Which of the following is not typically seen in a chronic case of sickle cell anemia?
Tuberculosis of the testis first affects which of the following structures?
Which cells of the mononuclear phagocyte system are present in the liver?
What is true about Intercalated Discs?
Dust cells can be found in which organ?
Which is the first carpal bone to ossify?
A patient presents with bleeding due to platelet function defects. Which of the following features is typically observed?
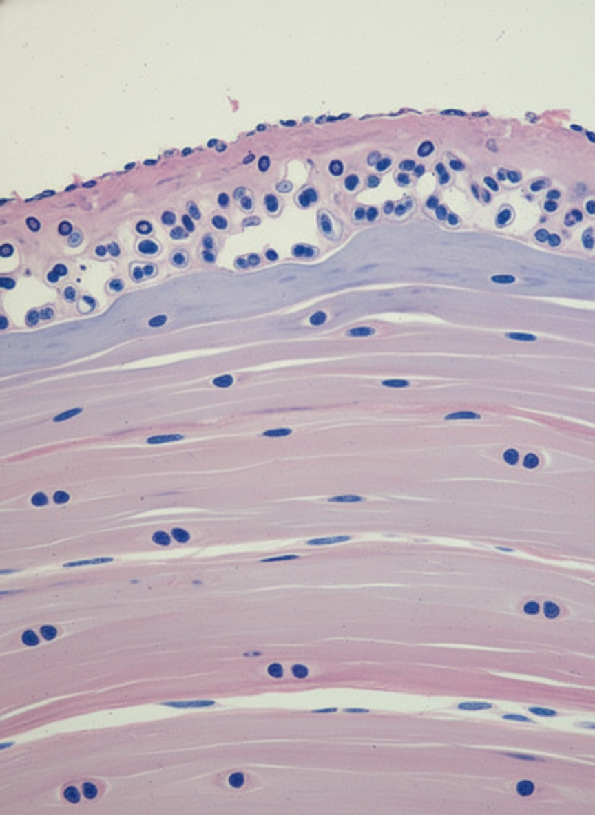
Microscopic examination of the articular surface of a synovial joint demonstrates the following histology representing:

What is the primary storage form of iron in the body?
A 55-year-old smoker presents with a history of 5 episodes of macroscopic hematuria, each lasting for about 4-5 days in the past 5 years. Which of the following investigations should be performed to evaluate the suspected cause?
Explanation: **Explanation:** In chronic cases of Sickle Cell Anemia (SCA), the hallmark finding regarding the spleen is **autosplenectomy**, not splenomegaly [1]. 1. **Why Splenomegaly is the correct answer (The "Not" factor):** While children with SCA may initially present with splenomegaly due to the sequestration of sickled cells, chronic repetitive vaso-occlusive crises lead to multiple splenic infarcts. Over time, the splenic tissue undergoes fibrosis and shrinkage, eventually resulting in a small, shrunken, and non-functional fibrous remnant [1]. This process is known as **autosplenectomy** [1]. Therefore, a palpable spleen in an adult with SCA is highly unusual. 2. **Analysis of Incorrect Options:** * **Hepatomegaly:** Chronic hemolysis leads to iron overload (hemosiderosis) and increased bilirubin production (pigment gallstones), often resulting in compensatory enlargement of the liver. * **Pulmonary Hypertension:** This is a common chronic complication of SCA due to chronic hemolysis, which depletes nitric oxide, leading to vasoconstriction and vascular remodeling. * **Cardiomegaly:** Chronic anemia leads to a hyperdynamic circulation. The heart compensates for low oxygen-carrying capacity by increasing stroke volume and cardiac output, eventually leading to eccentric hypertrophy and cardiomegaly. **NEET-PG High-Yield Pearls:** * **Howell-Jolly Bodies:** Their presence on a peripheral smear is a classic sign of functional asplenia/autosplenectomy [2]. * **Infection Risk:** Patients with autosplenectomy are highly susceptible to encapsulated organisms (e.g., *Streptococcus pneumoniae*, *Haemophilus influenzae*, *Neisseria meningitidis*) [3]. * **Salmonella Osteomyelitis:** SCA patients have a unique predisposition to *Salmonella* bone infections.
