possesses the following anatomic characteristics except:
Explanation: **Explanation:** **Correct Answer: B. Fremitus** In clinical anatomy and physical examination, **fremitus** refers to a palpable vibration transmitted through the body. The term is most commonly used in the context of the respiratory system (**vocal fremitus**), where vibrations generated by the larynx during speech are transmitted through the bronchi and lung parenchyma to the chest wall. It is assessed by placing the ulnar border of the hand on the patient's chest while they repeat a resonant phrase like "ninety-nine." [2] **Analysis of Incorrect Options:** * **A. Detritus:** This refers to waste, debris, or disintegrated material (e.g., necrotic tissue or fecal matter). It is a pathological finding but not a tactile sensation. * **C. Auscultatus:** This is the Latin root for "listening." **Auscultation** is the act of listening to internal body sounds (usually with a stethoscope), which is a sensory process of hearing, not palpation. * **D. Somnatus:** This relates to sleep (from the Latin *somnus*). It has no relevance to physical examination findings or tactile vibrations. **Clinical Pearls for NEET-PG:** * **Tactile Vocal Fremitus (TVF):** * **Increased TVF:** Seen in **Consolidation** (e.g., Lobar Pneumonia) because sound travels better through solid/liquid media than air. * **Decreased TVF:** Seen in **Pleural Effusion, Pneumothorax, or Emphysema**, where air or fluid in the pleural space acts as a barrier to vibration. * **Hydatid Thrill:** A specific type of vibration/fremitus felt over a hydatid cyst due to the movement of daughter cysts. * **Tactile Fremitus vs. Thrill:** While both are vibrations, "thrill" is the term specifically used for palpable vibrations caused by turbulent blood flow in the cardiovascular system (organic murmurs). [1]
Explanation: ### Explanation The ciliary body is an anterior continuation of the uveal tract, but its internal lining is derived from the two layers of the embryonic optic cup. The ciliary epithelium consists of two layers: an outer pigmented layer and an inner non-pigmented layer. **1. Why the Correct Answer is Right:** The **sensory layer of the retina** (neurosensory retina) continues anteriorly beyond the ora serrata to form the **inner non-pigmented epithelium** of the ciliary body [1]. Conversely, the Retinal Pigment Epithelium (RPE) continues forward to form the outer pigmented layer of the ciliary body. This non-pigmented layer is physiologically crucial as it is responsible for the active secretion of aqueous humor [2]. **2. Why Other Options are Wrong:** * **Bruch's membrane of the choroid:** This is a thin, multi-layered extracellular matrix located between the choroid and the RPE. It does not transition into the ciliary epithelium. * **Ora serrata:** This is not a layer, but rather the **anatomical junction** (the serrated boundary) where the complex sensory retina ends and the simple ciliary epithelium begins. It marks the transition point but is not the structure that continues as the epithelium. **3. NEET-PG High-Yield Pearls:** * **Aqueous Production:** The non-pigmented ciliary epithelium contains carbonic anhydrase and is the primary site for aqueous humor production [2]. * **Blood-Aqueous Barrier:** The tight junctions (zonula occludens) between the non-pigmented epithelial cells form the blood-aqueous barrier. * **Iris Continuation:** These two layers continue even further anteriorly to form the posterior epithelium of the iris (where both layers become pigmented). * **Embryology:** Both layers of the ciliary epithelium are derived from **neuroectoderm**.