Explanation: **Explanation:** Genitourinary tuberculosis (GUTB) is almost always secondary to a primary focus elsewhere, usually the lungs [2]. In the male reproductive system, the **Epididymis** is the most common site of initial involvement. **Why Epididymis is the correct answer:** The spread of *Mycobacterium tuberculosis* to the male genital tract occurs primarily via two routes: **hematogenous** (blood-borne) or **descending infection** from the urinary tract (infected urine) [1]. The epididymis has a very high vascularity, particularly the globus minor (tail), making it the primary "landing site" for the bacilli. From the epididymis, the infection typically spreads to the testis via direct extension or through the lymphatics. **Analysis of Incorrect Options:** * **Vas deferens (A):** While the vas can be involved (leading to characteristic "beading" of the vas), it is usually affected secondary to epididymal involvement [1]. * **Body of testis (C):** Isolated orchitis is rare in TB. The testis is usually involved secondary to the epididymis (Epididymo-orchitis) because the blood-testis barrier provides some initial protection [3]. * **Tunica vaginalis (D):** This is a serous membrane. While it can develop a secondary hydrocele due to inflammation, it is not the primary site of infection [3]. **High-Yield Clinical Pearls for NEET-PG:** * **Clinical Presentation:** Presents as a painless, "craggy" (hard/irregular) enlargement of the epididymis. * **Beaded Vas Deferens:** A classic sign of TB caused by multiple granulomatous strictures along the vas. * **Scrotal Sinus:** Chronic TB epididymitis may lead to a cold abscess that bursts through the posterior scrotal skin, forming a sinus. * **Infertility:** Bilateral involvement often leads to obstructive azoospermia.
Explanation: ### Explanation **Correct Option: A (Kupffer cells)** The **Mononuclear Phagocyte System (MPS)** consists of a family of cells derived from bone marrow precursors (monocytes) that function as professional phagocytes [3]. In the liver, these are the **Kupffer cells** [3]. They are located within the **sinusoidal endothelium** (on the luminal side) and serve as the primary line of defense against gut-derived pathogens and debris entering via the portal circulation. They are also responsible for recycling iron by phagocytosing aged red blood cells. **Incorrect Options:** * **B. Merkel cells:** These are specialized neuroendocrine cells located in the **stratum basale of the epidermis**. They function as mechanoreceptors for light touch. * **C. Ito cells (Stellate cells):** Located in the **Space of Disse**, these cells are the primary site for **Vitamin A storage** [1]. In chronic liver injury, they transform into myofibroblasts and are the chief cells responsible for **liver fibrosis**. * **D. Hepatocytes:** These are the functional parenchymal cells of the liver, not part of the immune system [2]. They perform metabolic, endocrine, and exocrine (bile production) functions [4]. **High-Yield Clinical Pearls for NEET-PG:** * **MPS Nomenclature:** Remember other site-specific names: **Microglia** (CNS), **Dust cells** (Alveoli), **Langerhans cells** (Skin), and **Osteoclasts** (Bone) [3]. * **Kupffer Cell Marker:** CD68 is a commonly used immunohistochemical marker for these cells. * **Space of Disse:** This is the perisinusoidal space between hepatocytes and sinusoids where nutrient exchange occurs and where Ito cells reside [1].
Explanation: Intercalated discs are specialized cell-to-cell junctions found exclusively in **cardiac muscle**. They serve as the critical interface between adjacent cardiomyocytes, ensuring the heart functions as a functional syncytium [1]. 1. **Why Option D is Correct:** * **Appearance (Option A):** Under light microscopy, intercalated discs appear as dark, transverse lines crossing the muscle fiber. While they have a "step-like" (scalariform) configuration at the ultrastructural level, they are classically described as **straight or transverse bands** perpendicular to the long axis of the fiber. * **Gap Junctions (Option B):** These discs contain three types of junctions: **Macula adherens** (desmosomes) and **Fascia adherens** (which provide mechanical stability), and **Gap junctions** (nexuses) [2]. Gap junctions are vital as they provide low-resistance electrical coupling, allowing rapid spread of action potentials [3]. * **Staining (Option C):** Intercalated discs have a high affinity for dyes and **stain darkly with Hematoxylin** (and even more prominently with silver salts or phosphotungstic acid hematoxylin), making them a hallmark feature for identifying cardiac tissue. **High-Yield NEET-PG Pearls:** * **Location:** They always coincide with the **Z-lines** of the sarcomere [1]. * **Functional Syncytium:** The presence of gap junctions allows the heart to contract as a single unit; a defect in these junctions can lead to arrhythmias. * **Ultrastructure:** Remember the "Step-like" appearance—the **transverse part** contains Fascia adherens and Desmosomes, while the **lateral (longitudinal) part** contains the Gap junctions [2].
Explanation: The correct answer is **Lungs (Option C)**. **Dust cells**, also known as **Alveolar Macrophages**, are the resident mononuclear phagocytes of the lungs [1]. They are found on the internal luminal surfaces of the pulmonary alveoli. Their primary function is to clean the alveolar surface by phagocytosing inhaled particulate matter (such as dust, carbon, and bacteria) and surfactant. Once they ingest debris, they often migrate to the bronchioles to be cleared via the "mucociliary escalator" or exit through the lymphatic system [2]. **Analysis of Incorrect Options:** * **Brain (Option A):** The resident macrophages of the Central Nervous System (CNS) are **Microglia**. * **Heart (Option B):** While the heart contains cardiac macrophages involved in tissue repair and electrical conduction, they do not have a specific eponymous name like "dust cells." * **Liver (Option D):** The resident macrophages of the liver, located within the sinusoids, are called **Kupffer cells**. **NEET-PG High-Yield Clinical Pearls:** 1. **Heart Failure Cells:** In cases of congestive heart failure, dust cells phagocytose extravasated red blood cells. The resulting iron-laden macrophages (hemosiderin-filled) are called "Heart Failure Cells" and can be seen in sputum or lung biopsies. 2. **Mononuclear Phagocyte System (MPS):** Remember these specific tissue macrophages for the exam: * **Skin:** Langerhans cells * **Bone:** Osteoclasts * **Kidney:** Mesangial cells * **Placenta:** Hofbauer cells * **Connective Tissue:** Histiocytes
Explanation: The ossification of carpal bones follows a predictable chronological sequence, which is a high-yield topic for assessing bone age in pediatric radiology. All carpal bones are cartilaginous at birth and typically ossify in a **clockwise direction** (starting from the center) on a right-hand PA view. During fetal development, most bones are modeled in cartilage and then transformed into bone by ossification (enchondral bone formation) [1]. **1. Why Capitate is Correct:** The **Capitate** is the largest carpal bone and the very first to begin ossification, typically appearing at **1–3 months** of age. It is closely followed by the Hamate. **2. Why the other options are incorrect:** * **Hamate:** This is the second bone to ossify, appearing shortly after the capitate (usually by **3–4 months**). * **Lunate:** This bone ossifies much later, typically around **4–5 years** of age. * **Scaphoid:** This is one of the last bones to ossify, usually appearing between **5–6 years** of age. **3. Clinical Pearls & High-Yield Facts for NEET-PG:** * **Mnemonic for Order of Ossification:** **"C-H-T-L-T-T-S-P"** (Capitate, Hamate, Triquetral, Lunate, Trapezium, Trapezoid, Scaphoid, Pisiform). * **The "Rule of 1 to 12":** Roughly one carpal bone ossifies for every year of life until age 7, with the **Pisiform** being the notable exception, ossifying last at **9–12 years**. * **Bone Age Assessment:** In clinical practice, a radiograph of the **non-dominant left hand and wrist** is the standard for comparing chronological age versus skeletal maturity (using the Greulich-Pyle atlas). * **First and Last:** Always remember **Capitate is first** and **Pisiform is last** to ossify.
Explanation: **Explanation:** The core concept in this question lies in distinguishing between **platelet quantity** and **platelet quality**. 1. **Why Option B is correct:** The question specifies a "platelet function defect" (qualitative defect). In such conditions (e.g., Glanzmann thrombasthenia or Bernard-Soulier syndrome), the bone marrow produces a sufficient number of platelets, so the **platelet count remains normal**. However, because these platelets cannot adhere or aggregate properly to form a primary hemostatic plug, the **Bleeding Time (BT) is increased**. BT is the clinical gold standard for assessing platelet function and the formation of the primary platelet plug. 2. **Why the other options are incorrect:** * **Option A:** A normal BT would imply functional platelets, which contradicts the diagnosis of a function defect. * **Option C:** This describes **Thrombocytopenia** (quantitative defect). While BT would be increased here, the primary pathology in the question is functional, not numerical. * **Option D:** A decreased bleeding time is clinically rare and usually associated with hypercoagulable states, not bleeding disorders. **NEET-PG High-Yield Pearls:** * **Bleeding Time (BT):** Measures primary hemostasis (Platelets + Vessel wall). Normal: 2–7 minutes. * **Glanzmann Thrombasthenia:** Deficiency of **GPIIb/IIIa** (failure of aggregation). * **Bernard-Soulier Syndrome:** Deficiency of **GPIb** (failure of adhesion); characterized by **giant platelets** and mild thrombocytopenia. * **Von Willebrand Disease (vWD):** The most common inherited bleeding disorder; causes increased BT because vWF is required for platelet adhesion. * **Drug Alert:** Aspirin irreversibly inhibits COX-1, leading to a functional defect (increased BT) despite a normal platelet count.