Explanation: **Explanation:** The correct answer is **Ligamentum venosum**. This structure is the fibrous remnant of the fetal **ductus venosus** [2]. **1. Why Ligamentum Venosum is Correct:** In fetal circulation, the ductus venosus acts as a shunt, allowing oxygenated blood from the umbilical vein to bypass the hepatic sinusoids and flow directly into the Inferior Vena Cava (IVC) [2]. After birth, this shunt closes functionally and eventually fibroses to form the ligamentum venosum. Anatomically, it is located in the **fissure for ligamentum venosum** on the visceral surface of the liver, specifically between the caudate lobe and the left lobe, connecting the left branch of the portal vein to the IVC [1]. **2. Why Other Options are Incorrect:** * **Ductus venosus (A):** This is the fetal precursor, not the adult structure. The question asks what it corresponds to in an *adult* [2]. * **Ligamentum teres (B):** This is the remnant of the **left umbilical vein** [2]. It runs in the free margin of the falciform ligament and connects the umbilicus to the left branch of the portal vein. * **Umbilical arteries (D):** These fibrose to become the **medial umbilical ligaments** on the internal surface of the anterior abdominal wall. **3. High-Yield Clinical Pearls for NEET-PG:** * **The "H" Shape:** The ligamentum venosum forms the upper left limb of the "H-shaped" fissure on the liver's visceral surface. * **Caudate Lobe Landmark:** The ligamentum venosum serves as the anterior boundary of the caudate lobe [1]. * **Remnant Summary:** * Left Umbilical Vein → Ligamentum teres hepatis. * Ductus venosus → Ligamentum venosum. * Ductus arteriosus → Ligamentum arteriosum. * Foramen ovale → Fossa ovalis.
Explanation: ### Explanation The sensory innervation of the skin (dermatomes) follows a segmental distribution corresponding to spinal nerve levels. The area surrounding the **umbilicus** is a classic anatomical landmark supplied by the **T10 spinal nerve segment**. [1] #### Why T10 is Correct: During embryonic development, the umbilical cord is located at the midpoint of the trunk. As the body grows, the T10 dermatome remains consistently associated with the umbilicus. This is a vital clinical landmark used to localize spinal cord injuries or determine the level of regional anesthesia (like spinal or epidural blocks). [2] #### Analysis of Incorrect Options: * **T8:** Supplies the upper part of the anterior abdominal wall, roughly halfway between the xiphoid process and the umbilicus. * **T9:** Supplies the area just above the umbilicus. * **T12:** Supplies the suprapubic region and the area just above the inguinal ligament. [2] #### Clinical Pearls for NEET-PG: * **Referred Pain:** In early **acute appendicitis**, pain is often felt in the periumbilical region. This is because visceral pain fibers from the appendix (T10) enter the spinal cord at the same level as the somatic fibers from the umbilicus. [2] * **Key Dermatome Landmarks:** * **C6:** Thumb * **T4:** Nipple line * **T7:** Xiphoid process * **T10:** Umbilicus * **L1:** Inguinal ligament/Groin [2] * **Abdominal Reflex:** The T10 segment is also involved in the middle abdominal reflex (stroking the skin at the level of the umbilicus causes contraction of abdominal muscles).
Explanation: ***Structure A*** - Structure A represents the **pituitary gland** located in the **sella turcica** of the sphenoid bone, making it directly accessible via the transsphenoidal approach. - This surgical route passes through the **nasal cavity**, **nasal septum**, and **sphenoid sinus** to reach the pituitary fossa, commonly used for **pituitary adenoma** resection. *Structure B* - Structure B likely represents the **brainstem** or **cerebellum**, which are located in the **posterior fossa** and cannot be accessed through the sphenoid bone. - These structures require **posterior craniotomy** or **suboccipital approach** for surgical access, not transsphenoidal. *Structure C* - Structure C appears to be in the **cerebral cortex** or **frontal lobe** region, which is located above the sphenoid bone level. - Access to these structures requires **craniotomy** through the skull vault, not through the nasal cavity and sphenoid bone. *Structure D* - Structure D seems to represent structures in the **cervical spine** or **upper neck** region, which are below the sphenoid bone. - These structures are accessed via **anterior cervical** or **posterior cervical approaches**, not through the transsphenoidal route.
Explanation: The **transtubercular plane** is a horizontal anatomical plane used to divide the abdomen into nine regions. It is defined by a line connecting the **iliac tubercles** (located on the iliac crest, approximately 5 cm posterior to the anterior superior iliac spine). This plane passes through the body of the **L5 vertebra**. **Analysis of Options:** * **L1 (Incorrect):** This is the level of the **Transpyloric plane** (Addison’s plane). It is a high-yield landmark passing through the pylorus of the stomach, the hila of the kidneys, and the beginning of the duodenum. * **L3 (Incorrect):** This is the level of the **Subcostal plane**, which joins the lowest points of the costal margins (10th costal cartilage). It also marks the origin of the inferior mesenteric artery. * **L5 (Correct):** The transtubercular plane corresponds to the L5 vertebral level. It also marks the confluence where the two common iliac veins join to form the **Inferior Vena Cava (IVC)**. * **S3 (Incorrect):** This level marks the beginning of the rectum and the end of the sigmoid colon. **High-Yield Clinical Pearls for NEET-PG:** 1. **Intertubercular vs. Intercristal:** Do not confuse the transtubercular plane (L5) with the **supracristal (intercristal) plane (L4)**. The L4 plane is used as a landmark for performing lumbar punctures. 2. **Abdominal Regions:** The transtubercular plane forms the lower horizontal boundary for the umbilical, right lumbar, and left lumbar regions. 3. **IVC Formation:** A common MCQ favorite is the level of IVC formation, which occurs at **L5**, coinciding with this plane.
Explanation: **Explanation:** The femoral artery is the primary arterial supply to the lower limb. To palpate its pulsation, the artery must be compressed against a bony prominence—in this case, the **head of the femur**. **1. Why the Mid-inguinal point is correct:** The **mid-inguinal point** is the landmark located halfway between the Anterior Superior Iliac Spine (ASIS) and the **Symphysis Pubis**. This point directly overlies the femoral artery as it enters the thigh beneath the inguinal ligament. Because the artery lies superficial here and directly over the hip joint/femoral head, it is the optimal site for feeling pulsations and for arterial cannulation. **2. Analysis of Incorrect Options:** * **Midpoint of the inguinal ligament:** This is the halfway point between the ASIS and the **Pubic Tubercle**. This landmark is used to locate the **deep inguinal ring**, which lies approximately 1.25 cm above it. The femoral artery lies medial to this point. * **Below and medial to the pubic tubercle:** This area corresponds to the origin of the adductor muscles and the location of the spermatic cord (in males), not the femoral artery. * **Near the ASIS:** This is the site of origin for the Sartorius muscle and the inguinal ligament. The lateral femoral cutaneous nerve passes near here, but no major artery is palpable. **Clinical Pearls for NEET-PG:** * **NAVEL Mnemonic:** From lateral to medial in the femoral triangle: **N**erve, **A**rtery, **V**ein, **E**mpty space (canal), **L**ymphatics. * **Femoral Vein:** Located roughly 1 cm **medial** to the femoral artery pulsation. * **Clinical Use:** The mid-inguinal point is the standard site for Femoral Artery Puncture (for ABG or coronary angiography) and for performing a Femoral Nerve Block.
Explanation: ### Explanation **1. Understanding the Correct Answer (Option B)** The relationship between the **inferior dental (mandibular) canal** and the roots of the mandibular third molar is critical for surgical planning (extractions). When the canal passes very close to or through the root, the radiographic density of the root decreases. This creates a **radiolucent band** across the root. This appearance indicates that the root is either deeply grooved or actually tunneled by the canal, placing the inferior alveolar nerve at high risk of injury during extraction. **2. Analysis of Incorrect Options** * **Option A & D (Tram lines):** The inferior dental canal is normally demarcated by two parallel radiopaque lines (representing the cortical plates of the canal), often called "tram lines." If these lines are **interrupted or lost** where they cross the molar root, it signifies a close relationship. "Tram lines visible" is a normal finding, not a specific sign of root grooving. * **Option C (Winter’s Lines):** These are used in the **Winter’s Classification** to assess the difficulty of impacted third molar extractions. They consist of three lines (Red, Amber, and White) drawn on a radiograph to measure the depth of the tooth and the amount of bone covering it. They do not describe the internal radiographic appearance of the canal itself. **3. Clinical Pearls & High-Yield Facts** * **Rood and Shehab Signs:** There are seven radiographic signs indicating a close relationship between the canal and the root. The three most significant are: 1. **Darkening of the root** (the radiolucent band mentioned in the question). 2. **Interruption of the radiopaque line** (loss of the canal's cortical border). 3. **Deflection of the canal** (change in direction as it hits the root). * **Clinical Significance:** If these signs are present on a periapical radiograph or OPG, a **CBCT (Cone Beam Computed Tomography)** is often indicated to visualize the relationship in 3D and prevent paresthesia of the lower lip.