Explanation: ***Hyaline cartilage*** - The articular surface of synovial joints is covered by **hyaline cartilage**, which provides a smooth, low-friction surface for joint movement and acts as a **shock absorber**. - Histologically, it shows **chondrocytes** residing in **lacunae** within a homogeneous **basophilic matrix** rich in **type II collagen** and **proteoglycans**, with no **perichondrium** at the articular surface. *Adipocytes* - **Fat cells** are not found on the articular surface but may be present in the **synovial membrane** and **joint capsule**. - They appear as large cells with **peripheral nuclei** and **clear cytoplasm** due to lipid content, which is distinctly different from cartilage matrix. *Endothelial cells* - These **flat, elongated cells** line blood vessels and are not present on the **avascular** articular cartilage surface. - They form the **tunica intima** of blood vessels and have a characteristic **cobblestone appearance** when viewed en face. *Periosteum* - This is a **fibrous membrane** covering bone surfaces, not the articular cartilage of joints. - It consists of an outer **fibrous layer** and inner **cambium layer** with **osteoprogenitor cells**, and is absent from articular surfaces.
Explanation: **Explanation:** **1. Why Ferritin is Correct:** Ferritin is the primary intracellular protein responsible for the **storage of iron**. It consists of a protein shell (apoferritin) surrounding a core of ferric hydroxyphosphate. It is found in high concentrations in the liver, spleen, and bone marrow. In histology, iron stored as ferritin or its aggregated form, **hemosiderin**, can be visualized using the **Prussian Blue (Perl’s) stain**. [2] Serum ferritin levels are the most sensitive laboratory index for diagnosing iron deficiency anemia. [3] **2. Why the Other Options are Incorrect:** * **Transferrin:** This is the primary **transport protein** for iron in the plasma. [3] It carries iron from the site of absorption (duodenum) or recycling (macrophages) to the bone marrow for erythropoiesis. [1] * **Hepcidin:** This is the **master regulator** of iron homeostasis. Produced by the liver, it inhibits iron absorption and release by causing the degradation of ferroportin. * **Ferroportin:** This is the only known **iron exporter** protein. It is located on the basolateral membrane of enterocytes and macrophages, allowing iron to exit the cells and enter the bloodstream. [1] **High-Yield Clinical Pearls for NEET-PG:** * **Most sensitive test for Iron Deficiency Anemia:** Serum Ferritin. [3] * **Total Iron Binding Capacity (TIBC):** An indirect measure of Transferrin levels. [3] * **Hemochromatosis:** A condition of iron overload where ferritin and hemosiderin accumulate excessively, leading to organ damage (e.g., Bronze diabetes). [2] * **Anemia of Chronic Disease:** Characterized by *high* ferritin (it acts as an acute-phase reactant) but *low* serum iron due to hepcidin-mediated sequestration.
Explanation: The clinical presentation of **painless macroscopic hematuria** in an elderly smoker is highly suggestive of **Transitional Cell Carcinoma (TCC)** of the bladder (Urothelial Carcinoma). Smoking is the most significant risk factor for bladder cancer. **Why Option A is Correct:** **Urine cytology** is the primary non-invasive screening tool for detecting malignant cells shed from the urothelium. While cystoscopy is the gold standard for diagnosis, urine cytology has high specificity for detecting high-grade tumors and Carcinoma in Situ (CIS). **Urine microscopy** is essential to confirm the presence of RBCs and rule out other causes like infection (pyuria) or glomerular disease (dysmorphic RBCs). **Analysis of Incorrect Options:** * **B. X-ray KUB:** This is primarily used to detect radiopaque renal calculi. It has no role in diagnosing soft tissue malignancies of the bladder. * **C. US KUB:** While ultrasound can detect large bladder masses, it often misses small lesions or CIS. It is a supportive tool but less specific for malignancy than cytology. * **D. DTPA Scan:** This is a nuclear medicine study used to evaluate the **Glomerular Filtration Rate (GFR)** and renal perfusion. It provides functional data, not structural or cytological details required for cancer diagnosis. **NEET-PG High-Yield Pearls:** * **Most common site for TCC:** Urinary Bladder (Trigone area). * **Histology:** The bladder is lined by **Transitional Epithelium (Urothelium)**, characterized by
Basic Tissue Types
Practice Questions
Cell Biology and Organelles
Practice Questions
Epithelial Tissue
Practice Questions
Connective Tissue
Practice Questions
Muscular Tissue
Practice Questions
Nervous Tissue
Practice Questions
Cardiovascular System Histology
Practice Questions
Lymphoid Organs and Immune System
Practice Questions
Endocrine System Histology
Practice Questions
Respiratory System Histology
Practice Questions
Digestive System Histology
Practice Questions
Urinary and Reproductive System Histology
Practice Questions
Get full access to all questions, explanations, and performance tracking.
Start For Free