Explanation: **Explanation:** The sternum develops from several centers of ossification. The **xiphoid process** is the smallest and most variable part of the sternum. It remains cartilaginous in early life and typically begins to ossify after the age of 3. However, its **fusion** with the body of the sternum (the xiphisternal joint) is a late event in skeletal maturation, typically occurring around the age of **40 years** [1]. **Analysis of Options:** * **A (30 years):** While ossification is well underway, complete synostosis (bony fusion) is generally not finalized at this stage. * **B (10 years):** At this age, the xiphoid process is still largely cartilaginous. The primary centers for the body of the sternum (sternestrae) are fusing, but the xiphoid remains distinct. * **C (40 years):** This is the standard anatomical age for the conversion of the xiphisternal symphysis into a synostosis. * **D (70 years):** This is the age typically associated with the fusion of the **manubriosternal joint** (the Sternal Angle of Louis), though that joint often remains a symphysis throughout life in many individuals. **High-Yield Clinical Pearls for NEET-PG:** * **Sternal Angle (Angle of Louis):** Located at the level of **T4-T5** intervertebral disc. It is a key landmark for counting ribs (2nd rib attachment). * **Fusion Sequence:** The sternestrae (segments of the body) fuse from below upwards between puberty and age 25. * **Clinical Significance:** In elderly patients, a fused, prominent xiphoid process can sometimes be mistaken for an epigastric mass or tumor on physical examination. * **Sternal Puncture:** Usually performed in the upper part of the manubrium (avoiding the xiphoid) for bone marrow aspiration due to its subcutaneous location.
Explanation: ### Explanation The **Canal of Schlemm** (Scleral Venous Sinus) is a circular, endothelium-lined channel located at the iridocorneal angle (limbus). Its primary physiological role is to drain aqueous humor from the anterior chamber into the anterior ciliary veins [1]. **Why Option A is the correct answer (The "Except"):** Under normal physiological conditions, the Canal of Schlemm **does not contain red blood cells**. It is filled with clear **aqueous humor**. Red cells only enter the canal pathologically (e.g., in cases of ocular trauma or elevated episcleral venous pressure) or during specific surgical procedures. **Analysis of Incorrect Options:** * **Option B (Contains aqueous):** This is a true statement. The canal serves as the primary outflow pathway for aqueous humor, receiving it from the trabecular meshwork [1]. * **Option C (Lined by endothelium):** This is a true statement. The canal is a specialized vascular structure lined by a continuous layer of endothelial cells that possess "giant vacuoles" to transport aqueous humor. * **Option D (Resembles dural venous sinuses):** This is a true statement. Like dural venous sinuses, the Canal of Schlemm is a venous channel that lacks valves and is lined by endothelium, though it carries aqueous instead of blood. ### High-Yield Clinical Pearls for NEET-PG: * **Location:** It lies in the **scleral sulcus**, internal to the limbus. * **Drainage Pathway:** Aqueous humor → Trabecular meshwork → Canal of Schlemm → Collector channels → **Episcleral veins** [1]. * **Clinical Correlation:** Obstruction to the outflow at the level of the trabecular meshwork or the Canal of Schlemm leads to increased intraocular pressure, the hallmark of **Open-Angle Glaucoma** [1]. * **Histology:** The inner wall of the canal is characterized by **giant vacuoles**, which are pressure-dependent structures responsible for the bulk flow of aqueous.
Surface Landmarks of the Head and Neck
Practice Questions
Surface Landmarks of the Thorax
Practice Questions
Surface Landmarks of the Abdomen
Practice Questions
Surface Landmarks of the Limbs
Practice Questions
Radiographic Anatomy
Practice Questions
CT Anatomy
Practice Questions
MRI Anatomy
Practice Questions
Ultrasonographic Anatomy
Practice Questions
Angiographic Anatomy
Practice Questions
Sectional and Cross-sectional Anatomy
Practice Questions
Anatomical Correlations in Common Imaging
Practice Questions
Interventional Radiological Anatomy
Practice Questions
Get full access to all questions, explanations, and performance tracking.
Start For Free